Niềng răng lệch lạc là giải pháp nha khoa giúp khắc phục tình trạng răng mọc sai vị trí, chen chúc hoặc không đều, mang lại hàm răng thẳng hàng và nụ cười tự tin. Tình trạng răng lệch lạc không chỉ ảnh hưởng đến thẩm mỹ khuôn mặt mà còn gây khó khăn trong ăn nhai và vệ sinh răng miệng. Trong bài viết này, chúng ta sẽ cùng tìm hiểu nguyên nhân dẫn đến niềng răng lệch lạc, các phương pháp chỉnh nha phổ biến hiện nay cũng như chi phí thực hiện để bạn có sự chuẩn bị tốt nhất trước khi bắt đầu hành trình cải thiện nụ cười.
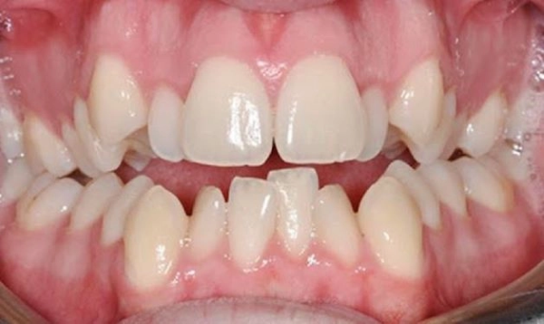
Răng lệch lạc là gì? Dấu hiệu nhận biết phổ biến
Răng lệch lạc là tình trạng các răng mọc không đúng vị trí trên cung hàm. Điều này thường dẫn đến các biểu hiện như:
- Răng chen chúc: Các răng mọc chồng chéo, xô lấn nhau do hàm quá hẹp.
- Răng khấp khểnh: Răng mọc chìa ra hoặc thụt vào, không tạo thành đường cung đều đặn.
- Răng mọc ngầm: Răng không mọc lên hoàn toàn mà nằm dưới nướu, đẩy các răng khác lệch vị trí.
- Răng khểnh: Nhiều người coi đây là nét duyên, nhưng thực tế răng khểnh mọc quá cao sẽ gây khó khăn cho việc vệ sinh.

Phân tích 4 cấp độ răng lệch lạc trong chỉnh nha
Việc phân loại cấp độ giúp bác sĩ tiên lượng thời gian và độ khó của ca điều trị:
- Cấp độ 1 (Nhẹ): Răng lệch nhẹ dưới 2mm, cung hàm vẫn khá cân đối.
- Cấp độ 2 (Trung bình): Răng chen chúc rõ rệt, bắt đầu ảnh hưởng đến việc phát âm và vệ sinh.
- Cấp độ 3 (Nặng): Cung hàm hẹp, răng mọc lộn xộn, sai lệch khớp cắn rõ ràng.
- Cấp độ 4 (Phức tạp): Lệch lạc do cả răng và xương hàm, thường yêu cầu kỹ thuật chuyên sâu hoặc hỗ trợ từ phẫu thuật hàm.
Nguyên nhân khiến răng mọc lệch lạc
Tình trạng răng mọc chen chúc, khấp khểnh không đơn thuần chỉ là do yếu tố ngẫu nhiên. Theo các bác sĩ tại Nha khoa Sài Gòn Phong Phú, sự sai lệch này thường là kết quả của một hoặc nhiều yếu tố tác động cộng hưởng từ giai đoạn thay răng sữa cho đến khi trưởng thành.
Yếu tố di truyền (Heredity)
Di truyền đóng vai trò quyết định đến 70% cấu trúc xương hàm và kích thước răng. Nếu cha hoặc mẹ có xương hàm hẹp, răng quá to hoặc gặp tình trạng hô, móm, thì con cái có nguy cơ cao thừa hưởng những đặc điểm này. Sự bất tương xứng giữa kích thước răng và diện tích cung hàm là nguyên nhân trực tiếp dẫn đến hiện tượng răng phải “chen lấn” để mọc lên.
