Khớp cắn chéo là một trong những vấn đề về răng miệng phổ biến mà nhiều người gặp phải. Đây là tình trạng khi các răng hàm trên hoặc dưới không có vị trí phù hợp khi cắn, gây ảnh hưởng đến cả chức năng ăn nhai, thẩm mỹ khuôn mặt lẫn sức khỏe toàn diện của răng miệng. Trong bài viết này, chúng ta sẽ đi sâu vào khái niệm, các loại, nguyên nhân, hậu quả, phương pháp điều trị và cách phòng tránh khớp cắn chéo để giúp bạn hiểu rõ về vấn đề này và có hướng xử lý phù hợp.
Khớp cắn chéo là gì?
Khái niệm khớp cắn chéo trong nha khoa
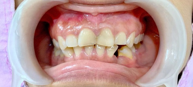
Khớp cắn chéo là tình trạng các răng cửa hoặc răng hàm không căn chỉnh đúng vị trí khi cắn chặt hai hàm. Thay vì các răng hàm trên phủ lên các răng hàm dưới một cách phù hợp, chúng lại bị lệch hoặc chéo sang bên trong hoặc bên ngoài, gây mất thẩm mỹ, khó khăn trong việc ăn nhai và các vấn đề khác về sức khỏe răng miệng.

Dấu hiệu nhận biết khớp cắn chéo sớm
Bạn có thể nhận biết sớm trạng thái này qua các dấu hiệu như:
- Răng bị lệch sang một bên hoặc phía trong phía ngoài so với răng đối diện
- Khó khăn khi cắn hoặc nhai thức ăn
- Lệch mặt hoặc biến dạng khuôn mặt
- Răng bị mòn bất thường hoặc cảm giác đau khi nhai
- Thường xuyên gặp vấn đề về viêm lợi hoặc sâu răng quanh vùng lệch khớp cắn
Các loại khớp cắn chéo thường gặp
Khớp cắn chéo răng trước
Đây là tình trạng răng cửa trên hoặc dưới bị lệch hoặc chéo sang phía trong khi cắn. Đặc trưng của loại này là ảnh hưởng lớn đến thẩm mỹ và khả năng phát âm.

Khớp cắn chéo răng sau
Răng hàm trên hoặc dưới không phát triển đúng cách, gây lệch phía trong hoặc phía ngoài, thường liên quan đến xương hàm hoặc do mọc răng sai vị trí.
Khớp cắn chéo một bên
Chỉ gây lệch hoặc chéo khớp cắn ở một bên của hàm, thường do răng mọc sai hoặc sự phát triển không đều của hàm.
Khớp cắn chéo hai bên
Lệch hai bên của hàm, ảnh hưởng toàn diện đến chức năng nhai, phát âm và thẩm mỹ.
Khớp cắn chéo do răng hay do xương hàm?
- Khớp cắn chéo do răng là tình trạng răng mọc sai vị trí, dễ chỉnh hơn bằng các phương pháp nha khoa.
- Khớp cắn chéo do xương hàm liên quan đến sự phát triển lệch của xương hàm, cần can thiệp phẫu thuật hoặc chỉnh hình xương.
Nguyên nhân gây khớp cắn chéo

Nguyên nhân do di truyền
Di truyền đóng vai trò chính trong việc hình thành cấu trúc xương hàm và răng, dẫn đến các lệch lạc bẩm sinh.
Nguyên nhân do xương hàm phát triển lệch
Phát triển không đều của xương hàm trong quá trình lớn lên khiến khớp cắn bị lệch lệch.
Nguyên nhân do răng mọc sai vị trí
Răng mọc không đúng theo hướng, gây lệch khớp cắn, thường gặp ở trẻ nhỏ hoặc người trưởng thành.
Thói quen xấu từ nhỏ gây khớp cắn chéo
Các thói quen như mút tay, đẩy lưỡi, ngậm núm vú cao su lâu dài có thể ảnh hưởng đến sự phát triển của răng và hàm.
Khớp cắn chéo hình thành từ khi nào?
Thường bắt đầu hình thành từ khi trẻ còn nhỏ, khoảng từ 3-6 tuổi khi các răng sữa bắt đầu thay răng và phát triển xương hàm.
Khớp cắn chéo có nguy hiểm không?
Ảnh hưởng đến chức năng ăn nhai
Khớp cắn chéo gây khó khăn trong việc nghiền nát thức ăn, làm giảm khả năng tiêu hóa, ảnh hưởng đến dinh dưỡng.

Tác động đến thẩm mỹ khuôn mặt
Biểu hiện rõ rệt qua khuôn mặt lệch, cằm không cân đối, ảnh hưởng đến tự tin.
Gây mòn răng, đau khớp thái dương hàm
Lệch khớp cắn làm tăng áp lực lên các răng và khớp thái dương hàm, gây đau và mòn răng.
Ảnh hưởng lâu dài nếu không điều trị sớm
Có thể dẫn đến các vấn đề nghiêm trọng hơn như viêm khớp hàm, mất răng, và khó khăn trong sinh hoạt hằng ngày.
Tác hại của khớp cắn chéo đối với trẻ em và người lớn
Tác hại của khớp cắn chéo ở trẻ em
Trẻ dễ bị chậm phát triển cấu trúc xương mặt, gặp khó khăn trong phát âm, ăn uống và dễ mắc các bệnh về răng miệng.
Tác hại của khớp cắn chéo ở người trưởng thành
Gây đau đớn, mất thẩm mỹ, ảnh hưởng tới chức năng nhai và phát âm, khó khăn trong chỉnh nha hơn so với trẻ nhỏ.
Vì sao khớp cắn chéo càng để lâu càng khó điều trị?
Thời gian để xương hàm và răng phát triển lệch sẽ làm tăng độ phức tạp, khó khăn trong việc chỉnh sửa, thậm chí phải phẫu thuật xương hàm, đòi hỏi chi phí và thời gian lớn hơn.
Các phương pháp điều trị khớp cắn chéo hiện nay
Niềng răng điều trị khớp cắn chéo
Niềng răng là phương pháp phổ biến, giúp điều chỉnh răng mọc sai vị trí bằng các khí cụ chỉnh nha, phù hợp với các trường hợp nhẹ đến trung bình.

