Men răng là lớp ngoài cùng quan trọng của răng, giúp bảo vệ ngà răng khỏi sâu, mòn và các bệnh lý khác. Duy trì men răng khỏe mạnh không chỉ nâng cao thẩm mỹ nụ cười mà còn hỗ trợ ăn nhai và tiêu hóa thức ăn hiệu quả. Khi men răng bị tổn thương, răng dễ nhạy cảm và tăng nguy cơ mắc bệnh lý nghiêm trọng. Hiểu rõ về men răng, nguyên nhân hư hỏng, dấu hiệu nhận biết và cách chăm sóc đúng cách giúp bảo vệ răng chắc khỏe và duy trì nụ cười tươi sáng, rạng ngời lâu dài.
Men răng là gì?
Men răng, còn gọi là men cứng, là lớp ngoài cùng bọc trên bề mặt răng, chiếm phần lớn diện tích của hình thể răng. Nó được cấu thành chủ yếu từ hydroxyapatit, một dạng khoáng chất cứng và dai dẳng, giúp giữ vững cấu trúc răng qua nhiều năm tháng. Men răng có vai trò bảo vệ lớp ngà bên trong khỏi các tác nhân gây hại từ thức ăn, vi khuẩn, nhiệt độ và các yếu tố khác trong môi trường miệng.

Men răng không có khả năng tự phục hồi khi bị tổn thương hoặc mòn. Chính vì thế, việc chăm sóc bảo vệ men răng luôn là ưu tiên hàng đầu trong quá trình vệ sinh răng miệng hàng ngày. Nếu men răng bị tổn thương, các lớp mô mềm bên trong sẽ dễ bị tác động, dẫn đến các vấn đề như nhạy cảm, sâu răng hoặc viêm nha chu. Do đó, người có men răng khỏe mạnh sẽ duy trì được hình dạng, chức năng của răng một cách tối ưu.
Men răng không chứa mạch máu hay dây thần kinh, do đó nó không cảm nhận được đau đớn. Đây là lý do tại sao người bệnh thường không nhận thấy rõ dấu hiệu tổn thương sớm. Chính vì vậy, việc hiểu rõ cấu tạo, chức năng của men răng sẽ giúp chúng ta nhận biết sớm các dấu hiệu bất thường để có biện pháp can thiệp kịp thời, tránh những hậu quả lâu dài.
Men răng có quan trọng không?
Men răng giữ một vai trò cực kỳ quan trọng trong toàn bộ cấu trúc răng. Nó không chỉ là lớp bảo vệ đầu tiên chống lại các tác nhân gây hại mà còn ảnh hưởng trực tiếp đến các yếu tố thẩm mỹ như màu sắc, độ bóng và hình dạng của răng. Một bộ răng men khỏe mạnh giúp người sở hữu có thể ăn uống thoải mái, nói chuyện rõ ràng, tự tin và duy trì nét đẹp tự nhiên của nụ cười.

Ngoài ra, men răng còn góp phần vào việc duy trì độ cứng chắc và độ bền của răng. Khi lớp men bị tổn thương hoặc mòn mỏng, khả năng chịu lực trong quá trình ăn nhai sẽ giảm đi rõ rệt. Điều này có thể dẫn đến tình trạng răng dễ bị sứt mẻ, nứt vỡ trong quá trình ăn uống hàng ngày. Hậu quả là người bệnh không chỉ gặp khó chịu mà còn phải tiêu tốn nhiều chi phí điều trị phục hình.
Không thể phủ nhận rằng, men răng còn ảnh hưởng lớn đến sức khỏe chung của toàn bộ hệ thống tiêu hóa. Khi lớp men bị giảm chất lượng, thức ăn dễ bị mòn và nhiễm khuẩn, vi khuẩn có thể xâm nhập vào sâu trong răng, gây ra các bệnh lý nghiêm trọng khác như sâu răng, viêm nha chu hoặc tủy răng. Chính vì thế, việc bảo vệ men răng là phần không thể thiếu trong chiến lược giữ gìn sức khỏe răng miệng tổng thể của mỗi người.
