Nhức răng kinh khủng là một trong những nỗi ám ảnh mà nhiều người phải đối mặt trong cuộc sống. Đau nhức dữ dội không chỉ làm cho chúng ta cảm thấy khó chịu mà còn ảnh hưởng đến sinh hoạt hàng ngày. Điều này càng khiến việc tìm hiểu về nguyên nhân gây ra cơn đau và các biện pháp xử lý trở nên cần thiết hơn bao giờ hết. Bài viết dưới đây sẽ giúp bạn khám phá các nguyên nhân chính dẫn đến tình trạng đau răng, cách nhận biết dấu hiệu báo động cũng như các biện pháp xử lý tại nhà và trong trường hợp cần thiết phải gặp nha sĩ.
Tổng quan về cơn nhức răng kinh khủng
Cơn đau nhức răng có thể xuất hiện đột ngột và kéo dài dai dẳng, thậm chí gây ảnh hưởng nghiêm trọng đến tâm trạng và chất lượng cuộc sống của chúng ta. Thực tế, không ít người đã phải bỏ lỡ các sự kiện quan trọng hay thậm chí không thể hoàn thành công việc chỉ vì cơn đau răng nghiêm trọng. Vậy, cơn đau này thực sự có những đặc điểm gì?

Đặc điểm của cơn đau răng nghiêm trọng
Cơn đau răng kinh khủng thường mang lại cảm giác “không chịu nổi” với những biểu hiện đau nhói, liên tục và lan rộng sang các vùng khác như hàm, tai, cổ. Những yếu tố kích thích từ bên ngoài như ăn, nói hay thay đổi nhiệt độ cũng có thể làm gia tăng cảm giác đau.
- Đau nhức dữ dội, liên tục: Cảm giác đau không giảm đi mà càng ngày càng tăng.
- Đau lan tỏa: Cơn đau không chỉ giới hạn ở vùng răng bị tổn thương mà còn có thể lan sang các khu vực xung quanh.
- Khó khăn khi nhai hoặc chạm vào răng: Cảm giác đau tăng lên đáng kể khi có sự tác động lên răng.
Có thể nói, những cơn đau này không chỉ đơn thuần là vấn đề về răng miệng mà còn là một gánh nặng cho tinh thần và sức khỏe tổng thể của con người.
Mức độ đau răng và cách nhận biết tình trạng khẩn cấp
Mỗi cơn đau răng đều có mức độ khác nhau, từ nhẹ cho đến nghiêm trọng. Việc phân loại cơn đau thành các cấp độ sẽ giúp bạn nhận biết được thời điểm nào cần can thiệp y tế ngay lập tức.
- Đau nhẹ: Có thể tự giảm đi bằng các biện pháp dân gian hoặc thuốc giảm đau thông thường.
- Đau trung bình: Cần chú ý đến các triệu chứng kèm theo như sưng tấy hay chảy máu.
- Đau nghiêm trọng: Nếu có các dấu hiệu như sốt cao, khó mở miệng hay sưng lớn thì cần lập tức tìm kiếm sự trợ giúp từ bác sĩ.
Việc xác định rõ mức độ đau sẽ giúp bạn đưa ra quyết định đúng đắn về thời điểm cần thiết gặp nha sĩ.
Tác động của cơn đau răng dữ dội đến sinh hoạt hàng ngày
Một cơn đau răng không chỉ gây khó chịu mà còn có khả năng làm gián đoạn mọi hoạt động trong cuộc sống hàng ngày. Người bệnh có thể gặp nhiều khó khăn trong việc ăn uống, ngủ nghỉ và làm việc.
- Giấc ngủ bị ảnh hưởng: Nhiều bệnh nhân cho biết họ không thể chợp mắt nổi khi cơn đau kéo dài.
- Tâm trạng bất ổn: Áp lực do cơn đau có thể dẫn đến lo âu, stress, và thậm chí là trầm cảm.
- Hiệu suất làm việc giảm sút: Không thể tập trung vào công việc khiến năng suất lao động giảm đáng kể.
Rõ ràng, nhức răng kinh khủng không chỉ đơn thuần là một vấn đề về sức khỏe răng miệng mà còn có tác động sâu sắc đến đời sống tinh thần và hành vi hàng ngày của mọi người.
