Tật đẩy lưỡi là một vấn đề phổ biến nhưng ít được nhiều người nhận biết đúng mức. Đây không chỉ đơn thuần là thói quen xấu mà còn có thể gây ảnh hưởng đáng kể đến sức khỏe răng miệng và thẩm mỹ khuôn mặt. Hiểu rõ về tật đẩy lưỡi sẽ giúp bạn có cách xử lý phù hợp, phòng tránh những hậu quả lâu dài. Trong bài viết này, chúng ta sẽ cùng khám phá chi tiết về tật đẩy lưỡi từ nguyên nhân, dấu hiệu, tác hại đến cách điều trị tối ưu cho mọi lứa tuổi.
Tật đẩy lưỡi là gì?
Tật đẩy lưỡi là một biểu hiện rối loạn thói quen trong sinh hoạt hàng ngày, trong đó lưỡi có xu hướng đẩy hoặc nằm quá mức vào phía phía trước hoặc phía trong của khoang miệng. Tình trạng này thường xuất hiện khi trẻ còn nhỏ nhưng cũng có thể tồn tại đến người lớn nếu không được nhận biết và xử lý kịp thời.

Đặc điểm chung của tật đẩy lưỡi
Tật đẩy lưỡi không chỉ là thói quen vô ý mà còn được xem như sự phản ứng kéo dài của hệ cơ lưỡi, gây ra ảnh hưởng lớn đến cấu trúc răng và khuôn mặt. Cơ lưỡi bị kéo dài, yếu hoặc quá phát triển phần mềm của thói quen đẩy lưỡi làm biến dạng khớp cắn, thay đổi dáng mặt.
Thông thường, người mắc tật đẩy lưỡi có xu hướng dùng lưỡi đẩy hoặc giữ phần lưỡi quá nhiều vào trong hoặc ra ngoài miệng liên tục, đặc biệt trong lúc ngủ hoặc nói chuyện. Tình trạng này kéo dài sẽ dần trở thành thói quen khó bỏ, ảnh hưởng nghiêm trọng đến chức năng ăn uống, phát âm và thẩm mỹ.
Tầm quan trọng của việc nhận biết sớm
Việc nhận biết sớm tật đẩy lưỡi rất quan trọng để có biện pháp can thiệp kịp thời, tránh gây hậu quả lâu dài về sau. Hầu hết các chuyên gia nha khoa đều khuyến nghị phụ huynh, người lớn quan sát kỹ các biểu hiện như trẻ hay thở miệng, phát âm không rõ, răng có dấu hiệu lệch lạc sớm để đưa ra lời khuyên chuyên môn.
Nếu không phát hiện và xử lý kịp thời, tật đẩy lưỡi có thể khiến răng mọc lệch, cắn chặt không đều, gây ra các vấn đề về khớp cắn, phát âm không rõ, đồng thời ảnh hưởng tới thẩm mỹ khuôn mặt và khả năng giao tiếp. Do đó, việc thăm khám định kỳ và can thiệp đúng phương pháp sẽ giúp hạn chế tối đa những tác động tiêu cực này.
Dấu hiệu nhận biết tật đẩy lưỡi
Việc xác định sớm tật đẩy lưỡi giúp kiểm soát tốt các ảnh hưởng của bệnh lý này đến sức khỏe răng miệng và thẩm mỹ. Có nhiều dấu hiệu rõ ràng giúp cha mẹ và người lớn dễ dàng nhận biết tình trạng này ngay từ ban đầu.
Những biểu hiện phổ biến của tật đẩy lưỡi
Các dấu hiệu dễ nhận biết nhất của tật đẩy lưỡi là:
- Trẻ hoặc người lớn hay thở miệng thường xuyên, đặc biệt khi ngủ khiến môi khô, khó thở, thở mạnh hoặc thở gấp.
- Phát âm các âm khó như “s”, “sh”, “r” không rõ hoặc khập khiễng, gây ra hiểu lầm trong giao tiếp hàng ngày.
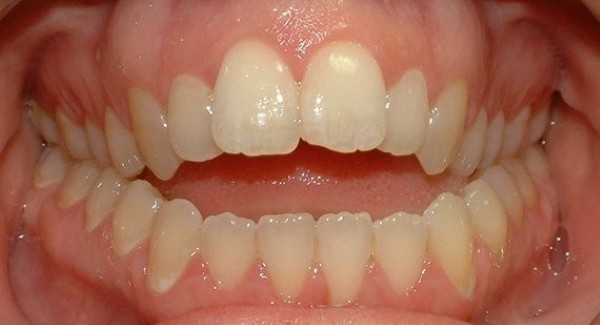
- Răng mọc lệch hoặc có các dấu hiệu lệch lạc rõ ràng như răng hô hoặc răng thưa không đều.
