Răng móm không chỉ ảnh hưởng đến thẩm mỹ khuôn mặt mà còn gây khó khăn trong việc ăn nhai và phát âm. Niềng răng móm là giải pháp chỉnh nha hiện đại giúp khắc phục tình trạng khớp cắn ngược, đưa răng và hàm về đúng vị trí, mang lại nụ cười hài hòa và tự tin hơn. Bài viết dưới đây sẽ giúp bạn hiểu rõ niềng răng móm là gì, quy trình thực hiện, chi phí cụ thể cũng như hiệu quả mà phương pháp này mang lại.
Răng móm là gì?

Răng móm là tình trạng hàm trên và hàm dưới không cân đối, trong đó hàm dưới đưa ra phía trước so với hàm trên, gây ra dáng mặt bị mất hài hòa, mất cân đối. Hiện tượng này còn được gọi là hàm móm hoặc hàm dưới chìa ra ngoài quá mức bình thường. Người mắc phải tình trạng này thường dễ nhận thấy qua biểu hiện khuôn mặt lệch, răng lệch lạc rõ ràng khi cười nói hoặc ăn uống.
Răng móm không chỉ ảnh hưởng đến thẩm mỹ khuôn mặt mà còn gây ra nhiều khó khăn trong sinh hoạt hàng ngày, đặc biệt là vấn đề ăn nhai và phát âm. Đồng thời, nếu không có biện pháp can thiệp kịp thời, tình trạng này còn làm tăng nguy cơ mắc các bệnh lý răng miệng, như sâu răng, viêm lợi, hay rối loạn khớp cắn.
Việc hiểu rõ về tình trạng răng móm là bước đầu quan trọng giúp xác định chính xác nguyên nhân, từ đó lựa chọn phương pháp điều trị phù hợp nhất. Đặc biệt, niềng răng móm đã chứng minh hiệu quả rõ rệt trong việc chỉnh sửa khuyết điểm này, giúp khách hàng lấy lại sự tự tin và hài hòa trong nụ cười.
Nguyên nhân gây ra răng móm
Tình trạng răng móm không phải tự nhiên xuất hiện mà thường bắt nguồn từ nhiều nguyên nhân khác nhau. Các yếu tố này có thể đến từ di truyền, thói quen sinh hoạt hoặc tác động của môi trường, ảnh hưởng đến sự phát triển của xương hàm và răng trong quá trình trưởng thành. Việc hiểu rõ nguyên nhân gây răng móm giúp bác sĩ lựa chọn phương pháp điều trị phù hợp, đảm bảo kết quả chỉnh nha tối ưu và duy trì lâu dài.
Các nguyên nhân gây răng móm có thể chia thành ba nhóm chính: nguyên nhân bẩm sinh, thói quen sinh hoạt và các yếu tố khác ảnh hưởng đến cấu trúc hàm mặt. Mỗi nhóm nguyên nhân đều mang đặc điểm riêng, đòi hỏi hướng điều trị phù hợp. Trong đó, niềng răng móm là phương pháp phổ biến và mang lại hiệu quả cao trong việc cải thiện tình trạng này.
Nguyên nhân bẩm sinh

Nguyên nhân bẩm sinh chiếm tỷ lệ lớn trong các trường hợp răng móm, đặc biệt ở những người có yếu tố di truyền từ cha mẹ hoặc người thân. Các gen di truyền có thể ảnh hưởng đến hình dạng, kích thước và sự phát triển của xương hàm, khiến hàm dưới phát triển mạnh hơn hàm trên, dẫn đến tình trạng móm.
Nhiều trẻ ngay từ khi sinh ra đã có đặc điểm cấu trúc xương hàm lệch, và khi trưởng thành, sự chênh lệch này ngày càng rõ rệt. Ngoài ra, yếu tố di truyền còn có thể ảnh hưởng đến sự mọc và sắp xếp của răng vĩnh viễn, gây lệch khớp cắn và mất cân đối khuôn mặt.
Phát hiện sớm nguyên nhân bẩm sinh giúp bác sĩ lên kế hoạch điều trị phù hợp, hạn chế biến chứng về sau. Trong các trường hợp này, niềng răng móm là giải pháp tối ưu giúp điều chỉnh khớp cắn, cải thiện thẩm mỹ khuôn mặt và duy trì hiệu quả lâu dài.
Nguyên nhân từ thói quen sinh hoạt

