Sâu chân răng là một trong những bệnh lý răng miệng phổ biến mà nhiều người còn chưa nắm rõ. Tại Nha khoa Sài Gòn, chúng tôi nhận thấy sâu chân răng nếu không được phát hiện và điều trị kịp thời có thể gây ra nhiều biến chứng nghiêm trọng, ảnh hưởng đến sức khỏe răng miệng tổng thể. Bài viết này sẽ giúp bạn hiểu rõ về sâu chân răng – từ khái niệm, dấu hiệu nhận biết, nguyên nhân gây bệnh đến cách chẩn đoán, phương pháp điều trị và cách phòng ngừa hiệu quả. Hãy cùng Nha khoa Sài Gòn chăm sóc nụ cười khỏe mạnh, tự tin mỗi ngày!
Sâu chân răng là gì? Nguyên nhân gây sâu chân răng
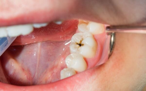
Sâu chân răng là tình trạng sâu răng xuất hiện ở bề mặt chân răng – vùng tiếp giáp trực tiếp với nướu răng, khiến chân răng bị đen và tổn thương. Nếu không được phát hiện và điều trị kịp thời, sâu chân răng có thể dẫn đến nguy cơ hỏng tủy, gây viêm nhiễm và thậm chí mất răng vĩnh viễn.
Tại Nha khoa Sài Gòn, chúng tôi nhận thấy rằng sâu chân răng không chỉ gây đau nhức mà còn ảnh hưởng lớn đến sức khỏe răng miệng tổng thể nếu người bệnh chủ quan trong chăm sóc và điều trị.

Những nguyên nhân phổ biến gây sâu chân răng bạn cần biết:
- Vệ sinh răng miệng sai cách: Không đánh răng ít nhất 2 lần/ngày, đánh răng không kỹ hoặc không vệ sinh sau khi ăn là nguyên nhân chính khiến mảng bám tích tụ và gây sâu chân răng.
- Đánh răng quá mạnh hoặc dùng bàn chải cứng: Gây tổn thương men răng và nướu, làm tăng nguy cơ sâu chân răng và các bệnh nha chu.
- Tuổi tác: Người cao tuổi dễ bị tụt nướu, làm lộ chân răng, tạo điều kiện thuận lợi cho sâu chân răng phát triển.
- Bệnh lý răng miệng: Viêm nướu, viêm nha chu tạo điều kiện cho vi khuẩn xâm nhập và gây sâu chân răng.
- Yếu tố di truyền: Men răng yếu bẩm sinh hoặc tình trạng mòn cổ răng cũng làm tăng nguy cơ sâu chân răng.
- Bệnh tiểu đường: Ảnh hưởng đến hệ miễn dịch khiến các bệnh răng miệng, bao gồm sâu chân răng, trở nên nghiêm trọng hơn.
- Hút thuốc lá: Gây tổn thương men răng, làm suy yếu sức khỏe răng miệng và tăng nguy cơ sâu răng.
- Sử dụng thuốc tây: Một số thuốc gây khô miệng, tạo môi trường thuận lợi cho vi khuẩn phát triển và gây sâu chân răng.
- Chấn thương răng: Các vết nứt, tổn thương do chấn thương tạo điều kiện cho vi khuẩn xâm nhập và phát triển sâu chân răng.
- Răng không đều, lệch lạc: Làm khó khăn trong việc vệ sinh răng miệng, tăng nguy cơ sâu răng và sâu chân răng.
Các triệu chứng khi bị sâu chân răng cần lưu ý
Sâu chân răng nếu không được phát hiện sớm có thể gây ra nhiều biến chứng nghiêm trọng. Người bệnh nên đến ngay Nha khoa Sài Gòn khi xuất hiện một hoặc nhiều triệu chứng sau:
- Đau buốt răng, nhạy cảm khi ăn uống đồ nóng, lạnh hoặc ngọt.
- Đau âm ỉ tại vùng chân răng, tần suất ngày càng tăng và có thể trở nên dữ dội.
- Đau nhức khi nhai hoặc cắn thức ăn, đặc biệt ở vị trí chân răng.
- Nướu quanh răng bị sưng tấy, đỏ bất thường.
- Răng có dấu hiệu lung lay do tụt nướu hoặc tiêu xương.
- Men răng yếu, dễ bị nứt hoặc gãy.
