Răng sứ bị lỏng là một vấn đề phổ biến nhưng lại ít được chú ý đúng mức trong quá trình chăm sóc răng miệng. Khi chiếc răng sứ của bạn không còn chắc chắn như ban đầu, nó không chỉ ảnh hưởng đến thẩm mỹ mà còn gây ra các vấn đề sức khỏe răng miệng nghiêm trọng. Hiểu rõ những nguyên nhân, dấu hiệu nhận biết và các biện pháp khắc phục sẽ giúp bạn duy trì hàm răng khỏe mạnh, tránh các rắc rối đáng tiếc trong tương lai.
Răng sứ bị lỏng là gì?
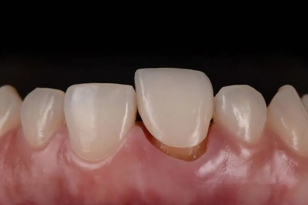
Răng sứ bị lỏng là tình trạng mão sứ được gắn lên răng thật hoặc trụ răng giả bị mất liên kết hoặc giảm độ bám dính, dẫn đến dễ bị xoay, di chuyển hoặc rơi ra khỏi vị trí ban đầu. Trạng thái này tạo cảm giác không chắc chắn, gây cảm giác khó chịu và ảnh hưởng đến khả năng ăn nhai, phát âm của người bệnh.

Trong quá trình sử dụng, răng sứ không chỉ là phương pháp làm đẹp mà còn là giải pháp phục hình chức năng nha khoa, giúp duy trì kiểu dáng và chức năng ăn nhai của răng. Tuy nhiên, nếu không chăm sóc đúng cách hoặc gặp các vấn đề về kỹ thuật, răng sứ dễ bị lỏng lẽo, gây ra những hậu quả nghiêm trọng về lâu dài.
Chúng ta cần nhận diện sớm các dấu hiệu của tình trạng này để có biện pháp xử lý kịp thời, tránh tình trạng phải thay mới toàn bộ hoặc gây ảnh hưởng lớn đến sức khỏe răng miệng.
Nguyên nhân khiến răng sứ bị lỏng
Chất lượng, kỹ thuật gắn kết và thói quen sinh hoạt đều ảnh hưởng đến độ bền của răng sứ. Hiểu rõ các nguyên nhân này giúp phòng tránh và xử lý rủi ro một cách hiệu quả, đảm bảo răng sứ luôn vững chắc trong suốt quá trình sử dụng.

Keo dán răng sứ bị suy yếu
Keo dán răng sứ đóng vai trò quan trọng trong việc cố định mão sứ lên trụ răng. Khi keo bị giảm chất lượng theo thời gian hoặc không đảm bảo ngay từ đầu, độ bám dính sẽ yếu đi, khiến mão sứ dễ bị lỏng hoặc rơi ra.
Bên cạnh đó, việc vệ sinh răng không sạch trước khi gắn sứ, cũng như thói quen ăn nhiều thực phẩm dính hoặc đồ uống có tính axit, có thể làm keo nhanh xuống cấp. Vì vậy, sử dụng keo dán chất lượng cao và thực hiện đúng quy trình nha khoa là yếu tố quan trọng giúp răng sứ bền chắc lâu dài.
Răng sứ lắp sai kỹ thuật
Kỹ thuật lắp đặt răng sứ có vai trò rất quan trọng trong việc giúp răng sứ bền chắc và ổn định. Nếu nha sĩ thực hiện không đúng quy trình hoặc không kiểm tra kỹ độ khít giữa mão sứ và trụ răng, răng sứ có thể bị lỏng hoặc không vừa khớp.
Ngoài ra, việc điều chỉnh khớp cắn không chính xác sẽ khiến lực nhai phân bố không đều, lâu ngày gây áp lực lớn và làm răng sứ dễ hư hỏng. Vì vậy, để đảm bảo hiệu quả lâu dài, khách hàng nên lựa chọn nha khoa uy tín và bác sĩ có tay nghề cao khi phục hình răng sứ.
Nghiến răng khi ngủ
Nghiến răng là nguyên nhân thường gặp khiến răng sứ bị lỏng. Khi cắn chặt hàm hoặc nghiến răng trong lúc ngủ, lực tác động lên răng sứ rất lớn, dễ làm keo dán và mão sứ không còn bám chắc như ban đầu.
Lâu dần, áp lực này có thể làm hỏng keo dán, gây nứt hoặc lung lay trụ răng, khiến răng sứ dễ bị lỏng hoặc rơi ra. Để hạn chế tình trạng này, nên sử dụng máng chống nghiến khi ngủ và điều chỉnh thói quen sinh hoạt, giảm stress để bảo vệ răng sứ tốt hơn.
Răng sứ kém chất lượng
Chất lượng răng sứ ảnh hưởng trực tiếp đến độ bền và độ chắc chắn khi sử dụng. Những loại răng sứ kém chất lượng thường có vật liệu mỏng, dễ nứt vỡ, nguồn gốc không rõ ràng và không tương thích tốt với mô nướu.
Răng sứ chất lượng thấp cũng khó bám chắc vào trụ răng, dễ biến dạng hoặc gây kích ứng sau một thời gian ngắn sử dụng. Vì vậy, lựa chọn răng sứ đạt tiêu chuẩn và thực hiện tại nha khoa uy tín sẽ giúp đảm bảo hiệu quả thẩm mỹ, chức năng ăn nhai và hạn chế tối đa các rủi ro về sau.
Dấu hiệu răng sứ bị lỏng cần đi khám ngay
Việc nhận biết sớm các dấu hiệu răng sứ bị lỏng rất quan trọng vì nó giúp tránh các vấn đề phức tạp và duy trì sức khỏe răng miệng. Bạn có thể chú ý các điểm sau:

