Trong cuộc sống hiện đại, sức khỏe răng miệng có ảnh hưởng lớn đến sức khỏe tổng thể. Viêm nha chu là một bệnh lý phổ biến, gây tổn thương nghiêm trọng mô quanh răng và có thể dẫn đến mất răng nếu không điều trị kịp thời. Bài viết này sẽ giúp bạn hiểu rõ nguyên nhân, dấu hiệu, cách điều trị và phòng ngừa để bảo vệ răng miệng hiệu quả.
Viêm nha chu là gì?

Viêm nha chu là bệnh lý nhiễm trùng mạn tính xảy ra tại các mô nâng đỡ răng, bao gồm nướu (lợi), xương hàm và dây chằng nha chu. Khi viêm nha chu tiến triển nặng, bệnh có thể gây tiêu xương ổ răng, làm răng lung lay và thậm chí dẫn đến mất răng vĩnh viễn nếu không được điều trị kịp thời.
Thông thường, viêm nha chu bắt đầu từ tình trạng viêm lợi (viêm nướu) do mảng bám tích tụ lâu ngày. Nếu không được kiểm soát đúng cách, vi khuẩn sẽ xâm nhập sâu hơn vào mô nha chu, gây tổn thương nghiêm trọng và khó phục hồi.
Không chỉ ảnh hưởng đến thẩm mỹ nụ cười, viêm nha chu còn tác động tiêu cực đến sức khỏe tổng thể, làm tăng nguy cơ mắc các bệnh lý toàn thân như tim mạch, tiểu đường và viêm nhiễm mãn tính.
Phân biệt viêm nướu và viêm nha chu
Viêm nướu và viêm nha chu là hai giai đoạn khác nhau của bệnh lý nha chu. Việc phân biệt đúng giúp bạn lựa chọn phương pháp điều trị phù hợp và ngăn ngừa biến chứng hiệu quả.
Viêm nướu (Giai đoạn nhẹ)

Viêm nướu là giai đoạn khởi phát, xảy ra khi vi khuẩn trong mảng bám gây kích ứng và viêm tại mô nướu. Các biểu hiện thường gặp gồm: nướu sưng đỏ, dễ chảy máu khi chải răng hoặc dùng chỉ nha khoa, có thể kèm hôi miệng nhẹ.
Ở giai đoạn này, cấu trúc nâng đỡ răng (xương và dây chằng nha chu) chưa bị tổn thương. Nếu được phát hiện sớm và chăm sóc đúng cách, viêm nướu có thể điều trị dứt điểm và phục hồi hoàn toàn.
Viêm nha chu (Giai đoạn nặng)

Khi viêm nướu không được kiểm soát, tình trạng viêm sẽ lan sâu xuống các mô quanh răng, dẫn đến viêm nha chu. Lúc này, vi khuẩn bắt đầu phá hủy dây chằng và xương hàm, hình thành túi nha chu.
Các dấu hiệu điển hình bao gồm: tụt lợi, hôi miệng kéo dài, răng lung lay, đau nhức và suy giảm chức năng ăn nhai. Nếu không điều trị kịp thời, nguy cơ mất răng là rất cao và tổn thương xương có thể không hồi phục hoàn toàn.
Điểm khác biệt cốt lõi
- Viêm nướu: chỉ viêm mô nướu, có thể chữa khỏi hoàn toàn
- Viêm nha chu: tổn thương sâu đến xương và mô nâng đỡ răng, có nguy cơ mất răng vĩnh viễn
Nhận biết sớm và điều trị đúng giai đoạn là yếu tố quyết định giúp bảo tồn răng thật và duy trì sức khỏe răng miệng lâu dài.
Dấu hiệu và triệu chứng viêm nha chu điển hình

