Bạn đang muốn sở hữu hàm răng trắng sáng, khỏe mạnh nhưng lại băn khoăn về chi phí cạo vôi răng và tẩy trắng răng? Bài viết này sẽ cung cấp cho bạn thông tin chi tiết về giá cả, quy trình, lợi ích và những lưu ý cần biết khi thực hiện hai dịch vụ này.
Thế nào là cạo vôi răng và tẩy trắng răng?
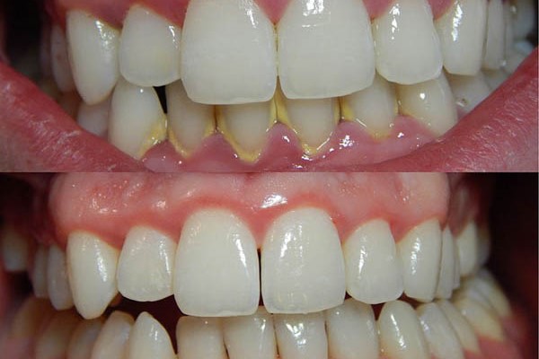
Cạo vôi răng
Cạo vôi răng hay còn gọi là lấy cao răng là quá trình loại bỏ mảng bám cứng, vôi răng bám trên bề mặt răng. Vôi răng là kết quả của việc tích tụ mảng bám thức ăn, vi khuẩn trong thời gian dài. Nếu không được loại bỏ, vôi răng có thể gây ra các vấn đề về răng miệng như:
- Viêm nướu, chảy máu chân răng
- Hôi miệng
- Răng bị xỉn màu
- Răng lung lay, thậm chí mất răng

Tẩy trắng răng
Tẩy trắng răng là phương pháp làm trắng răng bằng cách sử dụng các chất tẩy trắng chuyên dụng để loại bỏ các vết ố vàng, nâu trên bề mặt răng. Tẩy trắng răng giúp bạn sở hữu hàm răng trắng sáng, tự tin hơn trong giao tiếp.
Cạo vôi răng có trắng răng không?

Cạo vôi răng giúp loại bỏ mảng bám và vôi răng tích tụ trên bề mặt răng, mang lại cảm giác sạch sẽ và sáng bóng. Tuy nhiên, cạo vôi răng không đủ để làm trắng răng hoàn toàn. Để đạt được hàm răng trắng sáng nổi bật, bạn có thể kết hợp phương pháp cạo vôi răng cùng với tẩy trắng răng chuyên sâu.

Cạo vội răng và tẩy trắng răng cùng lúc có được không?
Bạn hoàn toàn có thể thực hiện cạo vôi răng và tẩy trắng răng cùng lúc để tiết kiệm thời gian và chi phí. Tuy nhiên, việc này đòi hỏi bạn phải lựa chọn cơ sở nha khoa uy tín, nơi có đội ngũ bác sĩ giàu kinh nghiệm và tay nghề cao. Đồng thời, cơ sở đó cần trang bị máy móc hiện đại, đáp ứng các tiêu chuẩn an toàn y tế. Điều này sẽ giúp quá trình điều trị diễn ra an toàn, hiệu quả, mang lại cho bạn hàm răng sạch khỏe và trắng sáng như mong muốn.

Những địa chỉ cạo vôi, tẩy trắng răng uy tín hiện nay
Hiện nay, có nhiều cơ sở nha khoa cung cấp dịch vụ cạo vôi răng và tẩy trắng răng, nhưng để đảm bảo hiệu quả và an toàn, bạn cần lựa chọn địa chỉ uy tín. Hãy tìm hiểu kỹ thông tin về đội ngũ bác sĩ, trang thiết bị, công nghệ được sử dụng và mức giá dịch vụ. Việc chọn một cơ sở nha khoa đáng tin cậy không chỉ giúp bạn đạt được kết quả như mong muốn mà còn giảm thiểu rủi ro trong quá trình điều trị.

Công nghệ tẩy trắng Bleach Bright tiên tiến bậc nhất
Công nghệ tẩy trắng răng Bleach Bright hiện đang được đánh giá là một trong những phương pháp tiên tiến nhất. Sử dụng ánh sáng LED hiện đại kết hợp với gel tẩy trắng chuyên dụng, công nghệ này giúp loại bỏ hiệu quả các vết ố vàng, nâu trên bề mặt răng. Ngoài ra, Bleach Bright còn đảm bảo an toàn cho men răng, mang lại nụ cười trắng sáng tự nhiên chỉ sau một liệu trình ngắn.

