Trong cuộc hành trình lấy lại vẻ đẹp tự nhiên của hàm răng, khí cụ nong hàm đóng vai trò quan trọng trong các phương pháp chỉnh nha hiện đại. Không chỉ giúp giảm thiểu việc nhổ răng, mà còn giúp tạo dáng hàm hài hòa hơn, từ đó nâng cao chất lượng cuộc sống của người niềng. Trong bài viết này, chúng ta sẽ tìm hiểu chi tiết về khí cụ nong hàm, công dụng, các loại phổ biến cũng như quy trình điều trị tại nha khoa chuyên nghiệp.
Khí cụ nong hàm là gì?

Khí cụ nong hàm là thiết bị chỉnh nha chuyên dụng được sử dụng để mở rộng cung hàm trên hoặc hàm dưới, giúp tạo thêm khoảng trống cho răng sắp xếp đúng vị trí trên cung hàm. Phương pháp này thường được bác sĩ chỉ định trong các trường hợp hàm hẹp, răng mọc chen chúc, khấp khểnh hoặc khi cần tạo khoảng trước khi niềng răng.
Việc sử dụng khí cụ nong hàm giúp mở rộng cung hàm một cách từ từ, đồng đều và an toàn, nhờ đó cải thiện cấu trúc hàm và hỗ trợ quá trình chỉnh nha đạt hiệu quả tốt hơn. Đồng thời, phương pháp này còn giúp hạn chế việc phải nhổ răng hoặc thực hiện các can thiệp xâm lấn khác trong quá trình điều trị.
Tại sao cần sử dụng khí cụ nong hàm trong chỉnh nha?
Chúng ta đều biết, quá trình chỉnh nha không chỉ đơn thuần là làm đẹp, mà còn đảm bảo chức năng ăn nhai, phát âm và sức khỏe răng miệng. Khí cụ nong hàm giúp tạo ra không gian phù hợp, giúp các răng di chuyển dễ dàng hơn, từ đó hạn chế các biến chứng có thể xảy ra trong quá trình niềng.

Tạo khoảng trống dàn đều răng khấp khểnh
Khi răng khấp khểnh, việc tạo khoảng trống là cần thiết để các răng mới hoặc răng còn lệch lạc có thể di chuyển về đúng vị trí. Khí cụ nong hàm giúp điều chỉnh kích thước cung hàm, làm đều khoảng cách giữa các răng, giúp nụ cười trở nên đẹp tự nhiên hơn.
Cải thiện cấu trúc hàm và khớp cắn
Không chỉ đạt sự cân đối về thẩm mỹ, khí cụ nong hàm còn giúp nâng cao chức năng của hàm trên hoặc dưới, khắc phục các vấn đề về khớp cắn, hạn chế các bệnh lý liên quan đến hàm mặt như đau khớp thái dương hàm hoặc mất cân đối mô mềm.
Hạn chế tối đa việc nhổ răng thật
Trong nhiều trường hợp chỉnh nha, đôi khi cần nhổ bớt các răng để tạo khoảng trống. Tuy nhiên, bằng cách sử dụng khí cụ nong hàm, bác sĩ có thể mở rộng hàm, giảm nhu cầu nhổ răng, bảo tồn tối đa răng thật, hạn chế tổn thương không mong muốn.
Giảm nguy cơ biến chứng trong suốt quá trình niềng
Khí cụ nong hàm góp phần giúp răng di chuyển đều đặn, đúng tốc độ và giảm thiểu các vấn đề như răng bị xô lệch, gây ra các vấn đề về nướu hay mất cân đối trong quá trình điều trị.
Các loại khí cụ nong hàm phổ biến hiện nay
Hiện nay, trong chỉnh nha có nhiều loại khí cụ nong hàm được sử dụng nhằm mở rộng cung hàm và tạo khoảng trống cho răng sắp xếp đúng vị trí. Tùy thuộc vào độ tuổi, mức độ hẹp của cung hàm cũng như kế hoạch điều trị của bác sĩ, mỗi bệnh nhân sẽ được chỉ định loại khí cụ phù hợp. Dưới đây là những loại khí cụ nong hàm phổ biến được áp dụng rộng rãi trong nha khoa hiện đại.
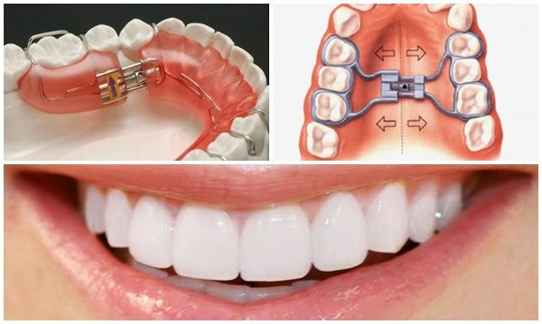
Khí cụ nong hàm tháo lắp

