Sở hữu một nụ cười trắng sáng không chỉ giúp bạn tự tin trong giao tiếp mà còn là biểu hiện của một sức khỏe răng miệng tốt. Tuy nhiên, tình trạng răng bị đen lại là vấn đề phổ biến khiến nhiều người lo lắng. Vậy những vết đen này từ đâu mà có và làm sao để loại bỏ chúng dứt điểm?
Nha khoa Sài Gòn Phong Phú sẽ giúp bạn giải mã chi tiết trong bài viết dưới đây.
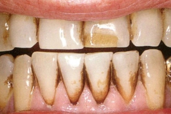
Răng bị đen là gì? Dấu hiệu nhận biết
Biết rõ về tình trạng răng bị đen sẽ giúp chúng ta chủ động hơn trong việc chăm sóc và điều trị. Răng bị đen không chỉ đơn thuần là do thói quen ăn uống hoặc vệ sinh răng miệng không đúng cách mà còn có thể liên quan đến các bệnh lý răng miệng tiềm ẩn, gây ra những hậu quả nghiêm trọng nếu không được xử lý kịp thời.

Thế nào là răng bị đen?
Răng bị đen là tình trạng răng xuất hiện các vết ố, vết bẩn hoặc vùng đen không đều, làm giảm vẻ đẹp tự nhiên của hàm răng. Phần lớn các trường hợp này là do các mảng bám màu, cao răng tích tụ lâu ngày, hoặc do răng tổn thương, nhiễm màu từ các yếu tố bên ngoài và bên trong cơ thể.
Răng bị đen không chỉ nằm ở mặt ngoài mà còn có thể lan rộng vào trong mô răng, gây ảnh hưởng lớn đến sức khỏe răng miệng. Đặc biệt, những vùng răng đen có thể gây cảm giác khó chịu, đau nhức hoặc tăng nguy cơ mắc các bệnh về nướu, sâu răng.
Ngoài ra, nhiều người không nhận biết rõ mình đã bị răng đen cho đến khi nhìn thấy hình ảnh trong gương hoặc tới khám tại nha khoa. Thường thì, dấu hiệu mặt ngoài của răng bắt đầu xuất hiện các đốm màu sẫm, đen và dần lan rộng, làm xỉn màu tổng thể của toàn bộ hàm răng.
Dấu hiệu nhận biết răng đang bị đen
Răng bị đen không chỉ đơn thuần là một màu sắc duy nhất mà thường xuất hiện dưới nhiều dạng khác nhau tùy theo nguyên nhân:
- Đốm đen nhỏ: Thường xuất hiện trên bề mặt nhai hoặc các kẽ răng.
- Mảng bám màu nâu đen: Bao quanh cổ răng hoặc sát viền nướu.
- Răng xỉn màu xám đen: Toàn bộ thân răng chuyển màu từ bên trong, không còn độ trong bóng tự nhiên.
- Vết đen sâu: Lõm vào bề mặt răng, thường kèm theo cảm giác ê buốt khi ăn đồ nóng, lạnh.
Tại sao răng bị đen? Nguyên nhân khiến răng bị đen
Răng bị đen không phải tự nhiên mà có, mà thường liên quan đến nhiều nguyên nhân khác nhau, trong đó phần lớn liên quan tới thói quen sinh hoạt, vệ sinh không đúng cách hoặc các bệnh lý răng miệng. Việc xác định chính xác nguyên nhân sẽ giúp đưa ra phương pháp điều trị phù hợp, hiệu quả.
Các nguyên nhân chủ yếu gây ra tình trạng răng bị đen gồm có:
Do cao răng, mảng bám lâu ngày
Do sâu răng hoặc răng chết tủy
Răng bị đen do nhiễm fluor trong quá trình phát triển
Tác dụng phụ của thuốc (tetracycline, sắt, kháng sinh..)
Thói quen hút thuốc lá, uống cà phê, trà, rượu vang
Thực phẩm có màu đậm (tương đen, nước ngọt có gas..)
Do mão răng, miếng dán sứ xuống màu theo thời gian
Răng bị đen gây ảnh hưởng gì?