Chú trọng vô trùng không khí
Các cơ sở nha khoa uy tín luôn đặt sự an toàn của khách hàng lên hàng đầu bằng cách chú trọng vô trùng không khí. Với hệ thống lọc không khí HEPA hiện đại, không khí trong phòng được làm sạch hoàn toàn, loại bỏ bụi bẩn, vi khuẩn, và nấm mốc. Điều này không chỉ tạo môi trường sạch sẽ mà còn đảm bảo an toàn tối đa cho khách hàng trong suốt quá trình điều trị, mang lại sự yên tâm và thoải mái.
Những câu hỏi thường gặp cạo vôi răng
Cạo vôi răng và tẩy trắng răng bao nhiêu tiền?
Chi phí cạo vôi răng và tẩy trắng răng phụ thuộc vào nhiều yếu tố như:
- Cơ sở nha khoa
- Công nghệ áp dụng
- Tình trạng răng miệng của bạn
Thông thường, chi phí cạo vôi răng dao động từ 200.000 – 500.000 đồng/lần, trong khi tẩy trắng răng có mức giá từ 2.000.000 – 10.000.000 đồng/lần, tùy thuộc vào công nghệ được lựa chọn.

Chi phí tẩy trắng răng là bao nhiêu?
Chi phí tẩy trắng răng phụ thuộc vào nhiều yếu tố như:
- Công nghệ tẩy trắng: Tẩy trắng răng bằng đèn LED, laser, plasma…
- Loại gel tẩy trắng: Gel tẩy trắng có nguồn gốc từ Mỹ, Châu Âu…
- Tình trạng răng của bạn: Răng bị ố vàng, nâu nhẹ hay nặng…
Thông thường, giá tẩy trắng răng dao động trong khoảng 2.000.000 – 10.000.000 đồng/lần, tùy thuộc vào công nghệ và tình trạng răng miệng của bạn.
Cạo vôi răng như thế nào?
Cạo vôi răng được thực hiện bằng dụng cụ chuyên dụng để loại bỏ mảng bám cứng, vôi răng bám trên bề mặt răng. Quá trình này thường không gây đau đớn, tuy nhiên bạn có thể cảm thấy hơi ê buốt trong một vài trường hợp.
Tẩy trắng răng là như thế nào?
Tẩy trắng răng là quá trình sử dụng các chất tẩy trắng chuyên dụng để loại bỏ các vết ố vàng, nâu trên bề mặt răng. Quá trình này thường được thực hiện bằng cách bôi gel tẩy trắng lên răng và chiếu đèn LED hoặc laser để kích hoạt hoạt chất tẩy trắng.

Tẩy trắng răng có ảnh hưởng gì không?
Tẩy trắng răng có thể gây ra một số tác dụng phụ như:
- Ê buốt răng
- Nhạy cảm với đồ ăn nóng, lạnh
- Viêm nướu
Tuy nhiên, các tình trạng này thường chỉ là tạm thời và sẽ giảm dần trong vài ngày. Để hạn chế, bạn nên tuân thủ đúng hướng dẫn từ nha sĩ và lựa chọn cơ sở nha khoa uy tín.
Lấy cao răng có đau không?
Lấy cao răng thường không gây đau đớn, nhưng trong một số trường hợp, bạn có thể cảm thấy ê buốt nhẹ. Đây là hiện tượng tạm thời và sẽ biến mất sau một thời gian ngắn, không ảnh hưởng lâu dài đến sức khỏe răng miệng.
Lấy cao răng răng có trắng hơn không?
Lấy cao răng giúp loại bỏ mảng bám và vôi răng, mang lại cho răng vẻ sáng bóng hơn. Tuy nhiên, phương pháp này không thể làm trắng răng hoàn toàn như tẩy trắng răng, chỉ giúp cải thiện vẻ ngoài tạm thời.

Làm thế nào để hết cao răng?
Để hết cao răng, bạn cần thực hiện cạo vôi răng định kỳ 6 tháng/lần. Ngoài ra, bạn cũng nên vệ sinh răng miệng đúng cách, sử dụng kem đánh răng có chứa fluoride, hạn chế ăn uống đồ ngọt, thức ăn có màu sắc đậm.
Tẩy trắng răng duy trì được bao lâu?
Hiệu quả tẩy trắng răng có thể kéo dài từ 1-3 năm, tùy vào chế độ ăn uống, thói quen vệ sinh răng miệng và tình trạng răng của bạn. Việc chăm sóc đúng cách giúp duy trì kết quả lâu dài hơn.
Tẩy trắng răng có bị ê buốt không?
Tẩy trắng răng có thể gây ê buốt, đặc biệt là trong vài ngày đầu sau khi thực hiện. Tuy nhiên, cảm giác này thường sẽ giảm dần và biến mất hoàn toàn sau một thời gian ngắn, tùy vào cơ địa và tình trạng răng miệng của mỗi người.

