Chân răng bị đen không chỉ là một khiếm khuyết về thẩm mỹ khiến bạn ngại ngùng khi giao tiếp mà còn là dấu hiệu cảnh báo các bệnh lý răng miệng nguy hiểm. Nếu không được can thiệp kịp thời, tình trạng này có thể dẫn đến viêm nha chu, hôi miệng dai dẳng hoặc thậm chí là mất răng vĩnh viễn.
Tại Nha khoa Sài Gòn Phong Phú, chúng tôi thấu hiểu nỗi lo lắng của bạn. Bài viết dưới đây được tham vấn chuyên môn bởi các bác sĩ tại phòng khám, giúp bạn hiểu rõ “tất tần tật” về nguyên nhân và cách khắc phục dứt điểm tình trạng đen chân răng chuẩn y khoa.
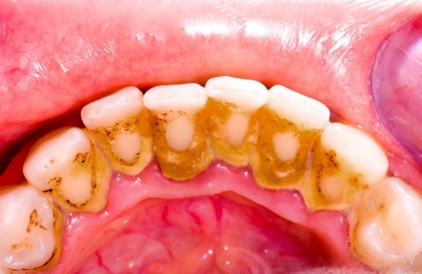
Các giai đoạn tiến triển của tình trạng chân răng bị đen
Tình trạng chân răng bị đen không xảy ra tức thì mà thường là kết quả của một quá trình tích tụ vi khuẩn và khoáng hóa mảng bám kéo dài. Việc nhận biết sớm các dấu hiệu qua từng giai đoạn sẽ giúp bạn tiết kiệm chi phí và bảo vệ răng gốc tối đa.
Giai đoạn 1: Chớm đen (Mức độ nhẹ)
Ở giai đoạn khởi phát, các dấu hiệu thường khá mờ nhạt và dễ bị bỏ qua nếu không quan sát kỹ:
- Biểu hiện: Xuất hiện các lấm chấm đen nhỏ li ti hoặc một đường viền mảnh có màu xám nhạt nằm sát nướu.
- Cảm giác: Hoàn toàn không đau nhức hay ê buốt.
- Tình trạng: Đây thường là các mảng bám thực phẩm hoặc cao răng mới hình thành, chưa tấn công sâu vào men răng.
Giai đoạn 2: Hình thành mảng bám đen (Mức độ trung bình)
Lúc này, các sắc tố đen đã bắt đầu bám chắc và lan rộng hơn:
- Biểu hiện: Vết đen lan rộng ra mặt trong của răng và các kẽ răng. Màu sắc chuyển từ xám nhạt sang đen thẫm.
- Dấu hiệu kèm theo: Hơi thở bắt đầu có mùi hôi nhẹ dù bạn đã vệ sinh răng miệng kỹ. Nướu có thể hơi đỏ hơn bình thường do phản ứng với vi khuẩn trong cao răng.
- Tình trạng: Cao răng đen (vôi răng huyết thanh) đã hình thành, bàn chải thông thường không thể làm sạch.

Giai đoạn 3: Tổn thương cấu trúc & Bệnh lý (Mức độ nặng)
Đây là giai đoạn báo động, nếu không điều trị ngay sẽ dẫn đến nguy cơ mất răng:
- Biểu hiện: Chân răng có dấu hiệu mòn khuyết (mòn cổ răng), xuất hiện các lỗ sâu răng màu đen rõ rệt và lõm sâu vào ngà răng.
- Triệu chứng lâm sàng:
- Nướu sưng đỏ, dễ chảy máu khi đánh răng hoặc dùng chỉ nha khoa.
- Xuất hiện những cơn ê buốt từ âm ỉ đến dữ dội khi tiếp xúc với thức ăn quá nóng, lạnh hoặc chua.
- Tình trạng: Vi khuẩn đã tấn công sâu vào cấu trúc răng, gây viêm nướu hoặc viêm nha chu nghiêm trọng.
Lời khuyên từ Bác sĩ: Nếu bạn nhận thấy mình đang ở Giai đoạn 2 hoặc 3, hãy đến ngay nha khoa để được thăm khám. Việc tự ý cạo các vết đen tại nhà bằng vật cứng có thể làm hỏng men răng và khiến tình trạng trầm trọng hơn.
