Trong quá trình phát triển của trẻ, răng miệng đóng vai trò cực kỳ quan trọng, không chỉ ảnh hưởng đến chức năng ăn nhai mà còn hình thành toàn bộ cấu trúc khuôn mặt. Một trong những biện pháp điều trị phổ biến nhằm duy trì khoảng cách phù hợp giữa các răng là hàm giữ khoảng. Việc sử dụng hàm giữ khoảng đúng cách sẽ giúp trẻ phát triển răng, hàm và mặt một cách đều đặn, giảm thiểu các vấn đề chỉnh hình sau này. Theo đó, bài viết này sẽ cung cấp cái nhìn toàn diện về hàm giữ khoảng – phương pháp không thể thiếu trong chăm sóc răng cho trẻ sơ sinh và trẻ lớn.
Hàm giữ khoảng là gì?
Hàm giữ khoảng (Space Maintainer) là một khí cụ nha khoa được làm bằng kim loại hoặc nhựa y tế cao cấp, được bác sĩ chỉ định cho trẻ em bị mất răng sữa sớm hơn so với độ tuổi thay răng tự nhiên.
Mục đích chính của hàm này là “giữ chỗ” trên xương hàm, ngăn chặn các răng lân cận xô lệch vào khoảng trống, đảm bảo răng vĩnh viễn có đủ không gian để mọc lên đúng vị trí và chuẩn khớp cắn.
Tại sao bé cần đeo hàm giữ khoảng?
Răng sữa không chỉ đảm nhận chức năng ăn nhai mà còn đóng vai trò là “người dẫn đường” cho răng vĩnh viễn. Khi bé bị mất răng sữa sớm do sâu răng sữa hoặc chấn thương, các răng xung quanh có xu hướng nghiêng vào khoảng trống.
Nếu không can thiệp kịp thời bằng hàm giữ khoảng, trẻ có thể đối mặt với:
- Răng vĩnh viễn mọc ngầm, mọc lệch: Do không còn đủ không gian.
- Sai lệch khớp cắn: Ảnh hưởng đến khả năng phát âm và thẩm mỹ khuôn mặt.
- Tốn kém chi phí: Việc niềng răng toàn diện sau này sẽ phức tạp và đắt đỏ hơn nhiều so với việc sử dụng hàm giữ khoảng từ sớm.

Khi nào trẻ cần sử dụng hàm giữ khoảng?
Việc xác định thời điểm phù hợp để trẻ đeo hàm giữ khoảng là một bước quan trọng để đảm bảo hiệu quả tối ưu trong điều trị và phòng tránh các khuyết tật về răng miệng. Thời điểm này tùy thuộc vào từng giai đoạn mọc răng cũng như các chỉ định từ nha sĩ hoặc bác sĩ chỉnh hình. Đặc biệt, khi có dấu hiệu về rối loạn hoặc sai lệch trong quá trình thay răng sữa, các mẹ nên cân nhắc đưa trẻ đến nha khoa để khám và xác định cần dùng hàm giữ khoảng.
Thường thì những trường hợp trẻ bắt đầu thay răng sữa từ khoảng 6 đến 12 tuổi là thời điểm lý tưởng để sử dụng hàm giữ khoảng nhằm giữ vai trò định hướng mọc răng vĩnh viễn. Ngoài ra, những trẻ đã từng can thiệp chỉnh hình hoặc có nguy cơ răng mọc chen chúc cũng cần dùng để hạn chế các biến chứng về sau. Việc đeo hàm vào đúng thời điểm, không quá sớm hoặc quá muộn sẽ giúp bộ răng của trẻ phát triển đều đẹp, hạn chế các vấn đề về chỉnh hình sau này.
Chứng kiến trẻ lớn khôn, cha mẹ cần chú ý đến các dấu hiệu như răng bị lệch lạc, mọc chậm hoặc không đều, mất tự tin khi cười nói để xem xét việc sử dụng hàm giữ khoảng. Thêm vào đó, các bác sĩ nha khoa dựa trên tình trạng cụ thể của từng trẻ sẽ đưa ra lời khuyên chính xác về thời điểm bắt đầu sử dụng hàm, nhằm đảm bảo rằng quá trình thay răng diễn ra một cách tự nhiên, đều đặn và không gây ra các vấn đề tối ưu cho sự phát triển toàn diện của trẻ.

