Đau chân răng không chỉ là cảm giác khó chịu nhất thời mà thường là “tiếng chuông cảnh báo” cho các bệnh lý răng miệng nguy hiểm. Nếu không được xử lý kịp thời, tình trạng này có thể dẫn đến mất răng vĩnh viễn hoặc nhiễm trùng máu. Bài viết dưới đây từ chuyên gia Nha khoa Sài Gòn Phong Phú sẽ giúp bạn nhận diện chính xác nguyên nhân và tìm ra giải pháp điều trị dứt điểm.
Đau chân răng là dấu hiệu bệnh gì?
Đau chân răng (hay đau nướu, đau vùng quanh răng) là tình trạng các mô mềm và dây thần kinh xung quanh răng bị kích ứng hoặc tổn thương. Cơn đau có thể xuất hiện đột ngột khi ăn uống hoặc đau âm ỉ kéo dài cả ngày lẫn đêm.
Theo các bác sĩ tại Nha khoa Sài Gòn Phong Phú, việc tự ý mua thuốc giảm đau tại nhà chỉ là giải pháp tạm thời. Để điều trị hiệu quả nhất, cần xác định đúng nguyên nhân thông qua thăm khám lâm sàng và chụp X-quang.

Các triệu chứng đau chân răng thường gặp
Tùy vào tình trạng bệnh lý, cơn đau chân răng sẽ đi kèm với các biểu hiện khác nhau:
- Đau nhức âm ỉ hoặc buốt nhói: Cơn đau có thể tăng lên khi tiếp xúc với thức ăn nóng, lạnh hoặc khi bạn nằm xuống vào ban đêm.
- Sưng nướu, chảy máu chân răng: Vùng nướu quanh chân răng bị đỏ mọng, sưng tấy và dễ chảy máu khi chải răng hoặc dùng chỉ nha khoa.
- Hôi miệng, đau khi ăn nhai: Vi khuẩn tích tụ gây mùi hôi khó chịu. Khi nhai, áp lực dồn lên chân răng khiến cơn đau trở nên dữ dội hơn.
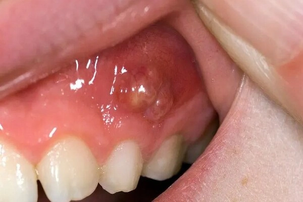
- Xuất hiện mủ: Ở những trường hợp nặng, bạn có thể thấy các nốt mụn mủ trắng ở nướu, ấn vào thấy dịch chảy ra.
Nguyên nhân gây đau chân răng là gì?
Có nhiều nguyên nhân gây đau chân răng, từ bệnh lý răng miệng như sâu răng, viêm tủy, viêm nha chu, áp xe đến thói quen sinh hoạt hoặc tác nhân ngoại cảnh. Hiểu rõ nguyên nhân giúp xác định phương pháp điều trị và phòng ngừa hiệu quả, bảo vệ sức khỏe răng miệng lâu dài.
Sâu răng lan xuống chân răng
Đau chân răng thường xuất phát từ sâu răng, đặc biệt khi tình trạng tiến triển nặng. Vi khuẩn tấn công men răng, lan xuống ngà răng và chân răng, gây viêm, sưng và đau dữ dội. Quá trình này diễn ra âm thầm, nhiều người chỉ nhận ra khi chân răng đã tổn thương, dây chằng quanh răng suy yếu, răng lung lay. Xử lý kịp thời là cần thiết để ngăn ngừa mất răng và các biến chứng nghiêm trọng.

Viêm tủy răng gây đau buốt lan tỏa
Đau chân răng thường xuất hiện khi tủy răng bị viêm do sâu răng hoặc chấn thương. Viêm tủy gây cảm giác đau buốt dữ dội, đặc biệt khi ăn thức ăn cứng, nóng hoặc lạnh, hoặc khi nằm xuống. Tình trạng này không chỉ gây đau nhói tại chân răng mà còn ảnh hưởng mô xung quanh, có thể dẫn đến sưng nướu, nhiễm trùng lan rộng. Điều trị kịp thời bằng nội nha hoặc phẫu thuật là cần thiết.
Viêm nướu – Viêm nha chu
Đây là nguyên nhân phổ biến nhất. Cao răng (vôi răng) tích tụ lâu ngày chứa hàng tỷ vi khuẩn tấn công nướu, gây viêm nhiễm. Nếu không cạo vôi răng định kỳ, bệnh sẽ tiến triển thành viêm nha chu, làm tiêu xương ổ răng và khiến răng lung lay.
