Các bệnh về răng là một trong những vấn đề phổ biến nhất hiện nay. Chúng không chỉ ảnh hưởng đến sức khỏe răng miệng mà còn liên quan mật thiết đến sức khỏe toàn thân. Bài viết này sẽ cung cấp cho bạn những thông tin cần thiết về các bệnh về răng, giúp bạn nhận diện, phòng ngừa và điều trị hiệu quả.
Các bệnh về răng là gì?

Đầu tiên, chúng ta cần hiểu rõ các bệnh về răng là những bệnh lý liên quan tới cấu trúc và chức năng của răng miệng. Những vấn đề này có thể bắt nguồn từ nhiều nguyên nhân như vi khuẩn, vệ sinh không đúng cách, chế độ ăn uống thiếu khoa học. Vì vậy, việc nhận diện và nắm vững kiến thức về chúng là cực kỳ quan trọng.
- Tỷ lệ mắc các bệnh này rất cao, theo thống kê, có đến 90% dân số Việt Nam có ít nhất một vấn đề về răng.
- Bệnh lý răng miệng ảnh hưởng trực tiếp đến quá trình tiêu hóa thức ăn, ảnh hưởng đến việc phát âm và thẩm mỹ nụ cười.
Hơn nữa, các bệnh về răng miệng có thể dẫn đến những biến chứng nghiêm trọng như bệnh tim, tiểu đường…, do đó việc chăm sóc răng miệng tốt không chỉ là vấn đề làm đẹp mà còn là vấn đề sức khỏe.
Phân loại các bệnh về răng phổ biến nhất
Phân loại các bệnh về răng giúp chúng ta dễ dàng nhận diện và điều trị kịp thời. Trong phần này, chúng ta sẽ tìm hiểu về các nhóm bệnh chính.
Nhóm bệnh do sâu răng và tổn thương mô cứng

Sâu răng
Sâu răng là một trong những bệnh lý phổ biến nhất. Nguyên nhân chủ yếu đến từ vi khuẩn trên thực phẩm, đường và vệ sinh kém. Sâu răng phát triển qua nhiều giai đoạn:
- Bước đầu, men răng bị tổn thương và hình thành các lỗ hổng nhỏ.
- Nếu không được chữa trị, quá trình này sẽ diễn tiến tới tổn thương nghiêm trọng hơn.
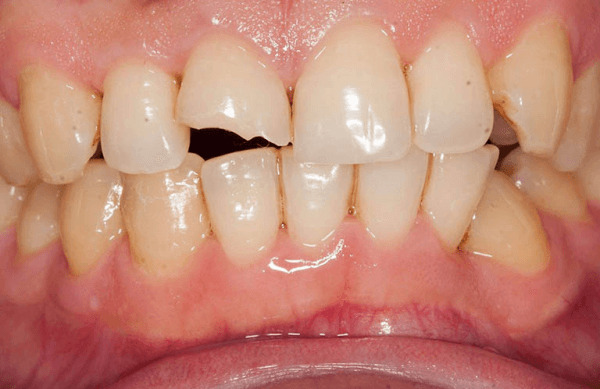
Răng mẻ, nứt vỡ
Tình trạng này thường xảy ra do chấn thương mạnh hoặc ăn phải thực phẩm cứng. Dấu hiệu của vấn đề này là cảm giác đau nhói và sự khó chịu trong quá trình ăn uống. Nếu không được xử lý kịp thời, có thể dẫn đến viêm tủy hoặc mất răng.
Răng nhạy cảm, ê buốt
Nguyên nhân thường gặp là do mòn men răng hoặc vệ sinh không đúng cách. Triệu chứng chính là cảm giác ê buốt khi ăn thực phẩm nóng, lạnh hoặc chua. Cách khắc phục hiệu quả là sử dụng kem đánh răng chuyên dụng và hạn chế thực phẩm kích thích.
Nhóm bệnh viêm nhiễm vùng quanh răng

