Trồng răng hàm bị sâu giá bao nhiêu? Bảng giá cập nhật

Răng hàm đóng vai trò chủ chốt trong việc ăn nhai và duy trì cấu trúc khuôn mặt. Khi bộ phận này bị sâu, việc xử lý kịp thời không chỉ giúp chấm dứt cơn đau mà còn tiết kiệm chi phí. Vậy trồng răng hàm bị sâu giá bao nhiêu và có những phương án nào tối ưu? Hãy cùng Nha khoa Sài Gòn Phong Phú tìm hiểu chi tiết ngay sau đây.

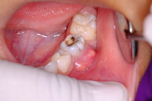
Khi nào cần trồng răng hàm bị sâu?

Không phải mọi trường hợp răng hàm bị sâu đều phải “trồng” lại (thay mới hoàn toàn). Việc xác định đúng thời điểm và phương pháp can thiệp đóng vai trò cực kỳ quan trọng trong việc bảo tồn sức khỏe răng miệng và tiết kiệm chi phí. Thông thường, bác sĩ sẽ chỉ định trồng răng trong các trường hợp sau:

  • Răng bị vỡ mẻ quá lớn: Khi vi khuẩn sâu răng ăn mòn hơn 1/2 diện tích mặt nhai hoặc làm vỡ các thành răng hàm, việc trám răng thông thường sẽ không còn bền. Lúc này, bạn cần bọc sứ hoặc làm Inlay/Onlay để khôi phục chức năng ăn nhai.
  • Sâu răng gây viêm tủy nặng: Nếu bạn gặp những cơn đau nhức dữ dội lan lên đầu, đó là dấu hiệu tủy đã bị nhiễm trùng. Sau khi điều trị tủy, răng hàm sẽ trở nên rất giòn và dễ vỡ, do đó cần bọc răng sứ để bảo vệ thân răng thật bên trong.
  • Chân răng bị lung lay hoặc áp xe: Khi lỗ sâu ăn sâu xuống dưới nướu, gây viêm nhiễm vùng chóp chân răng và làm tiêu xương ổ răng, răng sẽ không còn đứng vững. Trong trường hợp này, bác sĩ buộc phải nhổ răng hàm bị sâu để tránh nhiễm trùng lan rộng.
  • Chỉ còn lại chân răng: Nếu răng hàm bị sâu “mục” nát chỉ còn lại phần chân răng nằm sâu dưới nướu, không thể làm trụ cho mão sứ, thì việc nhổ bỏ và trồng răng Implant hoặc cầu răng sứ là giải pháp duy nhất để phục hồi khoảng trống mất răng.
Khi nào cần trồng răng hàm bị sâu?
 Khi nào cần trồng răng hàm bị sâu?

Răng hàm đảm nhận đến 90% lực nhai của toàn hàm. Nếu bạn phát hiện lỗ sâu có màu đen, thức ăn thường xuyên dắt vào hoặc có cảm giác ê buốt khi uống nước lạnh, hãy đến ngay Nha khoa Sài Gòn Phong Phú để được chụp phim X-quang miễn phí và xác định xem mình cần điều trị hay phải trồng lại răng mới.

Hai trường hợp thường gặp khi răng hàm bị sâu

Tùy vào mức độ tổn thương của mô răng mà bác sĩ sẽ chỉ định phương pháp điều trị phù hợp. Thông thường, bệnh nhân sẽ rơi vào một trong hai nhóm sau:

  • Sâu răng còn giữ được: Áp dụng khi lỗ sâu chưa phá hủy quá nhiều cấu trúc răng, chân răng còn vững chắc. Bác sĩ sẽ ưu tiên các giải pháp như trám răng hoặc bọc răng sứ để bảo tồn răng thật.
  • Sâu răng nặng phải nhổ: Khi vi khuẩn đã phá hủy hoàn toàn thân răng, gây viêm tủy nặng hoặc áp xe chân răng không thể cứu chữa. Sau khi nhổ răng hàm bị sâu, bạn cần tiến hành trồng lại bằng cầu răng sứ hoặc Implant để tránh tiêu xương hàm.

Tại sao cần phục hình răng hàm bị sâu, mất càng sớm càng tốt?

Răng hàm (bao gồm răng số 6, số 7 và đôi khi là răng số 8) được ví như “máy nghiền” thực phẩm chính của cơ thể. Với diện tích mặt nhai rộng và cấu tạo nhiều gờ rãnh, nhóm răng này đảm nhận vai trò nghiền nát thức ăn trước khi đưa xuống dạ dày.

