Răng bị ê buốt (hay răng nhạy cảm) là tình trạng phổ biến khiến nhiều người cảm thấy “ám ảnh” mỗi khi ăn đồ lạnh, chua hoặc nóng. Đây không chỉ là cảm giác khó chịu nhất thời mà còn là dấu hiệu cảnh báo men răng đang bị bào mòn hoặc các bệnh lý răng miệng nguy hiểm. Tại Nha khoa Sài Gòn Phong Phú, chúng tôi hiểu rằng một cơn buốt nhói có thể làm hỏng cả bữa ăn ngon của bạn. Bài viết này sẽ giúp bạn hiểu rõ nguyên nhân và tìm ra giải pháp điều trị dứt điểm từ góc nhìn chuyên gia.
Ê buốt răng là gì?
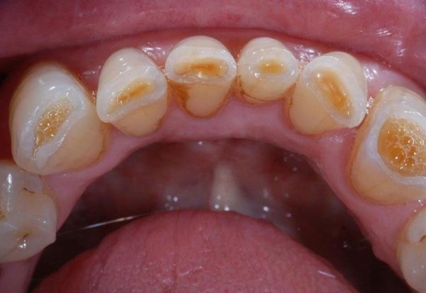
Răng bị ê buốt, trong y khoa gọi là hiện tượng nhạy cảm ngà răng. Bình thường, ngà răng (lớp chứa các ống thần kinh) được bao phủ bởi men răng ở thân răng và nướu răng ở chân răng.
Khi lớp men bảo vệ bị mòn hoặc nướu bị tụt, các ống ngà này sẽ tiếp xúc trực tiếp với các tác nhân bên ngoài như nhiệt độ (nóng/lạnh) hoặc hóa chất (chua/ngọt). Các kích thích này truyền thẳng đến dây thần kinh tủy, gây ra những cơn đau buốt nhói, ngắn nhưng rất khó chịu.

Tại sao răng bị ê buốt? 5 Nguyên nhân hàng đầu theo bác sĩ
Việc xác định chính xác lý do tại sao răng bị ê buốt là bước “vàng” để điều trị dứt điểm và ngăn ngừa biến chứng viêm tủy. Dưới đây là 5 nguyên nhân phổ biến nhất mà đội ngũ bác sĩ tại Nha khoa Sài Gòn Phong Phú thường xuyên ghi nhận trong quá trình thăm khám:
Mòn men răng do thói quen vệ sinh sai cách
Sử dụng bàn chải quá cứng hoặc chải răng theo chiều ngang với lực quá mạnh sẽ vô tình “bào mòn” lớp men răng quý giá. Khi men răng mỏng đi, các ống ngà răng bị lộ ra, khiến dây thần kinh dễ bị kích thích bởi nhiệt độ. Tình trạng này thường dẫn đến hiện tượng mòn cổ răng, gây đau buốt nhói khi tiếp xúc với không khí lạnh hoặc nước đá.

Tụt nướu và hở chân răng
Bệnh lý nha chu hoặc vệ sinh kém lâu ngày dẫn đến tình trạng tụt nướu, làm lộ phần chân răng vốn không được men răng bao phủ. Chân răng chỉ có một lớp ximăng răng rất mỏng, do đó cực kỳ nhạy cảm.
>> Xem thêm: Sưng nướu răng có tự hết không và cách xử lý triệt để
Sâu răng và các vết nứt trên bề mặt răng
Các lỗ sâu nếu không được xử lý bằng phương pháp trám răng thẩm mỹ sẽ tạo đường cho vi khuẩn và nhiệt độ tấn công trực tiếp vào ngà và tủy răng. Bên cạnh đó, các vết nứt nhỏ do thói quen ăn nhai đồ cứng cũng là “cửa ngõ” gây ra những cơn đau buốt đột ngột.
Lời khuyên bác sĩ: Nếu răng bị mẻ hoặc nứt lớn gây ê buốt nặng, bạn nên cân nhắc giải pháp bọc răng sứ để bảo vệ tủy răng thật bên trong.
Chế độ ăn uống chứa hàm lượng Axit cao
Thường xuyên sử dụng thực phẩm có tính axit mạnh như nước có gas, cam, chanh hoặc đồ chua sẽ gây ra hiện tượng xói mòn men răng hóa học. Axit làm giảm độ pH trong khoang miệng, khiến răng trở nên “mỏng manh” và dễ bị ê buốt hơn trước mọi tác động ngoại lực.

