Hở chân răng là tình trạng phổ biến nhưng ít được nhiều người chú ý đến, gây ảnh hưởng không nhỏ đến thẩm mỹ và sức khỏe răng miệng của mỗi người. Khi chân răng bị lộ nhiều hơn bình thường, người bệnh có thể gặp nhiều rắc rối như ê buốt, chảy máu chân răng, và viêm nhiễm kéo dài nếu không được xử lý kịp thời và đúng phương pháp. Hiểu rõ về hở chân răng sẽ giúp bạn chủ động chăm sóc răng miệng tốt hơn và tránh những biến chứng không mong muốn.
Trong bài viết này, chúng ta sẽ khám phá chi tiết về hở chân răng – từ định nghĩa, biểu hiện, nguyên nhân, nguy hiểm và các phương pháp điều trị tiên tiến hiện nay. Bên cạnh đó, chúng tôi sẽ chia sẻ kiến thức về cách phòng ngừa và chăm sóc để duy trì hàm răng khoẻ mạnh, giúp bạn có một nụ cười tự tin và rạng rỡ dài lâu.
Hở chân răng là gì?
Hở chân răng là tình trạng phần chân của răng lộ ra ngoài mô nướu, khiến cho chân răng không còn được che phủ hoàn toàn bởi nướu như bình thường nữa. Thông thường, các chân răng nằm phía trong xương hàm, được bảo vệ bởi lợi và nướu, nhưng trong một số trường hợp, vì nhiều lý do khác nhau, phần chân này sẽ bị lộ ra ngoài. Tình trạng này có thể diễn ra trên một hoặc nhiều răng, và đòi hỏi sự chú ý đặc biệt của người bệnh để tránh gây ra các biến chứng nguy hiểm.

Điều quan trọng nhất của hở chân răng chính là làm tăng nguy cơ mất răng, viêm nha chu, sâu răng cắn cổ và các vấn đề khác liên quan đến răng miệng. Không chỉ đơn thuần là vấn đề thẩm mỹ, hở chân răng còn ảnh hưởng trực tiếp đến khả năng ăn nhai, phát ra mùi hôi miệng và giảm tuổi thọ của răng. Bởi vậy, việc nắm rõ về căn bệnh này sẽ giúp ít nhiều trong việc phát hiện sớm và can thiệp kịp thời.
Ngoài ra, hở chân răng còn có thể là dấu hiệu của các bệnh lý về nha chu, liên quan tới các yếu tố như chăm sóc răng miệng không đúng cách, viêm nhiễm mãn tính, hoặc do tác động của các thói quen xấu. Tuy nhiên, dù nguyên nhân là gì đi nữa, việc hiểu rõ về khái niệm này sẽ giúp người bệnh có thêm kiến thức phòng tránh và đối phó hiệu quả hơn.
Dấu hiệu nhận biết hở chân răng
Việc nhận biết sớm các dấu hiệu của hở chân răng giúp bạn tiến hành xử lý kịp thời và giảm thiểu các rủi ro liên quan. Các biểu hiện mang tính điển hình sẽ giúp bạn dễ dàng xác định tình trạng của mình, từ đó có hành động phù hợp để bảo vệ sức khoẻ răng miệng.
Nhiều người thường xuyên gặp phải các triệu chứng này mà không nhận biết rõ, dẫn đến chậm trễ trong việc điều trị. Việc nhận biết chính xác các dấu hiệu sẽ giúp bạn chủ động hơn trong quá trình kiểm tra nha khoa và thăm khám định kỳ. Dưới đây là những biểu hiện phổ biến nhất của hở chân răng mà bạn cần chú ý:
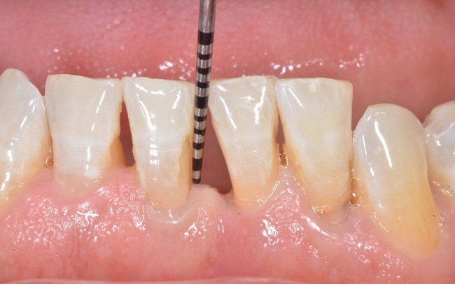
Chân răng dài hơn bình thường
Một trong những dấu hiệu dễ nhận thấy nhất chính là chân răng dài hơn so với kích thước bình thường. Khi lợi bị tụt xuống, phần chân răng sẽ lộ rõ ra ngoài, khiến cho răng trông dài hơn hẳn. Đây là biểu hiện rõ rệt nhất và thường đi kèm với cảm giác vướng víu hoặc như có một thành phần gì đó trong khoang miệng.

