Sự xuất hiện của các mảng màu tối, màu nâu hoặc màu đen trên răng, đặc biệt là ở những vị trí khuất như răng bị đen ở mặt trong hay vùng chân răng bị đen, không chỉ gây ảnh hưởng lớn đến thẩm mỹ nụ cười mà còn là dấu hiệu cảnh báo rõ ràng về các bệnh lý răng miệng nguy hiểm. Là chuyên gia trong lĩnh vực nha khoa, chúng tôi hiểu rõ những lo lắng của bạn khi gặp phải tình trạng này. Bài viết sau đây từ Nha khoa Sài Gòn Phong Phú sẽ cung cấp phân tích chi tiết về nguyên nhân và đưa ra các giải pháp điều trị chuyên sâu, an toàn và dứt điểm.
Răng bị đen ở mặt trong là gì?
Răng bị đen ở mặt trong là tình trạng các mô bên trong răng, chủ yếu là men răng hoặc ngà răng, bị biến đổi màu sắc thành đen hoặc xám đậm. Thông thường, khi chúng ta nghĩ về răng đổi màu, đa phần nghĩ đến mặt ngoài, còn mặt trong ít khi được để ý hoặc chăm sóc kỹ lưỡng. Tuy nhiên, thực tế mặt trong của răng cũng có thể xuất hiện các vết đen, làm giảm tính thẩm mỹ và cảnh báo các vấn đề về sức khỏe răng miệng, như sâu răng hay viêm tủy.
Nguyên nhân khiến răng bị đen ở mặt trong có thể xuất phát từ nhiều yếu tố khác nhau như cấu trúc răng, tình trạng vệ sinh răng miệng hoặc các bệnh lý về răng miệng. Đặc biệt, các mảng bám, cao răng, thức ăn còn sót lại, hay các loại thuốc uống có thể góp phần làm mặt trong của răng chuyển màu, tạo thành các đốm đen hoặc vết thâm kéo dài. Điều quan trọng là phát hiện sớm và có cách xử lý phù hợp để tránh các biến chứng nghiêm trọng hơn.
Việc nhận biết rõ ràng về răng bị đen ở mặt trong sẽ giúp bạn chủ động trong việc chăm sóc và điều trị đúng cách, từ đó bảo vệ sức khỏe răng miệng tốt nhất cho bản thân và người thân.

Nguyên nhân phổ biến khiến răng bị đen ở mặt trong
Tại sao bạn đánh răng hàng ngày nhưng vẫn gặp tình trạng răng bị đen ở mặt trong? Dưới đây là 5 nguyên nhân gốc rễ:
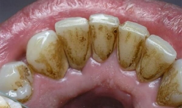
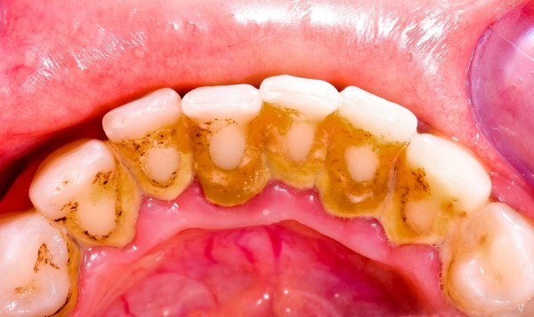
Do mảng bám, vôi răng và thực phẩm sẫm màu
Mặt trong răng là “điểm mù” của bàn chải đánh răng. Mảng bám thức ăn tích tụ tại đây sẽ nhanh chóng bị vôi hóa thành cao răng. Theo thời gian, lớp cao răng này hấp thụ màu từ thực phẩm (cà phê, nước tương, trà…), chuyển sang màu đen và bám cứng chắc, khiến mặt trong răng trở nên sần sùi và đen kịt.
Sâu răng: Răng bị đen từ lỗ nhỏ đến lớn
Vi khuẩn Streptococcus mutans tích tụ ở mặt trong hoặc kẽ răng sẽ tiết axit phá hủy men răng. Ban đầu chỉ là đốm trắng, sau đó biến thành lỗ sâu màu đen.
