Mặt lưỡi cày (hay còn gọi là lưỡi cày bề mặt) là một tình trạng khá phổ biến liên quan đến cấu trúc của lưỡi và thói quen sinh hoạt hàng ngày. Hiểu rõ về mặt lưỡi cày giúp chúng ta có thể phát hiện sớm và có phương pháp khắc phục phù hợp, từ đó duy trì sức khỏe răng miệng và tự tin hơn trong cuộc sống.
Mặt lưỡi cày là tình trạng mà phần mặt lưỡi của răng trên hoặc răng dưới bị mòn hoặc bị lõm theo chiều dọc, giống như mặt của chiếc lưỡi cày. Đây không chỉ là vấn đề thẩm mỹ mà còn có thể ảnh hưởng đến chức năng ăn nhai, phát âm và sức khỏe chung của khoang miệng. Trong bài viết này, chúng ta sẽ cùng tìm hiểu chi tiết về mặt lưỡi cày, từ nguyên nhân, dấu hiệu nhận biết, tác động đến cuộc sống hàng ngày, cho đến các phương pháp điều trị phù hợp và lời khuyên của chuyên gia.
Mặt lưỡi cày là gì?
Mặt lưỡi cày (tên gọi khác là khớp cắn ngược) là tình trạng sai lệch khớp cắn nghiêm trọng, xảy ra khi xương hàm dưới phát triển quá mức và đưa ra phía trước so với xương hàm trên. Khi nhìn ở góc nghiêng, khuôn mặt người mắc phải thường bị lõm ở vùng giữa mặt và nhô ra ở phần cằm, tạo nên hình dáng tương tự như chiếc lưỡi cày.

Đặc điểm nhận dạng khuôn mặt lưỡi cày (Khớp cắn ngược)
Mặt lưỡi cày là thuật ngữ dân gian dùng để chỉ tình trạng khớp cắn ngược mức độ nặng. Bạn có thể dễ dàng nhận diện qua các đặc điểm sau:
- Cấu trúc khuôn mặt: Khi nhìn nghiêng, khuôn mặt có hình dạng lõm ở giữa và phần cằm đưa ra phía trước quá mức, trông giống như hình chiếc lưỡi cày.
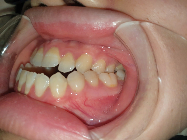
- Tương quan hai hàm: Răng hàm dưới bao phủ hoàn toàn răng hàm trên khi ngậm miệng (ngược lại với khớp cắn chuẩn).
- Đường thẳng thẩm mỹ: Mũi, môi và cằm không nằm trên một đường thẳng, phần cằm thường dài và nhọn hơn bình thường.
Dấu hiệu nhận biết mặt lưỡi cày (Khớp cắn ngược)
Bạn có thể dễ dàng nhận diện tình trạng mặt lưỡi cày thông qua các dấu hiệu trực quan từ cấu trúc răng đến tỷ lệ khuôn mặt dưới đây:
- Tương quan hai hàm (Dấu hiệu rõ nhất): Khi ở trạng thái nghỉ hoặc cắn chặt, các răng hàm dưới bao phủ hoàn toàn răng hàm trên. Đây là đặc điểm ngược lại hoàn toàn với khớp cắn chuẩn (răng hàm trên phủ ngoài hàm dưới).
- Góc nghiêng “hình lưỡi cày”: Khi nhìn nghiêng, khuôn mặt có cấu trúc đường cong lõm. Phần trán và cằm nhô ra, trong khi vùng giữa mặt (mũi và môi trên) bị lùi vào trong, tạo cảm giác gương mặt bị gãy.
- Đường thẳng thẩm mỹ bị phá vỡ: Ba điểm gồm đỉnh mũi, môi và đỉnh cằm không nằm trên một đường thẳng. Đỉnh cằm thường nhô hẳn ra ngoài so với trục dọc của khuôn mặt.
- Biến dạng môi: Môi dưới thường dày, trề ra phía trước và bao lấy môi trên, khiến nụ cười bị mất tự nhiên và gương mặt trông già dặn hơn.
