Nhổ nước bọt ra máu là một triệu chứng gây lo lắng cho nhiều người. Tình trạng này không chỉ ảnh hưởng đến sức khỏe mà còn khiến người bệnh cảm thấy hoang mang, sợ hãi. Việc nhận biết nguyên nhân, triệu chứng và phương pháp xử lý kịp thời rất quan trọng để bảo vệ sức khỏe bản thân và gia đình.

Nguyên nhân dẫn tới nước bọt ra máu
Nước bọt ra máu có thể do nhiều nguyên nhân khác nhau. Có thể là do tổn thương từ miệng hoặc cổ họng, nhiễm trùng, tình trạng ho kéo dài hay thậm chí là thiếu vitamin C. Mỗi nguyên nhân đều có đặc điểm riêng, cần phải tìm hiểu kỹ lưỡng để có hướng xử lý phù hợp.
Tổn thương từ miệng hoặc cổ họng
Khi bị chấn thương ở vùng miệng hoặc cổ họng, nước bọt có thể lẫn máu. Có nhiều dạng tổn thương khác nhau mà chúng ta có thể gặp phải:
Chấn thương: Việc va đập vào vùng miệng như khi chơi thể thao, cắn vào lưỡi hoặc sử dụng các dụng cụ sắc nhọn trong miệng có thể gây chảy máu. Trong những trường hợp này, việc xử lý ban đầu bao gồm việc súc miệng với nước muối ấm để làm sạch vết thương và hạn chế viêm nhiễm.
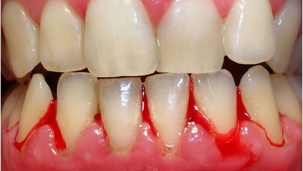
Răng miệng: Viêm lợi, sâu răng, viêm nha chu hoặc các thủ thuật nha khoa cũng có thể dẫn đến hiện tượng nhổ nước bọt ra máu. Đặc biệt là khi bạn thực hiện các liệu trình như nhổ răng.
Viêm loét miệng: Các vết loét trong miệng, như viêm loét aphthous, có thể gây đau và chảy máu nhẹ. Khi nói hoặc ăn uống, những vết thương này dễ dàng làm lẫn máu vào nước bọt.
Do nhiễm trùng
Nhiễm trùng là một nguyên nhân phổ biến gây ra tình trạng nhổ nước bọt ra máu. Những bệnh lý viêm nhiễm đường hô hấp trên như viêm họng hạt hay viêm amidan có thể dẫn đến chảy máu nhẹ. Một số tác nhân gây nhiễm trùng có thể kể đến:
Viêm họng hạt, viêm amidan: Khi mắc các bệnh lý này, niêm mạc họng trở nên sưng đau và đỏ rát. Người bệnh thường gặp khó khăn trong việc nuốt và có thể ho khan, gây ra hiện tượng chảy máu bọt.
Viêm xoang: Viêm xoang cấp tính hoặc mãn tính có thể dẫn đến tình trạng chảy máu cam. Nước mũi lẫn máu có thể chảy xuống họng, từ đó gây ra hiện tượng nhổ nước bọt có máu.
Nhiễm trùng răng miệng: Bất kỳ nhiễm trùng nào trong khoang miệng cũng có thể dẫn đến chảy máu nướu, từ đó gây ra tình trạng nước bọt có máu.
Tình trạng ho kéo dài
Ho kéo dài, đặc biệt là ho khan, có thể gây tổn thương niêm mạc họng. Điều này dẫn đến việc chảy máu và lẫn vào nước bọt. Tình trạng này thường gặp ở những người mắc:
Viêm phế quản: Viêm phế quản cấp tính hoặc mãn tính có thể gây ra ho dữ dội, dẫn đến tình trạng nhổ nước bọt ra máu.
Viêm phổi: Viêm phổi có thể gây ho kèm theo đờm có máu. Đây là dấu hiệu nghiêm trọng cần được chú ý.
Thiếu vitamin C
Thiếu vitamin C có thể làm suy yếu thành mạch máu, dẫn đến chảy máu nướu răng. Vitamin C đóng vai trò quan trọng trong việc duy trì sức khỏe răng miệng và sự lành mạnh của các mô. Nếu bạn thường xuyên gặp tình trạng này, hãy xem xét lại chế độ ăn uống của mình.
Nhổ nước bọt ra máu cảnh báo bệnh gì?