Ngoài ra, khi nhìn bằng mắt thường, bạn có thể nhận biết rõ phần chân răng lộ ra, đặc biệt là ở các răng phía trước hoặc răng hàm trên, nơi lợi dễ bị tổn thương nhất. Tình trạng này không chỉ ảnh hưởng đến thẩm mỹ mà còn là tín hiệu cảnh báo cho các vấn đề về nha chu đang diễn ra trong khoang miệng của bạn.
Chân răng dài hơn không phải là dấu hiệu duy nhất, mà còn đi kèm với các biểu hiện khác như lợi sưng tấy, chảy máu chân răng khi chải răng hoặc dùng chỉ nha khoa. Do đó, cần kiểm tra kỹ để xác định chính xác mức độ bệnh lý và có phương án điều trị phù hợp.
Ê buốt khi ăn đồ nóng – lạnh – chua
Triệu chứng ê buốt là phản ứng khá phổ biến của những người bị hở chân răng. Khi phần chân răng bị lộ ra ngoài, lớp men răng đã mất đi khiến cho các dây thần kinh nằm gần mặt ngoài hơn, dễ bị kích thích bởi các tác nhân bên ngoài như nhiệt độ cao, thấp hoặc đồ chua, có tính axit mạnh.
Người bệnh thường cảm thấy đau rát, khó chịu khi ăn các món thức ăn nóng, lạnh hoặc chua. Đặc biệt, cảm giác này dễ lan ra cả vùng mặt, gây cảm giác khó chịu và ảnh hưởng đến sinh hoạt hàng ngày. Tình trạng này nếu kéo dài, không được điều trị đúng cách, sẽ làm cho mô nha chu bị tổn thương nặng hơn, dẫn đến nguy cơ mất răng cao.
Chẩn đoán chính xác dựa vào cảm giác của người bệnh phối hợp với kiểm tra lâm sàng là cách tốt nhất để xác định nguyên nhân gây ê buốt. Đồng thời, việc kiểm tra này còn giúp phát hiện các vấn đề khác như viêm nướu, tụt lợi hoặc mòn men răng do các thói quen xấu.
Nướu sưng đỏ, dễ chảy máu
Dấu hiệu viêm nướu hay viêm nha chu thường đi kèm với tình trạng nướu sưng đỏ, dễ chảy máu, đặc biệt khi đánh răng hoặc dùng chỉ nha khoa. Đây đều là những biểu hiện của quá trình viêm nhiễm tại mức độ nhẹ đến nặng, làm tổn thương mô lợi xung quanh chân răng.
Nướu bị viêm không chỉ gây khó khăn trong việc vệ sinh răng miệng mà còn là nguyên nhân chính dẫn đến tụt lợi và hở chân răng. Khi lợi không còn khả năng bảo vệ chân răng đủ tốt, các tổ chức xung quanh sẽ dễ bị tổn thương, tạo điều kiện cho vi khuẩn xâm nhập sâu vào mô nướu, gây ra các bệnh lý nghiêm trọng hơn.

Quan sát bằng mắt thường, nếu thấy lợi của bạn có dấu hiệu sưng đỏ, dễ chảy máu hoặc có mảng bám màu vàng hoặc nâu quanh chân răng, khả năng bạn đang mắc các bệnh lý về nướu là rất cao. Đây là lời nhắc nhở cần thiết để bạn bắt đầu quá trình điều trị lấy lại sức khỏe răng miệng.
