Răng cửa không chỉ đóng vai trò quan trọng trong việc cắn xé thức ăn mà còn là “mặt tiền” quyết định sự tự tin của mỗi người khi giao tiếp. Một khi răng cửa gặp vấn đề như mẻ, thưa, lệch lạc hoặc sâu răng, nó ảnh hưởng trực tiếp đến tâm lý và sức khỏe răng miệng toàn diện.
Trong bài viết này, đội ngũ bác sĩ tại Nha khoa Sài Gòn Phong Phú sẽ giúp bạn hiểu rõ về cấu tạo răng cửa và những giải pháp can thiệp y khoa hiện đại nhất để sở hữu nụ cười rạng rỡ.
Răng cửa là răng số mấy? Vị trí và cấu tạo chi tiết
Để hiểu tại sao răng cửa lại dễ bị tổn thương hoặc cần các kỹ thuật phục hình tỉ mỉ, chúng ta cần nắm rõ đặc điểm sinh học và cấu trúc giải phẫu của nhóm răng này.

Vị trí và số lượng răng cửa trên cung hàm
Ở một người trưởng thành có bộ răng hoàn chỉnh, tổng cộng sẽ có 8 chiếc răng cửa, được chia đều cho cả hai hàm:
- Vị trí: Nằm ở khu vực trung tâm, phía trước nhất của cung hàm.
- Phân loại theo số thứ tự:
- Răng số 1 (Răng cửa trung tâm): Gồm 2 chiếc hàm trên và 2 chiếc hàm dưới nằm sát đường giữa mặt.
- Răng số 2 (Răng cửa bên): Gồm 2 chiếc hàm trên và 2 chiếc hàm dưới, nằm kế bên răng số 1 và tiếp giáp với nhóm răng nanh.
Đặc điểm hình dáng giải phẫu đặc trưng
Khác với răng hàm có bề mặt rộng để nghiền, răng cửa có hình dáng giống như một lưỡi dao hoặc chiếc xẻng với rìa cắn mỏng và sắc.
- Mặt trước (Mặt môi): Có xu hướng hơi lồi, thường xuất hiện 3 gờ dọc tạo thành 2 rãnh dọc giúp răng trông tự nhiên và bắt sáng.
- Mặt sau (Mặt lưỡi): Có hình dáng hơi lõm để hỗ trợ việc đón và giữ thức ăn khi cắn.
- Chân răng: Thuộc nhóm răng 1 chân đơn, chân răng thường dài và dẹt, có thể hơi cong về phía sau tùy theo cơ địa mỗi người.

Cấu tạo 3 lớp chuẩn Y khoa
Mặc dù hình dáng khác nhau, nhưng về mặt mô học, răng cửa vẫn được cấu tạo bởi 3 lớp bảo vệ nghiêm ngặt:
- Men răng: Lớp ngoài cùng bao phủ thân răng, là mô cứng nhất trong cơ thể người. Nó đóng vai trò “áo giáp” bảo vệ răng khỏi các tác nhân axit và ngoại lực.
- Ngà răng: Nằm dưới lớp men, cấu tạo từ các ống ngà (dentin). Ngà răng có độ đàn hồi tốt hơn men răng nhưng nhạy cảm hơn. Đây là bộ phận truyền dẫn cảm giác nóng, lạnh, chua, ngọt đến tủy.
- Tủy răng: Nằm sâu trong trung tâm, chứa hệ thống mạch máu và dây thần kinh giúp nuôi dưỡng răng sống khỏe mạnh.
Chi tiết kích thước từng loại răng cửa
Mỗi chiếc răng cửa lại có thông số kích thước riêng biệt để đảm bảo sự hài hòa cho nụ cười:
| Loại răng | Kích thước trung bình | Đặc điểm nhận dạng |
| Răng cửa trung tâm hàm trên | 23.5 – 25.5 mm | Là chiếc răng cửa lớn nhất, quyết định thẩm mỹ chính của nụ cười. |
| Răng cửa bên hàm trên | 21 – 25 mm | Nhỏ hơn răng số 1 một chút, giúp tạo đường cung răng mềm mại. |
| Răng cửa trung tâm hàm dưới | 19 – 23 mm | Chiếc răng nhỏ nhất trong toàn bộ hệ thống răng miệng, chân răng dẹt. |
| Răng cửa bên hàm dưới | 20 – 24 mm | Lớn hơn răng cửa trung tâm hàm dưới một chút, hình dáng tương đồng. |
Chức năng quan trọng của răng cửa đối với cơ thể
Nhiều người thường lầm tưởng rằng răng hàm mới là nhóm răng quan trọng nhất để ăn nhai. Tuy nhiên, theo các chuyên gia tại Nha khoa Sài Gòn Phong Phú, răng cửa đóng vai trò là “mắt xích đầu tiên” trong quy trình vận hành của cơ thể với 3 nhóm chức năng then chốt:
Chức năng ăn nhai – “Mắt xích” đầu tiên của hệ tiêu hóa
Răng cửa không đơn thuần là “mặt tiền” của nụ cười, mà trong y khoa, chúng được xem là mắt xích đầu tiên và quan trọng nhất trong toàn bộ quy trình tiêu hóa.