Nếu thấy vị trí răng hàm hoặc mặt sau răng cửa có lỗ đen kèm cảm giác nhức, đó chính là sâu răng. Nếu không xử lý, vết đen này sẽ lan rộng vào tủy, làm chết tủy và khiến toàn bộ răng đổi màu.
Chảy máu chân răng / viêm nướu (Đen vùng chân răng)
Một nguyên nhân đặc thù khiến vùng chân răng (đặc biệt là mặt trong) bị đen là do máu tụ. Khi bị viêm nướu, nướu dễ chảy máu. Máu chảy ra không thoát đi hết mà đọng lại ở rãnh lợi, bị oxy hóa thành màu đen đỏ, bám chặt vào cổ răng (cao răng huyết thanh).
Nhiễm màu từ thuốc lá, cà phê
Nhựa thuốc lá (hắc ín) và màu đậm của cà phê là “kẻ thù” số 1 của men răng. Chúng bám rất dai vào các bề mặt nhám. Do mặt trong răng thường có nhiều vôi răng (bề mặt nhám hơn mặt ngoài), nên đây là nơi bám màu lý tưởng, gây ra tình trạng đen xỉn nặng nề cho người hút thuốc.
Nhiễm màu nội sinh (Tetracycline, Fluor)
Trường hợp răng bị đen từ bên trong cấu trúc (do uống kháng sinh Tetracycline từ nhỏ hoặc nhiễm Fluor), màu đen sẽ xuất hiện toàn bộ thân răng chứ không chỉ riêng mặt trong. Đây là trường hợp khó xử lý bằng vệ sinh thông thường.

Dấu hiệu nhận biết răng bị đen ở mặt trong
Phát hiện sớm các dấu hiệu của răng bị đen ở mặt trong sẽ giúp bạn có biện pháp xử lý kịp thời, tránh gây ra các biến chứng nghiêm trọng. Dưới đây là những dấu hiệu rõ ràng nhất phản ánh tình trạng này mà bạn nên lưu ý:
Thông thường, các vết đen hoặc vết thâm trên mặt trong của răng có thể không gây đau hoặc khó chịu rõ rệt lúc ban đầu. Tuy nhiên, khi các đốm đen ngày càng lớn hoặc xuất hiện nhiều hơn, có thể đi kèm cảm giác kích thích khi ăn uống nóng, lạnh hoặc ngọt. Màu đen có thể vẫn giữ nguyên hoặc thay đổi theo thời gian, thậm chí lan rộng sang các khu vực khác của răng.
Một dấu hiệu đơn giản để nhận biết là hơi thở có mùi bất thường, kèm theo vi khuẩn tích tụ trong các mảng bám, cao răng. Nếu bạn thấy mặt trong của răng xuất hiện các vết đen khô, cứng, hoặc có cảm giác nhám khi cậy môi hoặc lưỡi chạm vào, đó có thể là dấu hiệu của các vấn đề về mô răng hoặc tủy. Thậm chí, trên mảng ráo răng, các mảng bám này có thể kèm theo vết chảy máu hoặc viêm nướu.
Quan trọng nhất, hãy dựa vào cảm giác của chính bản thân: Khi thấy xuất hiện các vết đen hoặc đổi màu không rõ nguyên nhân, tốt nhất bạn nên đến khám nha sĩ để xác định chính xác tình trạng. Không để quá lâu, vì những dấu hiệu ban đầu này nếu không được chăm sóc đúng cách, có thể dẫn đến các vấn đề phức tạp hơn như sâu răng nặng hoặc viêm tủy.

Răng bị đen ở mặt trong có nguy hiểm không?
Nhiều người lo lắng rằng tình trạng răng bị đen ở mặt trong chỉ là vấn đề thẩm mỹ đơn thuần, nhưng thực tế, nó có thể tiềm ẩn nhiều nguy hiểm đối với sức khỏe răng miệng và toàn thân nếu không được xử lý đúng cách. Việc hiểu rõ những nguy cơ này giúp bạn có thể chủ động phòng tránh và lựa chọn phương pháp điều trị phù hợp.