Bên cạnh yếu tố di truyền, thói quen sinh hoạt hàng ngày cũng là một trong những nguyên nhân phổ biến gây ra răng móm. Các hành vi như mút tay, đẩy lưỡi, ngậm núm vú giả quá lâu, hoặc thở bằng miệng đều có thể tác động xấu đến sự phát triển của xương hàm.
Ví dụ, trẻ có thói quen mút tay kéo dài sẽ khiến áp lực trong khoang miệng tăng, làm hàm dưới phát triển vượt trội so với hàm trên, dẫn đến tình trạng móm. Nếu không can thiệp kịp thời, thói quen này sẽ khiến cấu trúc hàm ngày càng lệch và khó điều chỉnh hơn.
Loại bỏ sớm các thói quen xấu là bước quan trọng để phòng ngừa và hỗ trợ quá trình chỉnh nha hiệu quả. Khi kết hợp với phương pháp niềng răng móm, bác sĩ có thể dễ dàng điều chỉnh răng và khớp cắn về đúng vị trí, mang lại nụ cười hài hòa, cân đối.
Các yếu tố khác

Ngoài hai nhóm nguyên nhân chính trên, còn nhiều yếu tố khác có thể góp phần gây ra răng móm, chẳng hạn như chế độ dinh dưỡng, môi trường sống hoặc bệnh lý toàn thân.
Chế độ ăn thiếu canxi, vitamin D hay các khoáng chất cần thiết trong giai đoạn phát triển có thể khiến xương hàm yếu, răng mọc lệch. Thêm vào đó, một số bệnh lý liên quan đến xương hoặc sự phát triển sọ mặt bất thường cũng làm thay đổi cấu trúc hàm.
Việc duy trì chế độ dinh dưỡng đầy đủ, sinh hoạt lành mạnh và khám răng định kỳ giúp phòng ngừa tình trạng răng móm hiệu quả. Nếu đã xuất hiện dấu hiệu móm, người bệnh nên sớm đến các cơ sở nha khoa uy tín để được tư vấn và thực hiện niềng răng móm, giúp khắc phục triệt để nguyên nhân, đồng thời cải thiện cả chức năng ăn nhai lẫn thẩm mỹ khuôn mặt.
Tác hại của răng móm nếu không điều trị
Răng móm không chỉ ảnh hưởng đến ngoại hình mà còn gây ra nhiều vấn đề nghiêm trọng về sức khỏe răng miệng và sinh hoạt hằng ngày. Nếu không được điều trị niềng răng móm kịp thời, tình trạng này có thể dẫn đến hàng loạt hậu quả như khó ăn nhai, phát âm sai, tăng nguy cơ bệnh lý răng miệng và ảnh hưởng nặng nề đến tâm lý, sự tự tin của người mắc phải.
Việc nhận biết sớm các tác hại của răng móm sẽ giúp mỗi người chủ động hơn trong việc lựa chọn phương pháp can thiệp phù hợp, đặc biệt là niềng răng móm – giải pháp hiệu quả giúp cải thiện toàn diện cả về thẩm mỹ lẫn chức năng.
Ảnh hưởng thẩm mỹ khuôn mặt

