Mòn men răng là vấn đề phổ biến ảnh hưởng đến nhiều người, gây ra cảm giác ê buốt, mất thẩm mỹ và tăng nguy cơ sâu răng. Hiểu rõ về hiện tượng này giúp chúng ta có thể phòng tránh, kiểm soát và điều trị kịp thời để duy trì sức khỏe răng miệng tốt nhất.
Mòn men răng là gì?

Mòn men răng là tình trạng lớp mô cứng bao phủ ngoài cùng của răng bị bào mòn, tổn thương hoặc mất dần đi dưới tác động của các tác nhân hóa học (axit) hoặc cơ học (ma sát). Trong cấu trúc răng, men răng được ví như “lớp áo giáp” vững chắc nhất cơ thể, đóng vai trò then chốt trong việc che chở và bảo vệ phần ngà răng cũng như tủy răng nhạy cảm bên trong.
Hiện tượng này không chỉ ảnh hưởng đến thẩm mỹ mà còn gây ra những hệ lụy trực tiếp đến sức khỏe răng miệng:
- Mất đi hàng rào bảo vệ: Khi xảy ra tình trạng mòn men răng, lớp ngà răng bên dưới sẽ bị lộ ra. Do ngà răng chứa hàng ngàn ống tủy siêu nhỏ dẫn trực tiếp đến dây thần kinh, răng sẽ trở nên cực kỳ nhạy cảm, gây ra những cơn ê buốt nhói người khi bạn ăn đồ nóng, lạnh, chua hoặc ngọt.
- Diễn tiến âm thầm nhưng nguy hiểm: Quá trình mòn men răng có thể diễn ra từ từ qua nhiều năm do thói quen ăn uống (nhiều đồ chua, nước ngọt) hoặc xuất hiện đột ngột do các hành vi như nghiến răng, chải răng quá mạnh.
- Khả năng tự phục hồi bằng không: Một điều quan trọng cần lưu ý là men răng không chứa các tế bào sống, vì vậy cơ thể không thể tự tái tạo lại lớp men đã mất. Nếu không có biện pháp can thiệp kịp thời, răng sẽ ngày càng mỏng yếu, dễ sứt mẻ và tăng nguy cơ sâu răng toàn diện.
Phân loại các dạng mòn răng thường gặp

Như vậy, mòn men răng không phải là một hiện tượng đơn giản mà có thể chia thành nhiều dạng khác nhau, mỗi dạng có đặc điểm và nguyên nhân riêng.
Mòn răng sinh lý
Mòn răng sinh lý là quá trình tự nhiên xảy ra theo tuổi tác, khi lớp men bắt đầu mòn dần sau nhiều năm sử dụng. Hiện tượng này không gây đau đớn hoặc khó chịu rõ rệt và thường không cần can thiệp y khoa.
Mòn răng hóa học (Xói mòn)
Đây là dạng mòn do axit từ thức ăn, đồ uống hoặc dịch vị dạ dày trào ngược gây ra. Axit làm mềm và phá hủy lớp men, làm cho răng dễ nhạy cảm và dễ bị sâu hơn.
Mòn răng cơ học (Mòn ngót)
Dạng này do các hành động cơ học như cắn, nghiến, mút môi, cắn móng tay hoặc sử dụng bàn chải cứng quá mức gây mài mòn lớp men. Mòn răng cơ học thường đi kèm với cảm giác bề mặt răng trơn trượt, sần sùi.
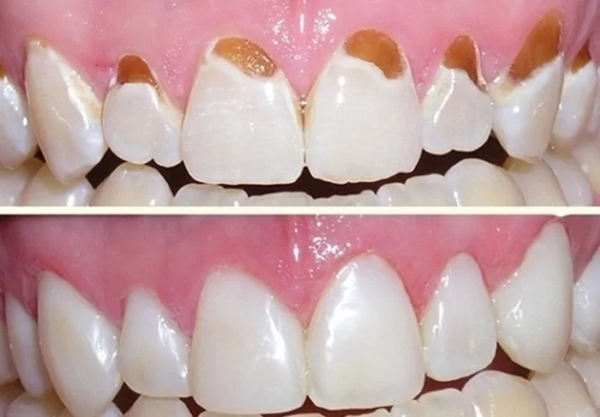
Mòn cổ răng (Tiêu cổ răng hình chêm)
Xảy ra tại vùng cổ răng gần chân răng, thường liên quan đến các yếu tố tiêu hóa hoặc đánh răng không đúng kỹ thuật, khiến cổ răng bị mòn, gây mất thẩm mỹ và nhạy cảm cao hơn.
Nguyên nhân gây mòn men răng phổ biến nhất