Nguy cơ sâu răng lan rộng
Vi khuẩn trong mảng bám và cao răng chính là thủ phạm hàng đầu gây sâu răng. Khi các vết đen không được xử lý kịp thời, chúng sẽ ngày càng lan rộng vào lớp ngà và tủy của răng. Sâu răng diện rộng có thể gây cảm giác đau nhức dữ dội, khó chịu mỗi khi ăn và gây ảnh hưởng lớn đến khả năng nhai thức ăn.
Nếu không được điều trị sớm, sâu răng có thể dẫn đến mất răng vĩnh viễn, phải nhổ bỏ để tránh tình trạng nhiễm trùng lan rộng. Việc này không chỉ ảnh hưởng về mặt thẩm mỹ mà còn gây hạn chế chức năng ăn nhai, ảnh hưởng đến sức khỏe toàn diện của người bệnh. Nguy hiểm hơn, vi khuẩn từ sâu răng có thể lây sang các cơ quan khác, gây ra các bệnh lý toàn thân như nhiễm trùng huyết hoặc viêm xoang.
Chính vì vậy, việc phát hiện và điều trị kịp thời các vết đen trên mặt trong của răng là cực kỳ quan trọng để ngăn chặn nguy cơ này. Chuyên gia nha khoa khuyến cáo, không nên chủ quan hoặc tự ý dùng thuốc tại nhà khi phát hiện những dấu hiệu bất thường.
Ảnh hưởng thẩm mỹ khi răng đổi màu
Một trong những hậu quả rõ rệt nhất của răng bị đen ở mặt trong chính là làm giảm tính thẩm mỹ của hàm răng. Dù không phải lúc nào các vết đen cũng dễ nhận thấy rõ, nhưng khi chúng lan rộng hoặc xuất hiện sâu bên trong, cảm giác mất tự tin trong giao tiếp hàng ngày là điều không tránh khỏi.
Khi răng có màu đen, các đường nét hàm răng trở nên mất đi tính tự nhiên, khiến nụ cười trở nên kém duyên và gây cảm giác già nua, ủ rũ. Điều này đặc biệt ảnh hưởng đến những người làm công việc phải giao tiếp nhiều, cần luôn giữ hình ảnh chuyên nghiệp, trẻ trung. Cải thiện thẩm mỹ bằng các phương pháp như tẩy trắng hoặc trám răng sẽ trở nên khó khăn hơn khi tình trạng này kéo dài quá lâu.
Chính vì vậy, phát hiện sớm các dấu hiệu đổi màu mặt trong của răng sẽ giúp bạn duy trì được vẻ đẹp tự nhiên của hàm răng mà không cần phải đụng chạm nhiều đến cấu trúc răng. Nỗ lực giữ gìn vệ sinh răng miệng đúng cách sẽ hạn chế tối đa tình trạng này và giúp bạn tự tin hơn trong mọi hoạt động xã hội.

Hơi thở có mùi – viêm nướu
Hơi thở có mùi là một trong những biểu hiện dễ nhận biết của các vấn đề về răng miệng, đặc biệt là khi răng bị đen do mảng bám hoặc vi khuẩn phát triển. Các vết đen trên mặt trong thường đi kèm với viêm nướu hoặc viêm quanh răng, gây sưng, đỏ và chảy máu chân răng. Mảng bám tích tụ lâu ngày cùng vi khuẩn tạo ra các hợp chất gây mùi hôi khó chịu, làm ảnh hưởng đến sinh hoạt hàng ngày và giao tiếp của người bệnh.
Chất lượng cuộc sống bị ảnh hưởng rõ rệt theo chiều hướng tiêu cực, làm người mắc cảm thấy tự ti, e ngại khi tiếp xúc gần hoặc trong các hoạt động xã hội. Ngoài ra, vi khuẩn còn có thể di chuyển qua các mô mềm, gây ra các bệnh lý khác như viêm nha chu hoặc viêm tủy. Các quan hệ xã hội bị ảnh hưởng, tình trạng sức khỏe tổng thể cũng có thể bị đe dọa nếu không điều trị kịp thời vấn đề này.
