Bạn có bao giờ thắc mắc tại sao cùng là dịch vụ lấy cao răng (cạo vôi răng), nhưng có người chỉ mất 15-20 phút với chi phí thấp, trong khi người khác lại cần nhiều thời gian hơn và chi phí cao hơn? Câu trả lời nằm ở cấp độ vôi răng hiện tại của bạn.
Tại Nha khoa Sài Gòn Phong Phú, việc xác định chính xác “cao răng có mấy độ” không chỉ giúp Bác sĩ đưa ra phác đồ điều trị hiệu quả mà còn giúp khách hàng minh bạch về chi phí ngay từ đầu. Bài viết dưới đây sẽ giúp bạn tự kiểm tra tình trạng răng miệng của mình đang ở mức độ nào.
Tại sao cao răng (vôi răng) lại được chia thành nhiều độ?
Cao răng (vôi răng) thực chất là những mảng bám thức ăn dư thừa, xác tế bào và vi khuẩn tích tụ lâu ngày, bị vôi hóa bởi khoáng chất trong nước bọt. Chúng bám chặt vào cổ răng và dưới nướu mà bàn chải thông thường không thể loại bỏ.
Trong nha khoa, việc phân chia cấp độ cao răng dựa trên hai yếu tố chính:
- Vị trí bám: Cao răng trên nướu (dễ thấy) và cao răng dưới nướu (khó thấy, nguy hiểm hơn).
- Mức độ vôi hóa: Độ dày và độ cứng của mảng bám.
Việc phân độ này rất quan trọng vì mỗi độ sẽ đòi hỏi kỹ thuật xử lý khác nhau. Cao răng càng dày, bám càng sâu thì thời gian thực hiện càng lâu, đòi hỏi bác sĩ phải tỉ mỉ hơn để làm sạch mà không gây tổn thương nướu. Do đó, chi phí và nguy cơ biến chứng viêm nướu cũng sẽ tăng theo cấp độ.

Cao răng có mấy độ? Phân biệt 3 giai đoạn phổ biến
Việc phân chia các giai đoạn của cao răng giúp xác định rõ mức độ tổn thương và hướng xử lý phù hợp. Thông thường, cao răng có thể được chia thành 3 độ chính dựa trên mức độ cứng chắc, diện tích và ảnh hưởng tới các mô xung quanh. Hiểu rõ các cấp độ này sẽ giúp bạn nắm bắt tình hình rõ ràng hơn và có hướng điều trị tối ưu.
Mỗi cấp độ của cao răng thể hiện sự chuyển biến từ nhẹ đến nặng, với đặc điểm, dấu hiệu lâm sàng và phương pháp xử lý khác nhau. Từ đó, các bác sĩ và nha sĩ sẽ có thể đề xuất phương pháp phù hợp nhất để loại bỏ cao răng, ngăn chặn sự phát triển của các bệnh lý nha khoa. Hãy cùng tìm hiểu chi tiết từng cấp độ dưới đây.
Cao răng độ 1 (Cấp độ nhẹ)
Đây là giai đoạn khởi phát, khi lớp vôi răng mới hình thành và chưa gây ra nhiều tác động tiêu cực đến sức khỏe răng miệng.
- Dấu hiệu nhận biết:
- Cao răng mỏng, màu trắng đục hoặc vàng nhạt.
- Thường xuất hiện chủ yếu ở mặt trong của các răng cửa hàm dưới (nơi tuyến nước bọt hoạt động mạnh).
- Nướu vẫn giữ màu hồng nhạt, chưa có dấu hiệu sưng hay chảy máu.
- Lời khuyên: Đây là “thời điểm vàng” để đi lấy cao răng. Quá trình thực hiện diễn ra rất nhanh chóng, nhẹ nhàng và hoàn toàn không đau.
- Chi phí tham khảo: 150.000 VNĐ/ca.

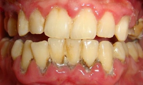
Cao răng độ 2 (Cấp độ trung bình)
Nếu bạn bỏ qua giai đoạn 1, lớp vôi răng sẽ tiếp tục tích tụ, dày lên và bắt đầu tấn công vào tổ chức quanh răng.
- Dấu hiệu nhận biết:
- Mảng bám dày hơn, chuyển sang màu vàng sậm hoặc nâu nhẹ.
