Trong những năm gần đây, răng sứ Venus trở thành lựa chọn được nhiều người ưa chuộng khi muốn cải thiện nụ cười và phục hồi hàm răng trắng sáng tự nhiên. Với khả năng thẩm mỹ cao, độ bền ấn tượng và mức giá hợp lý, dòng sứ này đang dần khẳng định vị thế trong lĩnh vực nha khoa thẩm mỹ. Vậy răng sứ Venus là gì, có những ưu nhược điểm nào và cách chăm sóc ra sao để duy trì độ bền đẹp lâu dài? Hãy cùng tìm hiểu chi tiết trong bài viết dưới đây.
Răng sứ Venus là gì?

Răng sứ Venus là dòng răng sứ cao cấp được chế tác bằng công nghệ hiện đại, mang đến vẻ đẹp tự nhiên, khả năng chịu lực vượt trội và độ bóng sáng lâu dài. Dòng sản phẩm này thường được lựa chọn để phục hình những răng bị hư tổn, mất răng hoặc cải thiện thẩm mỹ nụ cười. Nhờ những ưu điểm nổi bật, răng sứ Venus hiện đang trở thành xu hướng mới trong lĩnh vực nha khoa thẩm mỹ.
Nhiều khách hàng khi nghe đến răng sứ Venus thường băn khoăn về nguồn gốc và lý do khiến dòng sản phẩm này được ưa chuộng rộng rãi. Trên thực tế, Venus được các bác sĩ nha khoa đánh giá rất cao nhờ khả năng ứng dụng linh hoạt trong nhiều trường hợp — từ phục hình một vài răng riêng lẻ đến phục hình toàn hàm. Điều này giúp người dùng có nhiều lựa chọn phù hợp với nhu cầu thẩm mỹ và ngân sách cá nhân.
Trong phần tiếp theo, chúng ta sẽ tìm hiểu rõ hơn về xuất xứ – thương hiệu và đặc điểm cấu tạo của răng sứ Venus, qua đó giúp bạn hiểu sâu hơn về công nghệ cũng như ứng dụng của dòng răng sứ cao cấp này trong thực tế.
Xuất xứ và thương hiệu
Răng sứ Venus là sản phẩm của một tập đoàn nha khoa hàng đầu thế giới, với hệ thống nhà máy đặt tại nhiều quốc gia phát triển như Mỹ, Đức, Nhật Bản… Thương hiệu Venus nổi bật nhờ sự kết hợp giữa công nghệ tiên tiến và tiêu chuẩn quốc tế về chất lượng, mang đến sản phẩm vừa thẩm mỹ vừa bền bỉ.
Dòng răng sứ Venus ra đời từ ý tưởng tạo nên một giải pháp phục hình răng đạt tính thẩm mỹ cao, đáp ứng nhu cầu ngày càng khắt khe của người tiêu dùng về chất lượng, độ bền và độ tự nhiên. Sản phẩm đã được kiểm nghiệm lâm sàng, chứng nhận an toàn bởi nhiều tổ chức y tế uy tín trên thế giới.
Hiện nay, răng sứ Venus đã có mặt tại nhiều quốc gia và được phân phối qua các trung tâm nha khoa đạt chuẩn, đảm bảo nguồn gốc rõ ràng và chứng nhận chất lượng đầy đủ. Ngoài ra, dòng răng này còn liên tục được cải tiến về khả năng thích ứng sinh học, giúp mang lại cảm giác tự nhiên, dễ chịu như răng thật cho người sử dụng.