Chính vì thế, việc kiểm tra định kỳ và duy trì vệ sinh răng miệng đúng cách là cách duy nhất để giảm thiểu nguy cơ này. Khi nhận thấy hơi thở có mùi khó chịu kéo dài, bạn nên đến các cơ sở nha khoa để được khám và xử lý các nguyên nhân tận gốc.
Cách xử lý răng bị đen ở mặt trong hiệu quả và triệt để
Tình trạng răng bị đen ở mặt trong có thể gây mất thẩm mỹ, cảm giác khó chịu và nguy hiểm đến sức khỏe. Tuy nhiên, với các phương pháp điều trị phù hợp, bạn hoàn toàn có thể lấy lại vẻ đẹp tự nhiên của hàm răng và duy trì sức khỏe răng miệng ổn định. Dưới đây là các phương pháp phổ biến nhất hiện nay tại các nha khoa uy tín như Nha Khoa Sài Gòn.
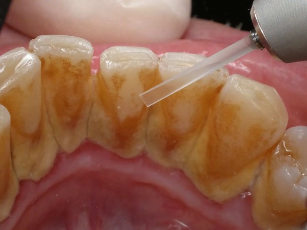
Cạo vôi răng – đánh bóng
Đây là giải pháp “vàng” cho tình trạng răng bị đen ở mặt trong do cao răng. Bác sĩ sử dụng sóng siêu âm rung nhẹ để làm vỡ liên kết mảng bám đen mà không hại men răng. Sau đó, quy trình đánh bóng sẽ làm láng mịn mặt trong, giúp ngăn mảng bám quay lại.
Bạn nên tham khảo dịch vụ cạo vôi răng định kỳ 6 tháng/lần để giữ mặt trong răng luôn sạch sẽ.

Tẩy trắng răng
Tẩy trắng răng là phương pháp giúp làm sáng màu răng hiệu quả, đặc biệt phù hợp cho những người gặp vấn đề về ố vàng hoặc đen do các tác nhân bên ngoài. Hiện nay, công nghệ tẩy trắng tại nha khoa sử dụng các dung dịch chứa hoạt chất mạnh, hoạt động thẩm thấu sâu vào men răng, loại bỏ các vết ố, vết đen lâu ngày.
Quá trình này thường diễn ra nhanh chóng, chỉ từ 1 đến 2 buổi, mang lại hiệu quả rõ rệt, giúp răng trắng sáng tự nhiên. Đặc biệt, các nghệ sĩ, người thường xuyên giao tiếp sẽ rất ưu ái phương pháp này để lấy lại tự tin trong nụ cười. Tuy nhiên, cần lưu ý chọn địa chỉ nha khoa uy tín để tránh rủi ro tổn thương men răng hoặc gây ê buốt.
Sau khi tẩy trắng, chế độ chăm sóc răng miệng hàng ngày cần duy trì tốt để giữ màu răng lâu dài. Đồng thời, hạn chế các thực phẩm gây ố vàng như cafe, thuốc lá, thức ăn nhiều màu để duy trì kết quả.
Trám răng thẩm mỹ
Trong trường hợp các vết đen do sâu răng nặng hoặc tổn thương mặt trong quá sâu, trám răng thẩm mỹ là giải pháp tối ưu giúp phục hình và làm đẹp nhanh chóng. Các vật liệu trám hiện đại như composite có màu sắc phù hợp với răng tự nhiên, giúp che phủ các vết đen một cách hiệu quả.
Quy trình trám răng gồm làm sạch vùng răng bị tổn thương, sau đó bôi lớp trám và chiếu đèn cứng hóa. Kỹ thuật này đảm bảo tính thẩm mỹ cao và khả năng bám dính tốt trên răng. Hơn nữa, trám răng giúp bảo vệ lớp răng bên trong tránh nhiễm trùng lan rộng, giảm nguy cơ đau nhức hoặc sâu răng nặng hơn.