Nguyên nhân khiến chân răng bị đen phổ biến nhất
Để điều trị dứt điểm và ngăn ngừa tái phát, việc xác định đúng “gốc rễ” vấn đề là yếu tố tiên quyết. Theo các bác sĩ tại Nha khoa Sài Gòn Phong Phú, tình trạng chân răng bị đen thường xuất phát từ 5 nhóm nguyên nhân chính sau:

Cao răng (Vôi răng) huyết thanh tích tụ lâu ngày
Đây là nguyên nhân phổ biến nhất, chiếm đến 80% các ca thăm khám. Mảng bám thức ăn nếu không được làm sạch sẽ bị vôi hóa bởi khoáng chất trong nước bọt tạo thành cao răng.
- Cơ chế: Khi cao răng tồn tại lâu ngày dưới nướu, nó gây viêm nướu, chảy máu. Sắc tố trong máu bám vào cao răng tạo thành màu nâu đen (gọi là cao răng huyết thanh).
- Vị trí: Thường gây ra hiện tượng răng bị đen ở mặt trong hoặc dọc theo viền nướu.
Sâu răng tiến triển vùng cổ răng
Cổ răng là khu vực nhạy cảm nhất vì có lớp men răng rất mỏng. Khi vi khuẩn tấn công, quá trình khử khoáng diễn ra nhanh chóng tạo thành các lỗ sâu.
- Biểu hiện: Mô răng bị hoại tử chuyển sang màu đen xám, thường kèm theo cảm giác ê buốt.
- Giải pháp: Nếu phát hiện sớm, bác sĩ sẽ chỉ định trám răng thẩm mỹ để ngăn chặn vi khuẩn xâm nhập vào tủy răng.

Phản ứng oxy hóa của răng sứ kim loại cũ
Nhiều khách hàng sau 3 – 5 năm sử dụng các dòng răng sứ có khung sườn kim loại (như răng sứ Titan hoặc sứ thường) hay gặp tình trạng đen viền nướu.
- Nguyên nhân: Dưới tác động của axit trong khoang miệng, phần khung sườn kim loại bị oxy hóa, làm thâm nướu và chân răng bọc sứ.
- Lời khuyên: Để khắc phục triệt để, bạn nên cân nhắc thay thế bằng các dòng răng sứ Zirconia hoặc sứ toàn khối để đảm bảo tính thẩm mỹ lâu dài và an toàn cho nướu.
Tác động từ hắc tố trong thói quen sinh hoạt
Việc thường xuyên nạp các thực phẩm có màu hoặc sử dụng chất kích thích là tác nhân trực tiếp khiến chân răng xỉn màu:
- Hút thuốc lá: Nhựa thuốc lá (nicotine) tạo thành lớp màng bám đen cực kỳ cứng đầu tại cổ răng.
- Thực phẩm màu: Trà, cà phê, rượu vang đỏ hoặc các loại nước ngọt có gas.
- Thuốc kháng sinh: Một số loại thuốc nếu sử dụng lâu ngày có thể gây nhiễm màu từ bên trong cấu trúc ngà răng.
Hiện tượng mòn cổ răng (Mòn ngót chân răng)
Việc sử dụng bàn chải quá cứng hoặc chải răng theo chiều ngang với lực quá mạnh sẽ làm mòn lớp men ở cổ răng.
- Hệ quả: Khi men răng mất đi, lớp ngà răng bên trong bị lộ ra. Ngà răng có đặc tính xốp và dễ hấp thụ sắc tố từ thực phẩm, khiến vùng chân răng trông như bị đen hoặc nâu sậm.
- Nguy cơ: Tình trạng này không chỉ gây mất thẩm mỹ mà còn khiến răng cực kỳ ê buốt khi ăn uống.
Đen chân răng không thể tự hết bằng cách đánh răng thông thường. Bạn cần được thăm khám tại cơ sở nha khoa uy tín để xác định chính xác nguyên nhân và có phác đồ điều trị phù hợp nhất.
Chân răng bị đen có nguy hiểm không?
Nhiều người thường lầm tưởng chân răng bị đen chỉ là vấn đề thẩm mỹ đơn thuần. Tuy nhiên, dưới góc độ y khoa, đây là “vạch xuất phát” của hàng loạt biến chứng nghiêm trọng ảnh hưởng đến sức khỏe toàn thân.