Hiện tượng mòn men răng có thể bắt nguồn từ sự kết hợp của nhiều yếu tố khác nhau trong sinh hoạt và sức khỏe. Việc xác định đúng “thủ phạm” sẽ giúp bạn có kế hoạch bảo vệ nụ cười hiệu quả hơn:
- Thường xuyên tiêu thụ thực phẩm có tính axit cao: Các loại đồ uống như soda, nước ép trái cây họ cam quýt, rượu vang và cà phê chứa hàm lượng axit lớn. Axit này trực tiếp tấn công và hòa tan các khoáng chất, dẫn đến tình trạng mòn men răng nhanh chóng nếu không được súc miệng sạch sau khi dùng.
- Thói quen nghiến răng hoặc cắn chặt răng: Do căng thẳng (stress) hoặc các vấn đề về khớp cắn, nhiều người thường nghiến răng vô thức vào ban đêm. Áp lực cơ học cực lớn này bào mòn lớp men bề mặt, khiến răng mỏng đi và trở nên nhạy cảm hơn.
- Chải răng sai kỹ thuật hoặc quá mạnh: Sử dụng bàn chải lông cứng hoặc chà xát răng với lực quá mạnh theo chiều ngang sẽ vô tình “mài mòn” lớp bảo vệ ngoài cùng. Đây là nguyên nhân hàng đầu gây mòn men răng tại vị trí cổ răng.
- Ảnh hưởng từ dịch vị axit dạ dày (Bệnh GERD): Khi axit từ dạ dày thường xuyên trào ngược lên khoang miệng, nó tạo ra môi trường có độ pH thấp. Loại axit tiêu hóa mạnh mẽ này có khả năng phá hủy men răng nhanh hơn nhiều so với các tác nhân từ thực phẩm.
- Sử dụng thuốc hoặc mất cân bằng độ pH miệng: Một số loại thuốc điều trị có thể làm thay đổi môi trường hóa học trong miệng hoặc gây khô miệng (giảm nước bọt – chất trung hòa axit tự nhiên), từ đó thúc đẩy quá trình mòn men răng diễn ra nhanh hơn.
- Quá trình lão hóa tự nhiên: Theo thời gian, lớp men răng cũng chịu sự hao mòn tự nhiên do tác động của việc ăn nhai hàng ngày. Độ bền và độ dày của men giảm dần, khiến răng dễ bị tổn thương hơn ở người cao tuổi.
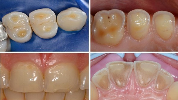
Dấu hiệu nhận biết mòn men răng theo từng giai đoạn

