Trong nha khoa hiện đại, sở hữu hàm răng đều đẹp và trắng sáng là mong muốn của nhiều người. Răng sứ Cercon nổi bật nhờ độ bền cao, tính thẩm mỹ vượt trội và an toàn với sức khỏe. Bài viết cung cấp cái nhìn toàn diện về răng sứ Cercon: khái niệm, phân loại, ưu nhược điểm, chi phí, cách chăm sóc và địa chỉ uy tín để làm răng. Hãy khám phá để hiểu rõ hơn về lựa chọn cao cấp này.
Răng sứ Cercon là gì?
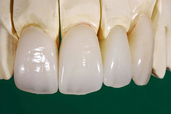
Răng sứ Cercon là loại răng sứ cao cấp được chế tác từ hợp kim Zirconia – oxit zirconium, một loại vật liệu sứ với đặc tính cứng, trong suốt, tự nhiên, phù hợp để phục hình răng thẩm mỹ. Với công nghệ tiên tiến, răng sứ Cercon mang lại kết quả tối ưu về mặt thẩm mỹ và độ bền bỉ theo thời gian, phù hợp cho các trường hợp cần phục hình răng đã mất hoặc hư hỏng nặng.

Chất liệu Zirconia của răng sứ Cercon được chế tác thành những lát sứ mỏng, có khả năng chịu lực cao, chống mài mòn tốt và không gây kích ứng mô mềm xung quanh. Ngoài ra, nhờ công nghệ CAD/CAM hiện đại, các bác sĩ có thể chế tạo răng sứ Cercon theo kích thước, hình dạng phù hợp nhất với từng khách hàng, tạo ra nụ cười tự nhiên và hài hòa nhất.
Răng sứ Cercon đặc biệt phù hợp với người có nhu cầu phục hình toàn diện hoặc bán phần, đặc biệt khi yêu cầu thẩm mỹ cao, như răng cửa, răng hàm mặt, răng sau khi điều trị tủy hoặc những răng bị nứt vỡ, sứt mẻ. Đồng thời, sản phẩm còn phù hợp cho những người có nhu cầu lâu dài, mong muốn một hàm răng không chỉ đẹp mà còn bền bỉ, chống chịu tốt với ăn nhai hàng ngày.
Răng sứ Cercon có mấy loại?
Trên thị trường, răng sứ Cercon gồm nhiều dòng khác nhau, giúp khách hàng chọn lựa phù hợp với nhu cầu và điều kiện tài chính. Hai dòng phổ biến nhất là Cercon XT và Cercon HT, mỗi loại có đặc điểm riêng, mang lại hiệu quả tối ưu trong phục hình nha khoa.
Răng sứ Cercon Zirconia (Cercon XT)
Cercon XT – răng sứ cao cấp, bền chắc và thẩm mỹ tự nhiên, lý tưởng cho mọi vị trí răng.

- Khả năng chịu lực vượt trội: Cercon XT làm từ Zirconia tinh khiết, chống mài mòn, phù hợp với người nhai mạnh hoặc ăn thức ăn cứng.
- Công nghệ CAD/CAM hiện đại: Tạo răng đều, bền chắc theo tiêu chuẩn kỹ thuật cao nhất.
- Tính thẩm mỹ cao: Màu sắc tự nhiên, trong suốt gần giống răng thật, giúp nụ cười tự nhiên và tự tin.
- An toàn cho mô mềm: Ít gây kích ứng, phù hợp phục hình răng cửa lẫn răng hàm, đảm bảo sức khỏe răng miệng lâu dài.
- Chống oxi hóa và bền màu: Giữ vẻ đẹp tự nhiên theo thời gian, giảm tình trạng đổi màu hoặc mất độ bóng.
Răng sứ Cercon HT
Cercon HT – lựa chọn răng sứ tự nhiên và thẩm mỹ cao, lý tưởng cho răng cửa.

- Trong suốt tự nhiên: Cercon HT có khả năng phản chiếu ánh sáng như răng thật, mang lại vẻ đẹp mềm mại và hài hòa.
- Phù hợp với yêu cầu thẩm mỹ cao: Lý tưởng cho những ai muốn màu sắc, độ trong suốt và độ bóng tự nhiên, khó nhận ra răng sứ.