Nguyên nhân gây nhức răng kinh khủng
Có rất nhiều nguyên nhân có thể dẫn đến tình trạng nhức răng kinh khủng. Dưới đây là một số nguyên nhân phổ biến nhất mà bạn cần lưu ý.
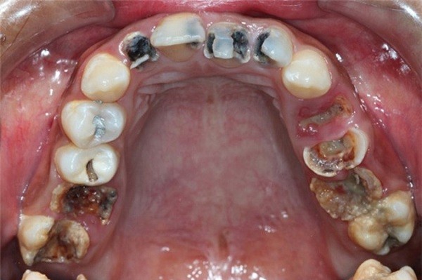
Sâu răng nặng và tổn thương tủy răng
Sâu răng là nguyên nhân hàng đầu gây ra cơn đau nhức. Khi sâu răng mới hình thành, men răng bị axit tấn công, tạo thành các lỗ nhỏ. Tuy nhiên, khi sâu răng tiến triển, nó sẽ ăn sâu vào ngà răng, nơi chứa nhiều ống thần kinh, gây ra cảm giác ê buốt và đau nhói.
- Giai đoạn đầu: Cơn đau thường không rõ ràng, chỉ xuất hiện khi ăn đồ ngọt, nóng hoặc lạnh.
- Giai đoạn tiến triển: Cơn đau trở nên dữ dội hơn, đặc biệt khi có kích thích từ thức ăn hoặc áp lực.
- Sâu răng đến tủy: Khi vi khuẩn xâm nhập vào tủy răng, cơn đau sẽ trở nên nghiêm trọng, có thể lan ra vùng khác như tai, thái dương hay cổ.
Trường hợp không điều trị kịp thời, sâu răng có thể dẫn đến viêm tủy, gây ra các cơn đau dữ dội và kéo dài.

Viêm tủy răng cấp tính và mãn tính
Viêm tủy răng có thể được chia thành hai loại: cấp tính và mãn tính. Mỗi loại sẽ có những triệu chứng và đặc điểm riêng.
- Viêm tủy cấp tính: Đây là giai đoạn đầu của viêm tủy, cơn đau thường xuất hiện khi có kích thích từ bên ngoài và có thể tự giảm sau khi loại bỏ nguyên nhân.
- Viêm tủy mãn tính: Cơn đau trở nên liên tục, tự phát và thường tăng lên vào ban đêm. Trong trường hợp này, tủy răng đã bị tổn thương nghiêm trọng và cần được điều trị tủy ngay lập tức.
Nếu không được điều trị, viêm tủy có thể dẫn đến nhiều biến chứng nghiêm trọng hơn như áp xe quanh răng.
Áp xe răng và nhiễm trùng nha chu
Áp xe là tình trạng nhiễm trùng xảy ra do vi khuẩn tích tụ xung quanh răng hoặc nướu. Tình trạng này không chỉ gây đau đớn mà còn có thể dẫn đến nhiều vấn đề nghiêm trọng khác nếu không được xử lý kịp thời.
- Áp xe quanh răng: Thường gây sưng tấy, đau nhức dữ dội, có thể kèm theo sốt và hơi thở có mùi hôi khó chịu.
- Áp xe cuống răng: Là tình trạng nhiễm trùng tại cuống răng, gây đau nhức đặc biệt khi nhai hoặc chạm vào răng.
Việc nhận biết và điều trị sớm áp xe răng là rất quan trọng để tránh các biến chứng nguy hiểm.

Răng khôn mọc lệch, răng mọc ngầm
Răng khôn thường là nguyên nhân gây đau nhức cho nhiều người do vị trí mọc không thuận lợi. Khi răng khôn mọc lệch hoặc không đủ chỗ, chúng có thể gây ra nhiều vấn đề như viêm nướu trùm răng, dẫn đến đau nhức và khó chịu.
- Viêm nướu trùm: Gây sưng tấy, khó há miệng và đau nhức kéo dài.
- Răng mọc ngầm: Nếu không được xử lý, có thể dẫn đến viêm nhiễm và các biến chứng khác.
