Chụp X quang răng là kỹ thuật hình ảnh phổ biến giúp bác sĩ đánh giá chính xác tình trạng răng miệng trước khi điều trị. Tuy nhiên, nhiều người vẫn còn băn khoăn chụp X quang bao nhiêu tiền, chi phí có cao không và nên thực hiện ở đâu để đảm bảo an toàn, chất lượng. Trong bài viết này, chúng tôi sẽ giúp bạn giải đáp chi tiết về giá chụp X quang răng hiện nay, các yếu tố ảnh hưởng đến chi phí cũng như gợi ý địa chỉ chụp uy tín, đáng tin cậy.
Chụp X quang răng là gì?

Chụp X quang răng (hay còn gọi là X-quang nha khoa) là một kỹ thuật hình ảnh sử dụng tia X để quan sát cấu trúc bên trong của răng, xương hàm và các mô quanh răng mà mắt thường không thể nhìn thấy được. Đây là một phần quan trọng trong quá trình khám và chẩn đoán tại nha khoa, giúp bác sĩ phát hiện sớm các vấn đề như sâu răng, nhiễm trùng, tổn thương xương, răng mọc ngầm hoặc các bất thường về cấu trúc răng – hàm.
Kỹ thuật này thường được thực hiện nhanh chóng, an toàn với liều tia rất thấp, phù hợp cho cả người lớn và trẻ em khi cần thiết. Dựa vào hình ảnh X quang, nha sĩ có thể đưa ra kế hoạch điều trị chính xác và hiệu quả hơn.
Chụp X quang răng bao nhiêu tiền?

“Chụp X quang răng bao nhiêu tiền?” là câu hỏi được nhiều người quan tâm khi cần thực hiện các thủ thuật nha khoa. Trên thực tế, mức giá chụp X quang răng sẽ thay đổi tùy thuộc vào từng loại hình chụp (toàn cảnh, cận chóp, 3D CT Cone Beam…), công nghệ áp dụng, độ phức tạp của ca bệnh cũng như cơ sở nha khoa thực hiện.
Tuy nhiên, điều quan trọng hơn cả giá thành là chất lượng và độ chính xác của hình ảnh. Việc chọn chụp X quang tại những địa chỉ uy tín, sử dụng thiết bị hiện đại, sẽ hỗ trợ bác sĩ chẩn đoán chính xác, từ đó đưa ra phác đồ điều trị phù hợp và hiệu quả. Ngược lại, tiết kiệm chi phí bằng cách bỏ qua bước này hoặc lựa chọn dịch vụ kém chất lượng có thể dẫn đến sai sót trong điều trị, gây tốn kém và ảnh hưởng sức khỏe về sau.
Trong nội dung tiếp theo, bài viết sẽ phân tích chi tiết từng loại chụp X quang răng phổ biến hiện nay, giúp bạn hình dung rõ ràng hơn về chi phí, công dụng và cách lựa chọn hình thức phù hợp với nhu cầu cá nhân.
Các loại chụp X quang răng phổ biến
Khác với những hình thức chụp X quang tổng quát, các loại chụp X quang răng có đặc điểm và mục đích sử dụng riêng biệt, phù hợp với từng tình huống lâm sàng. Việc hiểu rõ về từng loại sẽ giúp bạn chuẩn bị tốt hơn về tài chính, xác định đúng mục đích cần thiết và tối ưu hóa hiệu quả điều trị.
Trong phần này, chúng ta sẽ đi sâu vào từng loại chụp X quang răng phổ biến, phân tích các điểm mạnh, hạn chế cũng như các lưu ý khi thực hiện. Hãy đọc kỹ để có lựa chọn phù hợp nhất.
Chụp X quang răng cận chóp (Periapical)

Chụp X quang răng cận chóp là một trong những dạng phổ biến nhất trong nha khoa, nhằm mục đích quan sát chính xác phần chân răng, xương ổ răng và các tổn thương quanh chóp. Loại hình này thường được chỉ định khi khám các vấn đề về nhiễm trùng chân răng, nướu, hoặc xác định độ sâu của sâu răng.
Về mặt chi phí, chụp X quang cận chóp khá phổ biến và có mức giá phù hợp, dao động khoảng 150.000 – 300.000 đồng/lần tùy theo địa điểm. Đặc biệt, nhờ công nghệ hiện đại, hình ảnh chụp rõ nét giúp bác sĩ dễ dàng chẩn đoán chính xác, từ đó đưa ra phương án điều trị tối ưu nhất. Đây là lựa chọn lý tưởng cho những trường hợp cần theo dõi sát tổn thương bên trong.
Chụp X quang răng cánh cắn (Bite wing)