- Màu răng thay đổi từ vàng, nâu sang đen – dấu hiệu sâu chân răng đã ăn vào tủy.
- Tụt nướu, chân răng lộ rõ.
- Nướu xung quanh răng bị nhiễm trùng hoặc lở loét.
Tuy nhiên, trong một số trường hợp, sâu chân răng không gây triệu chứng rõ ràng, người bệnh chỉ phát hiện khi thăm khám nha khoa định kỳ. Vì vậy, việc kiểm tra răng miệng thường xuyên tại Nha khoa Sài Gòn là cách tốt nhất để phát hiện và điều trị sớm sâu chân răng, bảo vệ nụ cười khỏe mạnh dài lâu.

Điều trị sâu chân răng hiệu quả
Sâu chân răng là một trong những bệnh lý răng miệng phổ biến và nếu không được phát hiện, điều trị kịp thời có thể dẫn đến những hậu quả nghiêm trọng như viêm tủy, mất răng, ảnh hưởng đến sức khỏe tổng thể. Chính vì vậy, việc thăm khám và điều trị tại các trung tâm nha khoa uy tín, đặc biệt là Nha khoa Sài Gòn, là bước quan trọng giúp bạn xử lý triệt để bệnh lý sâu chân răng nhanh chóng và hiệu quả.
Để bảo vệ sức khỏe răng miệng và tránh các biến chứng không mong muốn, các bác sĩ tại Nha khoa Sài Gòn luôn khuyến cáo bệnh nhân điều trị dứt điểm sâu chân răng ngay khi phát hiện. Tùy theo mức độ tổn thương của chân răng, bác sĩ sẽ áp dụng các phương pháp điều trị phù hợp. Bệnh lý sâu chân răng có thể được chia thành 3 giai đoạn chính, và tương ứng với từng giai đoạn sẽ có phác đồ điều trị riêng biệt nhằm bảo vệ tối đa chức năng cũng như thẩm mỹ của răng.

Giai đoạn 1: Sâu chân răng mới hình thành – Phục hồi men răng bằng tái khoáng
Ở giai đoạn đầu, khi sâu chân răng chỉ mới xuất hiện những vết đổi màu nhẹ hoặc men răng bắt đầu suy yếu, bệnh vẫn còn khả năng phục hồi. Lúc này, bác sĩ sẽ chỉ định sử dụng phương pháp tái khoáng cho răng với các sản phẩm chứa Fluoride như gel bôi hoặc kem đánh răng chuyên dụng. Fluoride giúp tăng cường tái tạo lớp men răng, tạo thành một lớp bảo vệ mới chống lại sự xâm nhập của vi khuẩn gây sâu răng. Đây là phương pháp điều trị an toàn, không xâm lấn, giúp ngăn ngừa sâu răng tiến triển mà không cần can thiệp phẫu thuật.
Giai đoạn 2: Sâu chân răng đã hình thành lỗ sâu – Trám răng bảo vệ chân răng
Khi sâu chân răng đã phát triển mạnh, tạo thành các lỗ hổng rõ ràng ở chân răng hoặc thân răng kèm theo những đốm đen sẫm màu, việc can thiệp điều trị bằng trám răng là cần thiết. Bác sĩ tại Nha khoa Sài Gòn sẽ tiến hành làm sạch vùng sâu, loại bỏ mô răng bị tổn thương và sử dụng vật liệu trám chuyên dụng để lấp đầy các lỗ sâu. Phương pháp trám răng giúp ngăn ngừa vi khuẩn tiếp tục phát triển, bảo vệ cấu trúc răng còn lại và duy trì chức năng ăn nhai bình thường. Trám răng cũng đảm bảo tính thẩm mỹ, giúp răng trông tự nhiên và khỏe mạnh hơn.
Giai đoạn 3: Sâu chân răng nặng – Điều trị tủy và phục hồi răng
Ở giai đoạn sâu chân răng nghiêm trọng, khi vi khuẩn đã xâm nhập sâu vào tủy răng, gây viêm hoặc hoại tử tủy, điều trị lấy tủy răng (hay còn gọi là điều trị nội nha) là phương pháp bắt buộc. Bác sĩ sẽ làm sạch tủy bị tổn thương, khử trùng ống tủy và trám bít lại để bảo vệ phần răng còn lại. Trong nhiều trường hợp, sau khi điều trị tủy, răng cần được bọc răng sứ để tăng cường độ bền, bảo vệ răng khỏi các tác động bên ngoài và đảm bảo thẩm mỹ. Đây là bước cuối cùng trong quy trình điều trị sâu chân răng nặng, giúp phục hồi tối đa chức năng và vẻ đẹp cho răng.