Việc theo dõi và can thiệp kịp thời khi có dấu hiệu bất thường liên quan đến răng khôn là rất quan trọng.
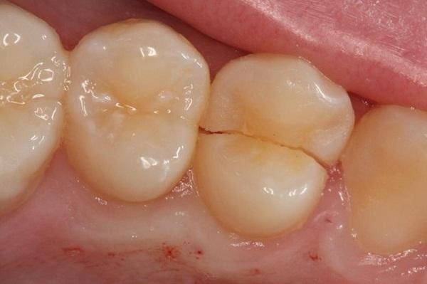
Răng bị nứt, mẻ hoặc gãy
Chấn thương do va đập mạnh, ăn nhai đồ cứng có thể dẫn đến tình trạng răng bị nứt, mẻ hoặc gãy. Điều này không chỉ gây ra cơn đau dữ dội mà còn ảnh hưởng đến chức năng ăn nhai.
- Nứt hoặc gãy răng: Khi tủy răng bị lộ, cơn đau sẽ trở nên nghiêm trọng hơn.
- Nguy cơ viêm tủy: Nếu không điều trị, tình trạng này có thể dẫn đến viêm tủy và yêu cầu điều trị nội nha.
Việc chăm sóc răng miệng cẩn thận và tránh các chấn thương có thể giúp giảm thiểu nguy cơ này.

Viêm nướu và bệnh nha chu
Viêm nướu thường xuất phát từ vệ sinh răng miệng kém, dẫn đến tình trạng viêm nhiễm. Nếu không được điều trị kịp thời, viêm nướu có thể tiến triển thành bệnh nha chu, gây đau nhức dữ dội.
- Viêm nướu: Dẫn đến sưng đỏ, chảy máu nướu và đau nhức nhẹ.
- Bệnh nha chu: Có thể gây lung lay răng, hình thành túi nha chu và đau nhức dữ dội.
Chăm sóc răng miệng định kỳ và kiểm tra thường xuyên tại nha sĩ là cách tốt nhất để phòng ngừa các vấn đề này.
Nghiến răng và chấn thương răng
Nghiến răng, đặc biệt là vào ban đêm, có thể gây đau nhức cơ hàm, đau đầu và mòn răng. Trong khi đó, chấn thương do tai nạn hoặc va đập mạnh có thể làm tổn thương cả cấu trúc răng và nướu.
- Nghiến răng: Gây căng thẳng cho hàm, dẫn đến đau nhức và các vấn đề khác.
- Chấn thương: Có thể khiến tủy răng bị lộ, gây cơn đau nghiêm trọng.
Điều quan trọng là cần có biện pháp ngăn ngừa và hỗ trợ kịp thời khi gặp tình trạng này.

Các tác nhân kích ứng (nóng, lạnh, chua, ngọt)
Nhiều người mắc phải cơn đau răng khi tiếp xúc với các tác nhân kích thích như đồ uống nóng, lạnh, chua hay ngọt. Những yếu tố này có thể làm tổn thương men răng và dẫn đến tình trạng nhạy cảm.
- Tác động của nhiệt độ: Ăn uống đồ nóng, lạnh có thể làm gia tăng cơn đau.
- Thực phẩm có đường, acid: Có thể gây ra sâu răng, khiến cơn đau thêm nghiêm trọng.
Thế nên, việc lựa chọn thực phẩm phù hợp và bảo vệ sức khỏe răng miệng là cực kỳ quan trọng.
Cách giảm đau răng kinh khủng tại nhà
Trong lúc chờ đợi đến gặp nha sĩ, có một số biện pháp giảm đau hiệu quả mà bạn có thể áp dụng ngay tại nhà.
Súc miệng với nước muối ấm
Nước muối ấm là một phương pháp tự nhiên hữu hiệu để giảm đau và sát khuẩn. Bạn có thể pha một thìa cà phê muối vào cốc nước ấm, sau đó súc miệng kỹ trong khoảng 30 giây, tập trung vào vùng răng bị đau.
- Lợi ích: Nước muối có tác dụng sát khuẩn, giảm viêm và hỗ trợ làm dịu cơn đau.
- Cách thực hiện: Lặp lại vài lần trong ngày để đạt hiệu quả tốt nhất.