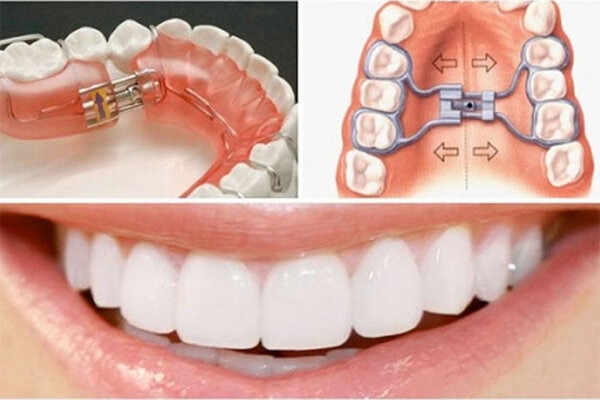
Nong hàm trong điều trị khớp cắn chéo
Kết hợp giữa niềng và nong hàm để mở rộng xương hàm, phù hợp cho trẻ nhỏ hoặc dạng nhẹ.
Kết hợp facemask hoặc khí cụ chỉnh nha khác
Dùng để thúc đẩy sự phát triển của xương hàm hoặc kéo dài răng trong các trường hợp lệch nhẹ.
Phẫu thuật hàm trong trường hợp khớp cắn chéo nặng
Thường áp dụng cho các ca lệch nặng, do xương hàm phát triển lệch lớn, yêu cầu phẫu thuật kết hợp chỉnh nha.
Điều trị khớp cắn chéo mất bao lâu?
Thời gian điều trị khớp cắn chéo ở trẻ em
Thông thường từ 6-12 tháng, tùy thuộc vào mức độ lệch và độ tuổi của trẻ.
Thời gian điều trị khớp cắn chéo ở người lớn
Thường kéo dài từ 12-24 tháng do xương đã ổn định, cần sự can thiệp phẫu thuật hoặc kết hợp các phương pháp khác.
Các yếu tố ảnh hưởng đến thời gian điều trị
Độ nặng của lệch, phương pháp điều trị, tình trạng sức khỏe răng miệng và ý thức hợp tác của người bệnh.
Chi phí điều trị khớp cắn chéo là bao nhiêu?
Chi phí niềng răng điều trị khớp cắn chéo
Khoảng từ 20-60 triệu đồng cho các gói niềng răng cơ bản, tùy vào loại mắc cài và địa điểm nha khoa.
Chi phí nong hàm hoặc khí cụ chỉnh nha
Khoảng 10-20 triệu đồng, phù hợp với dạng nhẹ và trẻ nhỏ.
Yếu tố ảnh hưởng đến chi phí điều trị
Loại khí cụ, phương pháp điều trị, độ phức tạp của ca bệnh, thời gian điều trị và chất lượng dịch vụ.
Có thể phòng ngừa khớp cắn chéo không?
Cách phòng ngừa khớp cắn chéo ở trẻ em
Chăm sóc răng miệng, hạn chế các thói quen xấu, kiểm tra định kỳ, khuyên dùng các khí cụ phòng ngừa sớm.

-
Mút ngón tay và ngậm núm vú giả: Trẻ mút tay sau 3 tuổi có nguy cơ cao làm hẹp hàm trên, dẫn đến cắn chéo răng sau. Hãy giúp trẻ bỏ thói quen này sớm.
-
Thở bằng miệng: Thường do trẻ bị VA, amidan hoặc dị ứng. Thở miệng khiến lưỡi hạ thấp, không ép lên vòm miệng để nong rộng hàm trên, dẫn đến hàm trên bị thu hẹp.
-
Đẩy lưỡi hoặc cắn môi: Các thói quen này tạo lực không tự nhiên lên răng, khiến răng mọc sai vị trí.
Thói quen tốt giúp hạn chế sai khớp cắn
Ngậm núm vú phù hợp, không mút tay hoặc đẩy lưỡi, hạn chế dùng các thiết bị gây biến dạng hàm.
Tầm quan trọng của việc khám răng định kỳ
Phát hiện sớm các vấn đề về răng mọc sai, ngăn chặn các lệch lạc phát triển nặng hơn về sau.
Điều trị khớp cắn chéo tại nha khoa Sài Gòn Phong Phú
Nha khoa Sài Gòn Phong Phú cung cấp dịch vụ chỉnh nha toàn diện, từ kiểm tra, chẩn đoán chính xác đến điều trị hiệu quả các dạng khớp cắn chéo với công nghệ hiện đại và bác sĩ tay nghề cao, cam kết mang lại nụ cười tự tin cho khách hàng.
Tổng kết
Khớp cắn chéo không chỉ ảnh hưởng về mặt thẩm mỹ mà còn gây ra nhiều hệ lụy về chức năng ăn nhai và sức khỏe tổng thể. Hiểu rõ về các loại, nguyên nhân, hậu quả và các phương pháp điều trị giúp mỗi người có thể chủ động trong chăm sóc và phòng ngừa. Việc phát hiện sớm và điều trị đúng cách sẽ giúp hạn chế các biến chứng lâu dài, nâng cao chất lượng cuộc sống. Đừng ngần ngại tìm kiếm sự tư vấn từ các chuyên gia nha khoa để có giải pháp phù hợp nhất.