Việc chần chừ không điều trị hoặc trì hoãn trồng răng hàm bị sâu sau khi nhổ bỏ sẽ dẫn đến những hệ lụy “dây chuyền” nghiêm trọng:

  • Hệ tiêu hóa bị áp lực: Khi mất đi lực nhai chính, thức ăn không được nghiền nhỏ sẽ khiến dạ dày phải làm việc gấp đôi công suất. Điều này kéo dài dễ dẫn đến các bệnh lý về đường ruột và đau dạ dày mãn tính.
  • Xáo trộn khớp cắn và xô lệch toàn hàm: Răng là một thể thống nhất, nâng đỡ lẫn nhau. Khi xuất hiện khoảng trống, các răng đối diện sẽ có xu hướng trồi lên hoặc sụt xuống, trong khi các răng lân cận đổ nghiêng về phía mất răng. Điều này không chỉ làm răng bị thưa, lệch lạc mà còn gây ra tình trạng đau khớp thái dương hàm.
  • Lão hóa sớm do tiêu xương hàm: Đây là hậu quả đáng sợ nhất. Tại vị trí mất răng, xương hàm không còn lực tác động từ chân răng sẽ dần tiêu biến. Hệ quả là vùng má bị hóp lại, da mặt chảy xệ và xuất hiện nhiều nếp nhăn, khiến bạn trông già hơn nhiều so với tuổi thật.
  • Nguy cơ mất thêm răng thật: Khoảng trống mất răng là nơi lý tưởng để vụn thức ăn bám lại, tạo điều kiện cho vi khuẩn phát triển. Nếu không vệ sinh kỹ, các răng khỏe mạnh bên cạnh sẽ nhanh chóng bị sâu, viêm nướu hoặc viêm nha chu, dẫn đến nguy cơ mất răng hàng loạt.
Xem thêm  Nhổ răng số 7 có cần trồng lại không? Có ảnh hưởng gì không?

Trồng răng hàm sớm không chỉ là câu chuyện thẩm mỹ mà còn là giải pháp bảo vệ sức khỏe tổng thể. Can thiệp càng sớm, cấu trúc xương hàm càng ổn định, giúp quy trình thực hiện đơn giản hơn và tiết kiệm tối đa chi phí cho bạn.

Trồng răng hàm bị sâu giá bao nhiêu?
 Trồng răng hàm bị sâu giá bao nhiêu?

Chi phí chữa răng hàm bị sâu (Trường hợp còn giữ được răng)

Khi răng hàm chỉ mới xuất hiện các lỗ sâu nhỏ hoặc tổn thương chưa lan rộng đến tủy, các bác sĩ tại Nha khoa Sài Gòn Phong Phú luôn ưu tiên giải pháp bảo tồn răng thật. Đây là cách tốt nhất để duy trì cảm giác ăn nhai tự nhiên và tiết kiệm tối đa chi phí cho khách hàng.

Trám răng hàm bị sâu giá bao nhiêu?

Trám răng là kỹ thuật nha khoa đơn giản nhất để khắc phục các lỗ sâu li ti hoặc sâu men răng. Bác sĩ sẽ tiến hành nạo sạch vết sâu, sau đó sử dụng vật liệu Composite chuyên dụng có màu sắc tương đồng với răng thật để lấp đầy khoảng trống, ngăn chặn sự xâm nhập của vi khuẩn.

Tại Nha khoa Sài Gòn Phong Phú, thắc mắc trám răng sâu bao nhiêu tiền sẽ phụ thuộc vào số lượng mặt trám và mức độ phức tạp của lỗ sâu. Thông thường, mức giá chỉ dao động từ 200.000đ/răng. Đây là khoản đầu tư cực kỳ nhỏ để ngăn ngừa những biến chứng lớn hơn về sau.

Bọc răng sứ cho răng hàm bị sâu có tốt không?