- Khuôn mặt có biểu hiện mở rộng, xương hàm trên phát triển quá mức, hay có vẻ mặt dài hoặc thô.
Những biểu hiện này cần được quan sát kỹ lưỡng để kịp thời đưa ra các biện pháp xử lý phù hợp.

Các yếu tố đi kèm dễ nhận biết
Ngoài các biểu hiện chính, người mắc tật đẩy lưỡi còn có thể kèm theo các thói quen xấu như mút tay, bú ngón, lệch lệch lưỡi khi nuốt hoặc nói.
Việc phân biệt chính xác các dấu hiệu này đòi hỏi sự hỗ trợ của các chuyên gia nha khoa hoặc bác sĩ chỉnh hình hàm mặt để xác định rõ mức độ và nguyên nhân bệnh lý.
Vì sao việc nhận diện sớm lại quan trọng?
Phát hiện sớm giúp can thiệp kịp thời, giảm thiểu khả năng biến chứng về sau, từ đó tiết kiệm chi phí điều trị, giảm bớt đau đớn và thời gian chỉnh hình. Nếu để lâu, bệnh có thể gây ra các lệch lạc răng nghiêm trọng, ảnh hưởng đến thẩm mỹ và chức năng ăn uống.
Chính vì vậy, cha mẹ, người chăm sóc cần quan sát kỹ các biểu hiện của trẻ để có biện pháp xử lý đúng lúc, đồng thời phối hợp với nha sĩ để đưa ra lời khuyên phù hợp.
Nguyên nhân gây tật đẩy lưỡi
Có nhiều nguyên nhân khác nhau dẫn đến tình trạng tật đẩy lưỡi, trong đó phổ biến nhất là do thói quen xấu, yếu tố di truyền hoặc các vấn đề về cấu trúc răng hàm. Hiểu rõ các nguyên nhân này sẽ giúp chúng ta có cách phòng ngừa hiệu quả cũng như xây dựng chiến lược điều trị phù hợp.

Thói quen xấu trong sinh hoạt hàng ngày
Thói quen đẩy lưỡi thường bắt nguồn từ các hoạt động như mút tay, bú ngón, thở miệng quá nhiều hoặc hay giữ lưỡi ở vị trí không đúng. Một số trẻ em có thói quen đẩy lưỡi do cảm giác không thoải mái trong miệng hoặc do thiếu các hoạt động vận động cơ mặt phù hợp.
Thói quen này kéo dài sẽ tạo thành phản xạ có điều kiện, khiến hệ cơ lưỡi và môi trở nên yếu hoặc mất cân đối, ảnh hưởng đến cấu trúc hàm mặt. Đặc biệt, trẻ nhỏ còn dễ hình thành thói quen này do ảnh hưởng từ yếu tố tâm lý hoặc stress gia đình.
Yếu tố di truyền và cấu trúc sinh lý
Ngoài thói quen, nguyên nhân khách quan gồm yếu tố di truyền, cấu trúc xương hàm hoặc các bất thường bẩm sinh dẫn đến tật đẩy lưỡi hình thành từ sớm. Nếu trong gia đình có người mắc các vấn đề về răng hoặc hàm, khả năng cao trẻ cũng sẽ dễ mắc bệnh này.
Các dạng lệch lạc cấu trúc như hàm trên to quá mức, hàm dưới nhỏ hoặc lệch khớp cắn là nguyên nhân như di truyền ảnh hưởng trực tiếp đến cách lưỡi và các cơ liên quan hoạt động. Những nguyên nhân này cần phải có sự can thiệp của các phương pháp phẫu thuật hoặc chỉnh hình hàm mặt để điều chỉnh đúng mức.
Ảnh hưởng của tình trạng thiếu vận động cơ miệng
Rất nhiều nghiên cứu cho thấy, chế độ ăn ít vận động, không tham gia các hoạt động tập luyện vận động cơ mặt có thể khiến hệ cơ lưỡi yếu hoặc mất tính đàn hồi. Trẻ em ít chơi các trò chơi vận động, mạo hiểm hoặc không tập thể thao phù hợp dễ dẫn đến các vấn đề về phát âm và hình thành thói quen xấu.
Chưa kể, lối sống ít vận động còn làm giảm khả năng kiểm soát vòng miệng, dễ dẫn đến các thói quen như thở miệng hay đẩy lưỡi. Bởi vậy, một lối sống năng động, hoạt động thể chất đều đặn có thể là yếu tố giúp giảm thiểu nguy cơ mắc tật đẩy lưỡi.