Phản ứng sau các thủ thuật nha khoa
Một số bệnh nhân có thể cảm thấy răng hơi nhạy cảm sau khi thực hiện tẩy trắng răng, lấy cao răng hoặc thậm chí là sau khi nhổ răng khôn. Tuy nhiên, tại các nha khoa uy tín với quy trình chuẩn y khoa như Sài Gòn Phong Phú, tình trạng này chỉ là phản ứng tạm thời và sẽ biến mất sau 1-2 ngày khi răng đã ổn định.
Răng bị ê buốt có nguy hiểm không? Khi nào cần gặp bác sĩ ngay?
Tình trạng răng bị ê buốt thường bắt đầu bằng những cơn nhói nhẹ khi ăn đồ lạnh, khiến nhiều bệnh nhân chủ quan và xem đó là “chuyện bình thường”. Tuy nhiên, theo các chuyên gia tại Nha khoa Sài Gòn Phong Phú, đây chính là giai đoạn “vàng” để can thiệp. Nếu để cơn đau vượt quá ngưỡng chịu đựng mới tìm đến nha sĩ, bạn có thể phải đối mặt với những biến chứng nặng nề.
Những biến chứng nguy hiểm khi lơ là răng nhạy cảm
Khi lớp men răng bảo vệ bị phá hủy, vi khuẩn sẽ không dừng lại ở việc gây buốt mà sẽ tấn công sâu hơn:
- Viêm tủy răng (Biến chứng hàng đầu): Khi ngà răng lộ ra quá lâu mà không được che phủ bằng phương pháp trám răng thẩm mỹ, vi khuẩn sẽ xâm nhập vào buồng tủy. Điều này dẫn đến những cơn nhức răng dữ dội, đặc biệt là vào ban đêm, thậm chí gây áp xe xương hàm.
- Viêm nha chu và nguy cơ mất răng: Ê buốt chân răng thường đi kèm với tình trạng tụt nướu. Nếu không được điều trị kịp thời, nướu sẽ không còn bám chắc vào chân răng, làm răng lung lay và rụng sớm.
4 Dấu hiệu báo động: Bạn cần gặp nha sĩ ngay lập tức
Đừng đợi đến khi không thể ăn uống mới đi khám. Hãy đặt lịch hẹn với bác sĩ tại 1789 Quốc Lộ 50, Bình Chánh nếu bạn gặp các triệu chứng sau:
- Cơn buốt kéo dài bất thường: Cảm giác đau buốt không biến mất ngay mà kéo dài hơn 1 phút sau khi bạn ngừng ăn đồ nóng/lạnh.
- Ê buốt kèm tổn thương nướu: Xuất hiện tình trạng nướu sưng đỏ, dễ chảy máu khi đánh răng hoặc có dấu hiệu mủ ở chân răng.
- Đau buốt tự phát: Răng bị đau nhức ngay cả khi bạn không ăn uống hay có tác động ngoại lực nào. Đây là dấu hiệu cho thấy dây thần kinh đang bị tổn thương nghiêm trọng.
- Răng bị nứt vỡ hoặc mòn mặt nhai nặng: Khi cấu trúc răng không còn nguyên vẹn, việc bọc răng sứ sẽ là giải pháp tối ưu nhất để chấm dứt cơn buốt và bảo tồn răng thật.
Lời khuyên từ chuyên gia: “Việc chịu đựng cơn đau không giúp bệnh tự khỏi mà chỉ làm tăng chi phí điều trị về sau. Một ca xử lý ê buốt nhẹ bằng cách bôi gel chống ê tại Nha khoa Sài Gòn Phong Phú sẽ đơn giản và tiết kiệm hơn nhiều so với việc phải chữa tủy hay trồng răng giả do mất răng.”
Cách trị răng bị ê buốt tại nhà đơn giản
Nếu bạn chưa thể sắp xếp thời gian đến phòng khám tại Bình Chánh, hãy áp dụng ngay các giải pháp dưới đây để làm dịu cơn đau nhức. Lưu ý, các phương pháp này chỉ mang tính chất hỗ trợ tạm thời cho tình trạng nhẹ, không thể thay thế việc điều trị chuyên sâu từ bác sĩ.