Nếu bạn đang thắc mắc liệu tình trạng này có nguy hiểm không, hãy xem xét 4 hệ lụy trực tiếp sau đây:
Phá hủy thẩm mỹ và rào cản tâm lý
Vết đen ở chân răng, đặc biệt là ở vùng răng cửa, tạo cảm giác răng bị “bẩn” hoặc thiếu vệ sinh.
- Hệ quả: Người bệnh trở nên tự ti, ngại cười, thường xuyên lấy tay che miệng khi giao tiếp.
- Tác động: Điều này ảnh hưởng trực tiếp đến các mối quan hệ xã hội và cơ hội trong công việc.
“Ổ” vi khuẩn gây bệnh lý nha chu diện rộng
Các vết đen (thường là cao răng đen hoặc lỗ sâu) chính là nơi trú ngụ lý tưởng của hàng tỷ vi khuẩn có hại.
- Viêm nướu & Tụt lợi: Vi khuẩn tấn công khiến nướu sưng đỏ, dễ chảy máu. Khi nướu bị viêm nhiễm lâu ngày sẽ có xu hướng tách rời khỏi chân răng (tụt lợi), làm lộ ra phần chân răng nhạy cảm và khiến tình trạng đen chân răng càng lan rộng hơn.
- Viêm nha chu: Đây là giai đoạn nặng hơn, vi khuẩn tấn công sâu vào các tổ chức quanh răng.
Hôi miệng dai dẳng (Halitosis)
Vi khuẩn trú ngụ tại vùng chân răng bị đen sẽ phân hủy các protein trong mảng bám thức ăn, giải phóng các hợp chất lưu huỳnh có mùi hôi nồng nặc.
Lưu ý: Tình trạng hôi miệng do cao răng đen hoặc sâu răng thường không thể giải quyết triệt để bằng cách đánh răng hay dùng nước súc miệng thông thường mà cần phải được can thiệp chuyên khoa.
Nguy cơ tiêu xương và mất răng vĩnh viễn
Đây là mối nguy hiểm lớn nhất. Khi tình trạng viêm nhiễm không được kiểm soát:
- Vi khuẩn xâm nhập vào dây chằng nha chu và xương ổ răng.
- Tiêu xương hàm: Xương ổ răng bị tiêu biến dần, không còn điểm tựa vững chắc cho chân răng.
- Mất răng: Răng sẽ bắt đầu lung lay (như răng sữa) và cuối cùng là bị rụng hoặc buộc phải nhổ bỏ để tránh lây lan nhiễm trùng sang các răng kế cận.
Cảnh báo từ bác sĩ Nha khoa Sài Gòn Phong Phú: Chân răng bị đen do sâu răng nếu không được xử lý sớm có thể dẫn đến viêm tủy cấp. Khi đó, chi phí điều trị sẽ cao hơn gấp nhiều lần so với việc thực hiện một ca trám răng đơn giản ở giai đoạn đầu.
Cách điều trị chân răng bị đen hiệu quả tại Nha khoa Sài Gòn Phong Phú
Tại Nha khoa Sài Gòn Phong Phú, chúng tôi không áp dụng một phương pháp duy nhất cho mọi khách hàng. Dựa trên kết quả thăm khám và chụp X-quang, bác sĩ sẽ chỉ định giải pháp tối ưu nhằm xử lý tận gốc tác nhân gây đen chân răng, bảo tồn tối đa răng thật:

Cạo vôi răng bằng công nghệ siêu âm
Với các vết đen do cao răng (vôi răng) tích tụ, đây là giải pháp nhanh chóng và tiết kiệm nhất.
- Công nghệ: Sử dụng đầu rung siêu âm siêu nhỏ để bóc tách mảng bám đen cứng đầu ở kẽ răng và dưới nướu.
- Ưu điểm: Hoàn toàn không xâm lấn men răng, không gây đau buốt hay chảy máu. Chỉ sau 15 – 20 phút, chân răng sẽ sạch bóng và hơi thở thơm mát hơn.
Trám răng thẩm mỹ Composite
Phương pháp này dành riêng cho trường hợp chân răng bị đen do sâu răng hoặc mòn cổ răng.
- Kỹ thuật: Bác sĩ tiến hành nạo sạch các mô răng bị hoại tử (vết sâu đen) để ngăn vi khuẩn lây lan. sau đó, sử dụng vật liệu Composite cao cấp để lấp đầy khoảng trống.