Viêm lợi (viêm nướu)
Viêm lợi là tình trạng viêm sưng tại nướu, có thể gây chảy máu trong quá trình đánh răng hoặc khi ăn. Nếu không được điều trị, viêm lợi có thể chuyển biến thành viêm nha chu, ảnh hưởng đến sự ổn định của răng.
Viêm nha chu
Viêm nha chu là bệnh lý nghiêm trọng hơn, liên quan tới sự phá hủy của xương ổ răng. Triệu chứng bao gồm tụt nướu, chảy mủ và đau nhức.
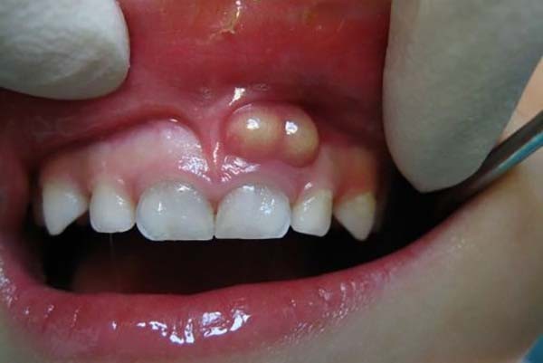
Viêm tủy răng
Thường xảy ra do sâu răng không được phát hiện kịp thời. Đau nhức kéo dài và sưng ở vùng nướu là những dấu hiệu cảnh báo bạn cần tới nha sĩ ngay.
Bệnh răng do chấn thương hoặc yếu tố bên ngoài

Chấn thương răng
Gãy hay di lệch răng do chấn thương là vấn đề phổ biến, cần thiết phải xử trí cấp cứu ngay để hạn chế tình trạng mất răng vĩnh viễn.
Biến chứng răng khôn
Răng khôn có thể mọc lệch hoặc mọc ngầm, gây đau nhức và khó chịu. Điều trị có thể bao gồm biện pháp nhổ răng.
Răng nhiễm màu
Thực phẩm có màu và thuốc lá là nguyên nhân gây ra tình trạng này. Thiết bị làm trắng răng là giải pháp hiệu quả.
Một số bệnh lý khác liên quan đến các bệnh về răng
Hôi miệng
Hôi miệng là tình trạng hơi thở có mùi khó chịu, thường bắt nguồn từ vi khuẩn tích tụ trong khoang miệng do vệ sinh răng miệng kém.
Ung thư khoang miệng
Ung thư khoang miệng là một trong những loại ung thư có thể phát hiện sớm bằng việc kiểm tra răng miệng định kỳ, nhưng lại thường bị bỏ qua do các triệu chứng ban đầu dễ nhầm lẫn. Ung thư có thể xuất hiện ở môi, lưỡi, má, nướu hoặc vòm họng.
Nguyên nhân và yếu tố nguy cơ chính gây các bệnh về răng

Bệnh lý răng miệng có thể xảy ra do nhiều nguyên nhân, trong đó bao gồm cả yếu tố bên ngoài và nội tại.
- Mảng bám và vệ sinh kém: Mảng bám là nơi ẩn náu lý tưởng cho vi khuẩn. Việc vệ sinh răng miệng không đúng cách làm gia tăng nguy cơ mắc bệnh.
- Chế độ ăn uống: Thực phẩm có nhiều đường, acid sẽ tạo điều kiện cho vi khuẩn phát triển mạnh.
- Thói quen xấu: Hút thuốc lá, uống rượu không những gây hại cho sức khỏe mà còn ảnh hưởng nghiêm trọng đến tình trạng răng miệng.
- Yếu tố di truyền: Mắc một số bệnh lý như tiểu đường có thể làm tăng nguy cơ mắc các bệnh răng miệng.
Triệu chứng nhận biết sớm các bệnh về răng
Khi mắc các bệnh về răng, việc nhận diện triệu chứng sớm là rất quan trọng để có thể điều trị kịp thời.
Các dấu hiệu cảnh báo
- Răng đau: Cảm giác đau có thể mờ nhạt hoặc mãnh liệt, tùy thuộc vào mức độ tổn thương.
- Nướu sưng đỏ: Tình trạng này có thể xuất hiện khi bạn bị viêm nướu.
- Chảy máu quá mức: Chảy máu trong quá trình đánh răng thường cần được chú ý.
Triệu chứng nghiêm trọng
Các triệu chứng nghiêm trọng như sưng to vùng mặt hoặc cảm giác khó nuốt cần nhanh chóng đi khám bác sĩ để có phương pháp điều trị kịp thời.
Hậu quả nếu không điều trị các bệnh về răng đúng cách