Sử dụng kem đánh răng chuyên dụng cho răng nhạy cảm
Thay vì các loại kem đánh răng có tính tẩy trắng mạnh, bạn nên chọn sản phẩm chứa Kali Nitrat (Potassium Nitrate) hoặc Fluoride nồng độ cao. Các hoạt chất này hoạt động như một “tấm khiên” bịt kín các ống ngà răng bị hở, ngăn chặn tín hiệu đau truyền đến dây thần kinh.
Cách dùng: Chải răng 2 lần/ngày. Bạn có thể bôi một ít kem trực tiếp lên vùng răng bị ê buốt trong 2-3 phút trước khi súc miệng để tăng hiệu quả.
Súc miệng bằng nước muối sinh lý (0.9%)
Nước muối có tính sát khuẩn tự nhiên, giúp cân bằng độ pH trong khoang miệng và giảm tình trạng sưng nướu – một trong những nguyên nhân gián tiếp gây buốt răng.
Thực hiện: Súc miệng 2-3 lần mỗi ngày, đặc biệt là sau khi ăn. Điều này cũng giúp ngăn ngừa vi khuẩn tấn công nếu bạn đang gặp tình trạng nhức răng do sâu răng nhẹ.
Thay đổi bàn chải và kỹ thuật chải răng
Bàn chải lông cứng là “kẻ thù” của men răng. Hãy chuyển sang loại bàn chải lông tơ siêu mềm.
Kỹ thuật chuẩn: Chải răng theo vòng tròn hoặc chiều dọc, tuyệt đối không chải ngang. Việc chải răng đúng cách giúp ngăn ngừa tình trạng mòn cổ răng và hạn chế răng bị đen ở mặt trong do mảng bám tích tụ.
Điều chỉnh chế độ dinh dưỡng: Hạn chế Axit và đồ lạnh
Axit từ thực phẩm là tác nhân hàng đầu gây mòn men răng hóa học. Trong thời gian răng đang nhạy cảm, bạn cần:
- Ngưng uống nước đá, soda, nước ngọt có gas.
- Hạn chế trái cây quá chua (cam, chanh, xoài sống).
- Lời khuyên: Sau khi ăn đồ chua, đừng đánh răng ngay mà hãy súc miệng bằng nước lọc để trung hòa axit, đợi ít nhất 30 phút mới tiến hành vệ sinh răng.
Khám phá ngay: Ăn gì để răng chắc khỏe? 10 thực phẩm tốt cho men răng
Cảnh báo y khoa từ Nha khoa Sài Gòn Phong Phú: Các mẹo tại nhà chỉ giúp giảm triệu chứng, không thể trị dứt điểm nếu nguyên nhân do sâu răng hoặc viêm tủy. Nếu tình trạng ê buốt tái phát thường xuyên, đó là lúc bạn cần sự can thiệp của các bác sĩ chuyên khoa để tránh biến chứng mất răng.
Các phương pháp điều trị răng ê buốt chuyên sâu chuẩn Y khoa
Khi các biện pháp tại nhà không mang lại hiệu quả, việc can thiệp y khoa là bắt buộc để bảo vệ tủy răng. Tại Nha khoa Sài Gòn Phong Phú, chúng tôi ứng dụng các công nghệ hiện đại nhằm điều trị dứt điểm tình trạng răng nhạy cảm, giúp bệnh nhân ăn nhai thoải mái chỉ sau một liệu trình.
Tái khoáng hóa men răng (Bôi Vecni Flour)
Đây là giải pháp tối ưu cho các trường hợp mòn men răng nhẹ hoặc răng nhạy cảm sau khi tẩy trắng. Bác sĩ sẽ sử dụng hoạt chất Flour nồng độ cao chuyên dụng để phủ lên bề mặt răng, giúp “đóng băng” các ống ngà đang bị hở, đồng thời tăng cường độ cứng cho men răng.
- Hiệu quả: Chấm dứt cơn buốt tức thì, bảo vệ răng khỏi axit thực phẩm.
- Chi phí tham khảo: 300.000 VNĐ/hàm.