Hơi thở có mùi, viêm nướu kéo dài
Một biểu hiện thường gặp nữa ở những người mắc hở chân răng chính là hơi thở có mùi hôi. Điều này xuất phát từ sự tích tụ của các mảng bám, vi khuẩn trong khoang miệng, gây ra tình trạng viêm nhiễm kéo dài, làm tăng khả năng hình thành mùi hôi khó chịu.
Hơi thở có mùi không chỉ ảnh hưởng đến sự tự tin trong giao tiếp mà còn phản ánh rõ ràng tình trạng của sức khoẻ răng miệng. Nếu kèm theo viêm nướu kéo dài và không có biện pháp can thiệp đúng đắn, tình trạng này sẽ ngày càng nặng hơn, thúc đẩy quá trình tiêu xương và tụt nướu diễn ra nhanh hơn.
Để hạn chế hiện tượng này, cần duy trì vệ sinh răng miệng sạch sẽ, kết hợp khám nha sĩ định kỳ để kiểm soát và xử lý các vấn đề về nướu, từ đó giúp giữ hơi thở thơm tho, tự nhiên hơn.
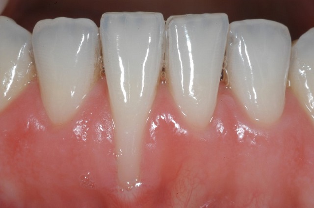
Tụt lợi nhìn thấy rõ chân răng
Tụt lợi là biểu hiện rõ nhất của hở chân răng. Khi lợi bị rút lui, phần chân răng sẽ dần phơi ra, tạo ra một khoảng trống rõ ràng giữa chân răng và lợi. Tình trạng này không chỉ khó coi về mặt thẩm mỹ, mà còn làm tăng nguy cơ xâm nhập của vi khuẩn gây bệnh.

Chỉ cần quan sát, bạn có thể dễ dàng nhận ra sự khác biệt của lợi và chân răng khi tụt xuống hoặc mất đi phần lợi bảo vệ. Điều này dẫn tới tình trạng chân răng lộ rõ hơn, đồng thời làm giảm khả năng giữ gìn thức ăn, bụi bẩn dễ tích tụ gây nhiễm trùng và các bệnh lý nha chu nặng hơn.
Thường xuyên kiểm tra và phát hiện sớm tình trạng tụt lợi sẽ giúp giảm thiểu các hậu quả nghiêm trọng về sau. Đồng thời, việc kết hợp điều trị đúng phương pháp giúp cải thiện rõ rệt chức năng bảo vệ của lợi và duy trì sức khoẻ chomốt răng toàn diện.
Nguyên nhân gây hở chân răng
Có nhiều nguyên nhân dẫn đến hở chân răng, trong đó chủ yếu gồm các yếu tố về thói quen sinh hoạt, bệnh lý nha chu và quá trình lão hóa tự nhiên. Hiểu rõ các tác nhân này giúp bạn có biện pháp phòng tránh hiệu quả hơn, từ đó giảm thiểu nguy cơ mắc bệnh và bảo vệ răng lâu dài.
Các nguyên nhân thường gặp có thể phân thành hai nhóm chính là nguyên nhân khách quan và nguyên nhân chủ quan, trong đó bệnh lý về nha chu và do thói quen xấu là hai yếu tố dễ thấy nhất. Kiến thức này giúp bạn có biện pháp ngăn ngừa tốt nhất và duy trì hàm răng chắc khoẻ.
Ngoài ra, quá trình tiêu xương do độ tuổi, các tác động từ ngoại lực hoặc chấn thương, cũng đóng một vai trò quan trọng trong việc hình thành tình trạng hở chân răng. Điều đặc biệt là các nguyên nhân này ảnh hưởng không đồng đều, tùy theo từng cá thể và mức độ chăm sóc răng miệng hàng ngày.
Hở chân răng có nguy hiểm không?