Các loại hàm giữ khoảng phổ biến tại Nha khoa Sài Gòn Phong Phú
Việc lựa chọn loại hàm nào không chỉ phụ thuộc vào ý muốn của phụ huynh mà quan trọng nhất là vị trí răng mất, số lượng răng mất và mức độ hợp tác của bé. Tại cơ sở Bình Chánh, bác sĩ sẽ chỉ định 1 trong 3 nhóm khí cụ sau:
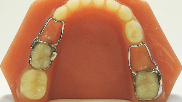
Hàm giữ khoảng cố định (Fixed Space Maintainers)
Đây là giải pháp ưu tiên tại nha khoa chúng tôi vì tính ổn định tuyệt đối. Khí cụ được gắn vào răng bằng vật liệu dán chuyên dụng, bé không thể tự ý tháo ra, đảm bảo hiệu quả giữ chỗ 24/7.
- Hàm giữ khoảng một bên (Band-and-Loop):
- Cấu tạo: Gồm một chiếc vòng kim loại (Band) ôm quanh răng hàm và một vòng dây thép (Loop) tì sát vào răng phía trước khoảng trống.
- Chỉ định: Khi bé bị mất 1 răng sữa ở một phía của hàm.
- Hàm giữ khoảng cho răng cối lớn mọc ngầm (Distal Shoe):
- Cấu tạo: Một đầu gắn vào răng sữa số 4, đầu còn lại có một thanh kim loại nhỏ cắm vào nướu (tại vị trí răng số 5 đã mất).
- Chỉ định: Trường hợp đặc biệt khi bé mất răng sữa số 5 sớm nhưng răng vĩnh viễn số 6 chưa mọc lên. Khí cụ này đóng vai trò “người dẫn đường” để răng số 6 mọc lên đúng vị trí mà không bị đổ về phía trước.
- Cung lưỡi hoặc Cung khẩu cái (Lingual/Transpalatal Arch):
- Cấu tạo: Một thanh dây thép chạy dọc theo mặt trong của răng, nối giữa hai răng hàm hai bên.
- Chỉ định: Khi bé bị mất nhiều răng sữa ở cả hai bên hàm. Đây là bộ khung vững chắc để duy trì toàn bộ kích thước cung hàm cho bé.

Hàm giữ khoảng tháo lắp (Removable Space Maintainers)
Loại hàm này có cấu tạo gần giống như hàm giả bán phần, làm bằng nhựa Acrylic trong suốt hoặc màu hồng nướu, có thể tích hợp thêm răng giả để đảm bảo thẩm mỹ.
- Đối tượng sử dụng: Thường dùng cho các bé đã lớn (khoảng 8-12 tuổi), có ý thức giữ gìn vệ sinh và biết tự bảo quản khí cụ.
- Ưu điểm vượt trội:
- Thẩm mỹ: Có thể gắn thêm răng giả vào khoảng trống, giúp bé tự tin khi giao tiếp (đặc biệt nếu mất răng cửa).
- Vệ sinh: Bé dễ dàng tháo ra để chải răng và làm sạch khí cụ, giảm nguy cơ sâu các răng còn lại.
- Nhược điểm: Hiệu quả phụ thuộc hoàn toàn vào thời gian đeo của bé (tối thiểu 20-22h/ngày). Nếu bé thường xuyên quên đeo hoặc làm mất, quá trình điều trị sẽ bị gián đoạn.
Khí cụ tăng trưởng: Hàm nong nhanh (RPE) & Quad Helix
Trong nhiều trường hợp, việc mất răng sữa sớm đi kèm với tình trạng hẹp cung hàm. Lúc này, chỉ “giữ chỗ” là chưa đủ, bác sĩ sẽ chỉ định các loại khí cụ cao cấp hơn:
- Hàm nong nhanh (Rapid Palatal Expander – RPE): Sử dụng ốc nong ở giữa vòm miệng để nới rộng xương hàm trên. Điều này không chỉ tạo chỗ cho răng vĩnh viễn mà còn cải thiện đường hô hấp cho bé.
- Quad Helix: Là một dây cung lò xo được uốn cong theo hình dáng vòm miệng. Nó tác động lực nhẹ, liên tục để mở rộng cung hàm một cách êm ái, đặc biệt hiệu quả trong việc điều trị các ca răng chen chúc mức độ trung bình.
Mỗi loại hàm đều có ưu nhược điểm riêng. Chúng tôi sẽ dựa trên phim X-quang Panorex để đánh giá chính xác hướng mọc của mầm răng vĩnh viễn trước khi đưa ra quyết định cuối cùng, nhằm mang lại kết quả tối ưu nhất cho con yêu của bạn.
