Có nên nhổ răng khôn khi đang bị đau? Đây là câu hỏi nhiều người thắc mắc khi răng khôn gây đau nhức, sưng nướu và khó chịu. Tuy nhiên, việc nhổ răng trong giai đoạn viêm nhiễm cấp tính có thể gây nguy hiểm, làm tăng nguy cơ biến chứng. Thay vì vội vàng nhổ, bạn nên kiểm soát viêm bằng thuốc kháng sinh, giảm đau trước khi tiến hành nhổ răng. Tham khảo ý kiến nha sĩ để xác định thời điểm thích hợp giúp đảm bảo an toàn và quá trình hồi phục tốt hơn.
Hiểu về răng khôn và các vấn đề về đau nhức
Răng khôn, hay răng hàm lớn thứ ba, là nhóm răng cuối cùng mọc trong khoang miệng, thường xuất hiện ở độ tuổi từ 17-25, khi con người đã trưởng thành. Thông thường, mỗi người sẽ có 4 răng khôn, mỗi góc hàm một chiếc, tuy nhiên không phải ai cũng có đủ hoặc có răng khôn.

Sở dĩ răng khôn thường gây ra nhiều vấn đề hơn so với các loại răng khác bởi những lý do sau:
- Khoang miệng không đủ rộng: Theo quá trình tiến hóa, hàm người hiện đại nhỏ hơn so với tổ tiên, dẫn đến thiếu không gian cho răng khôn mọc bình thường.
- Mọc vào giai đoạn muộn: Khi răng khôn mọc, các răng khác đã ổn định vị trí, khiến răng khôn phải “tranh giành” không gian, dẫn đến mọc lệch, mọc ngầm hoặc mọc ngang.
- Khó tiếp cận để vệ sinh: Vị trí xa trong miệng khiến việc vệ sinh răng khôn trở nên khó khăn, tạo điều kiện cho vi khuẩn phát triển.
Các dấu hiệu đau nhức phổ biến khi răng khôn gặp vấn đề bao gồm:
- Đau nhức dữ dội tại vùng răng khôn, có thể lan ra hàm, tai hoặc cổ
- Sưng, đỏ và nhạy cảm ở nướu xung quanh răng khôn
- Khó mở miệng rộng hoặc đau khi nhai
- Hơi thở có mùi hôi và vị khó chịu trong miệng
- Sưng hạch bạch huyết ở cổ
- Sốt nhẹ trong trường hợp nhiễm trùng nặng
Răng khôn mọc bất thường không chỉ gây đau nhức mà còn có thể ảnh hưởng nghiêm trọng đến sức khỏe răng miệng tổng thể. Nó có thể gây xô lệch các răng khác, tạo áp lực lên răng bên cạnh dẫn đến sâu răng, hoặc tạo “túi nướu” là nơi vi khuẩn tích tụ gây viêm nướu và viêm nha chu.
Nguyên nhân gây đau nhức khi mọc răng khôn
Đau răng khôn không phải tự nhiên xuất hiện mà thường bắt nguồn từ nhiều nguyên nhân phức tạp. Hiểu rõ cơ chế gây đau sẽ giúp bạn có cái nhìn tổng quan về tình trạng của mình và lý do tại sao việc điều trị cần phải tuân theo quy trình khoa học.
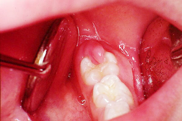
Viêm nướu quanh thân răng (pericoronitis)
Đây là nguyên nhân phổ biến nhất gây đau răng khôn, đặc biệt khi răng đang trong quá trình mọc:

- Cơ chế hình thành: Khi răng khôn mọc một phần, phần nướu còn phủ lên răng tạo thành một “nắp nướu” (operculum). Thức ăn và vi khuẩn tích tụ dưới nắp nướu này, không thể vệ sinh được.
- Quá trình viêm: Vi khuẩn sinh sôi nảy nở gây viêm nướu, tạo ra các chất trung gian gây viêm kích thích dây thần kinh, dẫn đến đau nhức.
- Mức độ nghiêm trọng: Viêm nướu quanh thân răng có thể từ nhẹ (chỉ đỏ và đau nhẹ) đến nặng (sưng lớn, mủ, khó nuốt, khó mở miệng).
Răng khôn mọc lệch/ngầm và áp lực gây ra
Khi răng khôn không có đủ không gian để mọc bình thường, nó sẽ:
- Mọc ngang vào răng bên cạnh: Tạo áp lực trực tiếp lên chân răng số 7, gây đau nhức và có thể làm tiêu chân răng bên cạnh.
- Mọc ngầm dưới xương: Răng mọc ngầm vẫn tiếp tục “cố gắng” di chuyển, tạo áp lực lên xương hàm và dây thần kinh, gây đau âm ỉ và liên tục.
- Mọc một phần: Chỉ một phần của răng khôn nhô lên khỏi nướu, phần còn lại bị “kẹt” dưới xương hoặc nướu, tạo điều kiện cho vi khuẩn xâm nhập.