Răng móm khiến cấu trúc khuôn mặt mất cân đối, làm cho cằm và môi dưới đưa ra ngoài nhiều hơn bình thường. Khi cười hoặc nói, người bị móm dễ lộ rõ khuyết điểm khiến gương mặt trở nên lệch lạc, kém hài hòa và mất thẩm mỹ nghiêm trọng.
Tình trạng này còn khiến tỷ lệ giữa các bộ phận trên khuôn mặt bị phá vỡ, làm gương mặt trở nên cứng, nặng nề và thiếu tự nhiên. Đây là lý do khiến nhiều người bị móm cảm thấy tự ti, ngại giao tiếp hoặc chụp ảnh.
Niềng răng móm không chỉ giúp điều chỉnh khớp cắn về đúng vị trí mà còn tái tạo sự cân đối của khuôn mặt. Sau khi niềng, đường nét khuôn mặt trở nên mềm mại, hài hòa hơn, mang lại nụ cười tự tin và cảm giác thoải mái trong giao tiếp.
Khó khăn khi ăn nhai, phát âm
Một trong những tác hại rõ rệt nhất của răng móm là gây khó khăn trong ăn nhai. Do khớp cắn giữa hai hàm không chuẩn, người bị móm thường gặp vấn đề khi nghiền nát thức ăn, dẫn đến tiêu hóa kém, giảm khả năng hấp thu dinh dưỡng và tăng nguy cơ mắc các bệnh về dạ dày.
Không chỉ vậy, việc phát âm cũng bị ảnh hưởng đáng kể. Răng móm khiến âm thanh bị méo, người bệnh dễ nói ngọng, nói lắp hoặc khó phát âm rõ ràng – đặc biệt là các âm cần sự phối hợp chuẩn giữa môi, răng và lưỡi.
Khi niềng răng móm được thực hiện đúng kỹ thuật, khớp cắn được cải thiện, giúp việc nhai thức ăn dễ dàng hơn, đồng thời hỗ trợ phát âm chuẩn và tự nhiên. Nhờ đó, người bệnh không chỉ nâng cao sức khỏe mà còn lấy lại sự tự tin khi giao tiếp.
Dễ mắc bệnh răng miệng (sâu răng, viêm lợi)

Răng móm thường đi kèm với tình trạng răng lệch lạc, chen chúc khiến việc vệ sinh răng miệng gặp nhiều khó khăn. Thức ăn dễ mắc kẹt ở các kẽ răng, tạo điều kiện cho vi khuẩn sinh sôi, dẫn đến sâu răng, viêm lợi và nha chu.
Khi không thể làm sạch toàn diện, các mảng bám lâu ngày tích tụ sẽ làm hỏng men răng, gây viêm nướu, tiêu xương ổ răng và thậm chí là mất răng nếu không điều trị kịp thời.
Việc niềng răng móm giúp các răng được sắp xếp đều đặn, khít khớp và dễ dàng hơn trong việc chải răng hay dùng chỉ nha khoa. Nhờ đó, bạn có thể duy trì hàm răng khỏe mạnh, giảm thiểu tối đa nguy cơ mắc bệnh răng miệng và bảo vệ sức khỏe lâu dài.
Niềng răng móm là gì? Có hiệu quả không?

Niềng răng móm là phương pháp chỉnh nha hiện đại giúp khắc phục tình trạng răng và hàm dưới đưa ra trước so với hàm trên, gây mất cân đối khuôn mặt. Bằng cách sử dụng các khí cụ nha khoa như mắc cài hoặc khay niềng trong suốt, bác sĩ sẽ điều chỉnh vị trí răng và hàm để đưa về trạng thái chuẩn, cân đối hơn. Quá trình niềng răng móm không chỉ cải thiện chức năng ăn nhai, phát âm mà còn mang lại khuôn mặt hài hòa, nụ cười tự nhiên và tự tin hơn.
Về hiệu quả, rất nhiều khách hàng đã có trải nghiệm tích cực sau khi niềng răng móm, tình trạng móm được khắc phục rõ rệt, răng đều đẹp và khớp cắn ổn định hơn. Tuy nhiên, kết quả điều trị phụ thuộc vào nhiều yếu tố như mức độ móm, độ tuổi, tình trạng răng – hàm và mức độ tuân thủ hướng dẫn của bác sĩ. Người niềng cần kiên trì trong suốt quá trình để đạt được kết quả tối ưu.
Mỗi trường hợp niềng răng móm sẽ có phác đồ điều trị riêng, phù hợp với cấu trúc răng và xương hàm của từng người. Do đó, việc thăm khám, chụp X-quang và nhận tư vấn cụ thể từ bác sĩ chuyên khoa là bước quan trọng giúp đảm bảo hiệu quả điều trị cao và duy trì kết quả lâu dài.
Các phương pháp niềng răng móm phổ biến
Ngày nay, công nghệ chỉnh nha phát triển mạnh mẽ, mang đến nhiều lựa chọn niềng răng móm đa dạng, phù hợp với từng nhu cầu, điều kiện tài chính và mức độ lệch lạc khác nhau. Mỗi phương pháp đều có ưu điểm riêng, vì vậy việc tham khảo ý kiến bác sĩ và chọn lựa kỹ lưỡng là yếu tố quan trọng để đạt được hiệu quả chỉnh nha tối ưu nhất.
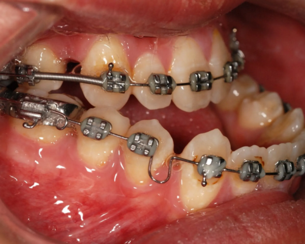
Niềng răng mắc cài kim loại

