Bé 5 tuổi bị sâu răng hàm phải làm sao? Sâu răng là một trong những bệnh lý răng miệng phổ biến ở trẻ em, đặc biệt là trẻ 5 tuổi. Khi trẻ bị sâu răng hàm, bố mẹ thường rất lo lắng và băn khoăn không biết phải làm sao. Bài viết này sẽ cung cấp thông tin chi tiết về dấu hiệu, nguyên nhân, cách điều trị và phòng ngừa sâu răng hàm ở trẻ 5 tuổi, giúp bố mẹ có thể đưa ra những quyết định đúng đắn nhất cho con yêu.
Dấu hiệu bé 5 tuổi bị sâu răng hàm

Sâu răng hàm ở trẻ 5 tuổi thường diễn ra âm thầm, không gây đau đớn ngay từ đầu. Tuy nhiên, bố mẹ cần chú ý theo dõi những dấu hiệu sau để phát hiện sớm và điều trị kịp thời:
Sâu răng hàm giai đoạn đầu (mức độ nhẹ)
- Vết đen hoặc nâu trên bề mặt răng:Đây là dấu hiệu đầu tiên của sâu răng, thường xuất hiện ở các rãnh nhỏ trên bề mặt răng.
- Răng nhạy cảm với thức ăn nóng, lạnh, ngọt:Trẻ có thể cảm thấy đau nhói khi ăn những thức ăn có nhiệt độ hoặc độ ngọt cao.
- Hơi thở có mùi:Do thức ăn bị kẹt trong các lỗ sâu răng, tạo điều kiện cho vi khuẩn phát triển và gây mùi hôi.
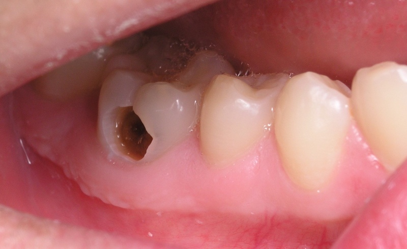
Trẻ 5 tuổi bị sâu răng hàm giai đoạn 2 (mức độ trung bình)
- Lỗ sâu răng lớn hơn, ăn sâu vào men răng: Lỗ sâu răng có thể nhìn thấy rõ bằng mắt thường, gây đau nhức khi ăn nhai.
- Răng bị ê buốt khi ăn uống: Trẻ có thể cảm thấy đau nhói khi ăn những thức ăn cứng, dai hoặc có vị chua.
- Răng bị đổi màu:Răng bị sâu thường có màu vàng hoặc nâu sẫm.
Sâu răng hàm giai đoạn 3 (mức độ nặng)
- Lỗ sâu răng rất lớn, ăn sâu vào ngà răng:Lỗ sâu răng có thể nhìn thấy rõ bằng mắt thường, gây đau nhức dữ dội khi ăn nhai.
- Răng bị lung lay:Do phần ngà răng bị phá hủy, răng trở nên yếu và dễ bị lung lay.
- Sưng nướu, chảy mủ: Vi khuẩn từ lỗ sâu răng có thể xâm nhập vào nướu, gây viêm nhiễm và chảy mủ.
Nguyên nhân trẻ 5 tuổi bị sâu răng hàm

Có nhiều nguyên nhân dẫn đến sâu răng hàm ở trẻ 5 tuổi, bao gồm:
Thói quen chăm sóc răng chưa tốt
- Chải răng không đúng cách:Chải răng không đúng kỹ thuật, không đánh răng đủ thời gian hoặc không sử dụng kem đánh răng có chứa Fluor.
- Không dùng chỉ nha khoa: Chỉ nha khoa giúp loại bỏ thức ăn kẹt trong kẽ răng, hạn chế vi khuẩn phát triển.
- Uống nước ngọt, ăn nhiều đồ ngọt: Đường trong nước ngọt và đồ ngọt là thức ăn ưa thích của vi khuẩn gây sâu răng.
Dinh dưỡng chưa phù hợp
- Chế độ ăn thiếu canxi, vitamin D: Canxi và vitamin D là những dưỡng chất cần thiết cho sự phát triển của răng, giúp răng chắc khỏe.
- Ăn nhiều thức ăn mềm, ít nhai: Việc ăn nhiều thức ăn mềm khiến cơ hàm không được hoạt động, dẫn đến răng yếu và dễ bị sâu.
Tình trạng sức khỏe
- Bệnh lý về tuyến nước bọt:Tuyến nước bọt có vai trò quan trọng trong việc làm sạch răng miệng, nếu tuyến nước bọt hoạt động kém sẽ tạo điều kiện cho vi khuẩn phát triển.
- Bệnh lý về tiêu hóa:Bệnh lý về tiêu hóa có thể ảnh hưởng đến quá trình hấp thu canxi, dẫn đến răng yếu và dễ bị sâu.
Thiếu hụt Fluor
- Fluor là khoáng chất giúp bảo vệ men răng, chống lại sự tấn công của axit do vi khuẩn tạo ra.
- Thiếu hụt Fluor khiến men răng yếu và dễ bị sâu.
Bé 5 tuổi bị sâu răng hàm phải làm sao?