Ngoài những nguyên nhân đơn giản, tình trạng nhổ nước bọt ra máu còn có thể là cảnh báo cho một số bệnh lý nguy hiểm. Dưới đây là một số bệnh lý cần chú ý:
Nguy cơ tổn thương ở phế quản
Viêm phế quản: Viêm phế quản cấp tính hoặc mãn tính có thể gây ra ho ra máu, đặc biệt khi ho mạnh hoặc gắng sức. Cần chú ý theo dõi các triệu chứng đi kèm như khó thở, đau ngực.
Ung thư phế quản: Đây là một loại ung thư nguy hiểm, có thể gây ra ho ra máu, đau ngực, và khó thở. Nếu có các triệu chứng này, bạn nên đến gặp bác sĩ ngay lập tức.
Nguy cơ tổn thương ở phổi
Lao phổi: Bệnh lao phổi là một bệnh truyền nhiễm do vi khuẩn Mycobacterium tuberculosis gây ra. Ho ra máu là một triệu chứng điển hình của bệnh này, thường kèm theo sốt, mệt mỏi và sụt cân.
Viêm phổi: Viêm phổi có thể gây ra ho dữ dội, đặc biệt là những trường hợp nặng. Đờm có máu là triệu chứng cần được điều trị kịp thời để tránh biến chứng.
Viêm amidan, viêm họng, viêm xoang
Các bệnh viêm nhiễm đường hô hấp trên như viêm amidan, viêm họng, và viêm xoang thường gây ra tình trạng sưng đau, đỏ rát. Chúng có thể chảy máu nhẹ và lẫn vào nước bọt khi ho hoặc khạc nhổ.
Bệnh lao
Bệnh lao phổi là một trong những nguyên nhân phổ biến dẫn đến ho ra máu. Các triệu chứng khác của bệnh lao bao gồm ho khan, sốt, đổ mồ hôi đêm, sụt cân…
Bệnh xơ nang
Bệnh xơ nang là một bệnh di truyền hiếm gặp, ảnh hưởng đến tuyến ngoại tiết. Bệnh này có thể gây ra nhiễm trùng phổi, dẫn đến ho ra máu.
U hạt với viêm đa tuyến
U hạt với viêm đa tuyến là một tình trạng hiếm gặp, thường liên quan đến các vấn đề về miễn dịch. Điều này có thể gây ra tổn thương ở phổi và dẫn đến ho ra máu.
Hẹp van hai lá
Hẹp van hai lá là một bệnh tim bẩm sinh hoặc mắc phải, gây ra áp lực lớn trong phổi. Điều này có thể dẫn đến ho ra máu.
Nguy cơ ung thư
- Ung thư vòm họng: Có thể gây ra ho ra máu, đau họng và khó nuốt.
- Ung thư thanh quản: Thường xuất hiện với triệu chứng ho ra máu, khàn tiếng và đau họng.
- Ung thư phổi: Gây ra ho ra máu, đau ngực và khó thở.
Điều trị tình trạng đau họng nhổ nước bọt ra máu