Chụp X quang cánh cắn (hay còn gọi là bitewing) là một dạng hình ảnh giúp kiểm tra cấu trúc của răng hàm trên và dưới, đặc biệt phù hợp để phát hiện sâu răng giữa các răng và tình trạng tiêu xương quanh răng. Là công cụ hiệu quả trong dự phòng, giúp hạn chế các vấn đề răng miệng nặng hơn về sau.
Chi phí chụp X quang cánh cắn thường thấp hơn, chỉ từ 100.000 – 250.000 đồng/bộ, tùy từng cơ sở. Bên cạnh đó, hình ảnh bitewing còn giúp theo dõi quá trình điều trị sâu răng, chỉnh nha hay các bệnh lý khác liên quan đến cấu trúc răng. Đây là loại hình phổ biến, phù hợp với nhiều đối tượng và được khuyến khích thực hiện định kỳ để duy trì sức khỏe răng miệng tốt nhất.
Chụp phim Panorama toàn cảnh

Chụp phim toàn cảnh (phim Panoramic) được sử dụng để quét toàn bộ cấu trúc răng, hàm và các cấu trúc lân cận như xoang, hàm mặt. Loại hình này thường được chỉ định trong các ca phẫu thuật, trồng răng, phát hiện các vấn đề về xương hoặc các bất thường bên trong khung hàm.
Chỉ với khoản chi phí khoảng 300.000 – 700.000 đồng, bạn đã có thể sở hữu một hình ảnh toàn diện, giúp bác sĩ có hướng xử lý phù hợp nhất. Công nghệ hiện đại của máy phim toàn cảnh giúp giảm thiểu phóng đại, hạn chế nhiễu và nâng cao độ chính xác của kết quả. Đây là lựa chọn tối ưu để có cái nhìn tổng thể, đặc biệt phù hợp cho các ca điều trị phức tạp.
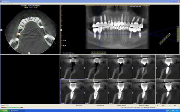
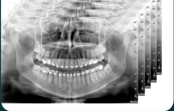
Chụp cắt lớp vi tính CT Cone Beam (3D)

Chụp cắt lớp vi tính Cone Beam 3D là công nghệ cao cấp nhất hiện nay trong chẩn đoán răng miệng, cung cấp hình ảnh không gian 3 chiều chính xác nhất. Loại hình này phù hợp trong các ca phẫu thuật Implant, chỉnh hình và các vấn đề phức tạp khác liên quan đến cấu trúc xương mặt và hàm.
Chi phí của chụp CT Cone Beam dao động trong khoảng 2.500.000 – 4.500.000 đồng, tùy theo trung tâm và công nghệ sử dụng. Tuy giá thành cao hơn nhiều so với các dạng khác, nhưng ưu điểm của nó là chính xác, rõ nét đến từng chi tiết nhỏ nhất, giúp các bác sĩ quyết định phương án điều trị tối ưu, giảm thiểu rủi ro và tăng tỷ lệ thành công.
Các kỹ thuật chụp hiện đại khác

Bên cạnh các loại hình chính kể trên, còn có nhiều kỹ thuật chụp X quang nha khoa mới ra đời như chụp quang tuyến toàn hàm, kỹ thuật số, hoặc các dịch vụ chụp X quang không xâm lấn, phù hợp với từng mục đích khám chữa bệnh cụ thể. Các công nghệ này giúp nâng cao hiệu quả chẩn đoán, giảm thiểu lượng tia bức xạ và thời gian chờ đợi, đem lại trải nghiệm thoải mái hơn cho khách hàng.
Với xu hướng phát triển mạnh mẽ của công nghệ, các kỹ thuật chụp hình nha khoa cũng ngày càng đa dạng, phong phú về giá cả cũng như chất lượng dịch vụ. Do đó, việc lựa chọn thiết bị phù hợp sẽ giúp bạn tối ưu hoá chi phí, đồng thời đảm bảo kết quả chính xác, an toàn về sức khỏe.
Các yếu tố ảnh hưởng đến giá chụp X quang răng

Khi tìm hiểu chụp X quang bao nhiêu tiền, bạn sẽ thấy mức giá có thể khác nhau đáng kể giữa các phòng khám. Sự chênh lệch này chủ yếu đến từ nhiều yếu tố như công nghệ thiết bị, thương hiệu phòng khám, vị trí địa lý, chính sách giá và trình độ chuyên môn của đội ngũ kỹ thuật viên.
Thông thường, những cơ sở có trang thiết bị hiện đại, sử dụng công nghệ mới sẽ có giá chụp X quang cao hơn do chi phí đầu tư lớn. Tuy nhiên, đổi lại là hình ảnh rõ nét hơn, hỗ trợ bác sĩ chẩn đoán chính xác và nhanh chóng hơn.
Ngoài ra, nhu cầu cá nhân và phương thức thanh toán cũng ảnh hưởng đến giá cuối cùng. Một số phòng khám có thể cung cấp các gói ưu đãi, giảm giá theo combo dịch vụ hoặc chương trình khuyến mãi, giúp khách hàng tiết kiệm chi phí đáng kể.
Dù quan tâm đến việc chụp X quang bao nhiêu tiền, bạn cũng nên cân nhắc thêm các yếu tố như độ uy tín của phòng khám, tay nghề bác sĩ và mức độ an toàn trong quá trình thực hiện. Giá cả hợp lý là quan trọng, nhưng chất lượng dịch vụ và kết quả chẩn đoán mới là điều quyết định đến sức khỏe răng miệng lâu dài của bạn.
Nên chụp X quang răng ở đâu? Gợi ý địa chỉ uy tín