- Vôi răng bao quanh cổ răng, tạo thành cầu nối giữa các kẽ răng.
- Nướu có thể bắt đầu sưng nhẹ, đôi khi bạn sẽ thấy chảy máu chân răng khi chải răng quá mạnh.
- Nguy cơ: Ở cấp độ này, vi khuẩn bắt đầu tiết độc tố kích ứng nướu. Để biết chính xác lịch trình chăm sóc nhằm tránh để tình trạng chuyển nặng hơn, bạn nên tìm hiểu xem bao lâu lấy cao răng 1 lần là hợp lý nhất cho cơ địa của mình.
- Chi phí tham khảo: 250.000 VNĐ/ca
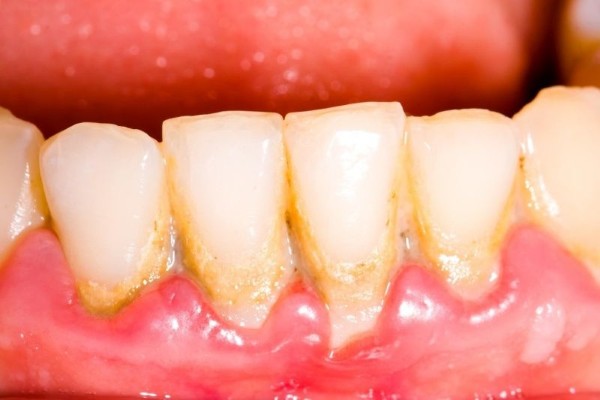
Cao răng độ 3 – Cao răng nặng (Cao răng dưới nướu / cao răng đen)
Đây là cấp độ nghiêm trọng nhất trong phân loại cạo vôi răng thông thường. Lúc này, cao răng không chỉ nằm trên bề mặt mà đã lan sâu xuống dưới nướu (cao răng huyết thanh).
- Dấu hiệu nhận biết:
- Cao răng đóng thành tảng lớn, rất cứng.
- Xuất hiện các mảng bám đen trên răng hoặc màu nâu đỏ sậm do ngấm huyết thanh từ dịch nướu viêm.
- Gây hôi miệng nồng nặc, tụt nướu làm lộ chân răng, cảm giác răng “dài ra”.
- Nướu sưng đỏ, dễ chảy máu dù chỉ chạm nhẹ.
- Cảnh báo: Rất nhiều khách hàng lo lắng ở giai đoạn này việc xử lý sẽ rất ê buốt. Thực tế, lấy cao răng có đau không phụ thuộc rất nhiều vào tay nghề bác sĩ và công nghệ máy siêu âm. Tại Nha khoa Sài Gòn Phong Phú, chúng tôi ưu tiên kỹ thuật rung siêu âm để bóc tách mảng bám nhẹ nhàng nhất có thể.
- Chi phí tham khảo: 400.000 VNĐ/ca.

Khi nào cao răng chuyển thành viêm nướu nặng?
Khi cao răng độ 3 không được xử lý kịp thời, nó sẽ trở thành “ổ vi khuẩn” khổng lồ, phá hủy mô liên kết giữa nướu và răng, dẫn đến viêm nha chu. Lúc này, việc cạo vôi răng thông thường là chưa đủ, mà cần phải kết hợp với các liệu trình điều trị viêm nướu chuyên sâu.
Dấu hiệu rõ ràng nhất là nướu sưng phồng, có mủ hoặc răng bắt đầu lung lay. Bạn có thể tham khảo hình ảnh viêm nướu răng để so sánh với tình trạng hiện tại của mình.
Tại Nha khoa Sài Gòn Phong Phú, chúng tôi áp dụng liệu trình cân bằng vi khuẩn để điều trị viêm nướu với chi phí cụ thể như sau:
- Điều trị viêm nướu cấp độ I (1 lần): 800.000 VNĐ/ca.
- Điều trị viêm nướu cấp độ II (2 lần): 1.200.000 VNĐ/ca.
- Điều trị viêm nướu cấp độ III (3 lần): 1.800.000 VNĐ/ca.
Điều trị sớm không chỉ giúp bạn tiết kiệm chi phí mà còn là giải pháp duy nhất để bảo tồn răng thật trước nguy cơ mất răng do nha chu.