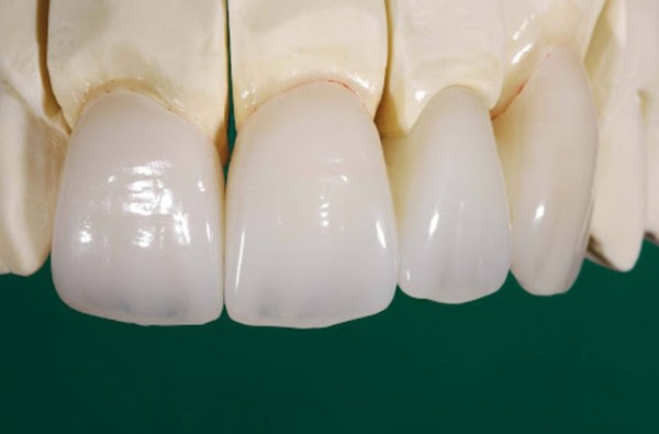
Đặc điểm cấu tạo

Răng sứ Venus được cấu tạo gồm ba lớp chính:
- Lớp lõi cứng cáp – tạo khung chịu lực, giúp răng chắc khỏe.
- Lớp sứ phủ ngoài trong suốt – mô phỏng màu sắc tự nhiên của răng thật.
- Lớp men bóng mờ – giúp bề mặt răng sáng bóng, có độ phản quang tự nhiên.
Công nghệ chế tác hiện đại cho phép từng chiếc răng được thiết kế chính xác theo cấu trúc răng thật, đảm bảo tính thẩm mỹ và độ bền vượt trội.
Chất liệu sứ của Venus có độ chịu lực cao, chống mài mòn và xỉn màu theo thời gian. Đặc biệt, với đặc tính quang học được nghiên cứu kỹ lưỡng, răng sứ Venus có khả năng phân tán ánh sáng tự nhiên, giúp răng trông sống động và chân thật trong mọi điều kiện ánh sáng.
Ngoài ra, Venus còn có độ tương thích sinh học cao, giảm thiểu nguy cơ kích ứng nướu hay dị ứng vật liệu. Nhờ vậy, khách hàng có thể yên tâm sử dụng lâu dài, vừa đảm bảo thẩm mỹ nụ cười, vừa duy trì sức khỏe răng miệng tối ưu.
Răng sứ Venus được chỉ định cho trường hợp nào?
Chất lượng và tính thẩm mỹ cao là những điểm mạnh của răng sứ Venus, vì thế nó phù hợp với nhiều đối tượng khách hàng gặp các vấn đề khác nhau về răng miệng. Tuy nhiên, để đạt được hiệu quả tối ưu, việc chỉ định sử dụng dòng răng này cần dựa trên các tình trạng cụ thể của khách hàng.
Trong phần này, chúng ta sẽ làm rõ các trường hợp cụ thể khi khách hàng nên lựa chọn răng sứ Venus để phục hình răng, giúp chăm sóc và bảo vệ sức khỏe răng miệng tốt nhất.
Các bác sĩ nha khoa khuyên dùng răng sứ Venus trong các trường hợp sau đây do các đặc điểm về thẩm mỹ và khả năng chịu lực của dòng sản phẩm này phù hợp với từng tình trạng răng của khách hàng.
Răng bị sứt mẻ, vỡ

Trong trường hợp răng bị sứt mẻ, vỡ do chấn thương hoặc sâu răng nặng, phục hình bằng răng sứ Venus sẽ giúp khôi phục hình dáng và chức năng nhai của răng một cách nhanh chóng và hiệu quả.
Răng bị sứt mẻ làm giảm khả năng ăn nhai, gây mất thẩm mỹ và dễ dẫn đến các vấn đề về răng miệng như vi khuẩn tích tụ, sâu răng. Lựa chọn răng sứ Venus giúp che phủ toàn bộ phần mẻ, đồng thời tạo ra lớp mão sứ bền chắc, chịu lực tốt, có tính thẩm mỹ cao như răng thật.
Ngoài ra, dòng răng này còn thích hợp để tái tạo các răng vỡ do tai nạn hoặc bị mài mòn lâu dài. Với công nghệ chế tác tinh xảo, răng sứ Venus mang đến kết quả phục hình tự nhiên, giúp nụ cười của bạn trở lại rạng rỡ mà không lộ rõ dấu vết thẩm mỹ.