- Duy trì vẻ đẹp lâu dài: Thiết kế giảm thiểu đen viền chân răng và giữ độ trong suốt theo thời gian.
- Tạo cảm giác tự nhiên: Giúp hàm răng trông giống thật nhất, không để lộ công nghệ chế tác.
Ưu nhược điểm của răng sứ Cercon
Khi chọn răng sứ, cần cân nhắc cả lợi ích và hạn chế của sản phẩm. Răng sứ Cercon nổi bật với nhiều ưu điểm, nhưng mỗi dòng vẫn có nhược điểm riêng. Hiểu rõ các đặc tính này giúp bạn đưa ra quyết định thông minh, tối ưu hiệu quả phục hình và bảo đảm nụ cười bền đẹp, tự nhiên theo thời gian.

Ưu điểm
Răng sứ Cercon nổi bật với nhiều ưu điểm, giúp bạn vừa đẹp vừa bền và an toàn cho sức khỏe răng miệng.
- Thẩm mỹ tự nhiên: Răng Cercon trong suốt, bóng sáng, gần như không khác răng thật, mang lại nụ cười rạng rỡ và tự nhiên.
- Độ bền cao: Chịu lực tốt, ít mẻ, vỡ hay mài mòn nhờ Zirconia; không đổi màu theo thời gian, phù hợp với thói quen ăn uống hàng ngày.
- An toàn cho sức khỏe: Không gây kích ứng mô mềm, thích hợp với mọi cơ địa; chế tác chính xác, khít sát, tránh hôi miệng và trầy xước.
Nhược điểm
Răng sứ Cercon mang nhiều ưu điểm nhưng cũng có những hạn chế mà bạn cần cân nhắc trước khi quyết định.
- Chi phí cao: Răng sứ Cercon đắt hơn nhiều so với răng sứ kim loại hoặc sứ thường, khiến một số khách hàng e ngại về khả năng tài chính.
- Yêu cầu kỹ thuật cao: Chế tác và lắp đặt cần bác sĩ tay nghề giỏi, máy móc hiện đại; nếu chọn nha khoa không uy tín, răng có thể bị lệch, không khớp hoặc gặp biến chứng.
- Nguy cơ hư hỏng: Mặc dù bền, răng Cercon vẫn có thể vỡ, nứt khi chịu lực mạnh hoặc va chạm; việc chăm sóc đúng cách quyết định tuổi thọ răng.
Khi nào nên bọc răng sứ Cercon?
Chọn thời điểm thích hợp để bọc răng sứ Cercon không chỉ giúp quá trình thực hiện thuận lợi mà còn kéo dài tuổi thọ răng sứ. Hiểu rõ các dấu hiệu và tình huống cần phục hình giúp bạn đưa ra quyết định chính xác, tránh rủi ro. Phần này sẽ phân tích các trường hợp cần bọc răng sứ và chia sẻ lưu ý quan trọng để đạt hiệu quả tối ưu.
Răng bị mẻ, vỡ hoặc sứt mẻ nặng
Bọc răng sứ Cercon là giải pháp tối ưu khi răng bị tổn thương nặng, vừa phục hình vừa bảo vệ răng thật.
- Khắc phục răng tổn thương: Phù hợp với răng mẻ, vỡ, sứt mẻ toàn bộ hoặc phần lớn, giúp khôi phục hình dáng ban đầu.
- Bảo vệ răng thật: Che chắn răng còn lại, ngăn ngừa vi khuẩn gây sâu răng hoặc viêm quanh răng.
- Cải thiện chức năng nhai và thẩm mỹ: Giúp ăn uống dễ dàng, nụ cười tự tin, nói năng thoải mái.
- Cân nhắc với răng tổn thương nặng: Nếu răng quá yếu hoặc tiêu xương nhiều, bác sĩ sẽ lựa chọn phương pháp phục hình phù hợp hơn để đạt hiệu quả tối ưu.
Răng có nhiều mảng bám, xỉn màu, mất thẩm mỹ
Bọc răng sứ Cercon là giải pháp hoàn hảo khi răng xỉn màu hoặc muốn cải thiện hình dáng răng, mang lại nụ cười tự nhiên và sáng đẹp.
- Khắc phục răng ố vàng, xỉn màu: Phù hợp với răng không thể tẩy trắng, màu sắc răng sứ tùy chỉnh hài hòa với các răng còn lại.
