Cao răng là một vấn đề phổ biến mà nhiều người mắc phải. Vậy bao lâu lấy cao răng 1 lần để đảm bảo sức khỏe răng miệng của bạn? Trong bài viết này, chúng ta sẽ cùng nhau tìm hiểu về cao răng, tầm quan trọng của việc lấy cao răng định kỳ cũng như những điều cần biết để duy trì một hàm răng khỏe mạnh.
Giới thiệu về cao răng và tầm quan trọng của việc lấy cao răng

Cao răng là một trong những vấn đề thường gặp nhất trong nha khoa, trở thành nỗi lo lắng của không chỉ riêng một ai. Cao răng không chỉ làm mất thẩm mỹ mà còn ảnh hưởng nặng nề đến sức khỏe răng miệng và toàn thân. Trong phần này, chúng ta sẽ xem xét định nghĩa và quy trình hình thành cao răng, cùng các tác hại mà nó mang lại.
Cao răng được hình thành từ quá trình tích tụ mảng bám, vi khuẩn và khoáng chất từ nước bọt. Để hình thành nên những mảng cao răng, mảng bám từ miệng sẽ dần dần canxi hóa, thường mất từ 24 đến 72 giờ.
Định nghĩa cao răng
Cao răng là sự tích tụ của mảng bám và các khoáng chất như canxi, phospho… từ nước bọt mà không được làm sạch định kỳ. Khi mảng bám không được loại bỏ nhanh chóng, nó sẽ cứng lại và hình thành nên cao răng. Cao răng có thể có màu vàng hoặc nâu và thường bám vào chân răng và các bề mặt khác của răng.
Quá trình hình thành cao răng
Quá trình hình thành cao răng diễn ra khá nhanh chóng:
- Mảng bám: Khi chúng ta ăn uống, vi khuẩn tạo ra mảng bám trên bề mặt răng.
- Canxi hóa: Nếu không được làm sạch trong khoảng thời gian 24-72 giờ, mảng bám sẽ bắt đầu hình thành các tinh thể canxi, dẫn đến cao răng.
Tác hại của cao răng
Cao răng không chỉ gây mất thẩm mỹ mà còn tiềm ẩn nhiều vấn đề nguy hiểm khác, cụ thể:
- Viêm nướu: Cao răng có thể gây viêm nướu, dẫn đến chảy máu và khó chịu khi đánh răng.
- Sâu răng: Vi khuẩn trong cao răng sẽ gây ra sâu răng và các bệnh lý khác.
- Hơi thở hôi: Cao răng là một trong những nguyên nhân chính gây ra hơi thở có mùi.
- Bệnh lý toàn thân: Nghiên cứu cho thấy việc chăm sóc răng miệng kém có thể liên quan đến các bệnh như tim mạch và đột quỵ.
Vai trò của việc lấy cao răng định kỳ
Việc lấy cao răng định kỳ là cách hiệu quả để làm sạch và giữ cho răng miệng khoẻ mạnh. Các lợi ích bao gồm:
- Giảm nguy cơ viêm nướu, sâu răng và các bệnh lý nghiêm trọng.
- Tạo cảm giác thoải mái và tự tin khi giao tiếp.
- Bảo vệ sức khỏe toàn thân từ góc độ sức khỏe răng miệng.
Bao lâu lấy cao răng 1 lần? – Khuyến nghị chuyên môn mới nhất

Câu hỏi “bao lâu lấy cao răng 1 lần” là thắc mắc phổ biến của nhiều người đang quan tâm đến việc chăm sóc răng miệng đúng cách. Trong phần này, chúng ta sẽ tìm hiểu tần suất khuyến nghị lấy cao răng từ các chuyên gia nha khoa cả trong và ngoài nước. Những khuyến nghị này rất quan trọng để giữ cho quá trình chăm sóc răng miệng luôn hiệu quả.
Khuyến cáo chung
Vậy bao lâu lấy cao răng 1 lần là hợp lý? Theo các chuyên gia, định kỳ lấy cao răng từ 3–6 tháng là phù hợp với hầu hết mọi người. Tùy thuộc vào tình trạng răng miệng, tần suất có thể thay đổi:
Người có cao răng nhiều: Những người thường xuyên hút thuốc hoặc uống trà, cà phê nên lấy cao răng từ 3-4 tháng một lần để bảo vệ sức khỏe răng miệng.
Phân loại theo nhóm khách hàng
Tùy vào từng trường hợp cụ thể, câu trả lời cho câu hỏi “bao lâu lấy cao răng 1 lần” sẽ khác nhau:
- Người có sức khỏe răng miệng tốt: Chỉ cần lấy cao răng 6 tháng một lần.
- Người có nguy cơ cao hơn: Nhóm đối tượng có vấn đề về sức khỏe răng miệng hoặc hút thuốc nên thăm khám thường xuyên hơn.
Giải thích vì sao không nên lấy cao răng quá thường xuyên
Dù việc lấy cao răng định kỳ là cần thiết, nhưng nếu quá lạm dụng thì cũng có thể gây hại. Do đó, hiểu rõ bao lâu lấy cao răng 1 lần là điều rất quan trọng.
- Mòn men răng: Kỹ thuật lấy cao răng không đúng có thể gây mòn lớp men răng, làm cho răng nhạy cảm hơn.
- Ê buốt: Quá trình này có thể gây ê buốt cho nướu và răng, làm giảm khả năng ăn uống của bạn.
Dấu hiệu nhận biết nên đi lấy cao răng