Nguyên nhân khiến men răng bị bào mòn và hủy hoại
Men răng dễ bị bào mòn và hư hại bởi nhiều yếu tố trong đời sống hàng ngày. Hiểu rõ nguyên nhân giúp phòng ngừa hiệu quả và xây dựng thói quen chăm sóc răng đúng cách. Nhiều người chủ quan trước các tác nhân gây hại, khiến men răng yếu đi, mất khả năng bảo vệ ngà răng. Dưới đây là những nguyên nhân phổ biến và các yếu tố tác động tiêu cực đến men răng cần lưu ý.
Vệ sinh răng miệng không đúng cách
Ăn nhiều đồ chua, đồ ngọt, nước có gas
Thói quen tiêu thụ quá nhiều thực phẩm chứa axit như đồ chua, thức ăn có nhiều đường hoặc nước có gas là tác nhân hàng đầu gây ra sự ăn mòn men răng. Axit trong các loại thực phẩm này làm giảm độ pH của miệng, phá vỡ cấu trúc khoáng của men, từ đó dẫn đến quá trình mòn men răng diễn ra nhanh hơn bình thường.
Chải răng quá mạnh hoặc dùng bàn chải cứng
Nghiến răng khi ngủ
Nghiến răng là thói quen vô thức, thường xảy ra khi ngủ hoặc lúc căng thẳng và tạo áp lực lớn lên răng. Lực nghiến mạnh khiến men răng bị mòn dần, đặc biệt ở mặt nhai và rìa răng, gây loang lổ, mất men và làm răng dễ ê buốt hơn. Không chỉ vậy, nghiến răng còn ảnh hưởng đến khớp thái dương hàm, gây đau đầu, đau cơ và làm giảm chất lượng giấc ngủ.

Để hạn chế tình trạng này, người bệnh nên đeo máng chống nghiến vào ban đêm để giảm lực tác động và bảo vệ lớp men. Đồng thời, việc kiểm soát căng thẳng, lo âu cũng rất quan trọng để ngăn tình trạng nghiến răng tái diễn. Thực hiện đúng các biện pháp này sẽ giúp bảo vệ men răng và duy trì sức khỏe răng miệng tốt hơn.
Hút thuốc lá – sử dụng chất kích thích
Hút thuốc lá và sử dụng các chất kích thích như cà phê, rượu bia đều gây hại cho men răng. Thuốc lá làm giảm khả năng tái tạo khoáng chất của men, khiến răng khó phục hồi khi bị mòn hoặc tổn thương. Đồng thời, các chất kích thích còn thay đổi môi trường pH trong miệng, tạo điều kiện cho vi khuẩn phát triển, gây mảng bám, sâu răng, viêm nướu và làm răng ố vàng, mất thẩm mỹ.
Để bảo vệ men răng, người dùng nên bỏ thuốc lá và hạn chế chất kích thích. Kết hợp với uống đủ nước, vệ sinh răng miệng đúng cách và duy trì lối sống lành mạnh, men răng sẽ được tái khoáng tốt hơn, giúp răng khỏe, sáng và giảm nguy cơ gặp các vấn đề răng miệng do tác động bên ngoài.
Axit dạ dày trào ngược
Axit dạ dày trào ngược là nguyên nhân ít ngờ tới nhưng có thể làm mòn men răng rất nhanh. Khi axit từ dạ dày tràn lên miệng, lớp men phải tiếp xúc với nồng độ axit cao, khiến quá trình tái khoáng bị phá vỡ. Người bị trào ngược dạ dày thực quản hoặc ăn uống không hợp lý thường gặp tình trạng này, dẫn đến răng xuất hiện vệt trắng, xỉn màu và yếu hơn.
Để bảo vệ men răng, cần điều trị dứt điểm bệnh trào ngược và không để axit lưu lại lâu trong khoang miệng. Sau mỗi lần trào ngược, nên vệ sinh răng sạch sẽ và dùng các sản phẩm có fluoride hoặc nano hydroxyapatite để hỗ trợ tái khoáng, giúp men răng phục hồi và chống lại tác hại của axit.
Sâu răng hoặc cao răng quá nhiều
Sâu răng và cao răng là hai yếu tố gây hại trực tiếp cho men răng. Sâu răng hình thành khi vi khuẩn và mảng bám tích tụ lâu ngày, phá vỡ khoáng chất của men và tạo ra các lỗ nhỏ gây đau, ê buốt. Trong khi đó, cao răng là mảng bám đã cứng lại, chứa nhiều vi khuẩn, khiến men răng dễ bị mẻ, đổi màu hoặc xuất hiện các vệt trắng đục.