Chỉ sau một lần thực hiện, hàm răng của bạn sẽ trở nên đều màu, sạch sẽ như ban đầu. Tuy nhiên, cần chăm sóc răng đúng cách để vật liệu trám không bị đổi màu hoặc bong tróc theo thời gian.

Điều trị tủy (nếu sâu răng nặng)
Khi vết đen trở nên rõ rệt, sâu răng đã tiến sâu tới tủy, gây đau nhức dữ dội và nguy cơ nhiễm trùng lan rộng, việc điều trị tủy là bước không thể bỏ qua. Đây là biện pháp loại bỏ toàn bộ mô răng bị hoại tử, sau đó làm sạch và trám lại phần chân răng để bảo vệ răng tối đa.
Quy trình này đòi hỏi kỹ thuật cao của nha sĩ, đảm bảo giảm thiểu đau đớn và giữ nguyên chức năng của răng. Sau khi hoàn tất việc điều trị tủy, răng được phục hình bằng trám hoặc trụ răng nhằm giữ vững hình dạng và chức năng.
Thực hiện đúng quy trình này sẽ giúp bạn thoát khỏi tình trạng đau nhức dai dẳng, ngăn ngừa nhiễm trùng lan rộng và duy trì sức khỏe toàn diện của hàm răng. Tuy nhiên, cần theo dõi và kiểm tra định kỳ để đảm bảo răng luôn trong tình trạng tốt nhất.
Bọc răng sứ thẩm mỹ
Với các trường hợp răng nhiễm màu nội sinh hoặc sâu vỡ quá lớn, bọc sứ là giải pháp tối ưu nhất để che đi khuyết điểm màu sắc.
Dịch vụ bọc răng sứ thẩm mỹ sẽ thay thế lớp men răng cũ bằng mão sứ trắng bóng, độ bền cao. Đặc biệt, dòng răng sứ Zirconia toàn sứ rất được ưa chuộng vì không có lõi kim loại, không gây đen viền nướu theo thời gian.
Chi phí điều trị răng bị đen tại Nha Khoa Sài Gòn
Chi phí điều trị tình trạng răng bị đen tại Nha khoa Sài Gòn Phong Phú sẽ phụ thuộc vào phương pháp điều trị được chỉ định:
| Dịch vụ Liên quan | Mục đích Điều trị Răng bị đen | Chi phí tham khảo (Đơn vị VNĐ) |
| Cạo vôi răng | Loại bỏ mảng bám, vôi răng cứng gây đen chân răng và mặt trong. | Từ 150.000/ca (Cấp độ I) |
| Trám răng thẩm mỹ Composite | Khắc phục sâu răng đen, phục hồi thẩm mỹ. | Từ 200.000/1 Xoang |
| Tẩy trắng răng bằng đèn Laser Whitening | Khử màu ố, đen do nhiễm màu ngoại sinh. | 2.500.000/Lộ Trình |
| Răng toàn sứ (Ví dụ: Zirconia, Cercon HT) | Phục hình thẩm mỹ cho răng đen nặng, nhiễm màu nội sinh. | Từ 3.500.000/Răng |
Lưu ý: Để có chi phí chính xác và phác đồ điều trị phù hợp nhất, bạn nên đặt lịch hẹn thăm khám trực tiếp với bác sĩ chuyên khoa tại Nha khoa Sài Gòn Phong Phú qua Hotline: 0917 91 93 98.
Cách phòng ngừa răng bị đen ở mặt trong
Phòng ngừa luôn là biện pháp hiệu quả và tiết kiệm nhất trong nha khoa. Để ngăn chặn tình trạng răng bị đen ở mặt trong và chân răng bị đen, bạn nên thực hiện các thói quen sau:
- Chải răng đúng kỹ thuật: Chải răng 2 lần/ngày bằng bàn chải lông mềm. Đặc biệt, cần chú ý chải kỹ mặt trong của các răng cửa và răng hàm để loại bỏ mảng bám tích tụ ở những khu vực khó tiếp cận.