Nhiều người vẫn còn xem nhẹ biểu hiện hở chân răng như một vấn đề thẩm mỹ đơn thuần, song thực tế, bệnh lý này tiềm ẩn nhiều nguy cơ đối với sức khoẻ răng miệng và toàn thân. Việc chủ quan không xử lý sớm sẽ dẫn đến các hậu quả nghiêm trọng ảnh hưởng đến khả năng ăn nhai, nói chuyện, và cả thẩm mỹ khuôn mặt.
Nguy hiểm lớn nhất của tình trạng này là mất răng sớm, vì chân răng lộ rõ làm tiêu xương quanh lợi, làm giảm khả năng cố định chân răng. Ngoài ra, vi khuẩn tích tụ lâu dài còn gây ra viêm nha chu, tiêu xương, và gây ra mùi hôi miệng khó chữa dứt điểm. Hơn nữa, các bệnh lý về răng có thể liên quan gián tiếp đến các vấn đề về tim mạch, đái tháo đường, và hệ miễn dịch của cơ thể.
Chính vì thế, nếu không được phát hiện và điều trị kịp thời, hở chân răng không chỉ gây mất thẩm mỹ mà còn ảnh hưởng xấu đến sức khỏe tổng thể. Thái độ chủ quan có thể khiến bệnh trở nặng, gây tốn kém trong điều trị và làm giảm chất lượng cuộc sống của người bệnh. Do đó, cần nhận thức rõ về mức độ nguy hiểm của bệnh để có những hành động phù hợp ngay từ sớm.
Cách điều trị hở chân răng hiệu quả
Việc điều trị hở chân răng đòi hỏi một quy trình chuyên môn, phù hợp với từng mức độ bệnh lý và nguyên nhân gốc rễ. Các phương pháp điều trị hiện nay rất đa dạng, từ các biện pháp bảo tồn đến can thiệp phẫu thuật, nhằm giúp phục hồi chức năng và thẩm mỹ răng miệng một cách tối ưu nhất.
Dưới đây là các phương pháp điều trị thường được áp dụng phổ biến nhất trong thực tiễn nha khoa, dựa trên tình trạng từng bệnh nhân để có phương án phù hợp nhất.
Lấy cao răng – điều trị viêm nướu
Lấy cao răng và xử lý viêm nướu là bước đầu tiên khi điều trị hở chân răng. Cao răng tích tụ lâu ngày sẽ thúc đẩy quá trình viêm nhiễm, làm lợi tụt xuống và làm lộ chân răng. Quá trình lấy cao răng không quá phức tạp, nhưng yêu cầu kỹ thuật cao để loại bỏ sạch các mảng bám, vi khuẩn mà không làm tổn thương mô nướu.

Sau khi lấy cao răng, nướu sẽ trở nên sạch sẽ hơn, giảm viêm, từ đó giới hạn khả năng tụt lợi và phục hồi sức khoẻ của các mô xung quanh răng. Đây là bước quan trọng để ngăn ngừa tình trạng hở chân răng tiến triển nặng hơn, đồng thời giúp duy trì hiệu quả điều trị dài lâu.
Bên cạnh đó, việc hướng dẫn vệ sinh răng miệng đúng cách tại nhà vẫn đóng vai trò then chốt trong việc ngăn ngừa tái phát bệnh. Sát trùng và kháng sinh cũng có thể được bác sĩ chỉ định để hỗ trợ điều trị tốt hơn, đảm bảo mảng bám không còn gây ảnh hưởng tiêu cực.
Điều trị nha chu chuyên sâu
Trong các trường hợp nặng, tình trạng tiêu xương và tụt lợi gây ra hở chân răng cần điều trị nha chu chuyên sâu, gồm các kỹ thuật như phẫu thuật nâng cao mô nướu, bọc xương, hoặc cấy ghép mô. Những phương pháp này đòi hỏi kỹ thuật cao, cần phác đồ điều trị phù hợp và sự theo dõi sát sao của bác sĩ nha khoa.