Tại Nha khoa Sài Gòn, chúng tôi tự hào sở hữu đội ngũ bác sĩ chuyên môn cao, giàu kinh nghiệm trong lĩnh vực điều trị sâu răng và các bệnh lý răng miệng khác. Trang thiết bị hiện đại, công nghệ tiên tiến cùng quy trình khám chữa bệnh chuẩn y khoa giúp mang lại hiệu quả điều trị tối ưu, giảm đau tối đa và rút ngắn thời gian phục hồi cho bệnh nhân.
Ngoài ra, Nha khoa Sài Gòn luôn đồng hành cùng khách hàng trong việc tư vấn, hướng dẫn cách chăm sóc răng miệng đúng cách, giúp phòng ngừa sâu chân răng hiệu quả lâu dài. Đừng để sâu chân răng ảnh hưởng đến nụ cười và sức khỏe của bạn – hãy đến với Nha khoa Sài Gòn để được khám và điều trị sớm, bảo vệ hàm răng chắc khỏe, nụ cười rạng rỡ.
Phòng ngừa sâu chân răng hiệu quả, an toàn
Sâu chân răng là một trong những bệnh lý răng miệng phổ biến nhưng không thể xem thường. Nếu không được phòng ngừa và điều trị kịp thời, sâu chân răng có thể dẫn đến viêm tủy, tiêu xương hàm và mất răng vĩnh viễn. Hiểu rõ tầm quan trọng của việc phòng ngừa, Nha Khoa Sài Gòn luôn đồng hành cùng bạn trong việc bảo vệ sức khỏe răng miệng toàn diện.
Để ngăn ngừa sâu chân răng phát triển và giữ cho hàm răng luôn chắc khỏe, bạn cần thực hiện những lưu ý sau đây:
Vệ sinh răng miệng đúng cách, đều đặn
Đánh răng ít nhất 2 lần mỗi ngày, đặc biệt là sau khi ăn, giúp loại bỏ mảng bám và vi khuẩn – nguyên nhân chính gây sâu răng. Lựa chọn bàn chải lông mềm và kỹ thuật đánh răng nhẹ nhàng, không chà xát mạnh để bảo vệ men răng và nướu.

Sử dụng chỉ nha khoa và nước súc miệng
Ngoài việc đánh răng, bạn nên dùng chỉ nha khoa để làm sạch các kẽ răng, nơi bàn chải khó tiếp cận. Kết hợp sử dụng nước súc miệng chứa fluoride sẽ giúp ngăn ngừa sâu răng và kháng khuẩn hiệu quả hơn.
Hạn chế sử dụng các chất kích thích có hại
Bỏ thuốc lá, thuốc lá điện tử, và các sản phẩm chứa nicotine là bước quan trọng giúp bảo vệ men răng và nướu khỏi tổn thương, đồng thời nâng cao sức khỏe tổng thể.
Khám răng định kỳ tại Nha Khoa Sài Gòn
Khám răng định kỳ từ 3-6 tháng/lần giúp phát hiện sớm các dấu hiệu sâu chân răng và các bệnh lý khác để điều trị kịp thời, hạn chế biến chứng nặng nề. Tại Nha Khoa Sài Gòn, bạn sẽ được thăm khám bởi đội ngũ bác sĩ chuyên môn cao cùng hệ thống thiết bị hiện đại.
Quản lý tốt các bệnh lý nền ảnh hưởng đến răng miệng
Các bệnh như tiểu đường có thể làm suy yếu hệ miễn dịch, khiến răng miệng dễ bị viêm nhiễm, sâu răng hơn. Hãy phối hợp điều trị và thăm khám định kỳ để duy trì sức khỏe răng miệng ổn định.
Điều trị sâu chân răng an toàn và hiệu quả tại Nha Khoa Sài Gòn
Sâu chân răng là một trong những bệnh lý răng miệng phổ biến nhưng tiềm ẩn nhiều nguy cơ nếu không được phát hiện và xử lý kịp thời. Hiểu được tầm quan trọng của việc bảo vệ sức khỏe răng miệng, Nha Khoa Sài Gòn đã trở thành địa chỉ tin cậy, được hàng ngàn khách hàng lựa chọn khi cần điều trị sâu chân răng.