Hãy chắc chắn rằng bạn không nuốt nước muối, mà hãy nhổ ra sau khi súc miệng.

Sử dụng túi chườm lạnh/nóng đúng cách
Chườm lạnh hay nóng cũng là một biện pháp hữu hiệu giúp giảm đau và sưng tấy. Bạn có thể dùng túi đá hoặc khăn lạnh chườm lên má bên ngoài vùng răng bị đau trong khoảng 15-20 phút.
- Chườm lạnh: Giúp giảm sưng và tê liệt các dây thần kinh cảm giác, giúp giảm đau.
- Chườm nóng: Nếu cảm giác đau kéo dài, có thể chuyển sang chườm nóng để thư giãn cơ.
Chú ý không để túi chườm quá lâu trên da để tránh gây tổn thương.
Các phương pháp dân gian hiệu quả (đinh hương, tỏi, gừng)
Một số nguyên liệu tự nhiên như đinh hương, tỏi hay gừng được biết đến với khả năng giảm đau và kháng viêm hiệu quả. Bạn có thể dễ dàng sử dụng các nguyên liệu này để giảm tình trạng nhức răng.
- Tinh dầu đinh hương: Nhỏ vài giọt tinh dầu lên bông gòn và đặt lên vùng răng bị đau. Tinh dầu đinh hương chứa eugenol, có tác dụng giảm đau và kháng khuẩn hiệu quả.
- Tỏi: Ép tỏi và đặt lên răng bị đau có thể giúp giảm viêm và đau.
Hãy nhớ rằng, mặc dù những phương pháp này có thể giúp giảm đau tạm thời, nhưng chúng không thể thay thế cho việc điều trị chính thức tại nha khoa.

Sử dụng thuốc giảm đau không kê đơn đúng cách
Các loại thuốc giảm đau như paracetamol (Panadol) hoặc ibuprofen (Nurofen) có thể giúp giảm đau tạm thời. Hãy tuân thủ hướng dẫn sử dụng và liều lượng khuyến cáo để đảm bảo an toàn khi dùng thuốc.
- Liều lượng: Chỉ dùng thuốc theo đúng liều lượng ghi trên bao bì hoặc theo hướng dẫn của bác sĩ.
- Lưu ý: Nếu bạn có tiền sử dị ứng thuốc hoặc các bệnh lý khác, hãy tham khảo ý kiến bác sĩ trước khi sử dụng.
Các biện pháp tránh làm trầm trọng thêm cơn đau
Trong thời gian chờ đợi đến gặp nha sĩ, bạn cần tránh các tác nhân có thể làm tình trạng đau nặng thêm.
- Tránh ăn uống đồ quá nóng, lạnh: Thay vào đó, hãy chọn các món ăn mềm, dễ nhai.
- Không nên nhai vào bên răng bị đau: Điều này có thể làm cơn đau thêm nghiêm trọng.
- Tránh nghiến răng: Nếu bạn có thói quen nghiến răng, hãy tìm các biện pháp để giảm thiểu tình trạng này.
Bằng cách chăm sóc và bảo vệ răng miệng đúng cách, bạn có thể giảm thiểu cơn đau hiệu quả và sớm tìm được giải pháp cho vấn đề của mình.
Giới hạn của các biện pháp tự điều trị tại nhà
Mặc dù có nhiều biện pháp giảm đau tại nhà, nhưng bạn cũng cần nhận thức rõ rằng chúng chỉ mang tính chất tạm thời. Nếu cơn đau không thuyên giảm hoặc có các dấu hiệu nhiễm trùng, bạn cần gặp nha sĩ ngay lập tức.
- Dấu hiệu cần gặp bác sĩ: Nếu bạn cảm thấy cơn đau kéo dài, có sốt hay sưng tấy nghiêm trọng, bạn nên đi khám ngay.
- Nguy cơ của tự ý áp dụng phương pháp không đúng: Một số biện pháp tự điều trị không đúng cách có thể dẫn đến biến chứng nghiêm trọng hơn.
Việc chủ động tìm kiếm sự trợ giúp y tế khi cần thiết sẽ giúp bạn tránh được nhiều rủi ro về sức khỏe.