Đây là loại khí cụ nong hàm có thể dễ dàng tháo ra và lắp vào theo hướng dẫn của bác sĩ. Khí cụ thường được thiết kế từ nhựa nha khoa kết hợp với các thành phần kim loại để tạo lực nong nhẹ nhàng lên cung hàm.
Loại khí cụ này thường được chỉ định cho trẻ em hoặc các trường hợp hàm hẹp ở mức độ nhẹ đến trung bình. Ưu điểm lớn nhất của khí cụ nong hàm tháo lắp là dễ vệ sinh, thuận tiện khi ăn uống và có thể điều chỉnh tại nhà theo chỉ dẫn của bác sĩ. Tuy nhiên, hiệu quả điều trị phụ thuộc nhiều vào mức độ hợp tác của người sử dụng, vì cần đeo đúng thời gian quy định mỗi ngày.
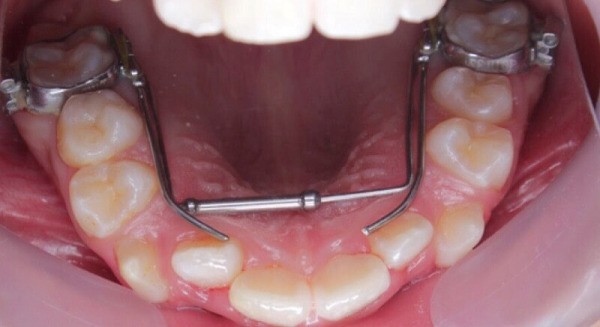
Khí cụ nong hàm cố định

Khác với loại tháo lắp, khí cụ nong hàm cố định được gắn trực tiếp lên răng và không thể tự tháo ra. Nhờ được cố định chắc chắn, khí cụ tạo lực ổn định và liên tục lên cung hàm, giúp quá trình mở rộng hàm diễn ra hiệu quả hơn.
Loại khí cụ nong hàm này thường được áp dụng trong các trường hợp hàm hẹp rõ rệt hoặc khi cần tạo khoảng trống nhanh để chuẩn bị cho quá trình niềng răng. Do được gắn cố định nên bệnh nhân cần chú ý vệ sinh răng miệng kỹ lưỡng và tái khám định kỳ để bác sĩ theo dõi tiến trình điều trị.
Nong hàm nhanh RPE (Rapid Palatal Expander)

RPE là một dạng khí cụ nong hàm chuyên dụng dùng để mở rộng vòm khẩu cái ở hàm trên. Khí cụ được thiết kế với một vít nong ở giữa, khi điều chỉnh sẽ tạo lực tác động lên hai bên vòm khẩu cái, giúp mở rộng xương hàm một cách nhanh chóng.
Phương pháp sử dụng khí cụ nong hàm RPE thường được áp dụng cho trẻ em và thanh thiếu niên khi xương hàm vẫn đang trong giai đoạn phát triển. Nhờ cơ chế hoạt động mạnh mẽ, khí cụ có thể giúp mở rộng cung hàm rõ rệt chỉ sau vài tuần đến vài tháng, từ đó cải thiện tình trạng răng chen chúc, khớp cắn lệch hoặc vòm hàm hẹp.
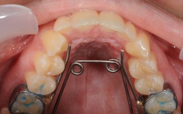
Nong hàm bằng dây cung & Mini-Implant hỗ trợ