Đây là phương pháp niềng răng móm truyền thống, sử dụng mắc cài kim loại gắn ở mặt ngoài của răng, kết hợp cùng dây cung để tạo lực kéo chỉnh răng về đúng vị trí. Với ưu điểm bền chắc, hiệu quả cao và chi phí hợp lý, niềng răng mắc cài kim loại vẫn là lựa chọn phổ biến cho nhiều người, đặc biệt là giới trẻ.
Tuy nhiên, mắc cài kim loại có thể gây mất thẩm mỹ do dễ bị lộ khi cười hoặc giao tiếp. Hiện nay, các dòng mắc cài kim loại đã được cải tiến nhỏ gọn, mượt mà hơn, giúp giảm cảm giác khó chịu khi đeo.
Trong quá trình sử dụng, người đeo cần chú ý vệ sinh kỹ lưỡng để tránh thức ăn mắc vào mắc cài gây viêm lợi hoặc sâu răng. Phương pháp này mang lại hiệu quả cao cho những trường hợp răng móm nặng hoặc lệch khớp cắn phức tạp.
Niềng răng mắc cài sứ

Niềng răng mắc cài sứ là một biến thể của mắc cài kim loại, sử dụng chất liệu sứ có màu tương đồng với răng thật, mang lại tính thẩm mỹ cao hơn. Phương pháp này rất được ưa chuộng bởi những người trưởng thành hoặc người cần niềng răng móm nhưng vẫn muốn duy trì vẻ tự tin khi giao tiếp.
Ưu điểm nổi bật của mắc cài sứ là tính thẩm mỹ tốt, ít bị chú ý trong sinh hoạt hàng ngày. Tuy nhiên, chất liệu sứ dễ bị mòn, nứt hoặc đổi màu nếu không chăm sóc kỹ. Ngoài ra, chi phí của niềng răng mắc cài sứ thường cao hơn một chút so với mắc cài kim loại.
Hiệu quả chỉnh nha của phương pháp này tương đương với mắc cài kim loại, giúp khắc phục tình trạng răng móm nhẹ đến trung bình một cách chính xác và bền vững.
Niềng răng trong suốt (Clear aligner)

Niềng răng móm bằng khay trong suốt là công nghệ chỉnh nha tiên tiến nhất hiện nay. Phương pháp này sử dụng bộ khay niềng được thiết kế riêng cho từng người, có thể tháo lắp dễ dàng trong quá trình ăn uống và vệ sinh răng miệng.
Ưu điểm lớn nhất của niềng răng trong suốt là tính thẩm mỹ vượt trội – gần như vô hình khi đeo, không gây khó chịu hay đau nhức. Người dùng có thể tự tháo khay trong những dịp đặc biệt, giúp quá trình niềng trở nên thoải mái và linh hoạt hơn.
Tuy nhiên, phương pháp này có chi phí cao hơn so với các loại mắc cài truyền thống, đồng thời đòi hỏi người dùng phải tuân thủ nghiêm ngặt thời gian đeo khay mỗi ngày và tái khám định kỳ để đạt hiệu quả tối ưu.
Niềng răng móm mất bao lâu?
Thời gian niềng răng móm phụ thuộc nhiều yếu tố khác nhau, từ mức độ lệch lạc, độ tuổi của khách hàng đến khả năng phối hợp trong quá trình điều trị. Thông thường, khoảng thời gian này dao động trong khoảng từ 12 đến 36 tháng, nhưng có thể kéo dài hoặc rút ngắn tùy theo từng trường hợp.
Việc xác định chính xác thời gian niềng răng giúp khách hàng chủ động hơn về mặt kế hoạch sinh hoạt, công việc và các yếu tố liên quan khác. Do đó, các yếu tố như độ tuổi, mức độ móm và thói quen sinh hoạt luôn cần được cân nhắc kỹ lưỡng.
Dưới đây là những yếu tố quyết định thời gian niềng răng móm, bên cạnh đó còn có các mẹo giúp rút ngắn quá trình chỉnh nha hiệu quả và an toàn hơn.

