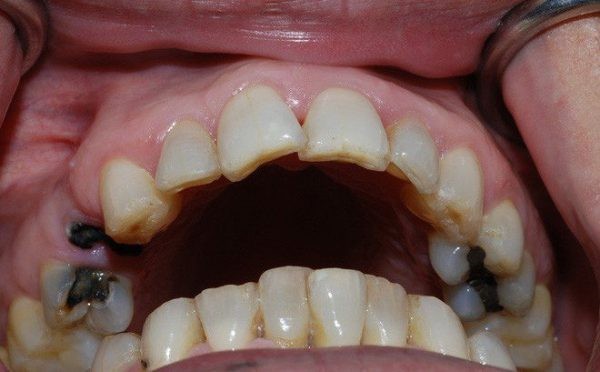
Sâu răng đen không chỉ gây mất thẩm mỹ nghiêm trọng mà còn là dấu hiệu cho thấy cấu trúc răng đang bị phá hủy nặng nề. Nếu không điều trị kịp thời, vi khuẩn sẽ tấn công vào tủy, gây đau nhức dữ dội và nguy cơ mất răng vĩnh viễn.
Nhiều người thường chủ quan khi thấy những chấm đen nhỏ trên bề mặt răng hoặc kẽ răng. Tuy nhiên, theo các bác sĩ tại Nha khoa Sài Gòn Phong Phú, sâu răng đen tiến triển rất thầm lặng. Bài viết này sẽ giúp bạn hiểu rõ nguyên nhân, các giai đoạn và cách điều trị dứt điểm tình trạng này.
Sâu răng đen là gì?
Sâu răng đen là tình trạng bệnh lý răng miệng phổ biến, xảy ra khi vi khuẩn tấn công và phá hủy cấu trúc mô cứng của răng (men răng và ngà răng) trong một thời gian dài. Biểu hiện đặc trưng nhất là sự xuất hiện của các đốm đen, vết nâu sẫm hoặc các lỗ khuyết lõm trên bề mặt răng.

Cơ chế hình thành tình trạng răng bị sâu đen
Quá trình này không diễn ra tức thời mà là hệ quả của một chuỗi phản ứng sinh hóa trong khoang miệng:
- Tích tụ mảng bám: Khi bạn vệ sinh không kỹ, các mảng bám thức ăn thừa, protein trong nước bọt (mucin) và tế bào chết sẽ tạo thành một lớp màng sinh học bám chặt trên răng.
- Sản sinh Axit: Vi khuẩn (chủ yếu là Streptococcus mutans) phân hủy các thành phần trong mảng bám, đặc biệt là đường và tinh bột, để tạo ra Axit Lactic.
- Hủy khoáng và hình thành lỗ sâu: Loại axit này trực tiếp ăn mòn lớp men răng bảo vệ, khiến răng dần chuyển sang màu ố vàng rồi xuất hiện các chấm đen li ti. Nếu không được ngăn chặn, vi khuẩn sẽ tiến sâu vào ngà răng, khuếch đại kích thước lỗ hổng, gây đau nhức dữ dội và nguy cơ viêm tủy răng rất cao.
Các triệu chứng điển hình đi kèm
Bên cạnh sự thay đổi rõ rệt về màu sắc (các vết đen gây mất thẩm mỹ), người bệnh thường gặp phải các tình trạng:
- Ê buốt kéo dài: Cảm giác nhói buốt khi ăn đồ nóng, lạnh hoặc đồ ngọt do lớp men bảo vệ đã bị bào mòn.
- Cơn đau nhức âm ỉ: Khi lỗ sâu chạm đến ngà răng hoặc tủy, những cơn đau sẽ xuất hiện thường xuyên hơn, ảnh hưởng đến giấc ngủ.
- Hơi thở có mùi khó chịu: Sự tích tụ của vi khuẩn và thức ăn phân hủy trong các lỗ sâu đen là nguyên nhân chính gây hôi miệng, khiến bạn mất tự tin khi giao tiếp.