Tình trạng răng bị đen không chỉ ảnh hưởng đến thẩm mỹ cá nhân mà còn có thể gây ra nhiều hệ lụy tiêu cực về sức khỏe và tâm lý. Nhận biết các tác động này giúp mọi người tự ý thức hơn trong việc duy trì vệ sinh răng miệng và chăm sóc nha khoa định kỳ.

Mất thẩm mỹ, khiến nụ cười kém tự tin
Răng bị đen khiến hàm răng mất đi vẻ sáng bóng, làm giảm rõ rệt tính thẩm mỹ của nụ cười. Một hàm răng đều màu thể hiện sự chăm sóc tốt, trong khi răng sẫm màu dễ tạo cảm giác tự ti và ngại giao tiếp. Vì răng bị đen rất dễ bị người đối diện nhận ra, nụ cười trở nên kém hài hòa và thiếu sức sống, làm giảm ấn tượng ban đầu trong các mối quan hệ.
Do đó, cải thiện màu răng và khôi phục sự sáng bóng tự nhiên sẽ giúp bạn tự tin hơn, đồng thời hỗ trợ tích cực cho công việc và cuộc sống hàng ngày.
Hơi thở có mùi, gây e ngại trong giao tiếp
Răng bị đen không chỉ làm giảm thẩm mỹ mà còn dễ gây mùi hôi miệng do mảng bám và cao răng tích tụ – môi trường lý tưởng cho vi khuẩn gây mùi phát triển. Những vi khuẩn này còn có thể dẫn đến viêm nướu, sâu răng và khiến hơi thở khó kiểm soát.
Trong giao tiếp, mùi hôi miệng khiến bạn thiếu tự tin, ảnh hưởng đến công việc và các mối quan hệ. Để cải thiện tình trạng răng bị đen, bạn cần vệ sinh răng miệng đúng cách, khám nha khoa định kỳ và áp dụng các phương pháp như tẩy trắng hoặc điều trị bệnh lý để khôi phục hơi thở thơm mát.
Là dấu hiệu cảnh báo bệnh lý răng miệng tiềm ẩn
Răng bị đen không chỉ làm mất thẩm mỹ mà còn là dấu hiệu cảnh báo nhiều bệnh lý răng miệng nguy hiểm như sâu răng, viêm nướu, nha chu hoặc nhiễm trùng tủy. Nếu không được điều trị kịp thời, tình trạng này có thể dẫn đến tiêu xương, đau nhức kéo dài và thậm chí mất răng.
Các vết đen thường phản ánh sâu răng đã tiến triển, vi khuẩn xâm nhập vào mô răng gây tổn thương nghiêm trọng. Vì vậy, khi thấy răng bị đen, bạn nên thăm khám nha khoa ngay để xác định nguyên nhân và điều trị đúng cách, tránh những biến chứng ảnh hưởng lâu dài đến sức khỏe răng miệng.
Tác động đến cấu trúc và sức khỏe răng miệng lâu dài
Răng bị đen không chỉ làm mất thẩm mỹ và ảnh hưởng tâm lý mà còn tác động xấu đến sức khỏe răng miệng lâu dài. Vi khuẩn tích tụ lâu ngày có thể làm men răng bị mòn, gây sâu, vỡ hoặc mất răng. Nếu không được điều trị, mô xương quanh răng suy yếu, dẫn đến tiêu xương hàm, giảm khả năng nhai và làm thay đổi hình dáng khuôn mặt.
Ngoài ra, vi khuẩn từ răng bị đen còn có thể lây qua máu, tăng nguy cơ nhiễm trùng và các bệnh toàn thân như tim mạch hay tiểu đường, vì vậy vệ sinh và kiểm tra định kỳ là rất cần thiết.
Các phương pháp điều trị răng bị đen hiệu quả hiện nay
Khi nhận thấy răng đã bị đen, việc tìm kiếm phương pháp điều trị phù hợp là điều cần thiết để lấy lại vẻ đẹp tự nhiên của hàm răng. Hiện nay, các kỹ thuật nha khoa tiên tiến mang lại nhiều lựa chọn tối ưu cho từng trường hợp cụ thể, giúp cải thiện tình trạng đen màu một cách nhanh chóng và bền vững.