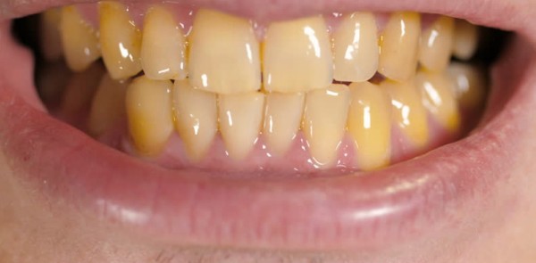
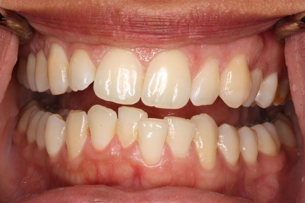
Răng ố vàng, nhiễm màu nặng

Tình trạng răng ố vàng, nhiễm màu do sử dụng thuốc kháng sinh hoặc thức ăn, đồ uống có chứa chất làm đen răng là vấn đề phổ biến hiện nay. Không còn quá lo lắng khi có sự hỗ trợ của răng sứ Venus với khả năng che phủ tốt, mang lại hàm răng sáng bóng, đều màu như mong muốn.
Khác với các phương pháp tẩy trắng răng thông thường chỉ tác động bề mặt, bọc sứ Venus giúp phủ lên toàn bộ thân răng, loại bỏ hoàn toàn các vết ố vàng, xỉn màu. Màu sắc của răng sứ ngoài tự nhiên, có thể tùy chọn theo ý thích hoặc phù hợp với cấu trúc hàm mặt, giúp cải thiện thẩm mỹ rõ rệt và đáng kể.
Chính vì vậy, dòng răng này rất phù hợp cho các khách hàng có tình trạng răng vàng, nhiễm màu lâu ngày hoặc các yếu tố di truyền làm thay đổi màu men răng, giúp lấy lại tự tin trong giao tiếp và hàng ngày.
Răng thưa, hô, lệch lạc nhẹ

Răng thưa, răng hô nhẹ hoặc lệch lạc nhẹ là những tình trạng về hình dạng răng, kích cỡ không đều, ảnh hưởng trực tiếp đến thẩm mỹ và khả năng ăn nhai của khách hàng.
Với công nghệ chế tác tinh xảo, răng sứ Venus có thể đem lại hình dáng răng đều đặn, màu sắc sáng bóng, giúp cải thiện nụ cười rõ rệt mà không cần phải thực hiện các phương pháp chỉnh nha phức tạp hoặc lâu dài.
Phục hình bằng răng sứ Venus đặc biệt phù hợp cho các trường hợp nhẹ, khi các răng còn giữ nguyên các chức năng cơ bản, chỉ cần cải thiện về mặt thẩm mỹ. Khi đó, khách hàng có thể nhanh chóng lấy lại vẻ đẹp tự nhiên, tự tin hơn trong cuộc sống hàng ngày.
Trường hợp cần phục hình toàn bộ răng

Khi toàn bộ hàm răng của khách hàng gặp các vấn đề nghiêm trọng: sâu răng nhiều, tiêu xương, mất răng hàng loạt hoặc răng hư tổn quá nhiều, thì phương pháp phục hình toàn bộ hàm bằng răng sứ Venus là lựa chọn phù hợp.
Phục hình toàn hàm giúp khôi phục chức năng nhai, khả năng phát âm, bên cạnh đó còn tạo nên một nụ cười đều đẹp, hài hòa với khuôn mặt. Thời gian thực hiện nhanh hơn so với các phương pháp chỉnh nha hoặc cấy ghép răng phức tạp, đồng thời tiết kiệm chi phí đáng kể cho khách hàng.
Những khách hàng có nhu cầu phục hình toàn hàm nên lựa chọn dòng sứ chất lượng cao, trong đó răng sứ Venus là một trong những lựa chọn hàng đầu nhờ khả năng thích ứng sinh học cao, độ bền lâu dài cùng tính thẩm mỹ vượt trội.
Ưu điểm và hạn chế của răng sứ Venus

Lựa chọn dòng răng sứ phù hợp đảm bảo không chỉ hàm răng đẹp mà còn duy trì được sức khỏe lâu dài. Răng sứ Venus mang nhiều ưu điểm nổi trội nhưng cũng không tránh khỏi một số hạn chế nhất định.