Không chỉ tập trung xử lý các tổn thương, các bác sĩ còn giúp bệnh nhân duy trì chế độ chăm sóc phù hợp sau điều trị để hạn chế khả năng tái phát. Ngoài ra, sự phối hợp chặt chẽ giữa bác sĩ và bệnh nhân trong việc duy trì vệ sinh, chế độ dinh dưỡng cũng góp phần quan trọng trong quá trình phục hồi và bảo vệ răng.
Điều trị nha chu chuyên sâu là giải pháp tối ưu nhất cho những trường hợp đã chuyển biến nặng, giúp xây dựng lại cấu trúc mô nướu, hạn chế tối đa việc mất răng và cải thiện thẩm mỹ cho khuôn mặt của bệnh nhân.
Trám phủ cổ răng khi bị mòn chân răng
Khi mô răng cổ bị mòn do axit hoặc các tác nhân khác, trám phủ cổ răng là phương pháp phù hợp để bảo vệ chân răng khỏi bị lộ ra ngoài. Đây cũng là một cách giúp giảm cảm giác ê buốt, đồng thời cải thiện thẩm mỹ cho phần cổ răng bị mòn.

Quá trình trám phủ cổ răng khá đơn giản, chỉ cần chuẩn bị khoang trám phù hợp, dùng vật liệu composite hoặc amalgam để phủ kín phần cổ răng bị mất. Phương pháp này không chỉ giúp giữ lại chân răng khỏe mạnh mà còn giúp cân đối khối lượng răng, đồng thời giảm thiểu các tác động tiêu cực từ điều kiện môi trường bên ngoài.
Việc trám phủ cổ răng cần phải thực hiện đúng kỹ thuật, tránh lắp đặt quá dày hoặc không đúng vị trí, để không gây khó chịu hoặc mất thẩm mỹ. Đồng thời, sau khi trám, cần chú ý vệ sinh răng miệng kỹ càng để duy trì hiệu quả lâu dài.
Bọc răng sứ
Bọc răng sứ là phương pháp tái tạo lại hình dáng, màu sắc và chức năng của răng bị mòn, gãy hoặc tổn thương nặng do hở chân răng kéo dài. Đây là giải pháp phù hợp cho những răng đã mất lớp men hoặc chân răng bị tổn thương nghiêm trọng.

Quá trình bọc răng sứ bao gồm mài mòn nhẹ phía trên mô răng thật, sau đó lấy dấu để chế tạo mão sứ phù hợp theo kích thước, hình dáng và màu sắc của răng hiện tại. Khi lắp đặt, răng sứ sẽ che phủ toàn bộ phần răng thật, giúp bảo vệ tối đa chân răng bị lộ và cải thiện thẩm mỹ rõ rệt.
Ngoài tác dụng bảo vệ, răng sứ còn giúp tăng khả năng nhai, giảm cảm giác ê buốt, đồng thời giữ cho khuôn mặt cân đối hơn. Để đảm bảo kết quả lâu dài, người dùng cần tuân thủ chế độ chăm sóc răng miệng kỹ thuật và định kỳ kiểm tra để duy trì hiệu quả tốt nhất.
Máng chống nghiến răng khi ngủ
Nhiều trường hợp hở chân răng liên quan đến thói quen nghiến răng hoặc cắn chặt khi ngủ. Trong các tình huống này, sử dụng máng chống nghiến sẽ giúp giảm lực tác động trực tiếp lên răng, hạn chế tổn thương và giữ cho lợi, mô mềm không bị tổn thương do quá trình cắn chặt.
Máng chống nghiến được làm từ vật liệu Nhựa cao cấp, thiết kế phù hợp với kích thước của từng người, thoải mái khi sử dụng trong giấc ngủ. Ngoài ra, chiếc máng này còn giúp hạn chế tình trạng mòn men, tiêu xương do lực nghiến mạnh gây ra, từ đó duy trì hàm răng khoẻ mạnh lâu dài.