Nguyên nhân hình thành cao răng
Cao răng hình thành chủ yếu do quá trình tích tụ của mảng bám sinh học, khi không được xử lý kịp thời. Việc vệ sinh răng miệng không đúng cách hoặc không đủ chế độ vệ sinh hàng ngày là nguyên nhân chính dẫn đến mảng bám tích tụ lâu ngày và cứng chắc thành cao răng. Ngoài ra, một số yếu tố khác cũng góp phần làm tăng nguy cơ hình thành cao răng, như chế độ ăn uống, di truyền, tuổi tác hoặc các bệnh lý về men răng.
Nhiễm khuẩn do vi khuẩn trong mảng bám gây ra là nguyên nhân trực tiếp hình thành cao răng. Sau vài ngày đến vài tuần, mảng bám có thể bắt đầu khoáng hóa, chuyển đổi thành cao răng cứng, tồn tại vĩnh viễn trên răng không thể tự nhiên loại bỏ. Đặc biệt, những người có thói quen hút thuốc lá, dùng nhiều thực phẩm chứa đường, chất tạo màu hoặc ít vệ sinh răng miệng cẩn thận sẽ dễ dàng mắc cao răng hơn.
Chính vì thế, hiểu rõ nguyên nhân giúp chúng ta có thể đưa ra các biện pháp phòng ngừa phù hợp, duy trì vệ sinh đúng cách, sử dụng các sản phẩm hỗ trợ như kem đánh răng trị cao răng, chỉ nha khoa hoặc đến nha sĩ định kỳ để làm sạch chuyên sâu, hạn chế cao răng hình thành mới.
Quy trình lấy cao răng êm ái tại Nha khoa Sài Gòn Phong Phú
Chúng tôi hiểu rằng “sợ đau” và “sợ ê buốt” là rào cản lớn nhất khiến nhiều khách hàng trì hoãn việc lấy cao răng. Do đó, quy trình tại Nha khoa Sài Gòn Phong Phú (Bình Chánh) luôn tuân thủ các bước chuẩn Y khoa:
- Thăm khám & Phân độ: Bác sĩ kiểm tra, xác định cấp độ vôi răng (I, II, hay III) và thông báo chi phí minh bạch trước khi thực hiện.
- Vệ sinh khoang miệng: Súc miệng bằng dung dịch chuyên dụng để giảm thiểu vi khuẩn.
- Cạo vôi bằng máy siêu âm: Sử dụng đầu máy siêu âm với tần số rung phù hợp, nhẹ nhàng làm vỡ liên kết của vôi răng mà không cần dùng lực cạo mạnh, hạn chế tối đa tổn thương men răng và nướu.
- Đánh bóng răng: Đây là bước cực kỳ quan trọng. Sau khi cạo vôi, bề mặt răng thường nhám. Việc đánh bóng bằng chổi và thuốc chuyên dụng giúp bề mặt răng láng mịn, giúp răng sáng bóng hơn và quan trọng nhất là giảm tốc độ tái bám của cao răng trong tương lai.

Cách phòng ngừa cao răng tái hình thành
Phòng ngừa cao răng phát triển trở lại là yếu tố then chốt để duy trì sức khỏe răng miệng lâu dài. Có nhiều biện pháp đơn giản nhưng cực kỳ hiệu quả để hạn chế tình trạng tích tụ vôi răng mới, trong đó quan trọng nhất là vệ sinh răng miệng đúng cách hàng ngày. Ngoài ra, chế độ dinh dưỡng hợp lý, tránh các thực phẩm gây đen, xỉn màu răng cũng góp phần phòng chống cao răng.
Các biện pháp đặc thù để phòng ngừa cao răng tái phát bao gồm sử dụng kem đánh răng có chứa fluoride, dùng chỉ nha khoa hoặc tăm nước để làm sạch các kẽ răng, kết hợp với các sản phẩm hỗ trợ chống hình thành cao răng. Sử dụng nước súc miệng cũng giúp giảm lượng vi khuẩn trong miệng, hạn chế mảng bám tích tụ mới. Không kém phần quan trọng là định kỳ khám và làm sạch răng định kỳ tại nha khoa, ít nhất mỗi 6 tháng một lần.