Để bảo vệ men răng, không chỉ cần vệ sinh răng miệng đúng cách mà còn nên trám răng khi cần, lấy cao răng định kỳ và duy trì chế độ ăn uống lành mạnh. Khám nha sĩ thường xuyên sẽ giúp phát hiện sớm các vấn đề, từ đó giữ cho men răng luôn khỏe và hạn chế tối đa nguy cơ sâu răng hay tổn thương răng.
Điều trị nha khoa sai kỹ thuật
Trong quá trình điều trị nha khoa, nếu bác sĩ thực hiện sai kỹ thuật hoặc dùng vật liệu trám – bọc không phù hợp, men răng có thể bị mòn, trầy xước hoặc tổn thương. Điều này dễ xảy ra trong các thủ thuật như trám răng, bọc sứ, chỉnh khớp cắn hay phục hình răng, khiến vi khuẩn dễ xâm nhập sâu vào mô răng.
Vì vậy, việc chọn nha khoa uy tín và bác sĩ có tay nghề cao là rất quan trọng để bảo vệ men răng. Người điều trị cũng nên nắm rõ quy trình, tuân thủ hướng dẫn của nha sĩ để hạn chế rủi ro, tránh những biến chứng như viêm tủy, mất răng hoặc phải làm các phục hình phức tạp về sau.
Dấu hiệu cho thấy men răng đang bị hủy hoại
Men răng có thể bị tổn thương âm thầm trong thời gian dài mà không có biểu hiện rõ ràng. Tuy nhiên, nhận biết sớm một số dấu hiệu sẽ giúp can thiệp kịp thời, tránh hậu quả nghiêm trọng. Khi xuất hiện bất thường, nên đến nha sĩ kiểm tra để xác định nguyên nhân và điều trị phù hợp. Chủ quan hoặc bỏ qua các dấu hiệu có thể khiến men răng hư hại nặng, ảnh hưởng thẩm mỹ và chức năng răng miệng.
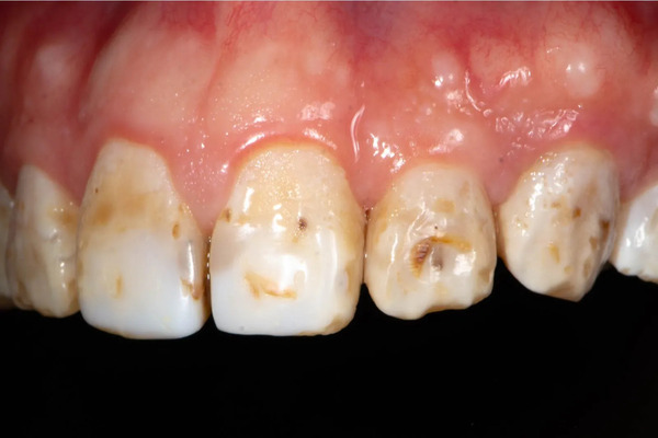
Răng đổi màu: vàng, nâu, xỉn, mất độ bóng
Thay đổi màu răng là dấu hiệu dễ thấy khi men răng bị tổn thương hoặc mòn mỏng. Răng có thể ngả vàng, nâu hoặc xỉn màu do mất khoáng, mảng bám tích tụ hoặc các vết ố lâu ngày. Khi men răng mất độ bóng tự nhiên, lớp ngà bên trong lộ ra nhiều hơn, làm răng trông kém thẩm mỹ và khiến người bệnh mất tự tin.

Tình trạng đổi màu này còn liên quan đến thói quen ăn uống, hút thuốc hoặc vệ sinh răng miệng chưa đúng cách. Việc điều trị sớm như tẩy trắng răng, lấy cao răng hoặc phục hình sứ có thể giúp cải thiện đáng kể, phục hồi lại sự sáng đẹp và bảo vệ răng tốt hơn trong thời gian dài.
Xuất hiện vệt trắng đục hoặc mảng mờ trên bề mặt răng
Các vết trắng đục hoặc mảng mờ trên răng thường xuất hiện khi men răng bắt đầu mất khoáng nhẹ. Lúc này, răng chưa bị sâu nhưng bề mặt trông kém tự nhiên và không đều. Đây là dấu hiệu cảnh báo sớm cho thấy men răng đang yếu dần và cần được chú ý để tránh tổn thương nặng hơn.
