Sưng nướu răng là tình trạng phổ biến mà hầu như ai cũng từng gặp phải ít nhất một lần. Cảm giác nướu sưng tấy, đau nhức không chỉ gây khó khăn khi ăn uống mà còn khiến bạn lo lắng, mất ăn mất ngủ.
Đa số người bệnh thường có tâm lý chủ quan, chọn cách chịu đựng hoặc tự mua thuốc giảm đau với hy vọng “để vài hôm chắc tự hết”. Vậy thực tế sưng nướu răng có tự hết không, hay đây là dấu hiệu cảnh báo một biến chứng răng miệng nguy hiểm? Hãy cùng bác sĩ tại Nha khoa Sài Gòn Phong Phú tìm hiểu ngay sau đây.

Sưng nướu răng có tự hết không?
Để trả lời câu hỏi này, chúng ta cần xác định rõ nguyên nhân gây sưng. Về mặt y khoa, câu trả lời là: Có thể tự hết, nhưng đa số trường hợp là KHÔNG.
- Trường hợp có thể tự hết: Nếu nướu bị sưng do kích ứng nhẹ từ thức ăn (bị trầy xước do ăn đồ cứng) hoặc do vệ sinh kém tạm thời khiến thức ăn giắt vào kẽ răng. Khi bạn làm sạch vùng tổn thương và súc miệng nước muối đều đặn, nướu có thể phục hồi sau 2-3 ngày.
- Trường hợp KHÔNG thể tự hết: Nếu nguyên nhân xuất phát từ vi khuẩn tích tụ trong cao răng, viêm nha chu hoặc mọc răng khôn bị sưng má, tình trạng sưng nướu sẽ không bao giờ tự khỏi. Thậm chí, nếu không điều trị, cơn đau sẽ tái phát thường xuyên với mức độ trầm trọng hơn.


Dấu hiệu cảnh báo cần đi khám nha khoa ngay lập tức
Đừng đợi đến khi cơn đau trở nên quá sức chịu đựng. Hãy đến gặp bác sĩ ngay nếu bạn thấy các dấu hiệu sau:
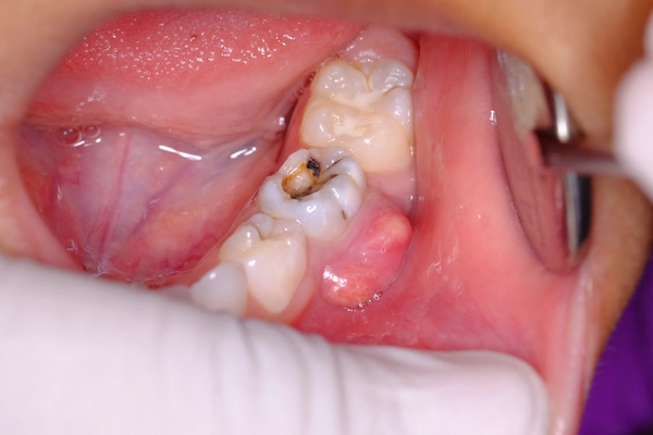
- Sưng nướu kèm mủ: Xuất hiện ổ mủ (áp xe) dưới nướu, gây đau nhức dữ dội.
- Chảy máu kéo dài: Tình trạng chảy máu chân răng diễn ra thường xuyên ngay cả khi không đánh răng.
- Đau nhức kèm sốt: Đây là dấu hiệu của sự nhiễm trùng lan rộng.
- Răng lung lay, hôi miệng nặng: Cảnh báo viêm nha chu đã tấn công vào xương ổ răng.

