Niêm mạc là gì? Đây là một trong những bộ phận quan trọng nhưng thường bị bỏ qua trong cơ thể con người. Niêm mạc không chỉ đóng vai trò như hàng rào bảo vệ, mà còn tham gia vào nhiều chức năng sinh lý quan trọng ở các cơ quan như miệng, mũi, dạ dày, ruột và cơ quan sinh dục. Tuy nhiên, khi niêm mạc bị tổn thương hay viêm nhiễm, sức khỏe tổng thể có thể bị ảnh hưởng nghiêm trọng.
Trong bài viết này, chúng ta sẽ cùng tìm hiểu chi tiết về cấu tạo, chức năng, các bệnh lý thường gặp và cách chăm sóc niêm mạc hiệu quả để duy trì một cơ thể khỏe mạnh từ bên trong.
Giới thiệu về niêm mạc là gì?

Niêm mạc miệng là một thành phần không thể thiếu trong sự tồn tại và hoạt động bình thường của cơ quan răng miệng. Nó giúp bảo vệ các mô dưới, giữ ẩm và tạo điều kiện thuận lợi cho phản ứng cảm nhận, cũng như hỗ trợ hệ miễn dịch tại chỗ chống lại tác nhân gây bệnh. Khi hiểu rõ niêm mạc là gì, chúng ta sẽ chủ động hơn trong việc giữ gìn sức khỏe răng miệng, phòng tránh các bệnh lý liên quan.
Trong đời sống hàng ngày, niêm mạc miệng đóng vai trò như một hàng rào bảo vệ, tham gia vào quá trình cảm nhận xúc giác, nhiệt độ, vị giác cùng các phản ứng tự nhiên khác của miệng. Ngoài ra, nó còn liên kết mật thiết với các tuyến tiết dịch, đảm bảo duy trì độ ẩm và duy trì sự cân bằng sinh lý trong khoang miệng. Do đó, việc quan tâm tới cấu trúc và chức năng của niêm mạc giúp chúng ta thấy rõ tầm quan trọng của việc chăm sóc nhan sắc, sức khỏe răng miệng một cách toàn diện hơn.
Cấu tạo niêm mạc miệng

Các lớp chính của niêm mạc miệng (biểu mô, màng đáy, mô liên kết)
Niêm mạc miệng gồm ba lớp chính: biểu mô, màng đáy và mô liên kết. Mỗi lớp có chức năng riêng biệt và phối hợp quá trơn tru để giữ gìn các mô trong khoang miệng không bị tổn thương, đồng thời đáp ứng nhanh với các tác nhân gây hại.
- Biểu mô: Là lớp trong cùng, gồm các tế bào dạng tầng hoặc lớp mỏng, có khả năng tự tái tạo nhanh. Nó đảm nhận vai trò bảo vệ và cảm nhận xúc giác từ môi trường bên ngoài. Biểu mô cũng có khả năng chống mài mòn, nhiễm trùng và chịu tác động của các yếu tố vật lý.
- Màng đáy: Là viền liên kết giữa biểu mô và mô liên kết dưới nó. Đây là nơi các tế bào biểu mô sinh trưởng và di chuyển để duy trì lớp biểu bì luôn mới, khỏe mạnh.
- Mô liên kết: Ốc đảo chứa máu, thần kinh, các tuyến nhỏ giúp nuôi dưỡng và cung cấp dinh dưỡng cho toàn bộ lớp niêm mạc. Mô liên kết còn chứa các sợi collagen và elastin tạo độ đàn hồi, giúp niêm mạc giữ được độ dày và bền chắc.
Đặc điểm cấu trúc từng lớp và chức năng liên quan
- Biểu mô: Có độ dày và độ đàn hồi cao, giúp chống lại các tác động cơ học hàng ngày như cắn, cắt, hoặc kích thích từ thực phẩm.
- Màng đáy: Duy trì cấu trúc biểu mô ổn định, hỗ trợ tái tạo tế bào nhanh chóng khi niêm mạc bị tổn thương.
- Mô liên kết: Truyền tín hiệu cảm giác, nuôi dưỡng biểu mô, đồng thời hỗ trợ cơ chế miễn dịch tại chỗ chống lại vi khuẩn và viêm nhiễm.
Lớp dưới niêm mạc và các tuyến tiết dịch trong khoang miệng
Bên dưới lớp mô liên kết là lớp dưới niêm mạc, chứa nhiều mô mềm, tuyến tiết nước bọt, mạch máu và dây thần kinh. Các tuyến nước bọt đóng vai trò quan trọng trong việc duy trì độ ẩm, làm sạch miệng, hỗ trợ tiêu hóa và thúc đẩy quá trình lành thương. Độ ẩm được duy trì tốt sẽ tạo điều kiện cho niêm mạc hoạt động hiệu quả, đồng thời giúp khoang miệng luôn sạch sẽ và cân bằng hệ vi sinh.
Chức năng của niêm mạc miệng trong nha khoa

