Việc mắc phải tình trạng răng bị tụt lợi khiến nhiều người lo lắng và tìm kiếm các phương pháp điều trị phù hợp để hạn chế tối đa ảnh hưởng đến sức khỏe răng miệng và thẩm mỹ nụ cười. Cách chữa răng bị tụt lợi hiệu quả không chỉ giúp làm giảm các triệu chứng mà còn bảo vệ toàn diện sức khỏe răng miệng của bạn trong lâu dài. Trong bài viết này, chúng tôi sẽ cung cấp các phương pháp điều trị từ tự nhiên đến chuyên sâu, giúp bạn có thể lựa chọn giải pháp phù hợp nhất với tình trạng của bản thân.
Tụt lợi răng là gì?
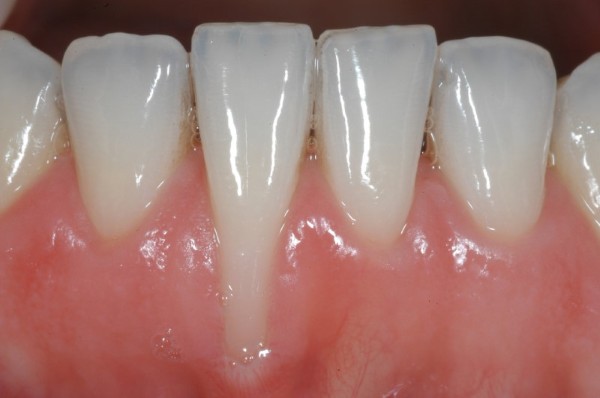
Tụt lợi răng là tình trạng phần nướu bị co rút, làm lộ thân răng hoặc chân răng ra bên ngoài. Khi đó, răng có xu hướng trông dài hơn bình thường, đồng thời trở nên nhạy cảm và dễ bị tổn thương do lớp mô bảo vệ đã suy giảm.
Không chỉ ảnh hưởng đến thẩm mỹ nụ cười, tụt lợi còn là dấu hiệu cảnh báo nhiều vấn đề răng miệng nghiêm trọng như viêm nướu, viêm nha chu hay sâu răng chân răng. Nếu không được phát hiện và áp dụng cách chữa răng bị tụt lợi hiệu quả kịp thời, tình trạng này có thể tiến triển nặng, gây tiêu xương và thậm chí dẫn đến mất răng.

Tại sao răng bị tụt lợi? Nguyên nhân phổ biến cần tránh
Có nhiều nguyên nhân dẫn đến hiện tượng tụt lợi, trong đó phổ biến nhất bao gồm:
- Việc vệ sinh răng miệng không đúng cách, chải quá mạnh hoặc dùng bàn chải cứng, gây tổn thương nướu.
- Bệnh viêm nướu hoặc periodontal (viêm nha chu), làm yếu các mô nâng đỡ răng.
- Thói quen nghiến răng, cắn chặt, hoặc răng lệch lạc.
- Thức ăn chứa nhiều đường, axit hoặc dùng thuốc kéo dài gây tác động tiêu cực đến lợi.
- Thừa cân hoặc bệnh tiểu đường làm tăng nguy cơ mắc các bệnh về nướu.
Tụt lợi răng gây ra những biến chứng nguy hiểm nào?
Nếu không chữa trị kịp thời, tụt lợi có thể dẫn đến các hậu quả nghiêm trọng như:
- Viêm nhiễm kéo dài và gây đau nhức dữ dội.
- Tình trạng tiêu xương ổ răng, làm giảm khả năng giữ chân răng.
- Răng lung lay, dễ bị rụng.
- Ảnh hưởng tiêu cực đến thẩm mỹ nụ cười, gây tự ti trong giao tiếp.
- Mất khả năng ăn nhai, ảnh hưởng đến chất lượng cuộc sống.
Top 7 cách chữa răng bị tụt lợi hiệu quả tại nhà (Mức độ nhẹ)
Ở giai đoạn nhẹ, khi nướu chỉ mới co rút và chưa gây tiêu xương nghiêm trọng, bạn hoàn toàn có thể áp dụng các phương pháp chăm sóc tại nhà để cải thiện. Những cách chữa răng bị tụt lợi hiệu quả dưới đây tập trung vào việc giảm viêm, kiểm soát vi khuẩn và hỗ trợ phục hồi mô nướu.
1. Sử dụng mật ong và tỏi kháng viêm tự nhiên