Hiểu rõ về tình trạng của bản thân và nhận biết những dấu hiệu cần đi lấy cao răng là một bước quan trọng. Dưới đây là một số dấu hiệu mà bạn cần lưu ý.
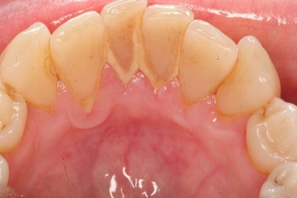
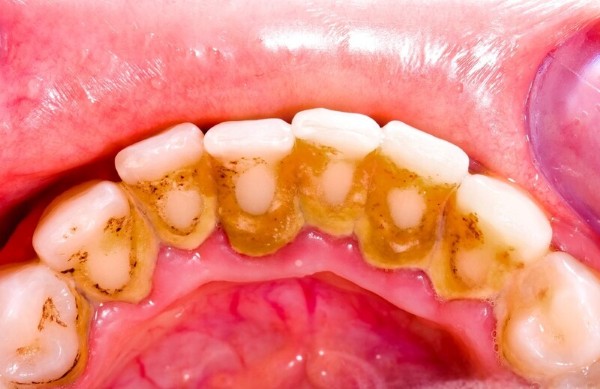
Mảng bám màu vàng/nâu quanh chân răng
Một trong những dấu hiệu đầu tiên mà bạn có thể nhận thấy chính là những mảng bám màu vàng hoặc nâu gần chân răng của bạn. Nếu những mảng bám này không được loại bỏ trong thời gian dài, chúng sẽ trở thành cao răng cứng.
Triệu chứng chảy máu, sưng nướu do viêm
Nướu bị viêm là một dấu hiệu rõ ràng cho thấy bạn đã để cao răng tồn tại quá lâu. Nếu thấy nướu chảy máu hoặc sưng tấy khi đánh răng, bạn nên đi khám ngay.
Hơi thở có mùi khó chịu
Hơi thở có mùi không chỉ gây khó chịu cho bản thân mà cũng cho những người xung quanh bạn. Cao răng có thể là nguyên nhân chính gây ra triệu chứng này.
Các trường hợp cần chú ý đặc biệt
Đối với những người đeo niềng răng, việc thường xuyên kiểm tra cao răng là hết sức cần thiết. Bởi vì mắc cài có thể tạo điều kiện cho vi khuẩn phát triển nhiều hơn.
Lợi ích khi lấy cao răng định kỳ theo đúng tần suất khuyến nghị

Lấy cao răng định kỳ không chỉ giúp bảo vệ sức khỏe răng miệng mà còn mang lại nhiều lợi ích khác. Cùng tìm hiểu về những lợi ích này!
Ngăn ngừa các bệnh lý răng miệng
Lấy cao răng định kỳ là một cách hiệu quả để ngăn ngừa chuỗi rối loạn khác như sâu răng hay viêm nha chu. Thông qua quá trình này, bạn có thể loại bỏ vi khuẩn và các mảng bám gây hại.
Phát hiện sớm các vấn đề nha khoa
Trong quá trình lấy cao răng, bác sĩ nha khoa sẽ khám sức khỏe răng miệng tổng quát, từ đó có thể phát hiện sớm các vấn đề khác đang diễn ra mà bạn chưa nhận thấy.
Bảo vệ sức khỏe toàn thân
Cao răng không chỉ ảnh hưởng đến sức khỏe răng miệng mà còn có liên quan đến sức khỏe toàn thân. Nhiều nghiên cứu chỉ ra rằng những người có cao răng thường dễ gặp phải các vấn đề tim mạch. Vì vậy, việc lấy cao răng giúp bảo vệ sức khỏe không chỉ riêng cho răng miệng mà còn cho cả cơ thể.
Duy trì nụ cười thẩm mỹ
Lợi ích cuối cùng mà chúng ta không thể bỏ qua là việc giữ cho răng luôn trắng sáng và nụ cười tự tin. Một hàm răng sạch sẽ sẽ mang lại cho bạn sự tự tin khi giao tiếp.
Lưu ý quan trọng khi lấy cao răng

