Răng bị thủng lỗ là dấu hiệu cho thấy sâu răng đã tiến triển nặng, gây đau nhức và ảnh hưởng nghiêm trọng đến sức khỏe răng miệng. Khắc phục tình trạng này đòi hỏi sự can thiệp kịp thời từ việc điều trị tại nhà đến can thiệp chuyên nghiệp tại nha khoa. Bài viết dưới đây sẽ cung cấp thông tin chi tiết về mức độ sâu răng, các phương pháp điều trị tại nhà và chuyên nghiệp, cũng như những biện pháp phòng ngừa hiệu quả.
Xác định mức độ răng bị thủng lỗ do sâu răng
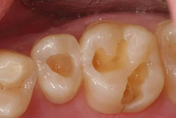
Sâu răng, nguyên nhân chính gây ra tình trạng răng bị thủng lỗ, thường xuất hiện nhiều hơn ở răng hàm. Ban đầu, chỉ là những đốm xám đen nhỏ li ti trên bề mặt răng. Tuy nhiên, nếu không được điều trị, vi khuẩn sẽ tiếp tục tấn công, phá hủy lớp men và ngà răng, tạo thành những lỗ thủng ngày càng lớn.

Tình trạng răng bị thủng lỗ phản ánh mức độ nghiêm trọng của sâu răng. Lỗ thủng nhỏ ban đầu có thể chỉ gây ê buốt khi ăn uống đồ nóng, lạnh hoặc khi thức ăn lọt vào. Tuy nhiên, nếu không được điều trị, vi khuẩn sẽ xâm nhập sâu vào tủy răng, gây viêm tủy, dẫn đến đau nhức dữ dội và kéo dài. Viêm tủy không chỉ gây đau đớn mà còn có thể dẫn đến nhiễm trùng, ảnh hưởng đến các răng xung quanh và gây ra nhiều biến chứng nguy hiểm khác, thậm chí mất răng vĩnh viễn. Việc phát hiện và điều trị sớm là vô cùng cần thiết để ngăn ngừa những hậu quả nghiêm trọng này.
Răng sâu không được điều trị kịp thời có thể dẫn đến tình trạng răng bị thủng nhiều lỗ, ảnh hưởng nghiêm trọng đến sức khỏe răng miệng.
Các cách trị nhức răng có lỗ tại nhà
Theo thống kê của Viện Răng Hàm Mặt Trung ương, khoảng 75% dân số Việt Nam mắc bệnh sâu răng. Đây là con số đáng báo động, cho thấy tầm quan trọng của việc phòng ngừa và điều trị bệnh lý này. Tuy nhiên, trước khi tìm đến sự can thiệp chuyên nghiệp, một số biện pháp tại nhà có thể giúp giảm đau tạm thời. Tuy nhiên cần lưu ý rằng, các biện pháp này chỉ mang tính chất hỗ trợ, không thể thay thế điều trị chuyên sâu tại nha khoa.
Súc miệng với nước muối
Nước muối loãng có khả năng kháng khuẩn và sát trùng nhẹ. Súc miệng với nước muối ấm (1/2 muỗng cà phê muối hòa tan trong một ly nước ấm) trong 1-2 phút có thể giúp làm sạch bề mặt răng, tạm thời giảm đau và hạn chế sự phát triển của vi khuẩn. Tuy nhiên, chỉ nên thực hiện tối đa 2 lần/tuần để tránh làm mất cân bằng hệ vi sinh trong khoang miệng.

Mẹo dùng cỏ lúa mì trị nhức răng
Cỏ lúa mì, với khả năng chống viêm và tăng cường miễn dịch, được sử dụng trong y học cổ truyền để hỗ trợ điều trị sâu răng. Pha loãng bột cỏ lúa mì với nước và sử dụng như nước súc miệng có thể giúp làm dịu cơn đau.

Chiết xuất vani giúp trị nhức răng có lỗ
Chiết xuất vani có khả năng chống oxy hóa, chống viêm và kháng khuẩn, nên được xem là một phương pháp giúp giảm đau nhức răng. Khi nhỏ một vài giọt tinh chất vani lên khu vực răng bị ảnh hưởng, có thể cảm nhận được sự giảm đau tạm thời.

Nha đam trị nhức răng do sâu răng
Nha đam (lô hội) có khả năng kháng khuẩn mạnh mẽ. Thoa gel nha đam lên vùng răng đau trong khoảng 10 phút, sau đó súc miệng sạch sẽ, có thể giúp giảm đau và ức chế sự phát triển của vi khuẩn.

Chườm đá lạnh trị nhức răng
Chườm đá lạnh lên khu vực má bên ngoài răng đang đau trong khoảng thời gian từ 5 đến 10 phút có thể giúp làm co mạch máu, từ đó giảm cảm giác đau một cách tạm thời. Điều này là do nhiệt độ lạnh giúp làm tê bớt các đầu dây thần kinh trong vùng da tiếp xúc, giúp giảm thiểu cơn đau mà bạn đang trải qua.

Cách trị nhức răng có lỗ với đinh hương
Đinh hương, chứa chất eugenol có tác dụng gây tê và kháng viêm, có thể giúp giảm đau tạm thời. Ngậm một miếng bông gòn tẩm hỗn hợp 5 giọt dầu đinh hương và 10ml dầu thực vật lên vùng răng đau.

Làm dịu cơn nhức răng bằng lá bạc hà
Lá bạc hà có chứa các hợp chất có tác dụng gây tê và giảm cảm giác đau một cách nhẹ nhàng. Việc ngậm nước chiết xuất từ lá bạc hà hoặc đặt lá bạc hà lên vùng răng bị đau có thể giúp làm cho cơn đau thuyên giảm.