Mật ong chứa enzyme kháng khuẩn và có khả năng làm dịu mô viêm, trong khi tỏi giàu allicin – hoạt chất có tác dụng kháng viêm, diệt khuẩn mạnh.
Cách thực hiện:
- Giã nhuyễn 1 tép tỏi tươi, trộn với 1 thìa mật ong nguyên chất
- Làm sạch răng miệng, sau đó thoa hỗn hợp lên vùng nướu bị tụt
- Giữ trong 3–5 phút rồi súc miệng lại bằng nước ấm
Tần suất: 2–3 lần/tuần
Lưu ý: Không nên lạm dụng vì tỏi có thể gây kích ứng nếu dùng quá nhiều.
2. Súc miệng bằng dầu dừa, dầu mè hoặc dầu bạch đàn (Oil Pulling)
Đây là phương pháp cổ truyền giúp “kéo” vi khuẩn và độc tố ra khỏi khoang miệng, từ đó giảm viêm nướu và hạn chế tụt lợi.
Cách thực hiện:
- Lấy 1 muỗng dầu (dầu dừa/dầu mè/dầu bạch đàn)
- Súc miệng nhẹ nhàng trong 10–15 phút
- Nhổ bỏ, không nuốt, sau đó súc lại bằng nước sạch
Tần suất: 1 lần/ngày vào buổi sáng trước khi ăn
Hiệu quả: Giảm mảng bám, cải thiện hơi thở và hỗ trợ một trong những cách chữa răng bị tụt lợi hiệu quả tại nhà.
3. Chữa tụt nướu bằng trà xanh và nha đam

Trà xanh giàu catechin – chất chống oxy hóa giúp ức chế vi khuẩn gây viêm. Nha đam (lô hội) có đặc tính làm dịu, thúc đẩy tái tạo mô.
Cách thực hiện:
- Pha trà xanh đặc, để nguội rồi dùng bông thấm lên vùng nướu
- Hoặc lấy gel nha đam tươi, bôi trực tiếp lên vùng lợi bị tụt
- Giữ khoảng 5–10 phút rồi súc miệng
Tần suất: 1–2 lần/ngày
Lợi ích: Giảm sưng đỏ, tăng khả năng hồi phục mô nướu tự nhiên.
4. Sử dụng muối hồng Himalaya để sát khuẩn
Muối hồng Himalaya chứa nhiều khoáng chất tự nhiên giúp kháng khuẩn, giảm viêm và làm sạch khoang miệng hiệu quả.
Cách thực hiện:
- Pha 1/2 thìa muối với 200ml nước ấm
- Súc miệng trong 30–60 giây, tập trung vào vùng nướu bị tụt
Tần suất: 2 lần/ngày (sáng và tối)
Lưu ý: Không pha quá mặn để tránh gây kích ứng niêm mạc.
5. Bổ sung Axit béo Omega-3 và Vitamin C giúp nướu chắc khỏe

Dinh dưỡng đóng vai trò quan trọng trong việc phục hồi mô nướu và tăng sức đề kháng.
Nguồn bổ sung:
- Omega-3: cá hồi, cá thu, hạt chia, óc chó
- Vitamin C: cam, chanh, ổi, kiwi, rau xanh
Tác dụng:
- Giảm viêm tự nhiên
- Tăng độ đàn hồi của nướu
- Hỗ trợ quá trình tái tạo mô
Đây là nền tảng quan trọng trong mọi cách chữa răng bị tụt lợi hiệu quả lâu dài.
6. Nhai kẹo cao su trà xanh giúp làm sạch mảng bám
Kẹo cao su không đường chứa chiết xuất trà xanh giúp kích thích tiết nước bọt – cơ chế tự nhiên giúp làm sạch vi khuẩn và trung hòa axit.
Cách sử dụng:
- Nhai sau bữa ăn 10–15 phút
- Chọn loại không đường, có thành phần kháng khuẩn
Hiệu quả: Hạn chế mảng bám, hỗ trợ bảo vệ nướu và giảm nguy cơ tụt lợi tiến triển.
7. Vệ sinh răng miệng đúng cách và dùng chỉ nha khoa

Đây là yếu tố cốt lõi quyết định hiệu quả của mọi cách chữa răng bị tụt lợi hiệu quả.
Hướng dẫn đúng cách:
- Chải răng 2 lần/ngày bằng bàn chải lông mềm
- Chải nhẹ nhàng theo chiều dọc hoặc xoay tròn, tránh chà ngang mạnh
- Sử dụng chỉ nha khoa mỗi ngày để làm sạch kẽ răng
- Kết hợp nước súc miệng diệt khuẩn nếu cần
Lưu ý quan trọng:
Chải răng sai cách chính là nguyên nhân phổ biến gây tụt lợi, vì vậy cần đặc biệt chú ý kỹ thuật.
Giải pháp điều trị tụt lợi chuyên sâu tại Nha khoa Sài Gòn Phong Phú
Khi tình trạng tụt lợi đã tiến triển nặng, lộ chân răng nhiều, gây ê buốt kéo dài hoặc có dấu hiệu viêm nha chu, các phương pháp tại nhà thường không còn mang lại hiệu quả. Lúc này, việc can thiệp nha khoa chuyên sâu là cách chữa răng bị tụt lợi hiệu quả và cần thiết để bảo tồn răng thật, ngăn ngừa biến chứng nguy hiểm.
Tại Nha khoa Sài Gòn Phong Phú, quy trình điều trị được cá nhân hóa theo từng mức độ bệnh lý, đảm bảo an toàn và hiệu quả lâu dài.
Điều trị tụt lợi ở mức độ nhẹ