Đây là phương pháp sử dụng khí cụ nong hàm kết hợp với dây cung chỉnh nha và mini-implant (vít chỉnh nha nhỏ được cấy tạm thời vào xương hàm). Sự kết hợp này giúp tăng cường lực tác động lên xương hàm, hỗ trợ mở rộng cung hàm hiệu quả hơn.
Loại khí cụ nong hàm này thường được áp dụng trong các ca chỉnh nha phức tạp, đặc biệt là ở người trưởng thành khi xương hàm đã phát triển ổn định và khó thay đổi bằng các phương pháp thông thường. Nhờ sự hỗ trợ của mini-implant, lực nong hàm được kiểm soát chính xác hơn, giúp cải thiện cấu trúc cung hàm và tạo khoảng trống cho răng dịch chuyển đúng vị trí.
Việc lựa chọn loại khí cụ nong hàm phù hợp cần dựa trên đánh giá chuyên môn của bác sĩ chỉnh nha sau khi thăm khám và phân tích phim X-quang. Lựa chọn đúng loại khí cụ không chỉ giúp quá trình điều trị đạt hiệu quả cao mà còn rút ngắn thời gian chỉnh nha và đảm bảo an toàn cho sức khỏe răng miệng.
Những trường hợp nào bác sĩ chỉ định nong hàm?
Bác sĩ sẽ chỉ định sử dụng khí cụ nong hàm trong các trường hợp sau:
- Hàm trên hoặc dưới bị hẹp, gây khó khăn trong việc vệ sinh hay ăn uống.
- Răng khấp khểnh, lệch lạc, cần tạo không gian để di chuyển về đúng vị trí.
- Cần giảm thiểu hoặc loại bỏ việc nhổ răng trong quá trình điều trị.
- Khớp cắn không đúng, gây khó khăn trong cơ học nhai hoặc phát âm.
Khí cụ nong hàm giá bao nhiêu? (Bảng giá tham khảo)
| Loại khí cụ | Giá tham khảo (VNĐ) | Đặc điểm |
|---|---|---|
| Khí cụ tháo lắp | 2.000.000 – 4.000.000 | Phù hợp trẻ em, dễ tháo lắp |
| Khí cụ cố định | 4.000.000 – 8.000.000 | Hiệu quả cao, phù hợp điều trị dài hạn |
| Nong hàm nhanh RPE | 10.000.000 – 15.000.000 | Nhanh chóng, phù hợp mở rộng lớn |
| Nong hàm dây cung & Mini-implant | 15.000.000 – 30.000.000 | Phức tạp, hỗ trợ cho ca nặng |
Giá có thể chênh lệch tùy theo cơ sở nha khoa, chất lượng vật liệu và đội ngũ bác sĩ.
Quy trình nong hàm chuẩn Y khoa tại Nha khoa Sài Gòn Phong Phú
Để đảm bảo hiệu quả chỉnh nha tối ưu và an toàn cho bệnh nhân, quá trình điều trị bằng khí cụ nong hàm tại Nha khoa Sài Gòn Phong Phú được thực hiện theo quy trình chuẩn y khoa, với các bước rõ ràng và được kiểm soát chặt chẽ bởi bác sĩ chuyên môn.
Bước 1: Thăm khám, chụp X-quang và tư vấn
Bác sĩ tiến hành kiểm tra tổng quát tình trạng răng – hàm – khớp cắn để đánh giá mức độ hẹp của cung hàm. Đồng thời, bệnh nhân sẽ được chụp X-quang nhằm phân tích cấu trúc xương hàm và vị trí răng, từ đó xác định có cần sử dụng khí cụ nong hàm hay không và lên kế hoạch điều trị phù hợp.
Bước 2: Lấy dấu hàm và thiết kế khí cụ riêng biệt
Sau khi có đầy đủ dữ liệu chẩn đoán, bác sĩ sẽ tiến hành lấy dấu hàm để thiết kế khí cụ nong hàm phù hợp với cấu trúc răng và xương hàm của từng bệnh nhân. Khí cụ được chế tác riêng nhằm đảm bảo độ chính xác, giúp quá trình mở rộng cung hàm diễn ra hiệu quả và ổn định.
Bước 3: Gắn khí cụ và hướng dẫn điều chỉnh/vệ sinh
Khi khí cụ nong hàm được hoàn thiện, bác sĩ sẽ tiến hành gắn cố định hoặc hướng dẫn bệnh nhân cách đeo đối với loại tháo lắp. Đồng thời, bệnh nhân được hướng dẫn chi tiết cách điều chỉnh khí cụ (nếu cần) và cách vệ sinh răng miệng đúng cách để tránh viêm nhiễm hoặc các vấn đề phát sinh.
Bước 4: Theo dõi và tái khám định kỳ
Trong suốt thời gian sử dụng khí cụ nong hàm, bệnh nhân cần tái khám theo lịch hẹn để bác sĩ kiểm tra tiến độ mở rộng cung hàm, điều chỉnh lực nong phù hợp và kịp thời xử lý những vấn đề nếu có. Việc tái khám đúng lịch giúp đảm bảo quá trình điều trị diễn ra an toàn và đạt kết quả như mong muốn.