Tùy vào mức độ sâu răng, bác sĩ sẽ đưa ra phương pháp điều trị phù hợp.
Phương pháp điều trị không nhổ răng
- Trám răng: Đây là phương pháp điều trị phổ biến nhất cho sâu răng hàm ở trẻ 5 tuổi. Bác sĩ sẽ loại bỏ phần răng bị sâu và trám lại bằng vật liệu trám răng.
- Bọc răng: Nếu lỗ sâu răng quá lớn, bác sĩ có thể sử dụng mão răng để bọc lên răng bị sâu, giúp bảo vệ răng và phục hồi chức năng nhai.
- Điều trị tủy: Nếu sâu răng đã ăn sâu vào tủy răng, bác sĩ sẽ tiến hành điều trị tủy để loại bỏ tủy răng bị nhiễm trùng và trám lại.
Những trường hợp cần phải nhổ răng hàm sâu ở bé 5 tuổi
- Răng bị sâu quá nặng, không thể phục hồi:Nếu răng bị sâu quá nặng, đã bị lung lay hoặc viêm nhiễm nặng, bác sĩ có thể chỉ định nhổ răng.
- Răng bị sâu ảnh hưởng đến răng kế cận:Nếu răng bị sâu ảnh hưởng đến răng kế cận, bác sĩ có thể chỉ định nhổ răng để tránh lây lan sâu răng.
Cách ngăn ngừa trẻ bị sâu răng hiệu quả

Để phòng ngừa sâu răng cho trẻ 5 tuổi, bố mẹ cần chú ý:
- Chải răng đúng cách:Chải răng 2 lần mỗi ngày, mỗi lần ít nhất 2 phút, sử dụng kem đánh răng có chứa Fluor.
- Sử dụng chỉ nha khoa: Dùng chỉ nha khoa để loại bỏ thức ăn kẹt trong kẽ răng, hạn chế vi khuẩn phát triển.
- Hạn chế đồ ngọt: Giảm thiểu việc cho trẻ ăn đồ ngọt, nước ngọt, kẹo, bánh.
- Cho trẻ ăn uống đầy đủ dinh dưỡng: Bổ sung đầy đủ canxi, vitamin D, các khoáng chất cần thiết cho sự phát triển của răng.
- Cho trẻ đi khám răng định kỳ: Nên cho trẻ đi khám răng định kỳ 6 tháng/lần để phát hiện sớm các vấn đề về răng miệng.
Nha khoa Sài Gòn – Địa chỉ nha khoa an toàn, chất lượng nhất Hà Nội
Nha khoa Sài Gòn là địa chỉ nha khoa uy tín, chất lượng, được nhiều khách hàng tin tưởng lựa chọn. Với đội ngũ bác sĩ giỏi chuyên môn, trang thiết bị hiện đại, Nha khoa Sài Gòn cam kết mang đến cho khách hàng dịch vụ nha khoa chất lượng cao, an toàn và hiệu quả.
Liên hệ ngay với Nha khoa Sài Gòn để được tư vấn và đặt lịch khám răng cho bé!
Lưu ý:Bài viết này chỉ mang tính chất tham khảo, không thay thế cho lời khuyên của bác sĩ. Bố mẹ nên đưa trẻ đến gặp bác sĩ nha khoa để được chẩn đoán và điều trị kịp thời.