Không điều trị bệnh về răng kịp thời có thể dẫn đến nhiều hậu quả nghiêm trọng, không chỉ dừng lại ở việc đau đớn mà còn ảnh hưởng đến cuộc sống hàng ngày.
Một số hậu quả
- Mất răng vĩnh viễn: Hậu quả nghiêm trọng nhất là mất răng, gây khó khăn trong sinh hoạt hàng ngày.
- Giảm chức năng ăn nhai: Điều này ảnh hưởng đến khả năng tiêu hóa cũng như việc phát âm.
- Tăng nguy cơ mắc bệnh toàn thân: Tình trạng viêm nhiễm lâu ngày có thể dẫn tới các bệnh như bệnh tim hay viêm phổi.
Các phương pháp điều trị và xử lý khi mắc bệnh răng miệng
Có nhiều phương pháp điều trị cho các bệnh về răng, tùy thuộc vào loại bệnh mà bạn mắc phải.
Các phương pháp điều trị
- Điều trị nội khoa: Thường áp dụng cho các bệnh như viêm nướu hay sâu răng bằng thuốc kháng sinh hoặc điều trị làm sạch mảng bám.
- Điều trị phẫu thuật: Trong trường hợp cần thiết phải nhổ răng khôn hoặc chỉnh nha.
- Công nghệ nha khoa tiên tiến: Tham khảo ý kiến chuyên gia để có sự lựa chọn tốt nhất.
Phương pháp phòng ngừa hiệu quả các bệnh về răng

Việc phòng ngừa bệnh lý về răng không chỉ nằm ở việc điều trị mà còn cần chú trọng trong quá trình chăm sóc hằng ngày.
Hướng dẫn chăm sóc răng miệng
- Vệ sinh đúng cách: Sử dụng bàn chải mềm, kem đánh răng có fluor, chỉ nha khoa hàng ngày là những phương pháp cần thiết.
- Chế độ ăn uống lành mạnh: Thực phẩm giàu canxi và vitamin D rất quan trọng trong việc xây dựng và bảo vệ men răng.
- Khám nha khoa định kỳ: Nên thực hiện kiểm tra ít nhất 6 tháng một lần để phát hiện kịp thời dấu hiệu bệnh.
Đối tượng đặc biệt và lưu ý riêng về bệnh lý răng miệng
Một số đối tượng đặc biệt cần có những lưu ý riêng khi chăm sóc sức khỏe răng miệng.
Nhóm đối tượng đặc biệt
- Người lớn tuổi: Nếu không chăm sóc tốt có nguy cơ cao mắc các bệnh như loãng xương hay mất răng vĩnh viễn.
- Phụ nữ mang thai: Cần chú ý vệ sinh răng miệng, vì biến đổi nội tiết tố có thể dẫn đến viêm nướu.
- Trẻ em: Cần có chế độ ăn uống và vệ sinh đúng cách để phòng tránh sâu răng cho răng sữa.
Những câu hỏi thường gặp liên quan đến các bệnh về răng

Cuối cùng, hãy xem xét những câu hỏi thường gặp mà nhiều người thường đặt ra liên quan tới các bệnh về răng.
Vì sao trẻ dễ sâu răng?
Trẻ em thường chưa có ý thức tự giác trong việc vệ sinh răng miệng, lại hay ăn đồ ngọt, uống sữa vào ban đêm hoặc không chải răng đúng cách. Điều này tạo điều kiện cho vi khuẩn phát triển và gây sâu răng.
Có cần dùng tăm nước không?
Tăm nước là một thiết bị hỗ trợ làm sạch kẽ răng bằng tia nước áp lực cao. Dù hữu ích trong việc loại bỏ mảng bám và thức ăn thừa, đặc biệt ở những vùng khó tiếp cận, nhưng nó không thể thay thế hoàn toàn việc đánh răng và dùng chỉ nha khoa. Đây chỉ nên được coi là biện pháp bổ sung.
Kết luận
Các bệnh về răng không chỉ là một vấn đề y tế mà còn là vấn đề xã hội với những tác động rộng lớn. Việc nhận diện, phòng ngừa và điều trị sớm là điều cực kỳ quan trọng để bảo vệ sức khỏe răng miệng cũng như sức khỏe toàn thân. Chăm sóc đúng cách không chỉ giúp bạn có được một hàm răng trắng khỏe mà còn góp phần nâng cao chất lượng cuộc sống mỗi ngày.