- Hiệu quả: Composite có màu sắc tương đồng 99% với răng thật, giúp phục hồi hình dáng răng ban đầu và ngăn ngừa ê buốt.
- Lưu ý chuyên gia: Nhiều khách hàng thường thắc mắc trám răng xong bao lâu thì ăn được?. Thông thường, với công nghệ chiếu đèn Halogen tại phòng khám, bạn chỉ cần kiêng ăn uống trong khoảng 2 giờ đầu để vết trám đạt độ cứng ổn định nhất.
Bọc răng toàn sứ – Giải pháp dứt điểm đen viền nướu
Đây là lựa chọn tối ưu cho những khách hàng bị đen chân răng do oxy hóa khung sườn kim loại của răng sứ cũ, hoặc răng bị nhiễm màu nặng.
- Giải pháp: Thay thế mão sứ cũ bằng các dòng răng sứ Zirconia hoặc Cercon HT.
- Ưu điểm vượt trội: Răng toàn sứ không chứa kim loại, nên hoàn toàn không bị oxy hóa trong môi trường miệng. Điều này giúp loại bỏ vĩnh viễn đường viền đen ở cổ răng, mang lại vẻ đẹp tự nhiên và bền bỉ trên 15 năm.
- Dịch vụ liên quan: Tìm hiểu thêm về quy trình bọc răng sứ thẩm mỹ chuẩn y khoa của chúng tôi.
Tẩy trắng răng công nghệ ánh sáng hiện đại
Đối với tình trạng chân răng bị xỉn màu, ố vàng do hắc tố từ thực phẩm (trà, cà phê) hoặc thuốc lá:
- Cơ chế: Sử dụng thuốc tẩy trắng chuyên dụng kết hợp với ánh sáng xanh Plasma để cắt đứt các liên kết protein gây màu.
- Kết quả: Răng trắng sáng bật tông ngay sau 45 phút thực hiện, không gây mòn men nếu được thực hiện dưới sự kiểm soát của bác sĩ.
Bảng giá điều trị chân răng bị đen mới nhất
Một trong những vấn đề khách hàng quan tâm hàng đầu là chi phí điều trị chân răng bị đen. Tại Nha khoa Sài Gòn Phong Phú, chúng tôi cam kết mang đến dịch vụ chuẩn y khoa với mức giá hợp lý, công khai và không phát sinh chi phí ẩn.
Tùy thuộc vào nguyên nhân (do cao răng, sâu răng hay răng sứ cũ) mà mức giá sẽ có sự chênh lệch. Dưới đây là bảng giá chi tiết niêm yết mới nhất:
Bảng giá dịch vụ xử lý đen chân răng tại Bình Chánh:
| STT | Dịch vụ điều trị | Đơn vị | Chi phí (VNĐ) |
| 1 | Cạo vôi răng & Đánh bóng (Cấp độ 1) | 2 Hàm | 200.000 |
| 2 | Cạo vôi răng & Đánh bóng (Cấp độ 2 – Vôi đen) | 2 Hàm | 400.000 |
| 3 | Trám răng thẩm mỹ (Sâu răng/Mòn cổ) | 1 Răng | 300.000 – 500.000 |
| 4 | Răng sứ toàn sứ Zirconia (Không đen viền) | 1 Răng | 2.500.000 |
| 5 | Răng sứ Cercon HT cao cấp (Chống oxy hóa) | 1 Răng | 4.500.000 |
Để giúp bạn có lựa chọn phù hợp nhất với ngân sách và tình trạng răng miệng, bác sĩ giải thích cụ thể như sau:
- Chi phí lấy cao răng đen: Nếu bạn bị đen chân răng do mảng bám (cao răng huyết thanh), chi phí dao động từ 200.000đ – 400.000đ. Chúng tôi sử dụng công nghệ siêu âm hiện đại giúp loại bỏ hắc tố bám sâu dưới nướu mà không gây đau buốt.
- Chi phí trám răng sâu/mòn cổ: Với các vết đen do sâu răng hoặc khuyết cổ răng, phương pháp trám răng thẩm mỹ là giải pháp tối ưu. Mức giá từ 300.000đ/răng giúp bạn phục hồi nguyên vẹn màu sắc và hình dáng răng ban đầu, ngăn chặn vi khuẩn tấn công tủy.