Viêm nha chu thường tiến triển âm thầm nhưng vẫn có những dấu hiệu đặc trưng giúp bạn nhận biết sớm. Việc phát hiện kịp thời sẽ giúp quá trình điều trị đơn giản hơn và hạn chế nguy cơ mất răng.
Một số triệu chứng viêm nha chu phổ biến bao gồm:
- Lợi sưng đỏ, dễ chảy máu
Nướu có dấu hiệu sưng to, đỏ bất thường và dễ chảy máu khi chải răng hoặc sử dụng chỉ nha khoa – đây là dấu hiệu sớm cảnh báo tình trạng viêm nhiễm. - Hôi miệng kéo dài
Hơi thở có mùi khó chịu dù đã vệ sinh răng miệng sạch sẽ, do vi khuẩn tích tụ trong túi nha chu gây ra. - Răng lung lay, yếu dần
Khi mô nâng đỡ răng bị phá hủy, răng sẽ trở nên lỏng lẻo, giảm khả năng ăn nhai và có nguy cơ mất răng nếu không điều trị. - Đau nhức hoặc khó chịu vùng nướu
Người bệnh có thể cảm thấy đau âm ỉ hoặc nhạy cảm quanh vùng lợi và chân răng, đặc biệt khi ăn uống. - Tụt lợi, xuất hiện túi nha chu
Nướu có thể bị tụt xuống làm lộ chân răng, kèm theo sự hình thành túi nha chu chứa vi khuẩn và mủ.
Nhận biết sớm các dấu hiệu viêm nha chu không chỉ giúp điều trị hiệu quả mà còn bảo vệ răng thật, hạn chế các biến chứng nguy hiểm về sau.
Nguyên nhân viêm nha chu và các yếu tố nguy cơ

Viêm nha chu chủ yếu hình thành do sự tích tụ của mảng bám và cao răng trên bề mặt răng, nơi chứa hàng triệu vi khuẩn gây nhiễm trùng nướu và phá hủy mô nâng đỡ răng. Nếu không được kiểm soát kịp thời, tình trạng này có thể tiến triển nhanh và gây ra nhiều biến chứng nghiêm trọng.
Bên cạnh nguyên nhân chính, một số yếu tố nguy cơ dưới đây có thể làm tăng khả năng mắc bệnh hoặc khiến viêm nha chu trở nên nặng hơn:
- Vệ sinh răng miệng không đúng cách
Chải răng sai kỹ thuật, không dùng chỉ nha khoa hoặc không lấy cao răng định kỳ tạo điều kiện cho mảng bám tích tụ lâu ngày. - Bệnh lý toàn thân
Các bệnh như đái tháo đường, tim mạch hoặc rối loạn miễn dịch có thể làm suy giảm khả năng chống lại vi khuẩn, khiến bệnh nha chu dễ tiến triển hơn. - Hút thuốc lá và sử dụng chất kích thích
Thuốc lá làm giảm lưu lượng máu đến nướu, cản trở quá trình lành thương và làm tăng nguy cơ viêm nhiễm kéo dài. - Chế độ ăn uống thiếu cân đối
Thiếu hụt dưỡng chất cần thiết khiến mô nướu suy yếu, giảm khả năng phục hồi và chống vi khuẩn. - Mất cân bằng vitamin (đặc biệt là vitamin C và D)
Vitamin C giúp duy trì sức khỏe nướu, trong khi vitamin D hỗ trợ hấp thu canxi và bảo vệ xương hàm. Thiếu hoặc dư thừa đều có thể ảnh hưởng tiêu cực đến sức khỏe răng miệng. - Tuổi tác và hệ miễn dịch suy giảm
Người lớn tuổi hoặc có hệ miễn dịch yếu thường có nguy cơ mắc viêm nha chu cao hơn và khó kiểm soát bệnh hơn.
Hiểu rõ nguyên nhân và các yếu tố nguy cơ không chỉ giúp bạn chủ động phòng ngừa mà còn hỗ trợ phát hiện sớm, từ đó điều trị viêm nha chu hiệu quả và bảo vệ răng miệng lâu dài.
Bệnh nha chu có nguy hiểm không? Biến chứng khôn lường
Nếu không được điều trị đúng cách và kịp thời, viêm nha chu có thể dẫn đến nhiều biến chứng nguy hiểm như:
- Tiêu xương hàm dẫn đến giảm chiều cao xương và mất cân đối khuôn mặt
- Răng lung lay, phải nhổ bỏ hoặc mất răng vĩnh viễn
- Gây ra các bệnh lý toàn thân như tim mạch, tiểu đường, sinh non ở phụ nữ mang thai
- Nhiễm trùng, áp xe quanh răng, ảnh hưởng nghiêm trọng đến sức khỏe và sinh hoạt hàng ngày
Chính vì vậy, việc phát hiện sớm và điều trị đúng quy trình là điều vô cùng cần thiết.
Giải đáp: Viêm nha chu có lây không?
Thực tế, viêm nha chu không phải là bệnh lây truyền qua đường trực tiếp như các bệnh nhiễm trùng khác. Tuy nhiên, các vi khuẩn gây bệnh có thể lây từ người này sang người khác qua các tiếp xúc như dùng chung dụng cụ, khẩu phần ăn hoặc qua dịch tiết trong miệng. Do đó, giữ vệ sinh răng miệng tốt và hạn chế tiếp xúc gần vẫn là cách phòng tránh tối ưu.
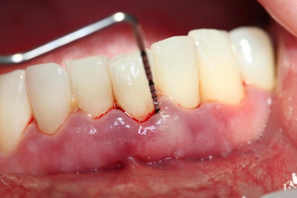
Quy trình chẩn đoán viêm nha chu tại phòng khám