Cạo vôi răng – áp dụng khi răng đen do mảng bám
Đối với trường hợp răng bị đen do cao răng bám bên ngoài, bác sĩ sẽ sử dụng sóng siêu âm để loại bỏ nhẹ nhàng các mảng bám. Đây là phương pháp đơn giản, nhanh chóng và chi phí thấp nhất.
Răng bị đen thường xuất phát từ cao răng tích tụ lâu ngày, vì vậy bước đầu tiên trong điều trị là lấy cao răng. Kỹ thuật này giúp loại bỏ mảng bám cứng đầu mà bàn chải không làm sạch được, cải thiện thẩm mỹ và giảm nguy cơ bệnh lý nha khoa. Chuyên viên sử dụng dụng cụ chuyên dụng để làm sạch các mảng bám trên và dưới nướu, không làm tổn thương mô răng. Định kỳ 6 tháng/lần sẽ giúp ngăn ngừa răng bị đen, duy trì nụ cười sáng đẹp và bảo vệ sức khỏe răng miệng lâu dài.

Tẩy trắng răng chuyên sâu tại nha khoa
Răng bị đen có thể được cải thiện hiệu quả nhờ tẩy trắng răng, phương pháp giúp loại bỏ vết ố, vàng, đen do thực phẩm, thuốc lá hoặc các nguyên nhân bề mặt. Tại nha khoa, kỹ thuật này sử dụng thuốc tẩy chuyên dụng, kích hoạt bằng laser hoặc ánh sáng LED để tăng hiệu quả. Sau một liệu trình, răng sáng đều, thẩm mỹ hơn. Để duy trì kết quả, cần vệ sinh răng đúng cách, hạn chế thực phẩm bám màu, tránh hút thuốc và tái thực hiện định kỳ.
Dán sứ veneer giúp phục hồi thẩm mỹ nhanh
Răng bị đen nặng hoặc xỉn màu có thể được khắc phục hiệu quả bằng dán sứ veneer, lớp sứ mỏng che phủ mặt ngoài răng, cải thiện màu sắc, hình dạng và kích thước nhanh chóng. Chỉ sau vài buổi hẹn, răng trở nên trắng sáng, đều màu tự nhiên, không gây khó chịu. Veneer bền, ít bảo dưỡng, vừa che khuyết điểm răng, vừa duy trì thẩm mỹ lâu dài, mang lại nụ cười tự tin.
Bọc răng sứ toàn phần khi răng bị đen nặng, hư tủy
Trong các trường hợp răng bị đen nặng, tổn thương sâu hoặc chết tủy, bọc răng sứ toàn phần là giải pháp tối ưu. Bác sĩ loại bỏ mô răng hư, sau đó phục hình bằng răng sứ toàn phần, khôi phục màu sắc, hình dáng và kích thước như răng thật. Phương pháp này giúp ăn nhai bình thường, bảo vệ mô răng còn lại, chống mài mòn, bám màu tốt và duy trì thẩm mỹ lâu dài, mang lại nụ cười tự tin.
Đây là phương pháp tối ưu cho răng bị nhiễm kháng sinh nặng hoặc răng đã lấy tủy. Mão sứ sẽ bao bọc toàn bộ thân răng, bảo vệ răng thật bên trong và mang lại thẩm mỹ hoàn hảo với độ bền lên đến 15 – 20 năm.

Điều trị tủy và trám răng với trường hợp răng chết tủy
Khi răng bị đen do chết tủy hoặc nhiễm trùng nặng, điều trị tủy là cần thiết để bảo vệ mô răng và ngăn ngừa lây lan vi khuẩn. Quá trình bao gồm loại bỏ tủy bị vi khuẩn xâm nhập, vệ sinh ống tủy và trám bít, kết hợp phục hình bằng trám hoặc bọc sứ. Điều này giúp duy trì răng tự nhiên, hạn chế đổi màu, bảo vệ cấu trúc răng, đồng thời duy trì thẩm mỹ và chức năng ăn nhai lâu dài.