Trám răng thẩm mỹ (Khắc phục mòn cổ răng và sâu răng)
Với những răng bị khuyết cổ (hình chêm) hoặc có lỗ sâu, việc bôi thuốc sẽ không có tác dụng lâu dài. Lúc này, bác sĩ sẽ sử dụng vật liệu Composite cao cấp từ Nhật/Đức để tái tạo lại cấu trúc răng. Lớp trám này không chỉ ngăn chặn kích thích nhiệt mà còn ngăn vi khuẩn tấn công vào tủy.
- Chi phí: Dao động từ 200.000 – 500.000 VNĐ/răng (tùy mức độ tổn thương).
- Xem chi tiết: Trám răng bao lâu thì ăn được và quy trình chuẩn y khoa
Bọc răng sứ thẩm mỹ – Giải pháp “vàng” cho răng mòn nặng
Đối với trường hợp răng bị mòn mặt nhai quá sâu, răng bị mẻ vỡ lớn hoặc ê buốt kinh niên không thể trám, bọc răng sứ là lựa chọn hoàn hảo nhất. Mão răng sứ đóng vai trò như một “lớp giáp” cứng chắc, bao bọc toàn bộ cùi răng thật, giúp cách ly hoàn toàn dây thần kinh khỏi các tác nhân gây đau buốt.
Ưu điểm: Độ bền trên 15 năm, thẩm mỹ cao và khôi phục 100% chức năng ăn nhai.
Điều trị tủy răng (Nội nha)
Nếu răng bị ê buốt kèm theo những cơn đau nhức dữ dội lan lên đầu, có khả năng vi khuẩn đã xâm nhập gây viêm tủy. Tại Nha khoa Sài Gòn Phong Phú, chúng tôi ưu tiên phương pháp lấy sạch mô tủy bị viêm và trám bít ống tủy để bảo tồn răng thật, tránh việc phải nhổ bỏ răng vĩnh viễn.
Lưu ý y khoa: Trong một số trường hợp, việc răng bị ê buốt còn liên quan đến áp lực từ các răng mọc lệch. Chẳng hạn, răng khôn mọc ngang đâm vào răng số 7 có thể gây đau buốt dây chuyền. Bạn nên kiểm tra tổng thể và tham khảo khoảng cách giữa 2 lần nhổ răng khôn để có lộ trình chăm sóc răng miệng toàn diện nhất.
So sánh giải pháp trị răng ê buốt tại nhà và điều trị chuyên sâu tại Nha khoa
Để giúp bạn có cái nhìn tổng quan và đưa ra quyết định đúng đắn nhất cho sức khỏe răng miệng, dưới đây là bảng so sánh chi tiết giữa việc tự xử lý tại nhà và can thiệp y khoa chuyên nghiệp:
| Tiêu chí | Trị tại nhà (Kem đánh răng/Mẹo dân gian) | Điều trị tại Nha khoa Sài Gòn Phong Phú |
| Cơ chế tác động | Chỉ tác động lên bề mặt, làm dịu cảm giác tức thời. | Tác động trực tiếp vào nguyên nhân gốc rễ (sâu răng, hở ống ngà, tủy). |
| Hiệu quả điều trị | Giảm bớt tạm thời, dễ tái phát khi ngưng sử dụng. | Dứt điểm hoàn toàn, hiệu quả duy trì lâu dài nhiều năm. |
| Thời gian thấy kết quả | Cần kiên trì sử dụng liên tục trong nhiều tháng. | Thấy rõ sự thay đổi ngay sau 1 – 2 lần hẹn (30-60 phút). |
| Độ an toàn | Rủi ro cao: Dễ gây mòn men thêm nếu dùng mẹo sai cách (chanh, muối quá nồng độ). | An toàn tuyệt đối: Do bác sĩ chuyên khoa kiểm soát trong môi trường vô trùng. |
| Chi phí | Thấp cho mỗi lần mua nhưng tốn kém dài hạn nếu không khỏi. | Chi phí hợp lý, là khoản đầu tư xứng đáng để bảo tồn răng thật. |
| Khả năng chẩn đoán | Người bệnh tự đoán mò, dễ bỏ qua các bệnh lý nguy hiểm. | Sử dụng máy chụp X-quang để xác định chính xác tình trạng tủy và xương. |
Chuyên gia Nha khoa khuyên bạn: Việc tự điều trị tại nhà chỉ nên áp dụng cho những trường hợp răng nhạy cảm sinh lý nhẹ. Nếu bạn bị răng bị ê buốt kèm theo dấu hiệu nhức răng kéo dài, hãy đến ngay phòng khám tại 1789 Quốc Lộ 50, Bình Chánh để được bác sĩ thăm khám. Việc để lâu có thể khiến tình trạng trầm trọng hơn, dẫn đến phải điều trị tủy hoặc bọc sứ phức tạp.