- Chi phí thay răng sứ toàn sứ: Đây là giải pháp cho trường hợp đen chân răng do oxy hóa kim loại.
- Răng sứ Zirconia: Mức giá 2.500.000đ/răng là lựa chọn “quốc dân” nhờ độ bền cao và tính thẩm mỹ tuyệt đối, cam kết không bao giờ bị đen viền nướu trở lại.
- Răng sứ Cercon HT: Dòng sứ cao cấp nhất giúp răng có độ trong mờ tự nhiên như răng thật, phù hợp cho vùng răng cửa bị đen chân.
Quy trình điều trị chân răng bị đen an toàn tại Nha khoa Sài Gòn Phong Phú
Tại Nha khoa Sài Gòn Phong Phú, sự an toàn và hiệu quả của khách hàng luôn được đặt lên hàng đầu. Chúng tôi nghiêm túc thực hiện quy trình điều trị khép kín, tuân thủ nghiêm ngặt các tiêu chuẩn vô trùng của Bộ Y tế nhằm loại bỏ hoàn toàn tình trạng chân răng bị đen mà không gây xâm lấn hay lây nhiễm chéo.
Bước 1: Thăm khám lâm sàng và chụp X-quang kỹ thuật số
Đây là bước quan trọng nhất để xác định “gốc rễ” của vấn đề.
- Thực hiện: Bác sĩ sẽ kiểm tra tổng quát khoang miệng và chỉ định chụp X-quang tại chỗ nếu cần thiết.
- Mục đích: Xác định chính xác vết đen là do cao răng huyết thanh, sâu răng chớm tủy hay do mòn cổ răng. Từ đó, bác sĩ sẽ tư vấn phác đồ điều trị tiết kiệm và hiệu quả nhất cho khách hàng.
Bước 2: Vệ sinh khoang miệng và sát khuẩn vô trùng
Để đảm bảo môi trường điều trị an toàn tuyệt đối, bác sĩ tiến hành vệ sinh sạch sẽ khoang miệng.
- Thực hiện: Loại bỏ mảng bám mềm và súc miệng bằng dung dịch sát khuẩn chuyên dụng.
- Cam kết: Toàn bộ dụng cụ nha khoa đều được tiệt trùng bằng máy hấp AutoClave ở nhiệt độ cao, đảm bảo mỗi khách hàng là một bộ dụng cụ riêng biệt.
Bước 3: Tiến hành điều trị chuyên sâu theo phác đồ
Tùy vào tình trạng đã chẩn đoán ở Bước 1, bác sĩ sẽ thực hiện kỹ thuật phù hợp:
- Nếu do cao răng: Sử dụng máy lấy cao răng siêu âm Ultrasonic để làm sạch nhẹ nhàng vùng chân răng và dưới nướu.
- Nếu do sâu răng/mòn cổ: Thực hiện nạo sạch mô bệnh và tiến hành trám răng thẩm mỹ bằng Composite.
- Nếu do sứ cũ bị đen viền: Tiến hành mài răng nhẹ nhàng và lấy dấu để thay thế bằng răng sứ Zirconia không kim loại.
Bước 4: Đánh bóng răng và dặn dò sau điều trị
Sau khi loại bỏ vết đen, bác sĩ sẽ tiến hành đánh bóng bề mặt răng bằng chổi và bột đánh bóng chuyên dụng.
- Tác dụng: Giúp bề mặt răng nhẵn mịn, ngăn chặn hắc tố từ thực phẩm và vi khuẩn tái bám dính vào chân răng.
- Hướng dẫn: Cuối cùng, bác sĩ sẽ hướng dẫn cách chải răng đúng kỹ thuật, cách dùng chỉ nha khoa và lịch hẹn tái khám định kỳ để duy trì nụ cười trắng sáng.
Những lưu ý sau khi điều trị chân răng bị đen
Để kết quả điều trị duy trì được lâu dài, các bác sĩ tại Nha khoa Sài Gòn Phong Phú khuyên bạn:
- Trong 2 giờ đầu: Hạn chế ăn uống quá nóng hoặc quá lạnh (đặc biệt sau khi trám răng).
- Về thực phẩm: Giảm thiểu các đồ uống đậm màu như trà, cà phê, nước ngọt có gas để tránh răng bị nhiễm màu lại.
