Nong hàm là một phương pháp chỉnh nha phổ biến giúp mở rộng cung hàm, tạo thêm không gian cho răng sắp đều và cải thiện khớp cắn. Kỹ thuật này thường được chỉ định cho trẻ em hoặc người trưởng thành có hàm hẹp, răng chen chúc hoặc sai lệch khớp cắn. Trong bài viết này, chúng ta sẽ cùng tìm hiểu chi tiết nong hàm là gì, những trường hợp cần nong hàm, các phương pháp thực hiện, chi phí điều trị cũng như thời gian cần thiết để đạt hiệu quả tối ưu.
Nong hàm là gì?

Nong hàm là quá trình dùng các khí cụ nha khoa để tạo ra sự mở rộng hoặc điều chỉnh hình dạng của vòm hàm trên hoặc hàm dưới. Phương pháp này giúp giải quyết các vấn đề về khung xương và khớp cắn, góp phần cải thiện chức năng ăn nhai, phát âm và thẩm mỹ khuôn mặt của bệnh nhân.
Nong hàm không chỉ đơn thuần là mở rộng kích thước khung hàm mà còn giúp điều chỉnh vị trí các răng, giảm thiểu tình trạng khớp cắn lệch, hàm hẹp, hay khớp cắn sâu. Đồng thời, quá trình này còn giúp chuẩn bị tốt cho các kỹ thuật niềng răng tiếp theo, từ đó nâng cao hiệu quả chỉnh hình chung.
Ngoài ra, nong hàm còn được thực hiện trong nhiều trường hợp đặc biệt như trẻ em đang phát triển hoặc người trưởng thành gặp các vấn đề về cấu trúc xương hàm. Phương pháp này mang lại lợi ích lâu dài, giúp duy trì khung xương ổn định, hạn chế tái phát sau điều trị.
Trường hợp nào cần nong hàm?

Các bệnh nhân cần nong hàm thường là những người gặp phải các vấn đề về cấu trúc hàm hoặc khớp cắn không đều. Áp dụng kỹ thuật này giúp điều chỉnh các bất thường, tạo điều kiện thuận lợi cho quá trình chỉnh nha tiếp theo, đồng thời cải thiện tối đa chức năng sinh lý của hàm mặt.
Các trường hợp đặc biệt sau đây thường cần thực hiện nong hàm:
Người có vòm hàm hẹp
Vòm hàm hẹp ảnh hưởng nhiều đến chức năng ăn uống, phát âm cũng như thẩm mỹ khuôn mặt của người bệnh. Thông thường, vấn đề này gặp ở trẻ nhỏ hoặc thanh thiếu niên còn đang lớn, khi khung xương còn đang trong quá trình phát triển.
Đối với người có vòm hàm hẹp, việc nong hàm giúp mở rộng kích thước vòm, tạo không gian đủ cho các răng mọc đều đặn, giảm thiểu tình trạng răng chen chúc, mọc lệch lạc. Khi khung xương hàm được mở rộng đúng cách, các răng sẽ dễ dàng căn chỉnh hơn khi chỉnh nha bằng phương pháp niềng hoặc mắc cài.
Đặc biệt, trong các trường hợp vòm hàm hẹp nặng, việc nong hàm còn giúp ngăn ngừa các vấn đề về khớp thái dương hàm, hạn chế các triệu chứng đau nhức, nhức đầu kéo dài. Quá trình này cũng góp phần cải thiện rõ rệt diện mạo khuôn mặt, mang lại vẻ đẹp tự nhiên và cân đối hơn.
Hàm bị méo, khớp cắn lệch
Khớp cắn lệch, hay còn gọi là khớp cắn không đều, gây ra nhiều phiền toái trong sinh hoạt hàng ngày như khó ăn, nói, và ảnh hưởng đến thẩm mỹ khuôn mặt. Đây là một trong những vấn đề phổ biến nhất mà nong hàm có thể giúp khắc phục.
Kỹ thuật nong hàm sẽ giúp điều chỉnh lại hình dạng hàm nhằm giảm thiểu độ lệch, làm đều các khớp cắn. Trong nhiều trường hợp, mở rộng vòm hoặc hàm dưới còn giúp thuật ngữ “đồng bộ khớp cắn” được đạt đến, để hàm răng khi ăn hoặc phát âm có thể hoạt động trơn tru hơn.