- Cảm giác bất thường khi ăn nhai hoặc phát âm: Khi răng sứ bị lỏng, bạn có thể cảm thấy khó chịu, cộm, hoặc phát âm không tự nhiên. Đây là dấu hiệu cảnh báo đầu tiên cần lưu ý.
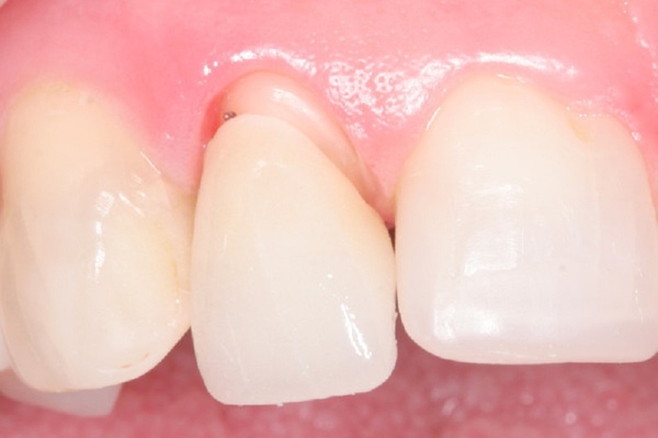
- Quan sát răng sứ di chuyển hoặc thay đổi hình dạng: Nếu răng sứ lệch vị trí, lung lay hoặc mất đi hình dạng ban đầu, đó là dấu hiệu rõ ràng cho thấy răng cần được kiểm tra.
- Khám nha khoa kịp thời khi phát hiện dấu hiệu bất thường: Việc đi khám sớm giúp hạn chế tối đa các hậu quả không mong muốn và đưa ra phương án xử lý đúng cách.
- Kiểm tra định kỳ cho răng sứ lâu năm: Những răng sứ đã tồn tại lâu cần được kiểm tra thường xuyên để phát hiện sớm tình trạng lỏng lẻo hoặc các biến chứng tiềm ẩn, từ đó can thiệp kịp thời.
Răng sứ bị lỏng có nguy hiểm không?
Chắc chắn, tình trạng răng sứ bị lỏng không chỉ gây mất thẩm mỹ mà còn gây ra những ảnh hưởng tiêu cực đến sức khỏe răng miệng. Nếu không xử lý kịp thời, các vi khuẩn có thể tích tụ gây viêm nhiễm, sâu răng, mất răng thật hoặc các bệnh lý nha chu khác.
Ngoài ra, việc răng sứ lỏng còn gây ra sự mất cân đối trong khớp cắn, làm tăng nguy cơ đau hàm, đau cơ mặt hoặc các vấn đề về hệ thần kinh. Điều này không những làm giảm chất lượng cuộc sống mà còn có thể ảnh hưởng đến toàn bộ cấu trúc hàm mặt.
Chính vì vậy, khi nhận thấy các dấu hiệu bất thường, bạn cần nhanh chóng đến nha khoa để kiểm tra và có phương án xử lý phù hợp nhằm đảm bảo an toàn và duy trì chức năng răng miệng tối ưu.
Biện pháp khắc phục răng sứ bị lỏng
Khi răng sứ của bạn bị lỏng, cách xử lý phù hợp sẽ phụ thuộc vào nguyên nhân và mức độ tổn thương. Dưới đây là các phương pháp phổ biến được các bác sĩ nha khoa sử dụng để khắc phục tình trạng này hiệu quả nhất.
Dán lại mão sứ (nếu trụ răng còn tốt)
Nếu phần trụ răng vẫn còn khoẻ mạnh, bác sĩ sẽ tiến hành tháo bỏ mão sứ cũ và dán lại bằng keo chuyên dụng chất lượng cao. Quá trình này đòi hỏi phải vệ sinh, làm sạch triệt để vùng gắn kết để đảm bảo keo dán mới bám chắc, giúp duy trì khả năng ăn nhai và tính thẩm mỹ.