Tẩy trắng răng nên kiêng gì?
Sau khi tẩy trắng răng, bạn nên kiêng một số loại thực phẩm và đồ uống có thể làm răng bị ố vàng như:
- Trà, cà phê
- Rượu vang đỏ
- Nước ngọt có màu
- Các loại thực phẩm có màu sắc đậm
Cạo vôi răng trong bao lâu?
Quá trình cạo vôi răng thường mất từ 30 đến 60 phút, tùy vào tình trạng răng miệng của mỗi người. Thời gian có thể thay đổi dựa trên mức độ tích tụ vôi răng và mảng bám trên răng.
Tại sao tẩy trắng răng bị ê buốt?
Tẩy trắng răng có thể gây ê buốt do gel tẩy trắng tác động vào men răng. Tuy nhiên, tình trạng ê buốt này thường chỉ kéo dài trong một vài ngày và sẽ dần biến mất khi răng phục hồi. Đây là phản ứng tạm thời và không gây nguy hiểm cho răng.
Những ai không nên tẩy trắng răng?
Những người sau đây không nên tẩy trắng răng:
- Phụ nữ mang thai và cho con bú
- Người bị dị ứng với các thành phần trong gel tẩy trắng
- Người có răng bị sâu, nứt, vỡ
- Người bị viêm nướu, bệnh nha chu
Lấy cao răng bao lâu hết đau?
Lấy cao răng thường không gây đau, nhưng trong một số trường hợp, bạn có thể cảm thấy ê buốt. Tuy nhiên, tình trạng này sẽ nhanh chóng biến mất sau vài ngày khi răng hồi phục. Đây là phản ứng tạm thời và không ảnh hưởng nghiêm trọng đến sức khỏe răng miệng.

Tại sao không nên lấy cao răng?
Lấy cao răng là dịch vụ nha khoa quan trọng giúp loại bỏ mảng bám và vôi răng bám trên bề mặt răng, bảo vệ sức khỏe răng miệng. Đây là một bước cần thiết để duy trì vệ sinh răng miệng tốt, không có lý do gì để bỏ qua việc lấy cao răng định kỳ.
Làm gì để sạch mảng bám trên răng?
Để sạch mảng bám trên răng, bạn cần thực hiện các biện pháp sau:
- Vệ sinh răng miệng đúng cách, sử dụng kem đánh răng có chứa fluoride
- Sử dụng chỉ nha khoa để loại bỏ mảng bám ở kẽ răng
- Cạo vôi răng định kỳ 6 tháng/lần
Tại sao lại có nhiều cao răng?
Cao răng là kết quả của việc tích tụ mảng bám thức ăn, vi khuẩn trong thời gian dài. Nguyên nhân dẫn đến nhiều cao răng có thể là:
- Vệ sinh răng miệng không đúng cách
- Chế độ ăn uống không hợp lý
- Sử dụng thuốc lá
Tẩy răng bao lâu thì ăn uống bình thường?
Sau khi tẩy trắng răng, bạn có thể ăn uống bình thường sau 2-3 giờ. Tuy nhiên, nên hạn chế thức ăn có màu sắc đậm và đồ ngọt trong vài ngày đầu để duy trì kết quả tẩy trắng lâu dài và bảo vệ men răng khỏi những tác động tiêu cực.
Cạo vôi răng xong làm gì?
Sau khi cạo vôi răng, bạn nên:
- Chải răng nhẹ nhàng bằng kem đánh răng có chứa fluoride
- Súc miệng bằng nước muối sinh lý
- Hạn chế ăn uống đồ cứng, dai trong những ngày đầu sau khi cạo vôi
Tại sao lấy cao răng lại chảy máu?
Lấy cao răng có thể gây chảy máu nhẹ do dụng cụ cạo vôi tác động lên nướu. Tuy nhiên, hiện tượng này thường chỉ kéo dài trong vài giờ và sẽ tự hết sau một vài ngày mà không gây ảnh hưởng lâu dài đến sức khỏe răng miệng.