- Cơ chế “Kéo sắc bén”: Răng cửa sở hữu rìa cắn mỏng và sắc, hoạt động tương tự như một chiếc kéo chuyên dụng. Nhiệm vụ duy nhất và then chốt của chúng là cắn đứt, chia nhỏ thức ăn ngay khi đưa vào khoang miệng.
- Tối ưu hóa hóa học tiêu hóa: Khi thức ăn được răng cửa cắt nhỏ, diện tích tiếp xúc với các enzyme (như Amylase trong nước bọt) sẽ tăng lên đáng kể. Điều này tạo điều kiện lý tưởng cho quá trình phân hủy protein, carbohydrate và chất béo diễn ra ngay tại khoang miệng, giúp thức ăn dễ dàng được hấp thụ hơn khi xuống đến dạ dày.
- Hỗ trợ và giảm tải cho răng hàm: Khi răng cửa hoàn thành tốt nhiệm vụ “sơ chế”, răng hàm sẽ không phải làm việc quá sức để nghiền nát thức ăn thô. Điều này giúp bảo vệ men răng hàm và ngăn ngừa các bệnh lý về dạ dày do thức ăn không được làm nhỏ đúng cách.

Hệ lụy khi răng cửa gặp vấn đề: Thực tế lâm sàng tại Nha khoa Sài Gòn Phong Phú cho thấy, những bệnh nhân gặp tình trạng răng cửa bị mẻ, gãy, vỡ hoặc khớp cắn lệch (răng hô, mọc quặp) thường có xu hướng nuốt thức ăn miếng lớn. Tình trạng này kéo dài không chỉ gây áp lực cực lớn lên hệ tiêu hóa mà còn làm tăng nguy cơ viêm loét dạ dày và các bệnh về đường ruột.
Bảo vệ răng cửa chính là cách bạn bảo vệ hệ tiêu hóa từ “cổng vào”. Đừng chủ quan với những vết mẻ nhỏ, bởi nó có thể là khởi đầu cho một chuỗi vấn đề sức khỏe toàn thân.
Chức năng phát âm và ngôn ngữ
Ít ai biết rằng, răng cửa không chỉ dùng để cắn xé thức ăn mà còn là bộ phận không thể thiếu để tạo nên giọng nói chuẩn xác. Theo các chuyên gia ngôn ngữ và nha khoa, khả năng phát âm của con người phụ thuộc chặt chẽ vào sự hiện diện và vị trí của nhóm răng này.
- Điểm tựa tạo âm (Articulatory Point): Để phát ra các âm tiết cụ thể (đặc biệt là âm răng, âm môi-răng và âm gió như: s, x, v, ph, th…), lưỡi và môi cần phải tiếp xúc trực tiếp hoặc tựa sát vào mặt sau của răng cửa trên và dưới.
- Điều tiết và kiểm soát luồng hơi: Răng cửa đóng vai trò như một “vách ngăn” điều phối luồng hơi đi ra từ phổi. Khi răng cửa mọc đều khít, luồng hơi được kiểm soát ổn định, giúp âm thanh phát ra tròn vành, rõ chữ.
- Hệ lụy khi răng cửa khiếm khuyết:
- Răng thưa/Mất răng: Tạo ra khoảng trống khiến luồng hơi bị “thoát” ra ngoài quá nhiều khi nói, dẫn đến tình trạng nói ngọng, nói đớt hoặc phát âm bị âm gió quá mức.
- Răng hô/Móm/Lệch lạc: Làm thay đổi sự tương quan giữa lưỡi và răng, khiến âm thanh bị biến dạng, không còn độ trong và chuẩn xác, gây khó khăn cho người nghe.
Nếu bạn đang gặp khó khăn trong việc phát âm do răng cửa mọc lệch hoặc mất răng, các phương pháp chỉnh nha (niềng răng) hoặc phục hình sứ không chỉ giúp cải thiện thẩm mỹ “nhìn” mà còn nâng cấp cả chất lượng “nghe”. Việc điều chỉnh khớp cắn về đúng vị trí chuẩn Y khoa sẽ giúp bạn lấy lại giọng nói tự nhiên, rõ ràng và đầy tự tin trong giao tiếp.