Trong phần này, sẽ giúp bạn nhìn nhận rõ hơn về những lợi ích cốt lõi của dòng răng sứ này cũng như những điểm cần cân nhắc trước khi quyết định sử dụng.
Ưu điểm
Với hàng loạt các đặc điểm vượt trội, răng sứ Venus thực sự là sự lựa chọn hàng đầu trong lĩnh vực phục hình răng thẩm mỹ.
Một trong những ưu điểm dễ nhận thấy nhất của dòng sứ này chính là khả năng tạo ra vẻ đẹp tự nhiên như răng thật, từ màu sắc đến hình dáng. Nhờ công nghệ chế tác hiện đại, răng sứ Venus có khả năng phân tán ánh sáng giống men răng thật, giúp tự nhiên và hài hòa với các răng kế cận.
Ngoài ra, độ bền của răng sứ Venus rất cao nhờ vật liệu sứ cứng chắc, chịu lực tốt, ít bị mài mòn hoặc biến dạng theo thời gian. Điều này phù hợp cho những người có thói quen ăn uống hoặc sinh hoạt hàng ngày khá tất bật. Đặc biệt, khả năng thích ứng sinh học tốt giúp giảm thiểu các phản ứng phụ như kích ứng, sưng tấy hoặc dị ứng.
Mức giá phù hợp cùng nhiều chương trình ưu đãi cũng là điểm cộng của dòng sản phẩm này, giúp nhiều khách hàng có thể tiếp cận những giải pháp nha khoa chất lượng, tiết kiệm chi phí nhưng vẫn đạt hiệu quả cao.
Hạn chế
Dù có nhiều ưu điểm, răng sứ Venus vẫn còn một số hạn chế cần được cân nhắc gần đây để tránh những bất tiện hoặc rủi ro không mong muốn khi sử dụng.
Một trong những hạn chế lớn của dòng răng này chính là khả năng chịu lực chưa thể sánh bằng các dòng sứ kim loại hoặc toàn sứ cao cấp hơn. Trong quá trình nhai, đặc biệt với các loại thức ăn cứng, răng sứ có thể gặp phải nguy cơ nứt mẻ hoặc vỡ nếu không được chế tác hoặc chăm sóc đúng cách.
Các dòng sứ Venus cũng cần chú ý đến thời gian duy trì màu sắc, mặc dù khả năng chống xỉn màu tốt nhưng vẫn có thể xuống cấp theo thời gian do tác động của thức ăn, đồ uống có màu hoặc vệ sinh không đúng cách.
Với việc sử dụng lâu dài, khách hàng có thể gặp các vấn đề về cảm giác bị cộm, hoặc mô nướu bị kích ứng nếu quá trình lắp đặt không đúng kỹ thuật hoặc chất liệu không phù hợp. Đặc biệt, giá thành của các dòng sứ cao cấp có thể gây ra một số lo lắng về chi phí, tuy nhiên bù lại là chất lượng và độ an toàn lâu dài.
Một số lưu ý khi chọn địa chỉ nha khoa làm răng sứ Venus

Lựa chọn địa chỉ nha khoa uy tín đóng vai trò quyết định đến kết quả cuối cùng của ca trồng răng sứ Venus. Một trung tâm nha khoa chất lượng sẽ đảm bảo quy trình thực hiện đúng kỹ thuật, vật liệu chính hãng, đồng thời mang lại cảm giác an tâm và hài lòng cho khách hàng.
Trước khi quyết định thực hiện dịch vụ này, bạn cần lưu ý tới một số tiêu chí nhất định để tránh những rủi ro không mong muốn, cũng như đảm bảo hiệu quả thẩm mỹ, chức năng nha khoa lâu dài nhất.
Việc lựa chọn đúng nơi uy tín còn giúp bạn tránh khỏi tình trạng lừa đảo, sử dụng vật liệu kém chất lượng hoặc thiếu chuyên nghiệp trong kỹ thuật thực hiện.