Áp xe chân răng (tích tụ mủ, gây đau nhức dữ dội)
Đau chân răng có thể là dấu hiệu của áp xe chân răng – tình trạng nhiễm trùng kèm mủ tại chân răng hoặc quanh dây chằng nha chu. Vi khuẩn gây viêm làm mủ tích tụ, gây đau nhức dữ dội, nóng rát, cứng hàm và sưng tấy. Nguyên nhân thường do sâu răng nặng hoặc viêm nha chu không điều trị. Nếu không xử lý kịp thời, áp xe có thể lan rộng, tiêu xương và gây hậu quả nghiêm trọng.

Mọc răng khôn lệch/ngầm
Răng khôn (răng số 8) thường mọc khi cung hàm đã hết chỗ, dẫn đến tình trạng mọc lệch, đâm vào răng số 7 hoặc gây viêm lợi trùm. Đây là nguyên nhân gây đau chân răng hàm trong cùng cực kỳ phổ biến.
Viêm xoang gây đau lan vùng chân răng hàm trên
Một nguyên nhân ít được chú ý gây đau chân răng là viêm xoang, đặc biệt là xoang hàm. Khi xoang bị viêm hoặc nhiễm trùng, cơn đau có thể lan đến chân răng hàm trên do liên kết chặt chẽ giữa dây thần kinh và mô mềm. Tình trạng này thường xuất hiện khi thay đổi thời tiết, nhiễm trùng kéo dài hoặc dị ứng, kèm theo nghẹt mũi, chảy mũi, sốt nhẹ. Điều trị viêm xoang kịp thời giúp giảm đau chân răng hiệu quả.
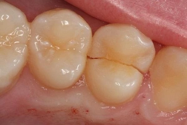
Răng bị gãy, nứt hoặc tổn thương men răng
Các tổn thương như nứt, vỡ hoặc gãy răng làm lộ phần chân răng, kích thích dây chằng và tạo điều kiện cho vi khuẩn xâm nhập, gây viêm nhiễm và đau chân răng. Người bệnh thường cảm thấy nhói, ê buốt răng, đặc biệt khi ăn uống đồ cứng hoặc nóng lạnh. Tình trạng này cần được xử lý kịp thời bằng trám răng, bọc răng sứ hoặc các biện pháp phục hồi phù hợp để tránh lan rộng viêm, tiêu xương hoặc mất răng vĩnh viễn.

Nghiến răng lâu ngày gây lộ chân răng
Nghiến răng khi ngủ vào ban đêm hoặc thường xuyên trong ngày là thói quen xấu, gây mài mòn men răng, lộ phần chân răng và tổn thương dây chằng quanh răng, dẫn đến đau chân răng, ê buốt và mỏi hàm. Nếu không kiểm soát kịp thời, nguy cơ viêm nha chu, tiêu xương và mất răng vĩnh viễn sẽ tăng cao. Điều trị bao gồm sử dụng máng chống nghiến, điều chỉnh thói quen và áp dụng các biện pháp phù hợp theo chỉ dẫn của bác sĩ nha khoa.
Thói quen vệ sinh răng miệng kém hoặc chải răng sai cách
Chăm sóc răng miệng không đúng cách là nguyên nhân chính gây các bệnh lý răng như sâu răng, viêm nha chu hay viêm tủy, dẫn đến đau chân răng. Chải răng sai kỹ thuật, vệ sinh không đủ hoặc bỏ qua kẽ răng khiến mảng bám và cao răng tích tụ, tạo điều kiện cho vi khuẩn xâm nhập, gây viêm nhiễm và đau nhức dữ dội. Để phòng ngừa, cần chải răng 2-3 lần/ngày, dùng chỉ nha khoa và khám răng định kỳ theo hướng dẫn chuyên gia.
Cách điều trị đau chân răng hiệu quả
Xác định nguyên nhân và mức độ bệnh là yếu tố quan trọng trong điều trị đau chân răng. Người bệnh có thể áp dụng biện pháp giảm đau tạm thời tại nhà, nhưng nên đến nha khoa uy tín để điều trị chuyên sâu. Chọn phương pháp phù hợp giúp rút ngắn thời gian, giảm đau và ngăn ngừa biến chứng, bảo vệ sức khỏe răng miệng lâu dài.