Thời gian trung bình
- Trường hợp móm nhẹ đến trung bình: thời gian niềng răng thường kéo dài từ 12 – 18 tháng.
 - Trường hợp móm nặng hoặc phức tạp: có thể cần 24 – 36 tháng hoặc lâu hơn.
 
Bác sĩ sẽ đưa ra dự đoán cụ thể sau khi kiểm tra và lên phác đồ điều trị chi tiết. Trong suốt quá trình, bác sĩ sẽ thường xuyên theo dõi, điều chỉnh lực kéo và thay đổi khí cụ để đảm bảo quá trình diễn ra ổn định, giúp rút ngắn tối đa thời gian niềng.
Khách hàng cần tuân thủ đúng hướng dẫn của bác sĩ, duy trì vệ sinh răng miệng tốt và đeo khí cụ đúng giờ để đạt hiệu quả cao nhất trong thời gian ngắn nhất.
Yếu tố ảnh hưởng thời gian niềng
Tuổi tác
Trẻ nhỏ và thanh thiếu niên có thời gian niềng răng móm ngắn hơn người trưởng thành vì xương hàm còn mềm, dễ dịch chuyển. Ngược lại, người lớn có cấu trúc xương cứng hơn nên cần nhiều thời gian để điều chỉnh.
Mức độ móm nặng hay nhẹ
Tình trạng lệch lạc nhẹ thường dễ điều chỉnh và thời gian niềng răng ngắn hơn, trong khi các ca nặng hoặc phức tạp phải mất nhiều thời gian hơn để đạt được kết quả mong muốn.
Thói quen sinh hoạt và tuân thủ chỉ định bác sĩ
Chế độ ăn uống, vệ sinh răng miệng, thói quen đeo niềng và mức độ hợp tác của khách hàng ảnh hưởng trực tiếp đến hiệu quả và thời gian niềng răng móm. Sự kiên trì, cẩn thận trong sinh hoạt hằng ngày sẽ giúp quá trình chỉnh nha diễn ra nhanh chóng, an toàn và hiệu quả hơn.
Niềng răng móm có đau không?

Trong quá trình niềng răng móm, cảm giác không thoải mái hoặc có cảm giác đau nhức là điều dễ hiểu, do lực kéo tác động lên răng, khiến các mô mềm và răng phải thích nghi dần dần. Tuy nhiên, mức độ đau hay khó chịu còn tùy thuộc vào phương pháp chỉnh nha, cách chăm sóc của từng người và khả năng chịu đựng của từng cá thể.
Các phương pháp niềng răng hiện đại như mắc cài sứ, trong suốt hoặc niềng không mắc cài giúp giảm cảm giác đau nhức so với phương pháp mắc cài kim loại truyền thống. Đồng thời, việc sử dụng thuốc giảm đau hoặc cách chăm sóc phù hợp cũng giúp giảm thiểu tối đa cảm giác khó chịu này.
Trong quá trình điều trị, cảm giác ê buốt hoặc đau có thể kéo dài vài ngày đến một tuần sau mỗi lần điều chỉnh khí cụ. Tuy nhiên, đa phần khách hàng đều phản hồi rằng cảm giác này hoàn toàn chấp nhận được và nhanh chóng qua đi, giúp duy trì mục tiêu đạt được kết quả chỉnh nha như mong muốn.
Quy trình niềng răng móm tại Nha Khoa Sài Gòn
Chương trình niềng răng móm tại Nha Khoa Sài Gòn được thực hiện theo quy trình chuẩn quốc tế, đảm bảo an toàn, hiệu quả và mang lại kết quả tối ưu nhất cho khách hàng. Từ bước khám ban đầu đến chăm sóc duy trì sau điều trị, mỗi bước đều được bác sĩ thực hiện kỹ càng, theo dõi sát sao để điều chỉnh phù hợp.
Trong suốt quá trình, khách hàng sẽ được tư vấn rõ ràng các bước, chăm sóc răng miệng đúng cách và cẩn thận, đảm bảo quá trình chỉnh nha diễn ra thuận lợi, nhanh chóng và ít biến chứng.