Các bác sĩ khuyến cáo không nên chủ quan, bỏ qua việc kiểm tra định kỳ, đặc biệt là những người có nguy cơ cao về cao răng như hút thuốc, ăn nhiều đồ ngọt, hoặc có tiền sử bệnh nha chu. Sự cẩn trọng, đúng cách phòng tránh sẽ giúp bạn giữ gìn nụ cười đẹp và khỏe mạnh, tránh các biến chứng nặng do cao răng gây ra.

Kiểm tra nha chu tại Nha Khoa Sài Gòn
Tại Nha Khoa Sài Gòn, chúng tôi cung cấp dịch vụ kiểm tra nha chu toàn diện, giúp phát hiện sớm các vấn đề liên quan đến cao răng, viêm lợi, tụt nướu và các bệnh lý khác của tổ chức nha chu. Đội ngũ bác sĩ giàu kinh nghiệm sẽ tiến hành khám chú đáo, sử dụng công nghệ hiện đại để xác định chính xác mức độ tổn thương và đề xuất phương án điều trị phù hợp.
Khách hàng có thể an tâm khi lựa chọn kiểm tra tại trung tâm của chúng tôi, vì luôn chú trọng quy trình vô trùng, đảm bảo an toàn và dịch vụ chuyên nghiệp. Việc kiểm tra định kỳ không chỉ giúp phát hiện sớm cao răng, mà còn phòng tránh các bệnh lý nguy hiểm, bảo vệ tối đa sức khỏe răng miệng của bạn.
Hãy đặt lịch hẹn để được tư vấn miễn phí và trải nghiệm dịch vụ chăm sóc răng miệng tốt nhất tại Nha Khoa Sài Gòn. Chúng tôi cam kết mang đến nụ cười tươi đẹp, tự tin và sức khỏe toàn diện cho khách hàng của mình.
Trong quá trình chăm sóc và duy trì sức khỏe răng miệng, việc nhận biết rõ cao răng có mấy độ giúp bạn dễ dàng xác định tình trạng của mình, từ đó có phương án xử lý phù hợp. Các cấp độ của cao răng từ nhẹ đến nặng không chỉ ảnh hưởng đến thẩm mỹ mà còn đe dọa sức khỏe lợi, răng và toàn bộ hệ thống nha chu.
Việc xử lý kịp thời, đúng phương pháp và phòng ngừa hiệu quả sẽ giúp bạn giữ gìn hàm răng khỏe mạnh và tránh các biến chứng lâu dài. Đừng quên kiểm tra định kỳ tại các cơ sở nha khoa uy tín như Nha Khoa Sài Gòn để duy trì nụ cười tự tin, rạng rỡ dài lâu. Bảo vệ sức khỏe răng miệng là hành trình suốt đời, và hiểu rõ về các cấp độ của cao răng chính là chìa khóa mở ra tương lai tươi sáng cho hàm răng của bạn.
Câu hỏi thường gặp về cấp độ cao răng
Lấy cao răng độ 3 có đau không?
Với cao răng độ 3, do vôi răng bám sâu dưới nướu và nướu đang bị viêm nên bạn có thể cảm thấy ê nhẹ hoặc châm chích. Tuy nhiên, bác sĩ có thể sử dụng thuốc bôi tê tại chỗ để bạn cảm thấy thoải mái hơn.

Bao lâu nên lấy cao răng 1 lần để duy trì ở độ 1?
Các nha sĩ khuyến cáo nên lấy cao răng định kỳ 6 tháng/lần. Nếu bạn là người hút thuốc, uống nhiều trà/cà phê hoặc có cơ địa nước bọt nhiều canxi, nên thực hiện 3-4 tháng/lần để giữ răng luôn ở cấp độ 1 (nhẹ và rẻ nhất).
Có cần lấy cao răng trước khi tẩy trắng răng không?
Chắc chắn là có. Để thuốc tẩy trắng ngấm đều và đạt hiệu quả thẩm mỹ tối đa, bề mặt răng phải sạch hoàn toàn mảng bám. Bạn có thể tham khảo dịch vụ tẩy trắng răng kết hợp sau khi cạo vôi để sở hữu nụ cười rạng rỡ nhất.