Chức năng quan trọng của răng cửa đối với sức khỏe và thẩm mỹ
Nhiều người thường chỉ chú trọng đến răng hàm khi nói về chức năng ăn nhai, nhưng thực tế, răng cửa đảm nhận những vai trò sinh lý và thẩm mỹ mang tính “sống còn” cho toàn bộ cơ thể. Tại Nha khoa Sài Gòn Phong Phú, chúng tôi luôn nhấn mạnh với bệnh nhân rằng răng cửa chính là “mắt xích vàng” khởi đầu hệ tiêu hóa. Với cấu tạo rìa cắn mỏng và sắc bén như một chiếc kéo chuyên dụng, nhóm răng này thực hiện nhiệm vụ cắn đứt và chia nhỏ thức ăn ngay khi đưa vào khoang miệng, giúp quy trình tiêu hóa diễn ra thuận lợi hơn:
- Hỗ trợ hóa học tiêu hóa: Việc chia nhỏ thức ăn làm tăng diện tích tiếp xúc với các enzyme (như Amylase trong nước bọt), giúp phân hủy protein và carbohydrate hiệu quả ngay từ khoang miệng.
- Giảm tải cho răng hàm và dạ dày: Khi răng cửa hoàn thành tốt nhiệm vụ “sơ chế”, răng hàm sẽ dễ dàng nghiền nát thức ăn thô, từ đó ngăn ngừa các bệnh lý về dạ dày do thức ăn quá lớn.
- Duy trì thói quen ăn nhai lành mạnh: Ngăn chặn các hệ lụy từ việc nuốt trọng thức ăn do răng cửa bị mẻ, gãy hoặc lệch khớp cắn.
Bên cạnh đó, răng cửa còn là “cánh cửa” định hình ngôn ngữ. Khả năng phát âm rõ ràng, chuẩn xác phụ thuộc rất lớn vào sự hiện diện và vị trí của các răng này trên cung hàm. Để tạo ra âm thanh tròn vành rõ chữ, lưỡi và môi cần có một điểm tựa vững chắc để điều tiết luồng hơi thoát ra từ phổi. Cụ thể:
- Điểm tựa tạo âm (Articulatory Point): Là vị trí tiếp xúc trực tiếp để phát ra các âm răng, âm môi-răng và âm gió đặc trưng như: s, x, th, v, ph, tr…
- Kiểm soát luồng hơi: Giúp âm thanh không bị “thoát” ra ngoài quá nhiều, ngăn chặn tình trạng nói ngọng, nói đớt hoặc âm phát ra bị đục, thiếu độ trong.
- Cải thiện chất lượng giao tiếp: Việc chỉnh sửa răng cửa mọc lệch lạc thông qua chỉnh nha sẽ giúp lấy lại giọng nói tự nhiên và sự tự tin khi truyền đạt thông tin.
Cuối cùng, không thể không nhắc đến vai trò kiến tạo cấu trúc khuôn mặt và chống lão hóa của nhóm răng cửa vĩnh viễn. Răng cửa không chỉ nằm ở “mặt tiền” để tạo nên nụ cười đẹp mà còn đóng vai trò là khung xương nâng đỡ cho toàn bộ tầng mặt dưới. Nếu răng cửa chắc khỏe và đều đặn, khuôn mặt bạn sẽ duy trì được nét thanh xuân lâu dài nhờ những lợi ích sau:
- Nâng đỡ môi và má: Giúp cơ môi đầy đặn, khuôn mặt cân đối và hài hòa, tránh tình trạng môi bị hụp hoặc móm vào trong.
- Ngăn ngừa tiêu xương hàm: Hoạt động ăn nhai của răng cửa kích thích xương hàm duy trì mật độ, ngăn chặn quá trình tiêu xương gây chảy xệ cơ mặt và xuất hiện nếp nhăn sớm.
- Tái tạo tâm lý tự tin: Khắc phục các khiếm khuyết như răng thưa, ố vàng hay sứt mẻ giúp giải tỏa rào cản tâm lý, giúp bạn sẵn sàng đón nhận những cơ hội mới trong cuộc sống.

Tầm quan trọng đặc biệt của răng cửa sữa đối với sự phát triển của trẻ
Răng cửa sữa, hay còn được gọi với cái tên thân thương là “những chiếc răng cười”, đóng vai trò trung tâm trong hành trình khôn lớn đầu đời của bé. Thông thường, những chiếc răng này bắt đầu mọc từ khi trẻ được 6 tháng tuổi và hoàn thiện bộ 8 chiếc (4 hàm trên, 4 hàm dưới) vào khoảng 16 tháng tuổi. Đây không chỉ là cột mốc đánh dấu khả năng ăn dặm mà còn là nền tảng cốt lõi cho sức khỏe răng miệng vĩnh viễn sau này. Tại Nha khoa Sài Gòn Phong Phú, các bác sĩ luôn lưu ý phụ huynh rằng răng cửa sữa không đơn thuần là răng tạm thời, mà chúng sở hữu những chức năng sinh lý đặc biệt quan trọng:
- Công cụ ăn nhai đầu đời: Răng cửa sữa hoạt động tương tự như một chiếc kéo nhỏ, giúp trẻ cắn và xé nhỏ thức ăn thô. Sự tiếp xúc nhịp nhàng giữa hai hàm răng cửa khi khép miệng giúp trẻ làm quen với các cấu trúc thực phẩm đa dạng, hỗ trợ hệ tiêu hóa còn non nớt của bé hoạt động tốt hơn.