Việc chỉnh hình thành công dựa vào việc xác định chính xác nguyên nhân gây lệch, sau đó áp dụng phương pháp nong phù hợp để đưa xương hàm về vị trí chuẩn, từ đó cải thiện rõ rệt chức năng sinh lý của hệ thống hàm mặt và giúp lấy lại sự tự tin trong giao tiếp hàng ngày.
Hàm không đủ chỗ để răng dịch chuyển
Khi cấu trúc hàm quá nhỏ hoặc bị chèn ép do răng mọc lệch hướng, răng sẽ không có đủ chỗ để mọc đều đặn, dẫn đến tình trạng chen chúc, lệch lạc hoặc mọc ngược. Điều này không chỉ gây bất tiện trong ăn uống và vệ sinh răng miệng mà còn ảnh hưởng tiêu cực đến sức khỏe tổng thể.
Trong những trường hợp này, nong hàm đóng vai trò quan trọng giúp tạo ra không gian cần thiết cho các răng mọc đúng vị trí. Quá trình này giúp giảm thiểu các răng mọc lệch, gãy hoặc bị sâu do không thể làm sạch tốt các khe kẽ.
Việc mở rộng hàm nhờ nong hàm còn giúp cân đối cấu trúc khuôn mặt, làm cho các đường nét thẩm mỹ được cải thiện rõ rệt. Đồng thời, giúp các răng khi chỉnh nha dễ dàng hơn và kéo dài tuổi thọ của kết quả điều trị.
Các phương pháp nong hàm phổ biến
Có nhiều kỹ thuật và phương pháp khác nhau để thực hiện nong hàm phù hợp với từng tình trạng của bệnh nhân, nhằm đảm bảo hiệu quả tối đa phía dưới sự giám sát của bác sĩ chuyên nghiệp.
Dưới đây là các phương pháp phổ biến nhất:
Nong hàm tháo lắp

Đây là phương pháp đơn giản, phù hợp cho trẻ nhỏ hoặc người mới bắt đầu trong quá trình chỉnh hình hàm mặt. Khí cụ nong hàm tháo lắp có thể dễ dàng tháo ra khi cần vệ sinh hoặc trong các giờ ngủ, ăn.
Ưu điểm của kỹ thuật này là dễ thực hiện, giá thành hợp lý và ít gây bất tiện trong sinh hoạt hàng ngày. Bác sĩ sẽ đo đạc kỹ lưỡng mô hình răng để thiết kế khí cụ phù hợp, giúp trẻ dễ dàng chấp nhận.
Tuy nhiên, để đạt được kết quả tốt, bệnh nhân cần tuân thủ chính xác lịch trình đeo khí cụ theo hướng dẫn của bác sĩ. Phương pháp này đặc biệt thích hợp cho các trường hợp nhẹ hoặc khi mới bắt đầu điều trị nong hàm.
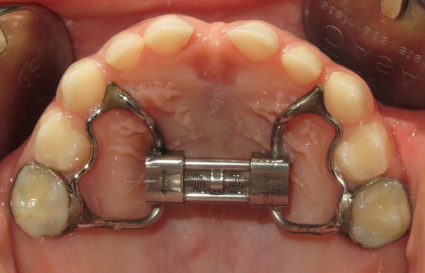
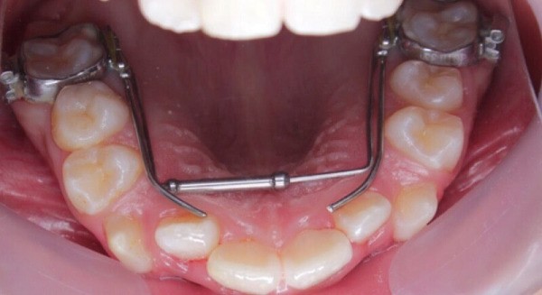
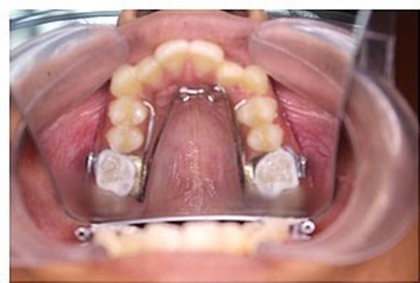
Nong hàm cố định

Đây là kỹ thuật sử dụng khí cụ cố định gắn trực tiếp vào răng để duy trì hoặc mở rộng khung hàm lâu dài. Phương pháp này phù hợp với những bệnh nhân cần mở rộng nhanh, cần độ chính xác cao.