- Trục răng bị nghiêng: Răng cửa hàm dưới thường có xu hướng mọc nghiêng về phía môi, trong khi răng cửa hàm trên lại mọc quặp vào trong để cố gắng chạm vào hàm dưới.
- Khó khăn trong chức năng:
- Ăn nhai: Hai hàm răng không khớp nhau khiến việc cắn xé thức ăn trở nên khó khăn.
- Phát âm: Luồng hơi đi ra không chuẩn, dẫn đến tình trạng nói ngọng, đặc biệt là các âm gió.
Nếu bạn thấy mình có từ 2-3 dấu hiệu trên, hãy thực hiện chụp X-quang để xác định xem mình bị móm do răng hay do xương, từ đó có hướng điều trị kịp thời.

Nguyên nhân dẫn đến tình trạng mặt lưỡi cày
Hiểu rõ nguyên nhân chính gây ra mặt lưỡi cày giúp chúng ta có thể chủ động phòng tránh hoặc kiểm soát tình trạng này kịp thời. Các yếu tố dẫn đến sự hình thành mặt lưỡi cày vô cùng phong phú, đa dạng, có thể liên quan đến yếu tố sinh lý, thói quen sinh hoạt và bệnh lý nền.
Do răng mọc sai lệch
Đây là trường hợp các răng hàm trên mọc quặp vào trong, trong khi răng hàm dưới mọc chìa ra ngoài. Dù cấu trúc xương hàm vẫn bình thường nhưng sự sai lệch của răng tạo nên vẻ ngoài giống mặt lưỡi cày.
Do cấu trúc xương hàm phát triển quá mức
Nguyên nhân này xuất phát từ bẩm sinh hoặc di truyền. Xương hàm dưới phát triển quá mạnh hoặc xương hàm trên quá ngắn, kém phát triển, dẫn đến sự mất cân đối nghiêm trọng mà việc chỉ can thiệp vào răng không thể giải quyết hết.
Thói quen chải răng quá mạnh hoặc không đúng cách
Chải răng là thói quen hàng ngày quan trọng để duy trì vệ sinh răng miệng. Tuy nhiên, nhiều người lại chải răng quá mạnh hoặc dùng bàn chải cứng, gây tổn thương quá mức cho mặt ngoài của răng, dẫn đến mòn men răng nhanh chóng theo thời gian.

Ngoài ra, chải răng không đúng kỹ thuật còn làm giảm khả năng bảo vệ của lớp men răng, khiến các lớp bên trong dễ bị tổn thương và hình thành các vết lõm, vết nứt trên mặt răng. Thói quen này còn gây kích thích mô nướu, làm cho các phần răng dễ bị tổn thương hơn.
Chuyên gia nha khoa khuyến cáo, chúng ta cần sử dụng bàn chải lông mềm, chải nhẹ nhàng theo chiều dọc, và không chải quét hoặc chải theo vòng tròn quá mạnh để bảo vệ men răng tối đa.
Tác động của các yếu tố bệnh lý
Các bệnh lý về tiêu hóa như trào ngược dạ dày, viêm dạ dày, hoặc các vấn đề liên quan đến hệ tiêu hóa có thể dẫn đến acid dạ dày tràn lên khoang miệng, gây ăn mòn men răng ngày càng rõ rệt. Điều này dẫn đến các tổn thương hình lưỡi cày xuất hiện sớm hơn và trở nên nghiêm trọng nếu không được điều trị đúng cách.
Ngoài ra, các bệnh lý khác như parodontitis, bệnh nền về nội tiết, thiếu vitamin hoặc các chất dinh dưỡng cần thiết cũng đều làm giảm khả năng bảo vệ của men răng, làm khuynh hướng phát triển mặt lưỡi cày tăng cao.
Thói quen không lành mạnh và các tác nhân ngoài môi trường
Nghiến răng khi ngủ, thói quen liếm, nghiến hoặc cắn móng tay cũng là những nguyên nhân không thể bỏ qua. Những thói quen này không chỉ gây áp lực lớn lên các răng mà còn dẫn đến việc mòn men, tạo điều kiện thuận lợi cho mặt lưỡi cày hình thành rõ rệt.