Lấy cao răng là một quy trình đơn giản nhưng cần lưu ý để đảm bảo sức khỏe. Dưới đây là một số điều bạn cần chú ý.
Không tự ý tự làm tại nhà với công cụ không đảm bảo
Khi nghĩ đến việc loại bỏ cao răng, nhiều người thường nghĩ đến việc tự làm tại nhà. Tuy nhiên, điều này có thể gây hại cho răng bạn nhiều hơn, vì vậy hãy tránh xa việc tự ý làm tại nhà.
Lựa chọn nha khoa uy tín
Việc chọn lựa nha khoa uy tín là rất quan trọng bởi nó giúp bạn được chăm sóc và kiểm tra sức khỏe răng miệng một cách tốt nhất. Nha khoa nên có trang thiết bị hiện đại cùng với bác sĩ có kinh nghiệm.
Chăm sóc sau khi lấy cao răng
Sau khi lấy cao răng, cần chăm sóc cho nướu và răng đúng cách bằng các sản phẩm hỗ trợ như kem đánh răng giảm ê buốt. Bên cạnh đó, bạn cũng cần kiêng những thực phẩm có màu hoặc có chất kích thích trong 48 giờ đầu sau khi lấy cao răng.
Hướng dẫn phòng ngừa cao răng tái phát
Chăm sóc răng miệng hàng ngày là cách tuyệt vời để ngăn ngừa tái phát cao răng. Đánh răng đúng cách, sử dụng chỉ nha khoa và hạn chế sử dụng đồ ngọt và đồ uống có đường là những cách rất hiệu quả.
Giải đáp các thắc mắc thường gặp về lấy cao răng

Có nhiều câu hỏi được đặt ra khi nhắc đến việc lấy cao răng. Dưới đây là một số câu hỏi mà nhiều người hay thắc mắc và câu trả lời cho chúng.
Có nên lo ngại khi lấy cao răng?
Hầu hết người bệnh sẽ cảm thấy một chút khó chịu, nhưng không phải là đau đớn lớn. Một số phương pháp hiện đại giúp giảm cảm giác đau đáng kể.
Sau khi lấy cao răng, thời gian ăn uống bình thường là bao lâu?
Thông thường, bạn có thể bắt đầu ăn uống trở lại sau khoảng 30 phút. Tuy nhiên, hãy tránh thức ăn quá lạnh hay quá nóng để không gây tổn thương cho nướu.
Liệu lấy cao răng có làm răng yếu đi không?
Nếu lấy cao răng đúng kỹ thuật, không hề gây tổn thương cho răng mà ngược lại, giúp loại bỏ mảng bám, ngăn ngừa viêm nướu và bảo vệ sức khỏe răng miệng hiệu quả. Do đó, việc xác định bao lâu lấy cao răng 1 lần là rất quan trọng để duy trì tình trạng răng miệng tốt.
Lưu ý cho bà bầu và trẻ nhỏ
Bà bầu và trẻ nhỏ cần được tư vấn kỹ lưỡng trước khi lấy cao răng. Đặc biệt, đối với phụ nữ mang thai, việc chăm sóc răng miệng đúng cách và đúng thời điểm có thể giúp ngăn ngừa các bệnh lý liên quan, bao gồm cả việc cân nhắc bao lâu lấy cao răng 1 lần trong giai đoạn nhạy cảm này.
Kết luận
Việc lấy cao răng định kỳ không chỉ giúp bảo vệ sức khỏe răng miệng mà còn có những lợi ích to lớn cho sức khỏe toàn thân. Để có một nụ cười khỏe mạnh và tự tin, hãy chú ý đến tần suất cũng như cách chăm sóc răng miệng của bạn. Nếu bạn còn băn khoăn bao lâu lấy cao răng 1 lần là hợp lý, đừng ngần ngại tham khảo ý kiến của bác sĩ nha khoa và thăm khám định kỳ để phát hiện sớm, xử lý kịp thời những vấn đề có thể xảy ra.