Chụp X quang răng là một bước quan trọng giúp nha sĩ đánh giá chính xác tình trạng răng miệng và đưa ra phương pháp điều trị phù hợp. Tuy nhiên, nhiều người vẫn băn khoăn không biết nên chụp X quang răng ở đâu để đảm bảo an toàn, chất lượng và chi phí hợp lý.
Gợi ý địa chỉ chụp X quang răng uy tín
Một trong những địa chỉ được nhiều khách hàng tin tưởng hiện nay là Nha Khoa Sài Gòn – hệ thống phòng khám hiện đại, trang bị máy móc chụp X quang kỹ thuật số tiên tiến, cho hình ảnh rõ nét và giảm thiểu tối đa lượng tia X tác động đến cơ thể.
Tại đây, quy trình chụp X quang được thực hiện nhanh chóng, an toàn bởi đội ngũ kỹ thuật viên được đào tạo bài bản. Đồng thời, bác sĩ sẽ trực tiếp tư vấn dựa trên kết quả hình ảnh để giúp bạn hiểu rõ tình trạng răng miệng của mình.
Các lưu ý khi chụp X quang răng

Chụp X quang răng là bước cần thiết trong quá trình kiểm tra và điều trị các vấn đề về răng miệng. Tuy nhiên, để đảm bảo an toàn cho sức khỏe cũng như đạt được kết quả chẩn đoán chính xác, bạn cần lưu ý một số điều sau:
1. Tìm hiểu kỹ quy trình và công nghệ sử dụng:
Trước khi thực hiện, bạn nên trao đổi cụ thể với bác sĩ hoặc kỹ thuật viên về các bước tiến hành chụp X quang, loại máy móc được sử dụng và mức độ tiếp xúc với tia bức xạ. Những thông tin này giúp bạn yên tâm hơn và chủ động trong quá trình thực hiện.
2. Thông báo tình trạng sức khỏe hiện tại:
Nếu bạn đang mang thai, nghi ngờ có thai hoặc đang điều trị các bệnh lý liên quan, cần thông báo ngay với bác sĩ. Phụ nữ mang thai thường được khuyến cáo hạn chế chụp X quang nếu không thực sự cần thiết, để tránh ảnh hưởng đến thai nhi. Trong trường hợp bắt buộc phải chụp, bác sĩ sẽ có biện pháp bảo vệ phù hợp.
3. Tuân thủ hướng dẫn trước và sau khi chụp:
Trước khi chụp, bạn có thể được yêu cầu tháo bỏ các vật dụng kim loại trên người (như khuyên tai, dây chuyền…) để không làm ảnh hưởng đến hình ảnh X quang. Sau khi chụp, nên chú ý giữ vệ sinh răng miệng sạch sẽ, tránh ăn uống ngay nếu bác sĩ chưa cho phép, đồng thời không tác động mạnh vào khu vực vừa chụp để tránh gây tổn thương hoặc nhiễu kết quả.
4. Thỏa thuận rõ về chi phí và quyền lợi đi kèm:
Trước khi tiến hành chụp, bạn nên hỏi rõ về mức giá, các khoản chi phí phát sinh (nếu có), cũng như chính sách hỗ trợ, bảo hành dịch vụ hay hoàn trả (nếu xảy ra sự cố). Điều này giúp bạn chủ động tài chính và tránh những hiểu lầm, tranh chấp không mong muốn về sau.
5. Lưu giữ kết quả cẩn thận:
Kết quả chụp X quang răng thường được in ra phim hoặc lưu dưới dạng kỹ thuật số. Đây là tài liệu quan trọng phục vụ cho quá trình điều trị tiếp theo, vì vậy bạn nên lưu giữ cẩn thận và mang theo khi cần tái khám hoặc chuyển cơ sở điều trị.
Kết luận
Hy vọng qua những thông tin trên, bạn đã phần nào giải đáp được thắc mắc chụp X quang bao nhiêu tiền và lựa chọn được địa chỉ chụp X quang răng uy tín, phù hợp với nhu cầu. Đừng quên tham khảo trước chi phí và chất lượng dịch vụ để đảm bảo an toàn, chính xác trong quá trình thăm khám và điều trị răng miệng.