Vai trò bảo vệ và duy trì độ ẩm niêm mạc miệng
Một trong những chức năng quan trọng nhất của niêm mạc là bảo vệ các mô bên trong khỏi tác nhân vật lý, sinh học và sinh hóa. Nó giúp duy trì độ ẩm cần thiết, giúp không khí, thức ăn, nước uống dễ dàng di chuyển qua khoang miệng mà không gây tổn thương cho lớp mô mềm. Khi niêm mạc bị mất nước hoặc tổn thương, nguy cơ bị viêm loét, nhiễm trùng tăng cao, làm giảm chất lượng cuộc sống của người bệnh.
Chức năng cảm giác của niêm mạc miệng
Niêm mạc miệng còn đảm nhận vai trò cảm nhận xúc giác, nhiệt độ, vị – những yếu tố góp phần quyết định cảm giác ngon miệng, cảnh báo các tác nhân có hại hoặc gây tổn thương. Thông qua các dây thần kinh, niêm mạc giúp chúng ta phản ứng kịp thời để tránh các tác nhân nguy hiểm như hơi nóng, thức ăn nóng, hay vật lạ.
Hệ miễn dịch tại chỗ và khả năng tái tạo mô
Hệ miễn dịch tại chỗ dựa vào các tế bào lympho, bạch cầu trong niêm mạc để bảo vệ khoang miệng khỏi các tác nhân gây bệnh. Đồng thời, khả năng tái tạo của tế bào biểu mô giúp vết thương nhanh lành, giảm thiểu tối đa sự tổn thương kéo dài.
Dấu hiệu niêm mạc miệng bình thường và cách phát hiện bất thường

Màu sắc, độ ẩm, bề mặt và đàn hồi niêm mạc khỏe mạnh
Một niêm mạc miệng khỏe mạnh có màu hồng đều, độ ẩm bình thường, bề mặt sáng bóng, đàn hồi tốt, không có vết loét hoặc mảng bám bất thường. Khi quan sát kỹ, chúng ta dễ dàng phát hiện sự thay đổi về màu sắc như trắng bệt, đỏ rực, hoặc xuất hiện các nốt mẩn đỏ, mảng trắng hay đốm đen.
Cách tự kiểm tra và nhận biết dấu hiệu bất thường niêm mạc miệng
Hàng ngày, bạn nên dành chút thời gian kiểm tra khoang miệng, chú ý tới các dấu hiệu như đau rát, sưng tấy, lõm hoặc loét kéo dài trên bề mặt niêm mạc. Màng trắng hoặc các vết loét không tự lành sau vài ngày có thể là dấu hiệu cảnh báo cần đi khám bác sĩ nha khoa để xác định chính xác nguyên nhân.
Các bệnh lý thường gặp liên quan đến niêm mạc miệng

Viêm niêm mạc miệng: nguyên nhân, triệu chứng, và ảnh hưởng
Viêm niêm mạc miệng thường bắt nguồn từ nhiễm trùng, tác nhân vật lý, hay do tác dụng phụ của thuốc. Triệu chứng bao gồm đau rát, sưng tấy, xuất hiện các vết loét hoặc mảng đỏ, ảnh hưởng lớn đến khả năng ăn uống, giao tiếp, và vệ sinh răng miệng.
Loét niêm mạc và áp xe niêm mạc miệng
Loét niêm mạc do các nguyên nhân như chấn thương hoặc nhiễm khuẩn, thường gây cảm giác đau đớn và dễ bị chảy máu. Áp xe khu trú có thể gây sưng lớn, gây đau và cần can thiệp y học kịp thời.
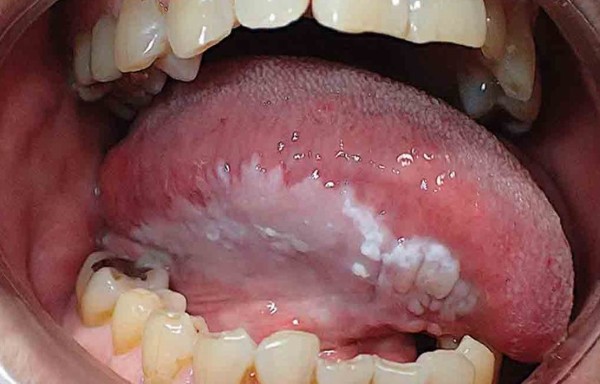
Nấm Candida và các bệnh phụ trợ khác
Nấm Candida giới thiệu những biểu hiện như miệng trắng hoặc đốm trắng, vết loét, gây khó chịu, đặc biệt ở người có hệ miễn dịch suy yếu hoặc dùng thuốc kháng sinh kéo dài.
Bệnh viêm nha chu, viêm lợi liên quan niêm mạc
Vi khuẩn gây viêm lợi có thể lan sang niêm mạc, gây viêm nhiễm toàn diện, dẫn tới sưng đau, chảy máu và giảm khả năng ăn uống, nhai nghiền.
Triệu chứng nghi ngờ ung thư niêm mạc miệng
Các dấu hiệu như nốt rắn hoặc sùi không tự khỏi, mẫu kèm máu, thay đổi màu sắc hoặc hình dạng niêm mạc cần được khám chuyên khoa ngay để loại trừ ung thư và đưa ra phương pháp điều trị phù hợp.
Nguyên nhân gây tổn thương và viêm niêm mạc miệng