Ngoài ra, thực phẩm chứa axit cao, đồ uống có ga, đồ ngọt và các chất kích thích khác cũng phá vỡ cấu trúc men răng, làm giảm khả năng chống chịu của răng trước các tác nhân gây hại. Việc tuân thủ chế độ ăn uống hợp lý, giữ vệ sinh sạch sẽ và hạn chế các thói quen xấu là cách tốt nhất để giảm thiểu nguy cơ mặt lưỡi cày.
Mặt lưỡi cày có ảnh hưởng gì đến cuộc sống?
Tình trạng mặt lưỡi cày nếu không được điều trị sớm sẽ gây ra nhiều hệ lụy:
- Thẩm mỹ kém: Gương mặt mất cân đối, khiến người mắc phải mặc cảm, tự ty và ngại giao tiếp.
- Khó khăn khi ăn nhai: Khớp cắn ngược làm giảm lực nhai, thức ăn không được nghiền nát kỹ, dễ gây ra các bệnh về đường tiêu hóa (dạ dày, đại tràng).
- Phát âm không chuẩn: Gây hiện tượng nói ngọng, nói đớt, ảnh hưởng đến chất lượng công việc và học tập.
- Bệnh lý răng miệng: Dễ gây mòn men răng, đau khớp thái dương hàm và các bệnh nha chu khác.

Những ai dễ gặp tình trạng mặt lưỡi cày?
Đối tượng dễ bị mặt lưỡi cày bao gồm: người có yếu tố di truyền từ người thân, trẻ em có thói quen xấu (mút tay, đẩy lưỡi, chống cằm), và những người gặp dị tật bẩm sinh như sứt môi, hở hàm ếch. Tình trạng này thường bắt đầu lộ rõ từ giai đoạn thay răng sữa và trở nên nghiêm trọng hơn ở tuổi dậy thì.
Tình trạng mặt lưỡi cày (khớp cắn ngược) không tự nhiên sinh ra ở tất cả mọi người mà thường tập trung vào 3 nhóm đối tượng chính dưới đây:
Người có yếu tố di truyền từ gia đình
Đây là nhóm phổ biến nhất. Nếu trong gia đình (cha, mẹ, hoặc ông bà) có cấu trúc xương hàm dưới phát triển mạnh hoặc xương hàm trên ngắn, con cái có tỷ lệ cao thừa hưởng gen này. Tình trạng này thường biểu hiện rõ rệt nhất khi trẻ bước vào độ tuổi dậy thì, khi xương hàm phát triển mạnh.
Trẻ em có các thói quen xấu khi còn nhỏ
Các thói quen tưởng chừng vô hại trong giai đoạn răng và xương hàm đang phát triển có thể làm biến dạng cấu trúc khuôn mặt:
- Thói quen mút tay hoặc ngậm ti giả: Tác động lực không đều lên cung hàm.
- Đẩy lưỡi: Thường xuyên dùng lưỡi đẩy vào mặt sau của răng hàm dưới khiến răng bị chìa ra ngoài.
- Chống cằm: Hành động thường xuyên tì đè lên xương hàm dưới có thể kích thích hoặc làm lệch hướng phát triển của xương.
- Trẻ có thói quen thở bằng miệng: Do các bệnh lý về hô hấp khiến hàm trên kém phát triển, tạo điều kiện cho hàm dưới đưa ra trước.
Người gặp các vấn đề về răng và xương hàm bẩm sinh
Bên cạnh yếu tố thói quen hay di truyền, các khiếm khuyết trong quá trình hình thành răng và cấu trúc xương ngay từ khi sinh ra cũng là nguyên nhân phổ biến khiến gương mặt bị biến dạng theo hình lưỡi cày. Những trường hợp này thường đòi hỏi sự can thiệp chuyên môn sâu để điều chỉnh lại tương quan giữa hai hàm.