Khám và tư vấn ban đầu
Khách hàng sẽ được bác sĩ kiểm tra tổng thể vùng miệng, xem xét các khuyết điểm về răng, hàm và gương mặt. Trong bước này, các bác sĩ sẽ lắng nghe nhu cầu, mong muốn của khách hàng, cũng như đưa ra nhận định ban đầu về khả năng chỉnh sửa tình trạng móm.
Đây là bước quan trọng giúp xác định phương pháp điều trị phù hợp, đồng thời chuẩn bị các phương án dự phòng để ứng phó với các vấn đề phát sinh trong quá trình chỉnh nha. Nếu cần thiết, khách hàng sẽ được chụp X-quang để có cái nhìn toàn diện hơn về cấu trúc xương hàm.
Chụp X-quang và lấy dấu hàm
Tiếp theo, kỹ thuật viên sẽ thực hiện chụp X-quang để khảo sát cấu trúc xương, đánh giá mức độ lệch lạc và lên kế hoạch điều trị chuẩn xác. Đồng thời, lấy mẫu dấu hàm để tạo mẫu răng, giúp thiết kế khí cụ phù hợp với từng khách hàng.
Các kỹ thuật chẩn đoán tiên tiến giúp xác định chính xác các vị trí răng, xương hàm, từ đó bác sĩ có thể lập kế hoạch chỉnh nha chính xác, dự đoán thời gian và kết quả mong muốn. Quá trình này đòi hỏi sự chuyên nghiệp cao để đảm bảo độ chính xác tối đa.
Lên kế hoạch điều trị cá nhân hóa
Dựa trên các dữ liệu thu thập, bác sĩ sẽ xây dựng kế hoạch điều trị chi tiết, bao gồm thời gian dự kiến, loại khí cụ phù hợp, các bước chỉnh sửa cụ thể. Đồng thời, khách hàng sẽ nhận được hướng dẫn chi tiết về chế độ chăm sóc, tái khám và những điều cần lưu ý trong suốt quá trình thực hiện.
Việc lập kế hoạch cá nhân hóa giúp quá trình điều trị diễn ra suôn sẻ, đạt hiệu quả cao, phù hợp với từng đặc điểm của mỗi khách hàng, giảm thiểu các rủi ro không mong muốn.
Gắn khí cụ niềng răng
Sau khi kế hoạch đã được duyệt, các khí cụ như mắc cài, dây cung hoặc khay trong suốt sẽ được gắn cố định trên răng. Quá trình này đòi hỏi sự chính xác, nhẹ nhàng để tránh làm tổn thương mô mềm và răng.
Trong thời gian đeo khí cụ, khách hàng cần thực hiện vệ sinh răng miệng kỹ lưỡng, tuân thủ lịch hẹn tái khám đều đặn để điều chỉnh khí cụ và theo dõi tiến trình. Đồng thời, các bác sĩ sẽ hướng dẫn cách xử lý các vấn đề như đau nhức, bung khí cụ, hay thức ăn mắc vào khí cụ.
Tái khám và điều chỉnh định kỳ
Quá trình chỉnh nha không thể diễn ra thuận lợi nếu không có các buổi kiểm tra định kỳ. Các bác sĩ sẽ thực hiện các điều chỉnh phù hợp để duy trì lực kéo, đảm bảo sự di chuyển đều, chính xác của răng và hàm.
Khách hàng cần tuân thủ lịch hẹn, duy trì thói quen chăm sóc tốt để rút ngắn thời gian điều trị, đồng thời hạn chế các biến chứng có thể phát sinh trong quá trình niềng.
Hoàn tất quá trình niềng và chăm sóc duy trì
Khi răng đã đạt được vị trí mong muốn, khí cụ sẽ được tháo ra, kết thúc quá trình chỉnh nha. Tuy nhiên, để duy trì kết quả lâu dài, khách hàng cần đeo dụng cụ duy trì theo chỉ định của bác sĩ trong thời gian tối thiểu 6 tháng đến 1 năm.
Chăm sóc sau niềng đóng vai trò quyết định đến độ bền của kết quả, tránh tình trạng răng bị trở lại trạng thái ban đầu. Các bác sĩ tại Nha Khoa Sài Gòn luôn hướng dẫn kỹ càng để khách hàng có thể duy trì lợi ích lâu dài từ phương pháp chỉnh nha này.
Niềng răng móm có cần nhổ răng không?
Trong quá trình chỉnh nha, quyết định có nhổ răng hay không phụ thuộc vào từng trường hợp cụ thể và phương pháp điều trị được bác sĩ lựa chọn. Trong một số trường hợp, việc nhổ răng sẽ giúp không gian đủ để di chuyển các răng về vị trí đúng đắn, đặc biệt khi hàm có quá nhiều răng hoặc răng mọc lệch lạc phức tạp.
Chưa chắc chắn là mọi ca niềng răng móm đều cần nhổ răng. Bác sĩ sẽ căn cứ vào hình thái, cấu trúc răng, mức độ lệch lạc, cũng như kết quả chụp X-quang để quyết định nên nhổ hay không nhằm đảm bảo hiệu quả chỉnh nha tối ưu.
Thông thường, các trường hợp cần nhổ răng sẽ được tư vấn kỹ lưỡng trước khi bắt đầu, giúp khách hàng hiểu rõ lý do và chuẩn bị tâm lý cho quá trình điều trị. Đối với những ca không cần nhổ răng, các kỹ thuật kéo chỉnh có thể thực hiện mà không cần can thiệp này, vẫn mang lại kết quả như ý muốn.