Trong nhiều trường hợp, lỗ sâu quá lớn khiến cấu trúc răng bị yếu đi đáng kể, việc trám răng sâu sẽ không còn mang lại hiệu quả bền vững vì miếng trám dễ bị bong tróc khi nhai mạnh. Lúc này, bọc răng sứ là “cứu cánh” hoàn hảo nhất bởi:

  • Độ bền cao: Mão sứ bao bọc toàn bộ răng thật, chịu được lực nhai cực lớn tại vị trí răng hàm (số 6, số 7).
  • Bảo vệ toàn diện: Ngăn không cho vi khuẩn tấn công vào tủy răng, giúp kéo dài tuổi thọ răng thật thêm hàng chục năm.
  • Thẩm mỹ tối ưu: Răng sau khi bọc sứ có hình dáng và màu sắc đẹp tự nhiên như răng mới.
Răng hàm bị sâu có nên bọc sứ không?
 Răng hàm bị sâu có nên bọc sứ không?

Để biết chính xác bọc răng sứ giá bao nhiêu, bạn có thể lựa chọn giữa các dòng sứ kim loại (tiết kiệm) hoặc răng toàn sứ (cao cấp) tùy theo khả năng tài chính. Tại phòng khám, chúng tôi cung cấp đa dạng các dòng sứ chính hãng với mức giá chỉ từ 2.000.000đ/răng.

Chi phí trồng răng hàm bị sâu (Trường hợp phải nhổ bỏ)

Trong những trường hợp răng bị sâu nghiêm trọng, vi khuẩn đã phá hủy hoàn toàn cấu trúc răng hoặc gây viêm nhiễm diện rộng, bác sĩ buộc phải chỉ định nhổ răng hàm bị sâu để bảo vệ sức khỏe toàn hàm.

Việc để trống khoảng mất răng quá lâu sẽ dẫn đến xô lệch hàm và tiêu xương. Hiện nay, có hai phương pháp phổ biến để phục hình răng hàm đã mất:

Cầu răng sứ: Giải pháp phục hình nhanh chóng

Cầu răng sứ là phương pháp sử dụng ít nhất hai răng thật bên cạnh răng mất để làm trụ đỡ cho dải cầu răng sứ bên trên.

  • Ưu điểm:

    • Thời gian thực hiện rất nhanh, chỉ mất khoảng 2 – 3 lần hẹn (từ 2-3 ngày).
    • Tính thẩm mỹ cao, màu sắc răng sứ tự nhiên, hài hòa với các răng khác.
    • Khôi phục lực nhai ổn định cho vùng răng hàm.
  • Nhược điểm:

    • Bắt buộc phải mài nhỏ các răng thật kế cận để làm trụ, có thể khiến răng trụ yếu dần theo thời gian.
    • Không ngăn chặn được tình trạng tiêu xương hàm tại vị trí mất răng, dẫn đến nguy cơ tụt nướu sau một thời gian sử dụng.
  • Giá cả: Chi phí được tính dựa trên số lượng đầu răng sứ trên cầu. Ví dụ: Mất 1 răng cần làm cầu 3 răng, tổng tiền = (Đơn giá răng sứ) x 3.

Xem thêm  Răng cấm bị sâu: Nguyên nhân và cách điều trị
Cầu răng sứ
 Cầu răng sứ

Trồng răng Implant: Giải pháp tối ưu lâu dài

Đây được coi là “tiêu chuẩn vàng” trong nha khoa hiện đại để thay thế răng hàm đã mất do răng sâu nặng. Một trụ Titanium sẽ được cấy trực tiếp vào xương hàm đóng vai trò như một chân răng thật.

  • Ưu điểm vượt trội:
    • Không mài răng thật: Không làm ảnh hưởng đến các răng khỏe mạnh xung quanh.
    • Ngăn ngừa tiêu xương: Trụ Implant tích hợp vào xương hàm giúp duy trì mật độ xương, tránh tình trạng hóp má, lão hóa sớm.
    • Độ bền vĩnh viễn: Nếu được chăm sóc tốt, răng Implant có thể tồn tại suốt đời.
    • Lực nhai như răng thật: Bạn có thể thoải mái ăn những món ăn cứng, dai mà không lo bị rơi hay vỡ.
  • Giá cả: Chi phí trồng răng Implant phụ thuộc chủ yếu vào loại trụ (Hàn Quốc, Mỹ, Thụy Sĩ…) và loại mão sứ gắn trên trụ mà bạn lựa chọn.
Trồng răng Implant
 Trồng răng Implant

Bảng giá trồng răng hàm mới nhất tại Nha khoa Sài Gòn Phong Phú

Tại Nha khoa Sài Gòn Phong Phú, chúng tôi hiểu rằng chi phí là một trong những yếu tố quan trọng nhất khiến khách hàng cân nhắc. Vì vậy, mọi hạng mục điều trị đều được niêm yết công khai, minh bạch, cam kết không phát sinh chi phí ẩn trong suốt quá trình thực hiện.

