Bạn có biết rằng, việc trám răng cửa bị sâu không chỉ giúp khắc phục tình trạng mất thẩm mỹ mà còn ngăn ngừa các biến chứng nghiêm trọng về sau? Trám răng cửa bị sâu giá bao nhiêu là mối quan tâm chung của nhiều người khi quyết định điều trị. Trong bài viết này, chúng ta sẽ đi sâu vào các phương pháp trám răng phổ biến, các yếu tố ảnh hưởng đến chi phí, cũng như quy trình chi tiết tại các nha khoa uy tín như Nha Khoa Sài Gòn. Hãy cùng tìm hiểu để có được lựa chọn đúng đắn nhất cho sức khỏe răng miệng của bạn!
Khi nào nên trám răng cửa bị sâu?
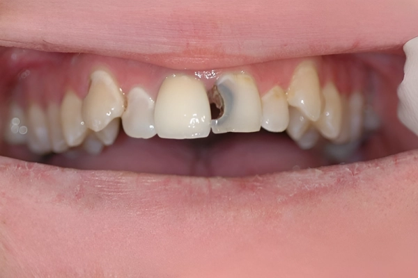
Trong cuộc sống hàng ngày, rất nhiều người gặp phải tình trạng răng cửa bị sâu mà không nhận thức rõ về mức độ nghiêm trọng của vấn đề. Khi phát hiện sớm, việc trám răng sớm sẽ giúp ngăn chặn quá trình sâu lan rộng, đồng thời giữ gìn vẻ đẹp tự nhiên của nụ cười. Tuy nhiên, bạn cần biết rõ các dấu hiệu báo hiệu răng cần trám để không bỏ lỡ những cơ hội phục hồi tối ưu và giữ gìn sức khỏe răng miệng lâu dài.

Dấu hiệu răng cửa bị sâu cần được trám ngay
Không phải lúc nào bạn cũng dễ dàng nhận biết được rằng răng cửa đang gặp vấn đề sâu. Tuy nhiên, có một số dấu hiệu rõ ràng giúp bạn nhận diện sớm như sau:
Lợi ích của việc trám răng cửa sớm
Trám răng cửa sớm mang lại vô số lợi ích thiết thực, góp phần nâng cao chất lượng cuộc sống và sức khỏe răng miệng của người bệnh.
Các phương pháp trám răng cửa bị sâu phổ biến hiện nay
Trong quá trình điều trị sâu răng, các kỹ thuật trám răng đã ngày càng đa dạng, phù hợp với nhiều tình trạng răng miệng khác nhau cũng như ngân sách của từng khách hàng. Thị trường nha khoa hiện nay cung cấp nhiều giải pháp từ truyền thống đến hiện đại, giúp người bệnh thoải mái lựa chọn phương pháp phù hợp nhất. Mỗi kỹ thuật đều sở hữu những đặc điểm riêng, đem lại hiệu quả tối ưu cho việc phục hồi thẩm mỹ và chức năng ăn nhai của răng cửa.

Trám răng cửa bằng Composite
Trong số các phương pháp trám răng hiện nay, trám bằng composite được ưu tiên hàng đầu nhờ tính thẩm mỹ vượt trội và độ bám dính cao trên mô răng tự nhiên.
Trám răng cửa bằng GIC (Glass Ionomer Cement)
GIC là loại chất trám phổ biến thứ hai, đặc biệt phù hợp trong các trường hợp trẻ em, người có răng yếu hoặc cần phục hình tạm thời.
Trám răng cửa Inlay/Onlay sứ
Đây là phương pháp trám cao cấp, phù hợp với những răng cửa bị sâu nặng hoặc tổn thương lớn, cần phục hồi toàn bộ diện tích mô răng mất.
Trám răng cửa bị sâu giá bao nhiêu? – Cập nhật 2025
Chi phí trám răng cửa bị sâu luôn là mối quan tâm lớn của khách hàng khi cân nhắc lựa chọn phương pháp phù hợp. Mức giá này không chỉ phụ thuộc vào loại vật liệu trám, mà còn chịu ảnh hưởng bởi công nghệ, tay nghề của bác sĩ, và các yếu tố riêng biệt tại từng nha khoa. Đến năm 2025, các giá cả đã có nhiều thay đổi, phản ánh tiến bộ công nghệ và cạnh tranh của thị trường nha khoa. Điều này giúp người tiêu dùng có thêm nhiều lựa chọn hơn trong quá trình chăm sóc sức khỏe răng miệng.