Các thói quen xấu thời thơ ấu
Giai đoạn từ 6 – 12 tuổi là “thời điểm vàng” để định hình cung hàm. Tuy nhiên, các thói quen tưởng chừng vô hại lại có thể làm biến dạng xương hàm và đẩy răng ra khỏi vị trí chuẩn:
- Tật mút ngón tay: Áp lực từ ngón tay đẩy răng cửa hàm trên chìa ra ngoài và làm hẹp vòm hàm.
- Đẩy lưỡi: Thói quen đặt lưỡi sai vị trí khi nuốt khiến các răng cửa bị thưa hoặc hở.
- Thở bằng miệng: Thường gặp ở trẻ bị VA hoặc viêm xoang, khiến hàm trên phát triển kém, dẫn đến khớp cắn sâu hoặc răng mọc chen chúc.

Mất răng sữa quá sớm
Răng sữa đóng vai trò là “người dẫn đường” cho răng vĩnh viễn mọc lên đúng vị trí. Khi răng sữa bị rụng sớm do sâu răng hoặc chấn thương mà không có biện pháp giữ khoảng, các răng lân cận sẽ có xu hướng nghiêng về khoảng trống đó. Hệ quả là khi răng vĩnh viễn mọc lên, chúng bị thiếu chỗ và buộc phải mọc lệch, mọc ngầm hoặc xoay trục.
Chế độ dinh dưỡng và bệnh lý răng miệng
Thiếu hụt các dưỡng chất thiết yếu như Canxi, Vitamin D, Vitamin K2 trong quá trình phát triển khiến xương hàm kém phát triển, không đủ không gian cho răng mọc đều. Bên cạnh đó, các bệnh lý như viêm nha chu nghiêm trọng ở người trưởng thành cũng có thể làm xô lệch bộ răng vốn đã ổn định.
Tác động của răng khôn (Răng số 8)
Ở người trưởng thành, sự xuất hiện của răng khôn mọc lệch, mọc ngầm thường tạo ra áp lực lớn lên toàn bộ hệ thống răng phía trước. Lực đẩy này có thể khiến những bộ răng vốn dĩ đang đều đẹp trở nên xô lệch và khấp khểnh chỉ sau một thời gian ngắn.
Lời khuyên từ bác sĩ: Việc xác định chính xác nguyên nhân thông qua chụp phim X-quang tại nha khoa là bước đầu tiên để bác sĩ lựa chọn các loại niềng răng phù hợp, nhằm loại bỏ triệt để tác nhân gây lệch lạc và ngăn ngừa tái phát sau điều trị.
Tại sao cần niềng răng lệch lạc? Những giá trị vượt xa yếu tố thẩm mỹ
Nhiều người lầm tưởng niềng răng chỉ đơn thuần là sự can thiệp để nụ cười trông đẹp hơn. Tuy nhiên, dưới góc độ y khoa, việc đưa các răng về đúng vị trí trên cung hàm là một khoản đầu tư quan trọng cho sức khỏe toàn thân. Dưới đây là 5 lý do vì sao bạn không nên trì hoãn việc điều trị răng lệch lạc:

Thiết lập khớp cắn chuẩn, bảo vệ hệ tiêu hóa
Khi răng mọc lệch lạc, diện tích tiếp xúc giữa hai hàm bị hạn chế, dẫn đến việc ăn nhai không hiệu quả. Thức ăn không được nghiền nát kỹ trước khi đưa xuống dạ dày sẽ tạo áp lực lớn cho hệ tiêu hóa, dễ dẫn đến các bệnh lý về bao tử và đại tràng. Niềng răng giúp tái tạo khớp cắn chuẩn, giúp lực nhai được phân bổ đều, giúp bạn ăn ngon miệng và tiêu hóa tốt hơn.