Chẩn đoán chính xác là bước quan trọng giúp bác sĩ xác định mức độ bệnh và xây dựng phác đồ điều trị viêm nha chu hiệu quả, phù hợp với từng bệnh nhân. Tại phòng khám nha khoa, quy trình chẩn đoán thường được thực hiện theo các bước sau:
- Khai thác tiền sử và thói quen sinh hoạt
Bác sĩ sẽ hỏi về tiền sử bệnh lý toàn thân, tình trạng răng miệng trước đây, cũng như các thói quen như hút thuốc, vệ sinh răng miệng… nhằm xác định yếu tố nguy cơ gây bệnh. - Khám lâm sàng răng miệng
Tiến hành kiểm tra trực tiếp để đánh giá tình trạng nướu, mức độ viêm, chảy máu, tụt lợi, độ lung lay của răng và dấu hiệu tiêu xương quanh răng. - Chụp X-quang kiểm tra xương hàm
Hình ảnh X-quang giúp bác sĩ quan sát rõ cấu trúc xương nâng đỡ răng, từ đó phát hiện mức độ tiêu xương và tổn thương nha chu mà mắt thường không thấy được. - Đo độ sâu túi nha chu
Sử dụng dụng cụ chuyên dụng để đo khoảng cách giữa nướu và răng. Đây là chỉ số quan trọng giúp đánh giá mức độ tiến triển của viêm nha chu. - Xét nghiệm vi khuẩn (nếu cần thiết)
Trong một số trường hợp, bác sĩ có thể chỉ định lấy mẫu mảng bám hoặc máu để xác định vi khuẩn gây bệnh, hỗ trợ lựa chọn phương pháp điều trị phù hợp.
Chẩn đoán đúng và đầy đủ không chỉ giúp kiểm soát bệnh hiệu quả mà còn hạn chế tối đa nguy cơ biến chứng, bảo tồn răng thật lâu dài.
Các phương pháp điều trị viêm nha chu chuyên sâu

Tùy vào mức độ viêm nha chu, bác sĩ sẽ chỉ định phương pháp điều trị phù hợp nhằm kiểm soát nhiễm trùng, bảo tồn răng thật và phục hồi mô nha chu hiệu quả. Các phương pháp phổ biến gồm:
Điều trị khẩn cấp
Trong giai đoạn cấp tính với biểu hiện đau, sưng, có mủ, bác sĩ sẽ tiến hành làm sạch mảng bám và cao răng, loại bỏ ổ vi khuẩn gây viêm. Đồng thời, có thể kê đơn thuốc giảm đau, kháng viêm hoặc kháng sinh nhằm kiểm soát nhiễm trùng nhanh chóng và giảm triệu chứng khó chịu.
Điều trị không phẫu thuật
Đây là phương pháp điều trị nền tảng, thường áp dụng cho các trường hợp viêm nha chu nhẹ đến trung bình. Bao gồm cạo vôi răng, làm sạch túi nha chu và xử lý bề mặt chân răng để loại bỏ vi khuẩn. Mục tiêu là giúp nướu lành lại, giảm viêm và hạn chế tình trạng răng lung lay.
Điều trị phẫu thuật
Khi bệnh đã tiến triển nặng, các phương pháp không phẫu thuật không còn hiệu quả, bác sĩ sẽ chỉ định can thiệp phẫu thuật. Các kỹ thuật có thể bao gồm làm sạch sâu túi nha chu, tái tạo xương, ghép mô hoặc điều chỉnh nướu nhằm phục hồi cấu trúc nâng đỡ răng và cải thiện thẩm mỹ.
Điều trị duy trì
Sau khi hoàn tất điều trị chính, việc chăm sóc duy trì đóng vai trò then chốt. Bệnh nhân cần tái khám định kỳ, lấy cao răng và kiểm tra tình trạng nha chu theo hướng dẫn của bác sĩ để ngăn ngừa tái phát và duy trì kết quả lâu dài.
Cách phòng ngừa và chăm sóc răng miệng tại nhà