Cách giảm sưng nướu răng nhanh nhất tại nhà
Khi nướu bị sưng tấy, cảm giác đau nhức có thể lan lên đầu hoặc làm sưng cả vùng má. Trong thời gian chờ đợi đến phòng khám, bạn có thể áp dụng 4 mẹo “cứu cánh” sau đây để xoa dịu cơn đau:
Súc miệng với nước muối sinh lý hoặc nước muối ấm
Muối có tính sát khuẩn tự nhiên, giúp rút bớt dịch mủ và giảm áp lực lên mô nướu.
- Cách làm: Pha nửa thìa cà phê muối với 200ml nước ấm.
- Thực hiện: Súc miệng và ngậm trong khoảng 30 giây rồi nhổ bỏ. Lặp lại 2-3 lần/ngày sau khi ăn và trước khi đi ngủ.
Chườm lạnh từ bên ngoài má
Nếu nướu sưng to kèm theo sưng má, chườm lạnh là cách giảm đau nhanh nhất nhờ tác dụng làm co mạch máu và gây tê tạm thời.
- Cách làm: Dùng khăn sạch bọc vài viên đá lạnh, áp lên vùng má bị sưng khoảng 10-15 phút.
- Lưu ý: Không đắp trực tiếp đá lên nướu răng để tránh bị bỏng lạnh.
Sử dụng tinh dầu đinh hương hoặc tỏi giã nát
Đây là những “kháng sinh tự nhiên” cực mạnh có sẵn trong gian bếp:
- Tinh dầu đinh hương: Thấm một chút vào bông gòn rồi đặt lên vị trí nướu sưng. Hoạt chất Eugenol sẽ giúp giảm đau và diệt khuẩn cực tốt.
- Tỏi tươi: Giã nát một tép tỏi cùng vài hạt muối và đắp vào vùng nướu viêm. Tỏi chứa Allicin giúp ức chế vi khuẩn phát triển.
Điều chỉnh chế độ ăn uống và vệ sinh
Khi bị sưng nướu, việc điều chỉnh thói quen ăn uống và chăm sóc răng miệng đúng cách sẽ giúp giảm cảm giác đau nhức và hạn chế tình trạng viêm lan rộng.
- Về chế độ ăn uống, bạn nên ưu tiên các món ăn mềm, dễ nuốt như cháo, súp hoặc thức ăn nguội. Đồng thời, cần tránh các loại thực phẩm cay nóng, quá chua hoặc có kết cấu cứng vì chúng có thể kích thích nướu, khiến vùng sưng đau nghiêm trọng hơn.
- Về vệ sinh răng miệng, vẫn cần duy trì việc đánh răng đều đặn mỗi ngày nhưng nên sử dụng bàn chải lông siêu mềm để hạn chế tổn thương nướu. Tuyệt đối không dùng tăm xỉa răng vì có thể làm rách mô nướu và khiến vi khuẩn xâm nhập sâu hơn. Thay vào đó, bạn nên dùng chỉ nha khoa hoặc máy tăm nước để làm sạch kẽ răng một cách an toàn và hiệu quả hơn.
Các phương pháp điều trị sưng nướu răng nha khoa hiệu quả
Việc chăm sóc sưng nướu chuyên nghiệp tại nha khoa mang lại kết quả nhanh chóng và hiệu quả lâu dài. Các phương pháp phổ biến hiện nay bao gồm lấy cao răng, điều trị viêm nha chu, và phẫu thuật nếu cần thiết.
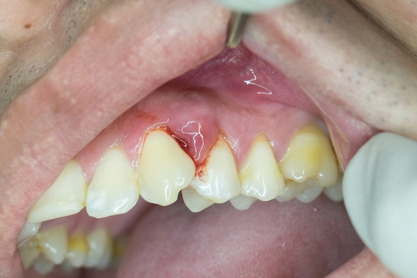
Lấy cao răng – làm sạch túi lợi
Lấy cao răng là bước cần thiết nhất trong điều trị sưng nướu, giúp loại bỏ mảng bám cứng chắc tích tụ lâu ngày dưới nướu. Quá trình này diễn ra nhanh, không gây đau hoặc khó chịu lớn, đặc biệt với công nghệ siêu âm hiện đại.