Dưới đây là bảng giá chi tiết cho các dịch vụ phục hình răng hàm bị sâu từ cơ bản đến chuyên sâu:

Dịch vụ điều trị / Trồng răng Đơn giá (VND) Ghi chú
Trám răng (Composite) Từ 200.000đ / răng Tùy mức độ sâu men hay sâu ngà
Răng sứ làm cầu / Bọc sứ 2.000.000đ – 10.000.000đ / răng Đa dạng dòng sứ (Kim loại, Toàn sứ)
Trụ Implant (Thụy Sĩ, Mỹ, Hàn…) 16.100.000đ – 46.000.000đ / trụ Bảo hành chính hãng lâu dài
Răng sứ trên Implant 3.500.000đ – 10.000.000đ / răng Chuyên dụng cho phục hình Implant

Lưu ý: Mức giá trên có thể thay đổi tùy thuộc vào chương trình khuyến mãi hiện hành và tình trạng răng miệng thực tế (ví dụ: cần ghép xương hay nâng xoang đối với trường hợp tiêu xương nặng khi trồng Implant).

Để nhận được báo giá chính xác nhất kèm các ưu đãi đặc biệt dành riêng cho khách hàng đăng ký online, quý khách vui lòng liên hệ Hotline: 0917 91 93 98.

Yếu tố ảnh hưởng đến chi phí trồng răng hàm bị sâu

Chi phí trồng răng không chỉ dựa trên phương pháp chọn lựa mà còn bị tác động bởi nhiều yếu tố khác nhau, đòi hỏi bạn cần hiểu rõ để có quyết định phù hợp nhất.

Yếu tố ảnh hưởng đến chi phí trồng răng hàm bị sâu
 Yếu tố ảnh hưởng đến chi phí trồng răng hàm bị sâu

Phương pháp phục hình răng được chọn

Trồng răng hàm bị sâu giá bao nhiêu phụ thuộc vào phương pháp lựa chọn, công nghệ, vật liệu và kỹ thuật thực hiện. Các phương pháp hiện đại như Implant hoặc hàm phủ trên Implant sẽ tốn kém hơn nhưng mang lại hiệu quả lâu dài và tự nhiên hơn.

Chọn phương pháp phù hợp dựa trên khả năng tài chính, tình trạng răng miệng và mong muốn cá nhân là yếu tố quan trọng để đạt được kết quả tối ưu. Đặc biệt, bác sĩ sẽ tư vấn trực tiếp giúp bạn hiểu rõ hơn về từng giải pháp phù hợp, tránh các chi phí phát sinh không cần thiết.

Số lượng và vị trí răng bị sâu

Vị trí răng hàm bị sâu cũng ảnh hưởng lớn đến chi phí phục hình. Răng phía sau trong cung hàm thường có vai trò quan trọng hơn trong việc nhai nghiền, yêu cầu không chỉ tính thẩm mỹ mà còn độ bền cao. Khi số lượng răng mất lớn, tổng chi phí cũng sẽ tăng theo.

Trong nhiều trường hợp, mất vài răng nhỏ không ảnh hưởng quá nhiều, nhưng mất nhiều răng hàm quan trọng cần các giải pháp tối ưu như Implant hoặc cầu răng sứ toàn hàm, từ đó ảnh hưởng trực tiếp đến chi phí tổng thể. Các bác sĩ thường tính toán dựa trên tình hình cụ thể của từng khách hàng để đưa ra phác đồ hợp lý nhất.

Tình trạng sức khỏe răng miệng

Sức khỏe răng miệng ảnh hưởng trực tiếp tới khả năng thực hiện trồng răng. Nếu khách hàng gặp các vấn đề như viêm nướu, viêm tủy, tiêu xương hoặc các vấn đề liên quan đến xương hàm, quá trình điều trị sẽ cần nhiều thời gian hơn, chi phí cũng tăng cao để đảm bảo an toàn.

Trước khi trồng răng, bác sĩ sẽ thực hiện kiểm tra kỹ lưỡng, có thể cần điều trị các bệnh lý răng miệng trước khi tiến hành các bước phục hình. Việc này giúp đảm bảo độ bền cho răng mới và giảm nguy cơ biến chứng về sau.