Khí cụ cố định giúp hạn chế việc tháo lắp không đúng quy trình, từ đó nâng cao hiệu quả điều trị. Trong quá trình thực hiện, bác sĩ sẽ kiểm tra định kỳ để điều chỉnh khí cụ phù hợp với mức độ mở rộng mong muốn.
Phương pháp này thích hợp cho cả trẻ em và người trưởng thành, đặc biệt khi những phương pháp khác không đạt đủ hiệu quả hoặc bệnh nhân cần kết quả rõ rệt hơn trong thời gian ngắn.
Nong hàm bằng dây cung

Trong phương pháp này, các dây cung nha khoa được nắn chỉnh để tạo lực kéo mở rộng hàm. Đây là kỹ thuật đơn giản nhưng đòi hỏi kỹ năng và kinh nghiệm của bác sĩ để điều chỉnh lực phù hợp, tránh gây đau hoặc tổn thương cho bệnh nhân.
Dây cung thường được nối với các brackets gắn trên răng, sau mỗi lần chỉnh, khí cụ sẽ tạo ra lực kéo tác động vào xương hàm, từ đó thúc đẩy quá trình mở rộng diễn ra hiệu quả.
Phương pháp này phù hợp với những trường hợp nhẹ, hoặc kết hợp với các thủ thuật khác để nâng cao hiệu quả chỉnh hình. Đồng thời, bệnh nhân cần phối hợp tốt trong việc chăm sóc vệ sinh trong quá trình điều trị.
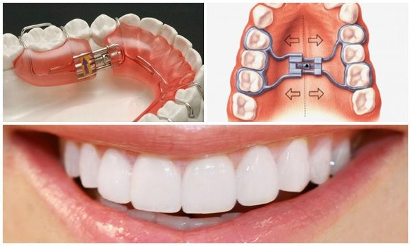
Nong hàm chậm / RPE (Rapid Palatal Expander)

Đây là một trong những kỹ thuật phổ biến nhất hiện nay, dựa trên nguyên lý mở rộng nhanh vòm miệng bằng khí cụ RPE. Phương pháp này được thiết kế để tạo ra lực mở rộng đều đặn trong thời gian ngắn, giúp nhanh chóng điều chỉnh cấu trúc hàm mặt.
Chỉ định của RPE rất rộng rãi, đặc biệt phù hợp với trẻ em, thanh thiếu niên còn đang trong giai đoạn phát triển xương. Quá trình này thường kéo dài từ 3-6 tuần, tùy vào mức độ cần mở rộng.
RPE giúp cải thiện đáng kể các vấn đề về khung xương, đồng thời thúc đẩy phát triển mặt cân đối toàn diện. Chính vì thế, phương pháp này ngày càng trở nên phổ biến hơn trong cộng đồng nha khoa hiện đại.
Quy trình đeo nong hàm

Quy trình đeo nong hàm thường được thực hiện theo các bước rõ ràng và có sự giám sát chặt chẽ của bác sĩ chỉnh nha. Mỗi giai đoạn đều đóng vai trò quan trọng để đảm bảo hiệu quả điều trị và sự an toàn cho người bệnh.
1. Thăm khám và chẩn đoán
Trước tiên, bác sĩ sẽ tiến hành khám tổng quát răng miệng, chụp X-quang và lấy dấu hàm để đánh giá tình trạng xương hàm, răng và khớp cắn. Dựa trên kết quả này, bác sĩ xác định mức độ hẹp của cung hàm, từ đó lên kế hoạch nong hàm cụ thể, bao gồm loại khí cụ và thời gian điều trị dự kiến.
2. Thiết kế và lắp khí cụ nong hàm
Khí cụ nong hàm (thường là khí cụ cố định hoặc tháo lắp) sẽ được chế tác riêng cho từng bệnh nhân nhằm đảm bảo vừa khít và mang lại hiệu quả cao nhất. Khi lắp đặt, bác sĩ sẽ kiểm tra độ cân đối và hướng dẫn bệnh nhân cách vệ sinh, chăm sóc, cũng như cách kích hoạt vít nong (nếu có).