Tham khảo và đánh giá trung tâm nha khoa
Trước khi đặt lịch hẹn, bạn nên dành thời gian tìm hiểu về các trung tâm nha khoa quanh khu vực của mình. Tham khảo ý kiến từ người thân, bạn bè hoặc đọc các đánh giá trên các diễn đàn, mạng xã hội về chất lượng dịch vụ, đội ngũ bác sĩ, phản hồi của khách hàng đã trải nghiệm dịch vụ.
Chọn những địa chỉ có giấy phép hoạt động rõ ràng, trang thiết bị hiện đại và áp dụng công nghệ tiên tiến trong chế tác, lắp đặt răng sứ Venus. Các trung tâm nha khoa uy tín còn có đội ngũ bác sĩ nhiều năm kinh nghiệm, hướng dẫn chăm sóc hậu phẫu rõ ràng để đảm bảo kết quả cuối cùng mỹ mãn.
Ngoài ra, bạn cũng nên kiểm tra về chính sách bảo hành, chi phí rõ ràng, minh bạch và các dịch vụ hỗ trợ sau điều trị để tránh phát sinh thêm chi phí không mong muốn khi thực hiện.
Kiểm tra uy tín và chất lượng vật liệu
Một bước quan trọng không kém khi chọn địa chỉ nha khoa là xác minh nguồn gốc và chất lượng của vật liệu răng sứ Venus được sử dụng. Việc này giúp hạn chế tối đa các rủi ro về kích ứng, dị ứng hoặc chất lượng kém dẫn đến kết quả không như ý.
Bạn nên yêu cầu nha sĩ cung cấp giấy tờ chứng nhận, xuất xứ rõ ràng của vật liệu trưng bày trong phòng khám. Đặc biệt, khi mua sứ, yêu cầu xác nhận về nguồn gốc, hạn sử dụng và các tiêu chuẩn kỹ thuật đạt chuẩn quốc tế để đảm bảo sự an toàn và hiệu quả.
Chọn trung tâm nha khoa có uy tín và có đội ngũ kỹ thuật viên được đào tạo bài bản sẽ giúp quá trình phục hình diễn ra chính xác, nhanh chóng và mang lại kết quả hài lòng nhất.
Chăm sóc răng sứ Venus sau khi bọc

Sau khi thực hiện bọc răng sứ Venus, công đoạn chăm sóc đúng cách đóng vai trò then chốt để duy trì độ bền và tính thẩm mỹ của răng trong thời gian dài.
Bạn cần tuân thủ chế độ vệ sinh răng miệng kỹ lưỡng, kết hợp với các mẹo chăm sóc cụ thể để tránh các vấn đề như viêm nướu, sâu răng hoặc giảm tuổi thọ của răng sứ.
Chống chỉ định sử dụng các loại thức ăn quá cứng hoặc quá dai, hạn chế tiêu thụ thực phẩm có màu để không gây xỉn màu hoặc hư tổn lớp sứ bên ngoài.
Thường xuyên kiểm tra định kỳ tại các trung tâm nha khoa để phát hiện sớm các vấn đề nhỏ, giúp xử lý kịp thời, kéo dài tuổi thọ của răng sứ Venus.
Vệ sinh răng đúng cách
Sử dụng bàn chải mềm, chải nhẹ nhàng và đều đặn ít nhất 2 lần/ngày để loại bỏ mảng bám, vi khuẩn tích tụ quanh răng sứ. Đặc biệt, có thể bổ sung chỉ nha khoa hoặc máy tăm nước giúp làm sạch khe rãnh, tránh tình trạng viêm nướu hoặc hôi miệng.
Không nên dùng các loại bàn chải cứng hoặc kem đánh răng có chứa thành phần mài mòn quá cao vì dễ làm mất lớp men răng sứ và làm xỉn màu theo thời gian.
Ngoài ra, thói quen kiểm tra định kỳ, làm sạch răng chủ động cũng giúp duy trì hiệu quả phục hình lâu dài.
Chế độ ăn uống hợp lý
Hạn chế tiêu thụ các thực phẩm quá dai hoặc quá cứng, dễ gây nứt vỡ lớp sứ như kẹo cứng, hạt cứng, bỏng ngô… để bảo vệ tuổi thọ của răng sứ.