Nhiễm trùng và hình thành áp xe
Khi tình trạng viêm nướu không được điều trị kịp thời, vi khuẩn có thể xâm nhập sâu hơn:
- Lan tỏa vào mô xung quanh: Vi khuẩn từ túi nướu lan vào các khoang mô mềm quanh răng.
- Quá trình hình thành áp xe: Cơ thể phản ứng bằng cách tạo ra tế bào bạch cầu chống lại vi khuẩn. Kết quả là sự tích tụ của tế bào chết, bạch cầu và vi khuẩn tạo thành ổ mủ (áp xe).
- Áp xe quanh răng khôn: Có thể lan rộng vào các khoang sâu của mặt và cổ, gây ra các biến chứng nghiêm trọng như áp xe khoang cơ cắn, áp xe dưới hàm, thậm chí nhiễm trùng huyết.
Tổn thương răng bên cạnh
Răng khôn mọc lệch có thể gây ra những tổn thương nghiêm trọng cho răng số 7 bên cạnh:
- Cơ chế tiêu chân răng: Áp lực từ răng khôn mọc lệch có thể kích hoạt các tế bào tiêu xương (osteoclast) hoạt động quá mức, dẫn đến tiêu chân răng bên cạnh.
- Hình thành túi nha chu: Khoảng trống bất thường giữa răng khôn và răng kế bên tạo điều kiện cho vi khuẩn tích tụ, dẫn đến viêm nha chu và mất xương ổ răng.
- Sâu răng vùng tiếp xúc: Vị trí tiếp xúc bất thường giữa răng khôn và răng số 7 khó vệ sinh, tạo môi trường thuận lợi cho sâu răng phát triển.
Có nên nhổ răng khôn khi đang bị đau?
Khi đau răng khôn dữ dội, nhiều người nghĩ rằng nhổ bỏ ngay lập tức là giải pháp tốt nhất để chấm dứt cơn đau. Tuy nhiên, các chuyên gia nha khoa thường không khuyến nghị nhổ răng trong tình trạng viêm nhiễm cấp tính vì những lý do sau:
Nguy cơ viêm xương hàm sau nhổ răng
- Lây lan vi khuẩn vào xương: Khi nhổ răng trong tình trạng viêm nhiễm, vi khuẩn có thể dễ dàng xâm nhập vào xương hàm qua ổ răng sau nhổ.
- Giảm khả năng liền thương: Mô viêm nhiễm có tưới máu kém và đáp ứng miễn dịch bất thường, làm chậm quá trình lành thương.
- Viêm xương khô (dry socket): Nguy cơ hình thành viêm xương khô tăng gấp 3-4 lần khi nhổ răng trong tình trạng viêm nhiễm, gây đau dữ dội kéo dài nhiều ngày sau nhổ răng.
Khó khăn trong gây tê khi mô đang viêm
- Môi trường axit: Tình trạng viêm tạo ra môi trường axit làm giảm hiệu quả của thuốc tê.
- Tăng lưu lượng máu tại chỗ: Mô viêm có lưu lượng máu tăng, làm thuốc tê bị đào thải nhanh hơn.
- Thay đổi sinh lý dây thần kinh: Dây thần kinh trong tình trạng viêm nhạy cảm hơn với kích thích và khó bị ức chế bởi thuốc tê.
- Đau dữ dội trong quá trình nhổ: Việc không đạt hiệu quả gây tê tối ưu có thể dẫn đến đau đớn trong quá trình nhổ răng và tạo ra sang chấn tâm lý.

Biến chứng hậu phẫu có thể xảy ra
- Nhiễm trùng lan rộng: Nhiễm trùng có thể lan từ ổ răng vào khoang mặt sâu như dưới hàm, dưới lưỡi, hoặc cơ cắn.
- Chảy máu kéo dài: Mô viêm thường chảy máu nhiều hơn và khó cầm máu sau phẫu thuật.
- Phù nề nghiêm trọng: Phản ứng viêm sau nhổ răng có thể trầm trọng hơn, gây phù nề lớn.
- Hạn chế mở miệng kéo dài: Co thắt cơ do viêm nhiễm có thể kéo dài nhiều ngày hoặc tuần sau phẫu thuật.
Ảnh hưởng đến hệ thống thần kinh và sức khỏe toàn thân
- Tăng nguy cơ tổn thương thần kinh: Trong tình trạng viêm, các cấu trúc giải phẫu khó nhận biết rõ ràng, tăng nguy cơ tổn thương dây thần kinh răng dưới.
- Lan truyền vi khuẩn vào máu: Nhổ răng trong tình trạng viêm nhiễm làm tăng nguy cơ nhiễm khuẩn huyết, đặc biệt nguy hiểm cho người có van tim nhân tạo hoặc suy giảm miễn dịch.
- Suy giảm sức đề kháng: Cơ thể đang tập trung chống lại nhiễm trùng tại chỗ, việc nhổ răng tạo thêm gánh nặng cho hệ miễn dịch.
