Trong xã hội hiện đại, nụ cười đẹp đóng vai trò quan trọng trong giao tiếp và hình ảnh cá nhân. Dán sứ Veneer là phương pháp thẩm mỹ răng miệng phổ biến giúp cải thiện màu sắc, hình dáng răng và bảo tồn tối đa răng thật. Bài viết sẽ giúp bạn hiểu rõ mặt dán sứ Veneer là gì, quy trình thực hiện, các loại mặt dán phổ biến hiện nay và những lợi ích nổi bật của phương pháp này, đồng thời gợi ý cách lựa chọn nha khoa uy tín để đạt kết quả thẩm mỹ tối ưu.
Mặt dán sứ Veneer là gì?
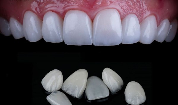
Dán sứ veneer là một phương pháp thẩm mỹ nha khoa dùng lớp sứ mỏng, trong suốt, được thiết kế phù hợp với từng răng để dán lên mặt ngoài của răng nhằm cải thiện màu sắc, hình dạng, kích thước hoặc khắc phục các khuyết điểm như sứt mẻ, nhiễm màu nặng, răng thưa hoặc lệch lạc nhẹ. process này giúp tạo ra một nụ cười đều đẹp tự nhiên, không gây đau đớn và bảo tồn tối đa mô răng thật.
Ý tưởng chính của dán sứ veneer là dùng những lớp sứ mỏng như sương để che đi các khuyết điểm của răng, mang lại kết quả thẩm mỹ vượt trội mà vẫn giữ nguyên cấu trúc răng tự nhiên. Điều đặc biệt của phương pháp này là sử dụng vật liệu sứ cao cấp, có độ trong bóng tự nhiên, giúp sáng bóng và phù hợp mọi lứa tuổi.

Chỉ định và chống chỉ định khi dán sứ Veneer (Lưu ý Y khoa)
Việc lựa chọn đúng đắn khi dán sứ veneer phụ thuộc vào từng trường hợp cụ thể. Để đảm bảo an toàn và hiệu quả, dưới đây là các chỉ định và chống chỉ định phổ biến khi thực hiện phương pháp này.
Những trường hợp NÊN dán Veneer
- Răng nhiễm màu nặng, không thể khắc phục bằng thuốc tẩy trắng thông thường.
- Răng bị sứt mẻ, mòn hoặc mũi răng bị mài mòn.
- Răng thưa, lệch nhẹ hoặc các vấn đề về hình dạng nhỏ.
- Muốn làm đẹp nhanh, không cần phải niềng răng hoặc các phương pháp chỉnh nha mất nhiều thời gian.
Những trường hợp KHÔNG NÊN dán Veneer
- Răng bị sâu nặng hoặc viêm tủy cần điều trị trước khi dán.
- Người có thói quen nghiến răng hoặc cắn mạnh, dễ khiến mặt dán bị bong hoặc vỡ.
- Người mắc các bệnh lý về nướu hoặc bệnh lý toàn thân không phù hợp để làm thẩm mỹ.

Ưu điểm vượt trội của phương pháp dán răng sứ Veneer
Phương pháp dán sứ veneer đã trở thành lựa chọn tối ưu trong làm đẹp răng bởi nhiều điểm cộng nổi bật.
Bảo tồn răng thật tối đa, không lấy tủy
Một trong những lợi ích lớn nhất của phương pháp này là chỉ cần mài phần nhỏ bề mặt men răng, giúp bảo tồn tối đa cấu trúc răng tự nhiên. Điều này không làm tổn thương tủy răng, giảm thiểu rủi ro nhiễm trùng và đau đớn sau quá trình thực hiện.
Tính thẩm mỹ hoàn hảo, màu sắc trong bóng tự nhiên
Vật liệu sứ cao cấp có khả năng phản quang gần như răng thật, mang lại hiệu ứng tự nhiên, trong bóng, phù hợp mọi tông màu của hàm răng. Chống lại các tác nhân gây nhiễm màu lâu dài, giữ nụ cười sáng đẹp trong thời gian dài.
Ăn nhai thoải mái, không cộm cấn
Với độ dày mỏng mịn, mặt dán sứ không gây cộm, cấn hay khó chịu khi ăn uống, kể cả những món cứng hay dai. Người dùng có thể tự tin cười, nói chuyện mà không lo lắng về cảm giác vướng víu hay mất tự nhiên.