Việc sử dụng máng chống nghiến cần theo sự hướng dẫn của bác sĩ nha khoa để đảm bảo phù hợp với từng tình trạng đặc thù và tránh các tác dụng phụ không mong muốn. Đây là phương pháp phòng ngừa hữu ích, có thể kết hợp cùng các điều trị khác để đạt hiệu quả tối ưu hơn.
Điều trị hở chân răng tại Nha Khoa Saigon Phong Phú
Tại Nha Khoa Saigon Phong Phú, chúng tôi tự hào mang đến giải pháp toàn diện cho bệnh nhân gặp vấn đề về hở chân răng. Đội ngũ bác sĩ chuyên nghiệp, dày dạn kinh nghiệm cùng trang thiết bị hiện đại sẽ giúp bạn sớm phục hồi được hàm răng khoẻ mạnh, đẹp tự nhiên.
Chúng tôi cung cấp các dịch vụ điều trị đa dạng, phù hợp từng trường hợp như lấy cao răng, điều trị viêm nha chu, bọc răng sứ, trám phủ cổ răng, cấy ghép implant, cùng các phương pháp tiên tiến khác. Đặc biệt, phương pháp điều trị luôn đặt lợi ích của bệnh nhân làm trung tâm, đảm bảo yếu tố an toàn và hiệu quả tối đa.
Ngoài ra, Nha Khoa Saigon Phong Phú còn hướng dẫn chăm sóc răng miệng tại nhà, xây dựng chế độ dinh dưỡng hợp lý, giúp duy trì hiệu quả điều trị lâu dài. Đến với chúng tôi, bạn sẽ yên tâm về chất lượng dịch vụ và sự quan tâm phục vụ chu đáo, tận tình.
Cách chăm sóc để phòng ngừa hở chân răng tái phát
Phòng ngừa hở chân răng tái phát đòi hỏi một chế độ chăm sóc toàn diện, duy trì vệ sinh răng miệng đúng cách và sinh hoạt hợp lý hàng ngày. Đây là cách giúp bạn giữ gìn hiệu quả lâu dài các kết quả đã điều trị và giảm thiểu tối đa các biến chứng nghiêm trọng.
Chải răng đúng kỹ thuật, dùng chỉ nha khoa đều đặn, kết hợp dùng nước súc miệng kháng khuẩn là các biện pháp cơ bản nhưng cực kỳ hiệu quả. Ngoài ra, cần hạn chế các thói quen gây hại như nghiến răng mạnh, cắn vật cứng, hút thuốc hoặc ăn đồ ngọt nhiều nhằm giảm tác nhân gây tổn thương mô nướu và tiêu xương.

Thực hiện khám nha khoa định kỳ 6 tháng/lần để kiểm tra và xử lý kịp thời các dấu hiệu viêm nướu, tụt lợi hoặc các dấu hiệu của bệnh lý nha chu. Bên cạnh đó, duy trì chế độ luyện tập thể dục đều đặn, ăn uống cân đối, bổ sung đủ vitamin và khoáng chất tốt cho răng sẽ giúp khoẻ mạnh từ bên trong, chống lại các bệnh lý gây hở chân răng.
Tổng kết
Hở chân răng không chỉ ảnh hưởng đến thẩm mỹ mà còn là dấu hiệu cảnh báo cho nhiều vấn đề sức khoẻ về răng miệng và toàn thân. Hiểu rõ các dấu hiệu, nguyên nhân và cách điều trị sẽ giúp bạn phòng tránh và xử lý kịp thời, đảm bảo hàm răng luôn chắc khoẻ, đẹp tự nhiên.
Chăm sóc phòng ngừa đúng cách, khám định kỳ và duy trì chế độ sinh hoạt lành mạnh sẽ góp phần bảo vệ nụ cười của bạn dài lâu. Đặc biệt, việc lựa chọn địa chỉ nha khoa uy tín như Nha Khoa Saigon Phong Phú sẽ giúp bạn yên tâm hơn trên hành trình chăm sóc và gìn giữ sức khoẻ răng miệng. Hãy hành động ngay hôm nay để tự tin sở hữu nụ cười rạng rỡ, tỏa sáng mỗi ngày!