Khi nào cần gặp nha sĩ khẩn cấp khi nhức răng kinh khủng
Khi gặp phải cơn đau răng kinh khủng, bạn nên biết rằng có những dấu hiệu cảnh báo cần phải can thiệp y tế ngay lập tức.
Dấu hiệu cảnh báo cần điều trị y tế ngay lập tức
Nếu bạn gặp phải các triệu chứng dưới đây, hãy tìm đến nha sĩ ngay lập tức:
- Sốt cao: Đây có thể là dấu hiệu của nhiễm trùng nghiêm trọng.
- Sưng mặt: Sưng tấy ngày càng tăng có thể là dấu hiệu của áp xe răng hoặc nhiễm trùng.
- Khó mở miệng: Đây có thể là tín hiệu cho thấy tình trạng viêm nhiễm đang diễn ra.
Việc phát hiện sớm các dấu hiệu này là rất quan trọng để tránh các biến chứng nguy hiểm.
Các biến chứng nguy hiểm của đau răng không điều trị
Nếu không được điều trị kịp thời, tình trạng đau răng có thể dẫn đến nhiều biến chứng nguy hiểm, bao gồm:
- Lây lan nhiễm trùng: Nhiễm trùng có thể lan xuống mô lân cận, gây ra các vấn đề nghiêm trọng như nhiễm trùng huyết.
- Hủy xương: Viêm nhiễm có thể dẫn đến tình trạng tiêu xương, làm suy yếu cấu trúc hàm.
Hậu quả của việc trì hoãn điều trị không chỉ ảnh hưởng đến sức khỏe răng miệng mà còn có thể tác động tiêu cực đến sức khỏe tổng thể.

Quy trình khám răng cấp cứu
Một khi đến nha sĩ, quy trình khám sẽ diễn ra như sau:
- Tiếp nhận và hỏi triệu chứng: Bác sĩ sẽ hỏi về lịch sử bệnh lý và triệu chứng hiện tại của bạn.
- Khám lâm sàng: Bác sĩ sẽ tiến hành kiểm tra răng miệng và đánh giá mức độ nghiêm trọng của tình trạng.
- Chẩn đoán và điều trị: Sau khi có chẩn đoán, bác sĩ sẽ tư vấn về phương pháp điều trị phù hợp.
Việc tuân thủ quy trình khám chữa bệnh sẽ giúp bạn nhanh chóng nhận được sự chăm sóc cần thiết.
Thời gian chờ đợi tối đa để tránh biến chứng
Để tránh các biến chứng nghiêm trọng, bạn không nên chần chừ trong việc tìm kiếm sự giúp đỡ y tế khi cảm thấy cơn đau răng kéo dài.
- Thời gian khuyến nghị: Nếu cơn đau kéo dài qua một đêm hoặc có các dấu hiệu nhiễm trùng, bạn cần đi khám ngay.
- Cảnh báo rủi ro của việc trì hoãn: Việc chờ đợi có thể khiến tình trạng trở nên nghiêm trọng hơn và yêu cầu điều trị phức tạp.
Lời khuyên của các chuyên gia là luôn chủ động chăm sóc sức khỏe răng miệng của bạn để tránh gặp phải tình trạng khẩn cấp.
Phương pháp điều trị đau răng tại nha khoa
Khi đã xác định được nguyên nhân gây ra cơn đau răng, bác sĩ nha khoa sẽ đưa ra phương pháp điều trị phù hợp.
Điều trị tủy răng (nội nha)
Đối với trường hợp viêm tủy răng, điều trị nội nha sẽ là phương pháp cần thiết.
- Quy trình: Bác sĩ sẽ lấy tủy bị viêm ra khỏi răng, làm sạch và khôi phục chức năng răng.
- Hồi phục sau điều trị: Thời gian hồi phục có thể mất vài tuần, nhưng hiệu quả sẽ mang lại cảm giác thoải mái hơn cho bệnh nhân.
Việc điều trị tủy răng sẽ giúp loại bỏ cơn đau và ngăn ngừa các vấn đề nghiêm trọng hơn.

Nhổ răng trong trường hợp cần thiết
Khi răng bị tổn thương quá nghiêm trọng và không thể phục hồi, việc nhổ răng sẽ trở thành phương án cuối cùng.