Bảng so sánh Dán sứ Veneer và Bọc răng sứ
| Tiêu chí | Dán sứ Veneer | Bọc răng sứ |
|---|---|---|
| Cấu trúc răng | Bảo tồn tối đa phần men răng | Mài nhỏ toàn phần hoặc bán phần răng |
| Thời gian thực hiện | Nhanh, chỉ từ 1 đến 2 lần hẹn | Bệnh nhân phải 2-3 lần hẹn để chế tác và lắp đặt |
| Độ bền | Từ 7-15 năm (tùy chất liệu) | Từ 10-20 năm, bền hơn Veneer |
| Phù hợp điều kiện răng | Răng tốt, các khuyết điểm nhỏ, thẩm mỹ cao | Răng sâu, hư hỏng nặng, cần phục hình toàn diện |
| Giá thành | Phụ thuộc loại sứ, thường thấp hơn | Thay đổi tùy theo loại sứ và kỹ thuật |
Tổng kết: Lựa chọn giữa dán sứ veneer và bọc răng sứ phụ thuộc vào tình trạng răng của từng người. Đối với các vấn đề nhỏ về thẩm mỹ, Veneer là giải pháp tối ưu. Ngược lại, răng bị hư hỏng nặng cần bọc toàn phần để đảm bảo chức năng ăn nhai và độ bền.
Các loại mặt dán sứ Veneer cao cấp phổ biến hiện nay
Việc lựa chọn đúng loại mặt dán sứ Veneer đóng vai trò quan trọng trong việc quyết định độ bền, tính thẩm mỹ và sự hài hòa của nụ cười sau khi phục hình. Hiện nay trên thị trường nha khoa, có nhiều dòng Veneer khác nhau, trong đó hai loại cao cấp được sử dụng phổ biến là Veneer Emax và Veneer Lisi Press.
Dán sứ Veneer Emax

Veneer Emax là dòng sứ cao cấp được chế tác từ vật liệu ceramic lithium disilicate, nổi bật với độ trong tự nhiên và khả năng phản xạ ánh sáng tương tự răng thật. Nhờ đặc tính này, răng sau khi dán Veneer Emax có màu sắc hài hòa, tự nhiên và khó nhận biết bằng mắt thường.
Một số ưu điểm nổi bật của Veneer Emax:
- Độ thẩm mỹ cao, màu sắc tự nhiên như răng thật
- Độ bền tốt và khả năng chịu lực cao
- Mặt sứ mỏng, hạn chế mài răng
- Phù hợp với các trường hợp phục hình răng cửa hoặc răng yêu cầu thẩm mỹ cao
Dán sứ Veneer Lisi Press

Veneer Lisi Press là dòng mặt dán sứ được sản xuất bằng công nghệ ép sứ hiện đại, giúp tạo ra lớp sứ có độ chính xác cao và độ bền vượt trội. Nhờ cấu trúc vật liệu đặc biệt, Veneer Lisi Press có độ mỏng nhẹ nhưng vẫn đảm bảo khả năng chịu lực tốt.
Ưu điểm của Veneer Lisi Press gồm:
- Độ mỏng cao, giúp bảo tồn răng thật tối đa
- Khả năng tái tạo màu sắc tự nhiên và độ trong đẹp
- Độ bền cao, hạn chế nứt vỡ trong quá trình sử dụng
- Phù hợp cho các trường hợp phục hình răng thẩm mỹ yêu cầu độ chính xác cao
Nhìn chung, cả Veneer Emax và Veneer Lisi Press đều là những lựa chọn cao cấp trong nha khoa thẩm mỹ, mang lại nụ cười trắng sáng, tự nhiên và bền lâu khi được thực hiện đúng kỹ thuật bởi bác sĩ chuyên môn.
Quy trình dán sứ Veneer chuẩn Y khoa tại Nha khoa Sài Gòn Phong Phú

Quy trình thực hiện dán sứ veneer tại Nha khoa Sài Gòn Phong Phú đảm bảo tiêu chuẩn quốc tế, an toàn, chính xác và đạt hiệu quả cao.