Các vấn đề bẩm sinh thường gặp bao gồm:
- Mất răng sữa sớm: Răng sữa đóng vai trò quan trọng trong việc giữ chỗ và định hướng cho răng vĩnh viễn. Khi trẻ bị mất răng sữa quá sớm do sâu răng hoặc chấn thương, các răng còn lại có xu hướng xô lệch, khiến răng vĩnh viễn mọc lên bị sai vị trí, dễ dẫn đến tình trạng khớp cắn ngược do răng.
- Thiếu răng bẩm sinh: Một số người sinh ra đã bị thiếu hụt mầm răng vĩnh viễn, đặc biệt là ở hàm trên. Điều này khiến cung hàm trên bị thu hẹp, lép và nhỏ hơn so với hàm dưới, tạo ra sự chênh lệch rõ rệt về kích thước giữa hai hàm.
- Dị tật khe hở môi, vòm miệng: Những trường hợp sứt môi hoặc hở hàm ếch thường đi kèm với việc xương hàm trên phát triển kém. Điều này không chỉ gây ra khó khăn trong phát âm mà còn dẫn đến tương quan hàm bị lệch nghiêm trọng, hình thành gương mặt lưỡi cày điển hình.
Việc nhận diện sớm các vấn đề bẩm sinh này thông qua phim chụp X-quang tại Nha khoa Sài Gòn Phong Phú sẽ giúp bác sĩ đưa ra phác đồ ngăn chặn kịp thời, hạn chế tối đa các cuộc phẫu thuật phức tạp sau này.
Phương pháp cải thiện mặt lưỡi cày hiệu quả
Khi phát hiện mặt lưỡi cày, việc lựa chọn phương pháp điều trị phù hợp là điều kiện tiên quyết để phục hồi chức năng và thẩm mỹ của răng. Tùy theo mức độ tổn thương, các nha sĩ sẽ đề xuất các giải pháp phù hợp, từ các biện pháp bảo tồn đến can thiệp phẫu thuật hoặc chỉnh nha.
Niềng răng chỉnh khớp cắn (chỉnh nha)
Niềng răng là giải pháp tối ưu giúp điều chỉnh cấu trúc răng và khớp cắn, qua đó giảm thiểu tổn thương mặt lưỡi cày và cải thiện chức năng nhai, phát âm. Phương pháp này đặc biệt phù hợp với những trường hợp mặt lưỡi cày do lệch lạc, khớp cắn không đều.

Chuyên gia nha khoa thường sử dụng các mắc cài kim loại, mắc cài sứ hoặc mắc cài trong suốt để chỉnh hình lại khung răng, đưa các răng về đúng vị trí, tạo nên sự đều đẹp tự nhiên. Phương pháp này không chỉ mang lại hiệu quả lâu dài mà còn hạn chế tái phát, giúp duy trì cấu trúc răng ổn định sau điều trị.
Niềng răng cho trẻ em để can thiệp sớm
Phần lớn các chuyên gia đều khuyến khích cha mẹ đưa trẻ đi kiểm tra răng miệng định kỳ từ sớm. Đối với trẻ em, việc chỉnh nha sớm giúp phát hiện và xử lý mặt lưỡi cày trước khi tình trạng trở nên nặng hơn, giảm thiểu các biện pháp điều trị phức tạp sau này.
Chỉnh nha sớm còn giúp định hướng sự phát triển của xương hàm, giảm thiểu các vấn đề lệch lạc, rối loạn khớp cắn và hạn chế tổn thương mặt lưỡi cày do các thói quen xấu kéo dài. Điều này đưa đến một kết quả điều trị tối ưu và đảm bảo sức khỏe răng miệng lâu dài cho trẻ.
Bọc răng sứ
Trong những trường hợp mòn men răng nặng hoặc bị tổn thương không thể khắc phục bằng các kỹ thuật chỉnh nha, bọc răng sứ là phương pháp hữu hiệu giúp phục hình lại phần mặt răng, che đi các vết lõm, vết nứt để lấy lại vẻ đẹp tự nhiên và chức năng của răng.
Bọc sứ không chỉ bảo vệ răng khỏi các yếu tố tác động bên ngoài mà còn giúp cân đối lại cấu trúc răng bị mòn, hạn chế tình trạng mặt lưỡi cày lan rộng thêm. Kỹ thuật này phù hợp với các trường hợp đã điều trị chỉnh nha nhưng còn tổn thương phần mặt răng rõ ràng.