Bảng giá điều trị răng bị đen tại Nha khoa Sài Gòn Phong Phú
Chúng tôi cam kết minh bạch về chi phí để khách hàng an tâm điều trị:
| Dịch vụ | Đơn vị | Đơn giá (VNĐ) |
| Cạo vôi răng & Đánh bóng | Gói | 200.000 – 400.000 |
| Trám răng thẩm mỹ | Răng | 300.000 – 500.000 |
| Tẩy trắng răng tại phòng khám | Gói | 1.500.000 – 2.500.000 |
| Răng sứ thẩm mỹ (Zirconia, Cercon…) | Răng | 2.500.000 – 8.000.000 |
Lưu ý: Bảng giá mang tính chất tham khảo. Chi phí thực tế phụ thuộc vào tình trạng răng miệng cụ thể của mỗi khách hàng.
Liên hệ ngay với bác sĩ để được tư vấn và nhận ưu đãi giảm giá 20% tháng này!
Cách phòng ngừa răng bị đen tái phát
Phòng bệnh luôn tốt hơn chữa bệnh, chính vì vậy, việc áp dụng các biện pháp phòng ngừa sẽ giúp hạn chế tối đa tình trạng răng bị đen quay trở lại. Các thói quen tốt trong sinh hoạt hàng ngày kết hợp với khám nha khoa định kỳ sẽ giúp bạn duy trì hàm răng sáng bóng, khỏe mạnh.

Đánh răng đúng cách và sử dụng chỉ nha khoa hằng ngày
Vệ sinh răng miệng đúng cách là yếu tố quan trọng để phòng ngừa răng bị đen do mảng bám và cao răng tích tụ. Chải răng ít nhất 2 lần/ngày với bàn chải lông mềm, kết hợp kỹ thuật chải đúng chiều và đều các mặt răng. Sử dụng chỉ nha khoa giúp làm sạch kẽ răng, nơi bàn chải khó tiếp cận. Súc miệng bằng nước diệt khuẩn hỗ trợ loại bỏ vi khuẩn, ngăn ngừa vết ố, đen. Thực hiện đều đặn và đúng kỹ thuật là chìa khóa duy trì răng sáng khỏe, hạn chế răng bị đen lâu dài.
Hạn chế thuốc lá, cà phê, trà đậm màu
Các thực phẩm và đồ uống có màu đậm là nguyên nhân chính khiến răng bị đen từ bên ngoài. Hạn chế tiêu thụ hoặc sử dụng ống hút để giảm tiếp xúc trực tiếp với răng sẽ giúp giảm bám màu. Sau khi ăn uống, súc miệng hoặc đánh răng ngay để loại bỏ hợp chất gây ố, giữ răng sáng lâu dài. Chuyên gia khuyên lựa chọn đồ uống ít màu, bổ sung sữa hoặc dùng ống hút để hạn chế tác động, bảo vệ nụ cười khỏi răng bị đen.
Súc miệng sau khi ăn thực phẩm dễ bám màu
Để hạn chế răng bị đen, nên súc miệng ngay sau khi ăn hoặc uống các thực phẩm dễ bám màu, giúp giảm mảng bám, cao răng và ngăn hình thành vết ố. Sử dụng nước muối sinh lý, dung dịch sát khuẩn hoặc nước sạch giúp loại bỏ các mảnh thức ăn còn sót lại. Kết hợp chải răng và dùng chỉ nha khoa để làm sạch các kẽ răng khó tiếp cận, duy trì hàm răng sáng bóng, khỏe mạnh và giảm thiểu tình trạng răng bị đen quay trở lại.
Lên lịch khám răng định kỳ 6 tháng/lần tại nha khoa uy tín
Khám răng định kỳ 6 tháng/lần là cách hiệu quả để phòng ngừa răng bị đen. Bác sĩ sẽ kiểm tra, làm sạch cao răng, phát hiện sớm các bệnh lý và xử lý kịp thời, ngăn ngừa răng ố vàng hay đen xuất hiện bất ngờ. Đồng thời, chuyên gia hướng dẫn vệ sinh đúng cách và tư vấn chăm sóc phù hợp, giúp hạn chế mảng bám, sâu răng hay nhiễm màu từ thực phẩm và thuốc lá. Chọn nha khoa uy tín với trang thiết bị hiện đại giúp duy trì răng sáng, khỏe lâu dài.