3. Giai đoạn nong chủ động
Trong giai đoạn này, bệnh nhân hoặc phụ huynh (đối với trẻ nhỏ) sẽ thực hiện việc vặn vít nong theo hướng dẫn của bác sĩ — thường là 1–2 lần mỗi ngày tùy trường hợp. Giai đoạn này kéo dài khoảng 2–4 tuần, trong đó xương hàm sẽ được mở rộng dần để tạo không gian cho răng.
4. Giai đoạn duy trì
Sau khi đạt được độ mở rộng mong muốn, bác sĩ sẽ yêu cầu giữ nguyên khí cụ trong 3–6 tháng tiếp theo để xương hàm ổn định ở vị trí mới. Đây là bước rất quan trọng nhằm tránh tình trạng tái hẹp hàm sau nong.
5. Theo dõi định kỳ và tháo khí cụ
Trong suốt quá trình nong và duy trì, bệnh nhân cần tái khám định kỳ để bác sĩ kiểm tra mức độ mở rộng, điều chỉnh vít nong (nếu cần) và đánh giá kết quả. Khi cấu trúc xương đã ổn định, khí cụ sẽ được tháo ra và bệnh nhân có thể tiếp tục bước chỉnh nha (nếu có).
Thời gian và hiệu quả của nong hàm
Thời gian nong hàm và hiệu quả đạt được phụ thuộc vào nhiều yếu tố như độ tuổi, tình trạng răng – xương hàm, loại khí cụ sử dụng và mức độ cần mở rộng. Ở trẻ em và thanh thiếu niên, xương hàm còn mềm nên quá trình nong hàm thường diễn ra nhanh và dễ đạt kết quả hơn. Trong khi đó, ở người trưởng thành, xương đã cứng chắc hơn, nên thời gian điều trị có thể kéo dài và cần phương pháp hỗ trợ chuyên sâu hơn (ví dụ nong hàm kết hợp phẫu thuật).
Nếu được thực hiện đúng kỹ thuật và theo dõi sát sao, nong hàm giúp mở rộng cung hàm hiệu quả, tạo không gian cho răng mọc đều, hỗ trợ chỉnh nha thuận lợi và cải thiện thẩm mỹ khuôn mặt cũng như chức năng khớp cắn.

Nong hàm trong bao lâu?
Thông thường, thời gian nong hàm kéo dài khoảng 2–4 tuần để đạt được độ mở rộng mong muốn. Tuy nhiên, sau khi kết thúc giai đoạn nong chủ động, bệnh nhân cần duy trì khí cụ thêm 3–6 tháng nhằm ổn định cấu trúc xương mới hình thành và tránh tái hẹp hàm.
Ở người lớn, tổng thời gian điều trị có thể lâu hơn, dao động từ 6 tháng đến 1 năm, tùy thuộc vào phản ứng của xương và kế hoạch chỉnh nha đi kèm. Bác sĩ sẽ theo dõi định kỳ để điều chỉnh tốc độ nong phù hợp, đảm bảo hiệu quả mà vẫn an toàn cho sức khỏe răng miệng.
Nong hàm có đau không?
Trong quá trình thực hiện và đeo khí cụ nong hàm, hầu hết bệnh nhân đều có cảm giác khó chịu hoặc ê buốt nhẹ. Tuy nhiên, các triệu chứng này phần lớn là tạm thời và có thể kiểm soát tốt bằng cách sử dụng thuốc giảm đau theo hướng dẫn của bác sĩ.
Nhiều người mô tả cảm giác căng hoặc áp lực trong vài ngày đầu tiên sau khi khí cụ được chỉnh hoặc kích hoạt lại. Hiện tượng này hoàn toàn bình thường, do lực tác động vào xương và răng để mở rộng vùng hàm.
Quan trọng là bệnh nhân cần theo dõi sát sao và duy trì vệ sinh răng miệng tốt để không bị viêm, đau thêm do vi khuẩn tích tụ. Sử dụng các viên thuốc giảm đau theo chỉ định của bác sĩ giúp làm giảm các triệu chứng khó chịu và nâng cao trải nghiệm điều trị.
Chi phí nong hàm là bao nhiêu?
Chi phí nong hàm phụ thuộc vào loại khí cụ sử dụng, phương pháp điều trị, mức độ phức tạp của ca bệnh và cơ sở nha khoa thực hiện. Tại các phòng khám hoặc trung tâm chỉnh nha lớn, giá dịch vụ có thể dao động từ vài triệu đến vài chục triệu đồng.