Quy trình điều trị trước khi nhổ răng khôn
Để đảm bảo an toàn và giảm thiểu biến chứng, việc kiểm soát đau và viêm trước khi nhổ răng khôn là bước quan trọng không thể bỏ qua. Dưới đây là quy trình điều trị chuẩn bị trước khi nhổ răng khôn:
1. Kiểm soát đau và viêm bằng kháng sinh
- Chọn kháng sinh phù hợp: Bác sĩ thường kê đơn kháng sinh phổ rộng hoặc kết hợp để tiêu diệt cả vi khuẩn hiếu khí và kỵ khí trong khoang miệng.
- Amoxicillin (500mg, uống 3 lần/ngày) là lựa chọn hàng đầu
- Kết hợp với Metronidazole (400mg, uống 3 lần/ngày) trong trường hợp viêm nhiễm nặng
- Clindamycin (300mg, uống 4 lần/ngày) cho người dị ứng với Penicillin
- Thời gian sử dụng: Thông thường kéo dài 5-7 ngày trước khi tiến hành nhổ răng.
- Điều chỉnh liều lượng: Tùy thuộc vào mức độ viêm nhiễm và đáp ứng của bệnh nhân, bác sĩ có thể điều chỉnh liều lượng hoặc kéo dài thời gian sử dụng.
2. Kiểm soát đau bằng thuốc giảm đau
- Thuốc kháng viêm không steroid (NSAID):
- Ibuprofen (400-600mg mỗi 6-8 giờ) giúp giảm đau và chống viêm hiệu quả
- Naproxen (500mg mỗi 12 giờ) cho tác dụng kéo dài hơn
- Paracetamol: Trong trường hợp không dung nạp được NSAID
- Kết hợp giảm đau: Trong những trường hợp đau dữ dội, có thể kết hợp Paracetamol và NSAID theo chỉ định của bác sĩ

3. Nạo sạch mô viêm quanh răng khôn
- Làm sạch túi nướu:
- Bơm rửa túi nướu bằng dung dịch nước muối sinh lý hoặc nước oxy già 3%
- Loại bỏ mảnh vụn thức ăn và vi khuẩn tích tụ
- Nạo mô hoại tử:
- Sử dụng dụng cụ nha khoa chuyên dụng để loại bỏ mô viêm và hoại tử
- Làm giảm lượng vi khuẩn và tạo điều kiện cho mô lành hồi phục
- Cắt nắp nướu (operculectomy): Trong một số trường hợp, bác sĩ có thể cắt bỏ phần nắp nướu đang phủ một phần răng khôn để giảm viêm và ngăn tái phát
4. Súc miệng với dung dịch sát khuẩn
- Dung dịch súc miệng chứa Chlorhexidine 0,12% hoặc 0,2%:
- Súc 2 lần/ngày, mỗi lần 15ml
- Giữ trong miệng khoảng 30-60 giây trước khi nhổ ra
- Không ăn uống trong 30 phút sau khi súc
- Kỹ thuật súc miệng:
- Đưa dung dịch đến vùng răng khôn bị viêm
- Di chuyển nhẹ nhàng để dung dịch tiếp xúc tối đa với vùng viêm
- Thời gian sử dụng: Nên sử dụng trong suốt quá trình điều trị kháng sinh và tiếp tục sau khi nhổ răng
Thời điểm thích hợp để nhổ răng khôn
Việc xác định thời điểm thích hợp để nhổ răng khôn sau khi kiểm soát viêm nhiễm là yếu tố quyết định sự thành công của quy trình phẫu thuật và quá trình hồi phục sau đó. Dưới đây là những dấu hiệu và hướng dẫn giúp xác định thời điểm lý tưởng:

Dấu hiệu viêm nhiễm đã được kiểm soát
- Giảm đau đáng kể: Cơn đau giảm từ 70-80% so với thời điểm ban đầu.
- Giảm sưng nướu: Nướu quanh răng khôn không còn đỏ, sưng hoặc chảy máu khi chạm vào.
- Cải thiện khả năng mở miệng: Bệnh nhân có thể mở miệng rộng hơn, gần như bình thường.
- Hết mủ và dịch viêm: Không còn tiết mủ hoặc dịch viêm khi ấn vào vùng răng khôn.
- Giảm hơi thở hôi: Mùi hôi trong miệng do nhiễm trùng giảm đáng kể.
Khung thời gian sau điều trị kháng sinh
- Thời gian tối ưu: Thường là 5-7 ngày sau khi bắt đầu điều trị kháng sinh, khi thuốc đã phát huy tác dụng đầy đủ.
- Đánh giá hiệu quả kháng sinh: Nếu sau 3 ngày sử dụng kháng sinh mà không thấy cải thiện, bác sĩ có thể cần thay đổi loại kháng sinh hoặc kết hợp thêm phương pháp điều trị khác.
- Hoàn thành liệu trình kháng sinh: Lý tưởng nhất là nhổ răng sau khi hoàn thành liệu trình kháng sinh để đảm bảo nhiễm trùng được kiểm soát hoàn toàn.