Giảm thiểu nguy cơ sâu răng và viêm nha chu
Răng chen chúc, khấp khểnh tạo ra nhiều “điểm mù” mà bàn chải hay chỉ nha khoa thông thường không thể làm sạch. Đây là môi trường lý tưởng để mảng bám tích tụ, gây ra sâu răng, vôi răng và đặc biệt là viêm nha chu (nguyên nhân hàng đầu gây mất răng sớm). Sau khi niềng răng, các răng thẳng hàng giúp việc vệ sinh trở nên dễ dàng, giữ cho hơi thở luôn thơm tho và nướu khỏe mạnh.
Ngăn ngừa hội chứng loạn năng khớp thái dương hàm (TMJ)
Khớp cắn lệch lạc khiến cơ hàm phải làm việc quá mức để điều chỉnh hướng nhai, gây áp lực lên khớp thái dương hàm. Tình trạng này kéo dài dẫn đến các triệu chứng như: đau đầu mãn tính, đau mỏi cổ vai gáy, hoặc tiếng “lục cục” khi há miệng. Việc chỉnh nha sớm là giải pháp căn cơ để loại bỏ các cơn đau này mà không cần dùng thuốc.
Cải thiện khả năng phát âm và giao tiếp
Vị trí của răng và lưỡi quyết định độ chuẩn xác của âm thanh khi phát ra. Răng lệch lạc hoặc khớp cắn hở thường gây ra tình trạng nói ngọng, phát âm không rõ chữ (đặc biệt là các âm gió). Chỉnh lại hàm răng đều đặn sẽ giúp bạn cải thiện giọng nói, tạo sự tự tin tuyệt đối trong giao tiếp và công việc.
Thay đổi diện mạo và ngăn ngừa lão hóa sớm
Niềng răng có khả năng thay đổi cấu trúc tầng mặt dưới. Khi răng được đưa về đúng vị trí, cung hàm sẽ trở nên cân đối, vùng môi và cằm được định hình lại thanh thoát hơn (tạo hiệu ứng “góc nghiêng thần thánh”). Đặc biệt, hàm răng đều giúp nâng đỡ cơ mặt tốt hơn, ngăn ngừa tình trạng da mặt bị chảy xệ hoặc xuất hiện nếp nhăn sớm do mất điểm tựa xương hàm.
Chuyên gia lưu ý: Để đạt được những lợi ích này, việc lựa chọn phương pháp phù hợp như các loại niềng răng mắc cài hay Invisalign cần được bác sĩ chỉ định dựa trên phim chụp X-quang thực tế của từng bệnh nhân.
Các phương pháp niềng răng lệch lạc hiệu quả
Hiện nay, có nhiều phương pháp chỉnh nha khác nhau phù hợp với từng trường hợp lệch lạc răng và điều kiện của từng người. Sự đa dạng trong các kỹ thuật mang lại nhiều lựa chọn, tối ưu hóa tính thẩm mỹ và hiệu quả điều trị. Tùy vào nhu cầu và ngân sách, bạn có thể lựa chọn các loại niềng răng phù hợp:
Niềng răng mắc cài kim loại

Niềng răng mắc cài kim loại là phương pháp truyền thống và phổ biến nhất, sử dụng dây cung và mắc cài bằng kim loại để kéo chỉnh răng. Đặc điểm nhận biết rõ ràng, dễ sửa chữa, chi phí hợp lý là những ưu điểm lớn của phương pháp này.
Trong quá trình điều trị, mắc cài kim loại chịu lực tác động vững chắc giúp điều chỉnh răng nhanh chóng và hiệu quả đối với các sai lệch lớn hoặc phức tạp. Nhờ đó, thời gian chỉnh nha có thể rút ngắn hơn so với các phương pháp khác.
Tuy nhiên, mắc cài kim loại còn tồn tại một số nhược điểm như dễ gây đau hoặc kích ứng rác, mất thẩm mỹ vì dễ nhận biết. Bác sĩ sẽ hướng dẫn chăm sóc răng kỹ để tránh các biến chứng ngoài ý muốn, duy trì hiệu quả điều trị tối đa.