Bảng giá tham khảo chi phí nong hàm
| Loại khí cụ / Phương pháp | Đặc điểm | Mức giá trung bình (VNĐ) |
|---|---|---|
| Khí cụ tháo lắp | Dễ vệ sinh, phù hợp trẻ em, hiệu quả ở mức nhẹ – trung bình | 3.000.000 – 8.000.000 |
| Khí cụ cố định (Fixed Expander) | Hiệu quả cao, tác động mạnh, cần theo dõi thường xuyên | 8.000.000 – 15.000.000 |
| Nong hàm nhanh RPE (Rapid Palatal Expander) | Dành cho ca phức tạp, chỉnh sửa cấu trúc xương hàm | 15.000.000 – 30.000.000 |
| Nong hàm kết hợp niềng răng | Áp dụng cho trường hợp hẹp hàm nặng hoặc lệch khớp cắn | 20.000.000 – 40.000.000 |
Lưu ý: Mức giá trên chỉ mang tính tham khảo, có thể thay đổi tùy vào địa chỉ nha khoa, tay nghề bác sĩ và tình trạng răng – hàm cụ thể của từng bệnh nhân.
Các khoản chi phí cần lưu ý thêm
Ngoài chi phí nong hàm ban đầu, bệnh nhân nên dự trù thêm:
- Chi phí tái khám định kỳ: 200.000 – 500.000 đồng/lần
- Chi phí duy trì kết quả sau điều trị (retainer, khí cụ duy trì): 1.000.000 – 3.000.000 đồng
- Chi phí kiểm tra, chụp phim X-quang, vệ sinh răng miệng định kỳ
Chế độ ăn uống và vệ sinh khi đeo nong hàm

Chế độ ăn uống hợp lý đóng vai trò quan trọng trong quá trình điều trị nong hàm. Người đeo khí cụ cần tránh ăn các thực phẩm cứng, dai, dính hoặc quá nóng để giảm nguy cơ làm hỏng khí cụ hoặc gây tổn thương niêm mạc miệng.
Trong những ngày đầu, bệnh nhân có thể cảm thấy khó khăn khi ăn uống, cần chọn các thức ăn mềm, dễ nuốt. Khi đã quen, có thể dần trở lại chế độ bình thường, nhưng luôn chú ý vệ sinh răng sạch sẽ, đặc biệt là sau mỗi bữa ăn.
Vệ sinh răng miệng đúng cách giúp giảm nguy cơ sâu răng, viêm lợi, nhiễm trùng. Dụng cụ bàn chải mềm, chỉ nha khoa, nước súc miệng là những công cụ không thể thiếu trong quá trình chăm sóc khí cụ nong hàm để đảm bảo an toàn, hiệu quả điều trị.
Lưu ý khi điều chỉnh khí cụ nong hàm
Việc điều chỉnh khí cụ đúng quy trình là yếu tố then chốt để đạt kết quả tối ưu. Bác sĩ cần kiểm tra định kỳ để điều chỉnh lực, theo dõi các phản ứng của xương và răng mặt, đồng thời phát hiện sớm các biến chứng có thể xảy ra.
Trong quá trình này, bệnh nhân cần hạn chế các hành động tác động mạnh lên khí cụ như cắn mạnh, rạch hoặc kéo khí cụ để tránh làm hỏng thiết bị hoặc gây đau đớn không cần thiết.
Ngoài ra, những lưu ý khác bao gồm tránh các thực phẩm dễ gây đầy hơi, tránh hút thuốc, có chế độ vệ sinh hợp lý và duy trì liên lạc thường xuyên với bác sĩ để kịp thời xử lý các vấn đề phát sinh trong quá trình điều trị.
Một số câu hỏi thường gặp về nong hàm

Nong hàm có cần niềng răng không?
Trong nhiều trường hợp, nong hàm chỉ là bước chuẩn bị để niềng răng đạt hiệu quả cao hơn. Việc mở rộng kích thước hàm giúp tạo không gian đủ để các răng di chuyển về vị trí lý tưởng, hạn chế các tình trạng lệch lạc hoặc chen chúc.
Tuy nhiên, đôi khi, sau khi thực hiện nong hàm, bác sĩ cũng có thể kết hợp kỹ thuật niềng răng hoặc mắc cài để chỉnh hình toàn diện hơn. Do đó, chăm sóc phù hợp từ bước nong hàm là yếu tố quyết định thành công sau này của quá trình chỉnh nha.