Điều trị đau chân răng tại nhà (giảm đau tạm thời)
Đối với những trường hợp đau nhẹ hoặc chưa thể đến nha sĩ ngay lập tức, các biện pháp tại nhà dưới đây giúp giảm thiểu triệu chứng, hạn chế sự khó chịu và bảo vệ răng khỏi tình trạng nặng hơn.
Súc miệng bằng nước muối ấm
Nước muối ấm có tính kháng khuẩn, giúp làm sạch vùng viêm nhiễm, giảm sưng tấy và chống vi khuẩn tích tụ. Sau khi đánh răng hoặc ăn xong, bạn pha một ít muối vào nước ấm rồi súc miệng kỹ trong vòng 30 giây trước khi nhổ ra.

Phương pháp này không chỉ giúp giảm thiểu triệu chứng đau nhức mà còn thúc đẩy quá trình lành thương, giảm nguy cơ nhiễm trùng. Bạn nên duy trì việc súc miệng định kỳ mỗi ngày 2-3 lần để đạt hiệu quả tối ưu.
Chườm lạnh bên ngoài vùng đau
Chườm lạnh là biện pháp giúp làm dịu cơn đau, giảm sưng tấy hiệu quả. Bạn dùng một túi đá hoặc gói đá viên quấn trong khăn mềm đặt lên vùng mặt bên ngoài má, cách vùng đau khoảng 15 phút mỗi lần.
Cách này giúp co mạch máu, giảm lưu lượng máu đến khu vực viêm, từ đó làm giảm cảm giác đau và hạn chế phù nề. Lưu ý không được chườm quá lâu hoặc đặt trực tiếp đá lạnh lên da để tránh bỏng lạnh.
Uống thuốc giảm đau theo hướng dẫn bác sĩ
Các loại thuốc giảm đau không kê đơn như paracetamol hoặc ibuprofen có thể giúp kiểm soát cơn đau tốt nhất trong thời gian chờ đợi đến nha khoa. Tuy nhiên, cần tuân thủ liều lượng và hướng dẫn sử dụng để tránh tác dụng phụ.
Không tự ý dùng thuốc kháng sinh hoặc thuốc giảm đau quá liều mà không có chỉ định của bác sĩ, vì điều này có thể gây ra các biến chứng như viêm loét dạ dày, ảnh hưởng gan thận hoặc nhờn thuốc. Tham khảo ý kiến bác sĩ nha khoa để có lời khuyên phù hợp nhất.
Dùng tinh dầu hoặc trà bạc hà giảm sưng đau
Tinh dầu bạc hà, tinh dầu trà xanh hoặc các loại thảo dược có tính kháng khuẩn, làm dịu nhanh các cơn đau và giảm khó chịu. Bạn có thể pha loãng tinh dầu rồi thoa nhẹ nhàng hoặc dùng tăm bông thấm thuốc chấm vào vùng tổn thương.

Các phương pháp này cũng giúp giảm viêm, giảm mùi hôi trong khoang miệng và mang lại cảm giác dễ chịu tạm thời. Lưu ý không dùng quá nhiều hoặc bôi trực tiếp tinh dầu nguyên chất lên vùng tổn thương để tránh kích ứng.
Giữ vệ sinh răng miệng sạch sẽ, tránh thức ăn cứng – cay nóng
Chế độ vệ sinh răng đúng cách giúp loại bỏ mảng bám, hạn chế vi khuẩn phát triển, giảm thiểu nguy cơ nhiễm trùng và đau chân răng. Nên sử dụng bàn chải mềm, chải nhẹ nhàng theo chiều dọc, tránh gây tổn thương nướu và chân răng.
Ngoài ra, hạn chế ăn thức ăn cứng, cay nóng, đồ ngọt hoặc gây kích thích mạnh đến vùng viêm nhằm giúp giảm thiểu các triệu chứng khó chịu, đồng thời giữ cho khu vực đề kháng tốt hơn để hồi phục nhanh chóng.