- Khi nào nên nhổ răng: Nếu răng đã chết tủy hoặc có áp xe nặng, bác sĩ sẽ xem xét phương án nhổ răng.
- Quy trình nhổ răng: Bác sĩ sẽ tiêm thuốc tê và tiến hành nhổ răng, đồng thời cung cấp các biện pháp giảm đau cho bệnh nhân.
Chăm sóc sau nhổ răng cũng rất quan trọng để đảm bảo quá trình hồi phục diễn ra suôn sẻ.
Điều trị áp xe và nhiễm trùng nha chu
Áp xe và nhiễm trùng nha chu cần được điều trị kịp thời để tránh các biến chứng nghiêm trọng.
- Quy trình điều trị: Bác sĩ sẽ hút mủ, diệt khuẩn và giảm sưng, đồng thời đưa ra các phương án hồi phục.
- Hồi phục sau điều trị: Đòi hỏi bệnh nhân phải tuân thủ chăm sóc răng miệng đúng cách để tránh tái phát.
Việc điều trị kịp thời sẽ giúp hạn chế tối đa các vấn đề về răng miệng.
Phương pháp điều trị răng nứt và gãy
Với các trường hợp răng bị nứt hoặc gãy, bác sĩ sẽ đưa ra phương án phục hồi.
- Trám răng: Sử dụng vật liệu phục hồi như composite hoặc bọc mão để khôi phục thẩm mỹ và chức năng răng.
- Theo dõi và chăm sóc: Cần theo dõi tình trạng răng thường xuyên để đảm bảo không gặp phải vấn đề mới.
Điều trị sớm sẽ giúp tránh được những tổn thất không đáng có về răng miệng.

Điều trị vấn đề răng khôn
Răng khôn mọc ngầm hoặc lệch có thể gây ra nhiều vấn đề khó chịu.
- Tiểu phẫu: Trong trường hợp răng khôn gây đau nhức, bác sĩ sẽ chỉ định loại bỏ.
- Chăm sóc sau phẫu thuật: Cần chú ý về vệ sinh răng miệng để ngăn ngừa nhiễm trùng.
Việc xử lý kịp thời sẽ giúp bạn giảm bớt cơn đau và cải thiện tình trạng răng miệng.
Thuốc kháng sinh và thuốc giảm đau theo đơn
Trong một số trường hợp, bác sĩ có thể kê đơn thuốc kháng sinh và thuốc giảm đau.
- Phác đồ điều trị: Dựa trên tình trạng nhiễm trùng và cơn đau, bác sĩ sẽ chỉ định loại thuốc phù hợp.
- Lưu ý tránh lạm dụng: Việc sử dụng thuốc không đúng cách có thể dẫn đến các vấn đề sức khỏe nghiêm trọng.
Tuân thủ theo hướng dẫn của bác sĩ sẽ giúp bạn đạt kết quả điều trị tốt nhất.
Chi phí điều trị các vấn đề gây đau răng nghiêm trọng
Chi phí điều trị đau răng có thể dao động tùy thuộc vào từng phương pháp điều trị cụ thể.
Chi phí điều trị tủy răng
Điều trị tủy răng thường có chi phí khá cao do quy trình phức tạp và thời gian hồi phục lâu.
- Yếu tố quyết định chi phí: Tình trạng bệnh lý, kinh nghiệm bác sĩ, trang thiết bị sử dụng sẽ ảnh hưởng đến giá thành điều trị.
- Tầm quan trọng của việc điều trị sớm: Chi phí điều trị sớm thường thấp hơn so với việc để tình trạng nặng mới tiến hành.
Việc nắm rõ về chi phí sẽ giúp bạn chuẩn bị tài chính tốt hơn cho quá trình điều trị.

Chi phí nhổ răng và xử lý sau nhổ
Chi phí nhổ răng cũng sẽ phụ thuộc vào mức độ phức tạp của ca nhổ.
- So sánh chi phí: Nhổ răng thường sẽ có chi phí thấp hơn so với nhổ răng khôn mọc lệch.
- Khoản phát sinh sau nhổ: Các khoản chi phí cho thuốc giảm đau, chăm sóc sau nhổ cũng cần được tính toán.