- Hỗ trợ phát triển ngôn ngữ: Răng cửa đóng vai trò là “điểm tựa” để lưỡi và môi phối hợp tạo ra âm thanh. Sự hiện diện đầy đủ của nhóm răng này giúp trẻ phát âm chính xác, tròn chữ và hạn chế tối đa nguy cơ nói ngọng trong giai đoạn học nói quan trọng.
- Kiến tạo thẩm mỹ và cấu trúc khuôn mặt: Răng cửa sữa giúp định hình hình dáng môi và nâng đỡ cấu trúc má, tạo nên sự cân đối cho gương mặt trẻ. Những chiếc răng trắng đều không chỉ giúp bé có nụ cười tự tin mà còn ảnh hưởng đến diện mạo tổng thể khi xương hàm đang trong giai đoạn phát triển mạnh mẽ.
Vai trò quan trọng nhất và thường bị phụ huynh bỏ qua chính là khả năng định hướng cho răng vĩnh viễn. Răng cửa sữa giữ chỗ và tạo điều kiện cho các răng vĩnh viễn (bao gồm cả răng nanh và răng hàm) mọc đúng vị trí khớp cắn sau này. Nếu răng cửa sữa bị mất sớm do sâu răng nghiêm trọng hoặc chấn thương, các răng lân cận có xu hướng xê dịch vào khoảng trống, dẫn đến việc răng vĩnh viễn mọc lên bị lệch lạc, khấp khểnh hoặc chen chúc.
Việc chăm sóc răng cửa sữa ngay từ những ngày đầu mọc răng là vô cùng cần thiết để tránh những biến chứng về khớp cắn sau này. Nếu phụ huynh tại khu vực Bình Chánh nhận thấy dấu hiệu răng sữa của bé bị sâu đen hoặc sứt mẻ, hãy đưa trẻ đến ngay Nha khoa Sài Gòn Phong Phú để được thăm khám kịp thời. Bảo vệ tốt “những chiếc răng cười” chính là cách tốt nhất để đảm bảo bé có một hàm răng vĩnh viễn đều đẹp và khỏe mạnh trong tương lai.
Các vấn đề thường gặp ở răng cửa và giải pháp điều trị chuyên sâu
Trong quá trình thăm khám thực tế tại Nha khoa Sài Gòn Phong Phú, chúng tôi nhận thấy răng cửa là nhóm răng chịu nhiều áp lực nhất từ cả tác động ngoại lực lẫn mảng bám vi khuẩn. Việc nhận diện sớm các dấu hiệu hư tổn và hiểu rõ nguyên nhân sẽ giúp bệnh nhân có hướng điều trị kịp thời, bảo tồn tối đa răng thật. Dưới đây là tổng hợp các bệnh lý phổ biến và các phương pháp can thiệp y khoa hiện đại nhất hiện nay:
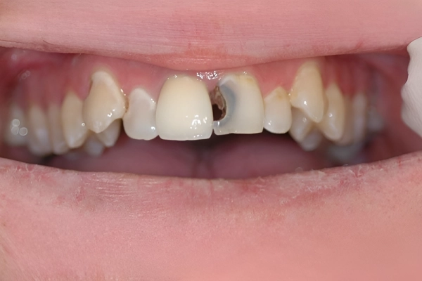
Tình trạng răng cửa bị nứt, gãy, sứt mẻ
Đây là vấn đề thẩm mỹ cấp bách nhất, thường xuất phát từ các chấn thương do tai nạn, thói quen nghiến răng khi ngủ, hoặc sử dụng răng cửa để cắn vật cứng (đá viên, nắp chai). Khi lớp men răng bị mất đi, ngà răng lộ ra khiến răng trở nên nhạy cảm, ê buốt và dễ bị vi khuẩn tấn công sâu vào tủy. Tùy vào mức độ tổn thương, bác sĩ sẽ chỉ định:
- Hàn trám thẩm mỹ (Bonding): Sử dụng nhựa Composite có màu sắc tương đồng răng thật để bù đắp phần khuyết hụt.
- Tái gắn mảnh vỡ: Nếu bệnh nhân còn giữ được mảnh răng gãy trong điều kiện bảo quản tốt (ngâm trong sữa hoặc nước muối sinh lý), bác sĩ có thể tiến hành gắn lại trực tiếp.
- Bọc răng sứ hoặc dán sứ Veneer: Áp dụng cho các vết vỡ lớn hoặc nứt dọc thân răng, giúp bảo vệ toàn diện và tái tạo hình dáng răng hoàn hảo.
- Điều trị tủy: Cần thiết nếu vết nứt đã chạm đến buồng tủy để ngăn chặn nhiễm trùng và giữ lại chân răng.