Điều trị đau chân răng tại nha khoa (chuyên sâu)
Khi các biện pháp tại nhà không còn hiệu quả và đau chân răng kéo dài, người bệnh cần đến nha khoa để thăm khám và điều trị chuyên sâu. Quy trình tại đây tập trung xử lý nguyên nhân như sâu răng, viêm tủy, viêm nha chu hoặc tổn thương khác. Chọn cơ sở uy tín với trang thiết bị hiện đại và bác sĩ chuyên môn cao giúp quá trình điều trị an toàn, nhanh chóng và đạt hiệu quả tối ưu, bảo vệ sức khỏe răng miệng.
- Điều trị sâu răng: Sâu răng lan xuống chân răng đòi hỏi xử lý triệt để để tránh tình trạng viêm nhiễm lan rộng. Bác sĩ sẽ tiến hành loại bỏ phần răng bị sâu, vệ sinh sạch sẽ rồi trám hoặc bọc sứ để bảo vệ răng khỏi vi khuẩn gây bệnh mới. Ngoài ra, trong trường hợp răng sâu nặng, cần điều trị nội nha để tiêu diệt vi khuẩn trong tủy răng hoặc thực hiện các biện pháp phẫu thuật khác. Những phương pháp này giúp giữ lại răng tự nhiên, duy trì chức năng ăn nhai và hạn chế đau nhức.
- Điều trị viêm tủy: Chuyên gia nha khoa sẽ tiến hành nạo sạch phần tủy bị viêm nhiễm, sau đó trám hoặc bọc lại răng để khôi phục chức năng và tránh các biến chứng nguy hiểm. Quá trình này cần độ chính xác cao và thường đòi hỏi nhiều bước. Trong một số trường hợp, nếu tủy chết hoặc nhiễm trùng quá nặng, bắt buộc phải thực hiện chữa tủy (điều trị nội nha) hoặc nhổ bỏ răng để loại bỏ nguồn gây viêm. Điều trị đúng cách sẽ giúp giảm đau hiệu quả, ngăn ngừa viêm nhiễm lan rộng.
- Điều trị nha chu – áp xe: Việc xử lý đau chân răng do nha chu hay áp xe cần thực hiện bởi các bác sĩ giàu kinh nghiệm. Quy trình thường bắt đầu bằng vệ sinh mảng bám, loại bỏ cao răng, sau đó dùng kháng sinh, nạo túi nha chu hoặc phẫu thuật tiêu xương để phục hồi cấu trúc ổ răng. Với áp xe, dẫn lưu mủ kịp thời kết hợp thuốc và phẫu thuật giúp ngăn tái phát. Khi điều trị đúng kỹ thuật, đau nhức, sưng tấy giảm rõ rệt, phục hồi hàm răng khỏe mạnh.
- Xử lý răng gãy/nứt: Răng bị gãy hoặc nứt sẽ gây lộ phần chân răng, dễ bị viêm nhiễm và đau đớn dữ dội. Tùy theo mức độ tổn thương, bác sĩ sẽ thực hiện trám răng, bọc sứ hoặc làm cầu răng phục hồi lại hình dạng nguyên bản, giúp bảo vệ chân răng và các mô xung quanh. Trong các trường hợp nặng, răng không thể cứu chữa, bác sĩ sẽ đề nghị nhổ bỏ rồi tiến hành các phương pháp phục hồi hiện đại như implant, hàm giả để đảm bảo chức năng ăn nhai và duy trì thẩm mỹ.
- Nhổ răng khôn mọc lệch, mọc ngầm nếu là nguyên nhân gây đau: Răng khôn mọc lệch, mọc ngầm gây chèn ép, viêm nhiễm hoặc tạo điều kiện phát sinh áp xe, làm đau chân răng dữ dội. Trong những trường hợp này, nha sĩ sẽ thực hiện nhổ bỏ răng khôn đúng quy trình, đảm bảo không gây tổn thương các mô xung quanh. Sau đó, các biện pháp chăm sóc hậu phẫu sẽ giúp giảm sưng, đau và nhanh chóng hồi phục. Việc xử lý đúng lúc giúp ngăn ngừa các biến chứng liên quan đến viêm nhiễm, xương tiêu xương hoặc gây tổn thương các răng lân cận.

Đau chân răng có nguy hiểm không? Khi nào cần đi nha sĩ?
Đau chân răng CỰC KỲ NGUY HIỂM nếu bị ngó lơ. Những biến chứng có thể xảy ra bao gồm:
- Mất răng: Viêm nhiễm làm hỏng tổ chức nâng đỡ răng.