Trường hợp cần nhổ
Khi hàm bị quá tải, răng mọc lệch lạc, hoặc tình trạng hàm chồng chéo nhiều, nhổ răng sẽ giúp tạo khoảng trống cần thiết để điều chỉnh răng về đúng vị trí. Bác sĩ cũng thường khuyên áp dụng phương pháp này khi răng nanh, răng số 4, răng số 5 hoặc răng khôn mọc lệch, ảnh hưởng lớn đến kết quả chỉnh nha.
Ngoài ra, trong một số ca chỉnh răng móm nặng, đặc biệt khi răng hàm dưới quá dày hoặc bị lệch quá lớn, nhổ răng là biện pháp tốn ít thời gian, đem lại hiệu quả rõ rệt hơn trong điều trị. Quá trình này cần được thực hiện đúng kỹ thuật, đảm bảo an toàn tuyệt đối cho khách hàng.
Trường hợp không nhổ
Ngược lại, với các ca lệch lạc nhẹ hoặc răng không quá chen chúc, bác sĩ có thể tối ưu hóa quá trình điều chỉnh mà không cần đến nhổ răng, đảm bảo giữ nguyên cấu trúc răng tự nhiên của khách hàng. Phương pháp này phù hợp với người có ý thức chăm sóc răng miệng tốt, hạn chế can thiệp xâm lấn không cần thiết.
Trong nhiều trường hợp, phương pháp chỉnh nha hiện đại, như khay Invisalign hoặc mắc cài tự đóng, có thể giúp điều chỉnh răng mà không cần nhổ răng, giảm thiểu tối đa cảm giác bất tiện và nguy cơ không mong muốn. Chính yếu tố kỹ thuật, kinh nghiệm của bác sĩ sẽ quyết định liệu cần thiết phải nhổ răng hay không.
Chi phí niềng răng móm tại Nha Khoa Sài Gòn
Chi phí niềng răng móm phụ thuộc vào nhiều yếu tố như loại khí cụ, mức độ lệch lạc, độ tuổi của khách hàng và các dịch vụ bổ sung đi kèm. Tại Nha Khoa Sài Gòn, chi phí luôn cạnh tranh, phù hợp với điều kiện của đa số khách hàng, được cam kết rõ ràng, minh bạch từ đầu.
Khách hàng có thể lựa chọn nhiều gói dịch vụ khác nhau, từ các phương pháp truyền thống đến hiện đại, mỗi phương pháp có mức giá phù hợp và đảm bảo chất lượng dịch vụ cao. Đặc biệt, mọi quy trình đều được bác sĩ cấp phép, có nhiều năm kinh nghiệm, giúp khách hàng yên tâm khi thực hiện.
Chương trình tư vấn và hỗ trợ tài chính cũng rất linh hoạt, giúp khách hàng dễ dàng hơn trong việc lựa chọn phương án phù hợp với ngân sách của riêng mình. Đến với Nha Khoa Sài Gòn, bạn hoàn toàn yên tâm về kết quả và chi phí, được chăm sóc tận tình, chuyên nghiệp nhất.
Câu hỏi thường gặp về niềng răng móm