Trong trường hợp này, việc kiểm tra kỹ lưỡng để xác định độ bền của trụ răng là rất cần thiết. Ngoài ra, việc tuân thủ các hướng dẫn chăm sóc sau gắn là yếu tố quyết định thành công của phương pháp này.
Làm lại răng sứ mới
Trong nhiều trường hợp, đặc biệt khi mão sứ cũ đã cũ hoặc bị hư hỏng nặng, các bác sĩ sẽ thực hiện tháo bỏ hoàn toàn răng sứ cũ và chế tác một chiếc mới phù hợp hơn. Quy trình này đòi hỏi lấy dấu, thiết kế lại mão sứ phù hợp với cấu trúc răng miệng của từng người, đảm bảo phần mặt tiếp xúc và chức năng ăn nhai tốt nhất.

Lựa chọn loại vật liệu cao cấp giúp tăng tuổi thọ của mão sứ mới, đồng thời cải thiện tính thẩm mỹ. Quá trình này cũng giúp loại bỏ các vấn đề viêm nhiễm hoặc các tổn thương khác liên quan đến răng thật hoặc mô nướu.
Điều trị viêm nướu – nha chu trước khi gắn lại
Trước khi thực hiện các biện pháp cố định lại răng sứ, việc điều trị các bệnh lý nha chu, viêm nướu là cực kỳ quan trọng. Vi khuẩn hoặc viêm nhiễm lan rộng có thể làm giảm khả năng liên kết của keo dán và gây hư hỏng các mô xung quanh.

Chuyên gia sẽ thực hiện làm sạch sâu, điều trị viêm nướu, lấy bỏ mảng bám, vôi răng để tạo môi trường vệ sinh tối ưu, hạn chế khả năng tái phát viêm nhiễm. Sau khi các yếu tố này được kiểm soát tốt, quá trình gắn lại răng sứ sẽ đạt hiệu quả cao hơn, bền chắc hơn.
Trồng răng implant nếu trụ răng thật bị hư hỏng
Trong những trường hợp trụ răng bị hư hỏng hoặc mất quá nhiều mô răng, các bác sĩ sẽ đề xuất trồng răng implant để thay thế. Phương pháp này giúp duy trì chức năng ăn nhai tối ưu, đồng thời làm tăng độ bền cho phục hình răng sứ.