- Vệ sinh kẽ răng: Sử dụng chỉ nha khoa hoặc bàn chải kẽ răng hàng ngày để làm sạch mảng bám và thức ăn thừa mắc kẹt giữa các kẽ răng.
- Hạn chế thực phẩm sẫm màu: Giảm tiêu thụ các thực phẩm và đồ uống có màu như cà phê, trà, rượu vang đỏ. Nếu có sử dụng, nên súc miệng bằng nước ngay sau đó.
- Khám răng và cạo vôi định kỳ: Đến Nha khoa Sài Gòn Phong Phú 6 tháng/lần để bác sĩ kiểm tra, phát hiện sớm các dấu hiệu sâu răng, viêm nướu, và thực hiện cạo vôi răng triệt để, ngăn chặn sự hình thành vôi răng dưới nướu gây đen chân răng.

Quy trình chẩn đoán và điều trị tại Nha Khoa Sài Gòn
Chọn đúng địa chỉ nha khoa để điều trị các vấn đề về răng miệng là yếu tố quyết định thành công. Tại Nha Khoa Sài Gòn, quy trình chẩn đoán và điều trị răng bị đen ở mặt trong được thực hiện theo quy chuẩn quốc tế, đảm bảo hiệu quả cao, an toàn, phù hợp với từng tình trạng cụ thể của khách hàng.
Tiếp nhận và khám tổng quát
Quy trình bắt đầu bằng việc tiếp nhận khách hàng, nghe rõ các thông tin về tình trạng răng miệng qua hỏi đáp và khám trực tiếp. Các kỹ thuật viên sẽ kiểm tra tỉ mỉ mặt trong của răng, dựa vào hình ảnh chụp X-quang để xác định mức độ tổn thương, nguyên nhân chính xác của vết đen.
Bước này giúp các bác sĩ có thể lên kế hoạch điều trị phù hợp, dự đoán chính xác kết quả cuối cùng, từ đó tư vấn rõ ràng cho khách hàng về chi phí, thời gian điều trị. Đặc biệt, đội ngũ Nha Khoa Sài Gòn sử dụng các thiết bị kỹ thuật hiện đại, giúp quan sát chính xác hơn và giảm thiểu các sai sót.
Chương trình điều trị cá nhân hóa và theo dõi dài hạn
Sau khi xác định chính xác nguyên nhân và mức độ tổn thương, các bác sĩ sẽ lựa chọn phương pháp phù hợp như cạo vôi, tẩy trắng, trám răng hoặc điều trị tủy. Quá trình điều trị được thực hiện một cách cẩn thận, đảm bảo không gây tổn thương đến các mô răng khỏe mạnh xung quanh.
Khách hàng sẽ được hướng dẫn các biện pháp chăm sóc răng sau điều trị và hẹn lịch kiểm tra định kỳ để theo dõi tiến trình hồi phục. Chính sự tận tâm trong từng bước này đã giúp Nha Khoa Sài Gòn tạo nên thương hiệu uy tín và niềm tin trong cộng đồng.
Tình trạng răng bị đen ở mặt trong không chỉ ảnh hưởng đến thẩm mỹ mà còn đe dọa sức khỏe răng miệng của bạn nếu không có biện pháp xử lý kịp thời. Việc nhận biết sớm các dấu hiệu, nguyên nhân và nguy cơ là rất quan trọng để có thể đề ra phương án điều trị phù hợp, từ đó bảo vệ sức khỏe toàn diện cho răng miệng.
Với các phương pháp như cạo vôi, tẩy trắng, trám răng hoặc điều trị tủy, các nha sĩ tại Nha Khoa Sài Gòn đều cam kết mang lại kết quả tối ưu, giúp bạn lấy lại hàm răng trắng sáng, khỏe mạnh và tự tin trong cuộc sống hàng ngày. Đừng chủ quan trước các dấu hiệu bất thường của răng miệng, hãy đến gặp các chuyên gia nha khoa để được tư vấn và chăm sóc đúng cách. Bảo vệ nụ cười của bạn là nhiệm vụ quan trọng để duy trì sự rạng rỡ, khỏe mạnh mỗi ngày.