Sâu răng cửa
Khác với răng hàm, sâu răng cửa thường xuất hiện dưới dạng các lỗ đen li ti hoặc vết xỉn màu ở mặt trong, kẽ răng hoặc sát đường viền nướu (sâu chân răng). Nguyên nhân chủ yếu do chế độ ăn nhiều đường và việc vệ sinh kẽ răng chưa đúng cách bằng chỉ nha khoa. Vì men răng cửa khá mỏng, sâu răng có thể tiến triển rất nhanh vào tủy nếu không được xử lý:
- Trám răng sâu: Loại bỏ mô răng bệnh và lấp đầy bằng vật liệu chuyên dụng để ngăn chặn sâu răng lan rộng.
- Chữa tủy và phục hình: Khi vi khuẩn đã xâm nhập gây đau nhức, bác sĩ sẽ lấy tủy sạch sẽ trước khi bọc sứ để đảm bảo răng chắc khỏe.
- Nhổ răng và trồng Implant: Giải pháp cuối cùng nếu răng đã bị phá hủy hoàn toàn không thể cứu chữa, nhằm khôi phục chức năng ăn nhai và thẩm mỹ.

Sai lệch vị trí và răng cửa thưa
Tình trạng răng cửa mọc hô (chìa), móm (quặp), răng chen chúc hoặc xoay hình chữ V (răng cánh bướm) không chỉ gây mất tự tin mà còn làm sai lệch khớp cắn nghiêm trọng. Những vấn đề này thường do yếu tố di truyền hoặc các thói quen xấu từ nhỏ như mút tay, đẩy lưỡi. Để khắc phục triệt để, nha khoa áp dụng các liệu trình:
- Chỉnh nha (Niềng răng): Sử dụng mắc cài hoặc khay niềng trong suốt để dịch chuyển răng về đúng vị trí chuẩn trên cung hàm (thời gian từ 1 – 3 năm).
- Bọc răng sứ thẩm mỹ: Giải pháp tối ưu cho các trường hợp răng thưa hoặc lệch lạc nhẹ muốn có kết quả nhanh chóng trong 2-3 ngày.
- Phẫu thuật hàm: Chỉ định đặc biệt khi sai lệch xuất phát từ cấu trúc xương hàm, giúp tái cấu trúc toàn diện khuôn mặt.
Mòn men răng và tụt lợi răng cửa
Đây là những tổn thương âm thầm nhưng để lại hệ lụy lớn. Mòn men răng khiến răng ngắn lại, mỏng manh và đổi màu vàng ố do lộ ngà. Trong khi đó, tụt lợi làm lộ cổ và chân răng, khiến răng lung lay và mất tính thẩm mỹ “hồng hào” của nướu. Nguyên nhân thường gặp là do chải răng quá mạnh theo chiều ngang, hút thuốc lá lâu ngày hoặc các bệnh lý trào ngược axit dạ dày:
- Sử dụng Fluoride chuyên sâu: Dùng kem đánh răng hoặc nước súc miệng nồng độ Fluoride cao để tái khoáng hóa men răng ở giai đoạn nhẹ.
- Lấy cao răng và điều trị nha chu: Loại bỏ mảng bám vi khuẩn gây viêm nướu, giúp nướu săn chắc và bám sát cổ răng.
- Phẫu thuật ghép nướu: Đối với tình trạng tụt lợi nặng, bác sĩ sẽ tiến hành ghép mô nướu để che phủ chân răng bị lộ, bảo vệ răng khỏi nguy cơ rụng sớm.
- Mài nhẵn và đánh bóng: Xử lý các vết mòn cơ học nhẹ để tránh tình trạng thức ăn giắt vào gây sâu răng thêm.

Giải pháp điều trị và phục hình răng cửa tại Nha khoa Sài Gòn Phong Phú
Tại Nha khoa Sài Gòn Phong Phú, chúng tôi thấu hiểu rằng mỗi nụ cười là một bản sắc riêng biệt. Vì vậy, quy trình phục hình răng cửa luôn được bắt đầu bằng việc thăm khám kỹ lưỡng để đưa ra phác đồ cá nhân hóa, tối ưu giữa tính thẩm mỹ, chức năng ăn nhai và khả năng tài chính của từng khách hàng. Dưới đây là các phương pháp phục hình răng cửa tiên tiến đang được áp dụng thành công cho hàng ngàn bệnh nhân tại khu vực Bình Chánh:
Hàn trám răng thẩm mỹ (Composite Bonding)
Đây là kỹ thuật được ưu tiên cho những khiếm khuyết nhỏ như răng cửa bị mẻ li ti hoặc sâu răng giai đoạn đầu. Bác sĩ sử dụng vật liệu Composite cao cấp có độ trong và màu sắc tương đồng đến 99% so với răng thật để bù đắp phần mô răng bị thiếu.
- Ưu điểm: Thời gian thực hiện cực nhanh (chỉ từ 15-20 phút), chi phí thấp (từ 200.000 – 500.000 VNĐ) và hoàn toàn không xâm lấn răng thật.
- Hạn chế: Độ bền cơ học không cao bằng sứ, vật liệu có thể bị xỉn màu sau 2-3 năm do tác động của thực phẩm màu (trà, cà phê).