- Độ trong suốt tự nhiên: Giúp nụ cười sáng rõ, mềm mại và tự nhiên.
- Cải thiện hình dáng răng: Có thể điều chỉnh răng dài, ngắn hoặc cân đối theo mong muốn, tạo sự hài hòa toàn diện cho khuôn mặt.
- Kết quả chính xác: Kỹ thuật viên thực hiện theo mẫu, đảm bảo màu sắc và độ trong như ý muốn mà không cần lo lắng.
Răng gặp các vấn đề về chức năng hoặc do tiêu xương
Bọc răng sứ Cercon là giải pháp tối ưu để phục hồi chức năng nhai và bảo vệ cấu trúc hàm khi mất răng hoặc bị tiêu xương.
- Phục hồi chức năng nhai: Cercon làm từ Zirconia chịu lực mạnh, phù hợp với người có lực nhai lớn, giúp ăn uống ổn định và bền bỉ.
- Duy trì và kích thích xương hàm: Hỗ trợ giảm tình trạng tiêu xương kéo dài do mất răng lâu ngày.
- Thiết kế phù hợp cơ địa: Công nghệ chế tác hiện đại đảm bảo răng sứ vừa bền chắc vừa hài hòa với cấu trúc hàm.
- Tư vấn cá nhân hóa: Bác sĩ đánh giá khả năng chăm sóc và điều kiện răng miệng để đưa ra phương pháp phục hình tối ưu.
Răng sứ Cercon giá bao nhiêu?
Chi phí là yếu tố quan trọng khi lựa chọn răng sứ Cercon. Mặc dù cao hơn so với răng sứ kim loại hay sứ thường, nhưng độ bền và hiệu quả mà Cercon mang lại rất xứng đáng. Phần này sẽ phân tích mức giá trung bình, các yếu tố ảnh hưởng và những lựa chọn phù hợp về tài chính, giúp khách hàng đảm bảo lợi ích tối ưu khi phục hình răng.

Giá trung bình của răng sứ Cercon
Chi phí làm răng sứ Cercon phụ thuộc vào nhiều yếu tố, và việc nắm rõ các yếu tố này giúp bạn lựa chọn phù hợp với ngân sách và chất lượng.
- Mức giá cơ bản: Giá răng sứ Cercon thường từ 3.500.000 – 8.000.000 đồng, có thể cao hơn tùy loại sản phẩm, số lượng răng và cơ sở nha khoa.
- Loại răng sứ: Cercon XT cao cấp thường đắt hơn Cercon HT do vật liệu và công nghệ chế tác tinh xảo.
- Các dịch vụ đi kèm: Giá thường bao gồm khám bệnh, tư vấn, lấy mẫu, chế tác, lắp răng và chăm sóc hậu mãi.
- Lời khuyên: Xác định ngân sách và chọn nha khoa uy tín, có chính sách bảo hành rõ ràng để vừa đảm bảo chất lượng vừa không vượt khả năng tài chính.
Các yếu tố ảnh hưởng đến giá răng sứ Cercon
Chi phí làm răng sứ Cercon không chỉ đơn giản là một con số cố định – nó phụ thuộc vào nhiều yếu tố quan trọng để đảm bảo chất lượng và an toàn.
- Loại răng sứ: Cercon XT cao cấp thường đắt hơn Cercon HT vì vật liệu và công nghệ chế tác tốt hơn.
- Địa chỉ nha khoa: Phòng khám uy tín, trang thiết bị hiện đại và bác sĩ trình độ cao sẽ có chi phí cao hơn nhưng đảm bảo an toàn và thẩm mỹ.
- Số lượng và tình trạng răng: Nhiều răng cần phục hình, răng bị tổn thương nặng hoặc yêu cầu thẩm mỹ cao sẽ tốn kém hơn.
- Độ phức tạp của kỹ thuật: Các ca phục hình khó, cần kỹ năng chuyên môn và thời gian nhiều sẽ làm giá tăng.
- Lời khuyên: Tham khảo nhiều nguồn và chọn nha khoa phù hợp để tránh rủi ro về chất lượng.