Việc chủ động phát hiện sớm tình trạng mòn men răng sẽ giúp chúng ta kiểm soát tốt hơn sức khỏe răng miệng và ngăn chặn những tổn thương không đáng có. Các dấu hiệu điển hình thường tiến triển qua 3 giai đoạn chính sau:
- Giai đoạn đầu: Lớp men ngoài cùng bắt đầu mòn nhẹ, khiến răng có cảm giác nhạy cảm hoặc ê buốt thoáng qua mỗi khi tiếp xúc với thực phẩm quá nóng, quá lạnh hoặc các loại trái cây có tính axit cao.
- Giai đoạn giữa: Bề mặt răng không còn độ bóng, trở nên sần sùi và bắt đầu xuất hiện các vết màu trắng đục hoặc ngả vàng (do lớp ngà răng bên trong dần bị lộ ra). Ở giai đoạn này, cảm giác ê buốt khi ăn uống sẽ trở nên rõ rệt và thường xuyên hơn.
- Giai đoạn nặng: Tình trạng mòn men răng đã tiến triển sâu, mặt răng sần sùi rõ rệt và có thể thấy các vết lõm hoặc tổn thương lớn. Cổ răng bị tiêu mòn mạnh khiến răng trở nên mỏng yếu, cực kỳ nhạy cảm và rất dễ bị sứt mẻ hoặc gãy vỡ khi ăn nhai.
Mòn men răng có nguy hiểm không? Hệ lụy nếu không điều trị
Mòn men răng không chỉ gây mất thẩm mỹ mà còn ảnh hưởng nghiêm trọng tới sức khỏe răng miệng nếu không được xử lý kịp thời. Các hệ lụy tiêu cực gồm:
- Tăng nguy cơ sâu răng: Khi lớp men mất đi, vi khuẩn dễ xâm nhập vào ngà răng, gây sâu và viêm tủy.
- Nhạy cảm răng nặng: Đau ê buốt mạnh, hạn chế ăn uống, ảnh hưởng chất lượng cuộc sống.
- Mất răng sớm: Tổn thương nặng có thể khiến răng lung lay hoặc mất răng.
- Ảnh hưởng đến thẩm mỹ: Răng mất nét đẹp tự nhiên, gây tự ti trong giao tiếp.
Chính vì vậy, việc phát hiện và điều trị sớm rất cần thiết để bảo vệ sức khỏe răng miệng của bạn.
Cách điều trị mòn men răng hiệu quả tại nha khoa
Tùy thuộc vào mức độ tổn thương của cấu trúc răng, bác sĩ sẽ chỉ định phương pháp điều trị mòn men răng phù hợp. Mục tiêu chung là ngăn chặn sự tiến triển của bệnh lý, giảm ê buốt và khôi phục vẻ đẹp tự nhiên cho nụ cười.
Tái khoáng hóa và sử dụng Flour

Đây là giải pháp can thiệp tối giản nhưng cực kỳ hiệu quả cho những trường hợp mòn men răng ở giai đoạn khởi phát (khi lớp men mới bắt đầu mất khoáng).
- Cơ chế: Bác sĩ sử dụng gel hoặc vecni Fluoride nồng độ cao bôi trực tiếp lên bề mặt răng. Flouride sẽ thẩm thấu vào các lỗ li ti trên men răng, kết hợp với Canxi và Phosphate để tạo thành lớp khoáng cứng chắc hơn cả men răng ban đầu.
- Lợi ích: Giúp đóng kín các ống ngà bị lộ, chấm dứt tình trạng ê buốt khi ăn đồ nóng lạnh và làm chậm đáng kể quá trình bào mòn tiếp theo.
Trám răng thẩm mỹ (Bonding)

Phương pháp này thường được áp dụng cho các vết mòn men răng ở vùng cổ răng hoặc mặt nhai có kích thước nhỏ đến trung bình.
- Kỹ thuật: Bác sĩ sử dụng nhựa Composite chuyên dụng có màu sắc tương đồng 100% với răng thật để lấp đầy các rãnh mòn. Sau khi tạo hình, ánh sáng quang trùng hợp sẽ được sử dụng để làm đông cứng chất trám, tạo sự liên kết bền vững với răng.
- Lợi ích: Khôi phục ngay lập tức hình dáng răng, bảo vệ ngà răng khỏi vi khuẩn và axit, đồng thời mang lại tính thẩm mỹ cao với chi phí cực kỳ tiết kiệm.
Dán sứ Veneer

Đây là giải pháp thẩm mỹ cao cấp dành cho các trường hợp mòn men răng diện rộng ở mặt ngoài của răng cửa, khiến răng bị mỏng, xỉn màu hoặc sứt mẻ rìa cắn.
- Kỹ thuật: Một lớp sứ siêu mỏng (chỉ từ 0.3mm – 0.5mm) được chế tác tinh xảo bằng công nghệ CAD/CAM sẽ được dán cố định lên bề mặt răng. Bác sĩ chỉ cần mài cực ít hoặc thậm chí không cần mài răng thật.
- Lợi ích: Tạo ra một “lá chắn” sứ bền bỉ bảo vệ răng khỏi các tác động hóa học và cơ học, đồng thời khắc phục hoàn hảo tình trạng răng ngắn, mỏng do bị mòn.
Bọc răng sứ