Lưu ý khi sử dụng khí cụ và cách chăm sóc răng miệng
- Vệ sinh răng miệng sạch sẽ hàng ngày, sử dụng bàn chải mềm và dung dịch súc miệng để phòng tránh sâu răng.
- Tránh thức ăn dai, cứng, dễ vỡ khí cụ hoặc gây tổn thương vùng miệng.
- Thực hiện theo đúng hướng dẫn bác sĩ về việc điều chỉnh khí cụ.
- Đến tái khám đúng lịch, không tự ý tháo rời hoặc điều chỉnh khí cụ.
Nha khoa Sài Gòn Phong Phú – Địa chỉ chỉnh nha uy tín tại Bình Chánh
Nha khoa Sài Gòn Phong Phú là một trong những địa chỉ chỉnh nha được nhiều khách hàng tin tưởng tại Bình Chánh, cung cấp đa dạng giải pháp điều trị từ niềng răng mắc cài, niềng răng trong suốt đến các phương pháp hỗ trợ như khí cụ nong hàm. Mỗi khách hàng khi đến thăm khám đều được bác sĩ kiểm tra tình trạng răng – hàm – khớp cắn kỹ lưỡng, chụp phim X-quang và xây dựng phác đồ điều trị phù hợp.
Trong các trường hợp hàm hẹp hoặc răng mọc chen chúc, bác sĩ có thể chỉ định sử dụng khí cụ nong hàm để mở rộng cung hàm, tạo thêm khoảng trống cho răng dịch chuyển thuận lợi trước hoặc trong quá trình niềng răng. Quy trình điều trị tại nha khoa được thực hiện theo tiêu chuẩn y khoa, đảm bảo an toàn và tối ưu hiệu quả chỉnh nha cho từng khách hàng.
Bên cạnh đó, Nha khoa Sài Gòn Phong Phú còn chú trọng đầu tư hệ thống thiết bị hiện đại, đội ngũ bác sĩ giàu kinh nghiệm cùng dịch vụ chăm sóc tận tâm, giúp khách hàng yên tâm khi lựa chọn khí cụ nong hàm và các phương pháp chỉnh nha khác để cải thiện thẩm mỹ và chức năng ăn nhai.
Giải đáp thắc mắc thường gặp về nong hàm
Lắp khí cụ nong hàm có đau không?
Trong quá trình lắp đặt và điều chỉnh, bệnh nhân có thể cảm giác chút khó chịu hoặc ê buốt, tuy nhiên mức độ này thường nhẹ và tầm kiểm soát được.
Nong hàm có làm thay đổi khuôn mặt không?
Kết quả phụ thuộc vào từng trường hợp, nhưng thông thường, nong hàm giúp khuôn mặt hài hòa hơn, đặc biệt khi điều trị đúng cách và đúng thời điểm.
Thời gian nong hàm mất bao lâu?
Thường từ 2 tuần đến 3 tháng tùy loại khí cụ và mức độ hẹp của hàm. Sau đó sẽ tiến hành các bước chỉnh nha tiếp theo.
Có thể nong hàm dưới được không?
Có, nhưng cần xem xét kỹ lưỡng bởi vì cấu trúc của hàm dưới khác hàm trên, phù hợp với phương pháp điều trị riêng.
Kết luận
Khí cụ nong hàm là giải pháp tối ưu cho nhiều vấn đề về hàm mặt, mang lại hiệu quả rõ rệt trong quá trình chỉnh nha. Việc lựa chọn loại khí cụ phù hợp, điều trị đúng quy trình và chăm sóc răng miệng cẩn thận sẽ giúp bạn sở hữu hàm răng đều đẹp, hài hòa với khuôn mặt. Chọn địa chỉ uy tín để được tư vấn và thực hiện điều trị sẽ là bước ngoặt giúp bạn tự tin hơn trong cuộc sống.