Quy trình điều trị răng ê buốt chuẩn Y khoa tại Nha khoa Sài Gòn Phong Phú
Tại địa chỉ 1789 Quốc Lộ 50, xã Phong Phú, Bình Chánh, chúng tôi không chỉ điều trị triệu chứng mà còn tập trung xử lý tận gốc căn nguyên gây buốt răng. Quy trình điều trị tại Nha khoa Sài Gòn Phong Phú được thực hiện trong môi trường vô trùng khép kín với 4 bước chuyên nghiệp:
Bước 1: Thăm khám lâm sàng & Chụp X-quang kỹ thuật số
Để xác định chính xác tình trạng răng nhạy cảm là do mòn men, tụt nướu hay biến chứng viêm tủy, bác sĩ sẽ chỉ định chụp phim với máy CT Cone Beam hiện đại. Công nghệ chẩn đoán hình ảnh này giúp phát hiện cả những vết nứt vi thể hoặc ổ nhiễm trùng sâu dưới chân răng mà mắt thường không thể thấy.
Bước 2: Vệ sinh khoang miệng và sát khuẩn
Bác sĩ tiến hành làm sạch mảng bám và lấy cao răng bằng sóng siêu âm. Việc loại bỏ ổ vi khuẩn là điều kiện bắt buộc để các bước điều trị sau (như bôi Flour hay trám răng) đạt độ bền cao nhất và không gây kích ứng nướu.
Bước 3: Tiến hành điều trị chuyên sâu theo phác đồ
Tùy vào kết quả chẩn đoán ở Bước 1, bác sĩ sẽ thực hiện một trong các kỹ thuật sau:
- Trường hợp nhẹ: Bôi Vecni Flour tái khoáng men răng.
- Trường hợp mòn cổ/sâu răng: Thực hiện trám răng thẩm mỹ bằng vật liệu Composite có màu sắc đồng nhất với răng thật.
- Trường hợp tổn thương nặng: Tư vấn bọc răng sứ hoặc điều trị nội nha để bảo tồn răng tối đa.
Bước 4: Hướng dẫn chăm sóc và hẹn lịch tái khám
Sau khi điều trị, bạn sẽ được bác sĩ hướng dẫn kỹ thuật chải răng Bass cải tiến (chải nhẹ nhàng 45 độ về phía nướu) để tránh tái phát tình trạng mòn men. Đồng thời, chúng tôi sẽ tư vấn chế độ dinh dưỡng ăn gì để răng chắc khỏe giúp kéo dài tuổi thọ của răng và các vết trám.
Cam kết từ phòng khám: 100% dụng cụ điều trị đều được xử lý qua máy hấp vô trùng chuẩn nha khoa quốc tế, đảm bảo an toàn tuyệt đối, không lây nhiễm chéo cho khách hàng tại Bình Chánh.
Làm sao để ngăn ngừa răng bị ê buốt tái phát? Bí quyết từ chuyên gia
Điều trị dứt điểm tại nha khoa là cần thiết, nhưng việc duy trì kết quả và ngăn ngừa cảm giác nhạy cảm quay trở lại phụ thuộc rất lớn vào thói quen hằng ngày của bạn. Dưới đây là lộ trình chăm sóc răng miệng khoa học được các bác sĩ tại Nha khoa Sài Gòn Phong Phú khuyến nghị:
Chuẩn hóa kỹ thuật vệ sinh răng miệng hằng ngày
Đừng để thói quen vệ sinh sai cách làm hỏng lớp men răng quý giá của bạn thêm một lần nào nữa:
- Bàn chải: Luôn ưu tiên bàn chải lông tơ siêu mềm (Extra Soft). Thay bàn chải định kỳ 3 tháng/lần hoặc ngay khi lông bàn chải có dấu hiệu xơ xác.
- Kỹ thuật chải: Áp dụng phương pháp Bass cải tiến – đặt bàn chải nghiêng 45 độ so với nướu, rung nhẹ và chải theo chiều dọc. Tránh tuyệt đối việc chải ngang gây mòn cổ răng.
