Răng sâu nặng thường đi kèm với những cơn đau nhức dữ dội, gây khó khăn trong ăn uống và sinh hoạt. Câu hỏi phổ biến nhất mà các bác sĩ tại Nha khoa Sài Gòn Phong Phú nhận được là: “Răng sâu nặng có trám được không?“. Liệu việc trám răng có thực sự hiệu quả hay cần đến những phương pháp phục hình phức tạp hơn? Bài viết này sẽ cung cấp cho bạn cái nhìn chuyên sâu và lộ trình điều trị an toàn nhất.

Răng sâu nặng là gì?
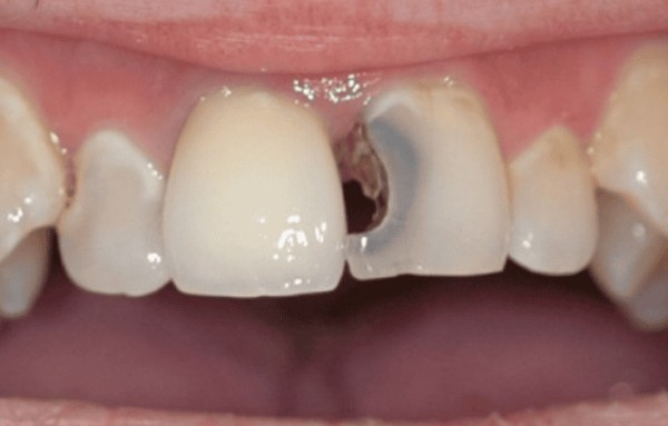
Răng sâu nặng không chỉ đơn thuần là những lỗ đen nhỏ trên bề mặt men răng. Đây là giai đoạn vi khuẩn đã phá hủy đáng kể cấu trúc răng, xâm nhập sâu vào lớp ngà răng hoặc thậm chí là buồng tủy.
Các dấu hiệu nhận biết răng đã sâu ở mức độ nghiêm trọng:
- Đau nhức kéo dài: Cơn đau xuất hiện tự nhiên, đặc biệt là vào ban đêm.
- Lỗ sâu lớn: Bạn có thể dễ dàng nhìn thấy hoặc cảm nhận bằng lưỡi những khoảng trống lớn, thức ăn thường xuyên bị mắc kẹt.
- Nhạy cảm quá mức: Răng ê buốt cực độ khi tiếp xúc với đồ ăn nóng, lạnh hoặc chua cay.
- Biến màu: Răng có thể chuyển sang màu nâu sậm, xám hoặc đen hoàn toàn.

Răng sâu nặng có trám được không? Giải đáp từ chuyên gia
Nhiều bệnh nhân thường thắc mắc liệu kỹ thuật trám răng có còn hiệu quả khi lỗ sâu đã lan rộng và gây đau nhức? Thực tế, trám răng là giải pháp bảo tồn lý tưởng cho các trường hợp sâu răng mức độ nhẹ (sâu men, sâu ngà nông) với lỗ sâu nhỏ. Bác sĩ sẽ tiến hành nạo sạch mô bệnh và lấp đầy khoảng trống bằng vật liệu chuyên dụng để ngăn chặn vi khuẩn xâm nhập.

Tuy nhiên, đối với tình trạng răng sâu nặng, việc có trám được hay không sẽ phụ thuộc vào kết quả thăm khám lâm sàng và hình ảnh X-quang. Dưới đây là 3 kịch bản điều trị phổ biến nhất:
- Trường hợp lỗ sâu lớn nhưng chưa tổn thương tủy: Bác sĩ vẫn có thể chỉ định trám thẩm mỹ. Tuy nhiên, bạn cần lưu ý đây thường chỉ là giải pháp tạm thời. Do diện tích tiếp xúc lớn, miếng trám dễ bị bong tróc hoặc nứt vỡ dưới áp lực ăn nhai mạnh. Để đạt hiệu quả bền vững hơn, phương pháp Inlay/Onlay hoặc bọc sứ sẽ được ưu tiên đề xuất.