Bọc răng sứ thẩm mỹ
Giải pháp này được chỉ định cho các trường hợp răng cửa bị vỡ lớn, răng nhiễm màu kháng sinh nặng (Tetracycline) không thể tẩy trắng hoặc răng bị hô, móm nhẹ. Bằng cách sử dụng các mão sứ toàn phần để bao bọc toàn bộ thân răng, phương pháp bọc răng sứ giúp bảo vệ cấu trúc bên trong và tái tạo nụ cười chuẩn tỷ lệ vàng.
- Lợi ích vượt trội: Hình dáng và màu sắc tinh tế như răng thật, độ bền lên đến 15-20 năm và khả năng chịu lực cực tốt.
- Dòng sứ khuyên dùng: Chúng tôi ưu tiên các loại răng toàn sứ như Zirconia, Cercon HT hoặc Lava Plus để đảm bảo tính sinh học cao, không gây đen viền nướu và mang lại vẻ đẹp tự nhiên nhất.
Dán sứ Veneer bảo tồn
Được mệnh danh là “đỉnh cao” của nha khoa thẩm mỹ hiện đại, mặt dán sứ Veneer là lựa chọn hàng đầu cho những khách hàng mong muốn nụ cười hoàn mỹ nhưng ngại mài răng. Bác sĩ chỉ cần xử lý một lớp bề mặt răng siêu mỏng (từ 0.3mm – 0.5mm) rồi dán cố định miếng sứ tinh tế lên trên.
- Đặc điểm: Bảo tồn tối đa răng thật, không gây ê buốt hay cộm vướng.
- Hiệu quả: Mang lại vẻ đẹp trong bóng tự nhiên, kiến tạo nụ cười rạng rỡ mà vẫn giữ được cấu trúc răng gốc khỏe mạnh.

Niềng răng (Chỉnh nha) và Cấy ghép Implant
Đối với những trường hợp sai lệch khớp cắn nghiêm trọng hoặc mất răng, các giải pháp chuyên sâu sẽ được can thiệp để đảm bảo sức khỏe răng miệng lâu dài. Niềng răng giúp dịch chuyển răng cửa về đúng vị trí mà không cần bọc sứ, trong khi Implant là giải pháp tối ưu nhất cho người bị mất hoàn toàn răng cửa.
- Niềng răng: Sử dụng mắc cài hoặc khay niềng trong suốt để khắc phục răng hô, móm, khấp khểnh một cách căn cơ nhất.
- Trồng răng Implant: Khôi phục cả chân răng lẫn thân răng, giúp ngăn chặn tình trạng tiêu xương hàm và mang lại cảm giác ăn nhai chân thật như răng tự nhiên.
Mỗi phương pháp điều trị tại Nha khoa Sài Gòn Phong Phú đều được thực hiện bởi đội ngũ bác sĩ chuyên khoa giàu kinh nghiệm lâm sàng cùng trang thiết bị hiện đại. Chúng tôi cam kết mang lại giải pháp không chỉ đẹp ở hiện tại mà còn khỏe mạnh và bền vững trong tương lai.
Bảng giá tham khảo dịch vụ điều trị răng cửa
Để giúp quý khách hàng tại Bình Chánh và khu vực lân cận dễ dàng cân đối tài chính, Nha khoa Sài Gòn Phong Phú xin đưa ra bảng giá niêm yết các dịch vụ liên quan đến răng cửa:
| Dịch vụ | Loại vật liệu | Chi phí tham khảo (VNĐ) |
| Trám răng thẩm mỹ | Composite (Nhật/Đức) | 200.000 – 500.000 /răng |
| Bọc răng sứ | Răng sứ Titan | 2.500.000 /răng |
| Bọc răng sứ | Răng toàn sứ Zirconia | 3.500.000 – 4.500.000 /răng |
| Dán sứ Veneer | Emax / Lisi | 6.000.000 – 8.000.000 /răng |
| Trồng răng Implant | Implant Biotem (Hàn Quốc) | 16.100.000 /trụ |
| Tẩy trắng răng | Công nghệ Laser | 1.500.000 – 2.500.000 /liệu trình |
Lưu ý: Mức giá có thể thay đổi tùy theo tình trạng bệnh lý cụ thể của bệnh nhân. Quý khách nên đến trực tiếp phòng khám tại 1789 Quốc Lộ 50, Bình Chánh để được bác sĩ thăm khám và báo giá chính xác nhất.