Tại Nha Khoa Sài Gòn, đội ngũ bác sĩ chuyên khoa giàu kinh nghiệm và trình độ chuyên môn cao sẽ trực tiếp thăm khám, tư vấn chi tiết và xây dựng phác đồ điều trị phù hợp, đảm bảo loại bỏ triệt để sâu chân răng, mang lại kết quả an toàn và lâu dài cho người bệnh.

Các phương pháp điều trị sâu chân răng đa dạng và hiện đại
Nha Khoa Sài Gòn cung cấp đầy đủ các dịch vụ điều trị sâu chân răng từ nhẹ đến nặng, bao gồm:
-
Tái khoáng răng: Áp dụng các liệu pháp bổ sung Fluoride và sử dụng gel tái khoáng để củng cố men răng, hạn chế sự phát triển của sâu răng.
-
Hàn trám răng sâu: Loại bỏ phần mô răng bị sâu, sau đó trám bằng vật liệu chuyên dụng để phục hồi chức năng và hình dáng răng.
-
Lấy tủy răng: Khi sâu đã ăn vào tủy, bác sĩ sẽ tiến hành lấy tủy, làm sạch khoang tủy và trám bít lại, bảo vệ răng khỏi nhiễm trùng.
-
Nhổ răng sâu: Trong trường hợp răng bị tổn thương nghiêm trọng không thể bảo tồn, bác sĩ sẽ chỉ định nhổ để tránh ảnh hưởng xấu đến các răng xung quanh.
Quy trình điều trị nghiêm ngặt, an toàn tuyệt đối
Nha Khoa Sài Gòn cam kết thực hiện quy trình thăm khám và điều trị theo đúng tiêu chuẩn an toàn vệ sinh của Bộ Y tế. Phòng khám được trang bị hệ thống máy phun sương khử khuẩn hiện đại cùng lò hấp dụng cụ đạt chuẩn nhằm đảm bảo môi trường vô trùng tuyệt đối.
Mỗi khách hàng khi điều trị tại đây đều được sử dụng bộ tay khoan và dụng cụ riêng biệt, loại bỏ hoàn toàn nguy cơ lây nhiễm chéo, bảo vệ sức khỏe tối ưu.
Lợi ích khi điều trị sâu chân răng tại Nha Khoa Sài Gòn
Khi lựa chọn điều trị sâu chân răng tại Nha Khoa Sài Gòn, khách hàng sẽ nhận được nhiều lợi ích thiết thực, giúp bảo vệ sức khỏe răng miệng một cách toàn diện. Cụ thể:
- Giảm nhanh các triệu chứng đau nhức, khó chịu do sâu răng gây ra, giúp bạn cảm thấy thoải mái hơn trong sinh hoạt hàng ngày.
- Ngăn ngừa các biến chứng nghiêm trọng như viêm tủy, áp xe răng hay tiêu xương hàm, hạn chế tối đa nguy cơ ảnh hưởng đến các răng kế cận và sức khỏe chung.
- Giữ gìn thẩm mỹ và chức năng ăn nhai của răng, giúp bạn tự tin hơn trong giao tiếp và ăn uống.
- Được tư vấn kỹ lưỡng và tận tình bởi đội ngũ bác sĩ chuyên nghiệp, giàu kinh nghiệm, đảm bảo phác đồ điều trị phù hợp và hiệu quả nhất cho từng trường hợp.
Nhờ những ưu điểm trên, điều trị sâu chân răng tại Nha Khoa Sài Gòn không chỉ giúp khắc phục bệnh lý mà còn nâng cao chất lượng cuộc sống cho khách hàng.
Để bảo vệ sức khỏe răng miệng và tránh những hậu quả nghiêm trọng do sâu chân răng gây ra, đừng chần chừ mà hãy liên hệ hoặc đến trực tiếp Nha Khoa Sài Gòn để được tư vấn miễn phí và đặt lịch khám nhanh chóng. Với đội ngũ bác sĩ tận tâm và công nghệ hiện đại, chúng tôi cam kết mang đến cho bạn trải nghiệm điều trị tốt nhất và kết quả hài lòng nhất.