Việc lấy cao răng giúp giảm vi khuẩn, làm sạch bề mặt răng cũng như lớp mô mềm phía dưới, tạo điều kiện để nướu dần phục hồi. Đây là bước đầu tiên và quan trọng nhất để chấm dứt tình trạng sưng viêm, giúp tiêu diệt ổ vi khuẩn tồn tại trong khoang miệng.
Điều trị viêm nha chu
Khi bệnh nặng hơn, cần kết hợp các phương pháp điều trị viêm nha chu như cắt lợi, cạo vôi triệt để, hoặc dẫn đến các phương pháp phẫu thuật để làm sạch các ổ viêm sâu trong mô nướu. Các chuyên gia sẽ sử dụng thiết bị hiện đại để lấy sạch mảng bám, mủ, tổ chức hoại tử, giúp mô lợi nhanh chóng lành lại.
Việc điều trị đúng cách còn giúp ngăn ngừa mất xương, làm ổ viêm se lành, trả lại vẻ đẹp tự nhiên cho vùng nướu và duy trì khả năng ăn nhai của người bệnh.
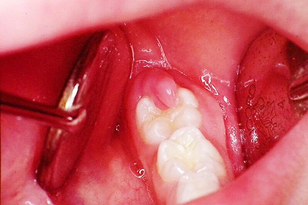
Nhổ răng khôn mọc lệch, mọc ngầm (nếu có)
Trong một số trường hợp, răng khôn mọc lệch, mọc ngầm, gây ra sưng tấy kéo dài, gây đau dữ dội, thậm chí gây viêm nhiễm lan rộng. Các bác sĩ thường chỉ định nhổ răng khôn trong các trường hợp này để tránh các biến chứng nặng hơn.

Quy trình nhổ răng khôn được thực hiện bằng các thiết bị hiện đại, đảm bảo an toàn, ít gây đau và hồi phục nhanh. Sau thủ thuật, bác sĩ sẽ hướng dẫn kỹ lưỡng cách chăm sóc vết thương, kiêng cử các hoạt động mạnh và sử dụng thuốc giảm đau, kháng sinh đúng chỉ định để kiểm soát sưng viêm.
Kết hợp thuốc kháng viêm và hướng dẫn chăm sóc từ bác sĩ
Sử dụng thuốc chống viêm không steroid như ibuprofen hoặc paracetamol giúp giảm đau, chống sưng nhanh rõ rệt. Ngoài ra, các dung dịch sát khuẩn như nước muối sinh lý, nước cốt trà xanh hoặc các loại gel điều trị đặc hiệu có thể giúp giảm viêm và tiêu diệt mầm bệnh.