- Nhiễm trùng lan rộng: Vi khuẩn có thể xâm nhập vào máu gây ảnh hưởng đến tim mạch và hô hấp.
- Ảnh hưởng thần kinh: Các cơn đau kéo dài gây mất ngủ, suy giảm trí nhớ và sức khỏe tổng thể.
Lời khuyên bác sĩ: Bạn cần đến nha sĩ ngay lập tức nếu cơn đau kéo dài quá 2 ngày, có dấu hiệu sốt, sưng mặt hoặc khó nuốt.
Bảng giá điều trị đau chân răng mới nhất
Để quý khách hàng chủ động hơn về tài chính, Nha khoa Sài Gòn Phong Phú xin công khai bảng giá niêm yết các dịch vụ liên quan:
| Dịch vụ | Chi phí tham khảo |
| Cạo vôi răng | 150.000 – 400.000 VNĐ |
| Trám răng thẩm mỹ | 200.000 – 400.000 VNĐ |
| Điều trị tủy | 1.000.000 – 2.000.000 VNĐ |
| Nhổ răng thường | 1.000.000 – 2.000.000 VNĐ |
| Nhổ răng khôn | 2.500.000 – 6.500.000 VNĐ |
Lưu ý: Chi phí thực tế phụ thuộc vào mức độ phức tạp của ca bệnh. Quý khách nên đến khám trực tiếp để được báo giá chính xác nhất.
Cách phòng ngừa đau chân răng hiệu quả tại nhà
Để bảo vệ nụ cười khỏe mạnh, hãy thực hiện các thói quen sau:
Vệ sinh răng miệng đúng kỹ thuật
Không chỉ là chải răng thường xuyên, mà kỹ thuật chải răng đóng vai trò quyết định trong việc bảo vệ nướu và chân răng.
- Sử dụng bàn chải lông mềm: Tránh dùng bàn chải cứng vì dễ gây mòn men răng và tụt nướu.
- Kỹ thuật Bass cải tiến: Đặt bàn chải nghiêng một góc 45 độ so với viền nướu. Chải nhẹ nhàng theo chuyển động tròn hoặc rung nhẹ tại chỗ, sau đó hất về phía mặt nhai.
- Thời gian: Chải ít nhất 2 lần/ngày (sáng và tối trước khi ngủ), mỗi lần kéo dài khoảng 2 phút.

Thay thế tăm xỉa răng bằng chỉ nha khoa hoặc máy tăm nước
Tăm tre truyền thống thường quá to và cứng, dễ làm hở kẽ răng và gây tổn thương nướu, dẫn đến viêm nhiễm chân răng.
- Chỉ nha khoa: Giúp loại bỏ mảng bám ở kẽ răng – nơi bàn chải không chạm tới được.
- Máy tăm nước: Sử dụng tia nước áp lực để làm sạch sâu, đặc biệt hiệu quả cho người đang niềng răng hoặc có cầu răng sứ.
Chế độ ăn uống khoa học
Thức ăn bạn nạp vào ảnh hưởng trực tiếp đến sức khỏe của mô nướu và chân răng.
- Hạn chế đường và tinh bột: Vi khuẩn trong miệng chuyển hóa đường thành axit gây sâu răng và viêm nướu.
- Bổ sung Vitamin C và Canxi: Giúp nướu khỏe mạnh và xương ổ răng chắc khỏe.
- Uống nhiều nước: Giúp làm sạch khoang miệng tự nhiên và hạn chế tình trạng khô miệng (môi trường lý tưởng cho vi khuẩn phát triển).
Khám nha khoa định kỳ và lấy cao răng
Dù bạn vệ sinh kỹ đến đâu, mảng bám vẫn có thể tích tụ và cứng lại thành cao răng (vôi răng).
- Lấy cao răng mỗi 6 tháng: Đây là cách duy nhất để loại bỏ triệt để nơi trú ngụ của vi khuẩn gây viêm nha chu.
- Tầm soát sớm: Bác sĩ sẽ phát hiện sớm các lỗ sâu nhỏ hoặc dấu hiệu mọc răng khôn để xử lý trước khi chúng gây đau nhức dữ dội.