Đối với trường hợp tụt lợi nhẹ, nguyên nhân chủ yếu thường đến từ mảng bám và vi khuẩn tích tụ lâu ngày ở cổ răng.
Phương pháp thực hiện:
- Cạo vôi răng bằng sóng siêu âm hiện đại
- Làm sạch mảng bám trên và dưới nướu
- Đánh bóng bề mặt răng, hạn chế vi khuẩn tái bám
Hiệu quả mang lại:
- Giảm viêm nướu, hạn chế tụt lợi tiến triển
- Tạo môi trường sạch giúp mô lợi phục hồi tự nhiên
Đây là bước nền tảng trong mọi cách chữa răng bị tụt lợi hiệu quả, đặc biệt với giai đoạn sớm.
Hàn trám răng thẩm mỹ mòn cổ chân răng

Khi tụt lợi đi kèm hiện tượng mòn cổ răng hoặc lộ ngà, răng sẽ trở nên nhạy cảm, dễ ê buốt khi ăn uống.
Phương pháp thực hiện:
- Sử dụng vật liệu composite cao cấp để trám phủ vùng cổ răng
- Phục hình hình dáng tự nhiên của răng
- Bịt kín các ống ngà bị lộ
Lợi ích:
- Giảm ê buốt tức thì
- Ngăn ngừa vi khuẩn xâm nhập sâu hơn
- Cải thiện thẩm mỹ, giúp răng đều và đẹp hơn
Đây là một trong những cách chữa răng bị tụt lợi hiệu quả giúp bảo vệ chân răng mà không cần can thiệp phẫu thuật.
Phẫu thuật ghép mô lợi cho trường hợp nặng

Với những trường hợp tụt lợi nghiêm trọng, lộ chân răng nhiều, kèm theo tiêu xương hoặc nguy cơ răng lung lay, phẫu thuật ghép mô lợi là giải pháp tối ưu.
Quy trình thực hiện:
-
Bác sĩ lấy mô lợi tự thân (thường từ vòm miệng) hoặc vật liệu sinh học
-
Ghép vào vùng nướu bị tụt để che phủ chân răng
-
Cố định và theo dõi quá trình lành thương
Hiệu quả:
- Phục hồi mô nướu đã mất
- Bảo vệ chân răng khỏi tác động bên ngoài
- Giảm ê buốt, tăng độ chắc chắn của răng
- Ngăn ngừa nguy cơ mất răng
Đây được xem là cách chữa răng bị tụt lợi hiệu quả nhất trong các ca bệnh nặng, mang lại kết quả lâu dài và ổn định.
Quy trình điều trị tụt lợi an toàn tại Nha khoa Sài Gòn Phong Phú
Tại Nha khoa Sài Gòn Phong Phú, mọi ca điều trị tụt lợi đều được thực hiện theo quy trình chuẩn y khoa, đảm bảo an toàn, chính xác và mang lại cách chữa răng bị tụt lợi hiệu quả lâu dài cho từng khách hàng.