- Răng yếu, lung lay: Chức năng ăn nhai bị suy giảm rõ rệt. Trong trường hợp nghiêm trọng không thể bảo tồn, bác sĩ buộc phải chỉ định nhổ bỏ và tư vấn trồng răng Implant để đảm bảo thẩm mỹ và sức khỏe xương hàm.

Lời khuyên từ bác sĩ: Đừng chủ quan với các đốm đen nhỏ! Việc phát hiện sớm và thực hiện trám răng thẩm mỹ kịp thời sẽ giúp bạn bảo vệ tối đa răng thật và tiết kiệm chi phí điều trị đáng kể.
Tại sao răng bị sâu đen? Giải mã nguyên nhân từ góc nhìn chuyên gia
Nguyên nhân cốt lõi dẫn đến tình trạng sâu răng đen là sự kết hợp “nguy hiểm” giữa vi khuẩn Streptococcus mutans và các mảng bám thực phẩm. Khi các yếu tố này tồn tại lâu ngày trong khoang miệng, chúng sẽ tạo ra phản ứng axit ăn mòn men răng.

Dưới đây là những nguyên nhân phổ biến nhất khiến răng bạn dần chuyển sang màu đen và hư tổn:
Thói quen vệ sinh răng miệng chưa đúng cách
Đây là lý do hàng đầu dẫn đến hầu hết các bệnh lý răng miệng. Nếu bạn lười đánh răng hoặc chải răng không kỹ, các mảnh vụn thức ăn và tế bào chết sẽ tích tụ tạo thành mảng bám cứng đầu. Đây chính là “ổ” vi khuẩn lý tưởng để chúng sinh sôi, sản sinh axit phá hủy lớp men răng bên ngoài, tạo thành các lỗ sâu đen thẩm mỹ kém.
Chế độ ăn uống quá nhiều đường và tinh bột
Vi khuẩn sâu răng cực kỳ “ưa thích” đường. Nếu bạn thường xuyên ăn đồ ngọt, bánh kẹo hoặc uống nước có ga mà không làm sạch răng ngay, vi khuẩn sẽ có nguồn năng lượng dồi dào để hoạt động liên tục. Quá trình này diễn ra càng nhanh thì những chấm đen li ti trên răng sẽ càng sớm lan rộng thành những lỗ sâu lớn.
Cấu trúc răng yếu hoặc bị tổn thương
Không phải ai cũng có lớp men răng chắc khỏe bẩm sinh. Một số người gặp tình trạng thiếu sản men răng hoặc có lớp men mỏng khiến răng dễ bị tấn công bởi tác nhân bên ngoài. Đặc biệt, với những trường hợp răng mọc lệch hoặc xiên xẹo, việc vệ sinh bằng bàn chải thông thường rất khó chạm tới các kẽ khuất, làm tăng nguy cơ hình thành các vết sâu đen ở mặt trong.
Tình trạng khô miệng kéo dài
Nước bọt đóng vai trò cực kỳ quan trọng trong việc trung hòa axit và làm sạch tự nhiên khoang miệng nhờ các thành phần kháng khuẩn. Khi khả năng tiết nước bọt kém (do cơ địa, dùng thuốc hoặc tuổi tác), độ pH trong miệng mất cân bằng, tạo điều kiện cho vi khuẩn “hoành hành” mạnh mẽ hơn, khiến răng nhanh chóng bị bào mòn và sâu đen.
Răng bị vỡ hoặc mòn mặt nhai
Những chiếc răng đã bị mẻ, vỡ do chấn thương hoặc mòn mặt nhai do thói quen nghiến răng thường mất đi lớp bảo vệ tự nhiên. Tại những vị trí tổn thương này, vi khuẩn dễ dàng thâm nhập sâu vào ngà răng. Nếu không thực hiện trám răng thẩm mỹ sớm để che phủ, lỗ sâu sẽ nhanh chóng chuyển đen và tấn công vào tủy.