Khi tình trạng mòn men răng đã trở nên nghiêm trọng, làm mất quá nhiều cấu trúc răng tự nhiên hoặc gây ảnh hưởng đến tủy, bọc răng sứ là sự lựa chọn tối ưu nhất.
- Kỹ thuật: Bác sĩ sẽ thiết kế một mão sứ bao bọc toàn bộ 360 độ quanh thân răng thật. Mão sứ đóng vai trò như một chiếc mũ bảo hiểm kiên cố, ngăn chặn mọi tác động từ môi trường bên ngoài.
- Lợi ích: Bảo vệ tuyệt đối cho những chiếc răng đã quá yếu, ngăn ngừa nguy cơ răng bị gãy vỡ khi ăn nhai và giúp răng không còn bị nhạy cảm hay đau nhức kéo dài.
Đeo máng chống nghiến

Nếu nguyên nhân gây mòn men răng xuất phát từ thói quen nghiến răng vô thức (đặc biệt là ban đêm), việc đeo máng bảo vệ là bước không thể thiếu để duy trì kết quả điều trị.
- Cơ chế: Máng được thiết kế riêng theo dấu hàm của từng người, làm từ chất liệu nhựa y tế mềm dẻo hoặc nhựa cứng tùy mức độ. Máng đóng vai trò là lớp đệm trung gian, ngăn cản sự tiếp xúc trực tiếp giữa hai hàm răng.
- Lợi ích: Triệt tiêu hoàn toàn lực ma sát cực lớn khi nghiến răng, từ đó bảo vệ lớp men răng thật và các mối hàn trám, răng sứ khỏi nguy cơ bị nứt vỡ hoặc bào mòn thêm.
Quy trình điều trị mòn men răng tại Nha khoa Sài Gòn Phong Phú