Nếu không xử lý sớm, các vết trắng có thể lan rộng và phát triển thành lỗ sâu. Giải pháp phòng ngừa tốt nhất là dùng sản phẩm chứa fluoride để tái khoáng, điều chỉnh chế độ ăn uống và kiểm tra răng định kỳ. Khi nha sĩ khuyên bổ sung khoáng chất, người bệnh nên tuân thủ để bảo vệ lớp men tự nhiên lâu dài.
Răng dễ bị sâu hơn bình thường
Sâu răng xảy ra khi men răng yếu đi và không còn đủ khả năng chống lại vi khuẩn và axit trong miệng. Khi lớp bảo vệ này suy giảm, vi khuẩn dễ dàng tấn công và phá hủy cấu trúc răng. Thói quen ăn uống nhiều đường, vệ sinh răng không đúng cách cũng làm mảng bám tích tụ, khiến nguy cơ sâu răng tăng cao. Nếu không xử lý sớm, sâu răng có thể gây đau nhức, viêm nướu và thậm chí phải nhổ bỏ răng.
Để phòng ngừa, cần giữ cho men răng luôn khỏe bằng cách dùng kem chứa fluoride hoặc nano hydroxyapatite, kết hợp vệ sinh đúng cách và khám nha khoa định kỳ. Phát hiện và điều trị sớm các vết sâu nhỏ sẽ giúp bảo vệ răng tốt hơn và giữ nụ cười luôn tươi sáng.
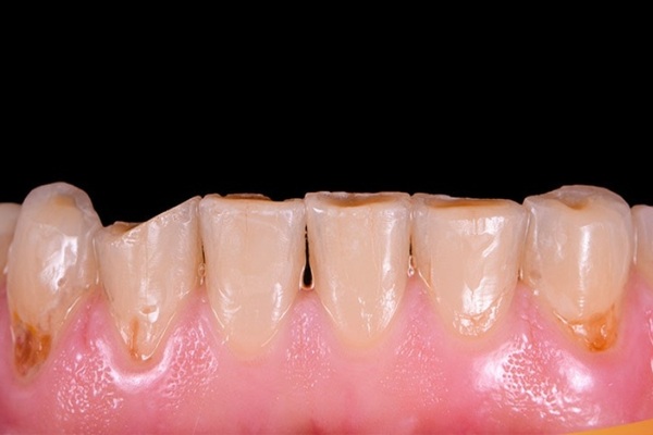
Bề mặt răng mòn, lộ lớp ngà vàng
Khi men răng bị mòn đi, lớp ngà màu vàng bên trong sẽ lộ ra, khiến răng trông xỉn màu, thô và kém mịn hơn. Vì ngà mềm và nhạy cảm hơn men, răng dễ bị kích thích khi gặp đồ ăn nóng, lạnh hoặc có axit. Tình trạng này không chỉ ảnh hưởng đến thẩm mỹ, đặc biệt ở răng cửa, mà còn gây ê buốt khi ăn uống.

Để cải thiện, bạn cần chăm sóc răng đúng cách, tránh các tác nhân gây mòn men và dùng các sản phẩm giúp bảo vệ men răng. Trong trường hợp cần thiết, trám hoặc bọc sứ sẽ giúp phục hồi bề mặt răng và giữ cho hàm răng luôn khỏe đẹp. Các phương pháp này hỗ trợ bảo vệ ngà răng, giúp duy trì sức khỏe răng miệng lâu dài.
Răng trở nên nhạy cảm khi chạm vào
Khi men răng bị mòn hoặc tổn thương, răng sẽ trở nên nhạy cảm hơn với nhiệt độ nóng – lạnh, thức ăn chua hoặc thậm chí gió lạnh. Người bệnh thường cảm thấy ê buốt, đau nhói như bị châm khi ăn uống. Điều này xảy ra vì lớp men không còn bảo vệ tốt, khiến lớp ngà và các ống dẫn truyền cảm giác bên trong bị lộ ra.