- Thời gian chờ tối đa: Không nên kéo dài quá 2 tuần sau khi kiểm soát viêm nhiễm, vì răng khôn vẫn có thể gây viêm nhiễm tái phát.
Vai trò của X-quang và CT scan trong quyết định
- Đánh giá vị trí và hình dạng răng khôn: X-quang cho phép bác sĩ xác định chính xác vị trí, hướng mọc và hình dạng của răng khôn.
- Phát hiện tổn thương xương: CT cone beam giúp đánh giá mức độ tổn thương xương do viêm nhiễm và mối quan hệ với cấu trúc giải phẫu quan trọng.
- Đánh giá mối quan hệ với cấu trúc lân cận: Nhận biết vị trí của dây thần kinh răng dưới, xoang hàm trên và chân răng lân cận.
- Lập kế hoạch phẫu thuật: Dựa trên hình ảnh chụp, bác sĩ sẽ lên kế hoạch phẫu thuật chi tiết, giảm thiểu rủi ro và biến chứng.
Tầm quan trọng của đánh giá chuyên môn
- Đánh giá toàn diện: Bác sĩ cần kết hợp các yếu tố lâm sàng, X-quang và tình trạng sức khỏe tổng thể của bệnh nhân.
- Cân nhắc yếu tố nguy cơ cá nhân: Tuổi, tình trạng sức khỏe, bệnh nền và khả năng chịu đựng phẫu thuật của bệnh nhân.
- Đánh giá lợi ích-nguy cơ: Cân nhắc giữa lợi ích của việc nhổ răng và nguy cơ có thể xảy ra.
- Quyết định dựa trên từng cá nhân: Không có quy tắc cứng nhắc cho mọi trường hợp, mỗi bệnh nhân cần được đánh giá và có kế hoạch điều trị riêng.
Các trường hợp bắt buộc phải nhổ răng khôn
Mặc dù không nên nhổ răng khôn ngay khi đang bị đau dữ dội, có những trường hợp bắt buộc phải tiến hành nhổ răng khôn sau khi đã kiểm soát viêm nhiễm. Những trường hợp này bao gồm:
Răng khôn mọc lệch gây tổn thương răng lân cận
- Tiêu chân răng số 7: Khi răng khôn mọc ngang gây áp lực lên chân răng bên cạnh, kích hoạt quá trình tiêu chân răng không thể phục hồi.
- Sâu răng vùng tiếp xúc: Vị trí tiếp xúc bất thường giữa răng khôn và răng số 7 tạo môi trường thuận lợi cho sâu răng phát triển.
- Phá vỡ khớp cắn: Răng khôn mọc lệch có thể đẩy các răng phía trước, gây xô lệch và mất cân bằng khớp cắn.
- Viêm nha chu khu trú: Tạo túi nha chu sâu khó vệ sinh, dẫn đến mất xương ổ răng và đe dọa sự tồn tại của cả hai răng.

Răng khôn mọc ngầm gây u nang/khối u
- U nang nha chu (dentigerous cyst): Hình thành từ bao răng của răng khôn mọc ngầm, có thể phát triển lớn và phá hủy xương hàm.
- U nguyên bào men (ameloblastoma): Khối u lành tính nhưng xâm lấn tại chỗ, có liên quan đến răng khôn mọc ngầm.
- U nguyên bào xương (odontogenic keratocyst): Có tỷ lệ tái phát cao và tiềm năng phá hủy xương đáng kể.
- Tỷ lệ ác tính hóa: Mặc dù hiếm, các u nang quanh răng khôn có thể ác tính hóa nếu không được điều trị kịp thời.
Viêm nhiễm tái phát và lý do cần nhổ
- Chu kỳ viêm-đau-khỏi-tái phát: Nhiều bệnh nhân trải qua chu kỳ viêm nhiễm tái đi tái lại, mỗi lần có thể nặng hơn và khó điều trị hơn.
- Tác động tích lũy: Mỗi đợt viêm nhiễm làm tổn thương thêm mô xung quanh, tạo sẹo và làm giảm khả năng đáp ứng miễn dịch tại chỗ.
- Giảm hiệu quả kháng sinh: Việc sử dụng kháng sinh nhiều lần có thể dẫn đến kháng thuốc và giảm hiệu quả điều trị.
- Chi phí và thời gian: Điều trị nhiều đợt viêm nhiễm tốn kém và mất thời gian hơn nhiều so với nhổ răng khôn sau khi kiểm soát viêm.
Ảnh hưởng đến khớp cắn và điều trị chỉnh nha
- Xô lệch răng sau chỉnh nha: Áp lực từ răng khôn có thể làm di chuyển các răng đã được chỉnh nha, làm mất kết quả điều trị.
- Cản trở chỉnh nha: Trong một số trường hợp, răng khôn cần được nhổ trước khi bắt đầu điều trị chỉnh nha để tạo không gian di chuyển răng.
- Ảnh hưởng đến khớp thái dương hàm: Răng khôn mọc lệch có thể làm thay đổi cách cắn, gây ra các vấn đề về khớp thái dương hàm.