Tránh thức ăn có màu như cà phê, trà đậm, rượu vang, nước sốt màu… để duy trì vẻ sáng bóng tự nhiên của răng. Đặc biệt, sau khi bọc răng, bạn nên ưu tiên các loại thực phẩm mềm, dễ nhai, giàu chất dinh dưỡng để nâng cao sức khỏe răng miệng và lợi.
Uống đủ nước, hạn chế thức khuya hoặc các thói quen xấu như hút thuốc lá, uống rượu nhiều cũng góp phần giảm khả năng xỉn màu, giữ cho nụ cười luôn rạng rỡ và tươi tắn.
Bọc răng sứ Venus giá bao nhiêu?

Chi phí là yếu tố quan trọng trong quyết định của nhiều khách hàng khi lựa chọn răng sứ Venus. Hiện nay, mức giá bọc sứ dao động phụ thuộc vào nhiều yếu tố như số lượng răng cần làm, loại sứ chọn lựa, trung tâm nha khoa và các dịch vụ đi kèm.
Bạn cần cân nhắc về lợi ích lâu dài và chất lượng dịch vụ để không chỉ tiết kiệm chi phí mà còn đạt được kết quả tốt nhất. Nhiều trung tâm nha khoa hiện nay cung cấp các gói dịch vụ linh hoạt, phù hợp với ngân sách của từng khách hàng, đồng thời có chính sách bảo hành, bảo trì rõ ràng.
Giá tham khảo và các chi phí phát sinh
Mức giá trung bình cho một chiếc răng sứ Venus dao động khoảng từ 3 triệu đến 8 triệu đồng, tùy thuộc vào loại sứ, công nghệ và chất lượng vật liệu. Các dòng sứ cao cấp, toàn sứ cao cấp hoặc sứ ceramometal có thể có giá cao hơn, thường giao động từ 6-10 triệu đồng mỗi răng.
Làm răng toàn hàm hoặc phục hình nhiều răng sẽ có chi phí tổng thể cao hơn, tuy nhiên đây là khoản đầu tư lâu dài, giúp bạn có hàm răng đẹp, chức năng nhai tốt và tuổi thọ cao hơn.
Ngoài ra, một số chi phí phát sinh có thể bao gồm kiểm tra ban đầu, cấy ghép implant (nếu cần thiết), các dịch vụ hỗ trợ sau điều trị hoặc các phương pháp bảo trì định kỳ. Các trung tâm nha khoa uy tín thường có chính sách khuyến mãi hoặc ưu đãiCombo giúp khách hàng tiết kiệm hơn.
Lời khuyên về lựa chọn phù hợp
Bạn nên tham khảo nhiều địa chỉ nha khoa uy tín, so sánh giá cả, chất lượng vật liệu và dịch vụ hậu mãi trước khi quyết định. Đồng thời, đừng quên kiểm tra kỹ các giấy tờ, chứng nhận về nguồn gốc, chất lượng vật liệu cũng như chế độ bảo hành.
Hãy lựa chọn các trung tâm nha khoa có đội ngũ bác sĩ giàu kinh nghiệm, trang thiết bị công nghệ hiện đại nhất, để đảm bảo quá trình thực hiện diễn ra an toàn, không rủi ro và mang lại kết quả mỹ mãn lâu dài.
Kết luận
Có thể thấy, răng sứ Venus là lựa chọn đáng cân nhắc cho những ai mong muốn sở hữu hàm răng trắng sáng, đều đẹp và tự nhiên. Với độ bền cao, khả năng chịu lực tốt cùng tính thẩm mỹ vượt trội, dòng sứ này đáp ứng được nhu cầu của nhiều khách hàng. Tuy nhiên, để răng sứ Venus luôn bền đẹp theo thời gian, bạn nên thực hiện đúng hướng dẫn chăm sóc và thăm khám định kỳ tại nha khoa uy tín. Việc lựa chọn địa chỉ làm răng chất lượng sẽ giúp đảm bảo hiệu quả thẩm mỹ và duy trì nụ cười rạng rỡ lâu dài.