- Về thói quen: Không nên chải răng quá mạnh theo chiều ngang; thay vào đó, hãy chải nhẹ nhàng theo chiều dọc hoặc vòng tròn.
- Kiểm tra định kỳ: Nên đến nha khoa mỗi 6 tháng để lấy cao răng và kiểm tra sức khỏe răng miệng tổng quát.
Cách phòng ngừa chân răng bị đen tại nhà
“Phòng bệnh hơn chữa bệnh” luôn là nguyên tắc vàng trong nha khoa. Để ngăn chặn các vết đen không thẩm mỹ quay trở lại sau điều trị, hoặc để bảo vệ hàm răng gốc luôn chắc khỏe, các bác sĩ tại Nha khoa Sài Gòn Phong Phú khuyến nghị bạn thực hiện 4 lưu ý quan trọng sau:
Thiết lập quy trình vệ sinh răng miệng chuẩn y khoa
Chải răng thôi là chưa đủ, bạn cần thực hiện đúng kỹ thuật để loại bỏ mảng bám ở những vùng khuất:
- Kỹ thuật chải răng: Sử dụng bàn chải lông mềm, đặt nghiêng một góc 45 độ so với nướu. Chải nhẹ nhàng theo vòng tròn hoặc chiều dọc, tuyệt đối không chải ngang quá mạnh để tránh gây mòn cổ răng.
- Công cụ hỗ trợ: Sử dụng chỉ nha khoa hoặc máy tăm nước để làm sạch kẽ răng ít nhất 1 lần/ngày.
- Sát khuẩn: Kết hợp nước súc miệng chứa Flour để tái khoáng men răng, giúp răng chống lại sự tấn công của axit và vi khuẩn gây sâu răng.

Kiểm soát chế độ ăn uống và thói quen sinh hoạt
Các sắc tố đen thường đến từ những gì chúng ta nạp vào cơ thể hàng ngày:
- Hạn chế thực phẩm đậm màu: Bớt tiêu thụ trà, cà phê, nước tăng lực hoặc nước ngọt có gas. Nếu sử dụng, bạn nên dùng ống hút và súc miệng bằng nước lọc ngay sau đó.
- Nói không với thuốc lá: Nicotine không chỉ làm đen chân răng mà còn là nguyên nhân hàng đầu gây viêm nha chu và ung thư khoang miệng.
- Bổ sung thực phẩm giàu chất xơ: Ăn nhiều rau xanh, táo, cà rốt giúp làm sạch mảng bám trên bề mặt răng một cách tự nhiên trong quá trình nhai.
Tuân thủ lịch lấy cao răng định kỳ
Ngay cả khi bạn vệ sinh rất kỹ, vẫn có khoảng 20-30% mảng bám tồn đọng ở những vị trí khó tiếp cận, lâu ngày sẽ vôi hóa thành cao răng.
- Tần suất: Nên đến nha khoa mỗi 6 tháng/lần để thực hiện lấy cao răng bằng máy siêu âm.
- Lợi ích: Việc này giúp loại bỏ sớm các mầm mống gây đen chân răng và phát hiện sớm các lỗ sâu li ti để thực hiện trám răng thẩm mỹ kịp thời.
Giám sát tình trạng răng sứ cũ (Nếu có)
Nếu bạn đang sở hữu những chiếc răng sứ kim loại đã làm từ nhiều năm trước:
- Kiểm tra định kỳ: Hãy chú ý quan sát viền nướu. Nếu thấy xuất hiện đường viền xám đen hoặc nướu bị thâm, đó là dấu hiệu khung sườn kim loại đã bị oxy hóa.
- Giải pháp: Trong trường hợp này, bác sĩ thường khuyên bạn nên chủ động thay thế bằng răng sứ Zirconia để bảo vệ cùi răng thật bên trong và lấy lại thẩm mỹ tuyệt đối.
Tại sao bạn nên xử lý chân răng bị đen tại Nha khoa Sài Gòn Phong Phú?
Việc điều trị các vấn đề răng miệng, dù là đơn giản như lấy cao răng hay phức tạp như bọc sứ, đều đòi hỏi sự chính xác tuyệt đối để tránh các biến chứng như viêm nhiễm hoặc hỏng răng thật. Khách hàng tại Bình Chánh và các khu vực lân cận luôn tin tưởng lựa chọn Nha khoa Sài Gòn Phong Phú bởi 4 giá trị cốt lõi sau:
Đội ngũ Bác sĩ chuyên môn cao và tâm huyết
Tại đây, bạn sẽ được trực tiếp thăm khám và điều trị bởi các bác sĩ có nhiều năm kinh nghiệm lâm sàng.