Cách chăm sóc răng sứ Cercon
Chăm sóc đúng cách sau khi lắp răng sứ Cercon quyết định tuổi thọ, thẩm mỹ và sức khỏe răng miệng lâu dài. Vệ sinh chuẩn giúp ngăn vi khuẩn, tránh sâu răng, viêm lợi và các biến chứng. Phần này sẽ hướng dẫn chi tiết các phương pháp chăm sóc và lưu ý cần thiết để bảo vệ răng sứ hiệu quả trong quá trình sử dụng.

Vệ sinh răng miệng hàng ngày đúng cách
Đầu tiên, việc vệ sinh răng miệng đúng kỹ thuật là quan trọng nhất. Bạn nên chải răng ít nhất 2 lần/ngày bằng bàn chải mềm, kèm theo kem đánh răng chứa fluoride để loại bỏ mảng bám và vi khuẩn gây sâu. Đồng thời, sử dụng chỉ nha khoa hoặc dụng cụ vệ sinh kẽ răng để làm sạch các khe hở mà bàn chải không tới được.
Ngoài ra, răng sứ Cercon cần được làm sạch cẩn thận để tránh tích tụ mảng bám làm giảm tuổi thọ. Vệ sinh đúng cách giúp duy trì màu sắc tự nhiên của răng và bảo vệ các mô mềm khỏi viêm nhiễm.
Tránh các thói quen xấu
Bạn cần tránh các thói quen xấu có thể gây hại cho răng sứ hoặc gây tổn thương răng thật. Điều này bao gồm việc hạn chế ăn thực phẩm quá cứng, dai, hoặc quá nhiều thức ăn có màu đậm như cà phê, thuốc lá, bánh kẹo.
Ngoài ra, không nên dùng răng để cắn đồ cứng hoặc khoan miệng quá mạnh, tránh va chạm mạnh làm vỡ hoặc nứt răng sứ. Thói quen này không chỉ làm giảm tuổi thọ của răng còn kéo theo nguy cơ hủy hoại các mô mềm xung quanh.
Khám định kỳ và kiểm tra định kỳ
Việc đi khám nha sĩ định kỳ là yếu tố cần thiết để duy trì bền lâu của răng sứ Cercon. Khách hàng nên kiểm tra nha khoa ít nhất 6 tháng/lần để được phát hiện sớm các dấu hiệu bất thường, xử lý kịp thời và vệ sinh chuyên sâu nhằm kéo dài tuổi thọ.
Có thể bạn sẽ cần điều chỉnh hoặc làm lại răng sứ sau vài năm sử dụng, tùy thuộc vào cách chăm sóc và cơ địa từng người. Đảm bảo quá trình chăm sóc hợp lý sẽ giúp bạn duy trì nụ cười rạng rỡ và tự tin trong thời gian dài.
Nên làm răng sứ Cercon ở đâu uy tín?
Lựa chọn địa chỉ uy tín khi bọc răng sứ Cercon đảm bảo chất lượng, an toàn và kết quả thẩm mỹ tối ưu. Trên thị trường có nhiều nha khoa, nhưng không phải nơi nào cũng đạt chuẩn. Phần này sẽ chia sẻ tiêu chí chọn địa chỉ phù hợp và gợi ý các trung tâm uy tín, được khách hàng đánh giá cao hiện nay.

Tiêu chí để chọn địa chỉ nha khoa uy tín
Để có nụ cười đẹp và an toàn, việc chọn trung tâm nha khoa uy tín là rất quan trọng. Các yếu tố cần chú ý gồm:
- Trung tâm phải có giấy phép hoạt động hợp pháp.
- Đội ngũ bác sĩ giàu kinh nghiệm, trình độ chuyên môn cao và đào tạo bài bản.
- Trang thiết bị hiện đại, công nghệ tiên tiến và phòng khám sạch sẽ.
- Dịch vụ chăm sóc khách hàng tốt, chính sách bảo hành rõ ràng.
- Tìm hiểu kỹ loại vật liệu sử dụng, cam kết về an toàn, thẩm mỹ và phản hồi từ khách hàng cũ.
Một số địa chỉ nha khoa uy tín được tin cậy
Để bọc răng sứ Cercon an toàn và hiệu quả, lựa chọn trung tâm nha khoa uy tín là bước đầu tiên. Lưu ý các điểm sau:
- Các trung tâm lớn ở Hà Nội, TP. HCM, Đà Nẵng thường đầu tư công nghệ hiện đại như CAD/CAM và hệ thống vô trùng tiên tiến.