- Trường hợp răng sâu đã biến chứng viêm tủy: Khi vi khuẩn xâm nhập vào buồng tủy gây đau buốt, quy trình bắt buộc là phải thực hiện điều trị tủy răng trước. Sau khi ống tủy được làm sạch và hàn kín, bác sĩ sẽ tiến hành phục hồi thân răng. Các chuyên gia khuyến cáo bạn nên kết hợp bọc răng sứ vì răng sau khi lấy tủy thường trở nên giòn, dễ nứt vỡ nếu chỉ trám thông thường.
- Trường hợp răng bị phá hủy cấu trúc nghiêm trọng: Nếu răng sâu quá nặng dẫn đến nhiễm trùng chân răng, hình thành nang chân răng hoặc không còn đủ mô răng để làm trụ đỡ, nha sĩ sẽ chỉ định nhổ răng để bảo vệ xương hàm và các răng kế cận. Sau khi nhổ, bạn nên sớm cân nhắc trồng răng Implant để khôi phục chức năng ăn nhai.
Lời khuyên từ Bác sĩ Nha khoa Sài Gòn Phong Phú: Để xác định chính xác phương án điều trị tối ưu và tiết kiệm chi phí, bạn nên đến trực tiếp phòng khám tại 1789 Quốc Lộ 50, Bình Chánh để được chụp phim và tư vấn miễn phí.
Tham khảo thêm: Răng bị đen ở mặt trong là gì? Cách xử lý hiệu quả
Những lưu ý quan trọng để kéo dài tuổi thọ khi trám răng sâu nặng
Trong trường hợp răng bị tổn thương lớn nhưng vẫn đủ điều kiện để bảo tồn bằng phương pháp trám, việc chăm sóc và lựa chọn kỹ thuật đúng đắn đóng vai trò quyết định đến hiệu quả điều trị. Dưới đây là những vấn đề cốt lõi mà bệnh nhân cần lưu ý:
- Lựa chọn vật liệu trám tối ưu: Trên thị trường hiện nay có nhiều loại vật liệu như Amalgam hay GIC (Fuji). Tuy nhiên, với các lỗ sâu răng nặng, vật liệu Composite thường được các bác sĩ tại Nha khoa Sài Gòn Phong Phú ưu tiên sử dụng. Composite không chỉ có màu sắc tương đồng với răng thật mà còn có khả năng chịu lực khá tốt và độ bám dính cao, giúp hạn chế tối đa việc xâm lấn thêm mô răng thật.
- Chế độ ăn uống và lực nhai: Sau khi thực hiện trám răng, bạn cần hạn chế tối đa việc ăn các loại thực phẩm quá dai, cứng hoặc cần lực cắn mạnh. Do diện tích mối trám lớn, sức chịu tải của răng sẽ kém hơn răng nguyên vẹn, việc nhai vật cứng rất dễ khiến miếng trám bị di lệch, nứt vỡ hoặc bong ra khỏi vị trí ban đầu. Bạn nên tìm hiểu kỹ bài viết sau khi trám răng bao lâu thì ăn được để bảo vệ vết trám trong những giờ đầu tiên.
- Hiểu đúng về thời gian sử dụng: Tuổi thọ trung bình của một mối trám răng thường dao động từ 2 – 3 năm hoặc có thể lâu hơn tùy vào cách chăm sóc. Tuy nhiên, bệnh nhân cần lưu ý rằng các mối hàn ở vị trí răng sâu lớn thường kém bền vững hơn so với trám răng thông thường. Khi mô răng thật còn lại quá ít, miếng trám sẽ thiếu điểm tựa, dẫn đến tuổi thọ sử dụng bị rút ngắn.
- Theo dõi và xử lý dấu hiệu bất thường: Nếu sau khi trám bạn phát hiện các dấu hiệu như cộm cấn, đau nhức khi ăn nhai hoặc miếng trám có kẽ hở, hãy đến gặp nha sĩ ngay để được kiểm tra. Trong nhiều trường hợp răng sâu quá nặng không thể duy trì miếng trám lâu dài, bác sĩ sẽ tư vấn các giải pháp phục hình bền vững hơn như bọc răng sứ, làm Inlay, Onlay hoặc Overlay để bảo vệ răng thật khỏi nguy cơ gãy vỡ.