- Cải thiện vệ sinh răng miệng: Loại bỏ răng khôn giúp việc vệ sinh các răng phía sau dễ dàng hơn, giảm nguy cơ sâu răng và bệnh nha chu.
Kỹ thuật và phương pháp nhổ răng khôn an toàn
Sau khi đã kiểm soát viêm nhiễm và đến thời điểm thích hợp để nhổ răng khôn, việc lựa chọn kỹ thuật và phương pháp nhổ răng thích hợp là vô cùng quan trọng để đảm bảo quá trình phẫu thuật diễn ra an toàn và ít biến chứng. Dưới đây là các kỹ thuật và phương pháp nhổ răng khôn hiện đại:
So sánh các phương pháp nhổ răng khôn
| Tiêu chí | Nhổ đơn giản | Phẫu thuật cắt răng khôn |
| Chỉ định | Răng khôn đã mọc hoàn toàn, không bị khóa | Răng mọc ngầm, mọc lệch, bị khóa |
| Thời gian | 15-30 phút | 30-60 phút |
| Độ xâm lấn | Thấp, không cần cắt nướu | Cao, cần rạch nướu, cắt xương |
| Biến chứng | Ít, chủ yếu là chảy máu nhẹ | Nhiều hơn: sưng, đau, tổn thương thần kinh |
| Thời gian hồi phục | 2-3 ngày | 7-10 ngày |
| Chi phí | Thấp hơn | Cao hơn |
Các kỹ thuật gây tê hiện đại
- Gây tê tại chỗ:
- Block thần kinh răng dưới: Tê toàn bộ nửa hàm dưới
- Gây tê thâm nhiễm: Tiêm trực tiếp vào mô quanh răng khôn
- Gây tê ngoài xương: Tiêm vào vùng xốp xung quanh xương hàm
- Gây tê trong xương: Sử dụng thiết bị đặc biệt đưa thuốc tê trực tiếp vào xương xốp
- Gây tê toàn thân:
- An thần tỉnh: Bệnh nhân vẫn tỉnh táo nhưng thư giãn, kết hợp với gây tê tại chỗ
- Gây mê tĩnh mạch: Bệnh nhân ngủ hoàn toàn, thích hợp cho ca phức tạp hoặc bệnh nhân lo lắng
- Gây mê khí: Sử dụng trong các ca phức tạp, nhiều răng khôn cùng lúc
Tiến trình phẫu thuật cắt răng khôn tiêu chuẩn
- Sát khuẩn và chuẩn bị:
- Súc miệng với dung dịch sát khuẩn
- Sát khuẩn vùng quanh miệng
- Trải khăn vô khuẩn
- Gây tê:
- Tiêm thuốc tê theo phương pháp thích hợp
- Kiểm tra hiệu quả gây tê trước khi bắt đầu phẫu thuật
- Tạo đường rạch và vạt nướu:
- Rạch nướu theo đường thiết kế
- Bóc tách vạt nướu-màng xương để bộc lộ xương và răng
- Cắt xương bao quanh răng khôn:
- Sử dụng mũi khoan hoặc dụng cụ siêu âm cắt xương
- Làm mát bằng nước muối sinh lý trong quá trình cắt xương
- Chia cắt răng (khi cần thiết):
- Phân chia răng thành nhiều phần để dễ lấy ra
- Sử dụng mũi khoan và dụng cụ nâng răng chuyên dụng
- Lấy răng và làm sạch ổ răng:
- Lấy toàn bộ răng khôn và mảnh vỡ
- Kiểm tra và loại bỏ nang quanh răng (nếu có)
- Làm sạch ổ răng, loại bỏ mô hạt viêm
- Khâu đóng vết mổ:
- Khâu vạt nướu về vị trí ban đầu
- Đặt gạc cầm máu khi cần thiết
Công nghệ hỗ trợ giảm đau và thời gian phục hồi
- Công nghệ siêu âm trong phẫu thuật:
- Sử dụng dao siêu âm (piezosurgery) cắt xương chính xác, giảm tổn thương mô mềm
- Giảm chấn thương, sưng và đau sau phẫu thuật
- Laser trị liệu áp dụng sau phẫu thuật:
- Kích thích tái tạo mô
- Giảm đau và viêm sau phẫu thuật
- Sử dụng PRF (Platelet Rich Fibrin):
- Lấy máu bệnh nhân và tách chiết PRF
- Đặt vào ổ răng sau nhổ giúp tăng tốc quá trình lành thương
- Giảm nguy cơ viêm xương khô và nhiễm trùng
- Thuốc kiểm soát đau liều thấp kéo dài:
- Tiêm thuốc tê tác dụng kéo dài vào vùng phẫu thuật
- Giảm đau liên tục trong 24-72 giờ đầu sau phẫu thuật

Chăm sóc sau khi nhổ răng khôn
Chăm sóc hậu phẫu đóng vai trò quyết định trong quá trình hồi phục sau nhổ răng khôn. Việc tuân thủ nghiêm ngặt các hướng dẫn chăm sóc sẽ giúp giảm thiểu biến chứng và đảm bảo hồi phục nhanh chóng.