Lưu ý để có kế hoạch tài chính hợp lý khi gặp phải tình trạng đau răng.
Bảo hiểm y tế và các chi phí điều trị răng
Nhiều người có thể tận dụng bảo hiểm y tế trong việc giảm thiểu chi phí điều trị nha khoa.
- Quyền lợi bảo hiểm: Các quyền lợi sẽ khác nhau tùy thuộc vào từng gói bảo hiểm; bạn nên tham khảo để tận dụng tối đa.
- Thủ tục và trường hợp áp dụng: Đảm bảo bạn thực hiện đúng các thủ tục để được bảo hiểm chi trả.
Một số trường hợp có thể được bảo hiểm chi trả hoàn toàn, giúp bạn tiết kiệm đáng kể chi phí.
Chi phí điều trị dự phòng và dài hạn
Đầu tư vào chăm sóc răng miệng định kỳ sẽ giúp bạn giảm thiểu chi phí trong tương lai.
- Lợi ích của chăm sóc định kỳ: Giúp phát hiện sớm các vấn đề tiềm ẩn và tiết kiệm chi phí điều trị.
- Các gói khám – làm sạch: Việc tham gia các gói dịch vụ sẽ giúp bạn có cái nhìn tổng quát hơn về sức khỏe răng miệng.
Hãy nhớ rằng, phòng bệnh luôn tốt hơn chữa bệnh!
Phòng ngừa cơn đau răng kinh khủng
Để hạn chế cơn đau răng kinh khủng, việc thực hiện các biện pháp phòng ngừa là điều cần thiết.
Chế độ vệ sinh răng miệng đúng cách
Vệ sinh răng miệng đúng cách là bước đầu tiên và quan trọng nhất trong việc phòng ngừa các vấn đề về răng.
- Đánh răng đúng cách: Nên đánh răng ít nhất 2 lần mỗi ngày, sử dụng bàn chải mềm và kem đánh răng chứa fluoride.
- Sử dụng chỉ nha khoa: Giúp loại bỏ thức ăn thừa kẹt giữa các kẽ răng mà bàn chải không thể làm sạch được.
Chế độ vệ sinh răng miệng tốt sẽ giúp ngăn ngừa sâu răng và viêm nướu hiệu quả.

Thói quen ăn uống bảo vệ răng
Chế độ ăn uống cũng đóng vai trò quan trọng trong việc bảo vệ sức khỏe răng miệng.
- Hạn chế đồ ngọt và axit: Những loại thực phẩm này có thể gây sâu răng và làm hỏng men răng.
- Bổ sung canxi và vitamin D: Thực phẩm giàu canxi và vitamin D sẽ giúp củng cố cấu trúc răng chắc khỏe.
Một chế độ ăn uống cân bằng sẽ góp phần duy trì sức khỏe răng miệng lâu dài.
Khám răng định kỳ và tầm soát sớm
Khám răng định kỳ là cách tốt nhất để phát hiện và điều trị sớm các vấn đề về răng miệng.
- Tần suất nên đến nha khoa: Nên đi khám định kỳ ít nhất 6 tháng một lần để kiểm tra tình trạng răng miệng.
- Lợi ích của việc phát hiện sớm: Giúp bạn tiết kiệm chi phí điều trị và giữ cho răng miệng luôn khỏe mạnh.
Việc chủ động trong việc chăm sóc sức khỏe răng miệng sẽ giúp bạn hạn chế tối đa các vấn đề phát sinh.
Điều trị sớm các vấn đề răng tiềm ẩn
Nếu bạn phát hiện các dấu hiệu bất thường như đau nhức hay chảy máu nướu, hãy đi khám ngay.
- Nhận biết sớm các dấu hiệu: Điều này sẽ giúp bạn tránh các vấn đề phức tạp hơn trong tương lai.
- Lợi ích của việc điều trị sớm: Chi phí và thời gian điều trị sẽ được rút ngắn đáng kể.
Luôn chủ động chăm sóc sức khỏe răng miệng sẽ mang lại cho bạn một nụ cười khỏe mạnh.

Phòng ngừa chấn thương răng
Đeo bảo hộ khi chơi thể thao và thực hiện các biện pháp phòng tránh chấn thương răng cũng là điều quan trọng.