- https://nhakhoasaigonsmile.com/ham-duy-tri-hawley/
- https://nhakhoasaigonsmile.com/ham-duy-tri/
- https://nhakhoasaigonsmile.com/xuong-ham-duoi/
Quy trình thực hiện hàm giữ khoảng chuẩn Y khoa tại Bình Chánh
Tại Nha khoa Sài Gòn Phong Phú, chúng tôi hiểu rằng mỗi lần đi khám răng đều là một “thử thách” với bé. Vì vậy, quy trình làm hàm giữ khoảng được thiết kế dựa trên sự kết hợp giữa công nghệ hiện đại và phương pháp tâm lý trẻ em giúp bé luôn thoải mái và hợp tác.
Bước 1: Thăm khám lâm sàng & Chụp phim X-quang Panorex
Đây là bước quan trọng nhất để bác sĩ có cái nhìn tổng thể về cung hàm của bé.
- Khám lâm sàng: Bác sĩ kiểm tra tình trạng răng sữa, nướu và các răng lân cận tại vị trí mất răng.
- Chụp X-quang toàn cảnh (Panorex): Sử dụng máy X-quang kỹ thuật số hiện đại ngay tại phòng khám (1789 Quốc Lộ 50). Phim chụp giúp bác sĩ xác định chính xác vị trí mầm răng vĩnh viễn đang nằm sâu trong xương hàm, dự đoán thời gian răng sẽ mọc lên để quyết định loại hàm giữ khoảng tối ưu nhất.
Bước 2: Lấy dấu hàm công nghệ cao “Không gây nôn”
Nhiều bé rất sợ việc lấy dấu bằng vật liệu truyền thống vì cảm giác buồn nôn. Tại nha khoa chúng tôi:
- Bác sĩ sử dụng vật liệu lấy dấu cao cấp có mùi thơm nhẹ nhàng hoặc thiết bị scan 3D (tùy trường hợp) để ghi lại chính xác từng milimet kích thước cung hàm.
- Quá trình diễn ra nhanh chóng, chỉ mất khoảng 2-3 phút, đảm bảo bé không cảm thấy khó chịu hay sợ hãi.
Bước 3: Chế tác khí cụ cá nhân hóa tại Labo chuyên dụng
Mẫu hàm sau khi lấy dấu sẽ được gửi đến bộ phận Labo chế tác răng sứ và khí cụ chỉnh nha chuyên nghiệp.
- Độ chính xác tuyệt đối: Hàm giữ khoảng được thiết kế riêng biệt theo đúng kích cỡ răng của bé, đảm bảo ôm sát, không bị lỏng lẻo hay gây trầy xước mô mềm.
- Vật liệu an toàn: Sử dụng thép không gỉ (Stainless Steel) dùng trong y tế hoặc nhựa Acrylic đạt chuẩn FDA, hoàn toàn lành tính và không gây kích ứng trong môi trường khoang miệng của trẻ.
Bước 4: Thử hàm, gắn khí cụ và tinh chỉnh lực
Sau khoảng 2-3 ngày, phụ huynh đưa bé quay lại phòng khám để gắn hàm.
- Bác sĩ tiến hành đặt hàm giữ khoảng vào vị trí, kiểm tra độ khít sát và khả năng ăn nhai của bé.
- Tinh chỉnh: Nếu là hàm cố định, bác sĩ sẽ dùng xi măng nha khoa chuyên dụng để gắn chặt vào răng trụ. Nếu là hàm tháo lắp, bác sĩ sẽ hướng dẫn bé cách tự đeo và tháo hàm tại nhà.
- Hướng dẫn tâm lý: Bác sĩ sẽ trò chuyện, hướng dẫn bé cách làm quen với “vệ sĩ tí hon” này để bé cảm thấy tự hào vì đang bảo vệ nụ cười của mình.
Bước 5: Hướng dẫn chăm sóc & Hẹn lịch tái khám định kỳ
Kết thúc quy trình, bác sĩ sẽ tư vấn chi tiết cho phụ huynh về cách vệ sinh răng miệng và ăn uống.
- Lịch tái khám: Thông thường từ 3 – 6 tháng/lần. Việc tái khám tại Bình Chánh giúp bác sĩ theo dõi sát sao tiến độ mọc của răng vĩnh viễn.
- Thời điểm tháo hàm: Ngay khi răng vĩnh viễn bắt đầu nhú lên khỏi nướu, bác sĩ sẽ tiến hành tháo hàm giữ khoảng một cách nhẹ nhàng, hoàn tất quá trình “giữ chỗ” thành công.