- Chọn cơ sở có thương hiệu lâu năm, được nhiều khách hàng tin tưởng.
- Tham khảo các địa chỉ uy tín như Nha khoa Paris, Nha khoa Kim, Korea Dental…
Câu hỏi thường gặp
Trong quá trình tìm hiểu về răng sứ Cercon, chắc chắn nhiều khách hàng còn có các thắc mắc liên quan đến kỹ thuật, chăm sóc, giá cả hoặc lựa chọn sản phẩm phù hợp. Dưới đây là một số câu hỏi phổ biến nhất và câu trả lời chi tiết giúp bạn có thêm kiến thức tự tin hơn khi quyết định làm răng sứ.
So sánh răng sứ Cercon và Cercon HT – giống hay khác nhau?
Mặc dù cùng thuộc thương hiệu Cercon và sử dụng vật liệu Zirconia cao cấp, hai dòng sản phẩm này có đặc điểm và mục đích sử dụng khác nhau.
| Đặc điểm / Tiêu chí | Cercon XT | Cercon HT |
|---|---|---|
| Độ cứng / Chịu lực | Rất cao, phù hợp cho răng chịu lực lớn | Trung bình, không chuyên cho lực mạnh |
| Khả năng trong suốt / Thẩm mỹ | Thấp hơn, hiệu ứng tự nhiên kém hơn | Cao, thích hợp cho răng mặt, cạnh răng, tạo hiệu ứng trong sáng tự nhiên |
| Mục đích sử dụng | Răng hàm, nơi chịu lực nhai lớn | Răng cửa, cạnh răng, nơi cần thẩm mỹ cao |
| Điểm nổi bật | Bền chắc, độ cứng tối đa | Tự nhiên, trong suốt, thẩm mỹ cao |
Cercon XT và Cercon HT không giống nhau mà được chọn tùy theo vị trí răng và mục tiêu phục hình, giúp vừa đảm bảo độ bền vừa đạt hiệu quả thẩm mỹ.
Nên chọn răng sứ Cercon HT hay Cercon Zirconia?
Lựa chọn giữa hai loại này phụ thuộc vào yêu cầu về thẩm mỹ và chức năng của khách hàng. Nếu bạn mong muốn một hàm răng trong suốt, có khả năng phản chiếu ánh sáng tự nhiên, thì Cercon HT là sự lựa chọn tối ưu. Ngược lại, nếu ưu tiên độ bền, khả năng chịu lực cao, đừng quên dòng Cercon XT sẽ là lựa chọn phù hợp.
Bạn nên tham khảo ý kiến bác sĩ để được tư vấn cụ thể dựa trên tổng thể tình trạng răng miệng, sở thích cá nhân cũng như khả năng tài chính của mình để có quyết định chính xác nhất.
Chăm sóc răng toàn sứ Cercon như thế nào để bền lâu?
Việc chăm sóc và vệ sinh đúng cách đóng vai trò quyết định tuổi thọ của răng sứ Cercon. Đồng thời, chế độ ăn uống hợp lý, hạn chế thực phẩm cứng, quá dai hoặc có màu đậm là cách để kéo dài thời gian sử dụng của răng sứ.
Bạn cần thực hiện các bước vệ sinh răng hàng ngày, tránh các thói quen xấu và đi khám nha sĩ định kỳ. Bên cạnh đó, nếu có dấu hiệu bất thường hoặc cảm giác khó chịu, nên đến nơi nha khoa uy tín để kiểm tra, tránh để tình trạng nặng hơn gây tổn thương hoặc mất răng sứ sớm.
Răng sứ Cercon là giải pháp phục hình răng cao cấp, mang lại vẻ đẹp tự nhiên, độ bền vượt trội và khả năng thích ứng tối đa với sinh lý răng của người Việt. Từ các dòng như Cercon XT, Cercon HT đến chi phí, chăm sóc và địa chỉ uy tín, bài viết cung cấp thông tin toàn diện giúp bạn tự tin lựa chọn. Chọn đúng loại răng và chăm sóc hợp lý là chìa khóa duy trì hàm răng khỏe đẹp, bền lâu.