Để giảm tình trạng này, bạn có thể dùng kem đánh răng chống ê buốt hoặc các sản phẩm chứa nano hydroxyapatite giúp làm dịu và tái khoáng men răng. Nếu triệu chứng kéo dài hoặc ngày càng nặng, cần đến nha sĩ để kiểm tra và có phương án điều trị phù hợp, giúp bảo vệ răng lâu dài.
Răng dễ sứt mẻ, nứt vỡ
Khi men răng bị mòn, yếu hoặc tổn thương, răng dễ bị sứt mẻ và nứt vỡ, nhất là khi ăn nhai mạnh hoặc có va đập. Những vấn đề này có thể gây đau, ảnh hưởng thẩm mỹ và thậm chí dẫn đến mất răng. Các thói quen xấu như ăn đồ quá cứng, dùng răng mở nắp chai hay tai nạn bất ngờ đều dễ gây hại nếu lớp men không còn đủ sức bảo vệ.
Để hạn chế nguy cơ này, bạn cần chăm sóc răng đúng cách, bảo vệ men răng và tránh các tác động mạnh lên răng. Khi cần, có thể sử dụng biện pháp trám, phủ hoặc phục hình sứ để tăng độ bền và khả năng chịu lực. Quan trọng nhất là tránh những hoạt động dễ làm tổn thương răng để giữ răng chắc khỏe lâu dài.
Men răng bị bào mòn có nguy hiểm không?
Men răng bị mòn không chỉ gây mất thẩm mỹ mà còn đe dọa trực tiếp đến sức khỏe toàn diện của răng. Khi lớp men mòn dần, các mô bên trong dễ bị tổn thương, dẫn đến viêm tủy, mất răng hoặc hình thành các bệnh lý dẫn tới tiêu xương hàm. Đây là tình trạng nghiêm trọng cần được điều trị kịp thời để ngăn chặn các hậu quả xấu.
Ngoài ra, men răng yếu kém còn làm giảm khả năng nhai nghiền, tiêu hóa thức ăn kém, qua đó ảnh hưởng đến hệ tiêu hóa và sức khỏe chung. Nguy hiểm hơn, lớp men mòn đi còn khiến người bệnh cảm thấy đau đớn, khó khăn khi giao tiếp, ảnh hưởng đến tâm lý và tự tin trong cuộc sống hàng ngày.
Để bảo vệ răng khỏi nguy cơ này, việc duy trì chế độ chăm sóc răng miệng đúng cách, kiểm tra định kỳ và điều trị sớm các vấn đề về men răng là vô cùng cần thiết. Không nên chủ quan khi phát hiện dấu hiệu bất thường, vì đó chính là cảnh báo sớm để hành động kịp thời, bảo vệ nụ cười của bạn lâu dài.
Cách bảo vệ và phục hồi men răng
Việc duy trì lớp men răng khỏe mạnh và phục hồi khi gặp tổn thương là điều tối quan trọng để bảo vệ sức khỏe răng miệng. Ngay từ khi còn trẻ, chúng ta nên hình thành thói quen phòng ngừa, kết hợp các phương pháp hiện đại để giữ gìn lớp men tự nhiên lâu dài.
Tái khoáng men răng bằng Fluoride
Fluoride là khoáng chất tự nhiên giúp tái khoáng và làm men răng cứng chắc hơn, nhờ đó giảm mòn men và ngừa sâu răng. Bạn có thể bổ sung fluoride qua kem đánh răng, nước súc miệng hoặc các phương pháp điều trị tại nha khoa để giữ pH ổn định và bảo vệ men răng tốt hơn.

Khi dùng đúng cách, fluoride thấm vào men răng, giúp giảm ê buốt, hạn chế lỗ sâu mới và phù hợp cho cả trẻ em lẫn người lớn. Với người có nguy cơ sâu răng cao, nha sĩ có thể chỉ định fluoride liều mạnh để tăng hiệu quả. Duy trì thói quen này đều đặn sẽ mang lại lợi ích lâu dài cho sức khỏe răng miệng.
Dùng kem chống ê buốt – kem chứa nano hydroxyapatite
Các loại kem đánh răng chứa nano hydroxyapatite hoặc kem chống ê buốt có thể tạo lớp bảo vệ và bổ sung khoáng chất cho men răng. Nhờ đó, răng giảm nhạy cảm, men răng được tái khoáng và trở nên cứng chắc hơn, giúp giữ vẻ tự nhiên của răng.