Dưới đây là tổng hợp những câu hỏi phổ biến nhất liên quan đến chủ đề niềng răng móm, giúp khách hàng có thêm kiến thức và hiểu rõ hơn về quá trình cũng như lợi ích của phương pháp chỉnh nha này.
Niềng răng móm có thực sự hiệu quả không?
Niềng răng móm là phương pháp chỉnh nha được đánh giá rất hiệu quả để điều chỉnh tình trạng răng bị lệch, khớp cắn không chuẩn. Khi thực hiện đúng phác đồ, niềng răng móm không chỉ giúp cải thiện thẩm mỹ khuôn mặt mà còn nâng cao chức năng ăn nhai và sức khỏe răng miệng. Tuy nhiên, hiệu quả còn phụ thuộc vào mức độ móm, tuổi tác, loại mắc cài và việc tuân thủ hướng dẫn của bác sĩ trong suốt quá trình điều trị.
Niềng răng móm cho trẻ em và người lớn có khác nhau không?
Niềng răng móm cho trẻ em và người lớn có sự khác biệt đáng kể. Ở trẻ em, xương hàm vẫn đang phát triển, nên bác sĩ có thể áp dụng các phương pháp chỉnh nha sớm, giúp rút ngắn thời gian niềng và đạt kết quả tối ưu. Ngược lại, ở người lớn, xương hàm đã cứng hơn, việc niềng răng móm có thể kéo dài hơn và đôi khi kết hợp phẫu thuật chỉnh hàm để đạt hiệu quả tốt nhất.
Niềng răng móm có bị hỏng sau khi tháo niềng không?
Sau khi tháo niềng răng móm, nếu không đeo hàm duy trì đúng cách, răng có thể dịch chuyển trở lại vị trí ban đầu, khiến kết quả chỉnh nha giảm hiệu quả. Do đó, việc tuân thủ hướng dẫn của bác sĩ về đeo hàm duy trì là rất quan trọng. Thông thường, hàm duy trì sẽ được sử dụng liên tục trong vài tháng đầu và sau đó giảm dần theo chỉ định để giữ răng ổn định lâu dài.
Lời khuyên và lưu ý khi niềng răng móm
Chọn đúng phương pháp phù hợp, tuân thủ chỉ định của bác sĩ, có chế độ chăm sóc cẩn thận là những yếu tố quyết định thành công trong hành trình niềng răng móm. Ngoài ra, khách hàng cần chuẩn bị tâm lý và kiên nhẫn chờ đợi kết quả sau một thời gian dài điều trị.
Trong quá trình niềng, hãy duy trì vệ sinh răng miệng tốt, tránh các thức ăn cứng, dẻo, có chứa nhiều đường hoặc dễ mắc vào khí cụ. Đồng thời, không quên kiểm tra định kỳ theo lịch hẹn để các bác sĩ điều chỉnh, theo dõi tiến trình sửa răng.
Một số lời khuyên khác bao gồm: duy trì tâm lý tích cực, chia sẻ những khó khăn gặp phải để được tư vấn kịp thời, đồng thời phối hợp tốt với đội ngũ điều trị để đảm bảo quá trình niềng răng móm đạt kết quả tốt nhất có thể.
Kết luận
Niềng răng móm là giải pháp chỉnh nha hiệu quả giúp cải thiện khớp cắn ngược, nâng cao thẩm mỹ khuôn mặt và chức năng ăn nhai. Việc lựa chọn phương pháp niềng phù hợp, tuân thủ đúng quy trình và theo dõi sát sao cùng bác sĩ chuyên môn sẽ mang lại kết quả tối ưu. Nếu bạn đang gặp tình trạng răng móm và muốn sở hữu nụ cười tự tin hơn, hãy tìm hiểu kỹ về niềng răng móm để có quyết định đúng đắn và an toàn nhất cho bản thân.
								