Quy trình điều trị răng cửa chuẩn Y khoa tại Nha khoa Sài Gòn Phong Phú
Tại Nha khoa Sài Gòn Phong Phú, sự an toàn của bệnh nhân và độ chính xác trong thẩm mỹ luôn được đặt lên hàng đầu. Chúng tôi cam kết tuân thủ nghiêm ngặt quy trình kiểm soát nhiễm khuẩn của Bộ Y tế, đảm bảo mọi ca phục hình răng cửa từ đơn giản đến phức tạp đều diễn ra trong môi trường vô trùng tuyệt đối. Quy trình điều trị khép kín không chỉ giúp rút ngắn thời gian chờ đợi mà còn mang lại kết quả bền vững, hạn chế tối đa các biến chứng hậu phẫu cho khách hàng tại Bình Chánh:

- Bước 1: Thăm khám tổng quát và chụp X-quang kỹ thuật số: Đây là bước nền tảng để bác sĩ đánh giá toàn diện sức khỏe răng miệng. Thông qua hình ảnh X-quang, chúng tôi xác định chính xác tình trạng tủy răng, mật độ xương hàm và các bệnh lý ẩn dưới nướu mà mắt thường không thấy được. Việc phân tích kỹ cấu trúc xương giúp bác sĩ đưa ra chẩn đoán chính xác: liệu răng cửa của bạn chỉ cần trám thẩm mỹ hay phải can thiệp chuyên sâu như chữa tủy, bọc sứ hoặc cấy ghép Implant.
- Bước 2: Tư vấn phác đồ điều trị cá nhân hóa: Dựa trên kết quả phim chụp và nhu cầu thực tế của bệnh nhân, bác sĩ chuyên khoa sẽ phân tích chi tiết ưu và nhược điểm của từng phương pháp điều trị. Chúng tôi luôn đề cao sự minh bạch, tư vấn rõ ràng về chi phí, thời gian thực hiện và độ bền của từng loại vật liệu để khách hàng hoàn toàn chủ động trong quyết định của mình.
- Bước 3: Vệ sinh khoang miệng và sát khuẩn chuyên sâu: Để đảm bảo môi trường điều trị an toàn, bệnh nhân sẽ được vệ sinh răng miệng, lấy cao răng (nếu cần) và sát khuẩn vùng răng cửa cần điều trị. Tại Nha khoa Sài Gòn Phong Phú, mọi thiết bị, dụng cụ đều được xử lý qua hệ thống hấp sấy vô trùng công nghệ cao, loại bỏ hoàn toàn nguy cơ lây nhiễm chéo giữa các bệnh nhân.
- Bước 4: Tiến hành điều trị với công nghệ hiện đại: Tùy vào phác đồ, bác sĩ sẽ sử dụng các thiết bị tiên tiến như máy mài siêu âm giảm rung chấn, công nghệ lấy dấu hàm kỹ thuật số 3D thay cho cách lấy dấu truyền thống. Điều này không chỉ giúp bệnh nhân cảm thấy nhẹ nhàng, không đau đớn mà còn đảm bảo các miếng trám hoặc mão sứ có độ khít sát tuyệt đối, chuẩn xác đến từng micromet.
- Bước 5: Kiểm tra khớp cắn và hoàn thiện thẩm mỹ: Bước cuối cùng nhưng cực kỳ quan trọng là hiệu chỉnh khớp cắn. Bác sĩ sẽ kiểm tra kỹ lưỡng sự tương quan giữa răng cửa hàm trên và hàm dưới để đảm bảo bệnh nhân ăn nhai thoải mái, không cộm vướng. Sau đó, răng sẽ được đánh bóng tinh xảo để đạt được độ bóng khỏe, trắng sáng tự nhiên, hài hòa tuyệt đối với các răng lân cận.
Sau khi kết thúc quy trình điều trị, bệnh nhân sẽ được bác sĩ hướng dẫn chi tiết cách chăm sóc răng tại nhà và lịch tái khám định kỳ. Sự kết hợp giữa tay nghề bác sĩ dày dặn kinh nghiệm lâm sàng và quy trình chuẩn Y khoa tại Nha khoa Sài Gòn Phong Phú chính là lời cam kết mạnh mẽ nhất cho một nụ cười rạng rỡ, khỏe mạnh từ bên trong. Chúng tôi tin rằng, một quy trình minh bạch không chỉ mang lại kết quả đẹp mà còn củng cố niềm tin tuyệt đối nơi khách hàng.
Cách chăm sóc răng cửa sau điều trị để bền đẹp lâu dài
Răng cửa là nhóm răng “mặt tiền”, thường có cấu trúc mỏng manh hơn răng hàm, đặc biệt là sau khi đã trải qua các can thiệp như trám răng thẩm mỹ, bọc sứ hay dán sứ Veneer. Việc duy trì độ bền và vẻ đẹp trắng sáng của răng cửa phụ thuộc rất lớn vào chế độ hậu phẫu và thói quen sinh hoạt hàng ngày của bệnh nhân. Tại Nha khoa Sài Gòn Phong Phú, các bác sĩ luôn nhấn mạnh rằng kết quả điều trị chỉ thực sự thành công khi khách hàng biết cách bảo vệ “tài sản” của mình đúng phương pháp y khoa để kéo dài tuổi thọ phục hình:
- Loại bỏ các thói quen gây áp lực cơ học quá tải: Răng cửa được thiết kế sinh học để cắt xé thức ăn mềm, không phải để chịu lực tác động quá mạnh theo phương ngang hoặc lực ép đột ngột. Bệnh nhân tuyệt đối không nên sử dụng răng cửa để mở nắp chai, cắn móng tay, nhai đá lạnh hoặc cắn các loại hạt quá cứng. Những tác động cơ học này có thể làm bong tróc miếng trám, gây nứt vỡ mão sứ hoặc làm lệch lạc kết quả chỉnh nha hiện có.