Để khôi phục “lớp áo giáp” bảo vệ răng một cách hoàn hảo nhất, Nha khoa Sài Gòn Phong Phú áp dụng quy trình điều trị khép kín, đảm bảo tính thẩm mỹ cao và sự bền vững lâu dài cho khách hàng:
Bước 1: Thăm khám và chụp X-quang xác định mức độ mòn
Chụp X-quang giúp nhìn rõ tổn thương bên trong cấu trúc răng, từ đó lựa chọn phương pháp điều trị phù hợp.
Bước 2: Vệ sinh răng miệng và xử lý bệnh lý nền
Làm sạch mảng bám, điều trị các bệnh lý kèm theo như viêm nướu, sâu răng để chuẩn bị cho bước tiếp theo.
Bước 3: Thực hiện phương pháp phục hồi (Trám/Sứ/Veneer)
Chọn lựa phương pháp phù hợp, tiến hành sửa chữa hoặc phục hình theo kế hoạch đã đề ra.
Bước 4: Hướng dẫn chăm sóc và hẹn lịch tái khám
Chia sẻ các lưu ý về vệ sinh răng miệng, chế độ ăn uống để duy trì kết quả lâu dài.
Chi phí điều trị mòn men răng bao nhiêu tiền?
Thực tế, không có một con số cố định cho việc điều trị mòn men răng, bởi mức giá này phụ thuộc rất lớn vào mức độ tổn thương của răng và phương pháp phục hồi mà bạn lựa chọn. Dưới đây là bảng tổng hợp các phương pháp phổ biến cùng mức giá tham khảo trên thị trường hiện nay:
Bảng giá tham khảo các dịch vụ điều trị mòn men răng
| Phương pháp điều trị | Mức giá tham khảo (VNĐ/Răng) | Đặc điểm & Ưu điểm |
| Tái khoáng hóa (Bôi Flour) | 200.000 – 500.000 | Dành cho mức độ nhẹ, giúp bù đắp khoáng chất và giảm ê buốt nhanh chóng. |
| Trám răng thẩm mỹ | 300.000 – 1.000.000 | Chi phí tiết kiệm, thực hiện nhanh, phù hợp cho các vết mòn nhỏ hoặc khuyết cổ răng. |
| Dán sứ Veneer | 4.000.000 – 10.000.000 | Thẩm mỹ cao cấp, bảo tồn tối đa răng thật, độ bền lên đến 15 năm. |
| Bọc răng sứ | 2.000.000 – 8.000.000 | Bảo vệ toàn diện cho răng bị mòn nặng, phục hồi chức năng ăn nhai hoàn hảo. |
| Máng chống nghiến | 1.000.000 – 3.000.000/Hàm | Ngăn chặn nguyên nhân gây mòn cơ học, bảo vệ kết quả điều trị lâu dài. |
Các yếu tố ảnh hưởng đến giá bao gồm:
Để bạn có cái nhìn khách quan hơn, dưới đây là 4 yếu tố chính quyết định đến tổng hóa đơn khi điều trị mòn men răng:
- Loại hình điều trị: Những kỹ thuật can thiệp bề mặt như tái khoáng hay trám răng sẽ có chi phí thấp hơn nhiều so với các kỹ thuật phục hình chuyên sâu như dán sứ hay bọc răng sứ.
- Chất lượng vật liệu sử dụng: Cùng là bọc sứ nhưng dòng sứ toàn sứ cao cấp (Zirconia, Cercon…) sẽ có giá cao hơn so với sứ kim loại do độ bền và tính thẩm mỹ vượt trội.
- Địa chỉ nha khoa & Công nghệ: Những nha khoa sở hữu trang thiết bị hiện đại (máy chụp X-quang CT Cone Beam, công nghệ thiết kế răng sứ CAD/CAM) và đội ngũ bác sĩ giàu kinh nghiệm thường có mức giá nhỉnh hơn nhưng đảm bảo kết quả điều trị an toàn, bền vững.
- Tình trạng thực tế của khách hàng: Nếu mòn men răng đã biến chứng gây viêm tủy hoặc viêm nướu, khách hàng sẽ cần tốn thêm chi phí để điều trị triệt để các bệnh lý nền trước khi tiến hành phục hồi thẩm mỹ.
Cách phòng ngừa mòn men răng tại nhà từ chuyên gia
Để duy trì đôi răng khỏe mạnh, bạn cần chú ý đến thói quen sinh hoạt hàng ngày.
Thay đổi chế độ ăn uống
Hạn chế tiêu thụ đồ ăn chứa nhiều axit và đường, ưu tiên các thực phẩm chứa canxi, vitamin D giúp tăng cường men răng.
Kỹ thuật chải răng đúng cách
Chải nhẹ nhàng, sử dụng bàn chải lông mềm, tránh chà xát quá mạnh để ngăn tổn thương lớp men.
Khám nha khoa định kỳ 6 tháng/lần
Kiểm tra định kỳ giúp phát hiện sớm các vấn đề về men răng, xử lý kịp thời để tránh tình trạng nặng nề.
Giải đáp thắc mắc thường gặp
Mòn men răng có tự mọc lại được không?
Không, men răng không thể tự phục hồi do thành phần không có khả năng tái tạo. Tuy nhiên, các biện pháp tái khoáng và điều trị phù hợp có thể giúp bảo vệ và phục hồi phần nhỏ tổn thương.
Trám răng mòn cổ có bền không?
Chất lượng vật liệu và kỹ thuật của nha sĩ đóng vai trò quyết định độ bền của trám. Nếu chăm sóc đúng cách, trám có thể duy trì từ 5-10 năm.
Bị mòn men răng nên dùng kem đánh răng nào?
Chọn loại kem đánh răng chứa fluoride, phù hợp cho răng nhạy cảm hoặc chứa thành phần làm tăng cường độ cứng của men răng. Nên tham khảo ý kiến nha sĩ để có lựa chọn phù hợp.
Kết luận
Mòn men răng là vấn đề thường gặp nhưng có thể phòng tránh và điều trị hiệu quả nếu phát hiện sớm và áp dụng đúng phương pháp. Việc duy trì vệ sinh răng miệng, hạn chế đồ ăn chứa axit, khám nha khoa định kỳ luôn là chìa khóa để giữ gìn hàm răng khỏe mạnh, đẹp tự nhiên và duy trì cuộc sống tự tin mỗi ngày.