- Tư vấn chuẩn xác: Bác sĩ luôn lắng nghe và phân tích kỹ lưỡng tình trạng răng miệng để đề xuất phương pháp điều trị phù hợp nhất, ưu tiên bảo tồn răng thật tối đa.
- Tiết kiệm chi phí: Chúng tôi cam kết đưa ra giải pháp hiệu quả với mức chi phí tối ưu, phù hợp với điều kiện kinh tế của mọi khách hàng mà vẫn đảm bảo kết quả y khoa tốt nhất.
Hệ thống trang thiết bị và công nghệ hiện đại
Chúng tôi không ngừng đầu tư vào công nghệ để mang lại trải nghiệm điều trị nhẹ nhàng, không đau đớn:
- Máy siêu âm Ultrasonic: Loại bỏ sạch bóng các vết đen chân răng do vôi răng huyết thanh một cách êm ái, không gây tổn thương nướu.
- Đèn trám Halogen/LED thế hệ mới: Giúp vật liệu trám răng thẩm mỹ đông cứng nhanh chóng, bền màu và chịu lực tốt.
- Hệ thống chẩn đoán hình ảnh X-quang: Giúp bác sĩ nhìn thấu cấu trúc răng, phát hiện sớm các ổ sâu răng ẩn nấp dưới chân răng.
Sử dụng vật liệu nha khoa chính hãng 100%
Sức khỏe của khách hàng là tài sản quý giá nhất. Vì vậy, mọi vật liệu sử dụng tại phòng khám đều:
- Nguồn gốc rõ ràng: Từ Composite trám răng đến các dòng răng sứ Zirconia, Cercon đều được nhập khẩu chính ngạch, có chứng nhận an toàn y tế.
- Chế độ bảo hành: Khách hàng thực hiện bọc răng sứ sẽ được cấp thẻ bảo hành chính hãng, đảm bảo quyền lợi lâu dài.
Chi phí minh bạch – Không phát sinh
Thấu hiểu nỗi lo về tài chính của người bệnh, Nha khoa Sài Gòn Phong Phú luôn thực hiện chính sách:
- Niêm yết công khai: Toàn bộ bảng giá dịch vụ được công bố rõ ràng tại phòng khám và trên website.
- Cam kết không phát sinh: Sau khi bác sĩ đã tư vấn và thống nhất mức phí, khách hàng sẽ không phải trả thêm bất kỳ khoản chi phí “ẩn” nào trong suốt quá trình điều trị.
Đừng để những vết đen chân răng cản trở nụ cười của bạn! Liên hệ ngay hotline 0917 91 93 98 để được các bác sĩ tại Nha khoa Sài Gòn Phong Phú tư vấn và đặt lịch thăm khám miễn phí ngay hôm nay.
Liên hệ ngay để nhận ưu đãi thăm khám miễn phí:
- Địa chỉ: 1789 Quốc Lộ 50, xã Phong Phú, Bình Chánh, Tp.HCM
- Hotline: 0917 91 93 98
- Website: nhakhoasaigonsmile.com
Những câu hỏi thường gặp
Chân răng bị đen có tự hết tại nhà được không?
Các vết đen do cao răng hoặc sâu răng rất cứng đầu, các mẹo dân gian như dùng chanh hay baking soda thường không có tác dụng triệt để, thậm chí làm mòn men răng. Bạn nên đến nha khoa để được xử lý chuyên sâu.
Lấy cao răng đen có đau không?
Với công nghệ máy siêu âm hiện nay, việc lấy cao răng diễn ra rất nhẹ nhàng, chỉ có cảm giác hơi tê nhẹ đối với những người có răng quá nhạy cảm.
Chân răng bị đen là vấn đề cần được xử lý sớm để bảo vệ sức khỏe răng miệng và sự tự tin của bạn. Nếu bạn đang gặp tình trạng này, hãy để đội ngũ bác sĩ giàu kinh nghiệm tại Nha khoa Sài Gòn Phong Phú giúp bạn.