- Vệ sinh răng miệng đúng cách: Răng sâu nặng sau khi trám vẫn có nguy cơ bị sâu tái phát dưới lớp vật liệu trám nếu không được vệ sinh kỹ. Hãy sử dụng chỉ nha khoa và nước súc miệng thường xuyên để loại bỏ mảng bám tại các kẽ răng, nơi bàn chải khó chạm tới.
Việc tuân thủ các lưu ý trên không chỉ giúp bạn duy trì hàm răng khỏe mạnh mà còn tiết kiệm đáng kể chi phí điều trị phát sinh về sau. Nếu bạn đang gặp tình trạng răng đau nhức hoặc lỗ sâu lan rộng, hãy liên hệ ngay hotline 0917 91 93 98 để được các bác sĩ tư vấn giải pháp phù hợp nhất.
Các giải pháp phục hình và cách phòng ngừa sâu răng nặng tiến triển
Khi tình trạng sâu răng đã vượt quá khả năng phục hồi của các kỹ thuật trám thông thường, bác sĩ tại Nha khoa Sài Gòn Phong Phú sẽ chỉ định các phương pháp chuyên sâu nhằm bảo tồn tối đa răng thật và đảm bảo chức năng ăn nhai lâu dài.
Chữa tủy kết hợp trám phục hồi
Khi vi khuẩn phá hủy lớp men và ngà răng, xâm nhập trực tiếp vào buồng tủy gây ra những cơn đau nhức dữ dội hoặc tình trạng áp xe, việc điều trị tủy răng là quy trình bắt buộc để bảo tồn răng thật. Bác sĩ sẽ thực hiện lấy sạch mô tủy bị nhiễm trùng, sát khuẩn kỹ lưỡng và hàn kín ống tủy bằng vật liệu chuyên dụng để ngăn chặn sự tái phát của vi khuẩn.

Sau khi tủy đã được xử lý ổn định, bước tiếp theo là tiến hành trám phục hồi bằng vật liệu Composite thẩm mỹ cao cấp. Kỹ thuật này không chỉ giúp lấp đầy khoảng trống, khôi phục hình dáng và màu sắc tự nhiên ban đầu của răng mà còn tái tạo chức năng ăn nhai. Tuy nhiên, vì răng đã lấy tủy thường trở nên giòn và dễ nứt vỡ, các chuyên gia tại Nha khoa Sài Gòn Phong Phú khuyên bạn nên kết hợp bọc sứ để bảo vệ răng một cách toàn diện và bền vững nhất.
Bọc răng sứ thẩm mỹ
Đối với những trường hợp răng bị sâu phá hủy diện tích lớn, cấu trúc răng trở nên yếu và giòn, các chuyên gia nha khoa thường chỉ định bọc răng sứ thẩm mỹ thay vì trám răng thông thường. Đây được coi là “giải pháp vàng” giúp bảo tồn răng thật một cách tối ưu và bền vững nhất.
Khác với trám răng chỉ lấp đầy lỗ hổng, bọc sứ là kỹ thuật chế tác một mão răng giả có hình dáng, màu sắc và kích thước y hệt răng thật để chụp lên trên phần cùi răng đã được xử lý sạch ổ sâu. Phương pháp này mang lại những lợi ích vượt trội:
- Bảo vệ toàn diện: Mão sứ đóng vai trò như một lớp vỏ bọc kiên cố, ngăn chặn hoàn toàn sự tấn công của vi khuẩn và axit từ thực phẩm vào sâu trong ngà răng và tủy răng.
- Phục hồi chức năng ăn nhai: Răng sứ có độ cứng cao hơn men răng thật, giúp bạn thoải mái ăn uống mà không lo lắng về tình trạng nứt vỡ mô răng vốn đã bị suy yếu do sâu nặng.
- Thẩm mỹ tối đa: Xử lý triệt để tình trạng răng bị đen, xỉn màu hoặc lỗ sâu lớn gây mất thẩm mỹ, trả lại nụ cười tự tin với độ trắng sáng tự nhiên.
- Tuổi thọ bền lâu: Nếu được thực hiện đúng kỹ thuật và chăm sóc tốt, răng sứ có thể tồn tại từ 10 – 20 năm, cao hơn rất nhiều so với tuổi thọ của các mối hàn trám thông thường.