Thay đổi thói quen sinh hoạt
Ngoài các biện pháp nha khoa, thay đổi thói quen sinh hoạt là vô cùng quan trọng trong quá trình cải thiện mặt lưỡi cày. Việc điều chỉnh cách chải răng, hạn chế ăn các thực phẩm chứa axit cao, hoặc giảm thiểu thói quen nghiến răng, liếm môi sẽ giúp giảm tốc độ tổn thương và giữ gìn sức khỏe răng miệng tốt hơn.

Chuyên gia cũng khuyến khích tập luyện các thói quen tốt như uống đủ nước, giữ vệ sinh sạch sẽ, kiểm tra định kỳ để phòng ngừa tái phát và duy trì kết quả lâu dài.
Chi phí điều trị mặt lưỡi cày tại Nha khoa Sài Gòn Phong Phú
Dưới đây là bảng giá tham khảo cho các dịch vụ chỉnh nha khắc phục mặt lưỡi cày (Cập nhật mới nhất):
| Dịch vụ niềng răng | Chi phí (2 hàm) |
| Niềng răng mắc cài kim loại | 25.000.000đ – 65.000.000đ |
| Niềng răng mắc cài sứ | 30.000.000đ – 75.000.000đ |
| Niềng răng trong suốt Invisalign | 90.000.000đ – 150.000.000đ |
(Lưu ý: Chi phí thực tế phụ thuộc vào cấp độ lệch lạc của răng. Liên hệ Hotline 0917 91 93 98 để nhận ưu đãi).
Quy trình chẩn đoán và điều trị mặt lưỡi cày
Việc chẩn đoán chính xác và đưa ra phương án điều trị phù hợp đóng vai trò quyết định đến thành công của toàn bộ quá trình phục hồi răng. Quá trình này bao gồm các bước cụ thể để đảm bảo mọi yếu tố đều được xem xét kỹ lưỡng.
Bước 1: Thăm khám lâm sàng và tư vấn ban đầu
Bác sĩ sẽ tiến hành kiểm tra trực tiếp tình trạng răng miệng, mức độ lệch lạc của khớp cắn và đánh giá sơ bộ hình dáng khuôn mặt. Đây là bước quan trọng để bác sĩ lắng nghe mong muốn của khách hàng và giải đáp các thắc mắc về thời gian cũng như chi phí điều trị.
Bước 2: Chụp X-quang và lấy dấu hàm kỹ thuật số
Để đưa ra kết luận chính xác nhất, khách hàng sẽ được thực hiện các chẩn đoán hình ảnh chuyên sâu:
- Chụp phim X-quang (CT Cone Beam, Cephalometric): Giúp bác sĩ nhìn rõ cấu trúc xương hàm, trục răng và tương quan giữa hàm trên – hàm dưới. Từ đó xác định chính xác móm do răng, do xương hay kết hợp cả hai.
- Lấy dấu hàm: Sử dụng công nghệ hiện đại để tạo ra mô hình hàm răng giả định, giúp mô phỏng chính xác tình trạng khớp cắn hiện tại của khách hàng.
Bước 3: Lập phác đồ điều trị chi tiết (Treatment Plan)
Dựa trên các dữ liệu hình ảnh, bác sĩ sẽ xây dựng một lộ trình điều trị cá nhân hóa. Phác đồ này bao gồm:
- Xác định phương pháp điều trị: Niềng răng, phẫu thuật hay kết hợp cả hai.
- Dự kiến thời gian điều trị cho từng giai đoạn.
- Dự báo kết quả thay đổi của khuôn mặt sau khi kết thúc quy trình.
Bước 4: Tiến hành điều trị chuyên sâu
Tùy vào phương án đã thống nhất ở Bước 3, quy trình thực hiện sẽ khác nhau:
- Trường hợp niềng răng: Bác sĩ tiến hành gắn mắc cài (kim loại, sứ) hoặc bàn giao khay niềng Invisalign. Khách hàng sẽ tái khám định kỳ mỗi 4–6 tuần để bác sĩ điều chỉnh lực kéo của răng.