Các tác nhân vi khuẩn, virus, nấm gây bệnh
Vi khuẩn như Streptococcus, virus herpes simplex, hay nấm Candida là các tác nhân phổ biến tấn công lớp niêm mạc, gây viêm, loét, sưng tấy và đau đớn.
Tác động của chấn thương vật lý và hóa học
Các tác nhân gây tổn thương như cắn sai, dùng dụng cụ cạo răng không đúng cách, hoặc tiếp xúc với các hóa chất kích thích trong thực phẩm, thuốc trừ sâu có thể gây viêm, loét và làm mất cân bằng của lớp niêm mạc.
Ảnh hưởng của thiếu dinh dưỡng và tác dụng phụ của thuốc
Thiếu vitamin C, B, sắt hoặc các dưỡng chất thiết yếu ảnh hưởng tới khả năng tái tạo mô và nâng cao nguy cơ tổn thương niêm mạc. Các loại thuốc kháng sinh, steroid… cũng có thể làm suy yếu hàng rào bảo vệ này.
Thói quen sinh hoạt xấu và những yếu tố nguy cơ khác
Hút thuốc, dùng bia rượu, thức khuya hay căng thẳng kéo dài đều góp phần làm giảm khả năng đề kháng của niêm mạc, tạo điều kiện phát sinh bệnh lý.
Phương pháp chăm sóc và bảo vệ niêm mạc miệng

Vệ sinh răng miệng đúng cách và sử dụng dụng cụ phù hợp
Chải răng đều đặn ít nhất 2 lần/ngày bằng bàn chải mềm, dùng chỉ nha khoa, súc miệng bằng dung dịch diệt khuẩn để loại bỏ mảng bám, cặn thức ăn và hạn chế vi khuẩn gây bệnh.
Chế độ dinh dưỡng và bổ sung vitamin, khoáng chất
Ăn nhiều rau xanh, trái cây chứa Vitamin C, B, các khoáng chất giúp tăng cường đề kháng, tái tạo mô, giảm nguy cơ tổn thương. Tránh đồ cay nóng, thức ăn quá mặn hoặc cứng gây kích ứng niêm mạc.
Cách tránh các tác nhân gây tổn thương niêm mạc
Hạn chế hút thuốc, uống rượu, tránh thức khuya, hạn chế tiếp xúc với các hóa chất độc hại, chủ động xử lý các vết loét nhẹ nhàng để tránh biến chứng sâu hơn.
Hướng dẫn điều trị và chăm sóc khi niêm mạc miệng bị bệnh
Trong các trường hợp tổn thương nhẹ, có thể dùng thuốc sát trùng, gel giảm đau, hoặc thuốc nhỏ để hỗ trợ quá trình tự lành. Tuy nhiên, đối với các triệu chứng kéo dài hoặc nặng, cần đến khám bác sĩ để được chỉ định điều trị phù hợp.
Tầm quan trọng của khám nha khoa định kỳ
Khám định kỳ giúp phát hiện sớm các bất thường, cần thiết trong việc phòng tránh ung thư và các bệnh lý khác liên quan đến niêm mạc miệng, qua đó nâng cao hiệu quả điều trị và duy trì sức khỏe an toàn.
Khi nào cần gặp bác sĩ nha khoa?

Dấu hiệu viêm, loét niêm mạc kéo dài cần lưu ý
Nếu niêm mạc xuất hiện các vết loét kéo dài trên 2 tuần, không có dấu hiệu lành lại hoặc có kèm theo cảm giác đau đớn ngày càng tăng, bạn cần đi khám để xác định nguyên nhân chính xác.
Triệu chứng đau, sưng, chảy máu không rõ nguyên nhân
Các biểu hiện này cảnh báo vấn đề nghiêm trọng, có thể là bệnh lý nghiêm trọng cần điều trị kịp thời nhằm tránh biến chứng.
Sự thay đổi màu sắc và mảng bám bất thường cần tư vấn chuyên khoa
Thay đổi màu sắc niêm mạc, xuất hiện các mảng trắng, đỏ đậm hoặc có mùi hôi kéo dài đều là dấu hiệu cảnh báo cần thiết để kiểm tra và phát hiện sớm ung thư hoặc các bệnh lý khác.
Kết luận
Niêm mạc là gì? Một câu hỏi tưởng chừng đơn giản nhưng lại chứa đựng nhiều ý nghĩa quan trọng trong chăm sóc sức khỏe răng miệng. Việc hiểu rõ về cấu trúc, chức năng, các bệnh lý và cách chăm sóc phù hợp sẽ giúp mỗi người chủ động phòng tránh, phát hiện sớm các vấn đề, đồng thời nâng cao chất lượng cuộc sống. Vì vậy, duy trì thói quen vệ sinh đúng cách, khám nha khoa định kỳ và lắng nghe cơ thể là những bước quan trọng để giữ niêm mạc miệng luôn khỏe mạnh, góp phần bảo vệ sức khỏe toàn diện.