Các giai đoạn tiến triển của sâu răng đen
Việc nhận biết sớm các giai đoạn sẽ giúp bạn có phương án điều trị nhẹ nhàng và tiết kiệm nhất tại nha khoa:
- Giai đoạn 1 (Sâu men): Xuất hiện các đốm đen nhỏ hoặc các đường rãnh đen li ti trên mặt nhai. Lúc này men răng bắt đầu bị tổn thương nhưng thường chưa gây đau nhức.
- Giai đoạn 2 (Sâu ngà): Vi khuẩn tấn công vào ngà răng. Lỗ sâu to dần, thức ăn dễ bị giắt vào gây cảm giác ê buốt thường xuyên. Đây là “thời điểm vàng” để thực hiện trám răng thẩm mỹ nhằm bảo tồn răng thật.
- Giai đoạn 3 (Viêm tủy): Lỗ sâu ăn sâu vào buồng tủy, gây đau nhức buốt lên tận óc, đặc biệt là ban đêm. Bệnh nhân cần được điều trị tủy ngay để tránh áp xe xương hàm.
- Giai đoạn 4 (Chết tủy): Răng bị vỡ lớn, tủy chết hoàn toàn dẫn đến nhiễm trùng chóp răng. Lúc này, nếu không thể giữ được răng, bác sĩ buộc phải nhổ bỏ và tư vấn trồng răng Implant để phục hồi chức năng ăn nhai.

Sâu răng đen có nguy hiểm không? Những hệ quả “khôn lường” nếu chủ quan
Sâu răng đen không đơn thuần chỉ là một vết màu trên răng. Nếu không được can thiệp kịp thời bởi các bác sĩ chuyên khoa, tình trạng này sẽ tiến triển rất nhanh, dẫn đến những biến chứng nguy hiểm cho cả sức khỏe lẫn tâm lý của người bệnh.
Tấn công hệ thống tủy răng và gây biến chứng toàn thân
Đây là hệ quả nghiêm trọng nhất khi vi khuẩn sâu răng phá hủy hoàn toàn lớp bảo vệ.
- Viêm tủy và chết tủy: Khi lỗ sâu đen xâm lấn vùng tủy, bệnh nhân sẽ phải đối mặt với các cơn nhức răng dữ dội, viêm tủy cấp, hoại tử tủy và thậm chí là chết tủy hoàn toàn.
- Áp xe và nhiễm trùng: Vi khuẩn từ ổ sâu đen có thể lan xuống chân răng gây áp xe, viêm xương tủy hàm, nhiễm trùng mô mềm. Trong trường hợp xấu nhất, vi khuẩn xâm nhập vào máu gây nhiễm trùng huyết, đe dọa trực tiếp đến tính mạng.
- Nguy cơ mất răng vĩnh viễn: Sâu răng quá nặng làm răng bị biến dạng, vỡ, mẻ chỉ còn lại chân răng. Lúc này, việc bảo tồn trở nên cực kỳ khó khăn, bác sĩ thường phải chỉ định nhổ bỏ và tư vấn trồng răng Implant để khôi phục khoảng trống bị mất.
Phá hủy tính thẩm mỹ và rào cản tâm lý
Nụ cười là “vũ khí” quan trọng trong giao tiếp, nhưng sâu răng đen lại trực tiếp tước đi điều đó:
- Hàm răng “mất điểm”: Những lỗ hổng đen sì, sứt mẻ nằm ngay vị trí răng cửa hoặc mặt nhai khiến hàm răng trông thiếu sạch sẽ và “khó coi”.
- Tự ti trong giao tiếp: Người bệnh thường có xu hướng che miệng khi cười hoặc ngại nói chuyện, tạo rào cản lớn trong công việc và cuộc sống. Với các trường hợp này, phương pháp bọc răng sứ là cứu cánh giúp tái tạo nụ cười trắng sáng và tự tin hơn.