Loại vật liệu răng sứ (kim loại, toàn sứ, cao cấp)

Vật liệu làm răng sứ cũng là yếu tố quyết định giá cả của việc trồng răng. Loại sứ kim loại thường có chi phí thấp hơn nhưng khả năng thẩm mỹ không cao, dễ gây đen viền nướu sau thời gian dài.

Trong khi đó, sứ toàn sứ, sứ cao cấp, sứ thấu quang nhập khẩu từ các thương hiệu danh tiếng sẽ có giá thành cao hơn rất nhiều nhưng mang lại cảm giác tự nhiên, bền đẹp vượt trội. Sự lựa chọn phù hợp dựa trên ngân sách và yêu cầu về thẩm mỹ của từng khách hàng, giúp duy trì vẻ đẹp và độ bền lâu dài của răng.

Xem thêm  Lưỡi trắng là bệnh gì? Cách điều trị hiệu quả

Cơ sở vật chất và tay nghề bác sĩ

Chất lượng dịch vụ phụ thuộc lớn vào trang thiết bị công nghệ và tay nghề của bác sĩ. Các nha khoa hiện đại với trang bị máy móc chuẩn quốc tế, phòng vô trùng đạt tiêu chuẩn, cùng đội ngũ bác sĩ giàu kinh nghiệm chắc chắn sẽ có chi phí cao hơn.

Đồng nghĩa, mức giá tại những cơ sở này cũng phản ánh chất lượng dịch vụ đảm bảo an toàn, chính xác và không gây đau đớn. Bạn nên lựa chọn những địa chỉ uy tín, có phản hồi tích cực của khách hàng để đảm bảo quyền lợi và tránh các rủi ro không mong muốn.

Vì sao nên trồng răng tại Nha khoa Sài Gòn Phong Phú?

Giữa hàng trăm cơ sở nha khoa hiện nay, Nha khoa Sài Gòn Phong Phú tự hào là điểm đến tin cậy, được hàng ngàn khách hàng tại Bình Chánh và các khu vực lân cận ưu tiên lựa chọn. Khi thực hiện phục hình răng hàm tại đây, bạn sẽ hoàn toàn an tâm bởi:

Đội ngũ bác sĩ chuyên môn cao, giàu tâm huyết

Chúng tôi quy tụ đội ngũ bác sĩ chuyên gia có hơn 10 năm kinh nghiệm, từng tu nghiệp chuyên sâu về lĩnh vực Cấy ghép Implant và Răng sứ thẩm mỹ. Với kỹ thuật chuẩn xác và sự thấu hiểu tâm lý khách hàng, các bác sĩ sẽ giúp quy trình điều trị diễn ra nhẹ nhàng, hạn chế tối đa cảm giác đau nhức hay khó chịu.

Trang thiết bị hiện đại – Công nghệ dẫn đầu

Để trả lời chính xác câu hỏi trồng răng hàm bị sâu giá bao nhiêu và cần can thiệp như thế nào, Nha khoa Sài Gòn Phong Phú đã đầu tư hệ thống máy móc đạt chuẩn quốc tế:

  • Máy chụp CT Cone Beam: Giúp khảo sát chi tiết mật độ xương hàm và hệ thống dây thần kinh, đảm bảo an toàn tuyệt đối khi cấy ghép Implant.
  • Công nghệ lấy dấu răng 3D: Giúp thiết kế mão răng sứ chính xác đến từng milimet, khít sát hoàn hảo với nướu, không gây cộm vướng.

Chính sách minh bạch – Bảo hành dài hạn

Chúng tôi cam kết sự minh bạch trong mọi khâu:

  • Chi phí rõ ràng: Khách hàng được tư vấn bảng giá chi tiết trước khi điều trị, cam kết không phát sinh bất kỳ khoản phí nào ngoài hợp đồng.
  • Hợp đồng bảo hành: Mọi dịch vụ trồng răng sứ và Implant đều có thẻ bảo hành chính hãng, đảm bảo quyền lợi tối ưu cho khách hàng về lâu dài.

Thông tin liên hệ tư vấn và đặt lịch hẹn:

  • Địa chỉ: 1789 Quốc Lộ 50, xã Phong Phú, Bình Chánh, TP.HCM
  • Hotline: 0917 91 93 98
  • Giờ làm việc: 08:00 – 20:00 (Tất cả các ngày trong tuần)

Chăm sóc sau khi trồng răng hàm bị sâu như thế nào?