Nano hydroxyapatite hoạt động như một lớp men nhân tạo, bám vào mô răng để phục hồi các vết rạn và hạn chế bào mòn. Sử dụng đều đặn và đúng cách mang lại cảm giác thoải mái hơn khi ăn uống. Việc lựa chọn sản phẩm phù hợp kết hợp vệ sinh răng miệng đúng kỹ thuật sẽ hỗ trợ bảo vệ men răng và giảm ê buốt hiệu quả.
Trám bít hố rãnh để ngăn sâu răng
Trám hố rãnh là phương pháp nha khoa giúp ngăn sâu răng ở những vị trí khó làm sạch, đặc biệt là răng hàm và răng cối. Khi trám, vật liệu như composite, amalgam hoặc sứ sẽ tạo một lớp phủ chắc chắn, bảo vệ men răng khỏi vi khuẩn và hỗ trợ quá trình tái khoáng tự nhiên.
Thực hiện trám đúng kỹ thuật và kiểm tra răng định kỳ giúp phát hiện sớm vết sâu nhỏ để điều trị kịp thời, tiết kiệm chi phí và tránh biến chứng. Đây là biện pháp phòng ngừa hiệu quả, giúp men răng luôn bền chắc và duy trì sức khỏe răng miệng lâu dài.
Trám răng thẩm mỹ khi mòn men
Khi men răng bị mòn hoặc hư hại nặng, trám răng thẩm mỹ là giải pháp giúp khôi phục hình dạng, màu sắc và chức năng ăn nhai. Vật liệu như composite hoặc sứ có độ bền cao, phù hợp với từng tình trạng răng, đồng thời mang lại hiệu quả thẩm mỹ tự nhiên.

Việc trám răng còn giúp ngăn vi khuẩn xâm nhập sâu vào mô răng và tạo bề mặt răng sáng đẹp như thật. Quy trình nhanh, ít đau và an toàn, nhưng cần được thực hiện tại nha khoa uy tín với bác sĩ giỏi và vật liệu chất lượng để đảm bảo kết quả bền đẹp và bảo vệ men răng tối ưu.
Bọc răng sứ trong trường hợp mất men nhiều
Khi men răng bị mất quá nhiều và không còn khả năng bảo vệ, các phương pháp trám hoặc phục hình nhỏ sẽ không còn hiệu quả. Lúc này, bọc răng sứ là lựa chọn tối ưu vì giúp khôi phục hình dáng, màu sắc răng và bảo vệ lớp ngà bên trong khỏi các tác động gây hại.
Răng sứ cao cấp có độ bền tốt, chống mòn, chống bám màu và giữ được vẻ bóng đẹp lâu dài. Để đạt kết quả bền vững, người dùng nên chọn nha khoa uy tín với bác sĩ nhiều kinh nghiệm, đảm bảo kỹ thuật đúng và vật liệu chất lượng. Điều này giúp duy trì khả năng ăn nhai, kéo dài tuổi thọ răng sứ và mang lại nụ cười tự tin, khỏe đẹp.
Đeo máng chống nghiến để bảo vệ men răng ban đêm
Máng chống nghiến là một dụng cụ nha khoa giúp giảm lực tác động lên men răng khi người bệnh nghiến răng lúc ngủ. Nhờ được làm từ nhựa cao cấp, mềm và ôm sát cung hàm, máng giúp tạo cảm giác thoải mái khi đeo và bảo vệ răng khỏi tình trạng mòn men, sứt mẻ hoặc nứt vỡ.

Bên cạnh việc bảo vệ men răng, máng chống nghiến còn hỗ trợ giảm các vấn đề ở khớp thái dương hàm, hạn chế đau đầu, căng cơ mặt hay ù tai. Khi sử dụng theo hướng dẫn của nha sĩ, đây được xem là giải pháp toàn diện giúp duy trì sức khỏe răng miệng và cải thiện chất lượng cuộc sống.
Điều chỉnh chế độ ăn: giảm chua – ngọt – gas
Chế độ ăn uống ảnh hưởng trực tiếp đến sức khỏe men răng. Việc hạn chế đồ chua, thực phẩm nhiều axit, đường và nước có gas sẽ giúp giảm mòn men và giữ độ khoáng ổn định cho răng. Ngược lại, bổ sung canxi, vitamin D, vitamin C và Omega-3 giúp tăng khả năng tái khoáng và bảo vệ men răng trước các tác nhân gây hại.