Yếu tố ảnh hưởng đến chi phí trám răng cửa
Chi phí thực hiện trám răng rất đa dạng và phụ thuộc vào một số yếu tố chính.
Bảng giá trám răng cửa tại Nha Khoa Sài Gòn [2025]
Nha Khoa Sài Gòn luôn cập nhật bảng giá rõ ràng, minh bạch để khách hàng dễ dàng lựa chọn phù hợp với ngân sách của mình. Đối với các phương pháp trám phổ biến như composite, GIC, hay sứ Inlay/Onlay, giá cả đều dao động trong khoảng:
- Trám răng Composite: từ 300.000đ – 600.000đ/răng, tùy vào vị trí và kích thước tổn thương.
- Trám răng GIC: khoảng 200.000đ – 400.000đ/răng, phù hợp cho trường hợp nhẹ hoặc trám tạm.
- Trám Inlay/Onlay sứ: thường từ 3.000.000đ trở lên, thích hợp cho các răng tổn thương nặng hoặc yêu cầu thẩm mỹ cao.
Tùy nhu cầu và tình trạng răng, các chuyên gia tại Nha Khoa Sài Gòn sẽ tư vấn kỹ lưỡng để khách hàng chọn lựa phương án phù hợp, mang lại hiệu quả tối ưu cho sức khỏe và vẻ đẹp của răng miệng.
Quy trình trám răng cửa bị sâu tại Nha Khoa Sài Gòn
Quy trình trám răng tại Nha Khoa Sài Gòn hiện đại, chuyên nghiệp được thực hiện theo các bước rõ ràng nhằm đảm bảo an toàn, hiệu quả tối đa. Quy trình này cung cấp dịch vụ tận tình, bảo vệ sức khỏe của khách hàng trong suốt quá trình điều trị và sau đó.

Bước 1 – Khám và tư vấn tình trạng răng
Ngay từ bước đầu, các bác sĩ sẽ kiểm tra toàn diện răng miệng bằng thiết bị hiện đại như máy soi và chụp X-quang kỹ thuật số, giúp xác định chính xác mức độ sâu răng. Dựa trên kết quả, bác sĩ tư vấn chi tiết về phương án điều trị, vật liệu và chi phí. Đội ngũ tư vấn chuyên nghiệp luôn sẵn sàng giải đáp mọi thắc mắc, giúp khách hàng hiểu rõ quy trình và yên tâm lựa chọn dịch vụ phù hợp.
Bước 2 – Vệ sinh và gây tê
Trước khi tiến hành điều trị, bác sĩ sẽ vệ sinh kỹ vùng răng bị sâu để loại bỏ mảng bám và vi khuẩn, giúp vật liệu trám bám chắc hơn và hạn chế tái phát sâu răng. Trong quá trình này, khách hàng được gây tê cục bộ để giảm đau, tạo cảm giác thoải mái. Kỹ thuật gây tê hiện đại, an toàn, chỉ mất khoảng 10–15 phút, sau đó bác sĩ sẽ tiếp tục bước loại bỏ mô răng sâu và phục hình răng.
Bước 3 – Loại bỏ mô răng sâu
Tiếp theo, bác sĩ sẽ dùng các dụng cụ nha khoa chuyên dụng như khoan siêu âm hoặc tay khoan để loại bỏ toàn bộ mô răng bị sâu, hư hỏng. Bước này đòi hỏi sự tỉ mỉ và chính xác để không ảnh hưởng đến mô răng khỏe mạnh, đồng thời đảm bảo vùng điều trị sạch hoàn toàn, không còn vi khuẩn hay mủ. Sau khi loại bỏ mô sâu, bác sĩ tiến hành đánh bóng và làm sạch bề mặt răng, tạo điều kiện cho vật liệu trám bám chắc, ngăn ngừa sâu răng tái phát hiệu quả.
Bước 4 – Tiến hành trám răng
Lựa chọn vật liệu phù hợp, bác sĩ sẽ tiến hành trám vào phần mô răng đã được làm sạch. Đây là bước đòi hỏi kỹ thuật cao và sự tỉ mỉ để tạo hình răng tự nhiên, khôi phục thẩm mỹ và chức năng nhai. Nhờ ứng dụng công nghệ trám hiện đại, vật liệu được nén chặt, bám dính tốt, chống mài mòn và không bong tróc. Trong quá trình này, bác sĩ cũng kiểm tra khớp cắn kỹ lưỡng, đảm bảo hàm răng cân đối, giúp người bệnh cảm thấy thoải mái khi ăn uống và giao tiếp.
Bước 5 – Hoàn thiện, kiểm tra khớp cắn và hướng dẫn chăm sóc
Sau khi trám răng hoàn tất, bác sĩ sẽ kiểm tra kỹ cảm giác cắn và sự thoải mái trong khoang miệng, đồng thời làm mịn bề mặt trám để đạt độ bóng tự nhiên, không gây cộm khi ăn nhai. Tiếp đó, các mối ghép và độ bám của vật liệu được kiểm tra lại nhằm đảm bảo độ bền lâu dài. Cuối cùng, bác sĩ hướng dẫn chi tiết cách chăm sóc sau điều trị, nhấn mạnh vệ sinh răng miệng đúng cách, hạn chế thực phẩm gây sâu và tái khám định kỳ để duy trì hiệu quả trám tốt nhất.
Kinh nghiệm chăm sóc răng cửa sau khi trám
Chăm sóc răng cửa đúng cách sau khi trám là điều cực kỳ quan trọng để duy trì kết quả, hạn chế nguy cơ tái phát sâu, và kéo dài tuổi thọ của miếng trám. Một số nguyên tắc cơ bản và các mẹo nhỏ trong chăm sóc răng miệng sẽ giúp bạn lấy lại tự tin trong mọi khoảnh khắc của cuộc sống.