Niềng răng mắc cài sứ

Mắc cài sứ mang lại hiệu quả chỉnh nha cao nhưng trong suốt hoặc màu cùng tone răng, rất phù hợp với người muốn duy trì tính thẩm mỹ trong suốt quá trình điều trị. Có thể nói đây là giải pháp trung hòa giữa hiệu quả và thẩm mỹ.
Thông thường, mắc cài sứ phù hợp với các trường hợp cần chỉnh răng nhẹ đến trung bình hoặc cho những ai quan tâm đến ngoại hình khi mang niềng. Dây cung trong suốt, đẹp mắt giúp giảm cảm giác tự ti khi giao tiếp hoặc chụp hình.
Dù có ưu điểm về tính thẩm mỹ cao, mắc cài sứ cũng có hạn chế về độ bền so với mắc cài kim loại, dễ vỡ hoặc bị ố màu theo thời gian. Vì vậy, việc vệ sinh kỹ càng và hạn chế thực phẩm có màu sẽ giúp duy trì hiệu quả tốt trong suốt quá trình điều trị.
Niềng răng mắc cài mặt lưỡi

Phương pháp này gắn mắc cài phía bên trong răng, gần mặt lưỡi, do đó không gây ảnh hưởng đến thẩm mỹ phía ngoài. Đây là lựa chọn lý tưởng dành cho những người luôn yêu cầu sự kín đáo, không muốn ai biết mình đang niềng răng.
Niềng răng mắc cài mặt lưỡi đòi hỏi kỹ thuật cao hơn, bác sĩ phải có tay nghề tốt mới đảm bảo hiệu quả điều trị tối ưu. Quá trình gắn mắc cài cũng phức tạp hơn, đòi hỏi người bệnh cần kiên trì hơn.
Mặc dù vậy, phương pháp này có thể gây cảm giác khó chịu ban đầu, do mắc cài nằm phía trong, dễ gây cảm giác vướng víu hoặc phát âm hơi lệch một thời gian. Tuy nhiên, sau một thời gian thích nghi, người bệnh thường cảm nhận rõ rệt hiệu quả của phương pháp này trong việc chỉnh nha.
Niềng răng không mắc cài Invisalign

Invisalign là dạng niềng răng trong suốt, sử dụng chuỗi các khay trong suốt có thể tháo rời khi cần vệ sinh hoặc ăn uống. Phương pháp này đòi hỏi kỹ thuật cao, dựa trên công nghệ quét 3D để thiết kế chính xác các khay điều chỉnh.
Ưu điểm lớn nhất của Invisalign là tính thẩm mỹ, khả năng tháo lắp dễ dàng và giảm thiểu tối đa các cảm giác khó chịu so với các loại mắc cài truyền thống. Người dùng hoàn toàn có thể tự tin trong mọi hoạt động giao tiếp, chụp hình, quay video.
Tuy nhiên, chi phí của Invisalign khá cao, đòi hỏi người dùng duy trì đúng theo hướng dẫn của bác sĩ mới đạt hiệu quả như mong muốn. Thêm vào đó, cần kiên trì đeo khay đủ 20-22 giờ/ ngày để đem lại kết quả tốt nhất trong thời gian ngắn nhất.
Bảng giá niềng răng lệch lạc tại Nha khoa Sài Gòn Phong Phú
Dưới đây là bảng chi phí niêm yết để quý khách hàng dễ dàng tham khảo:
| Dịch vụ Niềng răng | Chi phí (2 Hàm) |
| Mắc cài Kim loại (thường) Cấp 1 – 4 | 25.000.000 – 60.000.000đ |
| Mắc cài Kim loại tự buộc Cấp 1 – 4 | 30.000.000 – 65.000.000đ |
| Mắc cài Sứ (thường) Cấp 1 – 4 | 30.000.000 – 65.000.000đ |
| Mắc cài Sứ (SAPPHIRE) Cấp 1 | 40.000.000đ |
| Niềng răng trong suốt INVISALIGN Cấp 1 | 90.000.000đ |
(Lưu ý: Giá trên có thể thay đổi tùy vào tình trạng thực tế của từng khách hàng).