- Xây dựng quy trình vệ sinh răng miệng chuyên sâu: Để ngăn chặn tình trạng viêm nướu hoặc sâu răng tái phát tại vị trí cổ răng phục hình, việc làm sạch là yếu tố tiên quyết. Bạn nên sử dụng bàn chải lông siêu mềm, chải nhẹ nhàng theo chiều dọc để tránh làm mòn cổ răng và tụt lợi. Đặc biệt, việc kết hợp chỉ nha khoa hoặc máy tăm nước là bắt buộc để loại bỏ hoàn toàn mảng bám vi khuẩn ở các kẽ răng cửa – nơi mà bàn chải thông thường khó có thể tiếp cận hiệu quả.
- Điều chỉnh chế độ ăn uống và hạn chế thực phẩm sẫm màu: Đối với những trường hợp hàn trám hoặc dán sứ, bề mặt răng nhân tạo vẫn có nguy cơ bị bám màu theo thời gian. Bạn nên hạn chế tối đa các loại đồ uống đậm màu như trà, cà phê, rượu vang đỏ hoặc nước uống có gas. Nếu sử dụng thực phẩm chứa sắc tố, hãy súc miệng bằng nước lọc ngay sau đó để ngăn chặn sự xỉn màu, giữ cho răng cửa luôn duy trì được độ trong bóng và trắng sáng tự nhiên.
- Tái khám định kỳ và vệ sinh nha khoa chuyên nghiệp: Lịch hẹn định kỳ 6 tháng/lần là thời điểm vàng để bác sĩ tại Nha khoa Sài Gòn Phong Phú kiểm tra độ khít sát của răng sứ, độ ổn định của các miếng trám và tình trạng sức khỏe của nướu. Việc lấy cao răng định kỳ sẽ giúp loại bỏ các ổ vi khuẩn gây hôi miệng và viêm nha chu, giúp răng cửa luôn chắc khỏe và bám trụ vững chắc trên cung hàm.
Việc tuân thủ nghiêm ngặt các hướng dẫn chăm sóc không chỉ giúp răng cửa bền đẹp lâu dài mà còn giúp bạn tiết kiệm đáng kể chi phí điều trị lại trong tương lai. Nếu nhận thấy bất kỳ dấu hiệu bất thường nào như răng đột ngột ê buốt, miếng trám bị cộm vướng hay nướu bị sưng đỏ, hãy liên hệ ngay với Hotline 0917 91 93 98 để được các bác sĩ tại Nha khoa Sài Gòn Phong Phú hỗ trợ can thiệp nhanh chóng và kịp thời nhất.
Nếu bạn đang gặp bất kỳ vấn đề nào về răng cửa, hãy liên hệ ngay với chúng tôi để được bác sĩ chuyên khoa tư vấn trực tiếp và miễn phí:
- Địa chỉ: 1789 Quốc Lộ 50, xã Phong Phú, Bình Chánh, Tp.HCM
- Hotline: 0917 91 93 98
- Email: nhakhoasaigonbc@gmail.com
- Website: nhakhoasaigonsmile.com
ở hữu một hàm răng cửa đều đẹp không chỉ là nhu cầu thẩm mỹ mà còn là bảo vệ sức khỏe lâu dài. Đừng để những khiếm khuyết nhỏ làm mất đi sự tự tin của bạn. Nha khoa Sài Gòn Phong Phú luôn sẵn sàng đồng hành cùng nụ cười của bạn!
Câu hỏi thường gặp về răng cửa
Răng cửa bị mẻ có hàn trám được không hay bắt buộc bọc sứ?
Nếu vết mẻ nhỏ, hàn trám Composite là giải pháp nhanh và rẻ. Tuy nhiên, nếu vết mẻ chiếm hơn 1/3 diện tích răng, bạn nên bọc sứ để đảm bảo độ bền vững khi ăn nhai.
Răng cửa thưa nên niềng hay bọc sứ nhanh hơn?
Bọc sứ chỉ mất khoảng 2-3 ngày là xong nhưng phải mài răng. Niềng răng mất từ 1-2 năm nhưng bảo tồn răng thật 100%. Lựa chọn tùy thuộc vào mức độ thưa và mong muốn của bạn.
Nha khoa Sài Gòn Phong Phú có hỗ trợ trả góp không?
Có. Chúng tôi hỗ trợ trả góp 0% lãi suất cho các dịch vụ Niềng răng và Implant để hỗ trợ khách hàng tại Bình Chánh tối ưu chi phí.