Ngoài ra, duy trì thói quen ăn uống điều độ và tránh các món gây kích thích cũng rất quan trọng. Sau khi dùng thực phẩm có axit, bạn nên súc miệng hoặc chải răng nhẹ bằng bàn chải mềm để loại bỏ lượng axit còn lại và giữ pH trong miệng cân bằng. Điều này giúp hạn chế mất khoáng – nguyên nhân chính khiến men răng yếu và tổn thương.
Khi nào bạn cần đến nha sĩ?
Việc kiểm tra định kỳ và tư vấn nha sĩ kịp thời đóng vai trò then chốt trong việc bảo vệ men răng khỏi các tổn thương ngày càng nghiêm trọng. Người có các dấu hiệu bất thường cần gặp nha sĩ để có chẩn đoán chính xác, xây dựng phác đồ điều trị phù hợp, từ đó kéo dài tuổi thọ cho lớp men tự nhiên của răng.
Các chuyên gia khuyến cáo, ít nhất nên kiểm tra răng miệng 6 tháng/lần để phát hiện sớm các vấn đề về men răng hoặc các bệnh lý liên quan. Trong các trường hợp như ê buốt liên tục, răng đổi màu rõ rệt, xuất hiện vệt trắng đục hoặc cảm giác đau răng không rõ nguyên nhân, việc đến nha sĩ càng cần thiết để được khám và xử lý kịp thời.
Ngoài ra, các gia đình có trẻ nhỏ hoặc người cao tuổi cần đặc biệt chú ý, vì răng của họ dễ bị mòn hoặc tổn thương hơn thông thường. Việc định kỳ kiểm tra, tư vấn từ nha sĩ sẽ giúp phát hiện sớm những dấu hiệu cảnh báo, từ đó chủ động ngăn chặn các hậu quả xấu, bảo vệ sức khỏe răng miệng tối ưu.
Điều trị men răng yếu – mòn men tại Nha Khoa Sài Gòn Smile
Nha khoa Saigon Smile tự hào mang đến các dịch vụ điều trị men răng yếu, mòn men hiệu quả, đảm bảo an toàn và mang lại hàm răng khỏe mạnh, thẩm mỹ cao. Với đội ngũ bác sĩ nhiều kinh nghiệm, trang thiết bị hiện đại, chúng tôi cam kết phục vụ bệnh nhân các biện pháp tối ưu nhất trong việc phục hồi lớp men răng.

Các phương pháp như tái khoáng bằng fluoride, điều trị bằng nano hydroxyapatite, trám bít, phục hình sứ, hoặc bọc răng sứ đều được thực hiện theo tiêu chuẩn quốc tế, giúp tối đa hóa khả năng bảo vệ men răng tự nhiên của khách hàng. Đặc biệt, chúng tôi cung cấp dịch vụ tư vấn chế độ chăm sóc hợp lý, giúp duy trì kết quả lâu dài.
Chúng tôi hiểu rằng, mỗi người có tình trạng răng miệng riêng biệt nên luôn đưa ra các phương án cá nhân hóa, phù hợp nhất với nhu cầu và điều kiện của từng khách hàng. Hãy đến với Nha Khoa Sài Gòn Smile để được chăm sóc tận tình, mang lại nụ cười rạng rỡ, sức khỏe toàn diện cho bạn!
Cách chăm sóc để men răng khỏe mạnh lâu dài
Chăm sóc men răng đúng cách không chỉ giúp duy trì trạng thái tốt mà còn ngăn ngừa các tổn thương, mòn mỏng, sâu răng.
Men răng là lớp bảo vệ quan trọng của răng, đóng vai trò thiết yếu trong việc duy trì sức khỏe và thẩm mỹ nụ cười. Việc chăm sóc đúng cách, duy trì chế độ ăn hợp lý và khám nha khoa định kỳ sẽ giúp bảo vệ men răng trước các tác nhân gây hư hại. Hiểu rõ tầm quan trọng của men răng và chủ động phòng ngừa sẽ giúp bạn có hàm răng chắc khỏe, nụ cười rạng rỡ và bền lâu.