Suy giảm chức năng ăn nhai và sức khỏe tiêu hóa
Khi răng bị sâu đen gây đau nhức, việc ăn uống trở thành nỗi ám ảnh. Người bệnh thường có xu hướng nhai một bên hoặc ăn thức ăn mềm, lâu dần dẫn đến tình trạng lệch khớp thái dương hàm và ảnh hưởng xấu đến hệ tiêu hóa do thức ăn không được nghiền nát kỹ.
Các phương pháp điều trị sâu răng đen tại Nha khoa Sài Gòn Phong Phú
Tùy vào kết quả thăm khám lâm sàng và mức độ tổn thương của răng qua phim chụp X-quang, các bác sĩ tại Nha khoa Sài Gòn Phong Phú sẽ chỉ định phương pháp điều trị tối ưu nhằm bảo tồn tối đa răng thật cho bệnh nhân:
Trám răng thẩm mỹ cho lỗ sâu nhỏ và vừa
Đây là phương pháp can thiệp phổ biến và hiệu quả nhất cho các trường hợp sâu răng đen ở giai đoạn 1 và 2.
- Kỹ thuật thực hiện: Bác sĩ tiến hành nạo sạch các mô răng bị vi khuẩn tấn công (vết sâu đen) để ngăn chặn lây lan. sau đó, sử dụng vật liệu chuyên dụng như Composite hoặc GIC để lấp đầy lỗ hổng.
- Ưu điểm: Quá trình diễn ra nhanh chóng (chỉ từ 15 – 20 phút), không gây đau đớn và khôi phục hình dáng, màu sắc răng tự nhiên như ban đầu.
- Chi phí: Tại nha khoa, mức giá trám răng thẩm mỹ dao động từ 200.000đ – 500.000đ/răng tùy vào loại vật liệu và kích thước lỗ sâu.

Bọc răng sứ bảo tồn cho răng sâu vỡ lớn
Đối với những trường hợp răng bị vỡ mẻ diện rộng (trên 50% thân răng) hoặc răng đã qua điều trị tủy, bọc răng sứ được xem là “lớp áo giáp” bảo vệ tối ưu.
- Lợi ích: Mão răng sứ giúp bao bọc toàn bộ phần răng thật còn lại, ngăn chặn vi khuẩn tiếp tục tấn công. Phương pháp này không chỉ đảm bảo chức năng ăn nhai chắc chắn mà còn khôi phục tính thẩm mỹ hoàn hảo cho nụ cười.
- Độ bền: Nếu được chăm sóc tốt, bọc răng sứ có thể duy trì tuổi thọ từ 10 – 20 năm hoặc lâu hơn tùy vào dòng sứ bạn lựa chọn (Cercon, Zirconia, Lava…).

Nhổ răng và trồng răng Implant (Giải pháp khi răng không thể cứu vãn)
Trong trường hợp xấu nhất, khi vi khuẩn sâu răng đã phá hủy toàn bộ thân răng và làm chân răng yếu, lung lay hoặc gây áp xe xương hàm nghiêm trọng, bác sĩ buộc phải chỉ định nhổ bỏ để bảo vệ các răng kế cận.
- Hệ quả của mất răng: Nếu không phục hình sớm, xương hàm tại vị trí răng sâu sẽ bị tiêu biến, gây xô lệch hàm và lão hóa khuôn mặt sớm.
- Ưu điểm của Implant: Trồng răng Implant là kỹ thuật phục hồi răng đã mất tiên tiến nhất hiện nay. Trụ Implant đóng vai trò như một chân răng thật, tích hợp vào xương hàm giúp ngăn chặn tình trạng tiêu xương và mang lại cảm giác ăn nhai tự nhiên 100%.
Mục tiêu cao nhất của nha khoa hiện đại luôn là giữ lại răng thật. Tuy nhiên, nếu răng sâu đen đã quá nặng và có nguy cơ gây nhiễm trùng lan rộng, việc thay thế bằng Implant là quyết định đúng đắn để bảo vệ sức khỏe tổng thể.