Quá trình niềng răng lệch lạc tại Nha khoa Sài Gòn Phong Phú
Tại Nha khoa Sài Gòn Phong Phú, quy trình niềng răng được thực hiện nghiêm ngặt qua các bước:
- Thăm khám & Chụp X-quang: Xác định mức độ lệch lạc và cấu trúc xương hàm.
- Tư vấn phác đồ: Bác sĩ giải thích các phương pháp và thời gian dự kiến. Trong một số trường hợp, khách hàng có thể cần thực hiện nong hàm để tạo khoảng trống.
- Vệ sinh răng miệng & Gắn mắc cài: Xử lý các bệnh lý (nếu có) trước khi tiến hành chỉnh nha.
- Tái khám định kỳ: Chỉnh lực kéo của dây cung hàng tháng.
- Tháo niềng & Đeo hàm duy trì: Sau khi răng đã đều, bạn cần đeo hàm duy trì để răng không bị chạy lại vị trí cũ.

Niềng răng lệch lạc mất bao lâu? Có phải nhổ răng không?
Thời gian niềng răng lệch lạc
Thời gian chỉnh nha cho răng lệch lạc không cố định cho tất cả mọi người. Thông thường, một ca niềng răng sẽ kéo dài từ 12 đến 24 tháng. Thời gian này phụ thuộc vào 3 yếu tố cốt lõi:
- Độ tuổi thực hiện: Trẻ em trong “giai đoạn vàng” (9-12 tuổi) có xương hàm đang phát triển nên việc dịch chuyển răng rất nhanh, thường chỉ mất 12-18 tháng. Người trưởng thành có xương hàm đã cứng chắc nên thời gian có thể kéo dài hơn, từ 18-24 tháng hoặc lâu hơn với các ca phức tạp.
- Mức độ lệch lạc: Răng chen chúc nhẹ (Cấp độ 1) xử lý nhanh hơn rất nhiều so với các ca răng mọc ngầm hoặc sai lệch khớp cắn nghiêm trọng (Cấp độ 3, 4).
- Phương pháp niềng: Niềng răng mắc cài kim loại tự buộc hoặc Invisalign thường có lộ trình rõ ràng và đôi khi rút ngắn thời gian hơn so với mắc cài truyền thống nhờ lực tác động ổn định và thông minh.
Lộ trình thời gian điển hình:
- Giai đoạn 2 – 6 tháng đầu: Sắp xếp các răng thẳng hàng trên cung hàm.
- Giai đoạn 6 – 12 tháng tiếp theo: Điều chỉnh khớp cắn và đóng khoảng (nếu có nhổ răng).
- Giai đoạn hoàn thiện: Tinh chỉnh các kẽ răng và khớp cắn nhỏ nhất trước khi tháo niềng và đeo hàm duy trì.
Niềng răng lệch lạc có nhất thiết phải nhổ răng?
Nỗi sợ nhổ răng là rào cản lớn nhất khiến nhiều người trì hoãn chỉnh nha. Tuy nhiên, tại Nha khoa Sài Gòn Phong Phú, phương châm của chúng tôi là “Bảo tồn răng thật tối đa”.
Trường hợp CẦN nhổ răng: Bác sĩ chỉ chỉ định nhổ răng (thường là răng số 4 hoặc số 5) khi cung hàm quá hẹp, không đủ chỗ để dàn đều các răng chen chúc hoặc cần khoảng trống để kéo răng hô vào phía trong. Việc nhổ răng lúc này là bắt buộc để đạt được khớp cắn chuẩn và thẩm mỹ tối ưu.