Tật đẩy lưỡi gây ra tác hại gì?
Tật đẩy lưỡi không chỉ là một vấn đề về thói quen, nó còn gây ra những tác động tiêu cực tới sức khỏe răng miệng, chức năng phát âm và các đặc điểm thẩm mỹ của khuôn mặt. Những tác hại này ảnh hưởng trực tiếp đến đời sống hàng ngày và sự tự tin của người mắc bệnh.

Ảnh hưởng đến răng – khớp cắn
Tình trạng đẩy lưỡi kéo dài sẽ làm thay đổi cấu trúc răng, dẫn đến lệch lạc hoặc mất cân đối trong khớp cắn. Răng có thể bị đẩy ra ngoài hoặc vào trong rất khó kiểm soát, gây ra tình trạng răng hô, móm hoặc lệch lạc không đều.
Trong nhiều trường hợp, tật đẩy lưỡi còn gây ra các lệch lạc về cấu trúc răng hàm, làm các hàm không ăn khớp chuẩn, dẫn đến các vấn đề về chức năng nhai, nuốt. Điều này không chỉ ảnh hưởng đến khả năng tiêu hóa mà còn gây quá tải cho các cơ hàm, dẫn đến đau kéo dài hoặc viêm khớp thái dương hàm.
Ảnh hưởng đến phát âm
Phát âm các âm như “s”, “sh”, “r” hay các âm cần có sự kiểm soát của lưỡi bị ảnh hưởng đáng kể. Người mắc tật đẩy lưỡi thường gặp khó khăn trong việc phát âm rõ ràng, đôi khi phải cố gắng gượng hoặc sửa khẩu hình miệng để phù hợp.
Ngoài ra, việc đẩy lưỡi liên tục còn gây ra hiện tượng nói lí nhí hoặc nói chậm, ngọng. Đặc biệt, trẻ em mắc bệnh này khi lớn dễ trở thành tự ti về phát âm, gây ảnh hưởng đến khả năng giao tiếp và tự lập.
Ảnh hưởng đến thẩm mỹ khuôn mặt
Chức năng của hệ cơ miệng và cấu trúc xương hàm đều bị tác động bởi tật đẩy lưỡi, dẫn đến dáng mặt dài, lệch, mất cân đối. Khuôn mặt của người mắc bệnh thường có biểu hiện không hài hòa, khuôn môi không thể tự nhiên, gây mất thẩm mỹ và ảnh hưởng tự tin trong giao tiếp xã hội.
Thậm chí, các khuyết điểm về răng và hàm có thể khiến người bệnh cảm thấy tự ti khi gặp gỡ, giao tiếp hàng ngày. Vì vậy, việc xử lý tật đẩy lưỡi sớm sẽ giúp duy trì thẩm mỹ và sự tự tin của người bệnh trong môi trường sống.
Tật đẩy lưỡi ở trẻ em và người lớn: Có khác nhau không?
Tật đẩy lưỡi không chỉ là vấn đề của trẻ nhỏ mà còn xuất hiện ở người lớn, tuy nhiên, có những điểm khác biệt rõ rệt về nguyên nhân, biểu hiện và cách xử lý. Hiểu rõ sự khác biệt này sẽ giúp bác sĩ, cha mẹ hoặc người lớn có hướng tiếp cận phù hợp hơn.
Tật đẩy lưỡi ở trẻ em và biểu hiện đặc trưng
Ở trẻ nhỏ, tật đẩy lưỡi thường đi kèm với các thói quen như bú ngón, mút tay hay thở miệng, gây ra sự phát triển không đều của xương hàm và răng. Trẻ còn dễ mắc các vấn đề về ngôn ngữ, phát âm chậm hoặc lẩm bẩm do hành vi đẩy lưỡi kéo dài.
Trong quá trình phát triển, nếu không can thiệp kịp thời, bệnh có thể trở thành mãn tính, gây ảnh hưởng nặng nề đến các cấu trúc sinh lý của khuôn mặt và lưỡi. Ở trẻ, phương pháp điều trị chủ yếu tập trung vào chỉnh hình, điều chỉnh thói quen và tư duy học tập phù hợp.

Tật đẩy lưỡi ở người lớn và những khác biệt cần lưu ý
Người lớn mắc tật đẩy lưỡi thường do các biến chứng của các bệnh về răng hay các thói quen xấu đã hình thành lâu ngày. Thường họ đã quen với thói quen này từ nhỏ nhưng chưa từng được điều chỉnh đúng cách.