Chăm sóc đúng cách sau khi trồng răng đóng vai trò quyết định đến độ bền, tính thẩm mỹ và sức khỏe răng miệng lâu dài. Một chế độ chăm sóc phù hợp sẽ giúp giảm thiểu tối đa các nguy cơ phát sinh biến chứng, bảo vệ răng mới trồng khỏi các tác nhân xấu.

Chăm sóc sau khi trồng răng hàm bị sâu như thế nào?
 Chăm sóc sau khi trồng răng hàm bị sâu như thế nào?

Vệ sinh răng miệng đúng cách sau trồng răng

Việc vệ sinh răng miệng hàng ngày đúng kỹ thuật rất cần thiết nhằm loại bỏ mảng bám, vi khuẩn tích tụ quanh chân răng hay bề mặt răng mới trồng. Bạn nên sử dụng bàn chải mềm, chải nhẹ nhàng để tránh làm tổn thương mô nướu hoặc lớp sứ mới. Ngoài ra, dùng chỉ nha khoa và nước súc miệng phù hợp sẽ giúp làm sạch sâu hơn, bảo vệ tốt hơn.

Trong giai đoạn đầu sau trồng răng, bạn nên hạn chế các thao tác quá mạnh để tránh gây mất ổn định cho implant hoặc ảnh hưởng tới quá trình tích hợp của vật liệu mới. Định kỳ khám răng theo lịch hẹn của bác sĩ sẽ giúp phát hiện sớm các vấn đề phát sinh, từ đó xử lý kịp thời, đảm bảo hiệu quả điều trị.

Chế độ ăn uống lành mạnh, tránh gây tổn thương răng mới

Chế độ ăn uống ảnh hưởng rất lớn đến quá trình lành thương và độ bền của răng mới trồng. Bạn nên tránh xa đồ quá cứng, dai, quá nóng, quá lạnh hoặc nhiều đường, vì sẽ gây tổn thương hoặc kích thích vào vùng trồng răng. Thay vào đó, nên ưu tiên các loại thực phẩm dễ ăn, giàu vitamin, canxi, magie để hỗ trợ phát triển xương và mô nướu.

Ngoài ra, việc hạn chế thức ăn chứa axit, độ kiềm cao sẽ giúp ngăn ngừa tình trạng ăn mòn bề mặt răng, giữ màu sắc tự nhiên và độ bền của sứ. Những thực phẩm tốt cho sức khỏe răng miệng gồm sữa tươi, sữa chua, trái cây tươi, rau xanh và các loại thực phẩm giàu dinh dưỡng tự nhiên. Đồng thời, tránh các thức ăn có ga, đồ ngọt nhiều gây sâu răng trở lại.

Lịch tái khám và kiểm tra định kỳ

Việc tái khám định kỳ theo hướng dẫn của bác sĩ giúp theo dõi quá trình hồi phục, kiểm tra độ bám dính của implant hoặc cầu răng sứ, phát hiện sớm các dấu hiệu bất thường giúp xử lý kịp thời. Thông thường, sau trồng răng, khách hàng sẽ được hẹn kiểm tra sau 1 tuần, 1 tháng, rồi định kỳ 6 tháng hoặc theo chỉ định của bác sĩ.

Trong quá trình khám định kỳ, bác sĩ sẽ chụp X-quang, kiểm tra nướu và móng răng để đảm bảo không có biến chứng tiêu xương, viêm nhiễm hoặc tụt lợi. Việc này giúp đảm bảo tuổi thọ của răng mới rõ ràng hơn, đồng thời duy trì chức năng và tính thẩm mỹ lâu dài.

Đừng để sâu răng hàm làm ảnh hưởng đến chất lượng cuộc sống của bạn. Liên hệ ngay với Nha khoa Sài Gòn Phong Phú để được thăm khám và tư vấn phương pháp phù hợp nhất với ngân sách của mình!

Việc tìm hiểu trồng răng hàm bị sâu giá bao nhiêu là bước quan trọng giúp bạn chủ động về tài chính và lựa chọn phương pháp phù hợp. Giá trồng răng phụ thuộc vào kỹ thuật, vật liệu sử dụng và cơ sở nha khoa. Dù chi phí có thể khác nhau, điều quan trọng là chọn địa chỉ uy tín, đảm bảo an toàn, hiệu quả và tuổi thọ lâu dài cho răng. Hãy cân nhắc kỹ để bảo vệ sức khỏe răng miệng và nụ cười trọn vẹn.

Đặt lịch