Việc điều trị tình trạng đau họng nhổ nước bọt ra máu phụ thuộc vào nguyên nhân gây ra triệu chứng. Nếu nguyên nhân là do chấn thương đơn giản, bạn có thể tự xử lý bằng cách:
Súc miệng bằng nước muối ấm: Nước muối giúp làm sạch vết thương, giảm viêm nhiễm và giảm đau nhanh chóng. Hãy nhớ súc miệng 2-3 lần mỗi ngày để đạt hiệu quả tốt nhất.
Sử dụng thuốc giảm đau không kê đơn: Thuốc giảm đau như paracetamol hoặc ibuprofen có thể giúp giảm đau và khó chịu. Tuy nhiên, bạn cần tuân theo liều lượng khuyến cáo và không lạm dụng thuốc.
Tránh thức ăn cay nóng, chua, kích ứng: Các loại thức ăn này có thể làm tình trạng đau họng trở nên trầm trọng hơn. Bạn nên lựa chọn các món ăn mềm, dễ nuốt để không gây thêm tổn thương cho họng.
Tuy nhiên, nếu nguyên nhân là do các bệnh lý nghiêm trọng, bạn cần đến gặp bác sĩ để được chẩn đoán và điều trị kịp thời. Bác sĩ có thể chỉ định một số phương pháp điều trị như:
- Thuốc kháng sinh: Nếu nguyên nhân là do nhiễm trùng, bác sĩ có thể kê đơn thuốc kháng sinh để tiêu diệt vi khuẩn.
- Thuốc kháng virus: Nếu nguyên nhân là do virus, bác sĩ có thể kê đơn thuốc kháng virus để ức chế sự phát triển của chúng.
- Thuốc corticosteroid: Giúp giảm viêm và sưng ở vùng họng.
- Phẫu thuật: Trong một số trường hợp, phẫu thuật có thể cần thiết để loại bỏ các khối u hoặc tổn thương trong vùng họng.
Ngoài ra, bạn nên tuân thủ theo hướng dẫn của bác sĩ về chế độ ăn uống, nghỉ ngơi và dùng thuốc để đạt được hiệu quả điều trị tốt nhất.
Hướng dẫn chăm sóc răng miệng phòng ngừa nước bọt có máu
Chăm sóc răng miệng đúng cách là yếu tố quan trọng giúp phòng ngừa các bệnh lý răng miệng, giảm nguy cơ nhổ nước bọt có máu. Dưới đây là một số hướng dẫn cụ thể:
Chải răng đúng cách

Chải răng 2 lần/ngày, mỗi lần ít nhất 2 phút. Sử dụng bàn chải lông mềm, chải nhẹ nhàng, tránh chà xát mạnh.
Bạn nên chải cả mặt ngoài, mặt trong và mặt nhai của răng để đảm bảo sạch sẽ. Đừng quên thay bàn chải khoảng 3 tháng một lần để giữ vệ sinh.
Sử dụng chỉ nha khoa và không dùng mạnh
Sử dụng chỉ nha khoa hàng ngày để làm sạch những nơi mà bàn chải không thể với tới. Dùng chỉ nha khoa nhẹ nhàng để tránh gây tổn thương cho nướu.
Ngoài ra, bạn có thể sử dụng nước súc miệng có chứa fluoride sau khi chải răng để giúp bảo vệ men răng và ngăn ngừa sâu răng.
Sử dụng nước súc miệng có chứa fluoride
Sử dụng nước súc miệng có chứa fluoride sau khi chải răng giúp tăng cường bảo vệ cho men răng, chống lại các tác nhân gây sâu răng.
Hãy chắc chắn rằng bạn sử dụng sản phẩm chất lượng, phù hợp với nhu cầu sức khỏe răng miệng của mình.
Tránh thức uống có ga và đồ ngọt
Thức uống có ga và đồ ngọt chứa nhiều đường, có thể làm tăng nguy cơ sâu răng và viêm lợi. Thay vào đó, hãy ưu tiên nước lọc hoặc trà xanh không đường để bảo vệ sức khỏe răng miệng.
Điều chỉnh chế độ ăn uống
Ăn nhiều rau xanh, trái cây giàu vitamin C để tăng cường sức đề kháng và bảo vệ sức khỏe răng miệng. Đồng thời, bạn nên giảm tiêu thụ các đồ ăn cay nóng, chua, cứng, dễ gây tổn thương niêm mạc miệng.
Thăm nha sĩ định kỳ

Thăm nha sĩ định kỳ 6 tháng/lần để khám và làm sạch răng miệng, phát hiện sớm các bệnh lý về răng miệng. Nha sĩ sẽ giúp bạn có kế hoạch chăm sóc răng miệng tốt nhất.
Kết luận
Nhổ nước bọt ra máu có thể do nhiều nguyên nhân khác nhau, từ những vấn đề đơn giản đến các bệnh lý nghiêm trọng. Nếu bạn gặp phải tình trạng này, hãy đến gặp bác sĩ để được thăm khám và điều trị kịp thời. Chăm sóc răng miệng đúng cách, kết hợp với lối sống lành mạnh, là những biện pháp hiệu quả giúp phòng ngừa nguy cơ nhổ nước bọt ra máu. Hãy luôn chú ý đến sức khỏe răng miệng của bản thân và gia đình để có một cuộc sống khỏe mạnh và hạnh phúc.