Chế độ ăn uống trong 7 ngày đầu sau nhổ răng
Ngày 1-2:
- Chỉ ăn thức ăn lỏng, mềm như súp, cháo, sữa chua, sinh tố
- Tránh thức ăn quá nóng hoặc quá lạnh
- Không dùng ống hút (có thể làm bật cục máu đông)
- Uống nhiều nước, tránh đồ uống có ga và caffeine
Ngày 3-5:
- Chuyển sang thức ăn mềm như khoai tây nghiền, mì, cá hấp
- Tránh thức ăn cứng, giòn hoặc nhiều xơ
- Nhai ở bên đối diện với vị trí nhổ răng
- Tránh các loại hạt nhỏ có thể mắc vào ổ răng
Ngày 6-7:
- Có thể bắt đầu ăn thức ăn bình thường nếu không còn đau
- Vẫn nên tránh thức ăn quá cứng, giòn hoặc dai
- Cẩn thận với thức ăn nóng có thể gây kích ứng vết thương
Kiểm soát đau và sưng sau nhổ răng
Chườm đá:
- Chườm đá trong 20 phút, nghỉ 20 phút, trong 24-48 giờ đầu
- Sử dụng túi đá bọc trong khăn mềm, không đặt trực tiếp lên da
- Chườm đá giúp giảm sưng, giảm đau và giảm chảy máu
Thuốc giảm đau:
- Uống thuốc giảm đau theo đơn của bác sĩ, đúng liều lượng và thời gian
- Thường dùng Ibuprofen (400-600mg mỗi 6-8 giờ) hoặc Paracetamol
- Nên uống thuốc trước khi hết tác dụng gây tê để kiểm soát đau tốt hơn
- Tránh Aspirin vì có thể làm tăng chảy máu
Kiểm soát sưng:
- Sưng thường đạt đỉnh vào ngày thứ 2-3 sau phẫu thuật
- Kê cao đầu khi ngủ để giảm sưng
- Từ ngày thứ 3, có thể chườm ấm để giúp giảm sưng nhanh hơn
Quy trình vệ sinh miệng sau phẫu thuật
Ngày đầu tiên:
- Không súc miệng hoặc nhổ trong 24 giờ đầu
- Không đánh răng ở vùng phẫu thuật
- Có thể nhẹ nhàng lau máu quanh môi bằng gạc sạch
Từ ngày thứ 2:
- Súc miệng nhẹ nhàng với nước muối ấm (1/2 thìa cà phê muối trong 240ml nước) sau mỗi bữa ăn
- Sử dụng dung dịch súc miệng Chlorhexidine 0,12% theo chỉ định của bác sĩ
- Đánh răng nhẹ nhàng, tránh vùng phẫu thuật
Từ ngày thứ 3-7:
- Tiếp tục súc miệng với nước muối sau mỗi bữa ăn
- Có thể bắt đầu vệ sinh nhẹ nhàng vùng phẫu thuật
- Tránh tác động mạnh vào vùng khâu và cục máu đông

Dấu hiệu bất thường cần quay lại gặp bác sĩ
- Chảy máu không kiểm soát: Máu chảy không ngừng sau khi cắn gạc 30 phút
- Đau dữ dội kéo dài: Đau không giảm sau 3 ngày hoặc tăng lên sau khi đã giảm
- Sưng tăng sau 3 ngày: Sưng tiếp tục tăng thay vì giảm sau ngày thứ 3
- Sốt cao: Nhiệt độ cơ thể trên 38°C
- Mùi hôi bất thường: Mùi hôi khó chịu từ vùng nhổ răng
- Tê bì kéo dài: Tê môi, lưỡi hoặc cằm kéo dài hơn 24 giờ sau phẫu thuật
- Khó nuốt hoặc khó thở: Dấu hiệu của phản ứng dị ứng hoặc nhiễm trùng lan rộng
- Viêm xương khô (dry socket): Đau nhức dữ dội sau 3-5 ngày, có mùi hôi, vị khó chịu
Đối tượng đặc biệt cần lưu ý khi nhổ răng khôn
Một số nhóm đối tượng cần được quan tâm đặc biệt và có kế hoạch điều trị riêng khi nhổ răng khôn để đảm bảo an toàn và hạn chế biến chứng.