Tại Nha khoa Sài Gòn Phong Phú, quy trình bọc sứ cho răng sâu nặng được thực hiện tỉ mỉ dưới sự hỗ trợ của công nghệ CAD/CAM hiện đại, đảm bảo mão sứ khít sát tuyệt đối, không gây cộm cấn hay hôi miệng. Nếu bạn đang băn khoăn về tình trạng răng của mình, hãy liên hệ hotline 0917 91 93 98 để được các bác sĩ tư vấn loại sứ phù hợp với chi phí tiết kiệm nhất.

Kỹ thuật Inlay/Onlay
Khi các lỗ sâu răng quá rộng khiến kỹ thuật hàn trám trực tiếp bằng Composite không còn đảm bảo độ bền, nhưng cấu trúc răng vẫn chưa hư hại đến mức phải bọc toàn sứ, thì Inlay/Onlay chính là “giải pháp trung gian” hoàn hảo nhất.
Khác biệt hoàn toàn với trám răng thông thường, Inlay và Onlay là những miếng phục hình được chế tác cá nhân hóa tại phòng Labo dựa trên dấu hàm thực tế của bệnh nhân:
- Inlay: Được sử dụng khi lỗ sâu nằm gọn bên trong các đỉnh múi răng. Miếng sứ được đúc chính xác để khít sát vào khoảng trống, ngăn ngừa hoàn toàn tình trạng giắt thức ăn.
- Onlay: Áp dụng cho những trường hợp sâu răng nặng hơn, lan rộng ra một hoặc nhiều múi răng. Onlay giúp tái tạo bề mặt nhai, bảo vệ các múi răng còn lại khỏi nguy cơ nứt vỡ.

Tại sao Inlay/Onlay vượt trội hơn hẳn trám răng truyền thống?
- Độ bền cực cao: Được chế tác từ khối sứ nguyên chất, Inlay/Onlay có khả năng chịu lực tương đương men răng thật, không bị co ngót hay đổi màu theo thời gian.
- Khít sát hoàn hảo: Nhờ công nghệ lấy dấu chính xác, miếng phục hình ôm sát khít vào mô răng thật, loại bỏ kẽ hở – nơi vi khuẩn thường tấn công gây sâu răng tái phát.
- Bảo tồn tối đa răng thật: So với bọc răng sứ, kỹ thuật Inlay/Onlay yêu cầu mài răng ít hơn rất nhiều, giúp giữ lại tối đa phần cấu trúc răng khỏe mạnh của bạn.
- Tính thẩm mỹ tuyệt đối: Màu sứ được so tông chính xác với màu răng tự nhiên, giúp vết phục hình hoàn toàn “vô hình” trên cung hàm.
Thiết lập thói quen vệ sinh răng miệng chuẩn y khoa
Vệ sinh răng miệng kém chính là “thủ phạm” hàng đầu dẫn đến các bệnh lý về răng, đặc biệt là tình trạng sâu răng nặng. Theo các chuyên gia tại Nha khoa Sài Gòn Phong Phú, việc thiết lập một quy trình chăm sóc răng miệng đúng cách không chỉ giúp hơi thở thơm mát mà còn bảo vệ cấu trúc răng thật lâu dài. Bạn nên duy trì thói quen đánh răng tối thiểu 2 lần mỗi ngày (vào buổi sáng khi thức dậy và buổi tối trước khi đi ngủ), lý tưởng nhất là vệ sinh sau mỗi bữa ăn để loại bỏ hoàn toàn mảng bám và thức ăn thừa.
Kỹ thuật chải răng đóng vai trò then chốt: Bạn hãy nghiêng bàn chải một góc 45 độ sao cho lông bàn chải tiếp xúc đều cả răng và nướu. Khi thực hiện, hãy xoay tròn bàn chải một cách nhẹ nhàng thay vì kéo ngang để tránh gây hại men răng, dẫn đến tình trạng mòn cổ chân răng hoặc chảy máu nướu. Hãy đảm bảo vệ sinh tất cả các mặt: mặt trong, mặt ngoài đối với răng cửa và thêm mặt nhai đối với các nhóm răng hàm.