- Trường hợp phẫu thuật: Thực hiện tại phòng phẫu thuật vô trùng với sự hỗ trợ của trang thiết bị hiện đại. Bác sĩ sẽ can thiệp vào xương hàm để đưa khớp cắn về vị trí chuẩn xác nhất.
Bước 5: Kết thúc điều trị và duy trì kết quả
Sau khi răng đã đều và khớp cắn đã chuẩn, bác sĩ sẽ tháo niềng và chỉ định khách hàng đeo hàm duy trì. Bước này cực kỳ quan trọng để ngăn ngừa tình trạng răng xô lệch trở lại và đảm bảo gương mặt lưỡi cày được khắc phục vĩnh viễn.
Mặt lưỡi cày có tự hết không?
Mặt lưỡi cày (khớp cắn ngược) KHÔNG THỂ tự hết do đây là vấn đề về cấu trúc xương và răng. Tình trạng này thường có xu hướng nghiêm trọng hơn trong tuổi dậy thì khi xương hàm dưới phát triển mạnh. Để khắc phục, cần can thiệp bằng các biện pháp nha khoa như niềng răng hoặc phẫu thuật hàm. Việc điều trị sớm (đặc biệt là từ 6-12 tuổi) sẽ mang lại hiệu quả cao nhất và tiết kiệm chi phí.
Tình trạng thường trở nên nghiêm trọng hơn theo thời gian
Thay vì tự khỏi, mặt lưỡi cày thường có xu hướng nặng hơn khi trẻ bước vào độ tuổi dậy thì (từ 12–18 tuổi).
- Sự phát triển của xương: Trong giai đoạn này, xương hàm dưới có xu hướng phát triển mạnh mẽ và dài ra. Nếu không được kìm hãm bằng các khí cụ chỉnh nha, phần cằm sẽ càng ngày càng đưa ra phía trước rõ rệt hơn.
- Sự xô lệch của răng: Khi khớp cắn bị ngược, các răng hàm trên thường bị răng hàm dưới chèn ép, dẫn đến tình trạng răng hàm trên càng quặp vào trong, làm khuôn mặt bị “gãy” sâu hơn.
Những hệ lụy nếu chờ đợi mặt lưỡi cày “tự hết”
Việc chủ quan không điều trị sớm có thể dẫn đến những vấn đề sức khỏe và thẩm mỹ lâu dài:
- Mòn men răng nhanh chóng: Do hai hàm không khớp nhau, các mặt răng sẽ cọ xát bất thường, gây mòn men, ê buốt và tăng nguy cơ sâu răng.
- Biến dạng cấu trúc mặt vĩnh viễn: Khi xương hàm đã phát triển hoàn thiện và cứng lại sau tuổi trưởng thành, việc điều trị sẽ trở nên phức tạp và tốn kém hơn (thường phải phẫu thuật thay vì chỉ cần niềng răng).
- Ảnh hưởng tâm lý: Trẻ em và người lớn có mặt lưỡi cày thường chịu áp lực tâm lý lớn, thiếu tự tin trong giao tiếp, ảnh hưởng trực tiếp đến sự phát triển cá nhân.

Tại sao nên chọn Nha khoa Sài Gòn Phong Phú để điều trị mặt lưỡi cày?
Việc điều trị mặt lưỡi cày là một hành trình dài, đòi hỏi sự can thiệp chính xác vào cấu trúc răng và xương hàm. Do đó, lựa chọn một địa chỉ nha khoa uy tín là yếu tố tiên quyết để đảm bảo kết quả thẩm mỹ và an toàn sức khỏe. Nha khoa Sài Gòn Phong Phú tự hào là đơn vị chuyên sâu trong lĩnh vực chỉnh nha và phẫu thuật hàm mặt, giúp hàng ngàn khách hàng lấy lại nụ cười tự tin.