Phụ nữ mang thai và việc nhổ răng khôn
| Giai đoạn thai kỳ | Khuyến nghị | Lưu ý đặc biệt |
| Tam cá nguyệt đầu | Tránh nhổ nếu không khẩn cấp | Nguy cơ sảy thai tăng do stress |
| Tam cá nguyệt giữa | Thời điểm tốt nhất nếu cần nhổ | Hạn chế sử dụng X-quang và một số thuốc |
| Tam cá nguyệt cuối | Không khuyến khích nhổ răng | Tư thế nằm không thoải mái, nguy cơ sinh non |
Các lưu ý khi nhổ răng cho phụ nữ mang thai:
- Tham khảo ý kiến bác sĩ sản khoa trước khi nhổ răng
- Sử dụng kỹ thuật gây tê an toàn (lidocaine thường được ưu tiên)
- Tránh thuốc kháng sinh nhóm tetracycline
- Thận trọng với thuốc giảm đau, ưu tiên paracetamol
- Cung cấp gối để tư thế thoải mái, tránh hội chứng hạ huyết áp nằm ngửa
Người cao tuổi và các yếu tố rủi ro
Thay đổi sinh lý theo tuổi tác:
- Xương hàm cứng và chắc hơn, khó nhổ răng
- Mạch máu giảm đàn hồi, tăng nguy cơ chảy máu
- Khả năng hồi phục chậm hơn, cần thời gian dài hơn
Bệnh lý nền thường gặp:
- Bệnh tim mạch: Cần điều chỉnh liều thuốc tê có adrenaline
- Loãng xương: Tăng nguy cơ gãy xương hàm
- Tiểu đường: Chậm lành thương, tăng nguy cơ nhiễm trùng
- Huyết áp cao: Cần kiểm soát tốt trước khi phẫu thuật
Khuyến nghị cho người cao tuổi:
- Đánh giá sức khỏe tổng thể trước khi nhổ răng
- Cân nhắc phẫu thuật ngắn, chia nhỏ ca phức tạp
- Theo dõi sát sau phẫu thuật
- Kháng sinh dự phòng nếu có bệnh lý nền
Bệnh nhân mắc bệnh mãn tính
Tiểu đường:
- Kiểm soát đường huyết tốt trước phẫu thuật (HbA1c < 7%)
- Điều chỉnh liều insulin trong ngày phẫu thuật
- Kháng sinh dự phòng và theo dõi lành thương kỹ
- Lịch hẹn vào buổi sáng, sau bữa sáng nhẹ
Bệnh tim mạch:
- Đánh giá nguy cơ và tham khảo ý kiến bác sĩ tim mạch
- Cân nhắc kháng sinh dự phòng cho bệnh nhân van tim nhân tạo
- Kiểm soát stress và lo lắng
- Thận trọng với thuốc tê có adrenaline
Bệnh gan, thận:
- Điều chỉnh liều thuốc dựa trên chức năng gan, thận
- Tránh các thuốc gây độc cho gan, thận
- Kiểm tra chức năng đông máu trước phẫu thuật
- Theo dõi tương tác thuốc
Liệu pháp đặc biệt cho người suy giảm miễn dịch
Bệnh nhân HIV/AIDS:
- Đánh giá số lượng CD4 và tải lượng virus
- Kháng sinh dự phòng khi CD4 < 200 tế bào/mm³
- Phối hợp với bác sĩ điều trị HIV
- Chú ý kiểm soát nhiễm trùng sau phẫu thuật
Bệnh nhân ghép tạng:
- Tham khảo ý kiến bác sĩ chuyên khoa ghép tạng
- Cân nhắc điều chỉnh liều thuốc ức chế miễn dịch
- Kháng sinh dự phòng liều cao
- Theo dõi dấu hiệu nhiễm trùng sau phẫu thuật
Bệnh nhân đang điều trị hóa trị, xạ trị:
- Nếu có thể, nhổ răng trước khi bắt đầu hóa trị/xạ trị
- Tránh nhổ răng trong giai đoạn đang điều trị tích cực
- Phối hợp chặt chẽ với bác sĩ ung thư
- Điều trị hỗ trợ đặc biệt cho viêm niêm mạc, khô miệng
Những Mitos và sự thất về nhổ răng khôn
Có nhiều quan niệm sai lầm về nhổ răng khôn khiến nhiều người lo lắng không đáng có. Dưới đây là những giải đáp khoa học về các mitos phổ biến:

Mức độ đau khi nhổ răng khôn
Mitos: Nhổ răng khôn luôn cực kỳ đau đớn, là một trong những trải nghiệm đau đớn nhất.
Sự thật: Với kỹ thuật gây tê hiện đại, bệnh nhân không cảm thấy đau trong quá trình nhổ răng. Cơn đau sau phẫu thuật có thể được kiểm soát hiệu quả bằng thuốc giảm đau và thường giảm đáng kể sau 2-3 ngày. Mức độ đau phụ thuộc vào độ phức tạp của ca nhổ răng và cách cơ thể mỗi người phản ứng với phẫu thuật.
Có cần thiết phải nhổ tất cả răng khôn không?
Mitos: Tất cả mọi người đều phải nhổ răng khôn, dù răng có vấn đề hay không.
Sự thật: Không phải tất cả răng khôn đều cần phải nhổ. Chỉ nên nhổ răng khôn khi:
- Răng mọc lệch gây tổn thương răng lân cận
- Răng mọc ngầm gây u nang hoặc nhiễm trùng
- Răng gây viêm nhiễm tái phát
- Răng cản trở điều trị chỉnh nha
Răng khôn mọc thẳng, đủ không gian và không gây vấn đề có thể được giữ lại, nhưng cần theo dõi định kỳ.