Để nâng cao hiệu quả làm sạch sâu, bạn nên ưu tiên sử dụng bàn chải lông mềm và kết hợp thêm các công cụ hỗ trợ như máy tăm nước hoặc chỉ nha khoa. Những thiết bị này giúp loại bỏ vi khuẩn tại các kẽ răng – nơi bàn chải thông thường khó chạm tới. Cuối cùng, đừng quên kết hợp súc miệng với nước muối sinh lý hoặc nước súc miệng chuyên dụng để sát khuẩn toàn diện khoang miệng, giúp ngăn ngừa tình trạng sâu răng tái phát hiệu quả.
Duy trì chế độ ăn uống khoa học
Chế độ ăn uống đóng vai trò quyết định trong việc bảo vệ men răng và ngăn chặn sự phát triển của vi khuẩn gây hại. Để phòng ngừa sâu răng hiệu quả, các chuyên gia tại Nha khoa Sài Gòn Phong Phú khuyến nghị bạn nên ưu tiên bổ sung các nhóm thực phẩm giàu chất xơ, canxi, vitamin và muối khoáng vào khẩu phần ăn hàng ngày. Những dưỡng chất này không chỉ giúp răng chắc khỏe từ bên trong mà còn hỗ trợ quá trình tái khoáng hóa men răng tự nhiên.
Ngược lại, bạn cần hạn chế tối đa việc tiêu thụ các loại thực phẩm chứa nhiều đường và tinh bột như bánh kẹo, nước ngọt có ga hay đồ ăn vặt dẻo dính. Đây vốn là môi trường lý tưởng để vi khuẩn chuyển hóa thành axit, tấn công men răng và gây ra các lỗ sâu mới. Đặc biệt, thói quen uống đủ 1,5 – 2 lít nước mỗi ngày là vô cùng quan trọng; nước giúp duy trì độ ẩm trong khoang miệng, kích thích tiết nước bọt để trung hòa axit và rửa trôi mảng bám, từ đó hạn chế tối đa nguy cơ viêm nhiễm hay đau chân răng.
Ngoài việc ăn uống điều độ, bạn cũng nên chú ý vệ sinh răng miệng ngay sau khi thưởng thức các món ăn có hàm lượng đường cao. Việc kết hợp giữa dinh dưỡng hợp lý và chăm sóc đúng cách sẽ giúp bạn tránh khỏi những biến chứng phức tạp, giúp răng luôn sáng khỏe và giảm thiểu chi phí điều trị tại nha khoa.

Thăm khám nha khoa định kỳ 6 tháng/lần
Các chuyên gia nha khoa luôn khuyến cáo bệnh nhân nên duy trì thói quen thăm khám sức khỏe răng miệng định kỳ từ 3 – 6 tháng/lần. Đây được xem là thói quen quan trọng nhất giúp bạn kiểm soát hoàn toàn tình trạng sức khỏe răng miệng, đồng thời phát hiện sớm các dấu hiệu viêm nhiễm hoặc sâu răng ngay từ giai đoạn “chớm nở”. Việc can thiệp kịp thời ở giai đoạn đầu không chỉ giúp quy trình điều trị trở nên đơn giản, nhẹ nhàng mà còn giúp bạn tiết kiệm tối đa chi phí so với việc điều trị các biến chứng nặng sau này.
Đặc biệt, nếu nhận thấy bất kỳ dấu hiệu bất thường nào như đau chân răng, nướu sưng đỏ hoặc răng nhạy cảm khi ăn uống, bạn cần đến ngay cơ sở y tế uy tín để được bác sĩ tư vấn chuyên môn. Tuyệt đối không nên chủ quan tự xử lý tại nhà bằng các mẹo dân gian hoặc tự ý mua thuốc, bởi việc xử trí sai cách có thể khiến tình trạng sâu răng trở nên trầm trọng hơn, dẫn đến nguy cơ hoại tử tủy và mất răng vĩnh viễn. Tại Nha khoa Sài Gòn Phong Phú, quy trình thăm khám luôn đi kèm với việc tầm soát tổng thể, giúp bạn yên tâm sở hữu hàm răng chắc khỏe và nụ cười rạng rỡ nhất.