Mẹo trị nhức răng với nước gừng tươi
Gừng tươi chứa nhiều hoạt chất có tác dụng kháng khuẩn và kháng viêm, giúp làm giảm cảm giác đau và trị hôi miệng. Bạn có thể giã nhuyễn gừng rồi đắp lên chỗ răng bị đau trong khoảng thời gian từ 10 đến 15 phút.

Giảm đau nhức răng có lỗ bằng tỏi
Tỏi có khả năng kháng khuẩn và giảm cảm giác đau. Việc đắp tỏi đã được giã nhuyễn lên khu vực răng bị sâu hoặc nhai trực tiếp (cần chú ý đến nướu) có thể hỗ trợ làm giảm cơn đau một cách tạm thời.

Điều trị nhức răng có lỗ an toàn, hiệu quả
Các biện pháp tại nhà chỉ mang tính chất tạm thời. Để điều trị triệt để và an toàn, cần đến nha khoa để được thăm khám và điều trị chuyên nghiệp. Hai phương pháp điều trị chính là:
Hàn trám răng
Khi sâu răng ở giai đoạn đầu với lỗ thủng nhỏ, bác sĩ sẽ tiến hành làm sạch mô răng bị ảnh hưởng và sử dụng vật liệu chuyên dụng để trám lại lỗ hổng đó. Đây là phương pháp hiệu quả để ngăn chặn sự phát triển của sâu răng và duy trì sức khỏe răng miệng.

Bọc răng sứ
Phương pháp này được áp dụng cho các trường hợp sâu răng nặng, với lỗ thủng lớn nhưng vẫn còn khả năng bảo tồn răng. Bác sĩ sẽ tiến hành mài bớt phần cùi răng và sau đó bọc một lớp sứ bên ngoài để phục hồi hình dáng răng và bảo vệ tủy răng.

Nha khoa Sài Gòn Smile – Địa chỉ nha khoa điều trị sâu răng uy tín và an toàn
Nha khoa Sài Gòn Smile cung cấp các dịch vụ điều trị sâu răng, bao gồm hàn trám và bọc răng sứ, với đội ngũ bác sĩ giàu kinh nghiệm, trang thiết bị hiện đại và đảm bảo vô trùng cao. Quy trình điều trị khoa học, tuân thủ theo đúng quy định của Bộ Y Tế.

Đội ngũ bác sĩ có tay nghề chuyên môn cao
Nha khoa Sài Gòn Smile tự hào sở hữu một đội ngũ bác sĩ chuyên nghiệp, được đào tạo bài bản và có nhiều kinh nghiệm trong việc khám chữa các vấn đề liên quan đến răng miệng.
Ứng dụng máy móc và trang thiết bị hiện đại
Hệ thống thiết bị hiện đại của chúng tôi, bao gồm máy chụp X-quang, máy quét trong miệng và công nghệ CAD/CAM 3D, mang đến khả năng chẩn đoán chính xác và hỗ trợ điều trị hiệu quả nhất.
Đảm bảo yếu tố vô trùng cao
Nha Khoa Sài Gòn Smile áp dụng hệ thống máy phun sương vô trùng không khí và phòng tiệt khuẩn dụng cụ nha khoa một chiều, đảm bảo an toàn tuyệt đối cho khách hàng. Mỗi khách hàng sẽ được sử dụng bộ dụng cụ riêng biệt.
Quy trình điều trị khoa học
Quy trình điều trị được thực hiện với sự tuân thủ chặt chẽ các quy định từ Bộ Y Tế, nhằm bảo đảm rằng mọi bước đều diễn ra một cách nhanh chóng, an toàn và đạt hiệu quả cao nhất.
Những lưu ý khi điều trị nhức răng có lỗ
- Đánh răng ít nhất 2 lần/ngày, kết hợp dùng chỉ nha khoa.
- Súc miệng với nước muối loãng hoặc dung dịch chứa fluor (tránh dùng cho trẻ em và người có nướu nhạy cảm).
- Sử dụng gel giảm đau răng miệng (theo chỉ dẫn).
- Ăn thức ăn mềm, loãng, tránh thức ăn cứng.
- Uống thuốc giảm đau (paracetamol, tránh dùng cho trẻ dưới 16 tuổi).
- Tránh đồ ăn quá nóng, quá lạnh và đồ ngọt.
- Không hút thuốc lá hoặc sử dụng thực phẩm có màu.
Biện pháp ngăn ngừa nhức răng có lỗ
- Chăm sóc răng miệng sạch sẽ.
- Thăm khám răng định kỳ.
- Điều trị kịp thời khi có triệu chứng đau nhức.
Mỗi phòng khám thuộc hệ thống Nha Khoa Sài Gòn Smile được Sở Y tế các tỉnh thành thẩm định các danh mục kỹ thuật khác nhau. Quý khách sẽ được thực hiện các dịch vụ theo đúng những danh mục kỹ thuật mà Sở Y tế cho phép. Những danh mục khác sẽ được thực hiện tại bệnh viện.
Tóm lại
Điều trị răng bị thủng lỗ do sâu răng đòi hỏi sự kết hợp giữa các biện pháp điều trị tại nhà để giảm đau tạm thời và can thiệp chuyên nghiệp của nha khoa để điều trị triệt để và ngăn ngừa các biến chứng nguy hiểm. Vệ sinh răng miệng tốt và thăm khám định kỳ là chìa khóa quan trọng để phòng ngừa sâu răng và bảo vệ sức khỏe răng miệng.