Mối liên hệ giữa răng khôn và trí thông minh
Mitos: Nhổ răng khôn sẽ làm giảm trí thông minh vì “răng khôn” liên quan đến sự khôn ngoan.
Sự thật: Không có mối liên hệ nào giữa răng khôn và trí thông minh. Tên gọi “răng khôn” chỉ đơn giản vì răng này mọc ở tuổi trưởng thành, khi con người đã trưởng thành và “khôn ngoan” hơn. Nhổ răng khôn không ảnh hưởng đến não bộ hay khả năng nhận thức.
Tác động của việc nhổ răng khôn đến khuôn mặt
Mitos: Nhổ răng khôn sẽ làm thay đổi hình dáng khuôn mặt, làm má hóp hoặc già đi.
Sự thật: Việc nhổ răng khôn thường không gây thay đổi đáng kể nào đến khuôn mặt. Sưng sau phẫu thuật là tạm thời và sẽ hết sau vài ngày. Răng khôn nằm sâu trong xương hàm và thường không đóng góp vào hình dáng khuôn mặt. Những thay đổi nhỏ về cấu trúc xương sau nhổ răng thường không thể nhận thấy bằng mắt thường.
Câu hỏi thường gặp về nhổ răng khôn khi đang đau
Tôi có thể tự dùng kháng sinh để điều trị đau răng khôn không?
Không nên tự ý sử dụng kháng sinh khi đau răng khôn. Việc tự dùng kháng sinh không chỉ không giải quyết được nguyên nhân gốc rễ mà còn có thể:
- Gây kháng thuốc kháng sinh
- Che đậy triệu chứng, làm khó chẩn đoán
- Không điều trị đúng loại vi khuẩn gây bệnh
- Gây tác dụng phụ không mong muốn
Luôn tham khảo ý kiến bác sĩ nha khoa để được chẩn đoán chính xác và kê đơn thuốc phù hợp.
Sau khi uống kháng sinh bao lâu thì có thể nhổ răng khôn an toàn?
Thời gian lý tưởng để nhổ răng khôn sau khi bắt đầu điều trị kháng sinh thường là 5-7 ngày, khi các triệu chứng viêm nhiễm đã được kiểm soát. Các dấu hiệu cho thấy thời điểm thích hợp:
- Giảm đau đáng kể
- Nướu quanh răng bớt sưng đỏ
- Hết tình trạng mủ và dịch viêm
- Có thể mở miệng thoải mái hơn
Tuy nhiên, mỗi trường hợp có thể khác nhau, bác sĩ sẽ đánh giá và quyết định thời điểm thích hợp dựa trên đáp ứng với kháng sinh của từng bệnh nhân.
Chi phí nhổ răng khôn khi đang viêm nhiễm có cao hơn không?
Chi phí nhổ răng khôn trong trường hợp đang viêm nhiễm thường cao hơn so với nhổ răng khôn bình thường, vì:
- Cần thêm chi phí điều trị kháng sinh trước phẫu thuật
- Có thể cần thêm các xét nghiệm (X-quang, CT, xét nghiệm máu)
- Thường cần nhiều lần tái khám hơn
- Phẫu thuật có thể phức tạp hơn do mô viêm
Chi phí cụ thể phụ thuộc vào mức độ viêm nhiễm, phương pháp điều trị và cơ sở y tế. Nên tham khảo trước với nha sĩ để có thông tin chi tiết về chi phí.
Có thể giữ lại răng khôn sau khi đã bị viêm nhiễm không?
Trong một số trường hợp, có thể giữ lại răng khôn sau khi điều trị viêm nhiễm thành công, nhưng cần cân nhắc các yếu tố sau:
- Có thể giữ lại nếu:
- Răng mọc thẳng và đủ không gian
- Viêm nhiễm là tạm thời và có thể kiểm soát hoàn toàn
- Bệnh nhân có thể duy trì vệ sinh răng miệng tốt ở vùng răng khôn
- Không có tổn thương răng lân cận
- Nên nhổ nếu:
- Viêm nhiễm tái phát nhiều lần
- Răng mọc lệch ảnh hưởng đến răng khác
- Có u nang hoặc tổn thương xương
- Không thể vệ sinh tốt dẫn đến viêm nướu mạn tính
Quyết định giữ hay nhổ răng khôn sau viêm nhiễm nên dựa trên đánh giá toàn diện của bác sĩ nha khoa.
Kết luận
Răng khôn mọc muộn trong khoang miệng chật hẹp thường gây đau và viêm. Khi bị đau, nhiều người muốn nhổ ngay, nhưng nhổ răng lúc viêm nhiễm cấp có thể nguy hiểm. Trước khi nhổ, cần kiểm soát viêm bằng kháng sinh và giảm đau để tránh biến chứng như viêm xương hàm hay nhiễm trùng lan rộng. Mỗi trường hợp cần đánh giá kỹ bởi nha sĩ để có hướng xử lý phù hợp. Duy trì vệ sinh răng miệng và thăm khám định kỳ giúp kiểm soát tốt các vấn đề liên quan đến răng khôn.