Chế độ chăm sóc đúng cách đóng vai trò giữ gìn sức khỏe răng miệng lâu dài để tránh bệnh nha chu:
Kỹ thuật chải răng đúng cách và dùng chỉ nha khoa
Chải răng ít nhất hai lần mỗi ngày bằng bàn chải mềm, đảo đều các mặt răng và lợi, chải nhẹ nhàng để không gây tổn thương lợi. Dùng chỉ nha khoa ít nhất một lần mỗi ngày để loại bỏ mảng bám giữa các răng nơi bàn chải không thể làm sạch.
Sử dụng nước súc miệng kháng khuẩn phù hợp
Chọn loại nước súc miệng chứa Chlorohexidin hoặc thành phần chống vi khuẩn để giúp kiểm soát mảng bám, giảm viêm lợi.
Chế độ dinh dưỡng tăng cường sức khỏe nướu
Ăn nhiều rau xanh, trái cây chứa vitamin C, D, canxi và các khoáng chất có lợi cho răng và lợi. Hạn chế đồ ngọt, đồ ăn chứa nhiều tinh bột và axit làm mòn men răng.
Điều trị viêm nha chu tại Nha khoa Sài Gòn Phong Phú
Nha khoa Sài Gòn Phong Phú là địa chỉ uy tín trong điều trị viêm nha chu, được nhiều khách hàng tin tưởng nhờ quy trình chuẩn y khoa và chất lượng dịch vụ ổn định. Phòng khám chú trọng ứng dụng công nghệ hiện đại, kết hợp với đội ngũ bác sĩ giàu kinh nghiệm nhằm mang lại hiệu quả điều trị tối ưu và an toàn cho từng bệnh nhân.

Tại đây, khách hàng được thăm khám kỹ lưỡng và xây dựng phác đồ điều trị cá nhân hóa, phù hợp với từng mức độ bệnh. Các dịch vụ điều trị nha chu được triển khai toàn diện, bao gồm:
- Thăm khám, chẩn đoán và tư vấn chuyên sâu
- Cạo vôi răng, làm sạch túi nha chu
- Điều trị bảo tồn và kiểm soát vi khuẩn gây bệnh
- Điều trị nội nha khi có biến chứng liên quan
- Phẫu thuật nha chu và phục hồi mô nâng đỡ răng
Với hệ thống trang thiết bị hiện đại, quy trình vô trùng nghiêm ngặt và sự tận tâm trong từng khâu điều trị, Nha khoa Sài Gòn Phong Phú mang đến trải nghiệm an tâm, giúp khách hàng kiểm soát viêm nha chu hiệu quả và duy trì sức khỏe răng miệng lâu dài.
Câu hỏi thường gặp về viêm nha chu
Viêm nha chu có chữa khỏi hoàn toàn được không?
Vâng, nếu phát hiện sớm và điều trị đúng phương pháp, viêm nha chu hoàn toàn có thể chữa khỏi và duy trì được sự khỏe mạnh của răng, lợi. Tuy nhiên, trong các trường hợp nặng, bệnh có thể để lại di chứng xương tiêu hoặc tổn thương mô, cần các phương pháp điều trị duy trì và phòng ngừa lâu dài.
Chi phí điều trị viêm nha chu bao nhiêu tiền?
Chi phí phụ thuộc vào mức độ bệnh nặng nhẹ, phương pháp điều trị và cơ sở nha khoa. Thông thường, chi phí cạo vôi, điều trị nội nha dao động trong khoảng từ vài trăm đến vài triệu đồng. Các ca phẫu thuật hoặc điều trị nâng cao có thể cao hơn, bạn nên thăm khám trực tiếp để được tư vấn cụ thể.
Lấy cao răng có giúp hết viêm nha chu không?
Lấy cao răng giúp loại bỏ mảng bám, vi khuẩn, giảm viêm lợi, thường xuyên là bước quan trọng trong quá trình điều trị và phòng ngừa. Tuy nhiên, nếu bệnh đã chuyển nặng, việc lấy cao răng chưa đủ, phải kết hợp điều trị chuyên sâu của bác sĩ nha khoa.
Kết luận
Viêm nha chu là căn bệnh phổ biến nhưng có thể phòng tránh và điều trị hiệu quả nếu phát hiện sớm. Việc duy trì vệ sinh răng miệng đúng cách, định kỳ làm sạch và thăm khám tại nha khoa là chìa khóa giúp bảo vệ sức khỏe răng miệng lâu dài. Hi vọng bài viết cung cấp cho bạn đọc những thông tin cần thiết để nhận biết, phòng ngừa và xử lý kịp thời khi gặp phải các dấu hiệu của bệnh.