1. Thăm khám và chẩn đoán chuyên sâu
Bác sĩ tiến hành kiểm tra tổng quát khoang miệng, đánh giá mức độ tụt lợi, tình trạng viêm nướu, tiêu xương (nếu có).
Các bước thực hiện:
- Khai thác tiền sử bệnh lý và thói quen chăm sóc răng miệng
- Đo độ tụt lợi, độ sâu túi nha chu
- Chụp phim X-quang (nếu cần) để đánh giá cấu trúc xương hàm
Mục tiêu: Xác định chính xác nguyên nhân và mức độ để đưa ra cách chữa răng bị tụt lợi hiệu quả phù hợp nhất.
2. Tư vấn phác đồ điều trị cá nhân hóa
Dựa trên kết quả chẩn đoán, bác sĩ sẽ xây dựng phác đồ điều trị riêng cho từng trường hợp.
Nội dung tư vấn:
- Lựa chọn phương pháp điều trị: cạo vôi, trám cổ răng hay ghép mô lợi
- Thời gian điều trị và chi phí dự kiến
- Hướng dẫn chăm sóc trước – sau điều trị
Ưu điểm: Giúp khách hàng hiểu rõ lộ trình và chủ động phối hợp để đạt hiệu quả tối ưu.
3. Tiến hành điều trị với kỹ thuật an toàn
Quá trình điều trị được thực hiện trong điều kiện vô trùng, sử dụng công nghệ hiện đại và kỹ thuật nhẹ nhàng.
Chi tiết thực hiện:
- Gây tê cục bộ (nếu cần) giúp giảm đau tối đa
- Tiến hành điều trị theo phương pháp đã lựa chọn
- Kiểm soát tốt tình trạng chảy máu và tổn thương mô mềm
Cam kết: Mang lại trải nghiệm thoải mái, hạn chế đau và đảm bảo cách chữa răng bị tụt lợi hiệu quả theo tiêu chuẩn y khoa.
4. Kiểm tra và hướng dẫn chăm sóc sau điều trị
Sau khi hoàn tất, bác sĩ sẽ kiểm tra lại toàn bộ vùng điều trị để đảm bảo kết quả ổn định.
Hướng dẫn bao gồm:
- Cách vệ sinh răng miệng đúng kỹ thuật
- Chế độ ăn uống phù hợp để hỗ trợ lành thương
- Lịch tái khám định kỳ
Ý nghĩa: Giúp duy trì kết quả lâu dài và ngăn ngừa tụt lợi tái phát.
Chi phí điều trị tụt lợi hết bao nhiêu tiền? (Bảng giá tham khảo)
Chi phí điều trị tụt lợi phụ thuộc vào mức độ tổn thương nướu, phương pháp can thiệp và tình trạng răng miệng cụ thể của từng người. Việc lựa chọn đúng phương pháp không chỉ giúp tối ưu chi phí mà còn đảm bảo cách chữa răng bị tụt lợi hiệu quả và lâu dài.
Dưới đây là bảng giá tham khảo cho các phương pháp phổ biến:
| Phương pháp | Khoảng giá (VNĐ) | Đặc điểm chính |
|---|---|---|
| Cạo vôi, làm sạch mảng bám | 300.000 – 500.000 | Áp dụng cho tụt lợi nhẹ, giảm viêm nướu |
| Hàn trám cổ răng | 1.000.000 – 2.000.000 | Phục hình vùng cổ răng, giảm ê buốt |
| Phẫu thuật ghép mô lợi | 3.000.000 – 7.000.000 | Điều trị chuyên sâu cho trường hợp nặng |
Lưu ý quan trọng
- Mức giá trên chỉ mang tính tham khảo và có thể thay đổi tùy theo từng nha khoa
- Chi phí thực tế sẽ phụ thuộc vào mức độ tụt lợi, số lượng răng cần điều trị và công nghệ áp dụng
- Thăm khám trực tiếp là cách chính xác nhất để xác định phương án và cách chữa răng bị tụt lợi hiệu quả phù hợp với từng trường hợp
Cách phòng ngừa tụt lợi tái phát hiệu quả
- Vệ sinh răng miệng đúng kỹ thuật hàng ngày.
- Thăm khám nha khoa định kỳ 6 tháng/lần.
- Tránh thói quen cắn chặt hoặc nghiến răng.
- Hạn chế thức ăn chứa nhiều đường, axit.
- Sử dụng bàn chải mềm, phù hợp với vùng nướu.
- Điều trị các bệnh lý nha chu kịp thời để tránh lan rộng.
Câu hỏi thường gặp
Lợi bị tụt có tự mọc lại được không?
Thông thường, lợi bị tụt sẽ không tự mọc lại hoàn toàn mà cần can thiệp y học để phục hồi mô lợi.
Tụt lợi có nên dùng kem đánh răng đặc trị không?
Chọn kem đánh răng phù hợp, chứa thành phần chống viêm và đặc trị tụt lợi sẽ hỗ trợ quá trình điều trị. Tuy nhiên, không thay thế các phương pháp chuyên sâu khi tình trạng nặng.
Điều trị tụt lợi mất bao lâu thì lành?
Thời gian hồi phục tùy thuộc vào mức độ nặng nhẹ, trung bình từ 1 đến 3 tuần đối với các phương pháp nhẹ, dài hơn đối với phẫu thuật.
Kết luận
Cách chữa răng bị tụt lợi hiệu quả yêu cầu sự kết hợp giữa chăm sóc tại nhà và điều trị chuyên sâu tại nha khoa. Tình trạng tụt lợi nếu không được phát hiện sớm và điều trị đúng cách có thể gây ra nhiều biến chứng nghiêm trọng. Vì vậy, việc duy trì vệ sinh răng miệng đúng kỹ thuật, định kỳ thăm khám và lựa chọn phương pháp điều trị phù hợp sẽ giúp bảo vệ sức khỏe răng miệng, giữ cho nụ cười của bạn luôn tươi trẻ và tự tin. Chúc bạn luôn có một hàm răng khỏe mạnh và rạng rỡ!