Trường hợp KHÔNG cần nhổ răng: Với sự hỗ trợ của công nghệ hiện đại 2025, bác sĩ có thể tạo khoảng trống bằng các phương pháp thay thế:
- Nong hàm: Mở rộng diện tích cung hàm để răng có đủ chỗ dàn đều (thường áp dụng rất hiệu quả cho trẻ em và người có hàm hẹp).
- Di xa toàn hàm: Đẩy toàn bộ khối răng về phía sau để tạo khoảng trống phía trước.
- Mài kẽ (IPR): Mài bớt một phần cực nhỏ men răng ở các cạnh bên (0.2 – 0.5mm) để tạo không gian cho răng xoay về đúng vị trí.
Lời khuyên y khoa: Việc nhổ răng khi niềng được thực hiện dưới sự hỗ trợ của thuốc tê và kỹ thuật hiện đại nên hoàn toàn nhẹ nhàng, không gây biến chứng hay ảnh hưởng đến sức khỏe thần kinh như nhiều người lo ngại.
Niềng răng lệch lạc có đau không?
Quá trình niềng răng lệch lạc có thể gây cảm giác khó chịu, đau nhẹ trong thời gian đầu hoặc sau các lần chỉnh khí cụ. Tuy nhiên, cảm giác này thường kéo dài không quá lâu và có thể xử lý dễ dàng bằng các biện pháp phù hợp.
Trong quá trình đeo khí cụ, dây cung tạo ra lực kéo để dịch chuyển răng, gây áp lực làm phần mềm cảm giác đau hoặc ê buốt, đặc biệt sau các buổi chỉnh hoặc thay dây cung mới. Tuy nhiên, cảm giác này sẽ giảm dần theo thời gian và không gây ảnh hưởng nhiều đến cuộc sống hàng ngày.
Các biện pháp giảm đau như sử dụng thuốc giảm đau nhẹ, ăn thức ăn mềm, hạn chế đồ cứng hoặc có tính axit cao giúp rút ngắn thời gian khó chịu. Ngoài ra, duy trì vệ sinh răng miệng đúng cách còn giúp hạn chế viêm nhiễm hoặc cảm giác đau do vệ sinh không tốt.

Những lưu ý sau khi niềng răng lệch lạc
Sau khi niềng răng lệch lạc, việc chăm sóc và theo dõi đúng cách là yếu tố quan trọng giúp duy trì kết quả chỉnh nha và bảo vệ sức khỏe răng miệng lâu dài. Theo khuyến cáo từ các bác sĩ chuyên khoa chỉnh nha, người bệnh cần tuân thủ đầy đủ hướng dẫn điều trị nhằm hạn chế nguy cơ tái lệch răng, viêm nướu hoặc tổn thương mô quanh răng.
Các lưu ý quan trọng sau khi niềng răng lệch lạc bao gồm:
- Vệ sinh răng miệng đúng chuẩn y khoa: Chải răng tối thiểu 2–3 lần/ngày bằng bàn chải lông mềm hoặc bàn chải chỉnh nha, kết hợp chỉ nha khoa và nước súc miệng không cồn để giảm mảng bám và vi khuẩn quanh mắc cài.
- Xây dựng chế độ ăn uống phù hợp: Ưu tiên thực phẩm mềm, dễ nhai; hạn chế đồ cứng, dai hoặc nhiều đường như kẹo cứng, đá lạnh, bánh dẻo nhằm tránh bung mắc cài và giảm nguy cơ sâu răng.
- Tái khám và theo dõi định kỳ: Tái khám đúng lịch giúp bác sĩ đánh giá tiến trình dịch chuyển răng, điều chỉnh lực niềng kịp thời và phát hiện sớm các bất thường có thể ảnh hưởng đến kết quả điều trị.
- Tuân thủ đeo hàm duy trì sau tháo niềng: Hàm duy trì có vai trò ổn định vị trí răng sau chỉnh nha, hạn chế tình trạng răng chạy lại vị trí cũ – một yếu tố thường gặp nếu không tuân thủ chỉ định chuyên môn.