Duy trì chế độ ăn uống lành mạnh, bổ sung canxi và vitamin D
Chế độ dinh dưỡng hợp lý góp phần quan trọng trong việc ngăn ngừa răng bị đen và duy trì sức khỏe răng miệng lâu dài. Thực phẩm giàu canxi, vitamin D, phospho như sữa, sữa chua, phô mai, cá hồi, trứng, rau xanh, quả mọng giúp men răng chắc khỏe. Hạn chế đồ ngọt, chua, thực phẩm nhiều phẩm màu hoặc đường để giảm nguy cơ mảng bám, ố và đen răng. Kết hợp tắm nắng hợp lý giúp hấp thụ canxi tốt hơn, bảo vệ nụ cười sáng bóng.
Vì sao nên chọn Nha khoa Sài Gòn Phong Phú?
Nếu bạn đang tìm kiếm địa chỉ điều trị răng bị đen uy tín tại khu vực Bình Chánh, Nha khoa Sài Gòn Phong Phú là lựa chọn hàng đầu:
- Địa chỉ: 1789 Quốc Lộ 50, xã Phong Phú, Bình Chánh, TP.HCM.
- Công nghệ hiện đại: Sở hữu hệ thống máy móc đạt chuẩn quốc tế giúp chẩn đoán chính xác 100%.
- Bác sĩ giàu kinh nghiệm: Đội ngũ bác sĩ tâm huyết, tay nghề cao, đảm bảo quá trình điều trị không đau, nhẹ nhàng.
- Chi phí minh bạch: Tư vấn rõ ràng, không phát sinh chi phí phụ.

Chúng tôi cung cấp các dịch vụ đa dạng như cạo cao răng, tẩy trắng, dán sứ veneer, bọc răng sứ toàn phần, điều trị tủy và trám răng. Đội ngũ bác sĩ của chúng tôi luôn tận tâm, tư vấn rõ ràng về quy trình, chi phí, kết quả dự kiến để khách hàng yên tâm lựa chọn.
Hãy liên hệ ngay với Nha Khoa Sài Gòn Phong Phú để được tư vấn cụ thể và đặt lịch khám sớm nhất. Chúng tôi cam kết mang lại cho bạn hàm răng khỏe mạnh, sáng bóng, tự tin trong mọi giao tiếp hàng ngày.
Tình trạng răng bị đen không chỉ làm mất thẩm mỹ mà còn cảnh báo các vấn đề răng miệng nghiêm trọng. Nhận biết nguyên nhân và dấu hiệu sớm giúp phòng ngừa và xử lý kịp thời, duy trì hàm răng khỏe mạnh, sáng tự nhiên. Các phương pháp hiện đại như tẩy trắng, dán sứ veneer, bọc sứ toàn phần kết hợp chăm sóc định kỳ giúp bạn lấy lại nụ cười trắng sáng, tự tin và khỏe mạnh trong đời sống hàng ngày.
Câu hỏi thường gặp về răng bị đen
Răng bị đen có thể tự hết khi đánh răng không?
Nếu là cao răng hoặc răng sâu, việc đánh răng thông thường không thể loại bỏ được. Bạn cần sự can thiệp của dụng cụ chuyên khoa tại nha khoa.
Điều trị răng bị đen có đau không?
Hầu hết các phương pháp như cạo vôi, tẩy trắng hay trám răng đều rất nhẹ nhàng. Với bọc sứ, bác sĩ sẽ gây tê cục bộ nên bạn hoàn toàn không thấy khó chịu.
Trẻ em bị đen răng có cần điều trị không?
Có. Răng sữa bị đen do sâu cần được điều trị sớm để không ảnh hưởng đến mầm răng vĩnh viễn bên dưới.