Bạn đang phân vân giữa việc giữ răng hay nhổ bỏ? Hãy đến ngay Nha khoa Sài Gòn Phong Phú tại 1789 Quốc Lộ 50, Bình Chánh để được chụp phim X-quang và nhận tư vấn trực tiếp từ đội ngũ bác sĩ giàu kinh nghiệm. Hotline tư vấn 24/7: 0917 91 93 98
Bảng giá điều trị sâu răng đen mới nhất 2026 tại Nha khoa Sài Gòn Phong Phú
Chi phí điều trị sâu răng đen sẽ phụ thuộc vào vị trí răng, vật liệu phục hình và mức độ tổn thương của răng (đã vào tủy hay chưa). Dưới đây là bảng giá niêm yết công khai giúp bạn chủ động hơn trong việc thăm khám:
| Dịch vụ điều trị | Chi tiết vật liệu | Chi phí (VNĐ/Răng) |
| Trám răng thẩm mỹ | Composite (Hàn/Đức/Nhật) | 200.000 – 500.000 |
| Trám răng thẩm mỹ | GIC (Glass Ionomer Cement) | 500.000 |
| Điều trị tủy răng | Răng cửa (R1, 2, 3) | 1.000.000 |
| Điều trị tủy răng | Răng hàm (R4, 5, 6, 7) | 1.500.000 – 2.000.000 |
| Bọc răng sứ bảo tồn | Răng sứ Titan / Vita Đức | 2.000.000 – 2.500.000 |
| Bọc răng sứ toàn sứ | Zirconia / Cercon HT | 3.500.000 – 6.000.000 |
| Trồng răng Implant | Trụ Biotem / Osstem | Từ 16.100.000/Trụ |
Lưu ý y khoa quan trọng:
- Thăm khám miễn phí: Tại Nha khoa Sài Gòn Phong Phú, bạn sẽ được bác sĩ chụp X-quang và tư vấn phác đồ điều trị hoàn toàn miễn phí trước khi quyết định.
- Chính sách bảo hành: Các dịch vụ trám răng và bọc sứ đều có chế độ bảo hành rõ ràng (từ 6 tháng đến 15 năm tùy loại vật liệu).
- Chi phí thực tế: Có thể thay đổi nhẹ tùy thuộc vào độ phức tạp của ca lâm sàng (ví dụ: cần tái sinh tủy hoặc ghép xương khi trồng Implant).
Lời khuyên từ chuyên gia: Điều trị sâu răng đen ở giai đoạn sớm (chỉ cần trám) có chi phí chỉ bằng 1/10 so với khi đã biến chứng phải chữa tủy hay trồng răng mới. Hãy liên hệ hotline 0917 91 93 98 để nhận ngay ưu đãi thăm khám sớm nhất!

Cách phòng ngừa sâu răng đen quay trở lại hiệu quả nhất
Sau khi đã điều trị dứt điểm, việc duy trì một chế độ chăm sóc răng miệng khoa học là điều kiện tiên quyết để ngăn chặn vi khuẩn tái hình thành các vết sâu đen. Dưới đây là bộ quy tắc “vàng” từ bác sĩ nha khoa:
- Chải răng đúng cách và đủ tần suất: Duy trì đánh răng ít nhất 2 lần/ngày (sau khi ăn và trước khi đi ngủ). Hãy sử dụng bàn chải lông mềm và kem đánh răng có chứa Fluor để giúp tái khoáng hóa men răng, tăng cường độ chắc khỏe cho bề mặt răng.
- Sử dụng chỉ nha khoa hoặc máy tăm nước: Thay thế hoàn toàn tăm xỉa răng truyền thống bằng chỉ nha khoa. Tăm có thể làm thưa kẽ răng và tổn thương nướu, trong khi chỉ nha khoa giúp loại bỏ tới 90% mảng bám thức ăn giắt trong kẽ – nơi khởi nguồn phổ biến của sâu răng đen.
- Vệ sinh lưỡi hàng ngày: Lưỡi là nơi trú ngụ của hàng triệu vi khuẩn gây mùi và sâu răng. Hãy sử dụng dụng cụ cạo lưỡi chuyên dụng để làm sạch khoang miệng toàn diện.