Ở người lớn, việc điều trị có nhiều thách thức hơn, do mô mềm đã cứng hơn, xương hàm đã phát triển cố định, nên cần các phương pháp xử lý chuyên sâu và lâu dài hơn. Việc điều trị thể hiện rõ nét trong các lĩnh vực chỉnh hình, phẫu thuật hay sử dụng khí cụ hỗ trợ.
Liệu những đặc điểm này có ảnh hưởng đến quyết định điều trị?
Chắc chắn, sự khác biệt về tuổi tác, cơ thể và mức độ phát triển của tổn thương sẽ ảnh hưởng lớn đến phương pháp điều trị. Ở trẻ em, cần tập trung vào việc chỉnh hình sớm, phòng tránh các hậu quả lâu dài.
Trong khi đó, đối với người lớn, cần kết hợp cả trị liệu chức năng và chỉnh hình phù hợp để đảm bảo hiệu quả lâu dài. Đồng thời, việc giáo dục cộng đồng và hướng dẫn thay đổi thói quen sống đóng vai trò cực kỳ quan trọng trong quá trình điều trị.
Cách điều trị tật đẩy lưỡi hiệu quả
Việc xử lý tật đẩy lưỡi cần được thực hiện bởi đội ngũ y bác sĩ có chuyên môn cao, kết hợp các phương pháp điều trị phù hợp theo từng độ tuổi, nguyên nhân và mức độ bệnh. Các phương pháp đều hướng tới mục tiêu giảm thiểu tình trạng đẩy lưỡi, cân đối cấu trúc răng hàm và cải thiện chức năng phát âm, thẩm mỹ khuôn mặt.
Liệu pháp Myobrace / Myofunctional Therapy (bài tập cơ lưỡi – môi)
Phương pháp này dựa trên việc thực hiện các bài tập cơ chế hoạt động của lưỡi, môi, hàm để giúp điều chỉnh thói quen đẩy lưỡi tự nhiên. Người bệnh sẽ được hướng dẫn thực hiện các bài tập đơn giản, đều đặn để luyện tập cơ mềm trong miệng, giúp lưỡi giữ vị trí đúng hơn.
Các bài tập này không chỉ giúp giảm thiểu việc đẩy lưỡi mà còn cải thiện khả năng phát âm, giúp răng mọc đều đặn và tốt hơn. Phương pháp này phù hợp với trẻ em và người lớn có ý thức hợp tác để duy trì thói quen tốt sau điều trị.
Sử dụng khí cụ hỗ trợ
Khí cụ hỗ trợ thường là các loại đệm, nẹp hoặc thiết bị cố định nhằm giữ lưỡi và môi ở vị trí phù hợp trong thời gian dài. Chúng gây áp lực nhẹ nhàng giúp lưỡi không còn xu hướng đẩy ra hoặc đẩy vào quá mức, từ đó định hình cấu trúc răng hàm đúng chuẩn.
Phương pháp này đặc biệt hiệu quả khi kết hợp với bài tập chức năng và chỉnh hình răng. Thời gian đeo khí cụ còn tùy thuộc vào mức độ và độ tuổi của người bệnh, nhưng thường kéo dài từ vài tháng đến hơn một năm để đạt kết quả tối ưu.
Chỉnh nha điều trị khớp cắn hở hoặc răng hô
Trong nhiều trường hợp, tật đẩy lưỡi đi kèm với các vấn đề về răng như hô, móm hoặc lệch lạc nghiêm trọng. Lúc này, chỉnh nha hoặc chỉnh hình cấu trúc hàm là phương án tối ưu để điều chỉnh khớp cắn, đồng thời hạn chế tối đa ảnh hưởng của thói quen đẩy lưỡi.
Các phương pháp chỉnh nha phổ biến gồm mắc cài truyền thống, mắc cài Invisalign, hoặc phối hợp phẫu thuật để chỉnh sửa cấu trúc xương hàm. Quá trình này đòi hỏi sự phối hợp chặt chẽ giữa bác sĩ nha khoa và bác sĩ phẫu thuật hàm mặt để đạt kết quả cao cả về thẩm mỹ lẫn chức năng.

Tật đẩy lưỡi bao lâu thì khỏi?
Thời gian điều trị tật đẩy lưỡi phụ thuộc vào nhiều yếu tố như độ tuổi, mức độ tổn thương, nguyên nhân gây bệnh và phương pháp điều trị áp dụng. Chẩn đoán chính xác và chăm sóc đúng cách sẽ giúp rút ngắn thời gian chữa trị, đem lại hiệu quả lâu dài.