Nong hàm có thay đổi khuôn mặt không?
Nong hàm không chỉ cải thiện chức năng mà còn mang lại thay đổi rõ rệt về mặt thẩm mỹ khuôn mặt. Đặc biệt đối với trẻ nhỏ, mở rộng vòm hàm giúp khuôn mặt cân đối hơn, các đường nét rõ ràng và hài hòa hơn so với trước.
Trong quá trình mở rộng, phần mặt trên sẽ rộng ra, góc hàm dài hơn, giúp khuôn mặt trở nên cân đối, tăng tính tự nhiên và hài hòa. Đối với người trưởng thành, thay đổi có thể ít rõ rệt hơn, tuy nhiên vẫn có khả năng làm mặt đẹp và tạo dáng hài hòa hơn.
Ngoài ra, cải thiện cấu trúc hàm còn giảm thiểu các vấn đề về khớp thái dương hàm, giúp giọng nói rõ ràng hơn và giảm các triệu chứng đau nhức lâu dài.
Có thể nong hàm dưới được không?
Phương pháp nong hàm chủ yếu tập trung vào vòm hàm trên, nhưng trong một số trường hợp đặc biệt, bác sĩ cũng có thể thực hiện mở rộng hàm dưới. Tuy nhiên, quá trình này khá phức tạp hơn và phụ thuộc vào từng tình huống cụ thể.
Đối với hàm dưới, kỹ thuật nong hàm thường ít phổ biến hơn do cấu trúc xương khó khăn hơn và nguy cơ biến chứng cao hơn. Thay vào đó, các phương pháp điều chỉnh khác như phẫu thuật hàm hoặc chỉnh nha phối hợp có thể được chỉ định.
Trong các trường hợp trẻ nhỏ, bác sĩ có thể xem xét mở rộng cả hai hàm để đạt được sự cân đối tốt nhất cho toàn bộ khuôn mặt và chức năng cắn khớp.
Nong hàm sau bao lâu thấy kết quả?
Thời gian để thấy rõ kết quả phụ thuộc vào loại khí cụ và khả năng thích ứng của từng bệnh nhân. Thông thường, các ca sử dụng các khí cụ như RPE hoặc nong tháo lắp, bệnh nhân có thể nhận thấy sự thay đổi trong vòng vài tuần đầu.
Tuy nhiên, để đạt được hiệu quả tối đa, bác sĩ thường khuyến khích bệnh nhân duy trì đeo khí cụ trong khoảng 2-4 tháng hoặc hơn. Các phản hồi từ bệnh nhân đều cho thấy rõ ràng kết quả, thậm chí là có thể cảm nhận được sự thay đổi rõ rệt về mặt thẩm mỹ và chức năng trong thời gian ngắn.
Nong hàm có ảnh hưởng đến giọng nói hay ăn uống không?
Trong thời gian đầu mới đeo khí cụ, nhiều bệnh nhân ban đầu cảm thấy vướng, khó nói hoặc cảm giác đè nặng khi ăn uống. Tuy nhiên, sau một thời gian thích nghi, các vấn đề này sẽ giảm đi đáng kể.
Chủ yếu, ảnh hưởng đến giọng nói và khả năng ăn uống là tạm thời, do khí cụ tác động vào cấu trúc miệng và cổ họng. Khi bệnh nhân quen với khí cụ, các hoạt động sinh hoạt này sẽ trở lại bình thường, thậm chí còn tốt hơn sau điều chỉnh vì có cấu trúc hàm đúng đắn hơn.
Kết luận
Nong hàm là một kỹ thuật nha khoa hiện đại, đem lại hiệu quả cao trong việc điều chỉnh khung xương hàm, giúp cải thiện chức năng ăn uống, phát âm, thẩm mỹ và sự cân đối khuôn mặt. Việc lựa chọn phương pháp phù hợp, thực hiện đúng quy trình cùng chế độ chăm sóc đúng cách sẽ giúp bệnh nhân đạt được kết quả tối ưu và duy trì lâu dài.
Với sự hỗ trợ của công nghệ và bàn tay lành nghề của các bác sĩ, quá trình nong hàm ngày càng trở nên dễ dàng hơn, ít đau đớn, mang lại niềm vui và sự tự tin lớn hơn trong cuộc sống hàng ngày.