Quy trình điều trị răng sâu nặng chuẩn y khoa tại Nha khoa Sài Gòn Phong Phú
Tại Nha khoa Sài Gòn Phong Phú, chúng tôi hiểu rằng điều trị răng sâu nặng không chỉ là lấp đầy lỗ hổng mà là một quá trình phục hồi chức năng và bảo tồn răng thật tối đa. Để đảm bảo an toàn tuyệt đối và tính thẩm mỹ bền vững, quy trình điều trị tại phòng khám được thực hiện nghiêm ngặt qua các bước chuẩn y khoa sau:

- Thăm khám lâm sàng và chụp X-quang kỹ thuật số: Đây là bước quan trọng nhất để bác sĩ xác định chính xác mức độ tổn thương. Thông qua hình ảnh X-quang, chúng tôi đánh giá được độ sâu của lỗ hổng, tình trạng chân răng và xem xét vi khuẩn đã xâm nhập vào buồng tủy hay chưa, từ đó đưa ra phác đồ điều trị phù hợp nhất.
- Vệ sinh khoang miệng và sát khuẩn vùng điều trị: Bác sĩ tiến hành loại bỏ sạch sẽ các mảng bám và nạo bỏ hoàn toàn mô răng đã bị vi khuẩn phá hủy. Quá trình này được thực hiện tỉ mỉ để đảm bảo không còn mầm bệnh sót lại, ngăn ngừa tối đa nguy cơ sâu răng tái phát dưới miếng trám hoặc mão sứ.
- Điều trị tủy công nghệ mới (nếu có biến chứng): Trong trường hợp răng sâu đã gây viêm tủy, bác sĩ sẽ tiến hành điều trị tủy răng bằng thiết bị hiện đại. Kỹ thuật lấy tủy tại nha khoa đảm bảo diễn ra nhẹ nhàng, nhanh chóng và kiểm soát đau nhức tối ưu cho bệnh nhân.
- Tạo hình và phục hồi thân răng chuyên sâu: Tùy vào diện tích mô răng còn lại, bác sĩ sẽ tiến hành trám răng thẩm mỹ bằng vật liệu Composite cao cấp hoặc lấy dấu hàm để chế tác bọc răng sứ. Mão sứ hoặc miếng trám sẽ được thiết kế chuẩn xác để khôi phục lại hình dáng và màu sắc tự nhiên như răng thật.
- Kiểm tra khớp cắn và hoàn thiện: Bước cuối cùng là tinh chỉnh khớp cắn để đảm bảo bệnh nhân ăn nhai thoải mái, không gặp tình trạng cộm cấn hay khó chịu. Bác sĩ cũng sẽ hướng dẫn chi tiết cách chăm sóc và vệ sinh tại nhà để kéo dài tuổi thọ của răng sau điều trị.
Việc tuân thủ quy trình khép kín này giúp loại bỏ hoàn toàn ổ viêm nhiễm, bảo vệ xương hàm và tránh được nguy cơ phải nhổ răng vĩnh viễn. Nếu bạn đang gặp những cơn đau nhức khó chịu, hãy đến ngay địa chỉ 1789 Quốc Lộ 50, xã Phong Phú, Bình Chánh để được các chuyên gia của chúng tôi thăm khám và tư vấn trực tiếp.
Chi phí điều trị răng sâu nặng tại Nha khoa Sài Gòn Phong Phú
Mức chi phí điều trị răng sâu nặng không có một con số cố định mà phụ thuộc vào phương pháp phục hình bạn lựa chọn, vị trí răng (răng hàm hay răng cửa) và mức độ tổn thương thực tế của tủy răng. Tại Nha khoa Sài Gòn Phong Phú, chúng tôi luôn đặt tiêu chí minh bạch tài chính lên hàng đầu, giúp khách hàng hoàn toàn chủ động trong việc lập kế hoạch chăm sóc răng miệng. Dưới đây là bảng giá tham khảo cho các dịch vụ phục hồi răng sâu phổ biến hiện nay:
| Dịch vụ điều trị | Đơn giá tham khảo (VNĐ) | Ghi chú |
| Trám răng thẩm mỹ (Composite) | 200.000 – 500.000 / răng | Tùy vào kích thước lỗ sâu và vật liệu |
| Điều trị tủy răng (Nội nha) | 500.000 – 1.500.000 / răng | Tùy thuộc vào số lượng ống tủy |
| Bọc răng sứ thẩm mỹ | Chỉ từ 1.000.000 / răng | Bảo vệ toàn diện cho răng sau chữa tủy |
| Phục hình Inlay/Onlay sứ | Từ 3.000.000 / răng | Giải pháp phục hình răng sâu lớn bền vững |
Lưu ý: Bảng giá trên mang tính chất tham khảo. Để có báo giá chính xác nhất dựa trên tình trạng răng thực tế và phim chụp X-quang, quý khách nên đến trực tiếp phòng khám để bác sĩ thăm khám cụ thể.