- Biện pháp bảo vệ: Sử dụng miếng bảo vệ răng khi tham gia các hoạt động thể thao có thể giúp bảo vệ răng khỏi chấn thương.
- Cẩn thận hơn trong sinh hoạt hàng ngày: Tránh ăn uống các thực phẩm quá cứng để bảo vệ răng khỏi các rủi ro.
Chăm sóc và bảo vệ răng miệng là trách nhiệm của mỗi người để đảm bảo sức khỏe lâu dài.
Câu hỏi thường gặp về đau răng dữ dội
Sau đây là một số câu hỏi thường gặp liên quan đến tình trạng đau răng và cách xử lý.
Tại sao đau răng thường nặng hơn vào ban đêm?
Cơn đau răng thường có xu hướng nặng hơn vào ban đêm do môi trường yên tĩnh và thiếu distraction. Ngoài ra, hormone cortisol cũng có thể làm tăng cảm giác đau trong thời gian này.
- Cơ chế sinh học: Ban đêm, cơ thể chúng ta sản xuất ít hormone cortisols và chất endorphins hơn, dẫn đến cảm giác đau tăng lên.
- Giải pháp: Bạn có thể thử nằm ở tư thế khác hoặc sử dụng thuốc giảm đau trước khi đi ngủ.
Cơn đau răng có tự hết không?
Dù đôi khi cơn đau răng có thể tự hết, nhưng việc này rất hiếm và thường đi kèm với nguy cơ để lại biến chứng nghiêm trọng.
- Phân tích các trường hợp: Nếu cơn đau tự hết, vẫn có thể có tổn thương tiềm ẩn không được điều trị.
- Khuyến nghị: Luôn theo dõi tình trạng sức khỏe răng miệng và đi khám định kỳ.
Khi nào đau răng là dấu hiệu của vấn đề nghiêm trọng?
Bạn cần phải cảnh giác với các triệu chứng như sưng tấy, sốt cao hay cơn đau kéo dài mà không có dấu hiệu giảm.
- Dấu hiệu cần báo động: Sưng mặt, chảy dịch từ nướu hoặc khó mở miệng có thể là dấu hiệu của nhiễm trùng nghiêm trọng.
- Lời khuyên: Nếu bạn có những dấu hiệu này, hãy tìm đến nha sĩ ngay lập tức để được chẩn đoán và điều trị kịp thời.
Làm thế nào để phân biệt đau răng với đau xoang?
Đau răng và đau xoang có thể có những điểm tương đồng nhưng thường có những triệu chứng đi kèm khác nhau.
- Đặc điểm cơn đau: Đau răng thường tập trung tại một vị trí cụ thể, trong khi đau xoang có thể lan tỏa khắp mặt.
- Triệu chứng đi kèm: Đau xoang thường đi kèm với nghẹt mũi hoặc chảy dịch mũi, trong khi đau răng thường có thêm cảm giác nhức nhối tại răng.
Có nên dùng kháng sinh khi đau răng không có đơn?
Việc tự ý dùng kháng sinh có thể gây ra nhiều rủi ro cho sức khỏe, vì vậy bạn nên tuân thủ theo hướng dẫn của bác sĩ.
- Lưu ý quan trọng: Việc dùng kháng sinh không đúng cách có thể dẫn đến tình trạng kháng thuốc và nhiều tác dụng phụ khác.
- Khuyến nghị: Tốt nhất là bạn nên đi khám nha sĩ để được kê đơn thuốc phù hợp.
Kết luận
Nhức răng kinh khủng là một trải nghiệm đau đớn và phiền toái mà ai cũng có thể gặp phải. Việc nhận biết các nguyên nhân, triệu chứng và cách xử lý kịp thời không chỉ giúp bạn giảm bớt cơn đau mà còn bảo vệ sức khỏe răng miệng của bản thân. Hy vọng bài viết này đã đem đến cho bạn những thông tin bổ ích và cần thiết để hiểu rõ hơn về tình trạng đau răng cũng như cách phòng ngừa hiệu quả. Hãy chăm sóc răng miệng của bạn thật tốt để có một nụ cười khỏe mạnh!