- Hạn chế thực phẩm nhiều đường và axit: Giảm thiểu việc tiêu thụ bánh kẹo ngọt, nước có ga vào ban đêm. Nếu ăn đồ ngọt, hãy súc miệng bằng nước lọc ngay sau đó để trung hòa nồng độ axit.
- Khám răng định kỳ 6 tháng/lần: Đây là thói quen quan trọng nhất. Việc thăm khám thường xuyên giúp bác sĩ hỗ trợ cạo vôi răng (loại bỏ cao răng đen) và kịp thời phát hiện các đốm sâu mới chớm để xử lý ngay từ giai đoạn đầu.

Đừng để những đốm đen nhỏ phá hủy nụ cười và sức khỏe của bạn! Sâu răng đen có xu hướng lan rộng rất nhanh nếu không được kiểm soát. Nếu bạn nhận thấy bất kỳ dấu hiệu thay đổi màu sắc nào trên răng hoặc cảm thấy ê buốt nhẹ, hãy liên hệ ngay với Nha khoa Sài Gòn Phong Phú để được bác sĩ chuyên khoa thăm khám trực tiếp và tư vấn giải pháp điều trị tối ưu, tiết kiệm nhất.
- Hotline đặt lịch: 0917 91 93 98
- Địa chỉ: 1789 Quốc Lộ 50, xã Phong Phú, Bình Chánh, Tp.HCM
- Website: nhakhoasaigonsmile.com
Câu hỏi thường gặp về tình trạng sâu răng đen
Để giúp khách hàng yên tâm hơn trước khi quyết định điều trị, các bác sĩ tại Nha khoa Sài Gòn Phong Phú đã tổng hợp và giải đáp những thắc mắc phổ biến nhất:
Sâu răng đen có tự hết được không?
Hoàn toàn KHÔNG. Sâu răng là một quá trình tổn thương mô cứng (men răng và ngà răng) mang tính chất vĩnh viễn và không có khả năng tự phục hồi như các vết thương ngoài da. Nếu không có sự can thiệp y khoa để loại bỏ ổ vi khuẩn và bù đắp khoảng trống bằng phương pháp trám răng thẩm mỹ, lỗ sâu sẽ ngày càng lan rộng, phá hủy tủy và gây mất răng.
Trám răng sâu đen có đau không?
Tại Nha khoa Sài Gòn Phong Phú, trải nghiệm không đau của khách hàng luôn được ưu tiên hàng đầu.
- Với lỗ sâu nhỏ: Quá trình trám diễn ra rất nhanh chóng, bạn sẽ chỉ cảm thấy hơi tê nhẹ do thao tác vệ sinh xoang sâu.
- Với lỗ sâu lớn: Bác sĩ sẽ thực hiện gây tê cục bộ bằng kỹ thuật hiện đại, đảm bảo bạn hoàn toàn thoải mái và không cảm thấy đau đớn trong suốt 15-20 phút thực hiện.
Tại sao răng đã trám rồi vẫn bị sâu đen trở lại?
Tình trạng này thường do hai nguyên nhân: vệ sinh răng miệng kém khiến vi khuẩn tấn công ở rìa vết trám, hoặc do kỹ thuật trám cũ không khít sát tạo khe hở. Tại nha khoa chúng tôi, vật liệu Composite cao cấp và công nghệ hóa cứng bằng đèn Halogen giúp vết trám bám cực chắc, ngăn ngừa tối đa sâu răng tái phát.
Sâu răng đen ở răng cửa nên bọc sứ hay trám?
Nếu vết sâu nhỏ, trám răng thẩm mỹ là lựa chọn tiết kiệm và hiệu quả. Tuy nhiên, nếu vết sâu đen đã ăn mòn diện tích lớn, bác sĩ thường khuyên nên bọc răng sứ để đảm bảo tính thẩm mỹ cao nhất và độ bền chắc khi cắn xé thức ăn.