Chúng tôi thấu hiểu rằng, việc trì hoãn điều trị do lo ngại về chi phí có thể khiến răng sâu “ăn” mòn nụ cười và dẫn đến những biến chứng nguy hiểm như áp xe xương hàm hoặc mất răng vĩnh viễn. Khi đó, việc phục hồi sẽ trở nên phức tạp và tốn kém hơn rất nhiều. Nếu bạn đang gặp phải những cơn đau nhức khó chịu, hãy liên hệ ngay với đội ngũ bác sĩ giàu kinh nghiệm tại nha khoa để được hỗ trợ kịp thời. Chúng tôi hỗ trợ thăm khám và tư vấn hoàn toàn miễn phí, giúp bạn tìm ra giải pháp tối ưu và tiết kiệm nhất cho sức khỏe nụ cười của mình.
Nha khoa Sài Gòn Phong Phú – Tận tâm vì nụ cười cộng đồng
- Địa chỉ: 1789 Quốc Lộ 50, xã Phong Phú, Bình Chánh, Tp.HCM
- Hotline: 0917 91 93 98
- Email: nhakhoasaigonbc@gmail.com
- Website: nhakhoasaigonsmile.com
Giải đáp các thắc mắc thường gặp về răng sâu nặng có trám được không
Dưới đây là tổng hợp những câu hỏi mà bệnh nhân thường quan tâm nhất khi đến thăm khám tình trạng răng sâu tại Nha khoa Sài Gòn Phong Phú:
Trám răng sâu nặng có đau không?
Với sự phát triển của công nghệ nha khoa hiện đại, việc điều trị răng sâu nặng tại cơ sở của chúng tôi hoàn toàn không gây đau đớn như nhiều người lo ngại. Trước khi tiến hành nạo sạch vết sâu hay thực hiện điều trị tủy răng, bác sĩ sẽ sử dụng thuốc tê chuyên dụng và công nghệ gây tê tiên tiến, giúp vùng điều trị hoàn toàn mất cảm giác. Toàn bộ quy trình diễn ra êm ái, nhẹ nhàng, giúp bệnh nhân gạt bỏ hoàn toàn nỗi sợ hãi khi ngồi trên ghế nha khoa.
Sau khi thực hiện trám răng xong có được ăn ngay không?
Thời gian ăn uống sau khi điều trị sẽ phụ thuộc vào vật liệu mà bạn lựa chọn. Nếu bạn thực hiện trám răng thẩm mỹ bằng vật liệu Composite, vật liệu này sẽ đông cứng ngay lập tức dưới ánh sáng đèn quang trùng hợp, do đó bạn có thể ăn uống nhẹ nhàng sau khoảng 30 – 60 phút. Tuy nhiên, để đảm bảo miếng trám có độ bền tối ưu và không bị kích ứng, bạn nên tham khảo kỹ bài hướng dẫn: sau khi trám răng bao lâu thì ăn được để có chế độ chăm sóc răng miệng khoa học nhất.
Răng sâu nặng đã trám liệu có bền vững mãi mãi không?
Thực tế, tuổi thọ của một mối trám răng sâu nặng thường không vĩnh viễn và phụ thuộc nhiều vào thói quen sinh hoạt. Vì diện tích mô răng thật còn lại ít, miếng trám lớn sẽ chịu áp lực lớn khi ăn nhai. Do đó, các bác sĩ thường khuyến cáo bệnh nhân sau khi trám nên theo dõi định kỳ hoặc cân nhắc bọc sứ để đạt hiệu quả bảo tồn lâu dài nhất.