Cấy ghép implant còn giúp tránh được các tác động tiêu cực của việc mài răng thật hoặc gây tổn thương cho các cấu trúc xung quanh. Ngoài ra, trồng răng implant mang lại độ ổn định lâu dài và giảm thiểu các rủi ro lỏng lẻo trong quá trình sử dụng.
Cách phòng ngừa răng sứ bị lỏng
Phòng bệnh luôn tốt hơn chữa bệnh, chính vì vậy, các biện pháp dự phòng răng sứ bị lỏng đóng vai trò quan trọng trong việc bảo vệ hàm răng của bạn. Từ thói quen chăm sóc cá nhân đến lựa chọn nha khoa uy tín đều góp phần giúp duy trì độ bền của răng sứ.
Việc vệ sinh răng miệng đúng cách, sử dụng chỉ nha khoa và súc miệng bằng dung dịch sát khuẩn sẽ hạn chế vi khuẩn tích tụ gây rối loạn mô nha chu. Ngoài ra, hạn chế sử dụng thực phẩm quá dai, quá cứng hoặc chứa axit mạnh sẽ giúp giảm áp lực lên mão sứ và trụ răng.
Chăm sóc định kỳ tại nha khoa để được kiểm tra, phát hiện sớm các vấn đề tiềm ẩn là chìa khóa giữ gìn hiệu quả độ bền của răng sứ, giúp bạn an tâm hơn trong quá trình sử dụng.
Quy trình xử lý răng sứ bị lỏng tại Nha Khoa Sài Gòn Smile
Chúng tôi tự hào là địa chỉ nha khoa uy tín, chuyên nghiệp, đem lại dịch vụ xử lý răng sứ bị lỏng an toàn, hiệu quả cao. Quy trình làm việc của chúng tôi đảm bảo tuân thủ các tiêu chuẩn quốc tế, mang lại kết quả tối ưu cho khách hàng.

Quy trình bắt đầu bằng bước thăm khám, chẩn đoán chính xác mức độ mất liên kết của răng sứ, đồng thời kiểm tra tình trạng của trụ răng thật, nướu, mô mềm xung quanh. Tiếp theo, sử dụng thiết bị hiện đại để đưa ra phương án điều trị phù hợp nhất.
Sau khi lựa chọn phương pháp xử lý, đội ngũ kỹ thuật viên tiến hành thực hiện với quy trình vệ sinh, làm sạch, rồi tiến hành dán lại hoặc làm mới răng sứ. Cuối cùng, khách hàng được hướng dẫn cách chăm sóc và hẹn lịch kiểm tra định kỳ để duy trì kết quả lâu dài.
Chi phí xử lý răng sứ bị lỏng
Chi phí phục hình, xử lý răng sứ bị lỏng phụ thuộc vào nhiều yếu tố như nguyên nhân, loại răng sứ sử dụng, phương pháp xử lý và tình trạng hiện tại của bệnh nhân. Chính vì vậy, để có mức giá chính xác, bạn nên thăm khám và tư vấn trực tiếp tại nha khoa uy tín.
Thông thường, chi phí này sẽ gồm các khoản như khám lâm sàng, chẩn đoán hình ảnh, vật liệu phục hình mới hoặc dịch vụ dán lại, điều trị các bệnh lý liên quan. Hơn nữa, việc chọn loại mão sứ cao cấp hoặc vật liệu đặc biệt sẽ ảnh hưởng đến giá cả cuối cùng.
Chúng tôi khuyên bạn nên tham khảo nhiều nha khoa, lựa chọn địa chỉ uy tín với đội ngũ bác sĩ giàu kinh nghiệm để vừa đảm bảo chất lượng, vừa hợp lý về tài chính. Đầu tư đúng mức sẽ giúp bạn phòng tránh các rủi ro lớn về sau, tiết kiệm chi phí lâu dài.
Răng sứ bị lỏng là vấn đề phổ biến nhưng có thể phòng tránh và khắc phục hiệu quả nếu bạn nắm rõ nguyên nhân, dấu hiệu và lựa chọn đúng hướng xử lý. Việc duy trì thói quen vệ sinh tốt, kiểm tra định kỳ, chọn nha khoa uy tín và vật liệu cao cấp giúp kéo dài tuổi thọ của răng sứ, tránh các biến chứng đáng tiếc. Trong mọi trường hợp, hãy lắng nghe cơ thể, nhận diện sớm các dấu hiệu bất thường và tìm đến sự trợ giúp của chuyên gia để đảm bảo hàm răng luôn khỏe mạnh, tự tin tỏa sáng mỗi ngày.