Không chỉ việc vệ sinh răng miệng đều đặn hai lần mỗi ngày bằng bàn chải has
Thường xuyên vệ sinh răng miệng đúng kỹ thuật
Việc chải răng đúng cách sẽ giúp loại bỏ mảng bám và vi khuẩn tích tụ quanh vùng trám, giảm thiểu nguy cơ sâu răng tái phát. Lựa chọn bàn chải mềm, cùng kem đánh răng phù hợp, cố gắng chải đều nhẹ nhàng theo chiều dọc và vòng tròn để răng luôn sạch sẽ mà không gây tổn thương mô nướu. Ngoài ra, sử dụng chỉ nha khoa hoặc dụng cụ làm sạch kẽ răng là cách tối ưu giữ gìn sức khỏe.
Thói quen này cần duy trì đều đặn, đặc biệt chú ý vào thời điểm tối trước khi đi ngủ để giữ cho khoang miệng sạch khuẩn suốt đêm. Đồng thời, bổ sung nước súc miệng diệt khuẩn, hạn chế thói quen hút thuốc hay ăn đồ ngọt, thực phẩm dính để tránh làm dơ cầu trám hay tạo điều kiện cho vi khuẩn tấn công.
Kiểm tra định kỳ và tái khám
Thăm khám nha sĩ định kỳ 6 tháng/lần để kiểm tra tình trạng răng, vùng trám, và phát hiện sớm các vấn đề bất thường. Bác sĩ sẽ giúp bạn phát hiện kịp thời các dấu hiệu báo hiệu mô răng hoặc vật liệu trám có vấn đề, từ đó xử lý nhanh chóng, tránh những biến chứng phức tạp hơn.
Tái khám còn là dịp để bác sĩ kiểm tra chức năng cắn, độ bền của vật liệu, và hướng dẫn bạn cách chăm sóc phù hợp hơn. Việc giữ lịch hẹn đều đặn góp phần nâng cao hiệu quả điều trị, đồng thời giúp bạn duy trì hàm răng khỏe đẹp suốt cuộc đời.
Thói quen ăn uống lành mạnh
Chế độ dinh dưỡng phù hợp đóng vai trò quyết định trong việc duy trì răng khỏe mạnh. Nên hạn chế tiêu thụ đồ ngọt, đồ ăn chứa nhiều tinh bột, thức uống chứa axit hoặc quá nóng/lạnh. Thay vào đó, ưu tiên các loại thực phẩm giàu canxi, vitamin D, và các khoáng chất giúp củng cố răng, tăng khả năng kháng khuẩn.
Ngoài ra, sau khi trám, bạn nên tránh những thức ăn quá cứng, dính, dễ làm bong trám hoặc gây chấn thương vùng lợi, răng mới trám. Việc duy trì lối sống lành mạnh không chỉ giúp giữ gìn kết quả trám mà còn nâng cao tổng thể sức khỏe răng miệng của bạn.
Vì sao nên trám răng cửa tại Nha Khoa Sài Gòn?
Lựa chọn địa chỉ nha khoa uy tín như Nha Khoa Sài Gòn là yếu tố quyết định đến kết quả thành công của quá trình trám răng cửa bị sâu. Với quy trình chuyên nghiệp, công nghệ hiện đại và đội ngũ y bác sĩ giàu kinh nghiệm, trung tâm cam kết mang lại sự hài lòng cao nhất cho khách hàng.

Chất lượng dịch vụ tại đây không chỉ đảm bảo về mặt kỹ thuật mà còn chú trọng đến yếu tố chăm sóc khách hàng, giúp mỗi người nâng cao ý thức phòng tránh sâu răng và duy trì hàm răng khỏe đẹp lâu dài. Bên cạnh đó, các thiết bị xét nghiệm, vật liệu trám đạt tiêu chuẩn Châu Âu, nguồn gốc rõ ràng, đảm bảo tính an toàn tuyệt đối.
Ngoài ra, chính sách giá cả cạnh tranh, tư vấn tận tình, linh hoạt về phương pháp và phong cách phục vụ giúp khách hàng cảm thấy thoải mái, yên tâm trong suốt quá trình điều trị. Đến với Nha Khoa Sài Gòn, bạn nhận được không chỉ là dịch vụ chất lượng mà còn là sự quan tâm chân thành, mang lại sự tự tin và rạng rỡ trong mỗi nụ cười.
Nếu bạn đang băn khoăn trám răng cửa bị sâu giá bao nhiêu, thì câu trả lời phụ thuộc vào chất liệu trám, công nghệ phục hình và mức độ tổn thương của răng. Trám răng cửa không chỉ giúp khôi phục tính thẩm mỹ mà còn bảo vệ răng khỏi sâu nặng và viêm nhiễm. Tại các nha khoa uy tín như Nha Khoa Sài Gòn, chi phí được niêm yết rõ ràng, đi kèm quy trình chuẩn và chính sách bảo hành tốt. Việc điều trị sớm sẽ giúp bạn tiết kiệm chi phí, duy trì nụ cười tự tin và sức khỏe răng miệng lâu dài.