Bước 1: Thăm khám, chụp X-quang và thiết kế nụ cười (Smile Design)
Bác sĩ kiểm tra tổng quát, xác định tình trạng răng miệng và tư vấn phương án phù hợp. Sử dụng công nghệ Smile Design để lên kế hoạch, hình dung kết quả trước khi bắt đầu thực hiện.
Bước 2: Vệ sinh răng miệng và xử lý bề mặt men răng (Mài nhám siêu mỏng)
Tiến hành vệ sinh sạch sẽ khoang miệng, sau đó mài lớp men răng rất mỏng để tạo không gian thích hợp cho mặt dán sứ, giúp chỗ dán bám chắc và tự nhiên.
Bước 3: Lấy dấu hàm và chế tác mặt dán sứ CAD/CAM
Dùng công nghệ lấy dấu chính xác, chuyển data về phòng thiết kế CAD/CAM để chế tác mặt dán sứ cá nhân hóa, phù hợp từng khách hàng.
Bước 4: Thử dáng răng và dán sứ Veneer cố định
Sau khi chế tác, thử dáng răng để đảm bảo phù hợp về mặt thẩm mỹ và chức năng. Sau đó, dùng keo chuyên dụng để dán cố định mặt sứ lên răng.
Bước 5: Hướng dẫn chăm sóc và hẹn lịch tái khám
Kết thúc quá trình, bác sĩ hướng dẫn khách hàng cách chăm sóc đúng tiêu chuẩn để duy trì kết quả lâu dài, kèm lịch hẹn khám lại kiểm tra tình trạng.
Bảng giá dán sứ Veneer mới nhất tại Nha khoa Sài Gòn Phong Phú
Chi phí dán sứ Veneer tại Nha khoa Sài Gòn Phong Phú có thể thay đổi tùy theo loại sứ sử dụng, số lượng răng cần phục hình và tình trạng răng của từng khách hàng. Mỗi loại sứ sẽ có ưu điểm riêng về độ bền, độ mỏng và tính thẩm mỹ.
Dưới đây là bảng giá tham khảo dịch vụ dán sứ Veneer:
| Loại Veneer | Giá tham khảo (VNĐ/răng) | Đặc điểm |
|---|---|---|
| Veneer sứ Emax | 4.000.000 – 6.000.000 | Độ mỏng cao, màu sắc tự nhiên, phù hợp phục hình thẩm mỹ |
| Veneer sứ cao cấp | 7.000.000 – 9.000.000 | Độ bền tốt, khả năng chống ố màu cao |
| Veneer sứ nhập khẩu cao cấp | 10.000.000 – 12.000.000 | Tính thẩm mỹ tối ưu, độ trong và độ bền vượt trội |
Lưu ý: Mức giá trên chỉ mang tính tham khảo và có thể thay đổi tùy theo tình trạng răng thực tế cũng như chương trình ưu đãi tại từng thời điểm.
Để biết chi phí dán sứ Veneer chính xác, khách hàng nên liên hệ trực tiếp với Nha khoa Sài Gòn Phong Phú để được bác sĩ thăm khám và tư vấn giải pháp phù hợp nhất.
Vì sao khách hàng tin chọn dán sứ Veneer tại Nha Khoa Sài Gòn Phong Phú?
Dán sứ Veneer tại Nha Khoa Sài Gòn Phong Phú được nhiều khách hàng lựa chọn nhờ chất lượng dịch vụ chuyên nghiệp, vật liệu chính hãng và công nghệ chế tác hiện đại. Dưới đây là những yếu tố nổi bật tạo nên uy tín của nha khoa.
Đội ngũ Bác sĩ chuyên khoa Phục hình răng sứ giàu kinh nghiệm
Nha khoa sở hữu đội ngũ bác sĩ tốt nghiệp từ các trường đại học y danh tiếng, có nhiều năm kinh nghiệm trong lĩnh vực thẩm mỹ nha khoa và phục hình răng sứ. Nhờ đó, quá trình thăm khám và thực hiện dán sứ Veneer luôn được thực hiện cẩn thận, đảm bảo kết quả thẩm mỹ tự nhiên và an toàn cho răng thật.