Cạo vôi răng nên ăn gì?
Sau khi cạo vôi răng, bạn nên ăn những thức ăn mềm, dễ nhai như:
- Cháo
- Súp
- Trái cây mềm
- Sữa chua
Nhổ răng bao lâu thì lấy cao răng?
Sau khi nhổ răng, bạn nên đợi ít nhất 2 tuần để vùng răng nhổ lành lại hoàn toàn trước khi thực hiện lấy cao răng. Điều này giúp tránh làm tổn thương nướu và đảm bảo quá trình chăm sóc răng miệng diễn ra an toàn, hiệu quả.
Khi nào không nên tẩy trắng răng?
Những người sau đây không nên tẩy trắng răng:
- Phụ nữ mang thai và cho con bú
- Người bị dị ứng với các thành phần trong gel tẩy trắng
- Người có răng bị sâu, nứt, vỡ
- Người bị viêm nướu, bệnh nha chu
Tại sao tẩy trắng răng không trắng?
Tẩy trắng răng không trắng có thể do nhiều nguyên nhân như:
- Gel tẩy trắng không phù hợp với tình trạng răng của bạn
- Quá trình tẩy trắng không được thực hiện đúng kỹ thuật
- Răng bị ố vàng, nâu quá nặng
Răng bé bị mảng bám đen phải làm sao?
Răng bé bị mảng bám đen có thể do nhiều nguyên nhân như:
- Vệ sinh răng miệng không đúng cách
- Chế độ ăn uống không hợp lý
- Sử dụng thuốc lá
Bạn nên đưa bé đến nha sĩ để được kiểm tra và tư vấn cách xử lý phù hợp.
Tại sao răng lại bị mảng bám đen?
Răng bị mảng bám đen có thể do nhiều nguyên nhân như:
- Vệ sinh răng miệng không đúng cách
- Chế độ ăn uống không hợp lý
- Sử dụng thuốc lá
- Uống nhiều trà, cà phê
Tẩy trắng răng có đau không?
Tẩy trắng răng có thể gây ê buốt, đặc biệt trong những ngày đầu sau khi thực hiện. Tuy nhiên, tình trạng ê buốt này thường chỉ kéo dài trong vài ngày và sẽ dần giảm đi khi răng hồi phục, giúp bạn sở hữu hàm răng sáng bóng và khỏe mạnh.
Tẩy trắng răng có được uống trà sữa không?
Sau khi tẩy trắng răng, bạn nên hạn chế uống trà sữa trong những ngày đầu. Trà sữa có thể gây ố vàng cho răng, làm giảm hiệu quả của quá trình tẩy trắng, nên tránh sử dụng để giữ cho hàm răng sáng bóng lâu dài.

Lấy cao răng nhiều có ảnh hưởng gì không?
Lấy cao răng nhiều lần không ảnh hưởng đến sức khỏe răng miệng nếu được thực hiện đúng cách và bởi nha sĩ có chuyên môn. Quy trình này giúp duy trì vệ sinh răng miệng sạch sẽ, bảo vệ sức khỏe răng miệng mà không gây tác dụng phụ.
Lấy cao răng có lợi ích gì?
Lấy cao răng có nhiều lợi ích như:
- Loại bỏ mảng bám, vôi răng bám trên bề mặt răng
- Ngăn ngừa viêm nướu, chảy máu chân răng
- Giúp răng sáng bóng hơn
- Bảo vệ sức khỏe răng miệng
Nên ăn gì sau khi tẩy trắng răng?
Sau khi tẩy trắng răng, bạn nên ăn những thức ăn mềm, dễ nhai như:
- Cháo
- Súp
- Trái cây mềm
- Sữa chua
Khi nào nên đi cạo vôi răng?
Bạn nên đi cạo vôi răng định kỳ 6 tháng/lần để loại bỏ mảng bám, vôi răng bám trên bề mặt răng, bảo vệ sức khỏe răng miệng.
Lưu ý:
- Thông tin trong bài viết chỉ mang tính chất tham khảo.
- Bạn nên đến nha sĩ để được tư vấn và kiểm tra tình trạng răng miệng của mình.
- Chọn cơ sở nha khoa uy tín, có đội ngũ bác sĩ giỏi, trang thiết bị hiện đại để đảm bảo an toàn và hiệu quả cho quá trình điều trị.
Hy vọng bài viết này đã mang đến cho bạn những thông tin hữu ích về dịch vụ cạo vôi răng và tẩy trắng răng. Việc duy trì sức khỏe răng miệng là rất quan trọng để sở hữu hàm răng trắng sáng và khỏe mạnh. Chúc bạn tìm được phương pháp phù hợp và có nụ cười tự tin!