- Vệ sinh kẽ răng: Thay thế tăm tre bằng chỉ nha khoa hoặc máy tăm nước để bảo vệ nướu, tránh gây tụt nướu và làm răng bị đen ở mặt trong do cao răng tích tụ.

Chế độ dinh dưỡng “thân thiện” với men răng
Để sở hữu một hàm răng đẹp chuẩn y khoa và chắc khỏe, bạn cần kiểm soát những gì mình nạp vào cơ thể:
- Hạn chế thực phẩm có tính Axit: Giảm thiểu soda, nước tăng lực và các loại quả quá chua. Nếu sử dụng, hãy dùng ống hút để hạn chế sự tiếp xúc của axit với bề mặt răng.
- Bổ sung Canxi và Flour: Tăng cường các thực phẩm như sữa, sữa chua, phô mai và các loại rau xanh đậm.
Kiểm soát thói quen nghiến răng và dùng răng làm “công cụ”
Nghiến răng khi ngủ là nguyên nhân âm thầm khiến răng bị mòn mặt nhai và ê buốt dữ dội.
- Nếu bạn có thói quen nghiến răng, hãy liên hệ bác sĩ để đặt làm máng chống nghiến chuyên dụng.
- Tuyệt đối không dùng răng để cắn vật cứng, mở nắp chai hoặc xé bao bì vì có thể gây nứt mẻ răng, dẫn đến việc phải thực hiện trám răng thẩm mỹ không mong muốn.
Thăm khám nha khoa định kỳ tại Bình Chánh
Phòng bệnh luôn tốt hơn chữa bệnh. Việc khám răng định kỳ 6 tháng/lần giúp bác sĩ kịp thời phát hiện các lỗ sâu nhỏ hoặc dấu hiệu tụt nướu sớm.
- Tại khu vực TP.HCM, bạn có thể tìm kiếm các nha khoa gần đây uy tín để thực hiện lấy cao răng và kiểm tra sức khỏe răng miệng tổng quát.
- Việc xử lý các răng mọc lệch lạc hoặc răng khôn mọc lệch cũng giúp giảm áp lực lên các răng còn lại, ngăn ngừa tình trạng nhạy cảm do xô lệch hàm.

Răng bị ê buốt là nỗi lo lắng của nhiều người, nhưng với sự phát triển của nha khoa hiện đại, việc điều trị trở nên vô cùng đơn giản và nhẹ nhàng. Đừng để những cơn buốt nhói ngăn cản bạn tận hưởng cuộc sống.
Nếu bạn đang ở khu vực Bình Chánh hoặc lân cận, hãy đến với Nha khoa Sài Gòn Phong Phú để được thăm khám miễn phí và điều trị tận tâm bởi đội ngũ bác sĩ giàu kinh nghiệm.
THÔNG TIN LIÊN HỆ ĐẶT LỊCH:
- Địa chỉ: 1789 Quốc Lộ 50, xã Phong Phú, Bình Chánh, Tp.HCM
- Hotline: 0917 91 93 98
- Email: nhakhoasaigonbc@gmail.com
- Website: nhakhoasaigonsmile.com
Hãy bảo vệ nụ cười của bạn ngay hôm nay!
Câu hỏi thường gặp về răng bị ê buốt
Răng bị ê buốt khi mang thai có điều trị được không?
Có. Phụ nữ mang thai thường bị thay đổi nội tiết tố gây viêm nướu, tụt nướu dẫn đến ê buốt. Tuy nhiên, các bác sĩ tại Nha khoa Sài Gòn Smile sẽ có biện pháp can thiệp an toàn (như bôi gel chống ê) mà không ảnh hưởng đến thai nhi.
Tẩy trắng răng xong bị buốt phải làm sao?
Đây là phản ứng bình thường. Bạn nên dùng kem đánh răng chống nhạy cảm và hạn chế đồ lạnh trong 48h. Nếu buốt kéo dài, hãy quay lại phòng khám để bác sĩ kiểm tra.
Có nên tự mua thuốc bôi chống ê buốt trên mạng không?
Tuyệt đối không. Các loại thuốc không rõ nguồn gốc có thể chứa axit gây cháy nướu hoặc hỏng men răng vĩnh viễn.