Việc thực hiện đầy đủ các lưu ý sau khi niềng răng lệch lạc không chỉ giúp duy trì hiệu quả thẩm mỹ mà còn góp phần đảm bảo chức năng ăn nhai và sức khỏe răng miệng toàn diện. Người bệnh nên chủ động trao đổi với bác sĩ chỉnh nha khi xuất hiện dấu hiệu bất thường để được tư vấn và xử lý kịp thời.

Địa chỉ niềng răng uy tín tại Bình Chánh – Nha khoa Sài Gòn Phong Phú
Giữa rất nhiều cơ sở nha khoa, Nha khoa Sài Gòn Phong Phú tự hào là địa chỉ chỉnh nha hàng đầu được hàng ngàn khách hàng tại Bình Chánh và khu vực lân cận tin tưởng nhờ những giá trị vượt trội:
- Đội ngũ bác sĩ chuyên gia chỉnh nha: Tại đây, mỗi ca răng lệch lạc đều được trực tiếp thăm khám và lên phác đồ bởi các bác sĩ có chứng chỉ hành nghề chuyên sâu về chỉnh nha. Với kinh nghiệm xử lý hàng ngàn ca từ đơn giản đến phức tạp, bác sĩ sẽ giúp bạn rút ngắn tối đa thời gian điều trị mà vẫn đảm bảo khớp cắn chuẩn và thẩm mỹ nụ cười.
- Công nghệ hiện đại & Mô phỏng kết quả 3D: Chúng tôi đi đầu trong việc ứng dụng công nghệ nha khoa 2025:
- Máy chụp CT Cone Beam 3D: Khảo sát chính xác cấu trúc xương hàm và vị trí chân răng.
- Mô phỏng 3D: Giúp khách hàng thấy trước sự thay đổi của nụ cười qua từng giai đoạn, đặc biệt là với phương pháp niềng răng Invisalign.
- Quy trình vô trùng: Đảm bảo an toàn tuyệt đối theo tiêu chuẩn của Bộ Y tế trong suốt quy trình niềng răng.
- Chính sách trả góp 0% lãi suất: Thấu hiểu nỗi lo về tài chính, nha khoa cung cấp giải pháp niềng răng trả góp 0% lãi suất. Bạn có thể thoải mái lựa chọn các loại niềng răng phù hợp mà chỉ cần thanh toán trước một phần nhỏ, phần còn lại chia đều chi trả theo từng tháng tái khám.
- Cam kết hiệu quả bằng văn bản: Mọi khách hàng khi niềng răng tại Nha khoa Sài Gòn Phong Phú đều được ký hợp đồng cam kết hiệu quả rõ ràng. Chúng tôi bảo hành kết quả chỉnh nha bền vững, mang lại sự an tâm tuyệt đối cho bạn.
Thông tin liên hệ đặt lịch tư vấn miễn phí:
- Địa chỉ: 1789 Quốc Lộ 50, xã Phong Phú, Bình Chánh, Tp.HCM.
- Hotline: 0917 91 93 98.
Niềng răng lệch lạc là giải pháp tối ưu để lấy lại nụ cười tự tin, hài hòa khuôn mặt và nâng cao sức khỏe răng miệng. Từ nguyên nhân gây lệch lạc, các phương pháp chỉnh nha phù hợp, quy trình điều trị chuyên nghiệp tại Nha Khoa Sài Gòn cho đến những lưu ý chăm sóc sau điều trị đều góp phần đem lại kết quả tốt nhất.
Chọn đúng phương pháp phù hợp, hợp tác chặt chẽ với bác sĩ, duy trì vệ sinh răng miệng tốt và tuân thủ lịch hẹn chính là chìa khóa thành công. Đừng ngần ngại, hãy bắt đầu hành trình làm đẹp và chăm sóc sức khỏe răng miệng của bạn ngay hôm nay để có một nụ cười tự nhiên, rạng rỡ và tự tin trong mọi hoàn cảnh.