Vật liệu sứ chính hãng 100%, thẻ bảo hành minh bạch
Tất cả vật liệu sứ tại nha khoa đều nhập khẩu chính hãng, có nguồn gốc rõ ràng và đạt tiêu chuẩn an toàn trong nha khoa thẩm mỹ. Khách hàng được cung cấp thẻ bảo hành minh bạch, giúp yên tâm về chất lượng cũng như độ bền của mặt dán sứ.
Trực tiếp chế tác bằng công nghệ hiện đại, form răng cá nhân hóa
Nha khoa ứng dụng công nghệ CAD/CAM hiện đại trong quá trình thiết kế và chế tác Veneer, giúp tạo ra mặt dán sứ có độ chính xác cao. Form răng được cá nhân hóa theo từng khách hàng, đảm bảo hài hòa với khuôn mặt, mang lại nụ cười tự nhiên và bền đẹp lâu dài.
Hướng dẫn cách chăm sóc răng sau khi dán Veneer bền đẹp
Việc chăm sóc đúng cách sau khi dán sứ Veneer đóng vai trò quan trọng trong việc duy trì độ bền, tính thẩm mỹ và tuổi thọ của mặt dán sứ. Áp dụng những thói quen chăm sóc răng miệng khoa học sẽ giúp răng luôn sáng đẹp và hạn chế các vấn đề phát sinh.

Dưới đây là những lưu ý quan trọng bạn nên thực hiện:
- Chải răng đúng cách mỗi ngày: Đánh răng ít nhất 2 lần/ngày bằng bàn chải lông mềm và kem đánh răng phù hợp để làm sạch bề mặt răng mà không gây ảnh hưởng đến lớp sứ.
- Sử dụng chỉ nha khoa thường xuyên: Chỉ nha khoa giúp làm sạch các khe răng và vùng tiếp xúc giữa các răng, nơi bàn chải khó tiếp cận.
- Tránh dùng răng cắn vật cứng: Không dùng răng để cắn đá lạnh, kẹo cứng hoặc mở nắp chai vì có thể làm sứ Veneer bị sứt mẻ hoặc giảm độ bền.
- Hạn chế thực phẩm dễ gây ố màu: Các loại đồ uống như cà phê, trà đậm, rượu vang đỏ hoặc thực phẩm có màu đậm nên được sử dụng ở mức vừa phải để giữ màu răng luôn sáng.
- Khám nha khoa định kỳ: Nên đến nha khoa kiểm tra và vệ sinh răng miệng định kỳ 6 tháng/lần để bác sĩ theo dõi tình trạng Veneer và làm sạch chuyên sâu.
Thực hiện đúng các hướng dẫn trên sẽ giúp mặt dán sứ Veneer duy trì độ bền lâu dài, đồng thời giữ cho nụ cười luôn trắng sáng và tự nhiên.
Câu hỏi thường gặp về dán sứ Veneer
Dán sứ Veneer có đau không? Có cần chích thuốc tê không?
Thông thường, quy trình mài mỏng men răng rất nhẹ, không gây đau đớn. Nếu phải thực hiện mài lớn hoặc xử lý sâu, bác sĩ sẽ chích thuốc tê để đảm bảo khách hàng không cảm thấy khó chịu.
Tuổi thọ của dán sứ Veneer là bao lâu? Có bị rơi ra không?
Vật liệu sứ cao cấp có thể duy trì từ 7-15 năm hoặc hơn nếu chăm sóc đúng cách. Tuổi thọ còn phụ thuộc vào thói quen sinh hoạt, chế độ chăm sóc của người dùng.
Dán sứ Veneer có bị hôi miệng không?
Chủ yếu là do vệ sinh răng miệng không đúng cách hoặc gặp tình trạng bệnh lý. Việc vệ sinh tốt và khám định kỳ giúp giảm thiểu nguy cơ này.
Kết luận
Dán sứ veneer là giải pháp tuyệt vời giúp cải thiện thẩm mỹ răng hiệu quả, an toàn, bảo tồn tối đa răng thật và đạt kết quả tự nhiên. Với công nghệ tiên tiến, vật liệu cao cấp và đội ngũ bác sĩ chuyên nghiệp, Nha khoa Sài Gòn Phong Phú cam kết mang đến dịch vụ chất lượng, sự hài lòng tối đa cho khách hàng. Hãy lựa chọn phương pháp phù hợp để sở hữu nụ cười tự tin, rạng rỡ nhất của chính bạn.