Bảng giá chỉnh nha tăng trưởng và hàm giữ khoảng 2025
Nha khoa Sài Gòn Phong Phú cam kết minh bạch về chi phí, giúp phụ huynh tại Bình Chánh dễ dàng chuẩn bị tài chính cho con:
| Dịch vụ chỉnh nha trẻ em | Đơn giá tham khảo (VNĐ) |
| Chỉnh nha tăng trưởng (Cấp độ 1) | 20.000.000 /Trọn gói |
| Chỉnh nha tăng trưởng (Cấp độ 2) | 35.000.000 /Trọn gói |
| Chỉnh nha tăng trưởng (Cấp độ 3) | 50.000.000 /Trọn gói |
| Hàm nong nhanh / Quad Helix | 7.000.000 /Hàm |
| Trám răng phòng ngừa (Fuji 9) | 200.000 /Răng |
| Nhổ răng sữa (tùy tình trạng) | Miễn phí/Phí nhẹ |
Lưu ý khi chăm sóc trẻ đeo hàm giữ khoảng
Để hàm giữ khoảng phát huy tối đa tác dụng và đảm bảo sức khỏe răng miệng, phụ huynh cần lưu ý:
- Tránh cho bé ăn đồ ngọt, kẹo dẻo hoặc thực phẩm quá cứng có thể làm hỏng khí cụ.
- Nhắc nhở bé không dùng tay hoặc lưỡi tác động mạnh vào hàm.
- Vệ sinh răng miệng kỹ lưỡng ít nhất 2 lần/ngày.
- Đưa bé đến nha khoa tái khám định kỳ để kiểm tra mức độ ổn định của hàm và sự phát triển của răng vĩnh viễn nhằm đạt được khớp cắn chuẩn trong tương lai.

Trẻ đeo hàm giữ khoảng trong bao lâu?
Thời gian trẻ đeo hàm giữ khoảng là một yếu tố phụ thuộc vào mục đích điều trị, phản ứng của từng trẻ cũng như sự phát triển tự nhiên của răng – hàm mặt. Thông thường, các bác sĩ nha khoa sẽ đưa ra khuyến nghị về thời gian đeo phù hợp dựa trên tình trạng răng và mục tiêu chỉnh hình của từng cá nhân. Đối với nhiều trẻ, thời gian này có thể từ vài tháng đến vài năm, nhưng quan trọng nhất là tuân thủ hướng dẫn của chuyên gia để đạt được kết quả tối ưu.
Trong quá trình này, việc theo dõi sát sao của phụ huynh và nha sĩ là cần thiết để đảm bảo hàm giữ khoảng phát huy tác dụng đúng cách. Thông thường, sau một thời gian đeo nhất định, bác sĩ sẽ kiểm tra, đánh giá sự phát triển của răng và điều chỉnh hoặc tháo bỏ thiết bị nếu phù hợp. Một số trẻ có thể cần đeo lâu hơn hoặc ngắt quãng, tùy thuộc vào tốc độ mọc răng, phản ứng của mô mềm, và sự phối hợp của trẻ trong quá trình điều trị.
Quan trọng nhất là cha mẹ cần kiên trì và không tự ý tháo bỏ hoặc kéo dài thời gian đeo mà chưa có hướng dẫn từ bác sĩ. Tuổi của trẻ, đặc điểm sinh lý, cũng như sự hợp tác sẽ ảnh hưởng đáng kể đến thời gian đeo hàm giữ khoảng. Khi phù hợp, việc duy trì đúng thời gian sẽ giúp đạt được kết quả điều trị cao nhất, giảm thiểu khả năng phải chỉnh sửa lại hoặc phải thực hiện các biện pháp điều trị dài hạn hơn về sau.

Liên hệ ngay để bảo vệ nụ cười tương lai của bé!
Đừng để mất răng sữa sớm ảnh hưởng đến sự tự tin của con sau này. Liên hệ với chuyên gia Chỉnh nha tăng trưởng tại Nha khoa Sài Gòn Phong Phú để được tư vấn miễn phí.
- Địa chỉ: 1789 Quốc Lộ 50, xã Phong Phú, Bình Chánh, Tp.HCM
- Hotline: 0917 91 93 98
- Chuyên khoa: Chỉnh nha tăng trưởng trẻ em, nhổ răng sữa, điều trị tủy răng trẻ em, dính thắng lưỡi trẻ em…