Dưới đây là những lý do tại sao khách hàng luôn tin tưởng chúng tôi:
- Đội ngũ bác sĩ chuyên môn cao: Các bác sĩ tại nha khoa có nhiều năm kinh nghiệm, từng tu nghiệp và tuân thủ nghiêm ngặt các tiêu chuẩn nha khoa quốc tế. Khách hàng sẽ được bác sĩ trực tiếp thăm khám, phân tích phim X-quang và lên phác đồ điều trị cá nhân hóa, bám sát tình trạng thực tế của từng người.
- Trang thiết bị hiện đại hàng đầu: Chúng tôi đầu tư hệ thống máy chụp X-quang CT Cone Beam tiên tiến. Công nghệ này cho phép thấy rõ cấu trúc xương hàm ở không gian 3 chiều, giúp bác sĩ xác định chính xác nguyên nhân móm là do răng hay do xương, từ đó đưa ra phương án điều trị hiệu quả nhất, hạn chế tối đa xâm lấn.
- Hợp đồng cam kết rõ ràng: Niềm tin của khách hàng được đặt lên hàng đầu thông qua các bản hợp đồng cam kết hiệu quả bằng văn bản. Mọi lộ trình điều trị và chi phí đều được minh bạch ngay từ đầu, không phát sinh chi phí ngoài dự kiến.
- Chính sách hỗ trợ tài chính ưu việt: Nhằm giảm bớt gánh nặng kinh phí, Nha khoa Sài Gòn Phong Phú hỗ trợ chương trình niềng răng trả góp 0% lãi suất. Khách hàng có thể yên tâm điều trị sớm mà không cần quá lo lắng về áp lực tài chính.
Đừng để mặt lưỡi cày làm rào cản cho sự thành công của bạn. Hãy liên hệ ngay với Nha khoa Sài Gòn Phong Phú để sở hữu nụ cười tự tin!
- Địa chỉ: 1789 Quốc Lộ 50, Phong Phú, Bình Chánh, TP.HCM
- Hotline: 0917 91 93 98
Câu hỏi thường gặp về mặt lưỡi cày
Mặt lưỡi cày có di truyền không?
Yếu tố di truyền đóng vai trò nhất định trong khả năng hình thành mặt lưỡi cày. Gia đình có tiền sử các vấn đề liên quan đến cấu trúc răng hay khớp cắn sẽ dễ xuất hiện tình trạng này hơn.
Tuy nhiên, phần lớn các nguyên nhân liên quan đến thói quen sinh hoạt, vệ sinh răng miệng và bệnh lý mới chính là yếu tố quyết định. Do đó, bên cạnh yếu tố di truyền, việc phòng tránh và chăm sóc hợp lý vẫn đóng vai trò quan trọng trong việc kiểm soát tình trạng này.
Trẻ mấy tuổi điều trị mặt lưỡi cày là tốt nhất?
Thời điểm thích hợp để điều trị mặt lưỡi cày là khi bé còn nhỏ, từ 7-12 tuổi, khi các răng vĩnh viễn bắt đầu mọc và xương hàm còn đang trong quá trình phát triển. Điều này giúp dễ điều chỉnh và định hướng sự phát triển của khung hàm, giảm thiểu các biến dạng hoặc lệch lạc về sau.
Ngoài ra, can thiệp sớm còn giúp hạn chế các ảnh hưởng tiêu cực đến thẩm mỹ, chức năng ăn nhai, phát âm và tâm lý của trẻ. Nhưng dù là người lớn, việc điều trị vẫn mang lại hiệu quả nếu được thực hiện đúng phương pháp và theo chỉ định của chuyên gia.
Điều trị mặt lưỡi cày mất bao lâu?
Thời gian điều trị mặt lưỡi cày phụ thuộc vào mức độ tổn thương, phương pháp điều trị và phản hồi của từng người. Thông thường, quá trình chỉnh nha hoặc phục hình có thể kéo dài từ vài tháng đến 1-2 năm để đạt được kết quả tối ưu.
Quan trọng là người bệnh cần hợp tác chặt chẽ với nha sĩ, tuân thủ đúng hướng dẫn, duy trì vệ sinh răng miệng tốt và điều chỉnh các thói quen xấu để rút ngắn thời gian điều trị, nâng cao hiệu quả và bền vững của kết quả cuối cùng.