Địa chỉ điều trị đau chân răng uy tín tại TP.HCM – Nha Khoa Sài Gòn Phong phú
Việc lựa chọn nha khoa uy tín là yếu tố then chốt để điều trị đau chân răng hiệu quả. Tại Nha Khoa Sài Gòn Phong Phú, đội ngũ bác sĩ giàu kinh nghiệm, trang thiết bị hiện đại cùng quy trình tiên tiến đảm bảo quá trình điều trị an toàn, chính xác. Với dịch vụ tận tâm và cam kết mang lại kết quả tốt nhất, khách hàng hoàn toàn yên tâm xử lý đau chân răng nhanh chóng, phục hồi sức khỏe răng miệng tối ưu.
Đội ngũ bác sĩ chuyên khoa giàu kinh nghiệm
Các bác sĩ tại Nha Khoa Sài Gòn Phong Phú đều đã qua đào tạo chuyên sâu, không ngừng cập nhật kiến thức mới nhất về kỹ thuật và công nghệ nha khoa. Nhờ vậy, quá trình khám và điều trị diễn ra chính xác, nhẹ nhàng và ít gây đau đớn.
Chúng tôi xác định chăm sóc người bệnh bằng tình cảm, lắng nghe và hiểu rõ từng trường hợp, mang lại cảm giác thoải mái để quá trình trị liệu đạt kết quả tối ưu nhất. Khách hàng cảm nhận rõ sự khác biệt từ đội ngũ bác sĩ chuyên nghiệp, tận tâm.

Trang thiết bị hiện đại, vô trùng tuyệt đối
Trang thiết bị được đầu tư công nghệ tiên tiến giúp chẩn đoán chính xác, xử lý nhanh và hiệu quả các bệnh lý răng miệng. Chúng tôi đảm bảo tuân thủ các tiêu chuẩn vô trùng nghiêm ngặt để phòng tránh nhiễm khuẩn chéo trong quá trình điều trị.
Hệ thống máy móc cao cấp còn giúp giảm thiểu thời gian điều trị, tăng sự chính xác và đảm bảo kết quả lâu dài. Đặc biệt, quá trình điều trị diễn ra an toàn, không gây tổn thương các mô mềm, phù hợp với mọi đối tượng khách hàng.
Quy trình điều trị nhẹ nhàng, an toàn và nhanh chóng
Chúng tôi xây dựng quy trình điều trị chặt chẽ, bài bản, từ bước thăm khám, chẩn đoán, lên kế hoạch đến thực hiện và chăm sóc hậu điều trị. Mọi thao tác đều diễn ra nhẹ nhàng, tối ưu, đảm bảo mang lại sự thoải mái tối đa cho khách hàng.
Đội ngũ y bác sĩ luôn sẵn sàng giải đáp mọi thắc mắc, hướng dẫn cách chăm sóc phù hợp để rút ngắn thời gian lành thương, giảm thiểu đau đớn và nâng cao hiệu quả điều trị. Khách hàng đến với Nha Khoa Sài Gòn đều hài lòng về dịch vụ, kết quả và chế độ hậu mãi tận tâm.
Cam kết hiệu quả và chăm sóc sau điều trị tận tâm
Chúng tôi cam kết mang lại hiệu quả điều trị tối đa, phòng ngừa tái phát bệnh lý và đảm bảo vệ sinh an toàn tuyệt đối. Hỗ trợ khách hàng sau điều trị qua các buổi tái khám định kỳ, tư vấn chế độ chăm sóc, chế độ dinh dưỡng phù hợp.
Không chỉ dừng lại ở đó, đội ngũ nhân viên còn tận tình lắng nghe, giải đáp mọi thắc mắc, giúp khách hàng cảm thấy thoải mái, tự tin hơn trong cuộc sống. Chính sự chăm sóc toàn diện đã giúp Nha Khoa Sài Gòn Phong Phú trở thành địa chỉ tin cậy của nhiều khách hàng.
Hiểu rõ nguyên nhân, triệu chứng, phương pháp điều trị và cách phòng tránh đau chân răng mang lại hy vọng cho những ai đang gặp tình trạng này. Phòng ngừa hiệu quả bằng vệ sinh răng đúng cách, khám định kỳ và hạn chế thói quen xấu như nghiến răng hay tiêu thụ thực phẩm gây hại. Khi xuất hiện triệu chứng bất thường, nên đến nha khoa uy tín để xử lý kịp thời. Bảo vệ răng khỏe mạnh giúp bạn tự tin và sống vui khỏe mỗi ngày.