Thời gian trung bình của quá trình điều trị
Thông thường, đối với trẻ em, quá trình chỉnh hình và điều trị tật đẩy lưỡi có thể kéo dài từ 6 đến 12 tháng. Các bài tập chức năng và đeo khí cụ sẽ giúp kiểm soát thói quen, đồng thời thúc đẩy sự phát triển tự nhiên của xương hàm và răng.
Trong trường hợp người lớn, thời gian chữa trị thường lâu hơn, từ 12 đến 24 tháng, do tình trạng xương cứng hơn, mô mềm mất tính đàn hồi. Quá trình này đòi hỏi sự kiên trì, hợp tác của người bệnh để đảm bảo quá trình điều trị đạt kết quả như mong muốn.
Yếu tố ảnh hưởng đến thời gian khỏi bệnh
Các yếu tố ảnh hưởng gồm: tính kiên trì của người bệnh trong việc thực hiện bài tập, đeo khí cụ, chế độ sinh hoạt hợp lý; mức độ nghiêm trọng của tật đẩy lưỡi; độ tuổi của người mắc bệnh; và khả năng phối hợp của đội ngũ y bác sĩ.
Ngoài ra, việc phát hiện sớm và bắt đầu điều trị đúng cách càng sớm thì thời gian khỏi bệnh càng rút ngắn, đồng thời toàn bộ quá trình trở nên dễ dàng và hiệu quả hơn.

Niềng răng uy tín tại Nha Khoa Sài Gòn
Chọn địa chỉ niềng răng uy tín đóng vai trò quan trọng trong quá trình điều trị tật đẩy lưỡi cũng như các vấn đề về răng – hàm mặt khác. Nha Khoa Saigon là một trong những trung tâm nha khoa hàng đầu, nổi bật với đội ngũ bác sĩ giàu kinh nghiệm, trang thiết bị hiện đại và quy trình điều trị chuyên nghiệp.
Phương pháp và công nghệ tiên tiến tại Nha Khoa Sài Gòn
Nha Khoa Sài Gòn áp dụng các công nghệ chỉnh hình răng hiện đại như mắc cài composite, mắc cài trong suốt Invisalign, và các thiết bị hỗ trợ tối ưu phù hợp từng trường hợp cụ thể. Đồng thời, các phương pháp can thiệp chức năng như Myobrace hay khí cụ hỗ trợ đều được áp dụng để đảm bảo hiệu quả cao nhất.
Ngoài ra, trung tâm còn có đội ngũ tư vấn viên tận tâm, nhiệt tình, giúp khách hàng hiểu rõ quy trình điều trị, phác đồ phù hợp, từ đó yên tâm và hợp tác tích cực trong suốt quá trình điều trị.
Chất lượng dịch vụ và chế độ hậu mãi dài hạn
Nha Khoa Sài Gòn cam kết mang lại dịch vụ tốt nhất từ tư vấn, khám lâm sàng đến theo dõi sau điều trị. Quy trình kiểm tra định kỳ giúp đánh giá tiến trình và điều chỉnh phù hợp, đảm bảo răng hàm được duy trì ổn định lâu dài.
Hơn nữa, các chính sách bảo hành, bảo trì, dịch vụ chăm sóc khách hàng chu đáo giúp khách hàng yên tâm hơn khi lựa chọn điều trị tại đây. Đến với Nha Khoa Sài Gòn, bạn sẽ được trải nghiệm dịch vụ nha khoa chuẩn quốc tế, giúp cải thiện sức khỏe răng miệng một cách toàn diện và hiệu quả nhất.
Tật đẩy lưỡi là một bệnh lý thường gặp nhưng chủ yếu bị bỏ qua hoặc không được nhận thức đúng mức, dẫn đến nhiều hậu quả lâu dài về sức khỏe và thẩm mỹ. Hiểu rõ nguyên nhân, dấu hiệu nhận biết và các phương pháp điều trị phù hợp là chìa khóa giúp người bệnh kiểm soát tốt tình trạng, giảm thiểu tối đa các biến chứng.
Điều trị hiệu quả đòi hỏi sự phối hợp chặt chẽ giữa người bệnh, phụ huynh và đội ngũ y bác sĩ chuyên môn, đặc biệt là trong quá trình can thiệp sớm. Chọn lựa trung tâm nha khoa uy tín như Nha Khoa Sài Gòn sẽ giúp bạn an tâm hơn về chất lượng dịch vụ, công nghệ tiên tiến và kết quả điều trị tối ưu.
Hãy quan tâm đến sức khỏe răng miệng của bạn và gia đình để có một cuộc sống tự tin, khỏe mạnh và hạnh phúc hơn nhé!