Tuy nhiên, việc dùng thuốc cần có hướng dẫn của bác sĩ, không tự ý dùng quá liều hoặc kéo dài thời gian sử dụng. Đồng thời, cần duy trì vệ sinh răng miệng thường xuyên, tránh thức ăn cứng hoặc quá nóng lạnh, để giúp nướu nhanh lành hơn.
Cách phòng ngừa sưng nướu răng tái phát hiệu quả
Chìa khóa để duy trì răng miệng khỏe mạnh lâu dài là triệt tiêu các nguyên nhân gây bệnh ngay từ đầu. Thay vì lo lắng liệu sưng nướu răng có tự hết không, việc chủ động thực hiện các biện pháp dưới đây sẽ giúp bạn kiểm soát hoàn toàn sức khỏe nướu lợi của mình.
Vệ sinh răng miệng đúng cách mỗi ngày
Vệ sinh răng miệng đóng vai trò then chốt trong việc ngăn chặn vi khuẩn tích tụ. Để nướu luôn khỏe mạnh, bạn cần:
- Chải răng ít nhất 2 lần/ngày: Sử dụng bàn chải lông mềm để tránh làm tổn thương mô nướu.
- Kỹ thuật chải răng: Nghiêng bàn chải 45 độ, chải nhẹ nhàng theo chuyển động tròn hoặc chiều dọc, tuyệt đối không chải ngang.
- Làm sạch kẽ răng: Kết hợp dùng chỉ nha khoa hoặc máy tăm nước để loại bỏ mảng bám ở những vị trí mà bàn chải không chạm tới được.
- Thay bàn chải định kỳ: Nên thay bàn chải mới sau mỗi 3-4 tháng hoặc sau khi bị ốm.
Duy trì thói quen lấy cao răng định kỳ
Nhiều người thắc mắc sưng nướu răng có tự hết không khi thấy nướu sưng nhẹ, nhưng thực tế, nếu cao răng (vôi răng) vẫn còn tồn tại thì viêm nhiễm sẽ tái đi tái lại. Cao răng là nơi trú ngụ của hàng triệu vi khuẩn mà việc đánh răng thông thường không thể làm sạch.
Việc lấy cao răng định kỳ ít nhất 6 tháng/lần là cách tốt nhất để làm sạch sâu, giúp nướu bám chắc vào chân răng và ngăn ngừa viêm nha chu.
Xây dựng chế độ ăn uống lành mạnh
Dinh dưỡng không chỉ nuôi cơ thể mà còn ảnh hưởng trực tiếp đến sức đề kháng của nướu:
- Bổ sung Vitamin C và Canxi: Có nhiều trong rau xanh, cam, bưởi, sữa… giúp củng cố hệ miễn dịch và hỗ trợ làm lành tổn thương nướu nhanh chóng.
- Hạn chế đồ ngọt và axit: Đường và nước có ga là “thức ăn” ưa thích của vi khuẩn gây mảng bám.
- Uống đủ nước: Giúp duy trì độ ẩm trong khoang miệng, trung hòa axit và cuốn trôi vụn thức ăn.
Tái khám định kỳ tại Nha khoa Sài Gòn Phong Phú
Đừng đợi đến khi đau nhức mới tìm đến bác sĩ. Khám răng định kỳ tại Nha khoa Sài Gòn Phong Phú giúp bạn:
- Phát hiện sớm các dấu hiệu viêm nướu, sâu răng tiềm ẩn.
- Được bác sĩ tư vấn quy trình chăm sóc răng miệng cá nhân hóa.
- Kiểm soát mảng bám toàn diện, đảm bảo nụ cười luôn tự tin và hơi thở thơm mát.
Việc duy trì thói quen thăm khám thường xuyên không chỉ giúp bạn trả lời thỏa đáng câu hỏi sưng nướu răng có tự hết không mà còn giúp bạn tiết kiệm chi phí điều trị các biến chứng nặng sau này.
Giải pháp điều trị triệt để tại Nha khoa Sài Gòn Phong Phú
Tại Nha khoa Sài Gòn Phong Phú, chúng tôi áp dụng phác đồ điều trị cá nhân hóa để giúp bạn chấm dứt cơn đau nhanh chóng và ngăn ngừa tái phát:
- Cạo vôi răng chuẩn y khoa: Việc lấy cao răng bằng công nghệ siêu âm giúp loại bỏ sạch vi khuẩn – nguồn gốc gây viêm nướu – mà không gây đau buốt.
- Liệu trình cân bằng vi khuẩn: Sử dụng các hoạt chất chuyên dụng để tiêu diệt vi khuẩn có hại, phục hồi hệ vi sinh khỏe mạnh cho nướu.
- Điều trị khoảng sinh học: Áp dụng cho các trường hợp viêm nặng, giúp bảo tồn răng thật và ngăn chặn nguy cơ mất răng.

Bảng giá tham khảo dịch vụ điều trị nướu:
| Dịch vụ | Chi phí |
| Cạo vôi răng (Cấp độ I – III) | 150.000 – 400.000 VNĐ |
| Điều trị viêm nướu | 800.000 – 1.800.000 VNĐ |
| Điều trị khoảng sinh học | 30.000.000 VNĐ/hàm |
Sưng nướu răng không chỉ là một cơn đau thông thường, đó là tiếng chuông cảnh báo sức khỏe răng miệng đang xuống cấp. Việc chủ quan đợi nướu tự hết sưng có thể dẫn đến viêm nha chu mãn tính, thậm chí là mất răng hàng loạt.
Đừng để những lo lắng cản trở bạn nụ cười tự tin. Hãy để đội ngũ bác sĩ tâm huyết tại Nha khoa Sài Gòn Phong Phú giúp bạn chăm sóc sức khỏe răng miệng một cách tốt nhất.
Liên hệ ngay với chúng tôi để được thăm khám và tư vấn miễn phí!
Nha khoa Sài Gòn Phong Phú:
- Địa chỉ: 1789 Quốc Lộ 50, xã Phong Phú, Bình Chánh, TP.HCM
- Hotline: 0917 91 93 98
Sưng nướu răng có tự hết không phụ thuộc vào nguyên nhân và mức độ viêm. Ở trường hợp nhẹ, nướu có thể tự hồi phục, nhưng nếu nặng cần can thiệp y khoa. Việc phát hiện sớm, vệ sinh răng miệng đúng cách, ăn uống lành mạnh, lấy cao răng và khám định kỳ tại nha khoa uy tín giúp phòng ngừa biến chứng. Chăm sóc kịp thời bảo vệ hàm răng khỏe mạnh, nụ cười tươi sáng và tự tin lâu dài.